Applied Fence-Post Techniques Using Deep Electrodes Instead of Catheters for Resection of Glioma Complicated with Frequent Epileptic Seizures: A Case Report
Abstract
1. Introduction
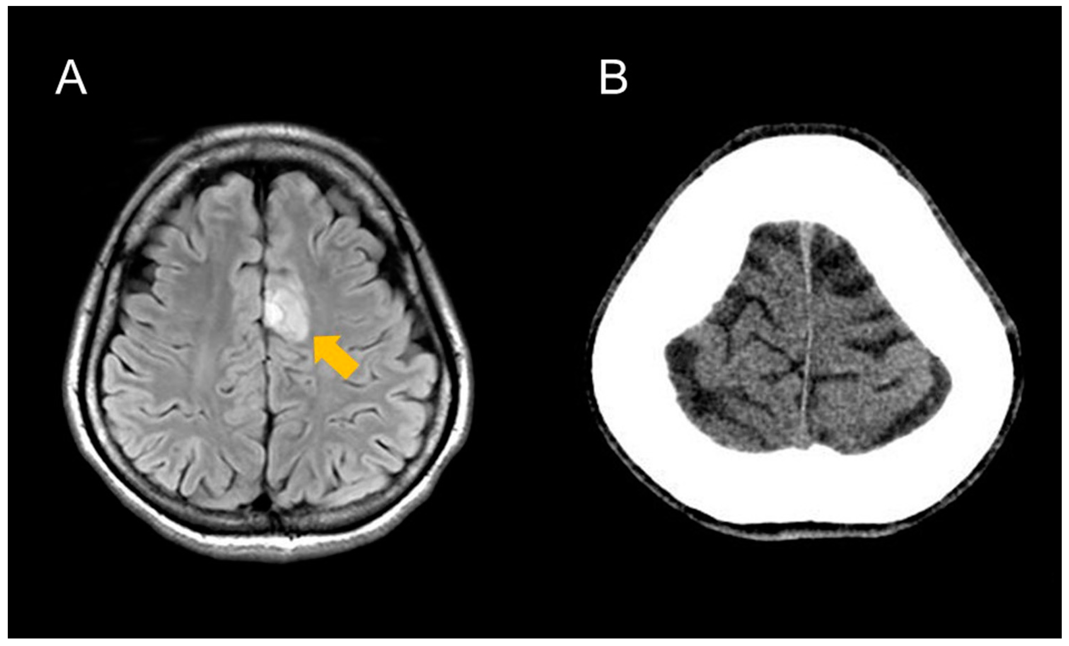
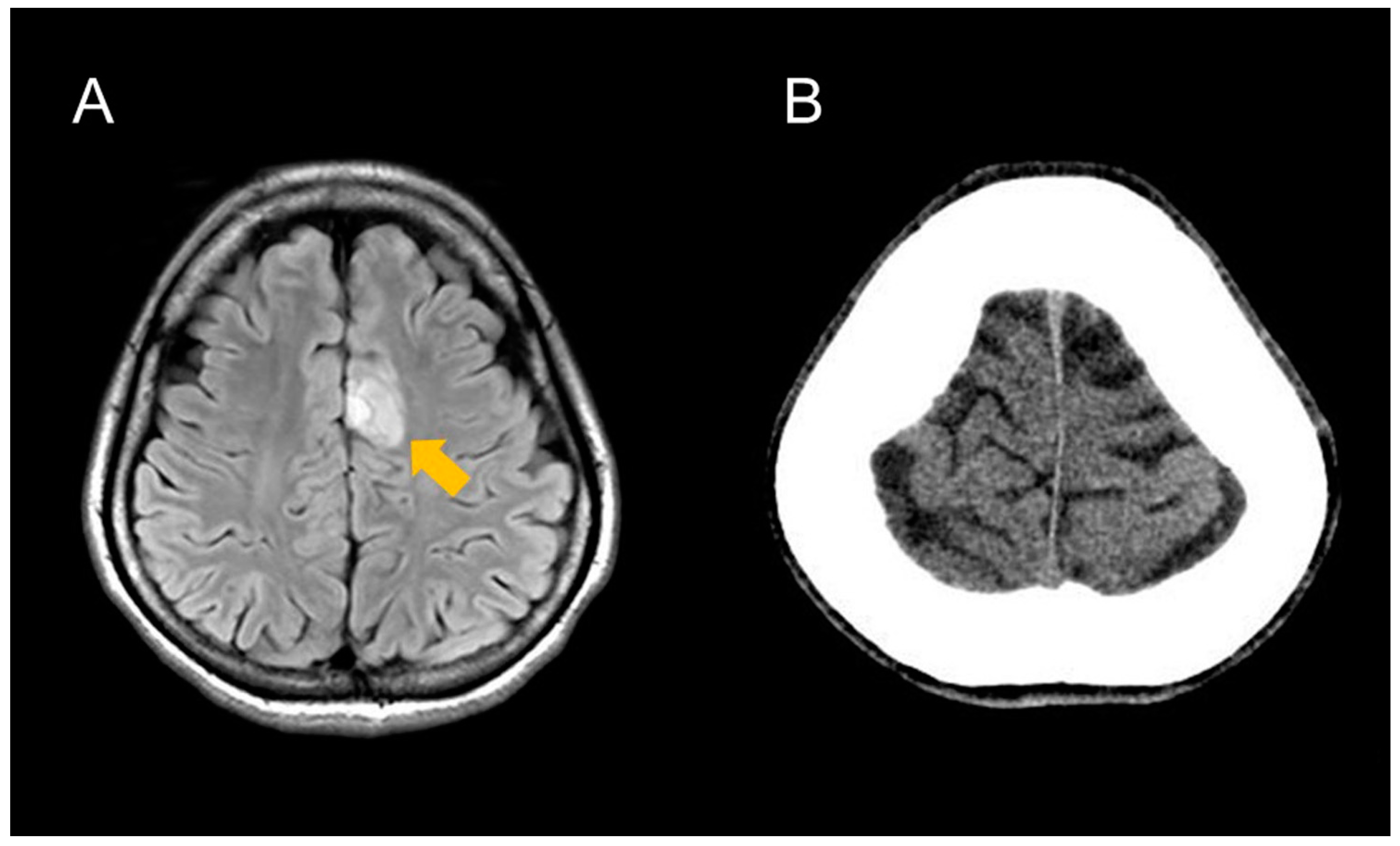
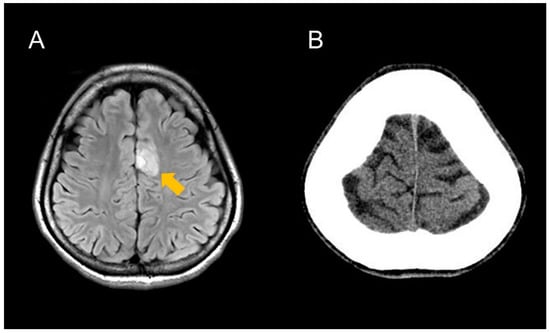
2. Case Presentation
3. Discussion
4. Conclusions
Author Contributions
Funding
Institutional Review Board Statement
Informed Consent Statement
Data Availability Statement
Acknowledgments
Conflicts of Interest
References
- Nakae, S.; Kumon, M.; Murayama, K.; Ohba, S.; Sasaki, H.; Inamasu, J.; Kuwahara, K.; Yamada, S.; Abe, M.; Hirose, Y. Association of preoperative seizures with tumor metabolites quantified by magnetic resonance spectroscopy in gliomas. Sci. Rep. 2021, 12, 7927. [Google Scholar] [CrossRef] [PubMed]
- Bale, T.A.; Rosenblum, M.K. The 2021 WHO Classification of Tumors of the Central Nervous System: An update on pediatric low-grade gliomas and glioneuronal tumors. Brain Pathol. 2022, 32, e13060. [Google Scholar] [CrossRef] [PubMed]
- Slegers, R.J.; Blumcke, I. Low-grade developmental and epilepsy associated brain tumors: A critical update 2020. Acta Neuropathol. Commun. 2020, 8, 27. [Google Scholar] [CrossRef] [PubMed]
- Wefers, A.K.; Stichel, D.; Schrimpf, D.; Coras, R.; Pages, M.; Tauziède-Espariat, A.; Varlet, P.; Schwarz, D.; Söylemezoglu, F.; Pohl, U.; et al. Isomorphic diffuse glioma is a morphologically and molecularly distinct tumour entity with recurrent gene fusions of MYBL1 or MYB and a benign disease course. Acta Neuropathol. 2020, 139, 193–209. [Google Scholar] [CrossRef]
- Nakae, S.; Sasaki, H.; Hayashi, S.; Hattori, N.; Kumon, M.; Nishiyama, Y.; Adachi, K.; Nagahisa, S.; Hayashi, T.; Inamasu, J.; et al. PCR-Based Simple Subgrouping Is Validated for Classification of Gliomas and Defines Negative Prognostic Copy Number Aberrations in IDH Mutant Gliomas. PLoS ONE 2015, 11, e0142750. [Google Scholar] [CrossRef]
- Nakae, S.; Murayama, K.; Sasaki, H.; Kumon, M.; Nishiyama, Y.; Ohba, S.; Adachi, K.; Nagahisa, S.; Hayashi, T.; Inamasu, J.; et al. Prediction of genetic subgroups in adult supra tentorial gliomas by pre- and intraoperative parameters. J. Neurooncol. 2017, 131, 403–412. [Google Scholar] [CrossRef]
- De Witt Hamer, P.C.; Robles, S.G.; Zwinderman, A.H.; Duffau, H.; Berger, M.S. Impact of intraoperative stimulation brain mapping on glioma surgery outcome: A meta-analysis. J. Clin. Oncol. 2012, 30, 2559–2565. [Google Scholar] [CrossRef]
- Stummer, W.; Pichlmeier, U.; Meinel, T.; Wiestler, O.D.; Zanella, F.; Reulen, H.J.; ALAGlioma Study Group. Fluorescence-guided surgery with 5-aminolevulinic acid for resection of malignant glioma: A randomised controlled multicentre phase III trial. Lancet Oncol. 2006, 7, 392–401. [Google Scholar] [CrossRef]
- Ohba, S.; Murayama, K.; Kuwahara, K.; Pareira, E.S.; Nakae, S.; Nishiyama, Y.; Adachi, K.; Yamada, S.; Sasaki, H.; Yamamoto, N.; et al. The Correlation of Fluorescence of Protoporphyrinogen IX and Status of Isocitrate Dehydrogenase in Gliomas. Neurosurgery 2020, 87, 408–417. [Google Scholar] [CrossRef]
- Kajiwara, K.; Yoshikawa, K.; Ideguchi, M.; Nomura, S.; Fujisawa, H.; Akimura, T.; Kato, S.; Fujii, M.; Suzuki, M. Navigation-guided fence-post tube technique for resection of a brain tumor: Technical note. Minim. Invasive Neurosurg. 2010, 53, 86–90. [Google Scholar] [CrossRef] [PubMed]
- Yoshikawa, K.; Kajiwara, K.; Morioka, J.; Fujii, M.; Tanaka, N.; Fujisawa, H.; Kato, S.; Nomura, S.; Suzuki, M. Improvement of functional outcome after radical surgery in glioblastoma patients: The efficacy of a navigation-guided fence-post procedure and neurophysiological monitoring. J. Neurooncol. 2006, 78, 91–97. [Google Scholar] [CrossRef] [PubMed]
- Ohue, S.; Kohno, S.; Inoue, A.; Yamashita, D.; Matsumoto, S.; Suehiro, S.; Kumon, Y.; Kikuchi, K.; Ohnishi, T. Surgical results of tumor resection using tractography-integrated navigation-guided fence-post catheter techniques and motor-evoked potentials for preservation of motor function in patients with glioblastomas near the pyramidal tracts. Neurosurg. Rev. 2015, 38, 293–306. [Google Scholar] [CrossRef]
- San-Juan, D.; Díaz-Nuñez, I.C.; Ojeda-Baldéz, M.; Barajas-Juárez, V.A.; González-Hernández, I.; Alonso-Vanegas, M.; Anschel, D.J.; Delgado de la Mora, J.; Davila-Avila, N.M.; Romero-Gameros, C.A.; et al. Utility of electrocorticography in the surgical treatment of cavernomas presenting with pharmacoresistant epilepsy. Epileptic Disord. 2014, 16, 245–260. [Google Scholar] [CrossRef] [PubMed]
- Qiu, B.; Ou, S.; Song, T.; Hu, J.; You, L.; Wang, Y.; Wang, Y. Intraoperative electrocorticography-guided microsurgical management for patients with onset of supratentorial neoplasms manifesting as epilepsy: A review of 65 cases. Epileptic Disord. 2014, 16, 175–184. [Google Scholar] [CrossRef] [PubMed]
- Nakae, S.; Kato, T.; Murayama, K.; Sasaki, H.; Abe, M.; Kumon, M.; Kumai, T.; Yamashiro, K.; Inamasu, J.; Hasegawa, M.; et al. Remote intracranial recurrence of IDH mutant gliomas is associated with TP53 mutations and an 8q gain. Oncotarget 2017, 8, 84729–84742. [Google Scholar] [CrossRef] [PubMed]
- Bonini, F.; McGonigal, A.; Trébuchon, A.; Gavaret, M.; Bartolomei, F.; Giusiano, B.; Chauvel, P. Frontal lobe seizures: From clinical semiology to localization. Epilepsia 2014, 55, 264–277. [Google Scholar] [CrossRef] [PubMed]
- Chou, C.C.; Lee, C.C.; Lin, C.F.; Chen, Y.H.; Peng, S.J.; Hsiao, F.J.; Yu, H.Y.; Chen, C.; Chen, H.H.; Shih, Y.H. Cingulate gyrus epilepsy: Semiology, invasive EEG, and surgical approaches. Neurosurg. Focus. 2020, 48, E8. [Google Scholar] [CrossRef] [PubMed]
- Han, S.J.; Teton, Z.; Gupta, K.; Kawamoto, A.; Raslan, A.M. Novel Use of Stimulating Fence-Post Technique for Functional Mapping of Subcortical White Matter During Tumor Resection: A Technical Case Series. Oper. Neurosurg. 2020, 19, 264–270. [Google Scholar] [CrossRef] [PubMed]





Disclaimer/Publisher’s Note: The statements, opinions and data contained in all publications are solely those of the individual author(s) and contributor(s) and not of MDPI and/or the editor(s). MDPI and/or the editor(s) disclaim responsibility for any injury to people or property resulting from any ideas, methods, instructions or products referred to in the content. |
© 2023 by the authors. Licensee MDPI, Basel, Switzerland. This article is an open access article distributed under the terms and conditions of the Creative Commons Attribution (CC BY) license (https://creativecommons.org/licenses/by/4.0/).
Share and Cite
Nakae, S.; Kumon, M.; Teranishi, T.; Ohba, S.; Hirose, Y. Applied Fence-Post Techniques Using Deep Electrodes Instead of Catheters for Resection of Glioma Complicated with Frequent Epileptic Seizures: A Case Report. Brain Sci. 2023, 13, 482. https://doi.org/10.3390/brainsci13030482
Nakae S, Kumon M, Teranishi T, Ohba S, Hirose Y. Applied Fence-Post Techniques Using Deep Electrodes Instead of Catheters for Resection of Glioma Complicated with Frequent Epileptic Seizures: A Case Report. Brain Sciences. 2023; 13(3):482. https://doi.org/10.3390/brainsci13030482
Chicago/Turabian StyleNakae, Shunsuke, Masanobu Kumon, Takao Teranishi, Shigeo Ohba, and Yuichi Hirose. 2023. "Applied Fence-Post Techniques Using Deep Electrodes Instead of Catheters for Resection of Glioma Complicated with Frequent Epileptic Seizures: A Case Report" Brain Sciences 13, no. 3: 482. https://doi.org/10.3390/brainsci13030482
APA StyleNakae, S., Kumon, M., Teranishi, T., Ohba, S., & Hirose, Y. (2023). Applied Fence-Post Techniques Using Deep Electrodes Instead of Catheters for Resection of Glioma Complicated with Frequent Epileptic Seizures: A Case Report. Brain Sciences, 13(3), 482. https://doi.org/10.3390/brainsci13030482

