Identification of a Novel Class of Anti-Melanogenic Compounds, (Z)-5-(Substituted benzylidene)-3-phenyl-2-thioxothiazolidin-4-one Derivatives, and Their Reactive Oxygen Species Scavenging Activities
Abstract
:1. Introduction
2. Materials and Methods
2.1. General Methods
2.1.1. Synthesis of Compound 14
2.1.2. General Synthetic Procedure for Analogs 1–2 and 4–13
2.1.3. Synthesis of Analog 3
2.1.4. Characterization of Analogs 1–14
(Z)-5-(4-Hydroxybenzylidene)-3-phenyl-2-thioxothiazolidin-4-one (1)
(Z)-5-(3,4-Dihydroxybenzylidene)-3-phenyl-2-thioxothiazolidin-4-one (2)
(Z)-5-(2,4-Dihydroxybenzylidene)-3-phenyl-2-thioxothiazolidin-4-one (3)
(Z)-5-(4-Hydroxy-3-methoxybenzylidene)-3-phenyl-2-thioxothiazolidin-4-one (4)
(Z)-5-(3-Ethoxy-4-hydroxybenzylidene)-3-phenyl-2-thioxothiazolidin-4-one (5)
(Z)-5-(3-Hydroxy-4-methoxybenzylidene)-3-phenyl-2-thioxothiazolidin-4-one (6)
(Z)-5-(4-Methoxybenzylidene)-3-phenyl-2-thioxothiazolidin-4-one (7)
(Z)-5-(3,4-Dimethoxybenzylidene)-3-phenyl-2-thioxothiazolidin-4-one (8)
(Z)-5-(2,4-Dimethoxybenzylidene)-3-phenyl-2-thioxothiazolidin-4-one (9)
(Z)-3-Phenyl-2-thioxo-5-(3,4,5-trimethoxybenzylidene)thiazolidin-4-one (10)
(Z)-5-(4-Hydroxy-3,5-dimethoxybenzylidene)-3-phenyl-2-thioxothiazolidin-4-one (11)
(Z)-5-(3-Bromo-4-hydroxybenzylidene)-3-phenyl-2-thioxothiazolidin-4-one (12)
(Z)-5-(3,5-Dibromo-4-hydroxybenzylidene)-3-phenyl-2-thioxothiazolidin-4-one (13)
3-Phenyl-2-thioxothiazolidin-4-one (14)
2.2. Biological Evaluation and Docking Simulation
2.2.1. Reagents
2.2.2. Mushroom Tyrosinase Inhibition Assay
2.2.3. Kinetic Studies of Mushroom Tyrosinase Inhibition by Analogs 1–3 and 6
2.2.4. In Silico Study of the Interactions between Mushroom Tyrosinase and Analogs 1–3, Analog 6, or Kojic Acid
2.2.5. In Silico Study of Interactions between the Human Tyrosinase Homology Model and Analogs 1–3, Analog 6, and Kojic Acid
2.2.6. Cell Culture
2.2.7. Cell Viability Assay
2.2.8. Melanin Content Assays
2.2.9. Evaluation of Cellular Tyrosinase Activity
2.2.10. DPPH Radical Scavenging Activity Assay
2.2.11. ABBS Free Radical Scavenging Activity Assay
2.2.12. ROS Scavenging Activity Assay
2.2.13. Extraction of Cytosolic and Nuclear Proteins from Cells
2.2.14. Western Blot Analysis
2.2.15. RNA Isolation and Quantitative Real-Time PCR (qRT-PCR)
2.2.16. Statistical Analysis
3. Results and Discussion
3.1. Chemistry
3.2. The Inhibitory Effects of (Z)-BPTT Analogs on Mushroom Tyrosinase and Calculated Log p Values
3.3. Modes of Action of (Z)-BPTT Analogs 1–3 and 6
3.4. In Silico Studies
3.4.1. Docking Studies on Analogs 1–3 and Kojic Acid with Mushroom Tyrosinase
3.4.2. Docking Studies of Interactions between Human Tyrosinase and Analogs 1–3 and Kojic Acid
3.5. Effects of Analogs 1, 2, 3, and 6 on Cell Viability
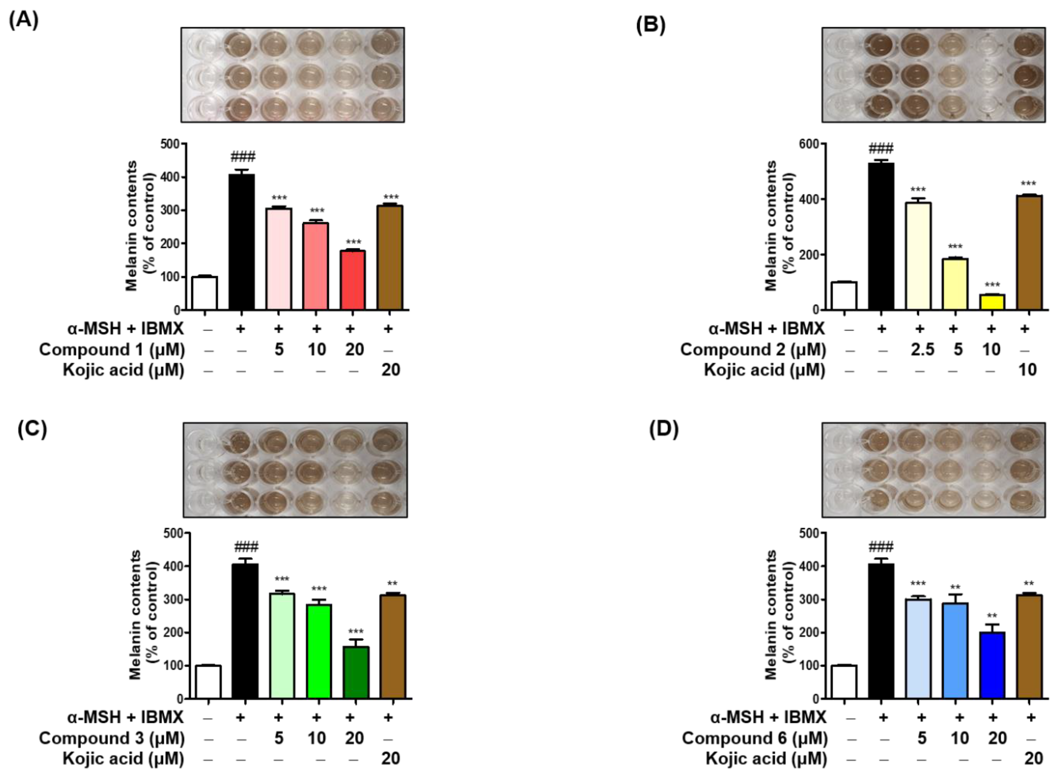
3.6. Effects of Analogs 1, 2, 3, and 6 on Melanin Production in B16F10 Cells
3.7. Inhibitory Effects of Analogs 1, 2, 3, and 6 on Cellular Tyrosinase Activities in B16F10 Cells
3.8. DPPH Radical Scavenging Activities
3.9. Effects of the 13 Analogs on ABTS Free Radical Scavenging Activity
3.10. Effects of the Analogs on Intracellular ROS Scavenging Activity
3.11. Effect of (Z)-BPTT Analog 2 on the Expressions of Melanogenesis-Associated Genes in B16F10 Cells
4. Conclusions
Supplementary Materials
Author Contributions
Funding
Institutional Review Board Statement
Informed Consent Statement
Data Availability Statement
Conflicts of Interest
References
- Kubo, I.; Kinst-Hori, I.; Chaudhuri, S.K.; Kubo, Y.; Sánchez, Y.; Ogura, T. Flavonols from Heterotheca inuloides: Tyrosinase inhibitory activity and structural criteria. Bioorg. Med. Chem. 2000, 8, 1749–1755. [Google Scholar] [CrossRef]
- Pérez-Gilabert, M.; García-Carmona, F. Dimethyl sulfide, a volatile flavor constituent, is a slow-binding inhibitor of tyrosinase. Biochem. Biophys. Res. Commun. 2001, 285, 257–261. [Google Scholar] [CrossRef] [PubMed]
- Ebanks, J.P.; Wickett, R.R.; Boissy, R.E. Mechanisms regulating skin pigmentation: The rise and fall of complexion coloration. Int. J. Mol. Sci. 2009, 10, 4066–4087. [Google Scholar] [CrossRef] [PubMed] [Green Version]
- Ramsden, C.A.; Riley, P.A. Tyrosinase: The four oxidation states of the active site and their relevance to enzymatic activation, oxidation and inactivation. Bioorg. Med. Chem. 2014, 22, 2388–2395. [Google Scholar] [CrossRef]
- Yamaguchi, Y.; Brenner, M.; Hearing, V.J. The regulation of skin pigmentation. J. Biol. Chem. 2007, 282, 27557–27561. [Google Scholar] [CrossRef] [Green Version]
- Ortonne, J.P.; Bissett, D.L. Journal of Investigative Dermatology Symposium Proceedings. In Latest Insights into Skin Hyperpigmentation; Elsevier: Amsterdam, The Netherlands, 2018; pp. 10–14. [Google Scholar]
- Lee, C.S.; Jang, W.H.; Park, M.; Jung, K.; Baek, H.S.; Joo, Y.H.; Park, Y.H.; Lim, K.M. A novel adamantyl benzylbenzamide derivative, AP736, suppresses melanogenesis through the inhibition of cAMP-PKA-CREB-activated microphthalmia-associated transcription factor and tyrosinase expression. Exp. Dermatol. 2013, 22, 762–764. [Google Scholar] [CrossRef]
- Huang, H.C.; Chang, S.J.; Wu, C.Y.; Ke, H.J.; Chang, T.M. [6]-Shogaol Inhibits α-MSH-Induced Melanogenesis through the Acceleration of ERK and PI3K/Akt-Mediated MITF Degradation. BioMed Res. Int. 2014, 2014, 842569. [Google Scholar] [CrossRef] [Green Version]
- Baek, S.H.; Lee, S.H. Sesamol decreases melanin biosynthesis in melanocyte cells and zebrafish: Possible involvement of MITF via the intracellular cAMP and p38/JNK signalling pathways. Exp. Dermatol. 2015, 24, 761–766. [Google Scholar] [CrossRef]
- Lim, J.; Nam, S.; Jeong, J.H.; Kim, M.J.; Yang, Y.; Lee, M.-S.; Lee, H.G.; Ryu, J.H.; Lim, J.S. Kazinol U inhibits melanogenesis through the inhibition of tyrosinase-related proteins via AMP kinase activation. Br. J. Pharmacol. 2019, 176, 737–750. [Google Scholar] [CrossRef] [Green Version]
- Nerya, O.; Vaya, J.; Musa, R.; Izrael, S.; Ben-Arie, R.; Tamir, S. Glabrene and isoliquiritigenin as tyrosinase inhibitors from licorice roots. J. Agric. Food Chem. 2003, 51, 1201–1207. [Google Scholar] [CrossRef]
- Ko, H.H.; Chiang, Y.C.; Tsai, M.H.; Liang, C.J.; Hsu, L.F.; Li, S.Y.; Wang, M.C.; Yen, F.L.; Lee, C.W. Eupafolin, a skin whitening flavonoid isolated from Phyla nodiflora, downregulated melanogenesis: Role of MAPK and Akt pathways. J. Ethnopharmacol. 2014, 151, 386–393. [Google Scholar] [CrossRef] [PubMed]
- Lin, J.Y.; Fisher, D.E. Melanocyte biology and skin pigmentation. Nature 2007, 445, 843–850. [Google Scholar] [CrossRef] [PubMed]
- Miyamura, Y.; Coelho, S.G.; Wolber, R.; Miller, S.A.; Wakamatsu, K.; Zmudzka, B.Z.; Ito, S.; Smuda, C.; Passeron, T.; Choi, W. Regulation of human skin pigmentation and responses to ultraviolet radiation. Pigment Cell Res. 2007, 20, 2–13. [Google Scholar] [CrossRef]
- Alam, N.; Yoon, K.N.; Lee, J.S.; Cho, H.J.; Lee, T.S. Consequence of the antioxidant activities and tyrosinase inhibitory effects of various extracts from the fruiting bodies of Pleurotus ferulae. Saudi J. Biol. Sci. 2012, 19, 111–118. [Google Scholar] [CrossRef] [PubMed] [Green Version]
- Wang, G.-H.; Chen, C.-Y.; Lin, C.-P.; Huang, C.-L.; Lin, C.-H.; Cheng, C.-Y.; Chung, Y.-C. Tyrosinase inhibitory and antioxidant activities of three Bifidobacterium bifidum-fermented herb extracts. Ind. Crops Prod. 2016, 89, 376–382. [Google Scholar] [CrossRef]
- Cui, H.-X.; Duan, F.-F.; Jia, S.-S.; Cheng, F.-R.; Yuan, K. Antioxidant and Tyrosinase Inhibitory Activities of Seed Oils from Torreya grandis Fort. ex Lindl. BioMed Res. Int. 2018, 2018, 5314320. [Google Scholar] [CrossRef] [Green Version]
- Kwon, H.J.; Cho, Y.S. Pharmaceutical Composition for Preventing or Treating Autophagy-Related Diseases, Angiogenic Diseases or Melanin-Related Diseases. U.S. Patent No. 9,328,059, 3 May 2016. [Google Scholar]
- Hu, H.; Yim, S.; Santhanam, U.; Lyga, J.W. Tyrosinase Inhibitors. Google Patents WO2014158943A1, 2 October 2014. [Google Scholar]
- Ullah, S.; Park, C.; Ikram, M.; Kang, D.; Lee, S.; Yang, J.; Park, Y.; Yoon, S.; Chun, P.; Moon, H.R. Tyrosinase inhibition and anti-melanin generation effect of cinnamamide analogues. Bioorg. Chem. 2019, 87, 43–55. [Google Scholar] [CrossRef]
- Ullah, S.; Kang, D.; Lee, S.; Ikram, M.; Park, C.; Park, Y.; Yoon, S.; Chun, P.; Moon, H.R. Synthesis of cinnamic amide derivatives and their anti-melanogenic effect in α-MSH-stimulated B16F10 melanoma cells. Eur. J. Med. Chem. 2019, 161, 78–92. [Google Scholar] [CrossRef]
- Lee, S.; Choi, H.; Park, Y.; Jung, H.J.; Ullah, S.; Choi, I.; Kang, D.; Park, C.; Ryu, I.Y.; Jeong, Y.; et al. Urolithin and Reduced Urolithin Derivatives as Potent Inhibitors of Tyrosinase and Melanogenesis: Importance of the 4-Substituted Resorcinol Moiety. Int. J. Mol. Sci. 2021, 22, 5616. [Google Scholar] [CrossRef]
- Choi, I.; Park, Y.; Ryu, I.Y.; Jung, H.J.; Ullah, S.; Choi, H.; Park, C.; Kang, D.; Lee, S.; Chun, P.; et al. In silico and in vitro insights into tyrosinase inhibitors with a 2-thioxooxazoline-4-one template. Comput. Struct. Biotechnol. J. 2021, 19, 37–50. [Google Scholar] [CrossRef]
- Sepehri, N.; Khoshneviszadeh, M.; Farid, S.M.; Moayedi, S.S.; Asgari, M.S.; Moazzam, A.; Hosseini, S.; Adibi, H.; Larijani, B.; Pirhadi, S.; et al. Design, synthesis, biological evaluation, and molecular docking study of thioxo-2,3-dihydroquinazolinone derivative as tyrosinase inhibitors. J. Mol. Struct. 2022, 1253, 132283. [Google Scholar] [CrossRef]
- Choi, H.; Young Ryu, I.; Choi, I.; Ullah, S.; Jin Jung, H.; Park, Y.; Hwang, Y.; Jeong, Y.; Hong, S.; Chun, P.; et al. Identification of (Z)-2-benzylidene-dihydroimidazothiazolone derivatives as tyrosinase inhibitors: Anti-melanogenic effects and in silico studies. Comput. Struct. Biotechnol. J. 2022, 20, 899–912. [Google Scholar] [CrossRef] [PubMed]
- Peng, Z.; Li, Y.; Tan, L.; Chen, L.; Shi, Q.; Zeng, Q.H.; Liu, H.; Wang, J.J.; Zhao, Y. Anti-tyrosinase, antioxidant and antibacterial activities of gallic acid-benzylidenehydrazine hybrids and their application in preservation of fresh-cut apples and shrimps. Food Chem. 2022, 378, 132127. [Google Scholar] [CrossRef] [PubMed]
- Hassan, M.; Vanjare, B.D.; Sim, K.Y.; Raza, H.; Lee, K.H.; Shahzadi, S.; Kloczkowski, A. Biological and Cheminformatics Studies of Newly Designed Triazole Based Derivatives as Potent Inhibitors against Mushroom Tyrosinase. Molecules 2022, 27, 1731. [Google Scholar] [CrossRef] [PubMed]
- Chen, J.; Wang, S.; Xu, Y.; Zhang, H.; Wang, H. Anti-Tyrosinase Compounds from the Deep-Sea-Derived Actinomycete Georgenia sp. 40DY180. Chem. Biodivers. 2022, 19, e202200037. [Google Scholar] [CrossRef]
- Boatman, R.J. Differences in the nephrotoxicity of hydroquinone among Fischer 344 and Sprague-Dawley rats and B6C3F1 mice. J. Toxicol. Environ. Health 1996, 47, 159–172. [Google Scholar] [CrossRef]
- García-Gavín, J.; González-Vilas, D.; Fernández-Redondo, V.; Toribio, J. Pigmented contact dermatitis due to kojic acid. A paradoxical side effect of a skin lightener. Contact Dermat. 2010, 62, 63–64. [Google Scholar] [CrossRef]
- Bang, E.; Lee, E.K.; Noh, S.-G.; Jung, H.J.; Moon, K.M.; Park, M.H.; Park, Y.J.; Hyun, M.K.; Lee, A.K.; Kim, S.J.; et al. In vitro and in vivo evidence of tyrosinase inhibitory activity of a synthesized (Z)-5-(3-hydroxy-4-methoxybenzylidene)-2-thioxothiazolidin-4-one (5-HMT). Exp. Dermatol. 2019, 28, 734–737. [Google Scholar] [CrossRef] [Green Version]
- Jung, H.J.; Choi, D.C.; Noh, S.G.; Choi, H.; Choi, I.; Ryu, I.Y.; Chung, H.Y.; Moon, H.R. New Benzimidazothiazolone Derivatives as Tyrosinase Inhibitors with Potential Anti-Melanogenesis and Reactive Oxygen Species Scavenging Activities. Antioxidants 2021, 10, 1078. [Google Scholar] [CrossRef]
- Ullah, S.; Park, Y.; Park, C.; Lee, S.; Kang, D.; Yang, J.; Akter, J.; Chun, P.; Moon, H.R. Antioxidant, anti-tyrosinase and anti-melanogenic effects of (E)-2,3-diphenylacrylic acid derivatives. Bioorg. Med. Chem. 2019, 27, 2192–2200. [Google Scholar] [CrossRef]
- Lineweaver, H.; Burk, D. The Determination of Enzyme Dissociation Constants. J. Am. Chem. Soc. 1934, 56, 658–666. [Google Scholar] [CrossRef]
- Cornish-Bowden, A. A simple graphical method for determining the inhibition constants of mixed, uncompetitive and non-competitive inhibitors. Biochem. J. 1974, 137, 143–144. [Google Scholar] [CrossRef] [PubMed]
- Ryu, I.Y.; Choi, I.; Jung, H.J.; Ullah, S.; Choi, H.; Al-Amin, M.; Chun, P.; Moon, H.R. In vitro anti-melanogenic effects of chimeric compounds, 2-(substituted benzylidene)-1,3-indanedione derivatives with a β-phenyl-α, β-unsaturated dicarbonyl scaffold. Bioorg. Chem. 2021, 109, 104688. [Google Scholar] [CrossRef] [PubMed]
- Larik, F.A.; Saeed, A.; Channar, P.A.; Muqadar, U.; Abbas, Q.; Hassan, M.; Seo, S.Y.; Bolte, M. Design, synthesis, kinetic mechanism and molecular docking studies of novel 1-pentanoyl-3-arylthioureas as inhibitors of mushroom tyrosinase and free radical scavengers. Eur. J. Med. Chem. 2017, 141, 273–281. [Google Scholar] [CrossRef] [PubMed]
- Hassan, M.; Ashraf, Z.; Abbas, Q.; Raza, H.; Seo, S.Y. Exploration of Novel Human Tyrosinase Inhibitors by Molecular Modeling, Docking and Simulation Studies. Interdiscip. Sci. Comput. Life Sci. 2018, 10, 68–80. [Google Scholar] [CrossRef] [PubMed]
- Farid, R.; Day, T.; Friesner, R.A.; Pearlstein, R.A. New insights about HERG blockade obtained from protein modeling, potential energy mapping, and docking studies. Bioorg. Med. Chem. 2006, 14, 3160–3173. [Google Scholar] [CrossRef]
- Jung, H.J.; Noh, S.G.; Park, Y.; Kang, D.; Chun, P.; Chung, H.Y.; Moon, H.R. In vitro and in silico insights into tyrosinase inhibitors with (E)-benzylidene-1-indanone derivatives. Comput. Struct. Biotechnol. J. 2019, 17, 1255–1264. [Google Scholar] [CrossRef]
- Park, M.H.; Park, J.Y.; Lee, H.J.; Kim, D.H.; Park, D.; Jeong, H.O.; Park, C.H.; Chun, P.; Moon, H.R.; Chung, H.Y. Potent anti-diabetic effects of MHY908, a newly synthesized PPAR α/γ dual agonist in db/db mice. PLoS ONE 2013, 8, e78815. [Google Scholar] [CrossRef] [Green Version]
- Chai, W.M.; Lin, M.Z.; Song, F.J.; Wang, Y.X.; Xu, K.L.; Huang, J.X.; Fu, J.P.; Peng, Y.Y. Rifampicin as a novel tyrosinase inhibitor: Inhibitory activity and mechanism. Int. J. Biol. Macromol. 2017, 102, 425–430. [Google Scholar] [CrossRef]
- Lee, S.; Ullah, S.; Park, C.; Won Lee, H.; Kang, D.; Yang, J.; Akter, J.; Park, Y.; Chun, P.; Moon, H.R. Inhibitory effects of N-(acryloyl)benzamide derivatives on tyrosinase and melanogenesis. Bioorg. Med. Chem. 2019, 27, 3929–3937. [Google Scholar] [CrossRef]
- Re, R.; Pellegrini, N.; Proteggente, A.; Pannala, A.; Yang, M.; Rice-Evans, C. Antioxidant activity applying an improved ABTS radical cation decolorization assay. Free Radic. Biol. Med. 1999, 26, 1231–1237. [Google Scholar] [CrossRef]
- Ali, S.F.; LeBel, C.P.; Bondy, S.C. Reactive oxygen species formation as a biomarker of methylmercury and trimethyltin neurotoxicity. Neurotoxicology 1992, 13, 637–648. [Google Scholar] [PubMed]
- LeBel, C.P.; Bondy, S.C. Sensitive and rapid quantitation of oxygen reactive species formation in rat synaptosomes. Neurochem. Int. 1990, 17, 435–440. [Google Scholar] [CrossRef] [Green Version]
- Choi, Y.J.; Uehara, Y.; Park, J.Y.; Kim, S.J.; Kim, S.R.; Lee, H.W.; Moon, H.R.; Chung, H.Y. MHY884, a newly synthesized tyrosinase inhibitor, suppresses UVB-induced activation of NF-κB signaling pathway through the downregulation of oxidative stress. Bioorg. Med. Chem. Lett. 2014, 24, 1344–1348. [Google Scholar] [CrossRef] [PubMed]
- Bourahla, K.; Derdour, A.; Rahmouni, M.; Carreaux, F.; Bazureau, J.P. A practical access to novel 2-amino-5-arylidene-1,3-thiazol-4(5H)-ones via sulfur/nitrogen displacement under solvent-free microwave irradiation. Tetrahedron Lett. 2007, 48, 5785–5789. [Google Scholar] [CrossRef]
- Bursavich, M.G.; Gilbert, A.M.; Lombardi, S.; Georgiadis, K.E.; Reifenberg, E.; Flannery, C.R.; Morris, E.A. Synthesis and evaluation of aryl thioxothiazolidinone inhibitors of ADAMTS-5 (Aggrecanase-2). Bioorg. Med. Chem. Lett. 2007, 17, 1185–1188. [Google Scholar] [CrossRef]
- Mandal, S.P.; Mithuna; Garg, A.; Sahetya, S.S.; Nagendra, S.R.; Sripad, H.S.; Manjunath, M.M.; Sitaram; Soni, M.; Baig, R.N.; et al. Novel rhodanines with anticancer activity: Design, synthesis and CoMSIA study. RSC Adv. 2016, 6, 58641–58653. [Google Scholar] [CrossRef]
- Naeem, M.; Rehaman, S.; Amjad, R. One Pot Synthesis of Potentially Biologically Active Novel 4-Thiazolidinone Derivatives. Asian J. Chem. 2012, 24, 4317–4323. [Google Scholar]
- Vögeli, U.; von Philipsborn, W.; Nagarajan, K.; Nair, M.D. Structures of Addition Products of Acetylenedicarboxylic Acid Esters with Various Dinucleophiles. An application of C, H-spin-coupling constants. Helv. Chim. Acta 1978, 61, 607–617. [Google Scholar] [CrossRef]
- Venza, I.; Venza, M.; Visalli, M.; Lentini, G.; Teti, D.; d’Alcontres, F.S. ROS as Regulators of Cellular Processes in Melanoma. Oxid. Med. Cell. Longev. 2021, 2021, 1208690. [Google Scholar] [CrossRef]
- He, Y.; Zhang, Y.; Zhang, D.; Zhang, M.; Wang, M.; Jiang, Z.; Otero, M.; Chen, J. 3-morpholinosydnonimine (SIN-1)-induced oxidative stress leads to necrosis in hypertrophic chondrocytes in vitro. Biomed. Pharmacother. 2018, 106, 1696–1704. [Google Scholar] [CrossRef] [PubMed]
- Perron, N.R.; Brumaghim, J.L. A Review of the Antioxidant Mechanisms of Polyphenol Compounds Related to Iron Binding. Cell Biochem. Biophys. 2009, 53, 75–100. [Google Scholar] [CrossRef] [PubMed]
- Shin, H.S.; Satsu, H.; Bae, M.J.; Totsuka, M.; Shimizu, M. Catechol Groups Enable Reactive Oxygen Species Scavenging-Mediated Suppression of PKD-NFkappaB-IL-8 Signaling Pathway by Chlorogenic and Caffeic Acids in Human Intestinal Cells. Nutrients 2017, 9, 165. [Google Scholar] [CrossRef] [PubMed]
- Li, X.; Wang, T.; Liu, J.; Liu, Y.; Zhang, J.; Lin, J.; Zhao, Z.; Chen, D. Effect and mechanism of wedelolactone as antioxidant-coumestan on OH-treated mesenchymal stem cells. Arab. J. Chem. 2020, 13, 184–192. [Google Scholar] [CrossRef]
- Garcia-Molina, M.d.M.; Muñoz-Muñoz, J.L.; Garcia-Molina, F.; García-Ruiz, P.A.; Garcia-Canovas, F. Action of Tyrosinase on Ortho-Substituted Phenols: Possible Influence on Browning and Melanogenesis. J. Agric. Food Chem. 2012, 60, 6447–6453. [Google Scholar] [CrossRef]
- Kim, S.S.; Kim, M.J.; Choi, Y.H.; Kim, B.K.; Kim, K.S.; Park, K.J.; Park, S.M.; Lee, N.H.; Hyun, C.G. Down-regulation of tyrosinase, TRP-1, TRP-2 and MITF expressions by citrus press-cakes in murine B16 F10 melanoma. Asian Pac. J. Trop. Biomed. 2013, 3, 617–622. [Google Scholar] [CrossRef] [Green Version]















| Genes | Ensembl Version a | Primer Sequence (Forward: 5′→3′, Reverse: 3′→5′) |
|---|---|---|
| Tyrosinase | ENSMUSG00000004651.7 | Forward = GGAACAGCAACGAGCTAAGG Reverse = TGATGATCCGATTCACCAGA |
| TRP-1 | ENSMUSG00000005994.15 | Forward = GGAACAGCAACGAGCTAAGG Reverse = TGATGATCCGATTCACCAGA |
| TRP-2 | ENSMUSG00000022129.5 | Forward = GGAACAGCAACGAGCTAAGG Reverse = TGATGATCCGATTCACCAGA |
| β-actin | ENSMUSG00000029580 | Forward = TGTCCACCTTCCAGCAGATGT Reverse = AGCTCAGTAACAGTCCGCCTAGA |
| Compounds | R1 | R2 | R3 | R4 | IC50 Values (μM) a | Synthetic Yield (%) | Log p b |
|---|---|---|---|---|---|---|---|
| 1 | H | H | OH | H | 1.45 ± 0.04 | 73 | 3.54 |
| 2 | H | OH | OH | H | 1.38 ± 0.11 | 81 | 3.16 |
| 3 | OH | H | OH | H | 0.59 ± 0.03 | 30 | 3.16 |
| 4 | H | OMe | OH | H | 80.03 ± 3.30 | 83 | 3.42 |
| 5 | H | OEt | OH | H | >200 | 86 | 3.76 |
| 6 | H | OH | OMe | H | 1.88 ± 0.70 | 88 | 3.42 |
| 7 | H | H | OMe | H | >200 | 90 | 3.81 |
| 8 | H | OMe | OMe | H | 94.29 ± 7.70 | 86 | 3.68 |
| 9 | OMe | H | OMe | H | 22.15 ± 4.23 | 85 | 3.68 |
| 10 | H | OMe | OMe | OMe | >200 | 88 | 3.56 |
| 11 | H | OMe | OH | OMe | >200 | 83 | 3.29 |
| 12 | H | Br | OH | H | 65.54 ± 9.40 | 82 | 4.37 |
| 13 | H | Br | OH | Br | 78.75 ± 8.63 | 90 | 5.20 |
| KA c | 17.05 ± 3.82 | −2.45 | |||||
![]() | |||||||
| Compounds | Concentration (µM) | KM (mM) a | Ki (M) b |
|---|---|---|---|
| 1 | 0 | 1.042 | 4.67 × 10−6 |
| 1 | 1.193 | ||
| 2 | 1.433 | ||
| 4 | 2.159 | ||
| 2 | 0 | 1.077 | 3.18 × 10−6 |
| 2.5 | 2.117 | ||
| 5 | 2.899 | ||
| 10 | 4.865 | ||
| 3 | 0 | 0.793 | 7.08 × 10−7 |
| 0.4 | 1.392 | ||
| 0.8 | 2.015 | ||
| 1.6 | 3.739 | ||
| 6 | 0 | 1.030 | 3.23 × 10−6 |
| 1 | 1.243 | ||
| 2 | 1.531 | ||
| 4 | 1.885 |
Publisher’s Note: MDPI stays neutral with regard to jurisdictional claims in published maps and institutional affiliations. |
© 2022 by the authors. Licensee MDPI, Basel, Switzerland. This article is an open access article distributed under the terms and conditions of the Creative Commons Attribution (CC BY) license (https://creativecommons.org/licenses/by/4.0/).
Share and Cite
Jeong, Y.; Hong, S.; Jung, H.J.; Ullah, S.; Hwang, Y.; Choi, H.; Ko, J.; Lee, J.; Chun, P.; Chung, H.Y.; et al. Identification of a Novel Class of Anti-Melanogenic Compounds, (Z)-5-(Substituted benzylidene)-3-phenyl-2-thioxothiazolidin-4-one Derivatives, and Their Reactive Oxygen Species Scavenging Activities. Antioxidants 2022, 11, 948. https://doi.org/10.3390/antiox11050948
Jeong Y, Hong S, Jung HJ, Ullah S, Hwang Y, Choi H, Ko J, Lee J, Chun P, Chung HY, et al. Identification of a Novel Class of Anti-Melanogenic Compounds, (Z)-5-(Substituted benzylidene)-3-phenyl-2-thioxothiazolidin-4-one Derivatives, and Their Reactive Oxygen Species Scavenging Activities. Antioxidants. 2022; 11(5):948. https://doi.org/10.3390/antiox11050948
Chicago/Turabian StyleJeong, Yeongmu, Sojeong Hong, Hee Jin Jung, Sultan Ullah, YeJi Hwang, Heejeong Choi, Jeongin Ko, Jieun Lee, Pusoon Chun, Hae Young Chung, and et al. 2022. "Identification of a Novel Class of Anti-Melanogenic Compounds, (Z)-5-(Substituted benzylidene)-3-phenyl-2-thioxothiazolidin-4-one Derivatives, and Their Reactive Oxygen Species Scavenging Activities" Antioxidants 11, no. 5: 948. https://doi.org/10.3390/antiox11050948
APA StyleJeong, Y., Hong, S., Jung, H. J., Ullah, S., Hwang, Y., Choi, H., Ko, J., Lee, J., Chun, P., Chung, H. Y., & Moon, H. R. (2022). Identification of a Novel Class of Anti-Melanogenic Compounds, (Z)-5-(Substituted benzylidene)-3-phenyl-2-thioxothiazolidin-4-one Derivatives, and Their Reactive Oxygen Species Scavenging Activities. Antioxidants, 11(5), 948. https://doi.org/10.3390/antiox11050948


