Frontal Encephalocele Plus Epilepsy: A Case Report and Review of the Literature
Abstract
1. Introduction
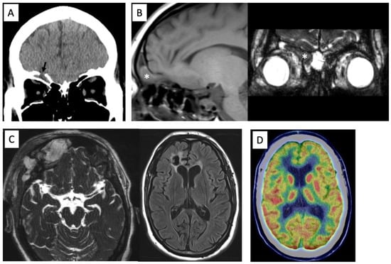
2. Case Presentation
3. Discussion
Author Contributions
Funding
Institutional Review Board Statement
Informed Consent Statement
Data Availability Statement
Conflicts of Interest
References
- Wind, J.J.; Caputy, A.J.; Roberti, F. Spontaneous encephaloceles of the temporal lobe. Neurosurg. Focus. 2008, 25, E11. [Google Scholar] [CrossRef] [PubMed]
- Markovic, I.; Bosnjakovic, P.; Milenkovic, Z. Occipital Encephalocele: Cause, Incidence, Neuroimaging and Surgical Management. Curr. Pediatr. Rev. 2020, 16, 200–205. [Google Scholar] [CrossRef] [PubMed]
- Ramos-Fresnedo, A.; Domingo, R.A.; McGeary, R.C.; Sirven, J.I.; Feyissa, A.M.; Tatum, W.; Ritaccio, A.L.; Middlebrooks, E.H.; Grewal, S.S. Encephalocele-Associated Drug-Resistant Epilepsy of Adult Onset: Diagnosis, Management, and Outcomes. World Neurosurg. 2021, 151, 91–101. [Google Scholar] [CrossRef] [PubMed]
- Sheng, J.; Liu, S.; Qin, H.; Li, B.; Zhang, X. Drug-Resistant Epilepsy and Surgery. Curr. Neuropharmacol. 2018, 16, 17–28. [Google Scholar] [CrossRef] [PubMed]
- Faulkner, H.J.; Sandeman, D.R.; Love, S.; Likeman, M.J.; Nunez, D.A.; Lhatoo, S.D. Epilepsy surgery for refractory epilepsy due to encephalocele: A case report and review of the literature. Epileptic Disord. 2010, 12, 160–166. [Google Scholar] [CrossRef] [PubMed]
- Mikula, A.L.; ReFaey, K.; Grewal, S.S.; Britton, J.W.; Van Gompel, J.J. Medial Temporal Encephalocele and Medically Intractable Epilepsy: A Tailored Inferior Temporal Lobectomy and Case Report. Oper. Neurosurg. 2020, 18, E19–E22. [Google Scholar] [CrossRef] [PubMed]
- Kinoshita, M.; Ikeda, A.; Matsumoto, R.; Begum, T.; Usui, K.; Yamamoto, J.; Matsuhashi, M.; Takayama, M.; Mikuni, N.; Takahashi, J.; et al. Electric stimulation on human cortex suppresses fast cortical activity and epileptic spikes. Epilepsia 2004, 45, 787–791. [Google Scholar] [CrossRef] [PubMed]
- Scully, R.E.; Mark, E.J.; McNeely, W.F.; Ebeling, S.H.; Phillips, L.D. Case records of the Massachusetts General Hospital. Weekly clinicopathological exercises Case 39-1989. A 63-year-old woman with a polypoid nasal mass and a recent grand-mal seizure. N. Engl. J. Med. 1989, 321, 884–893. [Google Scholar] [CrossRef]
- Guettat, L.; Gille, M.; Matthijs, P.; Duprez, T. Encephalocele-related seizures in adulthood: Synergistic contributions of CT and MRI to the anatomic work-up. Acta Neurol. Belg. 1998, 98, 292–294. [Google Scholar] [PubMed]
- Eichler, L.; Z’Graggen, W.J.; Caversaccio, M.; Sturzenegger, M. Symptomatic epilepsy with a tumor in the nose. J. Neurol. 2006, 253, 1113–1114. [Google Scholar] [CrossRef] [PubMed]
- Mandl, E.S.; Buis, D.R.; Heimans, J.J.; Peerdman, S.M. Acquired encephaloceles and epilepsy in osteopetrosis. Acta Neurochir. 2007, 149, 79–81. [Google Scholar] [CrossRef] [PubMed]
- Morley, J.F.; Kolson, D.L. Frontal encephalocele in a middle-aged woman with first seizure: Smells like a seizure to me. Neurology 2008, 70, 157. [Google Scholar] [CrossRef] [PubMed]
- Ammar, H.; Kott, A.; Fouda, R. Not the usual sinusitis. BMJ Case Rep. 2012, 2012, bcr2012006749. [Google Scholar] [CrossRef] [PubMed]
- Busic, Z.; Krnic, M.; Busic, N.; Ledenko, V. Unusual Position and Presentation of Frontobasal Meningoencephalocela. J. Korean Neurosurg. Soc. 2015, 57, 386–388. [Google Scholar] [CrossRef] [PubMed]
- Daudia, A.; Biswas, D.; Jones, N.S. Risk of meningitis with cerebrospinal fluid rhinorrhea. Ann. Otol. Rhinol. Laryngol. 2007, 116, 902–905. [Google Scholar] [CrossRef] [PubMed]
- Marks, D.A.; Kim, J.; Spencer, D.D.; Spencer, S.S. Characteristics of intractable seizures following meningitis and encephalitis. Neurology 1992, 42, 1513–1518. [Google Scholar] [CrossRef] [PubMed]
- Barba, C.; Rheims, S.; Minotti, L.; Guénot, M.; Hoffmann, D.; Chabardès, S.; Isnard, J.; Kahane, P.; Ryvlin, P. Temporal plus epilepsy is a major determinant of temporal lobe surgery failures. Brain 2016, 139, 444–451. [Google Scholar] [CrossRef]
- Bannout, F.; Harder, S.; Lee, M.; Zouros, A.; Raghavan, R.; Fogel, T.; De Los Reyes, K.; Losey, T. Epilepsy Surgery for Skull-Base Temporal Lobe Encephaloceles: Should We Spare the Hippocampus from Resection? Brain Sci. 2018, 8, 42. [Google Scholar] [CrossRef]
- de Souza, J.P.S.A.S.; Mullin, J.; Wathen, C.; Bulacio, J.; Chauvel, P.; Jehi, L.; Gonzalez-Martinez, J. The usefulness of stereo-electroencephalography (SEEG) in the surgical management of focal epilepsy associated with "hidden" temporal pole encephalocele: A case report and literature review. Neurosurg. Rev. 2018, 41, 347–354. [Google Scholar] [CrossRef] [PubMed]


| Author & Year | Age/Sex | Location | Congenital/Acquired | Treatment | Outcome |
|---|---|---|---|---|---|
| Scully et al., 1989 | 63/female | Left | Congenital | Encephalocele resection | Seizure free |
| Guettat et al., 1998 | 32/female | Right | Acquired | n/a | n/a |
| Eichler et al., 2005 | 55/female | Right | Acquired | Medication | Seizure free |
| Mandl et al., 2007 | 43/female | Bilateral | Acquired | Encephalocele resection | Seizure free |
| Morley et al., 2008 | 48/female | Right | n/a | n/a | n/a |
| Faulkner et al., 2010 | 32/female | Right | n/a | Encephalocele resection | Seizure free |
| Ammar et al., 2012 | 38/female | Right | n/a | Encephalocele resection | Seizure free |
| Busic et al., 2015 | 57/female | Right | n/a | Encephalocele resection | Seizure free |
| Present case | 44/female | Right | Acquired |
|
|
Disclaimer/Publisher’s Note: The statements, opinions and data contained in all publications are solely those of the individual author(s) and contributor(s) and not of MDPI and/or the editor(s). MDPI and/or the editor(s) disclaim responsibility for any injury to people or property resulting from any ideas, methods, instructions or products referred to in the content. |
© 2023 by the authors. Licensee MDPI, Basel, Switzerland. This article is an open access article distributed under the terms and conditions of the Creative Commons Attribution (CC BY) license (https://creativecommons.org/licenses/by/4.0/).
Share and Cite
Yamazaki, K.; Kanaya, K.; Uda, T.; Fukuyama, T.; Nishioka, M.; Hoshino, Y.; Kaneko, T.; Hardian, R.F.; Yamazaki, D.; Kuwabara, H.; et al. Frontal Encephalocele Plus Epilepsy: A Case Report and Review of the Literature. Brain Sci. 2023, 13, 115. https://doi.org/10.3390/brainsci13010115
Yamazaki K, Kanaya K, Uda T, Fukuyama T, Nishioka M, Hoshino Y, Kaneko T, Hardian RF, Yamazaki D, Kuwabara H, et al. Frontal Encephalocele Plus Epilepsy: A Case Report and Review of the Literature. Brain Sciences. 2023; 13(1):115. https://doi.org/10.3390/brainsci13010115
Chicago/Turabian StyleYamazaki, Ken, Kohei Kanaya, Takehiro Uda, Tetsuhiro Fukuyama, Makoto Nishioka, Yumi Hoshino, Tomoki Kaneko, Ridzky Firmansyah Hardian, Daisuke Yamazaki, Haruki Kuwabara, and et al. 2023. "Frontal Encephalocele Plus Epilepsy: A Case Report and Review of the Literature" Brain Sciences 13, no. 1: 115. https://doi.org/10.3390/brainsci13010115
APA StyleYamazaki, K., Kanaya, K., Uda, T., Fukuyama, T., Nishioka, M., Hoshino, Y., Kaneko, T., Hardian, R. F., Yamazaki, D., Kuwabara, H., Funato, K., & Horiuchi, T. (2023). Frontal Encephalocele Plus Epilepsy: A Case Report and Review of the Literature. Brain Sciences, 13(1), 115. https://doi.org/10.3390/brainsci13010115

