Use of Carbon Fiber Implants to Improve the Safety and Efficacy of Radiation Therapy for Spine Tumor Patients
Abstract
1. Introduction
2. Imaging Work-Up of Bony Spine Tumors
3. Surgical Management of Bony Spine Tumors
4. Radiation Therapy for Bony Spine Tumors
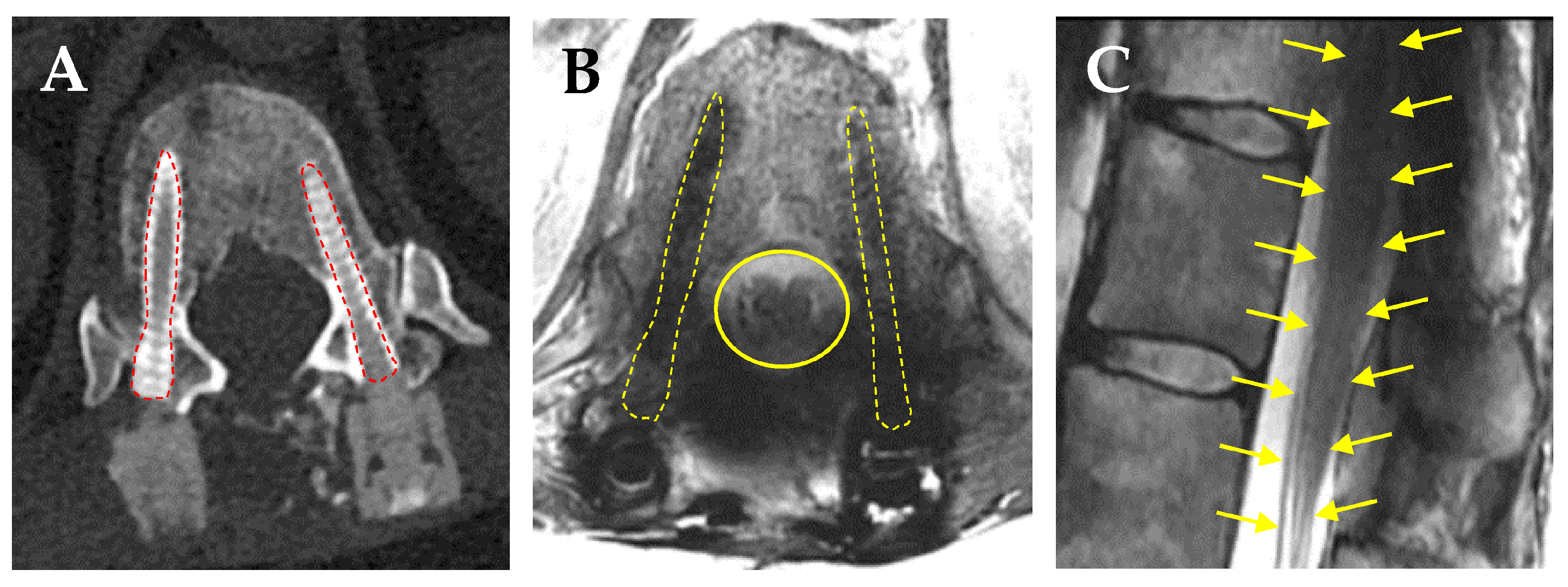
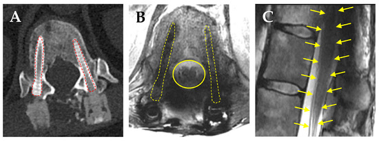
5. The Use of Carbon Fiber-Reinforced Polyetheretherketone (CFR-PEEK) Pedicle Screws and Rods to Facilitate Post-Surgical Radiation Therapy of Bony Spine Tumors
6. Recent Advances in Materials Used for Spinal Implants
7. Current Limitations and Future Outlook of Carbon Fiber-Reinforced Polyetheretherketone (CFR-PEEK) Pedicle Screws and Rods for Use in Spine Oncology
Supplementary Materials
Author Contributions
Funding
Institutional Review Board Statement
Informed Consent Statement
Data Availability Statement
Acknowledgments
Conflicts of Interest
References
- Kaloostian, P.E.; Zadnik, P.L.; Etame, A.B.; Vrionis, F.D.; Gokaslan, Z.L.; Sciubba, D.M. Surgical management of primary and metastatic spinal tumors. Cancer Control 2014, 21, 133–139. [Google Scholar] [PubMed]
- Barzilai, O.; Fisher, C.G.; Bilsky, M.H. State of the Art Treatment of Spinal Metastatic Disease. Neurosurgery 2018, 82, 757–769. [Google Scholar] [PubMed]
- Fridley, J.; Gokaslan, Z.L. The evolution of surgical management for vertebral column tumors. J. Neurosurg. Spine 2019, 30, 417–423. [Google Scholar] [PubMed]
- Kerr, D.L.; Dial, B.L.; Lazarides, A.L.; Catanzano, A.A.; Lane, W.O.; Blazer, D.G., 3rd; Brigman, B.E.; Mendoza-Lattes, S.; Eward, W.C.; Erickson, M.E. Epidemiologic and survival trends in adult primary bone tumors of the spine. Spine J. 2019, 19, 1941–1949. [Google Scholar]
- Dang, L.; Liu, X.; Dang, G.; Jiang, L.; Wei, F.; Yu, M.; Wu, F.; Liu, Z. Primary tumors of the spine: A review of clinical features in 438 patients. J. Neurooncol. 2015, 121, 513–520. [Google Scholar]
- Kumar, N.; Tan, W.L.B.; Wei, W.; Vellayappan, B.A. An overview of the tumors affecting the spine-inside to out. Neurooncol. Pract. 2020, 7 (Suppl. S1), i10–i17. [Google Scholar]
- Nefiss, M.; Teborbi, A.; Bouzidi, R.; Ezzaouia, K. Primary Bone Tumors of the Spine: Surgical Management. In Imaging of Primary Tumors of the Osseous Spine Medical Radiology; Ladeb, M.F., Vanhoenacker, F., Eds.; Springer: Cham, Switzerland, 2023; pp. 431–448. [Google Scholar]
- Sciubba, D.M.; Petteys, R.J.; Dekutoski, M.B.; Fisher, C.G.; Fehlings, M.G.; Ondra, S.L.; Rhines, L.D.; Gokaslan, Z.L. Diagnosis and management of metastatic spine disease. A review. J. Neurosurg. Spine 2010, 13, 94–108. [Google Scholar]
- Nikodinovska, V.V.; Kaur, S.; Lalam, R. Conventional Radiography and Computed Tomography. In Imaging of Primary Tumors of the Osseous Spine; Ladeb, M.F., Vanhoenacker, F., Eds.; Springer: Cham, Switzerland, 2023; pp. 55–84. [Google Scholar]
- Dubousset, J.; Charpak, G.; Skalli, W.; Kalifa, G.; Lazennec, J.Y. EOS stereo-radiography system: Whole-body simultaneous anteroposterior and lateral radiographs with very low radiation dose. Rev. Chir. Orthopédique Réparatrice L’appareil Mot. 2007, 93 (Suppl. S6), 141–143. [Google Scholar]
- Riahi, H.; Mechri, M.; Barsaoui, M.; Bouaziz, M.; Vanhoenacker, F.; Ladeb, M. Imaging of Benign Tumors of the Osseous Spine. J. Belg. Soc. Radiol. 2018, 102, 13. [Google Scholar]
- O’Sullivan, G.J.; Carty, F.L.; Cronin, C.G. Imaging of bone metastasis: An update. World J. Radiol. 2015, 7, 202–211. [Google Scholar]
- Yoshioka, K.; Tanaka, R.; Takagi, H.; Ueyama, Y.; Kikuchi, K.; Chiba, T.; Arakita, K.; Schuijf, J.D.; Saito, Y. Ultra-high-resolution CT angiography of the artery of Adamkiewicz: A feasibility study. Neuroradiology 2018, 60, 109–115. [Google Scholar] [PubMed]
- Jarvik, J.G.; Deyo, R.A. Diagnostic evaluation of low back pain with emphasis on imaging. Ann. Intern. Med. 2002, 137, 586–597. [Google Scholar] [PubMed]
- Yang, L.; Zhang, S.; Gu, R.; Peng, C.; Wu, M. Imaging features of primary spinal osseous tumors and their value in clinical diagnosis. Oncol. Lett. 2019, 17, 1089–1093. [Google Scholar]
- Sahinarslan, A.; Erbas, G.; Kocaman, S.A.; Bas, D.; Akyel, A.; Karaer, D. Comparison of radiation-induced damage between CT angiography and conventional coronary angiography. Acta Cardiol. 2013, 68, 291–297. [Google Scholar]
- Buhmann, S.; Becker, C.; Duerr, H.R.; Reiser, M.; Baur-Melnyk, A. Detection of osseous metastases of the spine: Comparison of high resolution multi-detector-CT with MRI. Eur. J. Radiol. 2009, 69, 567–573. [Google Scholar]
- O’Flanagan, S.J.; Stack, J.P.; McGee, H.M.; Dervan, P.; Hurson, B. Imaging of intramedullary tumour spread in osteosarcoma. A Comp. Tech. J. Bone Jt. Surg. Br. 1991, 73, 998–1001. [Google Scholar]
- Onikul, E.; Fletcher, B.D.; Parham, D.M.; Chen, G. Accuracy of MR imaging for estimating intraosseous extent of osteosarcoma. Am. J. Roentgenol. 1996, 167, 1211–1215. [Google Scholar]
- Davies, A.M.; Wellings, R.M. Imaging of bone tumors. Curr. Opin. Radiol. 1992, 4, 32–38. [Google Scholar]
- Bohndorf, K.; Reiser, M.; Lochner, B.; de Lacroix, W.F.; Steinbrich, W. Magnetic resonance imaging of primary tumours and tumour-like lesions of bone. Skelet. Radiol. 1986, 15, 511–517. [Google Scholar]
- Hanna, S.L.; Fletcher, B.D.; Parham, D.M.; Bugg, M.F. Muscle edema in musculoskeletal tumors: MR imaging characteristics and clinical significance. J. Magn. Reson. Imaging 1991, 1, 441–449. [Google Scholar]
- Nascimento, D.; Suchard, G.; Hatem, M.; de Abreu, A. The role of magnetic resonance imaging in the evaluation of bone tumours and tumour-like lesions. Insights Imaging 2014, 5, 419–440. [Google Scholar] [PubMed]
- Steinberger, J.M.; Yuk, F.; Doshi, A.H.; Green, S.; Germano, I.M. Multidisciplinary management of metastatic spine disease: Initial symptom-directed management. Neurooncol Pract. 2020, 7 (Suppl. S1), i33–i44. [Google Scholar]
- Zhadanov, S.I.; Doshi, A.H.; Pawha, P.S.; Corcuera-Solano, I.; Tanenbaum, L.N. Contrast-Enhanced Dixon Fat-Water Separation Imaging of the Spine: Added Value of Fat, In-Phase and Opposed-Phase Imaging in Marrow Lesion Detection. J. Comput. Assist. Tomogr. 2016, 40, 985–990. [Google Scholar] [PubMed]
- Shah, L.M.; Salzman, K.L. Imaging of spinal metastatic disease. Int. J. Surg. Oncol. 2011, 2011, 769753. [Google Scholar] [PubMed]
- Ceyssens, S.K. PET/CT in Primary Tumors of the Osseous Spine. In Imaging of Primary Tumors of the Osseous Spine; Ladeb, M.F., Vanhoenacker, F., Eds.; Springer: Cham, Switzerland, 2023; pp. 99–111. [Google Scholar]
- Enneking, W.F. A system of staging musculoskeletal neoplasms. Clin. Orthop. Relat. Res. 1986, 204, 9–24. [Google Scholar]
- Boriani, S.; Weinstein, J.N.; Biagini, R. Primary bone tumors of the spine: Terminology and surgical staging. Spine 1997, 22, 1036–1044. [Google Scholar]
- Amendola, L.; Cappuccio, M.; De Iure, F.; Bandiera, S.; Gasbarrini, A.; Boriani, S. En bloc resections for primary spinal tumors in 20 years of experience: Effectiveness and safety. Spine J. 2014, 14, 2608–2617. [Google Scholar]
- Boriani, S.; Amendola, L.; Bandiera, S.; Simoes, C.E.; Alberghini, M.; Di Fiore, M.; Gasbarrini, A. Staging and treatment of osteoblastoma in the mobile spine: A review of 51 cases. Eur. Spine J. 2012, 21, 2003–2010. [Google Scholar]
- Amakiri, I.; Tobert, D.G. Operative and non-operative options for benign primary spine tumors. Semin. Spine Surg. 2024, 36, 101139. [Google Scholar]
- Howell, E.P.; Williamson, T.; Karikari, I.; Abd-El-Barr, M.; Erickson, M.; Goodwin, M.L.; Reynolds, J.; Sciubba, D.M.; Goodwin, C.R. Total en bloc resection of primary and metastatic spine tumors. Ann. Transl. Med. 2019, 7, 226. [Google Scholar]
- Cloyd, J.M.; Acosta, F.L., Jr.; Polley, M.Y.; Ames, C.P. En bloc resection for primary and metastatic tumors of the spine: A systematic review of the literature. Neurosurgery 2010, 67, 435–444, discussion 44–45. [Google Scholar] [CrossRef] [PubMed]
- Fisher, C.G.; Saravanja, D.D.; Dvorak, M.F.; Rampersaud, Y.R.; Clarkson, P.W.; Hurlbert, J.; Fox, R.; Zhang, H.; Lewis, S.; Riaz, S.; et al. Surgical management of primary bone tumors of the spine: Validation of an approach to enhance cure and reduce local recurrence. Spine 2011, 36, 830–836. [Google Scholar] [CrossRef] [PubMed]
- Tomita, K.; Kawahara, N.; Baba, H.; Tsuchiya, H.; Nagata, S.; Toribatake, Y. Total en bloc spondylectomy for solitary spinal metastases. Int. Orthop. 1994, 18, 291–298. [Google Scholar] [CrossRef] [PubMed]
- Tomita, K.; Toribatake, Y.; Kawahara, N.; Ohnari, H.; Kose, H. Total en bloc spondylectomy and circumspinal decompression for solitary spinal metastasis. Paraplegia 1994, 32, 36–46. [Google Scholar] [CrossRef]
- Boriani, S.; Bandiera, S.; Biagini, R.; Bacchini, P.; Boriani, L.; Cappuccio, M.; Chevalley, F.; Gasbarrini, A.; Picci, P.; Weinstein, J.N. Chordoma of the mobile spine: Fifty years of experience. Spine 2006, 31, 493–503. [Google Scholar]
- Boriani, S.; Bandiera, S.; Donthineni, R.; Amendola, L.; Cappuccio, M.; De Iure, F.; Gasbarrini, A. Morbidity of en bloc resections in the spine. Eur. Spine J. 2010, 19, 231–241. [Google Scholar] [CrossRef]
- Sakaura, H.; Hosono, N.; Mukai, Y.; Ishii, T.; Yonenobu, K.; Yoshikawa, H. Outcome of total en bloc spondylectomy for solitary metastasis of the thoracolumbar spine. J. Spinal Disord. Tech. 2004, 17, 297–300. [Google Scholar]
- Stener, B.; Henriksson, C.; Johansson, S.; Gunterberg, B.; Pettersson, S. Surgical removal of bone and muscle metastases of renal cancer. Acta Orthop. Scand. 1984, 55, 491–500. [Google Scholar] [CrossRef]
- Katonis, P.; Alpantaki, K.; Michail, K.; Lianoudakis, S.; Christoforakis, Z.; Tzanakakis, G.; Karantanas, A. Spinal chondrosarcoma: A review. Sarcoma 2011, 2011, 378957. [Google Scholar] [CrossRef]
- Igarashi, T.; Murakami, H.; Demura, S.; Kato, S.; Yoshioka, K.; Yokogawa, N.; Tsuchiya, H. Risk factors for local recurrence after total en bloc spondylectomy for metastatic spinal tumors: A retrospective study. J. Orthop. Sci. 2018, 23, 459–463. [Google Scholar] [CrossRef]
- Laufer, I.; Iorgulescu, J.B.; Chapman, T.; Lis, E.; Shi, W.; Zhang, Z.; Cox, B.W.; Yamada, Y.; Bilsky, M.H. Local disease control for spinal metastases following “separation surgery” and adjuvant hypofractionated or high-dose single-fraction stereotactic radiosurgery: Outcome analysis in 186 patients. J. Neurosurg. Spine 2013, 18, 207–214. [Google Scholar] [PubMed]
- Patchell, R.A.; Tibbs, P.A.; Regine, W.F.; Payne, R.; Saris, S.; Kryscio, R.J.; Mohiuddin, M.; Young, B. Direct decompressive surgical resection in the treatment of spinal cord compression caused by metastatic cancer: A randomised trial. Lancet 2005, 366, 643–648. [Google Scholar] [PubMed]
- Young, R.F.; Post, E.M.; King, G.A. Treatment of spinal epidural metastases. Randomized prospective comparison of laminectomy and radiotherapy. J. Neurosurg. 1980, 53, 741–748. [Google Scholar] [PubMed]
- Fisher, C.G.; DiPaola, C.P.; Ryken, T.C.; Bilsky, M.H.; Shaffrey, C.I.; Berven, S.H.; Harrop, J.S.; Fehlings, M.G.; Boriani, S.; Chou, D.; et al. A novel classification system for spinal instability in neoplastic disease: An evidence-based approach and expert consensus from the Spine Oncology Study Group. Spine 2010, 35, E1221–E1229. [Google Scholar]
- Bilsky, M.; Smith, M. Surgical approach to epidural spinal cord compression. Hematol. Oncol. Clin. N. Am. 2006, 20, 1307–1317. [Google Scholar]
- Laufer, I.; Rubin, D.G.; Lis, E.; Cox, B.W.; Stubblefield, M.D.; Yamada, Y.; Bilsky, M.H. The NOMS framework: Approach to the treatment of spinal metastatic tumors. Oncologist 2013, 18, 744–751. [Google Scholar]
- Moussazadeh, N.; Laufer, I.; Yamada, Y.; Bilsky, M.H. Separation surgery for spinal metastases: Effect of spinal radiosurgery on surgical treatment goals. Cancer Control 2014, 21, 168–174. [Google Scholar]
- Tian, N.F.; Huang, Q.S.; Zhou, P.; Zhou, Y.; Wu, R.K.; Lou, Y.; Xu, H.Z. Pedicle screw insertion accuracy with different assisted methods: A systematic review and meta-analysis of comparative studies. Eur. Spine J. 2011, 20, 846–859. [Google Scholar]
- Meng, X.-T.; Guan, X.-F.; Zhang, H.-L.; He, S.-S. Computer navigation versus fluoroscopy-guided navigation for thoracic pedicle screw placement: A meta-analysis. Neurosurg. Rev. 2016, 39, 385–391. [Google Scholar]
- Karapinar, L.; Erel, N.; Ozturk, H.; Altay, T.; Kaya, A. Pedicle screw placement with a free hand technique in thoracolumbar spine: Is it safe? J Spinal Disord Tech. 2008, 21, 63–67. [Google Scholar]
- Kosmopoulos, V.; Schizas, C. Pedicle screw placement accuracy: A meta-analysis. Spine 2007, 32, E111–E1120. [Google Scholar] [PubMed]
- Barzilai, O.; Robin, A.M.; O’Toole, J.E.; Laufer, I. Minimally Invasive Surgery Strategies: Changing the Treatment of Spine Tumors. Neurosurg. Clin. N. Am. 2020, 31, 201–209. [Google Scholar]
- Eleraky, M.; Papanastassiou, I.; Tran, N.D.; Dakwar, E.; Vrionis, F.D. Comparison of polymethylmethacrylate versus expandable cage in anterior vertebral column reconstruction after posterior extracavitary corpectomy in lumbar and thoraco-lumbar metastatic spine tumors. Eur. Spine J. 2011, 20, 1363–1370. [Google Scholar] [PubMed]
- Shen, F.H.; Marks, I.; Shaffrey, C.; Ouellet, J.; Arlet, V. The use of an expandable cage for corpectomy reconstruction of vertebral body tumors through a posterior extracavitary approach: A multicenter consecutive case series of prospectively followed patients. Spine J. 2008, 8, 329–339. [Google Scholar]
- Chi, J.H.; Gokaslan, Z.L. Vertebroplasty and kyphoplasty for spinal metastases. Curr. Opin. Support. Palliat. Care 2008, 2, 9–13. [Google Scholar]
- Sahgal, A.; Whyne, C.M.; Ma, L.; Larson, D.A.; Fehlings, M.G. Vertebral compression fracture after stereotactic body radiotherapy for spinal metastases. Lancet Oncol. 2013, 14, e310–e320. [Google Scholar]
- Gerszten, P.C.; Germanwala, A.; Burton, S.A.; Welch, W.C.; Ozhasoglu, C.; Vogel, W.J. Combination kyphoplasty and spinal radiosurgery: A new treatment paradigm for pathological fractures. J. Neurosurg. Spine 2005, 3, 296–301. [Google Scholar]
- Roesch, J.; Glatz, S.; Guckenberger, M. Principles of image-guided hypofractionated radiotherapy of spine metastases. In Image-Guided Hypofractionated Stereotactic Radiosurgery: A Practical Approach to Guide Treatment of Brain and Spine Tumors; Sahgal, A., Lo, S.S., Ma, L., Sheehan, J.P., Eds.; Taylor & Francis Group: Oxfordshire, UK, 2016; pp. 129–142. [Google Scholar]
- Yamada, Y. Invited Perspectives on Hypofractionated Stereotactic Radiosurgery. In Image-Guided Hypofractionated Stereotactic Radiosurgery: A Practical Approach to Guide Treatment of Brain and Spine Tumors; Sahgal, A., Lo, S.S., Ma, L., Sheehan, J.P., Eds.; Taylor & Francis Group: Oxfordshire, UK, 2016; pp. 1–8. [Google Scholar]
- Gerszten, P.C.; Mendel, E.; Yamada, Y. Radiotherapy and radiosurgery for metastatic spine disease: What are the options, indications, and outcomes? Spine 2009, 34 (Suppl. S22), S78–S92. [Google Scholar]
- Chang, E.L.; Shiu, A.S.; Mendel, E.; Mathews, L.A.; Mahajan, A.; Allen, P.K.; Weinberg, J.S.; Brown, B.W.; Wang, X.S.; Woo, S.Y.; et al. Phase I/II study of stereotactic body radiotherapy for spinal metastasis and its pattern of failure. J. Neurosurg. Spine 2007, 7, 151–160. [Google Scholar]
- Sahgal, A.; Myrehaug, S.D.; Siva, S.; Masucci, L.; Foote, M.C.; Brundage, M.; Butler, J.; Chow, E.; Fehlings, M.G.; Gabos, Z.; et al. CCTG SC.24/TROG 17.06: A Randomized Phase II/III Study Comparing 24Gy in 2 Stereotactic Body Radiotherapy (SBRT) Fractions Versus 20Gy in 5 Conventional Palliative Radiotherapy (CRT) Fractions for Patients with Painful Spinal Metastases. Int. J. Radiat. Oncol. Biol. Phys. 2020, 108, 1397–1398. [Google Scholar]
- Katagiri, H.; Takahashi, M.; Inagaki, J.; Kobayashi, H.; Sugiura, H.; Yamamura, S.; Iwata, H. Clinical results of nonsurgical treatment for spinal metastases. Int. J. Radiat. Oncol. Biol. Phys. 1998, 42, 1127–1132. [Google Scholar] [PubMed]
- Rao, S.S.; Thompson, C.; Cheng, J.; Haimovitz-Friedman, A.; Powell, S.N.; Fuks, Z.; Kolesnick, R.N. Axitinib sensitization of high Single Dose Radiotherapy. Radiother. Oncol. 2014, 111, 88–93. [Google Scholar] [PubMed]
- Yamada, Y.; Katsoulakis, E.; Laufer, I.; Lovelock, M.; Barzilai, O.; McLaughlin, L.A.; Zhang, Z.; Schmitt, A.M.; Higginson, D.S.; Lis, E.; et al. The impact of histology and delivered dose on local control of spinal metastases treated with stereotactic radiosurgery. Neurosurg. Focus 2017, 42, E6. [Google Scholar]
- Maranzano, E.; Bellavita, R.; Rossi, R.; De Angelis, V.; Frattegiani, A.; Bagnoli, R.; Mignogna, M.; Beneventi, S.; Lupattelli, M.; Ponticelli, P.; et al. Short-course versus split-course radiotherapy in metastatic spinal cord compression: Results of a phase III, randomized, multicenter trial. J. Clin. Oncol. 2005, 23, 3358–3365. [Google Scholar]
- Mizumoto, M.; Harada, H.; Asakura, H.; Hashimoto, T.; Furutani, K.; Hashii, H.; Murata, H.; Takagi, T.; Katagiri, H.; Takahashi, M.; et al. Radiotherapy for patients with metastases to the spinal column: A review of 603 patients at Shizuoka Cancer Center Hospital. Int. J. Radiat. Oncol. Biol. Phys. 2011, 79, 208–213. [Google Scholar]
- Azadbakht, J.; Condos, A.; Haynor, D.; Gibbs, W.N.; Jabehdar Maralani, P.; Sahgal, A.; Chao, S.T.; Foote, M.C.; Suh, J.; Chang, E.L.; et al. The Role of CT and MR Imaging in Stereotactic Body Radiotherapy of the Spine: From Patient Selection and Treatment Planning to Post-Treatment Monitoring. Cancers 2024, 16, 3692. [Google Scholar] [CrossRef]
- McVeigh, L.G.; Linzey, J.R.; Strong, M.J.; Duquette, E.; Evans, J.R.; Szerlip, N.J.; Jackson, W.C. Stereotactic body radiotherapy for treatment of spinal metastasis: A systematic review of the literature. Neurooncol. Adv. 2024, 6 (Suppl. S3), iii28–iii47. [Google Scholar]
- Chang, U.K.; Cho, W.I.; Lee, D.H.; Kim, M.S.; Cho, C.K.; Lee, S.Y.; Jeon, D.G. Stereotactic radiosurgery for primary and metastatic sarcomas involving the spine. J. Neurooncol. 2012, 107, 551–557. [Google Scholar]
- Chang, U.K.; Lee, D.H.; Kim, M.S. Stereotactic radiosurgery for primary malignant spinal tumors. Neurol. Res. 2014, 36, 597–606. [Google Scholar]
- Gerszten, P.C.; Ozhasoglu, C.; Burton, S.A.; Vogel, W.J.; Atkins, B.A.; Kalnicki, S.; Welch, W.C. CyberKnife frameless single-fraction stereotactic radiosurgery for benign tumors of the spine. Neurosurg. Focus 2003, 14, e16. [Google Scholar]
- Gerszten, P.C.; Ozhasoglu, C.; Burton, S.A.; Welch, W.C.; Vogel, W.J.; Atkins, B.A.; Kalnicki, S. CyberKnife frameless single-fraction stereotactic radiosurgery for tumors of the sacrum. Neurosurg. Focus 2003, 15, E7. [Google Scholar] [PubMed]
- Jiang, B.; Veeravagu, A.; Feroze, A.H.; Lee, M.; Harsh, G.R.; Soltys, S.G.; Gibbs, I.C.; Adler, J.R.; Chang, S.D. CyberKnife radiosurgery for the management of skull base and spinal chondrosarcomas. J. Neurooncol. 2013, 114, 209–218. [Google Scholar] [PubMed]
- Levin, W.P.; Kooy, H.; Loeffler, J.S.; DeLaney, T.F. Proton beam therapy. Br. J. Cancer 2005, 93, 849–854. [Google Scholar] [PubMed]
- Indelicato, D.J.; Rotondo, R.L.; Begosh-Mayne, D.; Scarborough, M.T.; Gibbs, C.P.; Morris, C.G.; Mendenhall, W.M. A Prospective Outcomes Study of Proton Therapy for Chordomas and Chondrosarcomas of the Spine. Int. J. Radiat. Oncol. Biol. Phys. 2016, 95, 297–303. [Google Scholar]
- Holliday, E.B.; Mitra, H.S.; Somerson, J.S.; Rhines, L.D.; Mahajan, A.; Brown, P.D.; Grosshans, D.R. Postoperative proton therapy for chordomas and chondrosarcomas of the spine: Adjuvant versus salvage radiation therapy. Spine 2015, 40, 544–549. [Google Scholar]
- DeLaney, T.F.; Liebsch, N.J.; Pedlow, F.X.; Adams, J.; Dean, S.; Yeap, B.Y.; McManus, P.; Rosenberg, A.E.; Nielsen, G.P.; Harmon, D.C.; et al. Phase II study of high-dose photon/proton radiotherapy in the management of spine sarcomas. Int. J. Radiat. Oncol. Biol. Phys. 2009, 74, 732–739. [Google Scholar]
- Zhou, J.; Yang, B.; Wang, X.; Jing, Z. Comparison of the Effectiveness of Radiotherapy with Photons and Particles for Chordoma After Surgery: A Meta-Analysis. World Neurosurg. 2018, 117, 46–53. [Google Scholar]
- Imai, R.; Kamada, T.; Araki, N. Carbon Ion Radiation Therapy for Unresectable Sacral Chordoma: An Analysis of 188 Cases. Int J. Radiat. Oncol. Biol. Phys. 2016, 95, 322–327. [Google Scholar]
- Matsumoto, K.; Imai, R.; Kamada, T.; Maruyama, K.; Tsuji, H.; Tsujii, H.; Shioyama, Y.; Honda, H.; Isu, K. Impact of carbon ion radiotherapy for primary spinal sarcoma. Cancer 2013, 119, 3496–3503. [Google Scholar]
- Catton, C.; O’Sullivan, B.; Bell, R.; Laperriere, N.; Cummings, B.; Fornasier, V.; Wunder, J. Chordoma: Long-term follow-up after radical photon irradiation. Radiother. Oncol. 1996, 41, 67–72. [Google Scholar]
- Chen, Y.L.; Liebsch, N.; Kobayashi, W.; Goldberg, S.; Kirsch, D.; Calkins, G.; Childs, S.; Schwab, J.; Hornicek, F.; Delaney, T. Definitive high-dose photon/proton radiotherapy for unresected mobile spine and sacral chordomas. Spine 2013, 38, E930–E936. [Google Scholar] [PubMed]
- Igaki, H.; Tokuuye, K.; Okumura, T.; Sugahara, S.; Kagei, K.; Hata, M.; Ohara, K.; Hashimoto, T.; Tsuboi, K.; Takano, S.; et al. Clinical results of proton beam therapy for skull base chordoma. Int. J. Radiat. Oncol. Biol. Phys. 2004, 60, 1120–1126. [Google Scholar] [PubMed]
- Park, L.; Delaney, T.F.; Liebsch, N.J.; Hornicek, F.J.; Goldberg, S.; Mankin, H.; Rosenberg, A.E.; Rosenthal, D.I.; Suit, H.D. Sacral chordomas: Impact of high-dose proton/photon-beam radiation therapy combined with or without surgery for primary versus recurrent tumor. Int. J. Radiat. Oncol. Biol. Phys. 2006, 65, 1514–1521. [Google Scholar] [PubMed]
- Noel, G.; Habrand, J.L.; Mammar, H.; Pontvert, D.; Haie-Meder, C.; Hasboun, D.; Moisson, P.; Ferrand, R.; Beaudre, A.; Boisserie, G.; et al. Combination of photon and proton radiation therapy for chordomas and chondrosarcomas of the skull base: The Centre de Protontherapie D’Orsay experience. Int. J. Radiat. Oncol. Biol. Phys. 2001, 51, 392–398. [Google Scholar]
- Kabolizadeh, P.; Chen, Y.L.; Liebsch, N.; Hornicek, F.J.; Schwab, J.H.; Choy, E.; Rosenthal, D.I.; Niemierko, A.; DeLaney, T.F. Updated Outcome and Analysis of Tumor Response in Mobile Spine and Sacral Chordoma Treated With Definitive High-Dose Photon/Proton Radiation Therapy. Int. J. Radiat. Oncol. Biol. Phys. 2017, 97, 254–262. [Google Scholar]
- Cox, B.W.; Spratt, D.E.; Lovelock, M.; Bilsky, M.H.; Lis, E.; Ryu, S.; Sheehan, J.; Gerszten, P.C.; Chang, E.; Gibbs, I.; et al. International Spine Radiosurgery Consortium consensus guidelines for target volume definition in spinal stereotactic radiosurgery. Int. J. Radiat. Oncol. Biol. Phys. 2012, 83, e597–e605. [Google Scholar]
- Potters, L.; Kavanagh, B.; Galvin, J.M.; Hevezi, J.M.; Janjan, N.A.; Larson, D.A.; Mehta, M.P.; Ryu, S.; Steinberg, M.; Timmerman, R.; et al. American Society for Therapeutic Radiology and Oncology (ASTRO) and American College of Radiology (ACR) practice guideline for the performance of stereotactic body radiation therapy. Int. J. Radiat. Oncol. Biol. Phys. 2010, 76, 326–332. [Google Scholar]
- Redmond, K.J.; Lo, S.S.; Soltys, S.G.; Yamada, Y.; Barani, I.J.; Brown, P.D.; Chang, E.L.; Gerszten, P.C.; Chao, S.T.; Amdur, R.J.; et al. Consensus guidelines for postoperative stereotactic body radiation therapy for spinal metastases: Results of an international survey. J. Neurosurg. Spine 2017, 26, 299–306. [Google Scholar]
- Sahgal, A.; Ma, L.; Weinberg, V.; Gibbs, I.C.; Chao, S.; Chang, U.K.; Werner-Wasik, M.; Angelov, L.; Chang, E.L.; Sohn, M.J.; et al. Reirradiation human spinal cord tolerance for stereotactic body radiotherapy. Int. J. Radiat. Oncol. Biol. Phys. 2012, 82, 107–116. [Google Scholar]
- Sahgal, A.; Weinberg, V.; Ma, L.; Chang, E.; Chao, S.; Muacevic, A.; Gorgulho, A.; Soltys, S.; Gerszten, P.C.; Ryu, S.; et al. Probabilities of radiation myelopathy specific to stereotactic body radiation therapy to guide safe practice. Int. J. Radiat. Oncol. Biol. Phys. 2013, 85, 341–347. [Google Scholar]
- Wong, C.S.; Fehlings, M.G.; Sahgal, A. Pathobiology of radiation myelopathy and strategies to mitigate injury. Spinal Cord. 2015, 53, 574–580. [Google Scholar] [PubMed]
- Sahgal, A.; Bilsky, M.; Chang, E.L.; Ma, L.; Yamada, Y.; Rhines, L.D.; Letourneau, D.; Foote, M.; Yu, E.; Lason, D.A.; et al. Stereotactic body radiotherapy for spinal metastases: Current status, with a focus on its application in the postoperative patient. J. Neurosurg. Spine 2011, 14, 151–166. [Google Scholar] [PubMed]
- Hashmi, A.; Tanaka, H.; Wong, S.; Soliman, H.; Myrehaug, S.D.; Tseng, C.-L.; Lo, S.S.; Larson, D.A.; Sahgal, A.; Ma, L. Spinal Cord Dose Limits for Stereotactic Body Radiotherapy. In Image-guided Hypofractionated Stereotactic Radiosurgery: A Practical Approach to Guide Treatment of Brain and Spine Tumors; Sahgal, A., Lo, S.S., Ma, L., Sheehan, J.P., Eds.; Taylor & Francis Group: Oxfordshire, UK, 2016; pp. 325–331. [Google Scholar]
- Guckenberger, M.; Sweeney, R.A.; Flickinger, J.C.; Gerszten, P.C.; Kersh, R.; Sheehan, J.; Sahgal, A. Clinical practice of image-guided spine radiosurgery—Results from an international research consortium. Radiat. Oncol. 2011, 6, 172. [Google Scholar] [PubMed]
- Giantsoudi, D.; De Man, B.; Verburg, J.; Trofimov, A.; Jin, Y.; Wang, G.; Gjesteby, L.; Paganetti, H. Metal artifacts in computed tomography for radiation therapy planning: Dosimetric effects and impact of metal artifact reduction. Phys. Med. Biol. 2017, 62, R49–R80. [Google Scholar]
- Ryu, S.; Yin, F.F.; Rock, J.; Zhu, J.; Chu, A.; Kagan, E.; Rogers, L.; Ajlouni, M.; Rosenblum, M.; Kim, J.H. Image-guided and intensity-modulated radiosurgery for patients with spinal metastasis. Cancer 2003, 97, 2013–2018. [Google Scholar]
- Gibbs, I.C.; Kamnerdsupaphon, P.; Ryu, M.R.; Dodd, R.; Kiernan, M.; Chang, S.D.; Adler, J.R., Jr. Image-guided robotic radiosurgery for spinal metastases. Radiother. Oncol. 2007, 82, 185–190. [Google Scholar]
- Schneider, U.; Pedroni, E.; Lomax, A. The calibration of CT Hounsfield units for radiotherapy treatment planning. Phys. Med. Biol. 1996, 41, 111–124. [Google Scholar]
- De Man, B.; Nuyts, J.; Dupont, P.; Marchal, G.; Suetens, P. Metal Streak in X-ray Computed Tomography: A Simulation Study. IEEE Trans. Nucl. Sci. 1999, 46, 691–696. [Google Scholar]
- Constantinou, C.; Harrington, J.C.; DeWerd, L.A. An electron density calibration phantom for CT-based treatment planning computers. Med. Phys. 1992, 19, 325–327. [Google Scholar]
- Reft, C.; Alecu, R.; Das, I.J.; Gerbi, B.J.; Keall, P.; Lief, E.; Mijnheer, B.J.; Papanikolaou, N.; Sibata, C.; Van Dyk, J. Dosimetric considerations for patients with HIP prostheses undergoing pelvic irradiation. Report of the AAPM Radiation Therapy Committee Task Group 63. Med. Phys. 2003, 30, 1162–1182. [Google Scholar]
- Wieslander, E.; Knoos, T. Dose perturbation in the presence of metallic implants: Treatment planning system versus Monte Carlo simulations. Phys. Med. Biol. 2003, 48, 3295–3305. [Google Scholar] [CrossRef] [PubMed]
- Jakel, O.; Reiss, P. The influence of metal artefacts on the range of ion beams. Phys. Med. Biol. 2007, 52, 635–644. [Google Scholar] [CrossRef] [PubMed]
- Newhauser, W.D.; Koch, N.C.; Fontenot, J.D.; Rosenthal, S.J.; Gombos, D.S.; Fitzek, M.M.; Mohan, R. Dosimetric impact of tantalum markers used in the treatment of uveal melanoma with proton beam therapy. Phys. Med. Biol. 2007, 52, 3979–3990. [Google Scholar] [CrossRef] [PubMed]
- Huang, J.Y.; Newhauser, W.D.; Zhu, X.R.; Lee, A.K.; Kudchadker, R.J. Investigation of dose perturbations and the radiographic visibility of potential fiducials for proton radiation therapy of the prostate. Phys. Med. Biol. 2011, 56, 5287–5302. [Google Scholar] [CrossRef]
- Jia, Y.; Zhao, L.; Cheng, C.; McDonald, M.W.; Das, I.J. Dose perturbation effect of metallic spinal implants in proton beam therapy. J. Appl. Clin. Med. Phys. 2015, 16, 333–343. [Google Scholar] [CrossRef]
- Shen, Z.L.; Xia, P.; Klahr, P.; Djemil, T. Dosimetric impact of orthopedic metal artifact reduction (O-MAR) on Spine SBRT patients. J. Appl. Clin. Med. Phys. 2015, 16, 106–116. [Google Scholar] [CrossRef]
- Wertz, H.; Jakel, O. Influence of iodine contrast agent on the range of ion beams for radiotherapy. Med. Phys. 2004, 31, 767–773. [Google Scholar] [CrossRef]
- Engelsman, M.; Schwarz, M.; Dong, L. Physics controversies in proton therapy. Semin. Radiat. Oncol. 2013, 23, 88–96. [Google Scholar] [CrossRef]
- Verburg, J.M.; Seco, J. Dosimetric accuracy of proton therapy for chordoma patients with titanium implants. Med. Phys. 2013, 40, 071727. [Google Scholar] [CrossRef]
- Dietlicher, I.; Casiraghi, M.; Ares, C.; Bolsi, A.; Weber, D.C.; Lomax, A.J.; Albertini, F. The effect of surgical titanium rods on proton therapy delivered for cervical bone tumors: Experimental validation using an anthropomorphic phantom. Phys. Med. Biol. 2014, 59, 7181–7194. [Google Scholar] [CrossRef]
- Rosengren, B.; Wulff, L.; Carlsson, E.; Carlsson, J.; Montelius, A.; Russell, K.; Grusell, E. Backscatter radiation at tissue-titanium interfaces. Analyses of biological effects from 60Co and protons. Acta Oncol. 1991, 30, 859–866. [Google Scholar] [CrossRef] [PubMed]
- Newhauser, W.D.; Giebeler, A.; Langen, K.M.; Mirkovic, D.; Mohan, R. Can megavoltage computed tomography reduce proton range uncertainties in treatment plans for patients with large metal implants? Phys Med Biol. 2008, 53, 2327–2344. [Google Scholar] [CrossRef] [PubMed]
- Bamberg, F.; Dierks, A.; Nikolaou, K.; Reiser, M.F.; Becker, C.R.; Johnson, T.R.C. Metal artifact reduction by dual energy computed tomography using monoenergetic extrapolation. Eur. Radiol. 2011, 21, 1424–1429. [Google Scholar] [CrossRef] [PubMed]
- Van Elmpt, W.; Landry, G.; Das, M.; Verhaegen, F. Dual energy CT in radiotherapy: Current applications and future outlook. Radiother. Oncol. 2016, 119, 137–144. [Google Scholar] [CrossRef]
- Sakata, D.; Haga, A.; Kida, S.; Imae, T.; Takenaka, S.; Nakagawa, K. Effective atomic number estimation using kV-MV dual-energy source in LINAC. Phys. Med. 2017, 39, 9–15. [Google Scholar] [CrossRef]
- Boas, F.E.; Fleischmann, D. Evaluation of two iterative techniques for reducing metal artifacts in computed tomography. Radiology 2011, 259, 894–902. [Google Scholar] [CrossRef]
- Li, H.; Noel, C.; Chen, H.; Harold Li, H.; Low, D.; Moore, K.; Klahr, P.; Michalski, J.; Gay, H.A.; Thorstad, W.; et al. Clinical evaluation of a commercial orthopedic metal artifact reduction tool for CT simulations in radiation therapy. Med. Phys. 2012, 39, 7507–7517. [Google Scholar] [CrossRef]
- Andersson, K.M.; Ahnesjö, A.; Dahlgren, C.V. Evaluation of a metal artifact reduction algorithm in CT studies used for proton radiotherapy treatment planning. J. Appl. Clin. Med. Phys. 2014, 15, 4857. [Google Scholar] [CrossRef]
- Mastella, E.; Molinelli, S.; Magro, G.; Mirandola, A.; Russo, S.; Vai, A.; Mairani, A.; Choi, K.; Fiore, M.R.; Fossati, P.; et al. Dosimetric characterization of carbon fiber stabilization devices for post-operative particle therapy. Phys. Med. 2017, 44, 18–25. [Google Scholar] [CrossRef]
- Gutierrez, L.B.; Do, B.H.; Gold, G.E.; Hargreaves, B.A.; Koch, K.M.; Worters, P.W.; Stevens, K.J. MR imaging near metallic implants using MAVRIC SL: Initial clinical experience at 3T. Acad. Radiol. 2015, 22, 370–379. [Google Scholar] [CrossRef]
- Krupa, K.; Bekiesinska-Figatowska, M. Artifacts in magnetic resonance imaging. Pol. J. Radiol. 2015, 80, 93–106. [Google Scholar] [PubMed]
- Redmond, K.J.; Robertson, S.; Lo, S.S.; Soltys, S.G.; Ryu, S.; McNutt, T.; Chao, S.T.; Yamada, Y.; Ghia, A.; Chang, E.L.; et al. Consensus Contouring Guidelines for Postoperative Stereotactic Body Radiation Therapy for Metastatic Solid Tumor Malignancies to the Spine. Int. J. Radiat. Oncol. Biol. Phys. 2017, 97, 64–74. [Google Scholar] [CrossRef] [PubMed]
- Sudha, S.P.; Gopalakrishnan, M.S.; Saravanan, K. The role of CT myelography in sparing the spinal cord during definitive radiotherapy in vertebral hemangioma. J. Appl. Clin. Med. Phys. 2017, 18, 174–177. [Google Scholar] [CrossRef]
- Oh, J.; Visco, Z.R.; Ojukwu, D.I.; Galgano, M.A. Applications of Carbon Fiber Instrumentation in Spinal Oncology: Recent Innovations in Spinal Instrumentation and 2-Dimensional Illustrative Operative Video. Oper. Neurosurg. 2023, 24, 182–193. [Google Scholar] [CrossRef]
- Morelli, C.; Barbanti-Brodano, G.; Ciannilli, A.; Campioni, K.; Boriani, S.; Tognon, M. Cell morphology, markers, spreading, and proliferation on orthopaedic biomaterials. An innovative cellular model for the “in vitro” study. J. Biomed. Mater. Res. A 2007, 83, 178–183. [Google Scholar] [CrossRef]
- Boriani, S.; Tedesco, G.; Ming, L.; Ghermandi, R.; Amichetti, M.; Fossati, P.; Krengli, M.; Mavilla, L.; Gasbarrini, A. Carbon-fiber-reinforced PEEK fixation system in the treatment of spine tumors: A preliminary report. Eur. Spine J. 2018, 27, 874–881. [Google Scholar] [CrossRef]
- Yeung, C.M.; Bhashyam, A.R.; Patel, S.S.; Ortiz-Cruz, E.; Lozano-Calderon, S.A. Carbon Fiber Implants in Orthopaedic Oncology. J. Clin. Med. 2022, 11, 4959. [Google Scholar] [CrossRef]
- Laux, C.J.; Hodel, S.M.; Farshad, M.; Muller, D.A. Carbon fibre/polyether ether ketone (CF/PEEK) implants in orthopaedic oncology. World J. Surg. Oncol. 2018, 16, 241. [Google Scholar] [CrossRef]
- Oikonomidis, S.; Greven, J.; Bredow, J.; Eh, M.; Prescher, A.; Fischer, H.; Thuring, J.; Eysel, P.; Hildebrand, F.; Kobbe, P.; et al. Biomechanical effects of posterior pedicle screw-based instrumentation using titanium versus carbon fiber reinforced PEEK in an osteoporotic spine human cadaver model. Clin. Biomech. 2020, 80, 105153. [Google Scholar] [CrossRef]
- Uri, O.; Folman, Y.; Laufer, G.; Behrbalk, E. A Novel Spine Fixation System Made Entirely of Carbon-Fiber-Reinforced PEEK Composite: An In Vitro Mechanical Evaluation. Adv. Orthop. 2020, 2020, 4796136. [Google Scholar] [CrossRef]
- Lindtner, R.A.; Schmid, R.; Nydegger, T.; Konschake, M.; Schmoelz, W. Pedicle screw anchorage of carbon fiber-reinforced PEEK screws under cyclic loading. Eur. Spine J. 2018, 27, 1775–1784. [Google Scholar] [CrossRef] [PubMed]
- De Almeida, R.A.A.; Ghia, A.J.; Amini, B.; Wang, C.; Alvarez-Breckenridge, C.A.; Li, J.; Rhines, L.D.; Tom, M.C.; North, R.Y.; Beckham, T.H.; et al. Quantification of MRI Artifacts in Carbon Fiber Reinforced Polyetheretherketone Thoracolumbar Pedicle Screw Constructs prior to Spinal Stereotactic Radiosurgery. Pr. Pract. Radiat. Oncol. 2024, 14, 103–111. [Google Scholar] [CrossRef] [PubMed]
- Kalasauskas, D.; Serrano, L.; Selbach, M.; Stockinger, M.; Keric, N.; Brockmann, M.A.; Ringel, F. Qualitative Assessment of Titanium versus Carbon Fiber/Polyetheretherketone Pedicle Screw-Related Artifacts: A Cadaveric Study. World Neurosurg. 2022, 166, e155–e162. [Google Scholar] [CrossRef]
- Fleege, C.; Makowski, M.; Rauschmann, M.; Fraunhoffer, K.L.; Fennema, P.; Arabmotlagh, M.; Rickert, M. Carbon fiber-reinforced pedicle screws reduce artifacts in magnetic resonance imaging of patients with lumbar spondylodesis. Sci. Rep. 2020, 10, 16094. [Google Scholar] [CrossRef]
- Alvarez-Breckenridge, C.; de Almeida, R.; Haider, A.; Muir, M.; Bird, J.; North, R.; Rhines, L.; Tatsui, C. Carbon Fiber-Reinforced Polyetheretherketone Spinal Implants for Treatment of Spinal Tumors: Perceived Advantages and Limitations. Neurospine 2023, 20, 317–326. [Google Scholar] [CrossRef]
- Ward, J.; Damante, M.; Wilson, S.; Elguindy, A.N.; Franceschelli, D.; Coelho, V.P.M.J.; Cua, S.; Kreatsoulas, D.; Zoller, W.; Beyer, S.; et al. Use of Magnetic Resonance Imaging for Postoperative Radiation Therapy Planning in Patients with Carbon Fiber-Reinforced Polyetheretherketone Instrumentation. Pract. Radiat. Oncol. 2024. online ahead of print. [Google Scholar] [CrossRef]
- Nevelsky, A.; Borzov, E.; Daniel, S.; Bar-Deroma, R. Perturbation effects of the carbon fiber-PEEK screws on radiotherapy dose distribution. J. Appl. Clin. Med. Phys. 2017, 18, 62–68. [Google Scholar] [CrossRef]
- Poel, R.; Belosi, F.; Albertini, F.; Walser, M.; Gisep, A.; Lomax, A.J.; Weber, D.C. Assessing the advantages of CFR-PEEK over titanium spinal stabilization implants in proton therapy-a phantom study. Phys. Med. Biol. 2020, 65, 245031. [Google Scholar] [CrossRef]
- Shi, C.; Lin, H.; Huang, S.; Xiong, W.; Hu, L.; Choi, I.; Press, R.; Hasan, S.; Simone, C.; Chhabra, A. Comprehensive Evaluation of Carbon-Fiber-Reinforced Polyetheretherketone (CFR-PEEK) Spinal Hardware for Proton and Photon Planning. Technol. Cancer Res. Treat. 2022, 21, 15330338221091700. [Google Scholar] [CrossRef]
- Warburton, A.; Girdler, S.J.; Mikhail, C.M.; Ahn, A.; Cho, S.K. Biomaterials in Spinal Implants: A Review. Neurospine 2020, 17, 101–110. [Google Scholar] [CrossRef]
- Kersten, R.; Wu, G.; Pouran, B.; van der Veen, A.J.; Weinans, H.H.; de Gast, A.; Oner, F.C.; van Gaalen, S.M. Comparison of polyetheretherketone versus silicon nitride intervertebral spinal spacers in a caprine model. J. Biomed. Mater. Res. B Appl. Biomater. 2019, 107, 688–699. [Google Scholar] [CrossRef] [PubMed]
- Gerber, C.J.; Basu, A.; Vijayan, S.P. Bioengineering of Spinal Implants. In Handbook of Orthopaedic Trauma Implantology; Shanmugasundaram, S., Biberthaler, P., Banerjee, A., Eds.; Springer: Berlin/Heidelberg, Germany, 2023; pp. 1895–1914. [Google Scholar]
- Smith, A.J.; Arginteanu, M.; Moore, F.; Steinberger, A.; Camins, M. Increased incidence of cage migration and nonunion in instrumented transforaminal lumbar interbody fusion with bioabsorbable cages. J. Neurosurg. Spine 2010, 13, 388–393. [Google Scholar] [CrossRef] [PubMed]
- Jiya, T.; Smit, T.; Deddens, J.; Mullender, M. Posterior lumbar interbody fusion using nonresorbable poly-ether-ether-ketone versus resorbable poly-L-lactide-co-D,L-lactide fusion devices: A prospective, randomized study to assess fusion and clinical outcome. Spine 2009, 34, 233–237. [Google Scholar] [CrossRef] [PubMed]
- Frost, A.; Bagouri, E.; Brown, M.; Jasani, V. Osteolysis following resorbable poly-L-lactide-co-D, L-lactide PLIF cage use: A review of cases. Eur. Spine J. 2012, 21, 449–454. [Google Scholar] [CrossRef] [PubMed]
- Grant, C.A.; Izatt, M.T.; Labrom, R.D.; Askin, G.N.; Glatt, V. Use of 3D Printing in Complex Spinal Surgery: Historical Perspectives, Current Usage, and Future Directions. Tech. Orthop. 2016, 31, 172–180. [Google Scholar] [CrossRef]
- Cho, W.; Job, A.V.; Chen, J.; Baek, J.H. A Review of Current Clinical Applications of Three-Dimensional Printing in Spine Surgery. Asian Spine J. 2018, 12, 171–177. [Google Scholar] [CrossRef]
- Cheng, B.C.; Jaffee, S.; Averick, S.; Swink, I.; Horvath, S.; Zhukauskas, R. A comparative study of three biomaterials in an ovine bone defect model. Spine J. 2020, 20, 457–464. [Google Scholar] [CrossRef]
- Amankulor, N.M.; Xu, R.; Iorgulescu, J.B.; Chapman, T.; Reiner, A.S.; Riedel, E.; Lis, E.; Yamada, Y.; Bilsky, M.; Laufer, I. The incidence and patterns of hardware failure after separation surgery in patients with spinal metastatic tumors. Spine J. 2014, 14, 1850–1859. [Google Scholar] [CrossRef]
- Pedreira, R.; Abu-Bonsrah, N.; Karim Ahmed, A.; De la Garza-Ramos, R.; Rory Goodwin, C.; Gokaslan, Z.L.; Sacks, J.; Sciubba, D.M. Hardware failure in patients with metastatic cancer to the spine. J. Clin. Neurosci. 2017, 45, 166–171. [Google Scholar] [CrossRef]
- Khan, H.A.; Ber, R.; Neifert, S.N.; Kurland, D.B.; Laufer, I.; Kondziolka, D.; Chhabra, A.; Frempong-Boadu, A.K.; Lau, D. Carbon fiber-reinforced PEEK spinal implants for primary and metastatic spine tumors: A systematic review on implant complications and radiotherapy benefits. J. Neurosurg. Spine 2023, 39, 534–547. [Google Scholar] [CrossRef]
- Cofano, F.; Di Perna, G.; Monticelli, M.; Marengo, N.; Ajello, M.; Mammi, M.; Vercelli, G.; Petrone, S.; Tartara, F.; Zenga, F.; et al. Carbon fiber reinforced vs. titanium implants for fixation in spinal metastases: A comparative clinical study about safety and effectiveness of the new “carbon-strategy”. J. Clin. Neurosci. 2020, 75, 106–111. [Google Scholar] [CrossRef] [PubMed]



Disclaimer/Publisher’s Note: The statements, opinions and data contained in all publications are solely those of the individual author(s) and contributor(s) and not of MDPI and/or the editor(s). MDPI and/or the editor(s) disclaim responsibility for any injury to people or property resulting from any ideas, methods, instructions or products referred to in the content. |
© 2025 by the authors. Licensee MDPI, Basel, Switzerland. This article is an open access article distributed under the terms and conditions of the Creative Commons Attribution (CC BY) license (https://creativecommons.org/licenses/by/4.0/).
Share and Cite
Lam, F.C.; Guru, S.; AbuReesh, D.; Hori, Y.S.; Chuang, C.; Liu, L.; Wang, L.; Gu, X.; Szalkowski, G.A.; Wang, Z.; et al. Use of Carbon Fiber Implants to Improve the Safety and Efficacy of Radiation Therapy for Spine Tumor Patients. Brain Sci. 2025, 15, 199. https://doi.org/10.3390/brainsci15020199
Lam FC, Guru S, AbuReesh D, Hori YS, Chuang C, Liu L, Wang L, Gu X, Szalkowski GA, Wang Z, et al. Use of Carbon Fiber Implants to Improve the Safety and Efficacy of Radiation Therapy for Spine Tumor Patients. Brain Sciences. 2025; 15(2):199. https://doi.org/10.3390/brainsci15020199
Chicago/Turabian StyleLam, Fred C., Santosh Guru, Deyaldeen AbuReesh, Yusuke S. Hori, Cynthia Chuang, Lianli Liu, Lei Wang, Xuejun Gu, Gregory A. Szalkowski, Ziyi Wang, and et al. 2025. "Use of Carbon Fiber Implants to Improve the Safety and Efficacy of Radiation Therapy for Spine Tumor Patients" Brain Sciences 15, no. 2: 199. https://doi.org/10.3390/brainsci15020199
APA StyleLam, F. C., Guru, S., AbuReesh, D., Hori, Y. S., Chuang, C., Liu, L., Wang, L., Gu, X., Szalkowski, G. A., Wang, Z., Wohlers, C., Tayag, A., Emrich, S. C., Ustrzynski, L., Zygourakis, C. C., Desai, A., Hayden Gephart, M., Byun, J., Pollom, E. L., ... Chang, S. D. (2025). Use of Carbon Fiber Implants to Improve the Safety and Efficacy of Radiation Therapy for Spine Tumor Patients. Brain Sciences, 15(2), 199. https://doi.org/10.3390/brainsci15020199

