Successful Treatment with Patisiran in Amyloid Polyneuropathy Harboring His90Asn Mutation in the TTR Gene
Abstract
1. Introduction
2. Case 1
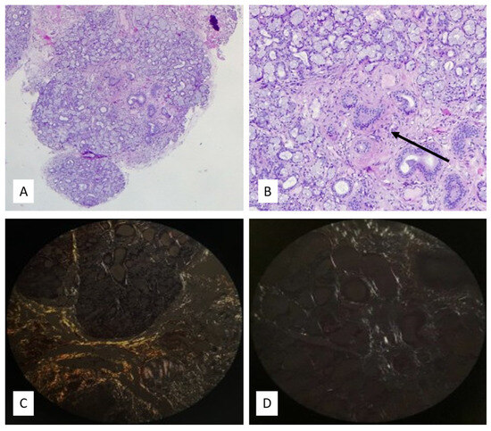
3. Case 2
4. Discussion
5. Conclusions
Author Contributions
Funding
Institutional Review Board Statement
Informed Consent Statement
Data Availability Statement
Acknowledgments
Conflicts of Interest
References
- Planté-Bordeneuve, V.; Said, G. Familial amyloid polyneuropathy. Lancet Neurol. 2011, 10, 1086–1097. [Google Scholar] [CrossRef]
- Andrade, C. A peculiar form of peripheral neuropathy: Familial atypical generalized amyloidosis with special involvement of the peripheral nerves. Brain 1952, 75, 408–427. [Google Scholar] [CrossRef] [PubMed]
- Russo, M.; Gentile, L.; Di Stefano, V.; Di Bella, G.; Minutoli, F.; Toscano, A.; Brighina, F.; Vita, G.; Mazzeo, A. Use of drugs for attrv amyloidosis in the real world: How therapy is changing survival in a non-endemic area. Brain Sci. 2021, 11, 545. [Google Scholar] [CrossRef] [PubMed]
- Adams, D.; Gonzalez-Duarte, A.; O’Riordan, W.D.; Yang, C.C.; Ueda, M.; Kristen, A.V.; Tournev, I.; Schmidt, H.H.; Coelho, T.; Berk, J.L.; et al. Patisiran, an RNAi Therapeutic, for Hereditary Transthyretin Amyloidosis. N. Engl. J. Med. 2018, 379, 11–21. [Google Scholar] [CrossRef]
- Di Stefano, V.; Fava, A.; Gentile, L.; Guaraldi, P.; Leonardi, L.; Poli, L.; Tagliapietra, M.; Vastola, M.; Fanara, S.; Ferrero, B.; et al. Italian Real-Life Experience of Patients with Hereditary Transthyretin Amyloidosis Treated with Patisiran. Pharmacogenomics Pers. Med. 2022, 15, 499–514. [Google Scholar] [CrossRef] [PubMed]
- Skare, J.C.; Milunsky, J.M.; Milunsky, A.; Skare, I.B.; Cohen, A.S.; Skinner, M. A new transthyretin variant from a patient with familial amyloidotic polyneuropathy has asparagine substituted for histidine at position 90. Clin. Genet. 1991, 39, 6–12. [Google Scholar] [CrossRef] [PubMed]
- Skare, J.C.; Saraiva, M.J.; Alves, I.L.; Skare, I.B.; Milunsky, A.; Cohen, A.S.; Skinner, M. A new mutation causing familial amyloidotic polyneuropathy. Biochem. Biophys. Res. Commun. 1989, 164, 1240–1246. [Google Scholar] [CrossRef] [PubMed]
- Saraiva, M.J.; Almeida, M.R.; Alves, I.L.; Moreira, P.; Gawinowicz, M.; Costa, P.P.; Rauh, S.; Banhzoff, A.; Altland, K. Molecular analyses of an acidic transthyretin Asn 90 variant. Am. J. Hum. Genet. 1991, 48, 1004. [Google Scholar] [CrossRef] [PubMed]
- Alves, I.L.; Almeida, M.R.; Skare, J.; Skinner, M.; Kurose, K.; Sakaki, Y.; Costa, P.P.; Saraiva, M.J. Amyloidogenic and non-amyloidogenic transthyretin Asn 90 variants. Clin. Genet. 1992, 42, 27–30. [Google Scholar] [CrossRef] [PubMed]
- Skare, J.; Jones, L.A.; Myles, N.; Kane, K.; Milunsky, A.; Cohen, A.; Skinner, M. Two transthyretin mutations (glu42gly, his90asn) in an Italian family with amyloidosis. Clin. Genet. 1994, 45, 281–284. [Google Scholar] [CrossRef] [PubMed]
- Bersano, A.; Del Bo, R.; Ballabio, E.; Cinnante, C.; Lanfranconi, S.; Comi, G.P.; Baron, P.; Bresolin, N.; Candelise, L. Transthyretin Asn90 variant: Amyloidogenic or non-amyloidogenic role. J. Neurol. Sci. 2009, 284, 113–115. [Google Scholar] [CrossRef] [PubMed]
- Sekijima, Y.; Ueda, M.; Koike, H.; Misawa, S.; Ishii, T.; Ando, Y. Diagnosis and management of transthyretin familial amyloid polyneuropathy in Japan: Red-flag symptom clusters and treatment algorithm. Orphanet J. Rare Dis. 2018, 13, 6. [Google Scholar] [CrossRef] [PubMed]
- Grandis, M.; Obici, L.; Luigetti, M.; Briani, C.; Benedicenti, F.; Bisogni, G.; Canepa, M.; Cappelli, F.; Danesino, C.; Fabrizi, G.M.; et al. Recommendations for pre-symptomatic genetic testing for hereditary transthyretin amyloidosis in the era of effective therapy: A multicenter Italian consensus. Orphanet J. Rare Dis. 2020, 15, 348. [Google Scholar] [CrossRef] [PubMed]
- Gertz, M.; Adams, D.; Ando, Y.; Beirão, J.M.; Bokhari, S.; Coelho, T.; Comenzo, R.L.; Damy, T.; Dorbala, S.; Drachman, B.M.; et al. Avoiding misdiagnosis: Expert consensus recommendations for the suspicion and diagnosis of transthyretin amyloidosis for the general practitioner. BMC Fam. Pract. 2020, 21, 198. [Google Scholar] [CrossRef] [PubMed]
- Di Stefano, V.; Lupica, A.; Alonge, P.; Pignolo, A.; Augello, S.M.; Gentile, F.; Gagliardo, A.; Giglia, F.; Brinch, D.; Cappello, M.; et al. Genetic screening for hereditary transthyretin amyloidosis with polyneuropathy in western Sicily: Two years of experience in a neurological clinic. Eur. J. Neurol. 2024, 31, e16065. [Google Scholar] [CrossRef] [PubMed]
- Di Stefano, V.; Prinzi, F.; Luigetti, M.; Russo, M.; Tozza, S.; Alonge, P.; Romano, A.; Sciarrone, M.A.; Vitali, F.; Mazzeo, A.; et al. Machine Learning for Early Diagnosis of ATTRv Amyloidosis in Non-Endemic Areas: A Multicenter Study from Italy. Brain Sci. 2023, 13, 805. [Google Scholar] [CrossRef] [PubMed]
- Russo, M.; Gentile, L.; Toscano, A.; Vita, G.; Mazzeo, A. From a misdiagnosis of anorexia nervosa to a dramatic patisiran-induced improvement in a patient with ATTRE89Q amyloidosis. Amyloid 2020, 27, 279–280. [Google Scholar] [CrossRef] [PubMed]
- Di Stefano, V.; Thomas, E.; Alonge, P.; Giustino, V.; Pillitteri, G.; Leale, I.; Torrente, A.; Pignolo, A.; Norata, D.; Iacono, S.; et al. Patisiran Enhances Muscle Mass after Nine Months of Treatment in ATTRv Amyloidosis: A Study with Bioelectrical Impedance Analysis and Handgrip Strength. Biomedicines 2022, 11, 62. [Google Scholar] [CrossRef] [PubMed]


| Sensory Nerve Study | Patient 1 | Patient 2 | ||
|---|---|---|---|---|
| Baseline | After Patisiran | Baseline | After Patisiran | |
| Ulnar nerve right [digit V—wrist] | ||||
| SAP (uV) | 3.0 | 17.0 | 4.7 | 9 |
| VCS (m/s) | 62 | 59 | 53 | 50 |
| Ulnar nerve left [digit V—wrist] | ||||
| SAP (uV) | 0.6 | 10.0 | 3.4 | 5.0 |
| VCS (m/s) | 54 | 66 | 55 | 48 |
| Median nerve right [digit III—wrist] | ||||
| SAP (uV) | 10.6 | 17.2 | na | 8.0 |
| VCS (m/s) | 55 | 63 | na | 38 |
| Median nerve left [digit II—wrist] | ||||
| SAP (uV) | 5.2 | 15.7 | na | 5.0 |
| VCS (m/s) | 55 | 61 | na | 48 |
| Sural nerve right [ankle—foreleg] | ||||
| SAP (uV) | 3.2 | 14.0 | 2.5 | 3 |
| VCS (m/s) | 50 | 49 | 30 | 44 |
| Sural nerve left [ankle—foreleg] | ||||
| SAP (uV) | 5.8 | 11.0 | 10.7 | 6.0 |
| VCS (m/s) | 59 | 60 | 41 | 50 |
| Clinical Evaluations | Patient 1 | Patient 2 | ||
|---|---|---|---|---|
| Baseline | After Patisiran | Baseline | After Patisiran | |
| Weight (kg) | 41 | 49.5 | 54 | 55 |
| BMI | 17 | 20.6 | 18.7 | 19.0 |
| PND score | 2 | 1 | 1 | 0 |
| NIS-W | 19 | 12 | 18 | 11 |
| 6MWT | 148 | 285 | - | - |
| Norfolk scores | 95 | 60 | 14 | 7 |
| Karnofsky performance status (%) | 50 | 70 | 90 | 100 |
Disclaimer/Publisher’s Note: The statements, opinions and data contained in all publications are solely those of the individual author(s) and contributor(s) and not of MDPI and/or the editor(s). MDPI and/or the editor(s) disclaim responsibility for any injury to people or property resulting from any ideas, methods, instructions or products referred to in the content. |
© 2024 by the authors. Licensee MDPI, Basel, Switzerland. This article is an open access article distributed under the terms and conditions of the Creative Commons Attribution (CC BY) license (https://creativecommons.org/licenses/by/4.0/).
Share and Cite
Di Stefano, V.; Guaraldi, P.; Giglia, F.; Cani, I.; Pignolo, A.; Codeluppi, L.; Alonge, P.; Canali, E.; De Lisi, G.; Florena, A.M.; et al. Successful Treatment with Patisiran in Amyloid Polyneuropathy Harboring His90Asn Mutation in the TTR Gene. Brain Sci. 2024, 14, 519. https://doi.org/10.3390/brainsci14060519
Di Stefano V, Guaraldi P, Giglia F, Cani I, Pignolo A, Codeluppi L, Alonge P, Canali E, De Lisi G, Florena AM, et al. Successful Treatment with Patisiran in Amyloid Polyneuropathy Harboring His90Asn Mutation in the TTR Gene. Brain Sciences. 2024; 14(6):519. https://doi.org/10.3390/brainsci14060519
Chicago/Turabian StyleDi Stefano, Vincenzo, Pietro Guaraldi, Francesca Giglia, Ilaria Cani, Antonia Pignolo, Luca Codeluppi, Paolo Alonge, Elena Canali, Giovanni De Lisi, Ada Maria Florena, and et al. 2024. "Successful Treatment with Patisiran in Amyloid Polyneuropathy Harboring His90Asn Mutation in the TTR Gene" Brain Sciences 14, no. 6: 519. https://doi.org/10.3390/brainsci14060519
APA StyleDi Stefano, V., Guaraldi, P., Giglia, F., Cani, I., Pignolo, A., Codeluppi, L., Alonge, P., Canali, E., De Lisi, G., Florena, A. M., Borgione, E., & Brighina, F. (2024). Successful Treatment with Patisiran in Amyloid Polyneuropathy Harboring His90Asn Mutation in the TTR Gene. Brain Sciences, 14(6), 519. https://doi.org/10.3390/brainsci14060519

