High Accuracy of Three-Dimensional Navigated Kirschner-Wire-Less Single-Step Pedicle Screw System (SSPSS) in Lumbar Fusions: Comparison of Intraoperatively Planned versus Final Screw Position
Abstract
1. Introduction
2. Materials and Methods
2.1. Patient Information
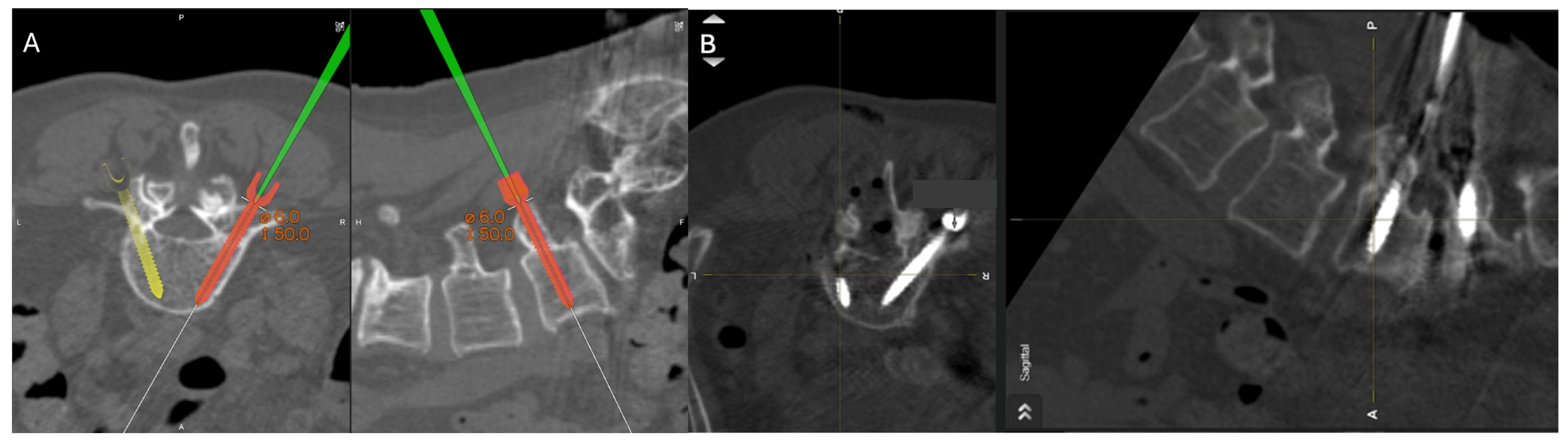
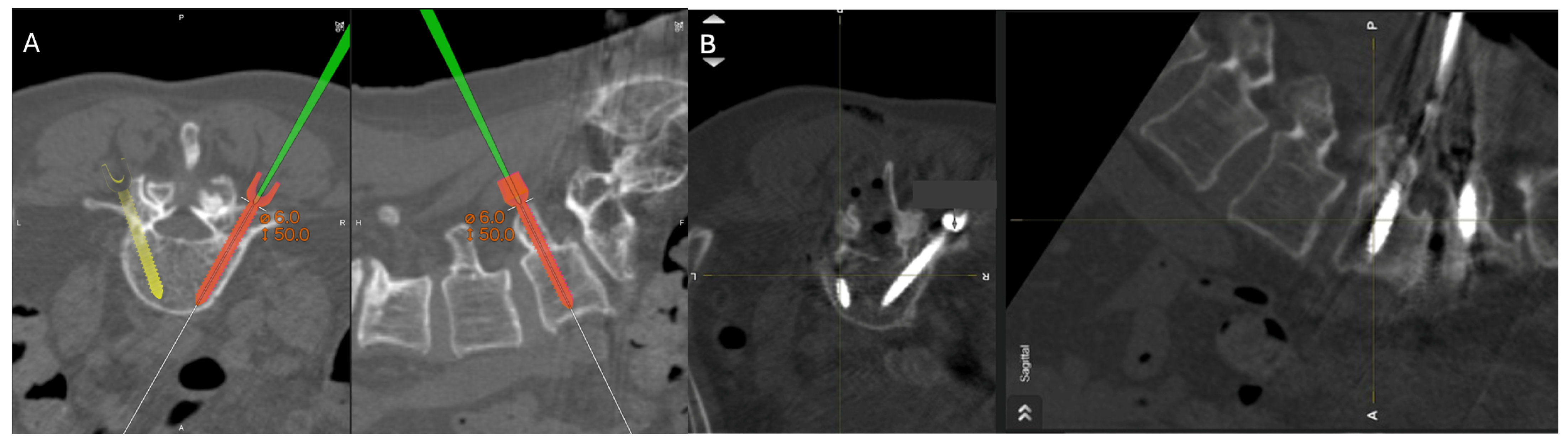
2.2. Surgical Approach
- A skin incision is marked using navigation guidance.
- Navigation is manually verified using the Brainlab pointer to identify and palate a transverse process at a distance from the reference array.
- The navigated screw with the screw driver is calibrated.
- After inserting the screw, the screws are test stimulated with an extended electrode probe. A threshold of 8 mA is used to consider screw repositioning.
- A final intraoperative CT is completed with the navigation reference in place in case of further instrument adjustment or decompression.
- The patient’s wound is generously irrigated and washed after meticulous hemostasis is performed. Osteo-stimulative bone graft is packed under the rod. Local anesthesia is used to infiltrate the muscle and the wound is closed [6].
2.3. Analysis
3. Results
3.1. Patient and Surgery Characteristics
3.2. Screw Placement and Accuracy
4. Discussion
5. Conclusions
Author Contributions
Funding
Institutional Review Board Statement
Informed Consent Statement
Data Availability Statement
Conflicts of Interest
References
- Laine, T.; Mäkitalo, K.; Schlenzka, D.; Tallroth, K.; Poussa, M.; Alho, A. Accuracy of Pedicle Screw Insertion: A Prospective CT Study in 30 Low Back Patients. Eur. Spine J. 1997, 6, 402–405. [Google Scholar] [CrossRef]
- Verma, R.; Krishan, S.; Haendlmayer, K.; Mohsen, A. Functional Outcome of Computer-Assisted Spinal Pedicle Screw Placement: A Systematic Review and Meta-Analysis of 23 Studies Including 5,992 Pedicle Screws. Eur. Spine J. 2010, 19, 370–375. [Google Scholar] [CrossRef] [PubMed]
- Ahmadian, A.; Deukmedjian, A.R.; Abel, N.; Dakwar, E.; Uribe, J.S. Analysis of Lumbar Plexopathies and Nerve Injury after Lateral Retroperitoneal Transpsoas Approach: Diagnostic Standardization. J. Neurosurg. Spine 2013, 18, 289–297. [Google Scholar] [CrossRef]
- Goldstein, C.L.; Macwan, K.; Sundararajan, K.; Rampersaud, Y.R. Comparative Outcomes of Minimally Invasive Surgery for Posterior Lumbar Fusion: A Systematic Review. Clin. Orthop. Relat. Res. 2014, 472, 1727–1737. [Google Scholar] [CrossRef] [PubMed]
- Lian, X.; Navarro-Ramirez, R.; Berlin, C.; Jada, A.; Moriguchi, Y.; Zhang, Q.; Härtl, R. Total 3D Airo® Navigation for Minimally Invasive Transforaminal Lumbar Interbody Fusion. Biomed. Res. Int. 2016, 2016, 5027340. [Google Scholar] [CrossRef] [PubMed]
- Schmidt, F.A.; Lekuya, H.M.; Kirnaz, S.; Hernandez, R.N.; Hussain, I.; Chang, L.; Navarro-Ramirez, R.; Wipplinger, C.; Rawanduzy, C.; Härtl, R. Novel MIS 3D NAV Single Step Pedicle Screw System (SSPSS): Workflow, Accuracy and Initial Clinical Experience. Global Spine J. 2022, 12, 1098–1108. [Google Scholar] [CrossRef] [PubMed]
- Scheer, J.K.; Harvey, M.J.; Dahdaleh, N.S.; Smith, Z.A.; Fessler, R.G. K-Wire Fracture during Minimally Invasive Transforaminal Lumbar Interbody Fusion: Report of Six Cases and Recommendations for Avoidance and Management. Surg. Neurol. Int. 2014, 5, S520–S522. [Google Scholar] [CrossRef]
- Peterson, A.; Ngai, L.K.; Burbridge, M.A. Intraoperative Kirschner Wire Migration during Robotic Minimally Invasive Spine Surgery. Case Rep. Anesthesiol. 2019, 2019, 9581285. [Google Scholar] [CrossRef]
- Gertzbein, S.D.; Robbin, S.E. Accuracy of Pedicular Screw Placement In Vivo. Spine (Phila. Pa. 1976) 1990, 15, 11–14. [Google Scholar] [CrossRef]
- Minić, L.; Lepić, M.; Novaković, N.; Mandić-Rajčević, S. Symptomatic Migration of a Kirschner Wire into the Spinal Canal without Spinal Cord Injury: Case Report. J. Neurosurg. Spine 2016, 24, 291–294. [Google Scholar] [CrossRef]
- Spitz, S.M.; Sandhu, F.A.; Voyadzis, J.-M. Percutaneous “K-Wireless” Pedicle Screw Fixation Technique: An Evaluation of the Initial Experience of 100 Screws with Assessment of Accuracy, Radiation Exposure, and Procedure Time. J. Neurosurg. Spine 2015, 22, 422–431. [Google Scholar] [CrossRef] [PubMed]
- Mobbs, R.J.; Raley, D.A. Complications with K-Wire Insertion for Percutaneous Pedicle Screws. J. Spinal Disord. Tech. 2014, 27, 390–394. [Google Scholar] [CrossRef] [PubMed]
- Learch, T.J.; Massie, J.B.; Pathria, M.N.; Ahlgren, B.A.; Garfin, S.R. Assessment of Pedicle Screw Placement Utilizing Conventional Radiography and Computed Tomography: A Proposed Systematic Approach to Improve Accuracy of Interpretation. Spine (Phila. Pa. 1976) 2004, 29, 767–773. [Google Scholar] [CrossRef]
- Shin, B.J.; James, A.R.; Njoku, I.U.; Härtl, R. Pedicle Screw Navigation: A Systematic Review and Meta-Analysis of Perforation Risk for Computer-Navigated versus Freehand Insertion. J. Neurosurg. Spine 2012, 17, 113–122. [Google Scholar] [CrossRef]
- Ughwanogho, E.; Patel, N.M.; Baldwin, K.D.; Sampson, N.R.; Flynn, J.M. Computed Tomography-Guided Navigation of Thoracic Pedicle Screws for Adolescent Idiopathic Scoliosis Results in More Accurate Placement and Less Screw Removal. Spine (Phila. Pa. 1976) 2012, 37, E473–E478. [Google Scholar] [CrossRef]
- Härtl, R.; Lam, K.S.; Wang, J.; Korge, A.; Kandziora, F.; Audigé, L. Worldwide Survey on the Use of Navigation in Spine Surgery. World Neurosurg. 2013, 79, 162–172. [Google Scholar] [CrossRef]
- Miller, C.A.; Ledonio, C.G.; Hunt, M.A.; Siddiq, F.; Polly, D.W. Reliability of the Planned Pedicle Screw Trajectory versus the Actual Pedicle Screw Trajectory Using Intra-Operative 3D CT and Image Guidance. Int. J. Spine Surg. 2016, 10, 38. [Google Scholar] [CrossRef]
- Ganguly, R.; Minnema, A.; Singh, V.; Grossbach, A. Retrospective Analysis of Pedicle Screw Accuracy for Patients Undergoing Spinal Surgery Assisted by Intraoperative Computed Tomography (CT) Scanner AIRO® and BrainLab© Navigation. Clin. Neurol. Neurosurg. 2020, 198, 106113. [Google Scholar] [CrossRef] [PubMed]
- Molina, C.A.; Sciubba, D.M.; Greenberg, J.K.; Khan, M.; Witham, T. Clinical Accuracy, Technical Precision, and Workflow of the First in Human Use of an Augmented-Reality Head-Mounted Display Stereotactic Navigation System for Spine Surgery. Oper. Neurosurg. 2021, 20, 300–309. [Google Scholar] [CrossRef]
- Oertel, M.F.; Hobart, J.; Stein, M.; Schreiber, V.; Scharbrodt, W. Clinical and Methodological Precision of Spinal Navigation Assisted by 3D Intraoperative O-Arm Radiographic Imaging. J. Neurosurg. Spine 2011, 14, 532–536. [Google Scholar] [CrossRef]
- Molina, C.A.; Phillips, F.M.; Colman, M.W.; Ray, W.Z.; Khan, M.; Orru’, E.; Poelstra, K.; Khoo, L. A Cadaveric Precision and Accuracy Analysis of Augmented Reality-Mediated Percutaneous Pedicle Implant Insertion. J. Neurosurg. Spine 2020, 34, 316–324. [Google Scholar] [CrossRef] [PubMed]
- Gubian, A.; Kausch, L.; Neumann, J.-O.; Kiening, K.; Ishak, B.; Maier-Hein, K.; Unterberg, A.; Scherer, M. CT-Navigated Spinal Instrumentations-Three-Dimensional Evaluation of Screw Placement Accuracy in Relation to a Screw Trajectory Plan. Medicina 2022, 58, 1200. [Google Scholar] [CrossRef] [PubMed]
- Fujita, R.; Oda, I.; Takeuchi, H.; Oshima, S.; Fujiya, M.; Yahara, Y.; Kawaguchi, Y. Accuracy of Pedicle Screw Placement Using Patient-Specific Template Guide System. J. Orthop. Sci. 2022, 27, 348–354. [Google Scholar] [CrossRef] [PubMed]





| Characteristic | Frequency (n = 47) |
|---|---|
| Age (years) | 64.1 ± 13.3 |
| Sex | |
| Male | 24 (51.1%) |
| Female | 23 (49.9%) |
| BMI (kg/m2) | 27.6 ± 5.1 |
| Fusion technique | |
| ALIF | 2 (4.3%) |
| PLIF | 2 (4.3%) |
| TLIF | 38 (80.9%) |
| XLIF | 5 (10.6%) |
| Number of levels fused | |
| 1 | 38 (80.9%) |
| 2 | 7 (14.9%) |
| 3 | 2 (4.3%) |
| Primary Diagnosis | |
| Spinal stenosis | 16 (34) |
| Lumbar radiculopathy | 11 (23.4) |
| Spondylolisthesis | 9 (19.1) |
| DDD | 6 (12.8) |
| Others | 5 (10.6) |
| Revision during follow-up | 2 (4.3%) |
| Adjacent segment disease | 2 |
| Blood Loss (n, %) | |
| <50 mL | 13 (27.7) |
| 50–150 mL | 23 (48.9) |
| >150 mL | 11 (23.4) |
| Duration of surgery (minutes), median (IQR) | 182 (144–225) |
| Length of hospital stay (hours), median (IQR) | 48 (24–108) |
| Vertebral Body | Screw Position | Total | |
|---|---|---|---|
| Right | Left | ||
| L1 | 1 | 1 | 2 |
| L2 | 2 | 2 | 4 |
| L3 | 10 | 10 | 20 |
| L4 | 34 (2) * | 34 (4) * | 68 |
| L5 | 42 | 42 (3) * | 84 |
| S1 | 14 (1) * | 14 | 28 |
| Total | 103 | 103 | 206 |
| Inserted Screws | |||||
|---|---|---|---|---|---|
| Planned | A | B | C | Total | |
| A | 195 | 8 | 1 | 204 | |
| B | 1 | 1 | 0 | 2 | |
| C | 0 | 0 | 0 | 0 | |
| Total | 196 | 9 | 1 | 206 | |
Disclaimer/Publisher’s Note: The statements, opinions and data contained in all publications are solely those of the individual author(s) and contributor(s) and not of MDPI and/or the editor(s). MDPI and/or the editor(s) disclaim responsibility for any injury to people or property resulting from any ideas, methods, instructions or products referred to in the content. |
© 2024 by the authors. Licensee MDPI, Basel, Switzerland. This article is an open access article distributed under the terms and conditions of the Creative Commons Attribution (CC BY) license (https://creativecommons.org/licenses/by/4.0/).
Share and Cite
Bielecki, M.; Boadi, B.I.; Xie, Y.; Ikwuegbuenyi, C.A.; Farooq, M.; Berger, J.; Hernández-Hernández, A.; Hussain, I.; Härtl, R. High Accuracy of Three-Dimensional Navigated Kirschner-Wire-Less Single-Step Pedicle Screw System (SSPSS) in Lumbar Fusions: Comparison of Intraoperatively Planned versus Final Screw Position. Brain Sci. 2024, 14, 873. https://doi.org/10.3390/brainsci14090873
Bielecki M, Boadi BI, Xie Y, Ikwuegbuenyi CA, Farooq M, Berger J, Hernández-Hernández A, Hussain I, Härtl R. High Accuracy of Three-Dimensional Navigated Kirschner-Wire-Less Single-Step Pedicle Screw System (SSPSS) in Lumbar Fusions: Comparison of Intraoperatively Planned versus Final Screw Position. Brain Sciences. 2024; 14(9):873. https://doi.org/10.3390/brainsci14090873
Chicago/Turabian StyleBielecki, Mateusz, Blake I. Boadi, Yizhou Xie, Chibuikem A. Ikwuegbuenyi, Minaam Farooq, Jessica Berger, Alan Hernández-Hernández, Ibrahim Hussain, and Roger Härtl. 2024. "High Accuracy of Three-Dimensional Navigated Kirschner-Wire-Less Single-Step Pedicle Screw System (SSPSS) in Lumbar Fusions: Comparison of Intraoperatively Planned versus Final Screw Position" Brain Sciences 14, no. 9: 873. https://doi.org/10.3390/brainsci14090873
APA StyleBielecki, M., Boadi, B. I., Xie, Y., Ikwuegbuenyi, C. A., Farooq, M., Berger, J., Hernández-Hernández, A., Hussain, I., & Härtl, R. (2024). High Accuracy of Three-Dimensional Navigated Kirschner-Wire-Less Single-Step Pedicle Screw System (SSPSS) in Lumbar Fusions: Comparison of Intraoperatively Planned versus Final Screw Position. Brain Sciences, 14(9), 873. https://doi.org/10.3390/brainsci14090873

