Endoscopic Endonasal Approach in Craniopharyngiomas: Representative Cases and Technical Nuances for the Young Neurosurgeon
Abstract
1. Introduction
2. Materials and Methods
3. Results
3.1. Endoscopic Endonasal Approach
3.1.1. Nasal Phase
3.1.2. Sphenoidal Phase
3.1.3. Sellar Phase
3.1.4. Closure
3.2. Representative Clinical Cases
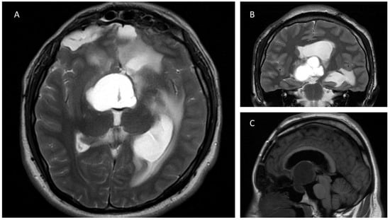
3.2.1. Case 1
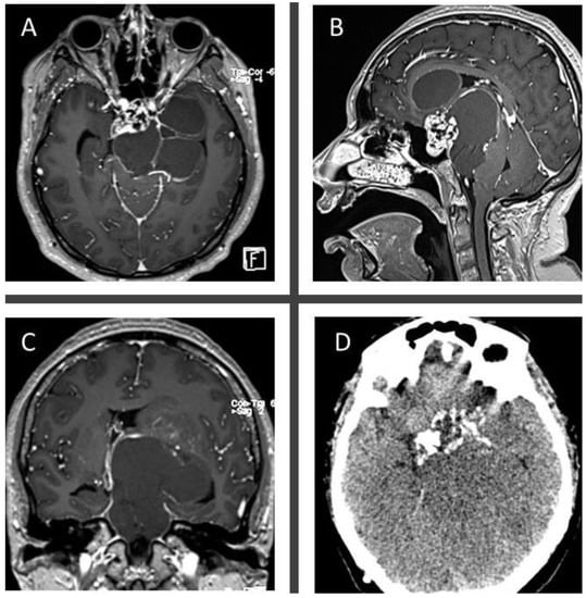
3.2.2. Case 2
3.2.3. Case 3
4. Discussion
5. Conclusions
Supplementary Materials
Author Contributions
Funding
Institutional Review Board Statement
Informed Consent Statement
Data Availability Statement
Conflicts of Interest
References
- Al-Dahmani, K.; Mohammad, S.; Imran, F.; Theriault, C.; Doucette, S.; Zwicker, D.; Yip, C.E.; Clarke, D.B.; Imran, S.A. Sellar Masses: An Epidemiological Study. Can. J. Neurol. Sci. 2016, 43, 291–297. [Google Scholar] [CrossRef]
- Cavallo, L.M.; Somma, T.; Solari, D.; Iannuzzo, G.; Frio, F.; Baiano, C.; Cappabianca, P. Endoscopic Endonasal Transsphenoidal Surgery: History and Evolution. World Neurosurg. 2019, 127, 686–694. [Google Scholar] [CrossRef]
- Baldauf, J.; Hosemann, W.; Schroeder, H.W.S. Endoscopic Endonasal Approach for Craniopharyngiomas. Neurosurg. Clin. N. Am. 2015, 26, 363–375. [Google Scholar] [CrossRef]
- Liu, J.K.; Sevak, I.A.; Carmel, P.W.; Eloy, J.A. Microscopic versus endoscopic approaches for craniopharyngiomas: Choosing the optimal surgical corridor for maximizing extent of resection and complication avoidance using a personalized, tailored approach. Neurosurg. Focus 2016, 41, E5. [Google Scholar] [CrossRef]
- Jho, H.-D. Endoscopic transsphenoidal surgery. J. Neuro-Oncol. 2001, 54, 187–195. [Google Scholar] [CrossRef]
- Zador, Z.; Gnanalingham, K. Endoscopic Transnasal Approach to the Pituitary—Operative Technique and Nuances. Br. J. Neurosurg. 2013, 27, 718–726. [Google Scholar] [CrossRef]
- Youmans, J.R. Youmans and Winn Neurological Surgery; Winn, H.R., Ed.; Elsevier: Amsterdam, The Netherlands, 2022. [Google Scholar]
- Hadad, G.; Bassagasteguy, L.; Carrau, R.L.; Mataza, J.C.; Kassam, A.; Snyderman, C.H.; Mintz, A. A Novel Reconstructive Technique after Endoscopic Expanded Endonasal Approaches: Vascular Pedicle Nasoseptal Flap. Laryngoscope 2006, 116, 1882–1886. [Google Scholar] [CrossRef]
- Kulwin, C.; Schwartz, T.H.; Cohen-Gadol, A.A. Endoscopic extended transsphenoidal resection of tuberculum sellae meningiomas: Nuances of neurosurgical technique. Neurosurg. Focus 2013, 35, E6. [Google Scholar] [CrossRef]
- Conger, A.R.; Lucas, J.; Zada, G.; Schwartz, T.H.; Cohen-Gadol, A.A. Endoscopic extended transsphenoidal resection of craniopharyngiomas: Nuances of neurosurgical technique. Neurosurg. Focus 2014, 37, E10. [Google Scholar] [CrossRef]
- Santos, R.D.P.; Zymberg, S.T.; Filho, J.Z.A.; Gregório, L.C.; Weckx, L.L.M. Endoscopic Transnasal Approach to Sellar Tumors. Braz. J. Otorhinolaryngol. 2007, 73, 463–475. [Google Scholar] [CrossRef]
- Leng, L.Z.; Brown, S.; Anand, V.K.; Schwartz, T.H. “Gasket-Seal” Watertight Closure in Minimal-Access Endoscopic Cranial Base Surgery. Oper. Neurosurg. 2008, 62, ONSE342–ONSE343. [Google Scholar] [CrossRef]
- Navarro, V.G.; Anand, V.K.; Schwartz, T.H. Gasket Seal Closure for Extended Endonasal Endoscopic Skull Base Surgery: Efficacy in a Large Case Series. World Neurosurg. 2013, 80, 563–568. [Google Scholar] [CrossRef]
- Scagnelli, R.J.; Patel, V.; Peris-Celda, M.; Kenning, T.J.; Pinheiro-Neto, C.D. Implementation of Free Mucosal Graft Technique for Sellar Reconstruction after Pituitary Surgery: Outcomes of 158 Consecutive Patients. World Neurosurg. 2019, 122, e506–e511. [Google Scholar] [CrossRef]
- Komotar, R.J.; Starke, R.M.; Raper, D.M.; Anand, V.K.; Schwartz, T.H. Endoscopic Endonasal Compared with Microscopic Transsphenoidal and Open Transcranial Resection of Craniopharyngiomas. World Neurosurg. 2012, 77, 329–341. [Google Scholar] [CrossRef]
- Cavallo, L.M.; Prevedello, D.M.; Solari, D.; Gardner, P.A.; Esposito, F.; Snyderman, C.H.; Carrau, R.L.; Kassam, A.B.; Cappabianca, P. Extended endoscopic endonasal transsphenoidal approach for residual or recurrent craniopharyngiomas. J. Neurosurg. 2009, 111, 578–589. [Google Scholar] [CrossRef]
- Kassam, A.B.; Gardner, P.A.; Snyderman, C.H.; Carrau, R.L.; Mintz, A.H.; Prevedello, D.M. Expanded endonasal approach, a fully endoscopic transnasal approach for the resection of midline suprasellar craniopharyngiomas: A new classification based on the infundibulum. J. Neurosurg. 2008, 108, 715–728. [Google Scholar] [CrossRef]
- Tang, B.; Xie, S.H.; Xiao, L.M.; Huang, G.L.; Wang, Z.G.; Yang, L.; Yang, X.Y.; Xu, S.; Chen, Y.Y.; Ji, Y.Q.; et al. A Novel Endoscopic Classification for Craniopharyngioma Based on Its Origin. Sci. Rep. 2018, 8, 10215. [Google Scholar] [CrossRef]
- Na, M.K.; Jang, B.; Choi, K.S.; Lim, T.H.; Kim, W.; Cho, Y.; Shin, H.G.; Ahn, C.; Kim, J.G.; Lee, J.; et al. Craniopharyngioma resection by endoscopic endonasal approach versus transcranial approach: A systematic review and meta-analysis of comparative studies. Front. Oncol. 2022, 12, 1058329. [Google Scholar] [CrossRef]
- Lei, C.; Chuzhong, L.; Chunhui, L.; Peng, Z.; Jiwei, B.; Xinsheng, W.; Yazhuo, Z.; Songbai, G. Approach selection and outcomes of craniopharyngioma resection: A single-institute study. Neurosurg. Rev. 2021, 44, 1737–1746. [Google Scholar] [CrossRef]
- Liu, J.K.; Eloy, J.A. Endoscopic endonasal transplanum transtuberculum approach for resection of retrochiasmatic craniopharyngioma. Neurosurg. Focus 2012, 32, E2. [Google Scholar] [CrossRef]
- de Divitiis, E.; Cavallo, L.M.; Cappabianca, P.; Esposito, F. Extended endoscopic endonasal transsphenoidal approach for the removal of suprasellar tumors: Part 2. Neurosurgery 2007, 60, 46–59. [Google Scholar] [CrossRef]
- Hannan, C.J.; Almhanedi, H.; Al-Mahfoudh, R.; Bhojak, M.; Looby, S.; Javadpour, M. Predicting post-operative cerebrospinal fluid (CSF) leak following endoscopic transnasal pituitary and anterior skull base surgery: A multivariate analysis. Acta Neurochir. 2020, 162, 1309–1315. [Google Scholar] [CrossRef]
- Soudry, E.; Turner, J.H.; Nayak, J.V.; Hwang, P.H. Endoscopic reconstruction of surgically created skull base defects: A systematic review. Otolaryngol. Head Neck Surg. 2014, 150, 730–738. [Google Scholar] [CrossRef]
- Azab, W.A.; Abdelnabi, E.A.; Mostafa, K.H.; Burhamah, T.A.; Alhaj, A.K.H.; Khalil, A.M.B.; Yousef, W.; Nasim, K. Effect of Sphenoid Sinus Pneumatization on the Surgical Windows for Extended Endoscopic Endonasal Transsphenoidal Surgery. World Neurosurg. 2020, 133, e695–e701. [Google Scholar] [CrossRef]
- Nie, C.; Ye, Y.; Wu, J.; Zhao, H.; Jiang, X.; Wang, H. Clinical Outcomes of Transcranial and Endoscopic Endonasal Surgery for Craniopharyngiomas: A Single-Institution Experience. Front. Oncol. 2022, 12, 755342. [Google Scholar] [CrossRef]
- Snyderman, C.; Kassam, A.; Carrau, R.; Mintz, A.; Gardner, P.; Prevedello, D.M. Acquisition of surgical skills for endonasal skull base surgery: A training program. Laryngoscope 2007, 117, 699–705. [Google Scholar] [CrossRef]
- Lavigne, P.; Faden, D.; Gardner, P.A.; Fernandez-Miranda, J.C.; Wang, E.W.; Snyderman, C.H. Validation of training levels in endoscopic endonasal surgery of the skull base. Laryngoscope 2019, 129, 2253–2257. [Google Scholar] [CrossRef]
- Cavallo, L.M.; Solari, D.; Esposito, F.; Cappabianca, P. The endoscopic endonasal approach for the management of craniopharyngiomas involving the third ventricle. Neurosurg. Rev. 2013, 36, 27–38. [Google Scholar] [CrossRef]
- Kassam, A.B.; Prevedello, D.M.; Carrau, R.L.; Snyderman, C.H.; Thomas, A.; Gardner, P.; Zanation, A.; Duz, B.; Stefko, S.T.; Byers, K.; et al. Endoscopic endonasal skull base surgery: Analysis of complications in the authors’ initial 800 patients. J. Neurosurg. 2011, 114, 1544–1568. [Google Scholar] [CrossRef]






| Modified Level of Complexity in Endoscopic Endonasal Surgery | ||
|---|---|---|
| Level | Compartment | Pathology |
| I | Extradural | CSF leak Chordoma Carcinoma |
| II | Pituitary fossa | Pituitary adenoma Craniopharyngioma |
| III | Anterior skull base floor | Meningioma Esthesioneuroblastoma Fibrous displasia |
| IV | Orbit Pterygo-pallatine fossa Maxillary sinus | Trigeminal Schwannoma |
| V | Cisterns Interpeduncular fossa Clivus | Craniopharyngioma Chordoma Pituitary adenoma |
| VI | Cavernous sinus | Pituitary adenoma Hemangioblastoma Meningioma |
| VII | Vascular | Paraclinoid aneurysm ACo aneurysm Basilar aneurysm Vertebral aneurysm |
| VIII | Intrinsic | Cavernoma Metastasis Glioma |
| Categories of Technical Complexity and Surgical Expertise of Endoscopic Endonasal Approaches for Craniopharyngiomas | ||
|---|---|---|
| Category | Tumor Location/ Extension | Technical Nuances |
| A | Intrasellar/infradiaphragmatic | Anatomic relationships similar to that of pituitary adenomas. The sellar floor is enlarged providing enough space for resection and, thus, facilitating the approach. |
| B | Intra-suprasellar/infradiaphragmatic | Neurovascular structures in the suprasellar side of the tumor protected by the diaphragm. Sufficient space between pituitary gland and the optic chiasm for tumor resection. |
| C | Suprasellar/preinfundibular or transinfundibular | An extended endoscopic endonasal approach is required. Size of the sella is often normal or reduced, resulting in a narrower approach due to closeness of the two intracavernous carotids. Arteries of the circle of Willis are often displaced by the suprasellar mass. |
| D | Suprasellar/retroinfundibular | Requires a more posterior approach. Stretch relationship with important neurovascular structures such as the mammillary bodies and basilar apex. Requires a pituitary transposition, increasing the technical complexity of the approach. |
| E | Arising or extending into the third ventricle | Risk of injury to the hypothalamus, brainstem, and other important neurovascular structures. Increased risk for CSF fistula due to communication of the ventricular cavity with the sphenoid sinus. |
Disclaimer/Publisher’s Note: The statements, opinions and data contained in all publications are solely those of the individual author(s) and contributor(s) and not of MDPI and/or the editor(s). MDPI and/or the editor(s) disclaim responsibility for any injury to people or property resulting from any ideas, methods, instructions or products referred to in the content. |
© 2023 by the authors. Licensee MDPI, Basel, Switzerland. This article is an open access article distributed under the terms and conditions of the Creative Commons Attribution (CC BY) license (https://creativecommons.org/licenses/by/4.0/).
Share and Cite
Aragón-Arreola, J.F.; Marian-Magaña, R.; Villalobos-Diaz, R.; López-Valencia, G.; Jimenez-Molina, T.M.; Moncada-Habib, J.T.; Sangrador-Deitos, M.V.; Gómez-Amador, J.L. Endoscopic Endonasal Approach in Craniopharyngiomas: Representative Cases and Technical Nuances for the Young Neurosurgeon. Brain Sci. 2023, 13, 735. https://doi.org/10.3390/brainsci13050735
Aragón-Arreola JF, Marian-Magaña R, Villalobos-Diaz R, López-Valencia G, Jimenez-Molina TM, Moncada-Habib JT, Sangrador-Deitos MV, Gómez-Amador JL. Endoscopic Endonasal Approach in Craniopharyngiomas: Representative Cases and Technical Nuances for the Young Neurosurgeon. Brain Sciences. 2023; 13(5):735. https://doi.org/10.3390/brainsci13050735
Chicago/Turabian StyleAragón-Arreola, Jorge F., Ricardo Marian-Magaña, Rodolfo Villalobos-Diaz, Germán López-Valencia, Tania M. Jimenez-Molina, J. Tomás Moncada-Habib, Marcos V. Sangrador-Deitos, and Juan L. Gómez-Amador. 2023. "Endoscopic Endonasal Approach in Craniopharyngiomas: Representative Cases and Technical Nuances for the Young Neurosurgeon" Brain Sciences 13, no. 5: 735. https://doi.org/10.3390/brainsci13050735
APA StyleAragón-Arreola, J. F., Marian-Magaña, R., Villalobos-Diaz, R., López-Valencia, G., Jimenez-Molina, T. M., Moncada-Habib, J. T., Sangrador-Deitos, M. V., & Gómez-Amador, J. L. (2023). Endoscopic Endonasal Approach in Craniopharyngiomas: Representative Cases and Technical Nuances for the Young Neurosurgeon. Brain Sciences, 13(5), 735. https://doi.org/10.3390/brainsci13050735

