Effect of Different Timing of Local Brain Radiotherapy on Survival of EGFR-Mutated NSCLC Patients with Limited Brain Metastases
Abstract
:1. Introduction
2. Methods and Materials
2.1. Patient Population
2.2. Treatment
2.3. Follow Up
2.4. Statistical Analysis
3. Results
3.1. Patients’ Characteristics
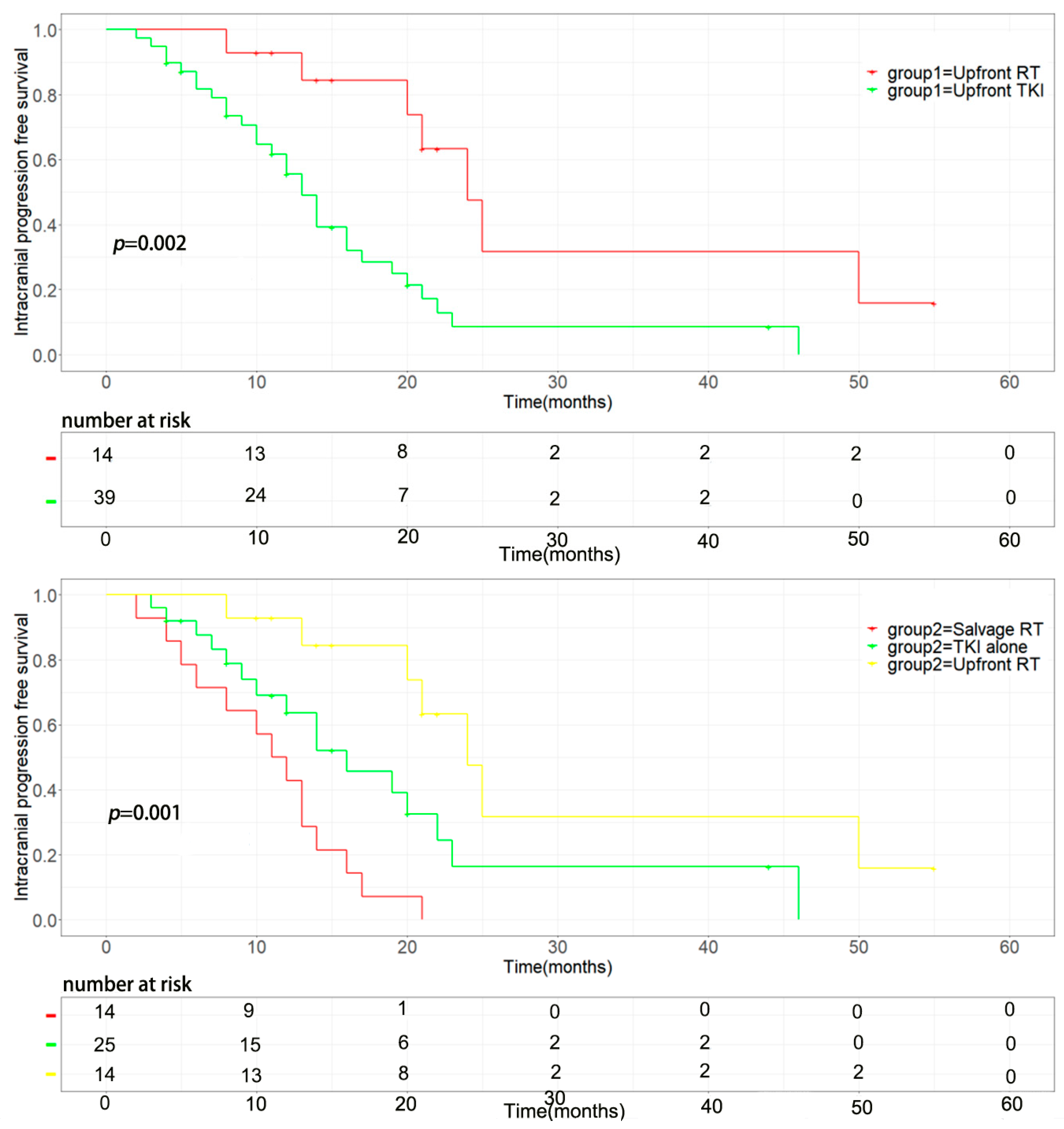
3.2. Survival Outcomes
3.3. Patterns of the First Site of Failure and Intracranial Progression
4. Discussion
Author Contributions
Funding
Institutional Review Board Statement
Informed Consent Statement
Data Availability Statement
Acknowledgments
Conflicts of Interest
References
- Bray, F.; Ferlay, J.; Soerjomataram, I.; Siegel, R.L.; Torre, L.A.; Jemal, A. Global cancer statistics 2018: GLOBOCAN estimates of incidence and mortality worldwide for 36 cancers in 185 countries. CA Cancer J. Clin. 2018, 68, 394–424. [Google Scholar] [CrossRef] [PubMed]
- Barnholtz-Sloan, J.S.; Sloan, A.E.; Davis, F.G.; Vigneau, F.D.; Lai, P.; Sawaya, R.E. Incidence proportions of brain metastases in patients diagnosed (1973 to 2001) in the Metropolitan Detroit Cancer Surveillance System. J. Clin. Oncol. 2004, 22, 2865–2872. [Google Scholar] [CrossRef]
- Shin, D.Y.; Na, I., II.; Kim, C.H.; Park, S.; Baek, H.; Yang, S.H. EGFR mutation and brain metastasis in pulmonary adenocarcinomas. J. Thorac. Oncol. 2014, 9, 195–199. [Google Scholar] [CrossRef]
- Sperduto, P.W.; Kased, N.; Roberge, D.; Xu, Z.; Shanley, R.; Luo, X.; Sneed, P.K.; Chao, S.T.; Weil, R.J.; Suh, J.; et al. Summary report on the graded prognostic assessment: An accurate and facile diagnosis-specific tool to estimate survival for patients with brain metastases. J. Clin. Oncol. 2012, 30, 419–425. [Google Scholar] [CrossRef] [PubMed]
- Jenkinson, M.D.; Haylock, B.; Shenoy, A.; Husband, D.; Javadpour, M. Management of cerebral metastasis: Evidence-based approach for surgery, stereotactic radiosurgery and radiotherapy. Eur. J. Cancer 2011, 47, 649–655. [Google Scholar] [CrossRef]
- Zhou, C.; Wu, Y.L.; Chen, G.; Feng, J.; Liu, X.Q.; Wang, C.; Zhang, S.; Wang, J.; Zhou, S.; Ren, S.; et al. Erlotinib versus chemotherapy as first-line treatment for patients with advanced EGFR mutation-positive non-small-cell lung cancer (OPTIMAL, CTONG-0802): A multicentre, open-label, randomised, phase 3 study. Lancet Oncol. 2011, 12, 735–742. [Google Scholar] [CrossRef]
- Rosell, R.; Carcereny, E.; Gervais, R.; Vergnenegre, A.; Massuti, B.; Felip, E.; Palmero, R.; Garcia-Gomez, R.; Pallares, C.; Sanchez, J.M.; et al. Erlotinib versus standard chemotherapy as first-line treatment for European patients with advanced EGFR mutation-positive non-small-cell lung cancer (EURTAC): A multicentre, open-label, randomised phase 3 trial. Lancet Oncol. 2012, 13, 239–246. [Google Scholar] [CrossRef]
- Soria, J.; Ohe, Y.; Vansteenkiste, J.; Reungwetwattana, T.; Chewaskulyong, B.; Lee, K.; Dechaphunkul, A.; Imamura, F.; Nogami, N.; Kurata, T.; et al. Osimertinib in Untreated EGFR-Mutated Advanced Non-Small-Cell Lung Cancer. N. Engl. J. Med. 2018, 378, 113–125. [Google Scholar] [CrossRef] [PubMed]
- Park, S.J.; Kim, H.T.; Lee, D.H.; Kim, K.P.; Kim, S.W.; Suh, C.; Lee, J.S. Efficacy of epidermal growth factor receptor tyrosine kinase inhibitors for brain metastasis in non-small cell lung cancer patients harboring either exon 19 or 21 mutation. Lung Cancer 2012, 77, 556–560. [Google Scholar] [CrossRef]
- Chinnaiyan, P.; Huang, S.; Vallabhaneni, G.; Armstrong, E.; Varambally, S.; Tomlins, S.; Chinnaiyan, A.; Harari, P. Mechanisms of enhanced radiation response following epidermal growth factor receptor signaling inhibition by erlotinib (Tarceva). Cancer Res. 2005, 65, 3328–3335. [Google Scholar] [CrossRef]
- Zhuang, H.; Wang, J.; Zhao, L.; Yuan, Z.; Wang, P. The theoretical foundation and research progress for WBRT combined with erlotinib for the treatment of multiple brain metastases in patients with lung adenocarcinoma. Int. J. Cancer 2013, 133, 2277–2283. [Google Scholar] [CrossRef] [PubMed]
- Gow, C.H.; Chien, C.R.; Chang, Y.L.; Chiu, Y.H.; Kuo, S.H.; Shih, J.Y.; Chang, Y.C.; Yu, C.J.; Yang, C.H.; Yang, P.C. Radiotherapy in lung adenocarcinoma with brain metastases: Effects of activating epidermal growth factor receptor mutations on clinical response. Clin. Cancer Res. 2008, 14, 162–168. [Google Scholar] [CrossRef] [PubMed]
- Jiang, T.; Min, W.; Li, Y.; Yue, Z.; Wu, C.; Zhou, C. Radiotherapy plus EGFR TKIs in non-small cell lung cancer patients with brain metastases: An update meta-analysis. Cancer Med. 2016, 5, 1055–1065. [Google Scholar] [CrossRef]
- Dong, K.; Liang, W.; Zhao, S.; Guo, M.; Xia, X. EGFR-TKI plus brain radiotherapy versus EGFR-TKI alone in the management of EGFR-mutated NSCLC patients with brain metastases. Transl. Lung Cancer Res. 2019, 8, 268–279. [Google Scholar] [CrossRef] [PubMed]
- Du, X.; Pan, S.; Lai, S.; Xu, X.; Deng, M.; Wang, X.; Yao, D.; Wu, S. Upfront Cranial Radiotherapy vs. EGFR Tyrosine Kinase Inhibitors Alone for the Treatment of Brain Metastases From Non-small-cell Lung Cancer: A Meta-Analysis of 1465 Patients. Front. Oncol. 2018, 8, 603. [Google Scholar] [CrossRef]
- Wang, C.; Lu, X.; Zhangyan, L.; Bi, N.; Wang, L. Comparison of up-front radiotherapy and TKI with TKI alone for NSCLC with brain metastases and EGFR mutation: A meta-analysis. Lung Cancer 2018, 122, 94–99. [Google Scholar] [CrossRef] [PubMed]
- Soon, Y.Y.; Leong, C.N.; Koh, W.Y.; Tham, I.W.K. EGFR tyrosine kinase inhibitors versus cranial radiation therapy for EGFR mutant non-small cell lung cancer with brain metastases: A systematic review and meta-analysis. Radiother. Oncol. 2015, 114, 167–172. [Google Scholar] [CrossRef] [PubMed]
- Jamal-Hanjani, M.; Spicer, J. Epidermal growth factor receptor tyrosine kinase inhibitors in the treatment of epidermal growth factor receptor-mutant non-small cell lung cancer metastatic to the brain. Clin. Cancer Res. 2012, 18, 938–944. [Google Scholar] [CrossRef]
- Liu, S.; Qiu, B.; Chen, L.; Wang, F.; Liang, Y.; Cai, P.; Zhang, L.; Chen, Z.; Liu, S.; Liu, M.; et al. Radiotherapy for asymptomatic brain metastasis in epidermal growth factor receptor mutant non-small cell lung cancer without prior tyrosine kinase inhibitors treatment: A retrospective clinical study. Radiat. Oncol. 2015, 10, 118. [Google Scholar] [CrossRef]
- Gu, Y.; Xu, Y.; Zhuang, H.; Jiang, W.; Zhang, H.; Li, X.; Liu, Y.; Ma, L.; Zhao, D.; Cheng, Y.; et al. Value and significance of brain radiation therapy during first-line EGFR-TKI treatment in lung adenocarcinoma with EGFR sensitive mutation and synchronous brain metastasis: Appropriate timing and technique. Thorac. Cancer 2021, 12, 3157–3168. [Google Scholar] [CrossRef]
- Thomas, A.; Rock, J.; Johnson, C.; Weiss, L.; Jacobsen, G.; Rosenblum, M. Survival of patients with synchronous brain metastases: An epidemiological study in southeastern Michigan. J. Neurosurg. 2000, 93, 927–931. [Google Scholar] [CrossRef] [PubMed]
- Armocida, D.; Pesce, A.; Palmieri, M.; Cofano, F.; Palmieri, G.; Cassoni, P.; Busceti, C.L.; Biagioni, F.; Garbossa, D.; Fornai, F.; et al. EGFR-Driven Mutation in Non-Small-Cell Lung Cancer (NSCLC) Influences the Features and Outcome of Brain Metastases. J. Clin. Med. 2023, 12, 3372. [Google Scholar] [CrossRef] [PubMed]
- Shaw, E.; Scott, C.; Souhami, L.; Dinapoli, R.; Kline, R.; Loeffler, J.; Farnan, N. Single dose radiosurgical treatment of recurrent previously irradiated primary brain tumors and brain metastases: Final report of RTOG protocol 90-05. Int. J. Radiat. Oncol. Biol. Phys. 2000, 47, 291–298. [Google Scholar] [CrossRef] [PubMed]
- Andrews, D.W.; Scott, C.B.; Sperduto, P.W.; Flanders, A.E.; Gaspar, L.E.; Schell, M.C.; Werner-Wasik, M.; Demas, W.; Ryu, J.; Bahary, J.P.; et al. Whole brain radiation therapy with or without stereotactic radiosurgery boost for patients with one to three brain metastases: Phase III results of the RTOG 9508 randomised trial. Lancet 2004, 363, 1665–1672. [Google Scholar] [CrossRef] [PubMed]
- Liu, Y.; Deng, L.; Zhou, X.; Gong, Y.; Xu, Y.; Zhou, L.; Wan, J.; Zou, B.; Wang, Y.; Zhu, J.; et al. Concurrent brain radiotherapy and EGFR-TKI may improve intracranial metastases control in non-small cell lung cancer and have survival benefit in patients with low DS-GPA score. Oncotarget 2017, 8, 111309–111317. [Google Scholar] [CrossRef] [PubMed]
- Magnuson, W.; Yeung, J.; Guillod, P.; Gettinger, S.; Yu, J.; Chiang, V. Impact of Deferring Radiation Therapy in Patients With Epidermal Growth Factor Receptor-Mutant Non-Small Cell Lung Cancer Who Develop Brain Metastases. Int. J. Radiat. Oncol. Biol. Phys. 2016, 95, 673–679. [Google Scholar] [CrossRef] [PubMed]
- Miyawaki, E.; Kenmotsu, H.; Mori, K.; Harada, H.; Mitsuya, K.; Mamesaya, N.; Kawamura, T.; Kobayashi, H.; Nakashima, K.; Omori, S.; et al. Optimal Sequence of Local and EGFR-TKI Therapy for EGFR-Mutant Non-Small Cell Lung Cancer With Brain Metastases Stratified by Number of Brain Metastases. Int. J. Radiat. Oncol. Biol. Phys. 2019, 104, 604–613. [Google Scholar] [CrossRef]
- Wu, Y.L.; Ahn, M.J.; Garassino, M.C.; Han, J.Y.; Katakami, N.; Kim, H.R.; Hodge, R.; Kaur, P.; Brown, A.P.; Ghiorghiu, D. CNS Efficacy of Osimertinib in Patients With T790M-Positive Advanced Non-Small-Cell Lung Cancer: Data From a Randomized Phase III Trial (AURA3). J. Clin. Oncol. 2018, 36, JCO2018779363. [Google Scholar] [CrossRef]
- Reungwetwattana, T.; Nakagawa, K.; Cho, B.; Cobo, M.; Cho, E.; Bertolini, A.; Bohnet, S.; Zhou, C.; Lee, K.; Nogami, N.; et al. CNS Response to Osimertinib Versus Standard Epidermal Growth Factor Receptor Tyrosine Kinase Inhibitors in Patients With Untreated EGFR-Mutated Advanced Non-Small-Cell Lung Cancer. J. Clin. Oncol. 2018, 36, 3290–3297. [Google Scholar] [CrossRef]
- Yu, F.; Ni, J.; Zeng, W.; Zhou, Y.; Guo, T.; Zeng, Y.; Zhao, Y.; Li, S.; Li, Y.; Yang, X.; et al. Clinical Value of Upfront Cranial Radiation Therapy in Osimertinib-Treated Epidermal Growth Factor Receptor-Mutant Non-Small Cell Lung Cancer With Brain Metastases. Int. J. Radiat. Oncol. Biol. Phys. 2021, 111, 804–815. [Google Scholar] [CrossRef]
- Heon, S.; Yeap, B.; Lindeman, N.; Joshi, V.; Butaney, M.; Britt, G.; Costa, D.; Rabin, M.; Jackman, D.; Johnson, B. The impact of initial gefitinib or erlotinib versus chemotherapy on central nervous system progression in advanced non-small cell lung cancer with EGFR mutations. Clin. Cancer Res. 2012, 18, 4406–4414. [Google Scholar] [CrossRef] [PubMed]
- Togashi, Y.; Masago, K.; Masuda, S.; Mizuno, T.; Fukudo, M.; Ikemi, Y.; Sakamori, Y.; Nagai, H.; Kim, Y.H.; Katsura, T.; et al. Cerebrospinal fluid concentration of gefitinib and erlotinib in patients with non-small cell lung cancer. Cancer Chemother. Pharmacol. 2012, 70, 399–405. [Google Scholar] [CrossRef]
- Ballard, P.; Yates, J.W.; Yang, Z.; Kim, D.W.; Yang, J.C.; Cantarini, M.; Pickup, K.; Jordan, A.; Hickey, M.; Grist, M.; et al. Preclinical Comparison of Osimertinib with Other EGFR-TKIs in EGFR-Mutant NSCLC Brain Metastases Models, and Early Evidence of Clinical Brain Metastases Activity. Clin. Cancer Res. 2016, 22, 5130–5140. [Google Scholar] [CrossRef]
- Lee, Y.J.; Choi, H.J.; Kim, S.K.; Chang, J.; Moon, J.W.; Park, I.K.; Kim, J.H.; Cho, B.C. Frequent central nervous system failure after clinical benefit with epidermal growth factor receptor tyrosine kinase inhibitors in Korean patients with nonsmall-cell lung cancer. Cancer 2010, 116, 1336–1343. [Google Scholar] [CrossRef]
- Iuchi, T.; Shingyoji, M.; Sakaida, T.; Hatano, K.; Nagano, O.; Itakura, M.; Kageyama, H.; Yokoi, S.; Hasegawa, Y.; Kawasaki, K.; et al. Phase II trial of gefitinib alone without radiation therapy for Japanese patients with brain metastases from EGFR-mutant lung adenocarcinoma. Lung Cancer 2013, 82, 282–287. [Google Scholar] [CrossRef] [PubMed]
- Wu, Y.L.; Zhou, C.; Cheng, Y.; Lu, S.; Chen, G.Y.; Huang, C.; Huang, Y.S.; Yan, H.H.; Ren, S.; Liu, Y.; et al. Erlotinib as second-line treatment in patients with advanced non-small-cell lung cancer and asymptomatic brain metastases: A phase II study (CTONG-0803). Ann. Oncol. 2013, 24, 993–999. [Google Scholar] [CrossRef] [PubMed]
- Li, H.; Zhang, X.; Cao, J.; Su, P.; Lian, J.; Song, X.; Yang, W.; Han, S.; Xi, Y.; Wang, Y. Exon 19 deletion of epidermal growth factor receptor is associated with prolonged survival in brain metastases from non-small-cell lung cancer. Tumour Biol. 2015, 36, 9251–9258. [Google Scholar] [CrossRef]
- Morris, P.G.; Reiner, A.S.; Szenberg, O.R.; Clarke, J.L.; Panageas, K.S.; Perez, H.R.; Kris, M.G.; Chan, T.A.; DeAngelis, L.M.; Omuro, A.M. Leptomeningeal metastasis from non-small cell lung cancer: Survival and the impact of whole brain radiotherapy. J. Thorac. Oncol. 2012, 7, 382–385. [Google Scholar] [CrossRef] [PubMed]




| Characteristic | Upfront TKI n = 39 (%) | Upfront RT n = 14(%) | p Value |
|---|---|---|---|
| Age, years | 0.123 | ||
| Median | 65 | 58 | |
| <60 | 13 (33.3) | 8 (57.1) | |
| ≥60 | 26 (66.7) | 6 (42.9) | |
| Sex | 0.253 | ||
| Male | 18 (46.2) | 9 (64.3) | |
| Female | 21 (53.8) | 5 (35.7) | |
| KPS | 0.230 | ||
| <70 | 15 (38.5) | 3 (21.4) | |
| ≥70 | 24 (61.5) | 11 (78.6) | |
| Smoking | 0.630 | ||
| Former/current | 11 (28.2) | 3 (21.4) | |
| Never | 28 (71.8) | 11 (78.6) | |
| EGFR mutation | 0.026 | ||
| 19del | 12 (30.8) | 9 (64.3) | |
| L858R | 22 (56.4) | 5 (35.7) | |
| Other | 5 (12.8) | 0 (0) | |
| CEA of blood (ng/mL) | 0.734 | ||
| <12 | 16 (41) | 5 (35.7) | |
| ≥12 | 23 (59) | 9 (64.3) | |
| Number of extra-cranial metastases | 0.334 | ||
| 0 | 15 (38.5) | 4 (28.6) | |
| 1 | 12 (30.8) | 4 (28.6) | |
| 2 | 7 (17.9) | 3 (21.4) | |
| 3 | 4 (10.3) | 2 (14.3) | |
| 4 | 1 (2.6) | 1 (7.1) | |
| CNS symptoms from BMs | 0.000 | ||
| With | 11 (28.2) | 13 (92.9) | |
| Without | 28 (71.8) | 1 (7.1) | |
| Generation of EGFR-TKI | 0.012 | ||
| 1st/2nd | 33 (84.6) | 14 | |
| 3rd | 6 (15.4) | 0 | |
| Graded Prognostic Assessment | 0.760 | ||
| 0–2 | 32 (82.1) | 12 (85.7) | |
| 2.5–4 | 7 (17.9) | 2 (14.3) |
| Characteristic | N | Median OS (Months) | 95% CI | Log-Rank (p Value) |
|---|---|---|---|---|
| Age, years | 0.767 | |||
| <60 | 21 | 27.0 | 15.86–38.13 | |
| ≥60 | 32 | 27.0 | 16.64–37.37 | |
| Sex | 0.932 | |||
| Male | 27 | 27.0 | 14.92–39.08 | |
| Female | 26 | 30.0 | 22.17–37.83 | |
| KPS | ||||
| <70 | 18 | 32.0 | 4.89–21.12 | 0.000 |
| ≥70 | 35 | 13.0 | 26.26–37.74 | |
| Smoking | 0.762 | |||
| Former/current | 14 | 27.0 | 11.94–42.06 | |
| Never | 39 | 27.0 | 14.02–34.21 | |
| EGFR mutation | 0.048 | |||
| 19del | 21 | 39.0 | 7.89–70.11 | |
| L858R | 27 | 27.0 | 14.02–39.98 | |
| CEA of blood (ng/mL) | 0.053 | |||
| <12 | 21 | 34.0 | 25.07–42.93 | |
| ≥12 | 32 | 23.0 | 16.25–29.75 | |
| Number of extra-cranial metastases | 0.007 | |||
| 0 | 19 | 39.0 | 24.63–53.37 | |
| 1 | 16 | 31.0 | 21.76–40.24 | |
| 2 | 10 | 23.0 | 20.11–25.89 | |
| 3 | 6 | 11.0 | 2.60–19.40 | |
| 4 | 2 | 11.0 | - | |
| BM number | 0.456 | |||
| 1 | 13 | 58.0 | 0.95–115.05 | |
| ≥2 | 40 | 56.0 | 30.99–74.44 | |
| Time of meningeal metastasis | 0.000 | |||
| synchronous | 7 | 15 | 7.97–22.03 | |
| heterochronic | 21 | 33 | 23.53–42.48 | |
| CNS symptoms from BMs | 0.717 | |||
| With | 24 | 30.0 | 24.31–35.69 | |
| Without | 29 | 26.0 | 16.33–35.67 | |
| Intracranial treatment during the course | 0.054 | |||
| Yes | 29 | 31.0 | 25.10–36.90 | |
| No | 24 | 22.0 | 12.33–31.67 | |
| Generation of TKI | 0.998 | |||
| 1st/2nd | 47 | 27.0 | 20.02–33.98 | |
| 3rd | 6 | 18.0 | 5.12–30.88 | |
| GPA score | ||||
| 0–2 | 44 | 30 | 20.87–31.13 | 0.018 |
| 2.5–4 | 9 | 49 | 36.76–61.24 | |
| Upfront RT or not | 0.552 | |||
| Yes | 14 | 30.0 | 25.81–34.19 | |
| No | 39 | 26.0 | 15.31–36.69 |
| Characteristic | β Value | SE Value | 95% CI | Log-Rank (p Value) |
|---|---|---|---|---|
| KPS (<70, ≥70) | 1.49 | 0.58 | 1.43–13.65 | 0.01 |
| Meningeal metastasis (synchronous/heterochronic) | −2.49 | 0.71 | 0.02–0.34 | 0.000 |
| Group | p Value | ||
|---|---|---|---|
| Site of first progression | Upfront TKIs (n = 37) | Upfront RT (n = 13) | 0.741 |
| Intra-cranial | 18 (48.7%) | 2(15.4%) | 0.060 |
| Extra-cranial | 8 (21.6%) | 5 (38.5%) | 0.234 |
| Concurrent | 8 (21.6%) | 2 (15.4%) | |
| Death | 3 (8.1%) | 4 (30.7%) | |
| Group | p Value | ||
|---|---|---|---|
| Site of intra-cranial progression | Upfront TKIs (n = 36) | Upfront RT (n = 10) | 0.156 |
| Original sites | 13 (36.1%) | 0 (0.0%) | 0.025 |
| Distant sites | 11 (30.5%) | 5 (50.0%) | 0.253 |
| Concurrent | 6 (16.7%) | 3 (30.0%) | |
| Death | 6 (16.7%) | 2 (20.0%) | |
Disclaimer/Publisher’s Note: The statements, opinions and data contained in all publications are solely those of the individual author(s) and contributor(s) and not of MDPI and/or the editor(s). MDPI and/or the editor(s) disclaim responsibility for any injury to people or property resulting from any ideas, methods, instructions or products referred to in the content. |
© 2023 by the authors. Licensee MDPI, Basel, Switzerland. This article is an open access article distributed under the terms and conditions of the Creative Commons Attribution (CC BY) license (https://creativecommons.org/licenses/by/4.0/).
Share and Cite
Wang, Y.; Wu, S.; Li, J.; Liang, X.; Zhou, X. Effect of Different Timing of Local Brain Radiotherapy on Survival of EGFR-Mutated NSCLC Patients with Limited Brain Metastases. Brain Sci. 2023, 13, 1280. https://doi.org/10.3390/brainsci13091280
Wang Y, Wu S, Li J, Liang X, Zhou X. Effect of Different Timing of Local Brain Radiotherapy on Survival of EGFR-Mutated NSCLC Patients with Limited Brain Metastases. Brain Sciences. 2023; 13(9):1280. https://doi.org/10.3390/brainsci13091280
Chicago/Turabian StyleWang, Yu, Shenghong Wu, Jing Li, Xiaohua Liang, and Xinli Zhou. 2023. "Effect of Different Timing of Local Brain Radiotherapy on Survival of EGFR-Mutated NSCLC Patients with Limited Brain Metastases" Brain Sciences 13, no. 9: 1280. https://doi.org/10.3390/brainsci13091280
APA StyleWang, Y., Wu, S., Li, J., Liang, X., & Zhou, X. (2023). Effect of Different Timing of Local Brain Radiotherapy on Survival of EGFR-Mutated NSCLC Patients with Limited Brain Metastases. Brain Sciences, 13(9), 1280. https://doi.org/10.3390/brainsci13091280
