Connectivity in the Dorsal Visual Stream Is Enhanced in Action Video Game Players
Abstract
1. Introduction
2. Materials and Methods
2.1. Subject Data
2.2. MRI Data
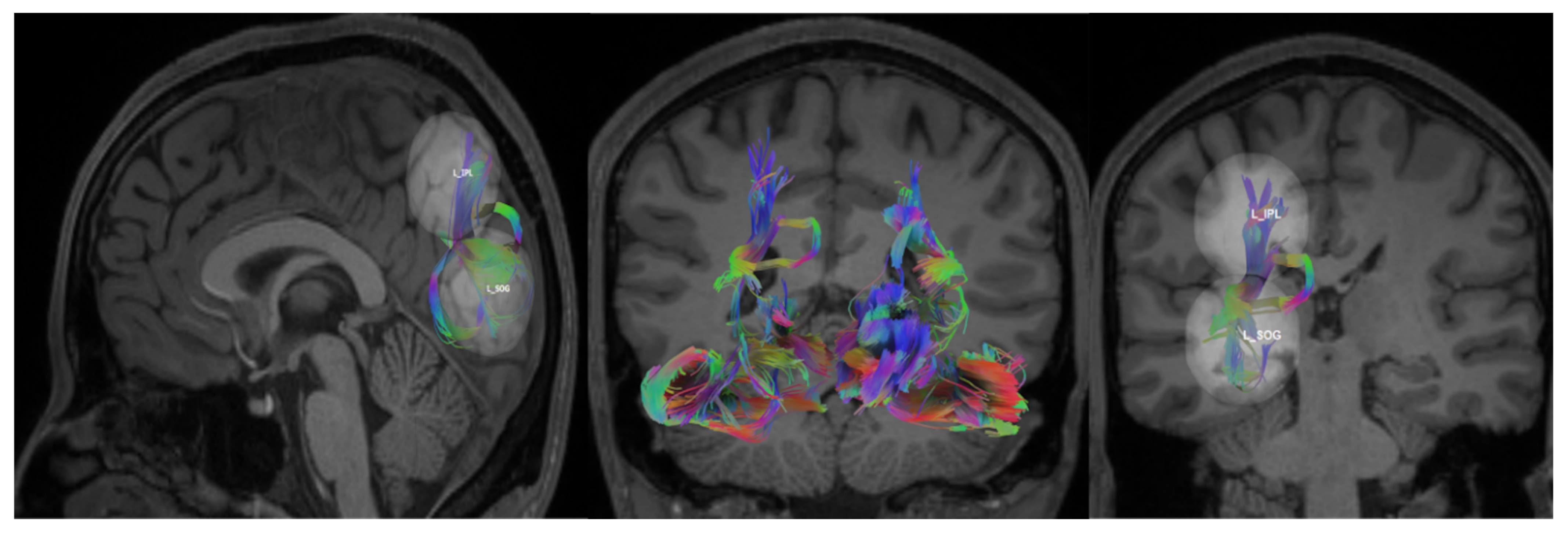
2.3. Regions of Interest
2.4. Functional Connectivity Protocols and Analysis
2.5. Tractography Protocols and Structural Connectivity Analysis
3. Results
3.1. Functional Connectivity
3.1.1. Elevated Functional Connectivity in Gamers and Correlation with Response Time
3.1.2. Elevated Granger Causality in Gamers and Correlation with Response Time
3.2. Structural Connectivity
Elevated Fractional Anisotropy and Quantitative Anisotropy in Gamers
4. Discussion
5. Conclusions
Author Contributions
Funding
Institutional Review Board Statement
Informed Consent Statement
Data Availability Statement
Conflicts of Interest
References
- Mohammad, S.; Jan, R.A.; Alsaedi, S.L. Symptoms, Mechanisms, and Treatments of Video Game Addiction. Cureus 2023, 15, e36957. [Google Scholar] [CrossRef] [PubMed]
- Gros, L.; Debue, N.; Lete, J.; van de Leemput, C. Video Game Addiction and Emotional States: Possible Confusion Between Pleasure and Happiness? Front. Psychol. 2019, 10, 2894. [Google Scholar] [CrossRef] [PubMed]
- Weinstein, A.; Livny, A.; Weizman, A. New developments in brain research of internet and gaming disorder. Neurosci. Biobehav. Rev. 2017, 75, 314–330. [Google Scholar] [CrossRef] [PubMed]
- Greitemeyer, T. The contagious impact of playing violent video games on aggression: Longitudinal evidence. Aggress. Behav. 2019, 45, 635–642. [Google Scholar] [CrossRef]
- Yao, M.; Zhou, Y.; Li, J.; Gao, X. Violent video games exposure and aggression: The role of moral disengagement, anger, hostility, and disinhibition. Aggress. Behav. 2019, 45, 662–670. [Google Scholar] [CrossRef]
- Powers, K.L.; Brooks, P.J.; Aldrich, N.J.; Palladino, M.A.; Alfieri, L. Effects of video-game play on information processing: A meta-analytic investigation. Psychon. Bull. Rev. 2013, 20, 1055–1079. [Google Scholar] [CrossRef] [PubMed]
- Dye, M.W.; Green, C.S.; Bavelier, D. Increasing Speed of Processing with Action Video Games. Curr. Dir. Psychol. Sci. 2009, 18, 321–326. [Google Scholar] [CrossRef]
- Dye, M.W.; Green, C.S.; Bavelier, D. The development of attention skills in action video game players. Neuropsychologia 2009, 47, 1780–1789. [Google Scholar] [CrossRef]
- Green, C.S.; Bavelier, D. Action-video-game experience alters the spatial resolution of vision. Psychol. Sci. 2007, 18, 88–94. [Google Scholar] [CrossRef]
- Green, C.S.; Bavelier, D. Action video game training for cognitive enhancement. Curr. Opin. Behav. Sci. 2015, 4, 103–108. [Google Scholar] [CrossRef]
- Lynch, J.; Aughwane, P.; Hammond, T.M. Video Games and Surgical Ability: A Literature Review. J. Surg. Educ. 2010, 67, 184–189. [Google Scholar] [CrossRef] [PubMed]
- Basak, C.; Boot, W.R.; Voss, M.W.; Kramer, A.F. Can training in a real-time strategy video game attenuate cognitive decline in older adults? Psychol. Aging 2008, 23, 765–777. [Google Scholar] [CrossRef] [PubMed]
- Jordan, T.; Dhamala, M. Video game players have improved decision-making abilities and enhanced brain activities. Neuroimage Rep. 2022, 2, 100112. [Google Scholar] [CrossRef]
- Howard, J.; Bowden, V.K.; Visser, T. Do action video games make safer drivers? The effects of video game experience on simulated driving performance. Transp. Res. Part. F Traffic Psychol. Behav. 2023, 97, 170–180. [Google Scholar] [CrossRef]
- Bavelier, D.; Achtman, R.L.; Mani, M.; Föcker, J. Neural bases of selective attention in action video game players. Vis. Res. 2012, 61, 132–143. [Google Scholar] [CrossRef]
- Green, C.S.; Bavelier, D. Effect of action video games on the spatial distribution of visuospatial attention. J. Exp. Psychol. Hum. Percept. Perform. 2006, 32, 1465–1478. [Google Scholar] [CrossRef]
- Green, C.S.; Bavelier, D. Action video game modifies visual selective attention. Nature 2003, 423, 534–537. [Google Scholar] [CrossRef]
- Chisholm, J.D.; Kingstone, A. Action video game players’ visual search advantage extends to biologically relevant stimuli. Acta Psychol. 2015, 159, 93–99. [Google Scholar] [CrossRef]
- Wu, S.; Spence, I. Playing shooter and driving videogames improves top-down guidance in visual search. Atten. Percept. Psychophys. 2013, 75, 673–686. [Google Scholar] [CrossRef]
- Li, R.; Polat, U.; Scalzo, F.; Bavelier, D. Reducing backward masking through action game training. J. Vis. 2010, 10, 33. [Google Scholar] [CrossRef] [PubMed]
- Li, R.; Polat, U.; Makous, W.; Bavelier, D. Enhancing the contrast sensitivity function through action video game training. Nat. Neurosci. 2009, 12, 549–551. [Google Scholar] [CrossRef] [PubMed]
- Anguera, J.A.; Boccanfuso, J.; Rintoul, J.L.; Al-Hashimi, O.; Faraji, F.; Janowich, J.; Kong, E.; Larraburo, Y.; Rolle, C.; Johnston, E.; et al. Video game training enhances cognitive control in older adults. Nature 2013, 501, 97–101. [Google Scholar] [CrossRef] [PubMed] [PubMed Central]
- Basak, C.; Voss, M.W.; Erickson, K.I.; Boot, W.R.; Kramer, A.F. Regional differences in brain volume predict the acquisition of skill in a complex real-time strategy videogame. Brain Cogn. 2011, 76, 407–414. [Google Scholar] [CrossRef]
- Kowalczyk, N.; Shi, F.; Magnuski, M.; Skorko, M.; Dobrowolski, P.; Kossowski, B.; Marchewka, A.; Bielecki, M.; Kossut, M.; Brzezicka, A. Real-time strategy video game experience and structural connectivity—A diffusion tensor imaging study. Hum. Human. Brain Mapp. 2018, 39, 3742–3758. [Google Scholar] [CrossRef]
- Palaus, M.; Marron, E.M.; Viejo-Sobera, R.; Redolar-Ripoll, D. Neural Basis of Video Gaming: A Systematic Review. Front. Hum. Human. Neurosci. 2017, 11, 231323. [Google Scholar] [CrossRef]
- Nikolaidis, A.; Voss, M.; Lee, H.; Vo, L.; Kramer, A. Parietal plasticity after training with a complex video game is associated with individual differences in improvements in an untrained working memory task. Front. Hum. Human. Neurosci. 2014, 8, 169. [Google Scholar] [CrossRef] [PubMed]
- Jordan, T.; Dhamala, M. Enhanced Dorsal Attention Network to Salience Network Interaction in Video Gamers During Sensorimotor Decision-Making Tasks. Brain Connect. 2022, 13, 97–106. [Google Scholar] [CrossRef] [PubMed]
- Granek, J.A.; Gorbet, D.J.; Sergio, L.E. Extensive video-game experience alters cortical networks for complex visuomotor transformations. Cortex 2010, 46, 1165–1177. [Google Scholar] [CrossRef]
- Lewandowska, P.; Jakubowska, N.; Hryniewicz, N.; Prusinowski, R.; Kossowski, B.; Brzezicka, A.; Kowalczyk-Grębska, N. Association between real-time strategy video game learning outcomes and pre-training brain white matter structure: Preliminary study. Sci. Rep. 2022, 12, 20741. [Google Scholar] [CrossRef]
- Huang, H.; Cheng, C. The Benefits of Video Games on Brain Cognitive Function: A Systematic Review of Functional Magnetic Resonance Imaging Studies. Appl. Sci. 2022, 12, 5561. [Google Scholar] [CrossRef]
- Kühn, S.; Gallinat, J.; Mascherek, A. Effects of computer gaming on cognition, brain structure, and function: A critical reflection on existing literature. Dialogues Clin. Neurosci. 2019, 21, 319–330. [Google Scholar] [CrossRef] [PubMed]
- Kühn, S.; Gallinat, J. Amount of lifetime video gaming is positively associated with entorhinal, hippocampal and occipital volume. Mol. Psychiatry 2014, 19, 842–847. [Google Scholar] [CrossRef] [PubMed]
- Brilliant, T.D.; Nouchi, R.; Kawashima, R. Does Video Gaming Have Impacts on the Brain: Evidence from a Systematic Review. Brain Sci. 2019, 9, 251. [Google Scholar] [CrossRef]
- Pessoa, L. Understanding brain networks and brain organization. Phys. Life Rev. 2014, 11, 400–435. [Google Scholar] [CrossRef]
- Lynn, C.W.; Bassett, D.S. The physics of brain network structure, function and control. Nat. Rev. Phys. 2019, 1, 318–332. [Google Scholar] [CrossRef]
- Schlinger, H.D. Behavior analysis and behavioral neuroscience. Front. Hum. Neurosci. 2015, 9, 210. [Google Scholar] [CrossRef][Green Version]
- McIntosh, R.D.; Schenk, T. Two visual streams for perception and action: Current trends. Neuropsychologia 2009, 47, 1391–1396. [Google Scholar] [CrossRef] [PubMed]
- Schenk, T.; McIntosh, R.D. Do we have independent visual streams for perception and action? Cogn. Neurosci. 2010, 1, 52–62. [Google Scholar] [CrossRef]
- Kravitz, D.J.; Saleem, K.S.; Baker, C.I.; Mishkin, M. A new neural framework for visuospatial processing. Nat. Rev. Neurosci. 2011, 12, 217–230. [Google Scholar] [CrossRef] [PubMed]
- Mishkin, M.; Ungerleider, L.G. Contribution of striate inputs to the visuospatial functions of parieto-preoccipital cortex in monkeys. Behav. Brain Res. 1982, 6, 57–77. [Google Scholar] [CrossRef]
- Mishkin, M.; Ungerleider, L.G.; Macko, K.A. Object vision and spatial vision: Two cortical pathways. Trends Neurosci. 1983, 6, 414–417. [Google Scholar] [CrossRef]
- Hebart, M.N.; Hesselmann, G. What Visual Information Is Processed in the Human Dorsal Stream? J. Neurosci. 2012, 32, 8107–8109. [Google Scholar] [CrossRef] [PubMed]
- Norman, J. Two visual systems and two theories of perception: An attempt to reconcile the constructivist and ecological approaches. Behav. Brain Sci. 2002, 25, 73–96. [Google Scholar] [CrossRef] [PubMed]
- Kozlovskiy, S.; Rogachev, A. How Areas of Ventral Visual Stream Interact When We Memorize Color and Shape Information. In Advances in Cognitive Research, Artificial Intelligence and Neuroinformatics: Proceedings of the 9th International Conference on Cognitive Sciences, Intercognsci-2020, Moscow, Russia, 10–16 October 2020; Velichkovsky, B.M., Balaban, P.M., Ushakov, V.L., Eds.; Springer: Cham, Switzerland, 2021; Volume 1358, pp. 95–100. [Google Scholar] [CrossRef]
- Schneider, G.E. Two Visual Systems. Science 1969, 163, 895–902. [Google Scholar] [CrossRef]
- Gallivan, J.P.; Chapman, C.S.; Wolpert, D.M.; Flanagan, J.R. Decision-making in sensorimotor control. Nat. Rev. Neurosci. 2018, 19, 519–534. [Google Scholar] [CrossRef] [PubMed]
- Wong, W.-W.; Rangaprakash, D.; Diaz-Fong, J.P.; Rotstein, N.M.; Hellemann, G.S.; Feusner, J.D. Effects of visual attention modulation on dynamic effective connectivity and visual fixation during own-face viewing in body dysmorphic disorder. medRxiv 2021. [Google Scholar] [CrossRef]
- Xia, M.; Wang, J.; He, Y. BrainNet Viewer: A Network Visualization Tool for Human Brain Connectomics. PLoS ONE 2013, 8, e68910. [Google Scholar] [CrossRef] [PubMed]
- Giacalone, M.; Agata, Z.; Cozzucoli, P.C.; Alibrandi, A. Bonferroni-Holm and permutation tests to compare health data: Methodological and applicative issues. BMC Med. Res. Methodol. 2018, 18, 81. [Google Scholar] [CrossRef]
- Holm, S. A simple sequentially rejective multiple test procedure. Scand. J. Stat. 1979, 6, 65–70. [Google Scholar]
- Bastos, A.M.; Schoffelen, J.-M. A Tutorial Review of Functional Connectivity Analysis Methods and Their Interpretational Pitfalls. Front. Syst. Neurosci. 2016, 9, 175. [Google Scholar] [CrossRef]
- Friston, K.J. Functional and effective connectivity in neuroimaging: A synthesis. Hum. Brain Mapp. 1994, 2, 56–78. [Google Scholar] [CrossRef]
- Rosch, K.S.; Mostofsky, S. Handbook of Clinical Neurology; D’Esposito, M., Grafman, J.H., Eds.; Elsevier: Amsterdam, The Netherlands, 2019; Volume 163, pp. 351–367. [Google Scholar]
- Eickhoff, S.B.; Müller, V.I. Functional Connectivity. In Brain Mapping; Toga, A.W., Ed.; Academic Press: Waltham, MA, USA, 2015; pp. 187–201. [Google Scholar]
- Dhamala, M.; Liang, H.; Bressler, S.L.; Ding, M. Granger-Geweke causality: Estimation and interpretation. Neuroimage 2018, 175, 460–463. [Google Scholar] [CrossRef] [PubMed]
- Dhamala, M.; Rangarajan, G.; Ding, M. Estimating Granger Causality from Fourier and Wavelet Transforms of Time Series Data. Phys. Rev. Lett. 2008, 100, 018701. [Google Scholar] [CrossRef] [PubMed]
- Dhamala, M.; Rangarajan, G.; Ding, M. Analyzing information flow in brain networks with nonparametric Granger causality. Neuroimage 2008, 41, 354–362. [Google Scholar] [CrossRef]
- Yeh, F.C.; Verstynen, T.D.; Wang, Y.; Fernandez-Miranda, J.C.; Tseng, W.Y. Deterministic diffusion fiber tracking improved by quantitative anisotropy. PLoS ONE 2013, 8, e80713. [Google Scholar] [CrossRef] [PubMed]
- Yeh, F.C.; Panesar, S.; Fernandes, D.; Meola, A.; Yoshino, M.; Fernandez-Miranda, J.C.; Vettel, J.M.; Verstynen, T. Population-averaged atlas of the macroscale human structural connectome and its network topology. Neuroimage 2018, 178, 57–68. [Google Scholar] [CrossRef] [PubMed]
- Yeh, F.C.; Wedeen, V.J.; Tseng, W.Y. Generalized q-sampling imaging. IEEE Trans. Med. Imaging 2010, 29, 1626–1635. [Google Scholar] [CrossRef]
- Yeh, F.C.; Tseng, W.Y. NTU-90: A high angular resolution brain atlas constructed by q-space diffeomorphic reconstruction. Neuroimage 2011, 58, 91–99. [Google Scholar] [CrossRef]
- Babaeeghazvini, P.; Rueda-Delgado, L.M.; Gooijers, J.; Swinnen, S.P.; Daffertshofer, A. Brain Structural and Functional Connectivity: A Review of Combined Works of Diffusion Magnetic Resonance Imaging and Electro-Encephalography. Front. Hum. Neurosci. 2021, 15, 721206. [Google Scholar] [CrossRef]
- Sporns, O. Structure and function of complex brain networks. Dialogues Clin. Neurosci. 2013, 15, 247–262. [Google Scholar] [CrossRef]
- Soares, J.; Marques, P.; Alves, V.; Sousa, N. A hitchhiker’s guide to diffusion tensor imaging. Front. Neurosci. 2013, 7, 31. [Google Scholar] [CrossRef] [PubMed]
- Sammer, G.; Neumann, E.; Blecker, C.; Pedraz-Petrozzi, B. Fractional anisotropy and peripheral cytokine concentrations in outpatients with depressive episode: A diffusion tensor imaging observational study. Sci. Rep. 2022, 12, 17450. [Google Scholar] [CrossRef] [PubMed]
- Ahn, S.; Lee, S.-K. Diffusion Tensor Imaging: Exploring the Motor Networks and Clinical Applications. Korean J. Radiol. Off. J. Korean Radiol. Soc. 2011, 12, 651–661. [Google Scholar] [CrossRef] [PubMed]
- Chang, E.H.; Argyelan, M.; Aggarwal, M.; Chandon, T.S.; Karlsgodt, K.H.; Mori, S.; Malhotra, A.K. The role of myelination in measures of white matter integrity: Combination of diffusion tensor imaging and two-photon microscopy of CLARITY intact brains. Neuroimage 2017, 147, 253–261. [Google Scholar] [CrossRef] [PubMed]
- Kochunov, P.; Williamson, D.E.; Lancaster, J.; Fox, P.; Cornell, J.; Blangero, J.; Glahn, D.C. Fractional anisotropy of water diffusion in cerebral white matter across the lifespan. Neurobiol. Aging 2012, 33, 9–20. [Google Scholar] [CrossRef]
- Bukkieva, T.; Pospelova, M.; Efimtsev, A.; Fionik, O.; Alekseeva, T.; Samochernykh, K.; Gorbunova, E.; Krasnikova, V.; Makhanova, A.; Nikolaeva, A.; et al. Microstructural Properties of Brain White Matter Tracts in Breast Cancer Survivors: A Diffusion Tensor Imaging Study. Pathophysiology 2022, 29, 595–609. [Google Scholar] [CrossRef]
- Murray, L.; Maurer, J.M.; Peechatka, A.L.; Frederick, B.B.; Kaiser, R.H.; Janes, A.C. Sex differences in functional network dynamics observed using coactivation pattern analysis. Cogn. Neurosci. 2021, 12, 120–130. [Google Scholar] [CrossRef]
- Ferreira, L.K.; Regina, A.C.B.; Kovacevic, N.; Martin, M.d.G.M.; Santos, P.P.; Carneiro, C.d.G.; Kerr, D.S.; Amaro, E., Jr.; McIntosh, A.R.; Busatto, G.F. Aging Effects on Whole-Brain Functional Connectivity in Adults Free of Cognitive and Psychiatric Disorders. Cereb. Cortex 2016, 26, 3851–3865. [Google Scholar] [CrossRef]
- Griffa, A.; Baumann, P.S.; Klauser, P.; Mullier, E.; Cleusix, M.; Jenni, R.; van den Heuvel, M.P.; Do, K.Q.; Conus, P.; Hagmann, P. Brain connectivity alterations in early psychosis: From clinical to neuroimaging staging. Transl. Psychiatry 2019, 9, 62. [Google Scholar] [CrossRef] [PubMed]
- Maximo, J.O.; Cadena, E.J.; Kana, R.K. The implications of brain connectivity in the neuropsychology of autism. Neuropsychol. Rev. 2014, 24, 16–31. [Google Scholar] [CrossRef]
- Wang, M.; Hu, Z.; Liu, L.; Li, H.; Qian, Q.; Niu, H. Disrupted functional brain connectivity networks in children with attention-deficit/hyperactivity disorder: Evidence from resting-state functional near-infrared spectroscopy. Neurophotonics 2020, 7, 015012. [Google Scholar] [CrossRef] [PubMed]
- Kral, T.R.A.; Stodola, D.E.; Birn, R.M.; Mumford, J.A.; Solis, E.; Flook, L.; Patsenko, E.G.; Anderson, C.G.; Steinkuehler, C.; Davidson, R.J. Neural correlates of video game empathy training in adolescents: A randomized trial. npj Sci. Learn. 2018, 3, 13. [Google Scholar] [CrossRef] [PubMed]
- Kühn, S.; Gleich, T.; Lorenz, R.C.; Lindenberger, U.; Gallinat, J. Playing Super Mario induces structural brain plasticity: Gray matter changes resulting from training with a commercial video game. Mol. Psychiatry 2014, 19, 265–271. [Google Scholar] [CrossRef]
- Pasqualotto, A.; Parong, J.; Green, C.S.; Bavelier, D. Video Game Design for Learning to Learn. Int. J. Hum. Comput. Interact. 2023, 39, 2211–2228. [Google Scholar] [CrossRef]
- Cunningham, E.G.; Green, C.S. Cognitive Skills Acquired from Video Games; Oxford University Press: Oxford, UK, 2023. [Google Scholar] [CrossRef]
- Park, C.H.; Chun, J.W.; Cho, H.; Kim, D.J. Alterations in the connection topology of brain structural networks in Internet gaming addiction. Sci. Rep. 2018, 8, 15117. [Google Scholar] [CrossRef] [PubMed]
- van Polanen, V.; Davare, M. Interactions between dorsal and ventral streams for controlling skilled grasp. Neuropsychologia 2015, 79, 186–191. [Google Scholar] [CrossRef]
- Kersey, A.J.; Clark, T.S.; Lussier, C.A.; Mahon, B.Z.; Cantlon, J.F. Development of Tool Representations in the Dorsal and Ventral Visual Object Processing Pathways. Cereb Cortex 2016, 26, 3135–3145. [Google Scholar] [CrossRef]
- Lawrence, S.; Spaulding, S. Embodied Cognition. In The Stanford Encyclopedia of Philosophy; Zalta, E.N., Nodelman, U., Eds.; Stanford University: Stanford, CA, USA, 2024; Available online: https://plato.stanford.edu/archives/fall2024/entries/embodied-cognition (accessed on 20 November 2024).
- Puderbaugh, M.; Emmady, P.D. Neuroplasticity. In StatPearls; StatPearls Publishing LLC.: Tampa, FL, USA, 2024. [Google Scholar]
- Wild, C.J.; Paleczny, S.G.; Xue, A.; Highfield, R.; Owen, A. Characterizing the Cognitive and Mental Health Benefits of Exercise and Video Game Playing: The Brain and Body Study. PsyArXiv 2024. [Google Scholar] [CrossRef]





| Region of Interest | MNI Coordinates x, y, z (mm) | Subsystem |
|---|---|---|
| Left superior occipital gyrus (L SOG) | −26, −73, 23 | DVS, VS |
| Left inferior parietal lobule (L IPL) | −24, −52, 52 | DVS |
| Left superior parietal lobule (L SPL) | −30, −46, 66 | DVS |
| Right superior occipital gyrus (R SOG) | 23, −91, 26 | DVS, VS |
| Right inferior parietal lobule (R IPL) | 24, −48, 42 | DVS |
| Right superior parietal lobule (R SPL) | 20, −68, 62 | DVS |
| Left inferior occipital gyrus (L IOG) | −42, −64, −12 | VVS, VS |
| Left inferior temporal gyrus (L ITG) | −44, −50, −15 | VVS |
| Left fusiform gyrus (L FG) | −34, −48, −16 | VVS |
| Right inferior occipital gyrus (R IOG) | 40, −64, −12 | VVS, VS |
| Right inferior temporal gyrus (R ITG) | 48, −60, −12 | VVS |
| Right fusiform gyrus (R FG) | 40, −52, −16 | VVS |
| Left calcarine (L Calc) | −8, −86, 6 | VS |
| Right calcarine (R Calc) | 8, −86, 6 | VS |
| Subsystem | Connection | Min Length (mm) | Max Length (mm) | Angular Threshold (deg) |
|---|---|---|---|---|
| DVS | L SOG L IPL | 10 | 100 | 60 |
| L SOG L SPL | 10 | 300 | 70 | |
| R SOG R IPL | 10 | 100 | 75 | |
| R SOG R SPL | 10 | 150 | 70 | |
| VVS | L IOG L ITG | 10 | 20 | 50 |
| L IOG L FG | 10 | 35 | 50 | |
| R IOG R ITG | 10 | 20 | 50 | |
| R IOG R FG | 10 | 35 | 50 | |
| VS | L Calc L IOG | 10 | 70 | 65 |
| L Calc L SOG | 5 | 20 | 50 | |
| R Calc R IOG | 10 | 80 | 65 | |
| R Calc R SOG | 10 | 30 | 50 |
Disclaimer/Publisher’s Note: The statements, opinions and data contained in all publications are solely those of the individual author(s) and contributor(s) and not of MDPI and/or the editor(s). MDPI and/or the editor(s) disclaim responsibility for any injury to people or property resulting from any ideas, methods, instructions or products referred to in the content. |
© 2024 by the authors. Licensee MDPI, Basel, Switzerland. This article is an open access article distributed under the terms and conditions of the Creative Commons Attribution (CC BY) license (https://creativecommons.org/licenses/by/4.0/).
Share and Cite
Cahill, K.; Jordan, T.; Dhamala, M. Connectivity in the Dorsal Visual Stream Is Enhanced in Action Video Game Players. Brain Sci. 2024, 14, 1206. https://doi.org/10.3390/brainsci14121206
Cahill K, Jordan T, Dhamala M. Connectivity in the Dorsal Visual Stream Is Enhanced in Action Video Game Players. Brain Sciences. 2024; 14(12):1206. https://doi.org/10.3390/brainsci14121206
Chicago/Turabian StyleCahill, Kyle, Timothy Jordan, and Mukesh Dhamala. 2024. "Connectivity in the Dorsal Visual Stream Is Enhanced in Action Video Game Players" Brain Sciences 14, no. 12: 1206. https://doi.org/10.3390/brainsci14121206
APA StyleCahill, K., Jordan, T., & Dhamala, M. (2024). Connectivity in the Dorsal Visual Stream Is Enhanced in Action Video Game Players. Brain Sciences, 14(12), 1206. https://doi.org/10.3390/brainsci14121206

