Stiff-Leg Syndrome Associated with Autoimmune Retinopathy and Its Treatment with IVIg—A Case Report and Review of the Literature
Abstract
1. Introduction
2. Stiff-Person Syndrome (SPS) Spectrum Disorders
2.1. Stiff-Person Syndrome (SPS)
2.2. Progressive Encephalomyelitis with Rigidity and Myoclonus (PERM)
2.3. Cerebellar Ataxia
2.4. Epilepsy and Limbic Encephalitis
2.5. Paraneoplastic Syndromes
2.6. Stiff-Leg Syndrome (SLS)
2.7. Stiff-Person Syndrome (SPS) Immunopathogenesis
2.8. Stiff-Person Syndrome (SPS) Treatment
3. GAD-Antibody-Related Eye Syndromes
3.1. Autoimmune Retinopathy (AIR)
3.2. GAD-Antibody-Related Autoimmune Retinopathy (AIR)
3.3. GAD-Antibody-Related Autoimmune Retinopathy (AIR) Treatment
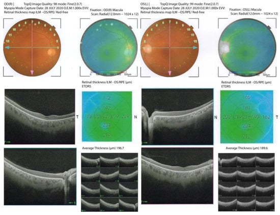
4. Case Presentation
5. Discussion
Author Contributions
Funding
Institutional Review Board Statement
Informed Consent Statement
Data Availability Statement
Conflicts of Interest
References
- Graus, F.; Saiz, A.; Dalmau, J. GAD antibodies in neurological disorders—Insights and challenges. Nat. Rev. Neurol. 2020, 16, 353–365. [Google Scholar] [CrossRef] [PubMed]
- Brown, P.; Rothwell, J.C.; Marsden, C.D. The stiff leg syndrome. J. Neurol. Neurosurg. Psychiatry 1997, 62, 31–37. [Google Scholar] [CrossRef] [PubMed]
- Saiz, A.; Graus, F.; Valldeoriola, F.; Valls-Sole, J.; Tolosa, E. Stiff-leg syndrome: A focal form of stiff-man syndrome. Ann. Neurol. 1998, 43, 400–403. [Google Scholar] [CrossRef]
- Almarzouqi, S.J.; Morgan, M.L.; Carvounis, P.E.; Lee, A.G. Autoimmune-Related Retinopathy and Optic Neuropathy Accompanied by Anti-GAD Antibodies. Neuroophthalmology 2015, 39, 195–200. [Google Scholar] [CrossRef]
- Steffen, H.; Menger, N.; Richter, W.; Nolle, B.; Krastel, H.; Stayer, C.; Kolling, G.H.; Wassle, H.; Meinck, H.M. Immune-mediated retinopathy in a patient with stiff-man syndrome. Graefes Arch. Clin. Exp. Ophthalmol. 1999, 237, 212–219. [Google Scholar] [CrossRef] [PubMed]
- Cabre, P.; Smadja, D.; Humbel, R.L.; Merle, H.; Vernant, J.C. Progressive encephalomyelitis with rigidity, diabetes mellitus and retinopathy: An anti-GAD syndrome. Eur. J. Neurol. 1996, 3, 98–101. [Google Scholar] [CrossRef]
- Lambe, J.; Rothman, A.; Prince, J.; Saidha, S.; Calabresi, P.A.; Newsome, S.D. Retinal pathology occurs in stiff-person syndrome. Neurology 2020, 94, e2126–e2131. [Google Scholar] [CrossRef]
- Moersch, F.P.; Woltman, H.W. Progressive fluctuating muscular rigidity and spasm (“stiff-man” syndrome); report of a case and some observations in 13 other cases. Proc. Staff. Meet. Mayo Clin. 1956, 31, 421–427. [Google Scholar]
- Carvajal-Gonzalez, A.; Leite, M.I.; Waters, P.; Woodhall, M.; Coutinho, E.; Balint, B.; Lang, B.; Pettingill, P.; Carr, A.; Sheerin, U.M.; et al. Glycine receptor antibodies in PERM and related syndromes: Characteristics, clinical features and outcomes. Brain 2014, 137, 2178–2192. [Google Scholar] [CrossRef]
- Brown, P.; Marsden, C.D. The stiff man and stiff man plus syndromes. J. Neurol. 1999, 246, 648–652. [Google Scholar] [CrossRef]
- Tsiortou, P.; Alexopoulos, H.; Dalakas, M.C. GAD antibody-spectrum disorders: Progress in clinical phenotypes, immunopathogenesis and therapeutic interventions. Ther. Adv. Neurol. Disord. 2021, 14, 17562864211003486. [Google Scholar] [CrossRef]
- Dalakas, M.C.; Fujii, M.; Li, M.; McElroy, B. The clinical spectrum of anti-GAD antibody-positive patients with stiff-person syndrome. Neurology 2000, 55, 1531–1535. [Google Scholar] [CrossRef] [PubMed]
- El-Abassi, R.; Soliman, M.Y.; Villemarette-Pittman, N.; England, J.D. SPS: Understanding the complexity. J. Neurol. Sci. 2019, 404, 137–149. [Google Scholar] [CrossRef]
- Dade, M.; Berzero, G.; Izquierdo, C.; Giry, M.; Benazra, M.; Delattre, J.Y.; Psimaras, D.; Alentorn, A. Neurological Syndromes Associated with Anti-GAD Antibodies. Int. J. Mol. Sci. 2020, 21, 3701. [Google Scholar] [CrossRef]
- McKeon, A.; Robinson, M.T.; McEvoy, K.M.; Matsumoto, J.Y.; Lennon, V.A.; Ahlskog, J.E.; Pittock, S.J. Stiff-man syndrome and variants: Clinical course, treatments, and outcomes. Arch. Neurol. 2012, 69, 230–238. [Google Scholar] [CrossRef]
- Dalakas, M.C. Therapies in Stiff-Person Syndrome: Advances and Future Prospects Based on Disease Pathophysiology. Neurol. Neuroimmunol. Neuroinflamm. 2023, 10. [Google Scholar] [CrossRef]
- Rakocevic, G.; Alexopoulos, H.; Dalakas, M.C. Quantitative clinical and autoimmune assessments in stiff person syndrome: Evidence for a progressive disorder. BMC Neurol. 2019, 19, 1. [Google Scholar] [CrossRef]
- Campbell, A.M.; Garland, H. Subacute myoclonic spinal neuronitis. J. Neurol. Neurosurg. Psychiatry 1956, 19, 268–274. [Google Scholar] [CrossRef] [PubMed]
- Alexopoulos, H.; Akrivou, S.; Dalakas, M.C. Glycine receptor antibodies in stiff-person syndrome and other GAD-positive CNS disorders. Neurology 2013, 81, 1962–1964. [Google Scholar] [CrossRef] [PubMed]
- Saiz, A.; Arpa, J.; Sagasta, A.; Casamitjana, R.; Zarranz, J.J.; Tolosa, E.; Graus, F. Autoantibodies to glutamic acid decarboxylase in three patients with cerebellar ataxia, late-onset insulin-dependent diabetes mellitus, and polyendocrine autoimmunity. Neurology 1997, 49, 1026–1030. [Google Scholar] [CrossRef] [PubMed]
- Hadjivassiliou, M.; Boscolo, S.; Tongiorgi, E.; Grunewald, R.A.; Sharrack, B.; Sanders, D.S.; Woodroofe, N.; Davies-Jones, G.A. Cerebellar ataxia as a possible organ-specific autoimmune disease. Mov. Disord. 2008, 23, 1370–1377. [Google Scholar] [CrossRef] [PubMed]
- Arino, H.; Gresa-Arribas, N.; Blanco, Y.; Martinez-Hernandez, E.; Sabater, L.; Petit-Pedrol, M.; Rouco, I.; Bataller, L.; Dalmau, J.O.; Saiz, A.; et al. Cerebellar ataxia and glutamic acid decarboxylase antibodies: Immunologic profile and long-term effect of immunotherapy. JAMA Neurol. 2014, 71, 1009–1016. [Google Scholar] [CrossRef]
- Markakis, I.; Alexiou, E.; Xifaras, M.; Gekas, G.; Rombos, A. Opsoclonus-myoclonus-ataxia syndrome with autoantibodies to glutamic acid decarboxylase. Clin. Neurol. Neurosurg. 2008, 110, 619–621. [Google Scholar] [CrossRef]
- Honnorat, J.; Saiz, A.; Giometto, B.; Vincent, A.; Brieva, L.; de Andres, C.; Maestre, J.; Fabien, N.; Vighetto, A.; Casamitjana, R.; et al. Cerebellar ataxia with anti-glutamic acid decarboxylase antibodies: Study of 14 patients. Arch. Neurol. 2001, 58, 225–230. [Google Scholar] [CrossRef]
- Giometto, B.; Nicolao, P.; Macucci, M.; Tavolato, B.; Foxon, R.; Bottazzo, G.F. Temporal-lobe epilepsy associated with glutamic-acid-decarboxylase autoantibodies. Lancet 1998, 352, 457. [Google Scholar] [CrossRef] [PubMed]
- Liimatainen, S.; Peltola, M.; Sabater, L.; Fallah, M.; Kharazmi, E.; Haapala, A.M.; Dastidar, P.; Knip, M.; Saiz, A.; Peltola, J. Clinical significance of glutamic acid decarboxylase antibodies in patients with epilepsy. Epilepsia 2010, 51, 760–767. [Google Scholar] [CrossRef] [PubMed]
- Falip, M.; Carreno, M.; Miro, J.; Saiz, A.; Villanueva, V.; Quilez, A.; Molins, A.; Barcelo, I.; Sierra, A.; Graus, F. Prevalence and immunological spectrum of temporal lobe epilepsy with glutamic acid decarboxylase antibodies. Eur. J. Neurol. 2012, 19, 827–833. [Google Scholar] [CrossRef] [PubMed]
- Markakis, I.; Alexopoulos, H.; Poulopoulou, C.; Akrivou, S.; Papathanasiou, A.; Katsiva, V.; Lyrakos, G.; Gekas, G.; Dalakas, M.C. Immunotherapy-responsive limbic encephalitis with antibodies to glutamic acid decarboxylase. J. Neurol. Sci. 2014, 343, 192–194. [Google Scholar] [CrossRef] [PubMed]
- Boronat, A.; Sabater, L.; Saiz, A.; Dalmau, J.; Graus, F. GABA(B) receptor antibodies in limbic encephalitis and anti-GAD-associated neurologic disorders. Neurology 2011, 76, 795–800. [Google Scholar] [CrossRef] [PubMed]
- De Camilli, P.; Thomas, A.; Cofiell, R.; Folli, F.; Lichte, B.; Piccolo, G.; Meinck, H.M.; Austoni, M.; Fassetta, G.; Bottazzo, G.; et al. The synaptic vesicle-associated protein amphiphysin is the 128-kD autoantigen of Stiff-Man syndrome with breast cancer. J. Exp. Med. 1993, 178, 2219–2223. [Google Scholar] [CrossRef] [PubMed]
- Butler, M.H.; Hayashi, A.; Ohkoshi, N.; Villmann, C.; Becker, C.M.; Feng, G.; De Camilli, P.; Solimena, M. Autoimmunity to gephyrin in Stiff-Man syndrome. Neuron 2000, 26, 307–312. [Google Scholar] [CrossRef]
- Sivilotti, L.; Nistri, A. GABA receptor mechanisms in the central nervous system. Prog. Neurobiol. 1991, 36, 35–92. [Google Scholar] [CrossRef] [PubMed]
- Dalakas, M.C. Stiff-person Syndrome and GAD Antibody-spectrum Disorders: GABAergic Neuronal Excitability, Immunopathogenesis and Update on Antibody Therapies. Neurotherapeutics 2022, 19, 832–847. [Google Scholar] [CrossRef]
- Ances, B.M.; Dalmau, J.O.; Tsai, J.; Hasbani, M.J.; Galetta, S.L. Downbeating nystagmus and muscle spasms in a patient with glutamic-acid decarboxylase antibodies. Am. J. Ophthalmol. 2005, 140, 142–144. [Google Scholar] [CrossRef] [PubMed]
- Dalakas, M.C.; Li, M.; Fujii, M.; Jacobowitz, D.M. Stiff person syndrome: Quantification, specificity, and intrathecal synthesis of GAD65 antibodies. Neurology 2001, 57, 780–784. [Google Scholar] [CrossRef]
- Vasconcelos, O.M.; Dalakas, M.C. Stiff-person Syndrome. Curr. Treat. Options Neurol. 2003, 5, 79–90. [Google Scholar] [CrossRef] [PubMed]
- Dalakas, M.C. Stiff person syndrome: Advances in pathogenesis and therapeutic interventions. Curr. Treat. Options Neurol. 2009, 11, 102–110. [Google Scholar] [CrossRef]
- Pham, H.P.; Williams, L.A., 3rd. Therapeutic plasma exchange in two patients with stiff-person syndrome. J. Clin. Apher. 2016, 31, 493–494. [Google Scholar] [CrossRef]
- Antonini, G.; Nemni, R.; Giubilei, F.; Gragnani, F.; Ceschin, V.; Morino, S.; Bucci, E.; Accornero, N. Autoantibodies to glutamic acid decarboxylase in downbeat nystagmus. J. Neurol. Neurosurg. Psychiatry 2003, 74, 998–999. [Google Scholar] [CrossRef]
- Zivotofsky, A.Z.; Siman-Tov, T.; Gadoth, N.; Gordon, C.R. A rare saccade velocity profile in Stiff-Person Syndrome with cerebellar degeneration. Brain Res. 2006, 1093, 135–140. [Google Scholar] [CrossRef]
- Comlekoglu, D.U.; Thompson, I.A.; Sen, H.N. Autoimmune retinopathy. Curr. Opin. Ophthalmol. 2013, 24, 598–605. [Google Scholar] [CrossRef] [PubMed]
- Braithwaite, T.; Vugler, A.; Tufail, A. Autoimmune retinopathy. Ophthalmologica 2012, 228, 131–142. [Google Scholar] [CrossRef]
- Dot, C.; Guigay, J.; Adamus, G. Anti-alpha-enolase antibodies in cancer-associated retinopathy with small cell carcinoma of the lung. Am. J. Ophthalmol. 2005, 139, 746–747. [Google Scholar] [CrossRef] [PubMed]
- Thirkill, C.E.; Tait, R.C.; Tyler, N.K.; Roth, A.M.; Keltner, J.L. The cancer-associated retinopathy antigen is a recoverin-like protein. Invest. Ophthalmol. Vis. Sci. 1992, 33, 2768–2772. [Google Scholar]
- Sassoe-Pognetto, M.; Kirsch, J.; Grunert, U.; Greferath, U.; Fritschy, J.M.; Mohler, H.; Betz, H.; Wassle, H. Colocalization of gephyrin and GABAA-receptor subunits in the rat retina. J. Comp. Neurol. 1995, 357, 1–14. [Google Scholar] [CrossRef] [PubMed]
- Crooks, J.; Kolb, H. Localization of GABA, glycine, glutamate and tyrosine hydroxylase in the human retina. J. Comp. Neurol. 1992, 315, 287–302. [Google Scholar] [CrossRef]
- Fouka, P.; Alexopoulos, H.; Akrivou, S.; Trohatou, O.; Politis, P.K.; Dalakas, M.C. GAD65 epitope mapping and search for novel autoantibodies in GAD-associated neurological disorders. J. Neuroimmunol. 2015, 281, 73–77. [Google Scholar] [CrossRef] [PubMed]
- Manto, M.U.; Hampe, C.S.; Rogemond, V.; Honnorat, J. Respective implications of glutamate decarboxylase antibodies in stiff person syndrome and cerebellar ataxia. Orphanet J. Rare Dis. 2011, 6, 3. [Google Scholar] [CrossRef]


Disclaimer/Publisher’s Note: The statements, opinions and data contained in all publications are solely those of the individual author(s) and contributor(s) and not of MDPI and/or the editor(s). MDPI and/or the editor(s) disclaim responsibility for any injury to people or property resulting from any ideas, methods, instructions or products referred to in the content. |
© 2023 by the authors. Licensee MDPI, Basel, Switzerland. This article is an open access article distributed under the terms and conditions of the Creative Commons Attribution (CC BY) license (https://creativecommons.org/licenses/by/4.0/).
Share and Cite
Papadopoulos, V.E.; Papadimas, G.K.; Androudi, S.; Anagnostouli, M.; Evangelopoulos, M.-E. Stiff-Leg Syndrome Associated with Autoimmune Retinopathy and Its Treatment with IVIg—A Case Report and Review of the Literature. Brain Sci. 2023, 13, 1361. https://doi.org/10.3390/brainsci13101361
Papadopoulos VE, Papadimas GK, Androudi S, Anagnostouli M, Evangelopoulos M-E. Stiff-Leg Syndrome Associated with Autoimmune Retinopathy and Its Treatment with IVIg—A Case Report and Review of the Literature. Brain Sciences. 2023; 13(10):1361. https://doi.org/10.3390/brainsci13101361
Chicago/Turabian StylePapadopoulos, Vassilis E., George K. Papadimas, Sofia Androudi, Maria Anagnostouli, and Maria-Eleftheria Evangelopoulos. 2023. "Stiff-Leg Syndrome Associated with Autoimmune Retinopathy and Its Treatment with IVIg—A Case Report and Review of the Literature" Brain Sciences 13, no. 10: 1361. https://doi.org/10.3390/brainsci13101361
APA StylePapadopoulos, V. E., Papadimas, G. K., Androudi, S., Anagnostouli, M., & Evangelopoulos, M.-E. (2023). Stiff-Leg Syndrome Associated with Autoimmune Retinopathy and Its Treatment with IVIg—A Case Report and Review of the Literature. Brain Sciences, 13(10), 1361. https://doi.org/10.3390/brainsci13101361

