Predictive Value of Hyperintense Acute Reperfusion Marker in Transient Ischemic Attacks: Stroke Recurrence and TOAST Classification
Abstract
1. Introduction
2. Materials and Methods
2.1. Ethical Approval and Study Design
2.2. Study Population and Patient Selection
2.3. Clinical Assessment
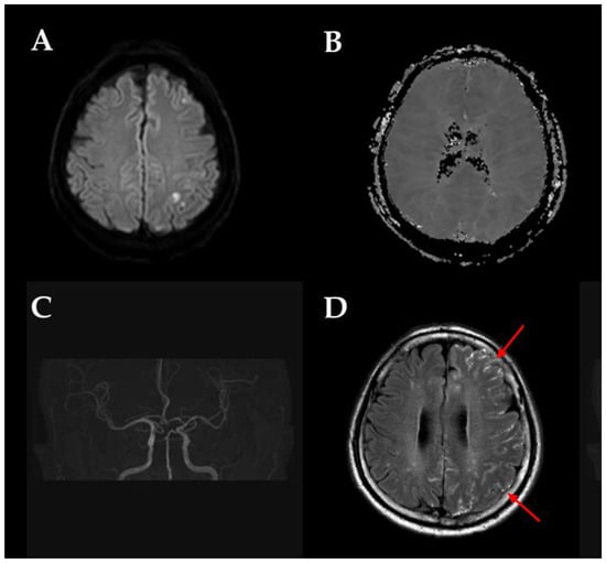
2.4. MRI Acquisition
2.5. Image Analysis
2.6. Statistical Analysis
3. Results
3.1. Patient Demographics
3.2. Stroke Recurrence Rates and Imaging Markers
3.3. Multivariable Logistic Regression Analysis of Stroke Recurrence Prediction by Imaging Findings
3.4. Model Performance in Predicting Stroke Recurrence at 7 Days, 3 Months, and 1 Year
3.5. Correlation of HARM Sign with TOAST Subtypes
4. Discussion
5. Limitations
6. Conclusions
Author Contributions
Funding
Institutional Review Board Statement
Informed Consent Statement
Data Availability Statement
Acknowledgments
Conflicts of Interest
Abbreviations
| ABCD2 | age, initial blood pressure, clinical presentation, symptom duration, and diabetes status |
| AUC | area under the curve |
| BBB | blood–brain barrier |
| CE | cardioembolism/cardioembolic |
| CI | confidence interval |
| DWI | diffusion-weighted imaging |
| ESUS | embolic stroke of undetermined source |
| FLAIR | fluid-attenuated inversion recovery |
| GRE | gradient echo imaging |
| HARM | hyperintense acute reperfusion marker |
| IV | intravenous |
| LAA | large artery atherosclerosis |
| MRI | magnetic resonance imaging |
| OR | odds ratio |
| PWI | perfusion-weighted imaging |
| ROC | receiver operating characteristic |
| SVO | small-vessel occlusion |
| TIA | transient ischemic attack |
| TOAST | Trial of ORG 10172 in Acute Stroke Treatment |
| UDN | Undetermined-negative |
| UD2 | Stroke of Undetermined Etiology with Two or More Causes |
References
- Krishnamurthi, R.V.; Moran, A.E.; Feigin, V.L.; Barker-Collo, S.; Norrving, B.; Mensah, G.A.; Taylor, S.; Naghavi, M.; Forouzanfar, M.H.; Nguyen, G.; et al. Stroke Prevalence, Mortality and Disability-Adjusted Life Years in Adults Aged 20–64 Years in 1990–2013: Data from the Global Burden of Disease 2013 Study. Neuroepidemiology 2015, 45, 190–202. [Google Scholar] [CrossRef]
- Cheng, Y.; Lin, Y.; Shi, H.; Cheng, M.; Zhang, B.; Liu, X.; Shi, C.; Wang, Y.; Xia, C.; Xie, W. Projections of the Stroke Burden at the Global, Regional, and National Levels up to 2050 Based on the Global Burden of Disease Study 2021. J. Am. Heart Assoc. 2024, 13, e036142. [Google Scholar] [CrossRef]
- Vollset, S.E.; Goren, E.; Yuan, C.W.; Cao, J.; Smith, A.E.; Hsiao, T.; Bisignano, C.; Azhar, G.S.; Castro, E.; Chalek, J.; et al. Fertility, mortality, migration, and population scenarios for 195 countries and territories from 2017 to 2100: A forecasting analysis for the Global Burden of Disease Study. Lancet 2020, 396, 1285–1306. [Google Scholar] [CrossRef]
- Kuriakose, D.; Xiao, Z. Pathophysiology and Treatment of Stroke: Present Status and Future Perspectives. Int. J. Mol. Sci. 2020, 21, 7609. [Google Scholar] [CrossRef] [PubMed]
- Lioutas, V.A.; Ivan, C.S.; Himali, J.J.; Aparicio, H.J.; Leveille, T.; Romero, J.R.; Beiser, A.S.; Seshadri, S. Incidence of Transient Ischemic Attack and Association with Long-term Risk of Stroke. JAMA 2021, 325, 373–381. [Google Scholar] [CrossRef] [PubMed]
- Ois, A.; Gomis, M.; Rodríguez-Campello, A.; Cuadrado-Godia, E.; Jiménez-Conde, J.; Pont-Sunyer, C.; Cuccurella, G.; Roquer, J. Factors associated with a high risk of recurrence in patients with transient ischemic attack or minor stroke. Stroke 2008, 39, 1717–1721. [Google Scholar] [CrossRef] [PubMed]
- Li, J.; Lin, J.; Pan, Y.; Wang, M.; Meng, X.; Li, H.; Wang, Y.; Zhao, X.; Qin, H.; Liu, L.; et al. Interleukin-6 and YKL-40 predicted recurrent stroke after ischemic stroke or TIA: Analysis of 6 inflammation biomarkers in a prospective cohort study. J. Neuroinflammation 2022, 19, 131. [Google Scholar] [CrossRef]
- Rothwell, P.M.; Giles, M.F.; Flossmann, E.; Lovelock, C.E.; Redgrave, J.N.; Warlow, C.P.; Mehta, Z. A simple score (ABCD) to identify individuals at high early risk of stroke after transient ischaemic attack. Lancet 2005, 366, 29–36. [Google Scholar] [CrossRef]
- Ildstad, F.; Ellekjær, H.; Wethal, T.; Lydersen, S.; Sund, J.K.; Fjærtoft, H.; Schüler, S.; Horn, J.W.; Bråthen, G.; Midtsæther, A.G.; et al. Stroke risk after transient ischemic attack in a Norwegian prospective cohort. BMC Neurol. 2019, 19, 2. [Google Scholar] [CrossRef] [PubMed]
- Moreau, F.; Modi, J.; Almekhlafi, M.; Bal, S.; Goyal, M.; Hill, M.D.; Coutts, S.B. Early magnetic resonance imaging in transient ischemic attack and minor stroke: Do it or lose it. Stroke 2013, 44, 671–674. [Google Scholar] [CrossRef]
- Calvet, D.; Touzé, E.; Oppenheim, C.; Turc, G.; Meder, J.F.; Mas, J.L. DWI lesions and TIA etiology improve the prediction of stroke after TIA. Stroke 2009, 40, 187–192. [Google Scholar] [CrossRef] [PubMed]
- Gon, Y.; Sakaguchi, M.; Okazaki, S.; Mochizuki, H.; Kitagawa, K. Prevalence of positive diffusion-weighted imaging findings and ischemic stroke recurrence in transient ischemic attack. J. Stroke Cerebrovasc. Dis. 2015, 24, 1000–1007. [Google Scholar] [CrossRef] [PubMed]
- Boulanger, J.M.; Coutts, S.B.; Eliasziw, M.; Subramaniam, S.; Scott, J.; Demchuk, A.M. Diffusion-weighted imaging-negative patients with transient ischemic attack are at risk of recurrent transient events. Stroke 2007, 38, 2367–2369. [Google Scholar] [CrossRef] [PubMed][Green Version]
- Moores, M.; Joundi, R.A.; Singh, N.; Penn, A.M.; Votova, K.; Smith, E.E.; Coutts, S.B. Magnetic Resonance Imaging Assists with Determining Etiology After Transient Ischemic Attack or Minor Stroke. J. Am. Heart Assoc. 2024, 13, e033817. [Google Scholar] [CrossRef]
- Edlow, B.L.; Hurwitz, S.; Edlow, J.A. Diagnosis of DWI-negative acute ischemic stroke: A meta-analysis. Neurology 2017, 89, 256–262. [Google Scholar] [CrossRef]
- Gorey, S.; McCabe, J.J.; Kelly, P.J. Inflammation—The new treatment target for ischaemic stroke prevention. Front. Stroke 2023, 2, 1241506. [Google Scholar] [CrossRef]
- Sasannia, S.; Leigh, R.; Bastani, P.B.; Shin, H.-G.; van Zijl, P.; Knutsson, L.; Nyquist, P. Blood-brain barrier breakdown in brain ischemia: Insights from MRI perfusion imaging. Neurotherapeutics 2025, 22, e00516. [Google Scholar] [CrossRef]
- Kim, B.J.; Kang, H.G.; Kim, H.J.; Ahn, S.H.; Kim, N.Y.; Warach, S.; Kang, D.W. Magnetic resonance imaging in acute ischemic stroke treatment. J. Stroke 2014, 16, 131–145. [Google Scholar] [CrossRef]
- Köhrmann, M.; Struffert, T.; Frenzel, T.; Schwab, S.; Doerfler, A. The hyperintense acute reperfusion marker on fluid-attenuated inversion recovery magnetic resonance imaging is caused by gadolinium in the cerebrospinal fluid. Stroke 2012, 43, 259–261. [Google Scholar] [CrossRef] [PubMed]
- Kidwell, C.S.; Burgess, R.; Menon, R.; Warach, S.; Latour, L.L. Hyperacute injury marker (HARM) in primary hemorrhage: A distinct form of CNS barrier disruption. Neurology 2011, 77, 1725–1728. [Google Scholar] [CrossRef]
- Absinta, M.; Vuolo, L.; Rao, A.; Nair, G.; Sati, P.; Cortese, I.C.; Ohayon, J.; Fenton, K.; Reyes-Mantilla, M.I.; Maric, D.; et al. Gadolinium-based MRI characterization of leptomeningeal inflammation in multiple sclerosis. Neurology 2015, 85, 18–28. [Google Scholar] [CrossRef] [PubMed]
- Förster, A.; Wenz, H.; Böhme, J.; Al-Zghloul, M.; Groden, C. Hyperintense Acute Reperfusion Marker on FLAIR in Posterior Circulation Infarction. PLoS ONE 2016, 11, e0157738. [Google Scholar] [CrossRef] [PubMed]
- Förster, A.; Wenz, H.; Groden, C. Hyperintense Acute Reperfusion Marker on FLAIR in a Patient with Transient Ischemic Attack. Case Rep. Radiol. 2016, 2016, 9829823. [Google Scholar] [CrossRef]
- Liu, C.; Shi, F.; Chen, Z.; Yan, S.; Ding, X.; Lou, M. Severe Blood-Brain Barrier Disruption in Cardioembolic Stroke. Front. Neurol. 2018, 9, 55. [Google Scholar] [CrossRef]
- Kidwell, C.S.; Alger, J.R.; Di Salle, F.; Starkman, S.; Villablanca, P.; Bentson, J.; Saver, J.L. Diffusion MRI in patients with transient ischemic attacks. Stroke 1999, 30, 1174–1180. [Google Scholar] [CrossRef] [PubMed]
- Choi, H.Y.; Lee, K.M.; Kim, H.G.; Kim, E.J.; Choi, W.S.; Kim, B.J.; Heo, S.H.; Chang, D.I. Role of Hyperintense Acute Reperfusion Marker for Classifying the Stroke Etiology. Front. Neurol. 2017, 8, 630. [Google Scholar] [CrossRef] [PubMed]
- Lee, J.Y.; Lee, K.M.; Kim, H.-G.; Woo, H.-G.; Lee, J.S.; Kim, E.J. The Clinical Significance of the Hyperintense Acute Reperfusion Marker Sign in Subacute Infarction Patients. Diagnostics 2021, 11, 2161. [Google Scholar] [CrossRef] [PubMed]
- Xu, X.Q.; Wu, C.J.; Zu, Q.Q.; Lu, S.S.; Liu, X.L.; Gao, Q.Q.; Liu, S.; Shi, H.B. Temporal evolution of the signal intensity of hyper-acute ischemic lesions in a canine stroke model: Influence of hyperintense acute reperfusion marker. Jpn. J. Radiol. 2017, 35, 161–167. [Google Scholar] [CrossRef]
- Ay, H.; Furie, K.L.; Singhal, A.; Smith, W.S.; Sorensen, A.G.; Koroshetz, W.J. An evidence-based causative classification system for acute ischemic stroke. Ann. Neurol. 2005, 58, 688–697. [Google Scholar] [CrossRef] [PubMed]
- Purroy, F.; Begué, R.; Quílez, A.; Piñol-Ripoll, G.; Sanahuja, J.; Brieva, L.; Setó, E.; Gil, M.I. The California, ABCD, and unified ABCD2 risk scores and the presence of acute ischemic lesions on diffusion-weighted imaging in TIA patients. Stroke 2009, 40, 2229–2232. [Google Scholar] [CrossRef]
- Ay, H.; Buonanno, F.S.; Rordorf, G.; Schaefer, P.W.; Schwamm, L.H.; Wu, O.; Gonzalez, R.G.; Yamada, K.; Sorensen, G.A.; Koroshetz, W.J. Normal diffusion-weighted MRI during stroke-like deficits. Neurology 1999, 52, 1784–1792. [Google Scholar] [CrossRef] [PubMed]
- Giles, M.F.; Rothwell, P.M. Risk of stroke early after transient ischaemic attack: A systematic review and meta-analysis. Lancet Neurol. 2007, 6, 1063–1072. [Google Scholar] [CrossRef] [PubMed]
- Lee, S.H.; Nah, H.W.; Kim, B.J.; Ahn, S.H.; Kim, J.S.; Kang, D.W.; Kwon, S.U. Role of Perfusion-Weighted Imaging in a Diffusion-Weighted-Imaging-Negative Transient Ischemic Attack. J. Clin. Neurol. 2017, 13, 129–137. [Google Scholar] [CrossRef] [PubMed]
- Amarenco, P.; Lavallée, P.C.; Labreuche, J.; Albers, G.W.; Bornstein, N.M.; Canhão, P.; Caplan, L.R.; Donnan, G.A.; Ferro, J.M.; Hennerici, M.G.; et al. One-Year Risk of Stroke after Transient Ischemic Attack or Minor Stroke. New Engl. J. Med. 2016, 374, 1533–1542. [Google Scholar] [CrossRef] [PubMed]
- Wu, C.M.; McLaughlin, K.; Lorenzetti, D.L.; Hill, M.D.; Manns, B.J.; Ghali, W.A. Early risk of stroke after transient ischemic attack: A systematic review and meta-analysis. Arch. Intern. Med. 2007, 167, 2417–2422. [Google Scholar] [CrossRef] [PubMed]
- Arboix, A.; Alio, J. Acute cardioembolic cerebral infarction: Answers to clinical questions. Curr. Cardiol. Rev. 2012, 8, 54–67. [Google Scholar] [CrossRef]
- Huang, Z.G.; Xue, D.; Preston, E.; Karbalai, H.; Buchan, A.M. Biphasic opening of the blood-brain barrier following transient focal ischemia: Effects of hypothermia. Can. J. Neurol. Sci. 1999, 26, 298–304. [Google Scholar] [CrossRef]


| Characteristics | Total (n = 715) | HARM-Positive (n = 43) | HARM-Negative (n =672) | p-Value |
|---|---|---|---|---|
| Age | 63.31 ± 13.260 | 66.95 ± 12.436 | 63.08 ± 13.286 | 0.057 |
| Male | 413 (57.8%) | 28 (65.1%) | 385 (57.3%) | 0.396 |
| Risk factor | ||||
| Hypertension | 461 (64.5%) | 22 (51.2%) | 439 (65.3%) | 0.086 |
| Diabetes mellitus | 153 (21.4%) | 8 (18.6%) | 145 (21.6%) | 0.788 |
| Dyslipidemia | 235 (32.9%) | 11 (25.6%) | 224 (33.3%) | 0.378 |
| Atrial fibrillation | 74 (10.3%) | 6 (14.0%) | 68 (10.1%) | 0.587 |
| Smoking | 278 (38.9%) | 18 (41.9%) | 260 (38.7%) | 0.801 |
| History of stroke | 137 (19.2%) | 9 (20.9%) | 128 (19.0%) | 0.916 |
| Prior TIA before index TIA | 85 (11.9%) | 4 (9.3%) | 81 (12.1%) | 0.766 |
| Laboratory finding | ||||
| SBP, initial | 149.88 ± 25.086 | 154.84 ± 28.175 | 149.56 ± 24.865 | 0.318 |
| DBP, initial | 82.74 ± 14.846 | 85.16 ± 13.445 | 82.59 ± 14.927 | 0.324 |
| Total cholesterol | 171.49 ± 39.029 | 178.19 ± 38.777 | 171.06 ± 39.035 | 0.246 |
| Cardioembolic source | ||||
| High-risk | 94 (13.1%) | 11 (25.6%) | 83 (12.4%) | 0.013 * |
| Medium/low-risk | 55 (7.7%) | 13 (30.2%) | 42 (6.3%) | <0.001 * |
| ABCD2 score | 2.74 ± 1.77 | 2.58 ± 1.88 | 2.75 ± 1.77 | 0.456 |
| Variable | Positive | Negative | OR | p-Value |
|---|---|---|---|---|
| HARM sign | ||||
| At 7 days | 3 (7.0%) | 13 (1.9%) | 3.802 (1.041–13.885) | 0.03 |
| At 3 months | 9 (20.9%) | 32 (4.8%) | 5.294 (2.341–11.972) | <0.001 |
| At 1 year | 13 (30.2%) | 47 (7.0%) | 5.762 (2.819–11.781) | <0.001 |
| DWI | ||||
| At 7 days | 15 (5.4%) | 1 (0.2%) | 24.566 (3.226–187.048) | <0.001 |
| At 3 months | 28 (10%) | 13 (3.0%) | 3.607 (1.835–7.091) | <0.001 |
| At 1 year | 35 (12.5%) | 25 (5.7%) | 2.343 (1.369–4.009) | 0.001 |
| Arterial stenosis | ||||
| At 7 days | 12 (4.4%) | 4 (0.9%) | 5.065 (1.617–15.869) | 0.002 |
| At 3 months | 24 (8.8%) | 17 (3.8%) | 2.425 (1.278–4.602) | 0.005 |
| At 1 year | 34 (12.5%) | 26 (5.9%) | 2.291 (1.342–3.912) | 0.002 |
| Perfusion abnormality | ||||
| At 7 days | 6 (18.8%) | 10 (1.5%) | 15.530 (4.252–51.061) | <0.001 |
| At 3 months | 6 (18.8%) | 35 (5.1%) | 4.273 (1.651–11.054) | 0.001 |
| At 1 year | 7 (21.9%) | 53 (7.8%) | 3.328 (1.375–8.054) | 0.005 |
| Stroke Recurrence Period | OR | p-Value |
|---|---|---|
| 7 day | ||
| HARM | −0.070 (−1.842–1.702) | 0.938 |
| DWI | 2.684 (0.587–4.781) | 0.012 |
| Stenosis | 1.218 (−0.042–2.478) | 0.058 |
| Perfusion | 2.127 (0.724–3.530) | 0.003 |
| 3 month | ||
| HARM | 1.460 (0.460–2.460) | 0.004 |
| DWI | 1.232 (0.498–1.966) | 0.001 |
| Stenosis | 0.845 (0.145–1.545) | 0.018 |
| Perfusion | 0.482 (−0.666–1.629) | 0.411 |
| 1 year | ||
| HARM | 1.769 (0.923–2.616) | <0.001 |
| DWI | 0.698 (0.108–1.288) | 0.020 |
| Stenosis | 0.868 (0.287–1.448) | 0.003 |
| Perfusion | 0.081 (−0.975–1.137) | 0.880 |
| HARM | TOAST Classification | ||||||
|---|---|---|---|---|---|---|---|
| 1 | 2 | 3 | 4 | 5 | 6 | Total | |
| Negative | 159 | 68 | 87 | 16 | 1 | 341 | 672 |
| Positive | 9 | 2 | 20 | 3 | 0 | 9 | 43 |
| Total | 168 | 70 | 107 | 19 | 1 | 350 | 715 |
| Odds ratio | 0.1676 | 1.3681 | 35.7796 | 3.299 | 0.0641 | 14.3753 | 42.4022 |
| p-value | 0.682 | 0.242 | <0.001 * | 0.069 | 0.800 | <0.001 * | <0.001 * |
| Logistic Regression | ||||
|---|---|---|---|---|
| p-Value | Odds Ratio | CI | ||
| HARM | <0.001 * | 4.975 | 2.427 | 10.195 |
| DWI | <0.001 * | 3.133 | 2.004 | 4.898 |
| Stenosis | 0.012 * | 0.539 | 0.334 | 0.872 |
| Perfusion | 0.505 | 1.371 | 0.542 | 3.466 |
| Logistic Regression | ||||
|---|---|---|---|---|
| p-Value | Odds Ratio | CI | ||
| HARM | <0.001 * | 0.176 | 0.073 | 0.421 |
| DWI | <0.001 * | 0.014 | 0.095 | 0.205 |
| Stenosis | <0.001 * | 0.030 | 0.104 | 0.226 |
| Perfusion | 0.122 | 0.346 | 0.091 | 1.326 |
Disclaimer/Publisher’s Note: The statements, opinions and data contained in all publications are solely those of the individual author(s) and contributor(s) and not of MDPI and/or the editor(s). MDPI and/or the editor(s) disclaim responsibility for any injury to people or property resulting from any ideas, methods, instructions or products referred to in the content. |
© 2025 by the authors. Licensee MDPI, Basel, Switzerland. This article is an open access article distributed under the terms and conditions of the Creative Commons Attribution (CC BY) license (https://creativecommons.org/licenses/by/4.0/).
Share and Cite
Han, S.-H.; Yum, K.-S. Predictive Value of Hyperintense Acute Reperfusion Marker in Transient Ischemic Attacks: Stroke Recurrence and TOAST Classification. Brain Sci. 2025, 15, 170. https://doi.org/10.3390/brainsci15020170
Han S-H, Yum K-S. Predictive Value of Hyperintense Acute Reperfusion Marker in Transient Ischemic Attacks: Stroke Recurrence and TOAST Classification. Brain Sciences. 2025; 15(2):170. https://doi.org/10.3390/brainsci15020170
Chicago/Turabian StyleHan, Sang-Hoon, and Kyu-Sun Yum. 2025. "Predictive Value of Hyperintense Acute Reperfusion Marker in Transient Ischemic Attacks: Stroke Recurrence and TOAST Classification" Brain Sciences 15, no. 2: 170. https://doi.org/10.3390/brainsci15020170
APA StyleHan, S.-H., & Yum, K.-S. (2025). Predictive Value of Hyperintense Acute Reperfusion Marker in Transient Ischemic Attacks: Stroke Recurrence and TOAST Classification. Brain Sciences, 15(2), 170. https://doi.org/10.3390/brainsci15020170

