Altered Regional Activity and Network Homogeneity within the Fronto-Limbic Network at Rest in Medicine-Free Obsessive–Compulsive Disorder
Abstract
:1. Introduction
2. Materials and Methods
2.1. Participants
2.2. MRI Data Acquisition
2.3. fMRI Data Preprocessing
2.4. Fronto-Limbic Network Mask Identification
2.5. FALFF Analysis
2.6. NH Analysis
2.7. Statistical Analysis
3. Results
3.1. Demographic and Clinical Data
3.2. Group Differences of fALFF within the Fronto-Limbic Network
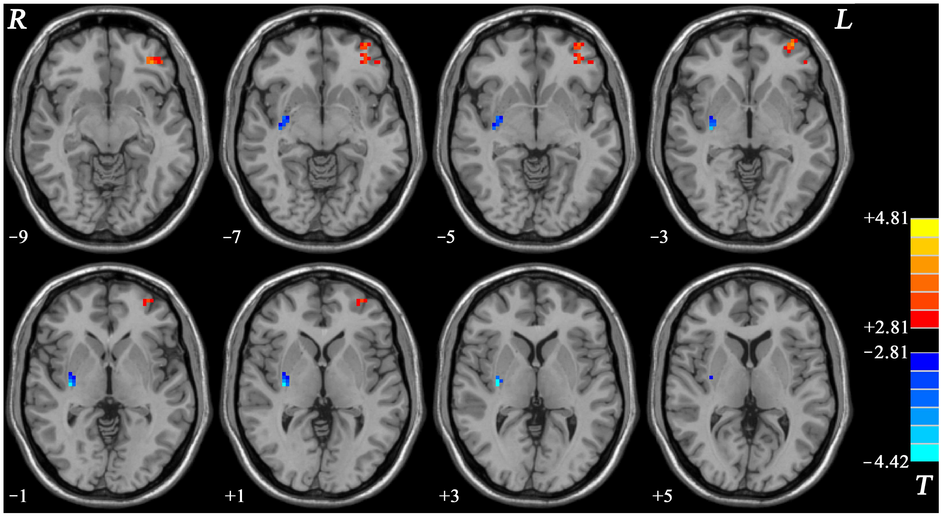
3.3. Group Deviations of NH within the Fronto-Limbic Network
3.4. Relationship between fALFF/NH Values and Clinical Characteristics in OCD
3.5. SVM Results
4. Discussion
5. Conclusions
Supplementary Materials
Author Contributions
Funding
Institutional Review Board Statement
Informed Consent Statement
Data Availability Statement
Conflicts of Interest
References
- van den Heuvel, O.A.; van Wingen, G.; Soriano-Mas, C.; Alonso, P.; Chamberlain, S.R.; Nakamae, T.; Denys, D.; Goudriaan, A.E.; Veltman, D.J. Brain circuitry of compulsivity. Eur. Neuropsychopharmacol. 2016, 26, 810–827. [Google Scholar] [CrossRef] [PubMed] [Green Version]
- Thorsen, A.L.; Hagland, P.; Radua, J.; Mataix-Cols, D.; Kvale, G.; Hansen, B.; Heuvel, O.A.V.D. Emotional processing in obsessive-compulsive disorder: A systematic review and meta-analysis of 25 functional neuroimaging studies. Biol. Psychiatry 2018, 3, 563–571. [Google Scholar] [CrossRef] [PubMed]
- Pinciotti, C.M.; Riemann, B.C.; Abramowitz, J.S. Intolerance of uncertainty and obsessive-compulsive disorder dimensions. J. Anxiety Disord. 2021, 81, 102417. [Google Scholar] [CrossRef] [PubMed]
- Yang, W.; Tang, Z.; Wang, X.; Ma, X.; Cheng, Y.; Wang, B.; Sun, P.; Tang, W.; Luo, J.; Wang, C.; et al. The cost of obsessive-compulsive disorder (OCD) in China: A multi-center cross-sectional survey based on hospitals. Gen. Psychiatr. 2021, 34, e100632. [Google Scholar] [CrossRef]
- Gürsel, D.A.; Avram, M.; Sorg, C.; Brandl, F.; Koch, K. Frontoparietal areas link impairments of large-scale intrinsic brain networks with aberrant fronto-striatal interactions in OCD: A meta-analysis of resting-state functional connectivity. Neurosci. Biobehav. Rev. 2018, 87, 151–160. [Google Scholar] [CrossRef]
- Shephard, E.; Stern, E.R.; van den Heuvel, O.A.; Costa, D.L.C.; Batistuzzo, M.C.; Godoy, P.B.G.; Lopes, A.C.; Brunoni, A.R.; Hoexter, M.Q.; Shavitt, R.G.; et al. Toward a neurocircuit-based taxonomy to guide treatment of obsessive-compulsive disorder. Mol. Psychiatry 2021, 26, 4583–4604. [Google Scholar] [CrossRef]
- Soriano-Mas, C. Functional Brain Imaging and OCD. Curr. Top. Behav. Neurosci. 2021, 49, 269–300. [Google Scholar]
- Stein, D.J.; Costa, D.L.C.; Lochner, C.; Miguel, E.C.; Reddy, Y.C.J.; Shavitt, R.G.; van den Heuvel, O.A.; Simpson, H.B. Obsessive-compulsive disorder. Nat. Rev. Dis. Primers 2019, 5, 52. [Google Scholar] [CrossRef] [Green Version]
- Hu, X.; Du, M.; Chen, L.; Li, L.; Zhou, M.; Zhang, L.; Liu, Q.; Lu, L.; Mreedha, K.; Huang, X.; et al. Meta-analytic investigations of common and distinct grey matter alterations in youths and adults with obsessive-compulsive disorder. Neurosci. Biobehav. Rev. 2017, 78, 91–103. [Google Scholar] [CrossRef]
- Peng, Z.; Lui, S.S.; Cheung, E.F.; Jin, Z.; Miao, G.; Jing, J.; Chan, R.C. Brain structural abnormalities in obsessive-compulsive disorder: Converging evidence from white matter and grey matter. Asian J. Psychiatr. 2012, 5, 290–296. [Google Scholar] [CrossRef]
- Rao, S.; Raveendranathan, D.; Shivakumar, V.; Narayanaswamy, J.C.; Venkatasubramanian, G.; Reddy, Y.C.J. Hippocampus volume alterations and the clinical correlates in medication naive obsessive compulsive disorder. J. Affect. Disord. 2018, 236, 1–5. [Google Scholar] [CrossRef] [PubMed]
- Weidt, S.; Lutz, J.; Rufer, M.; Delsignore, A.; Jakob, N.J.; Herwig, U.; Bruehl, A.B. Common and differential alterations of general emotion processing in obsessive-compulsive and social anxiety disorder. Psychol. Med. 2016, 46, 1427–1436. [Google Scholar] [CrossRef] [PubMed]
- Stern, E.R.; Welsh, R.C.; Gonzalez, R.; Fitzgerald, K.D.; Abelson, J.L.; Taylor, S.F. Subjective uncertainty and limbic hyperactivation in obsessive-compulsive disorder. Hum. Brain Mapp. 2013, 34, 1956–1970. [Google Scholar] [CrossRef] [Green Version]
- Liu, J.; Cao, L.; Li, H.; Gao, Y.; Bu, X.; Liang, K.; Bao, W.; Zhang, S.; Qiu, H.; Li, X.; et al. Abnormal resting-state functional connectivity in patients with obsessive-compulsive disorder: A systematic review and meta-analysis. Neurosci. Biobehav. Rev. 2022, 135, 104574. [Google Scholar] [CrossRef] [PubMed]
- Fullana, M.A.; Zhu, X.; Alonso, P.; Cardoner, N.; Real, E.; Lopez-Sola, C.; Segalas, C.; Subira, M.; Galfalvy, H.; Menchon, J.M.; et al. Basolateral amygdala-ventromedial prefrontal cortex connectivity predicts cognitive behavioural therapy outcome in adults with obsessive-compulsive disorder. J. Psychiatry Neurosci. 2017, 42, 378–385. [Google Scholar] [CrossRef] [Green Version]
- Gottlich, M.; Kramer, U.M.; Kordon, A.; Hohagen, F.; Zurowski, B. Resting-state connectivity of the amygdala predicts response to cognitive behavioral therapy in obsessive compulsive disorder. Biol. Psychol. 2015, 111, 100–109. [Google Scholar] [CrossRef] [PubMed]
- Zalesky, A.; Fornito, A.; Egan, G.F.; Pantelis, C.; Bullmore, E.T. The relationship between regional and inter-regional functional connectivity deficits in schizophrenia. Hum. Brain Mapp. 2012, 33, 2535–2549. [Google Scholar] [CrossRef]
- Di, X.; Kim, E.H.; Huang, C.C.; Tsai, S.J.; Lin, C.P.; Biswal, B.B. The influence of the amplitude of low-frequency fluctuations on resting-state functional connectivity. Front. Hum. Neurosci. 2013, 7, 118. [Google Scholar] [CrossRef] [Green Version]
- Riedl, V.; Bienkowska, K.; Strobel, C.; Tahmasian, M.; Grimmer, T.; Förster, S.; Friston, K.J.; Sorg, C.; Drzezga, A. Local activity determines functional connectivity in the resting human brain: A simultaneous FDG-PET/fMRI study. J. Neurosci. 2014, 34, 6260–6266. [Google Scholar] [CrossRef]
- Zou, Q.H.; Zhu, C.Z.; Yang, Y.; Zuo, X.N.; Long, X.Y.; Cao, Q.J.; Wang, Y.F.; Zang, Y.F. An improved approach to detection of amplitude of low-frequency fluctuation (ALFF) for resting-state fMRI: Fractional ALFF. J. Neurosci. Methods 2008, 172, 137–141. [Google Scholar] [CrossRef] [Green Version]
- Uddin, L.Q.; Kelly, A.M.C.; Biswal, B.B.; Margulies, D.S.; Shehzad, Z.; Shaw, D.; Ghaffari, M.; Rotrosen, J.; Adler, L.A.; Castellanos, F.X. Network homogeneity reveals decreased integrity of default-mode network in ADHD. J. Neurosci. Methods 2008, 169, 249–254. [Google Scholar] [CrossRef] [PubMed]
- Xia, J.; Fan, J.; Liu, W.; Du, H.; Zhu, J.; Yi, J.; Tan, C.; Zhu, X. Functional connectivity within the salience network differentiates autogenous- from reactive-type obsessive-compulsive disorder. Prog. Neuropsychopharmacol. Biol. Psychiatry 2020, 98, 109813. [Google Scholar] [CrossRef] [PubMed]
- Yan, C.G.; Wang, X.D.; Zuo, X.N.; Zang, Y.F. DPABI: Data Processing & Analysis for (Resting-State) Brain Imaging. Neuroinformatics 2016, 14, 339–351. [Google Scholar] [PubMed]
- Power, J.D.; Barnes, K.A.; Snyder, A.Z.; Schlaggar, B.L.; Petersen, S.E. Spurious but systematic correlations in functional connectivity MRI networks arise from subject motion. NeuroImage 2012, 59, 2142–2154. [Google Scholar] [CrossRef] [Green Version]
- Guo, W.; Liu, F.; Yu, M.; Zhang, J.; Zhang, Z.; Liu, J.; Xiao, C.; Zhao, J. Decreased regional activity and network homogeneity of the fronto-limbic network at rest in drug-naive major depressive disorder. Aust. N. Z. J. Psychiatry 2015, 49, 550–556. [Google Scholar] [CrossRef] [PubMed]
- Song, X.W.; Dong, Z.Y.; Long, X.Y.; Li, S.F.; Zuo, X.N.; Zhu, C.Z.; He, Y.; Yan, C.G.; Zang, Y.F. REST: A toolkit for resting-state functional magnetic resonance imaging data processing. PLoS ONE 2011, 6, e25031. [Google Scholar]
- Meng, Z.; Zhang, Z.; Fan, Q.; Li, Y. Altered Fractional Amplitude of Low Frequency Fluctuations in Unmedicated Female Patients with Obsessive-Compulsive Disorder. Conf. Proc. IEEE Eng. Med. Biol. Soc. 2018, 2018, 1144–1147. [Google Scholar]
- Hou, J.M.; Wu, W.J.; Lin, Y.; Wang, J.; Zhou, D.Q.; Guo, J.W.; Gu, S.S.; He, M.; Ahmed, S.; Hu, J.N.; et al. Localization of cerebral functional deficits in patients with obsessive-compulsive disorder: A resting-state fMRI study. J. Affect. Disord. 2012, 138, 313–321. [Google Scholar] [CrossRef]
- Zhu, Y.; Fan, Q.; Zhang, H.; Qiu, J.; Tan, L.; Xiao, Z.; Tong, S.; Chen, J.; Li, Y. Altered intrinsic insular activity predicts symptom severity in unmedicated obsessive-compulsive disorder patients: A resting state functional magnetic resonance imaging study. BMC Psychiatry 2016, 16, 104. [Google Scholar] [CrossRef] [Green Version]
- Milad, M.R.; Rauch, S.L. Obsessive-compulsive disorder: Beyond segregated cortico-striatal pathways. Trends Cogn. Sci. 2012, 16, 43–51. [Google Scholar] [CrossRef] [Green Version]
- Eng, G.K.; Sim, K.; Chen, S.H. Meta-analytic investigations of structural grey matter, executive domain-related functional activations, and white matter diffusivity in obsessive compulsive disorder: An integrative review. Neurosci. Biobehav. Rev. 2015, 52, 233–257. [Google Scholar] [CrossRef] [PubMed]
- Yang, X.; Hu, X.; Tang, W.; Li, B.; Yang, Y.; Gong, Q.; Huang, X. Intrinsic brain abnormalities in drug-naive patients with obsessive-compulsive disorder: A resting-state functional MRI study. J. Affect. Disord. 2019, 245, 861–868. [Google Scholar] [CrossRef] [PubMed]
- Postuma, R.B.; Dagher, A. Basal ganglia functional connectivity based on a meta-analysis of 126 positron emission tomography and functional magnetic resonance imaging publications. Cereb. Cortex 2006, 16, 1508–1521. [Google Scholar] [CrossRef] [PubMed]
- Lv, D.; Ou, Y.; Chen, Y.; Yang, R.; Zhong, Z.; Jia, C.; Sun, L.; Wang, Y.; Zhang, G.; Sun, Z.; et al. Increased cerebellar-default-mode network connectivity at rest in obsessive-compulsive disorder. Eur. Arch. Psychiatry Clin. Neurosci. 2020, 270, 1015–1024. [Google Scholar] [CrossRef] [PubMed]
- Button, K.S.; Ioannidis, J.P.; Mokrysz, C.; Nosek, B.A.; Flint, J.; Robinson, E.S.; Munafo, M.R. Power failure: Why small sample size undermines the reliability of neuroscience. Nat. Rev. Neurosci. 2013, 14, 365–376. [Google Scholar] [CrossRef] [Green Version]
- Nakao, T.; Nakagawa, A.; Yoshiura, T.; Nakatani, E.; Nabeyama, M.; Yoshizato, C.; Kudoh, A.; Tada, K.; Yoshioka, K.; Kawamoto, M.; et al. Brain activation of patients with obsessive-compulsive disorder during neuropsychological and symptom provocation tasks before and after symptom improvement: A functional magnetic resonance imaging study. Biol. Psychiatry 2005, 57, 901–910. [Google Scholar] [CrossRef]
- Bernstein, G.A.; Cullen, K.R.; Harris, E.C.; Conelea, C.A.; Zagoloff, A.D.; Carstedt, P.A.; Lee, S.S.; Mueller, B.A. Sertraline Effects on Striatal Resting-State Functional Connectivity in Youth with Obsessive-Compulsive Disorder: A Pilot Study. J. Am. Acad Child. Adolesc. Psychiatry 2019, 58, 486–495. [Google Scholar] [CrossRef]
- Shin, D.J.; Jung, W.H.; He, Y.; Wang, J.; Shim, G.; Byun, M.S.; Jang, J.H.; Kim, S.N.; Lee, T.Y.; Park, H.Y.; et al. The effects of pharmacological treatment on functional brain connectome in obsessive-compulsive disorder. Biol. Psychiatry 2014, 75, 606–614. [Google Scholar] [CrossRef]
- Kempermann, G. Physical activity and brain function. Internist 2012, 53, 698–704. [Google Scholar] [CrossRef]
- Fuchs, E.; Flügge, G. Social stress in tree shrews: Effects on physiology, brain function, and behavior of subordinate individuals. Pharmacol. Biochem. Behav. 2002, 73, 247–258. [Google Scholar] [CrossRef]





| OCD Patients (n =40) | HCs (n = 38) | X2/t | p | |
|---|---|---|---|---|
| Age (years) | 27.28 ± 8.16 | 27.18 ± 8.33 | 0.05 | 0.71 |
| Sex (male/female) | 27/13 | 25/13 | 0.03 | 0.87 |
| Education (years) | 13.40 ± 2.87 | 13.74 ± 3.03 | −0.50 | 0.83 |
| Illness duration (months) | 66.68 ± 75.54 | |||
| Y-BOCS total score | 24.90 ± 5.73 | 1.13 ± 0.88 | 25.27 | <0.01 |
| Y-BOCS obsessive thinking | 12.85 ± 4.25 | 0.37 ± 0.49 | 17.98 | <0.01 |
| Y-BOCS compulsive behavior | 12.05 ± 4.62 | 0.74 ± 0.72 | 14.92 | <0.01 |
| HAMD | 8.05 ± 4.40 | 1.45 ± 0.95 | 9.04 | <0.01 |
| HAMA | 10.83 ± 6.55 | 1.16 ± 1.00 | 9.00 | <0.01 |
| FD | 0.04 ± 0.02 | 0.03 ± 0.01 | 1.25 | 0.13 |
| Cluster Location | Peak (MNI) | Number of Voxels | T Value | ||
|---|---|---|---|---|---|
| x | y | z | |||
| fALFF | |||||
| Right OFC | 51 | 33 | −15 | 30 | 5.6825 |
| NH | |||||
| left OFC | −36 | 42 | −9 | 50 | 4.0674 |
| Right putamen | 33 | −12 | 3 | 25 | −4.4232 |
Publisher’s Note: MDPI stays neutral with regard to jurisdictional claims in published maps and institutional affiliations. |
© 2022 by the authors. Licensee MDPI, Basel, Switzerland. This article is an open access article distributed under the terms and conditions of the Creative Commons Attribution (CC BY) license (https://creativecommons.org/licenses/by/4.0/).
Share and Cite
Chen, Y.; Ou, Y.; Lv, D.; Yu, Z.; Shang, T.; Ma, J.; Zhan, C.; Ding, Z.; Yang, X.; Xiao, J.; et al. Altered Regional Activity and Network Homogeneity within the Fronto-Limbic Network at Rest in Medicine-Free Obsessive–Compulsive Disorder. Brain Sci. 2022, 12, 857. https://doi.org/10.3390/brainsci12070857
Chen Y, Ou Y, Lv D, Yu Z, Shang T, Ma J, Zhan C, Ding Z, Yang X, Xiao J, et al. Altered Regional Activity and Network Homogeneity within the Fronto-Limbic Network at Rest in Medicine-Free Obsessive–Compulsive Disorder. Brain Sciences. 2022; 12(7):857. https://doi.org/10.3390/brainsci12070857
Chicago/Turabian StyleChen, Yunhui, Yangpan Ou, Dan Lv, Zengyan Yu, Tinghuizi Shang, Jidong Ma, Chuang Zhan, Zhenning Ding, Xu Yang, Jian Xiao, and et al. 2022. "Altered Regional Activity and Network Homogeneity within the Fronto-Limbic Network at Rest in Medicine-Free Obsessive–Compulsive Disorder" Brain Sciences 12, no. 7: 857. https://doi.org/10.3390/brainsci12070857
APA StyleChen, Y., Ou, Y., Lv, D., Yu, Z., Shang, T., Ma, J., Zhan, C., Ding, Z., Yang, X., Xiao, J., Yang, R., Sun, Z., Zhang, G., Wang, X., Guo, W., & Li, P. (2022). Altered Regional Activity and Network Homogeneity within the Fronto-Limbic Network at Rest in Medicine-Free Obsessive–Compulsive Disorder. Brain Sciences, 12(7), 857. https://doi.org/10.3390/brainsci12070857

