Insula and Olfaction: A Literature Review and Case Report
Abstract
:1. Introduction
2. Literature Review
2.1. Neuroimaging
2.1.1. Structural Neuroimaging
2.1.2. Functional Neuroimaging.
2.2. Electro-Cortical Stimulation
2.3. Previous Case Reports of Olfactory Dysfunction after Insular Lesion
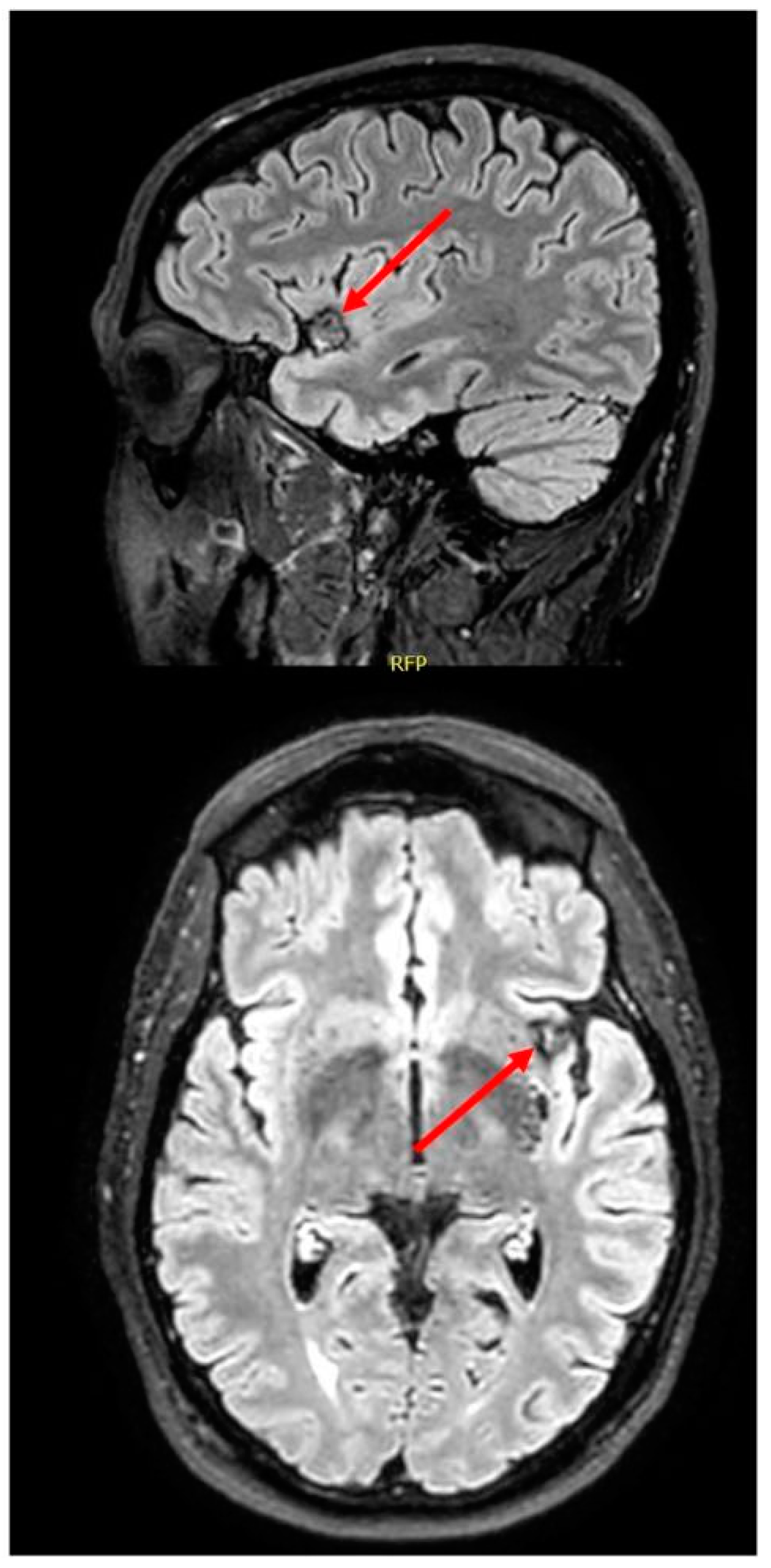
3. Case Study
3.1. Methods
3.2. Results
4. Discussion
Author Contributions
Funding
Institutional Review Board Statement
Informed Consent Statement
Conflicts of Interest
References
- Chua, P.; Krams, M.; Toni, I.; Passingham, R.; Dolan, R. A Functional Anatomy of Anticipatory Anxiety. NeuroImage 1999, 9, 563–571. [Google Scholar] [CrossRef] [Green Version]
- Fudge, J.L.; Breitbart, M.A.; Danish, M.; Pannoni, V. Insular and gustatory inputs to the caudal ventral striatum in primates. J. Comp. Neurol. 2005, 490, 101–118. [Google Scholar] [CrossRef] [Green Version]
- Menon, V.; Uddin, L.Q. Saliency, switching, attention and control: A network model of insula function. Brain Struct. Funct. 2010, 214, 655–667. [Google Scholar] [CrossRef] [PubMed] [Green Version]
- Richard, D.; Lane, M.D.; Eric, M.; Reiman, M.D.; Geoffrey, L.; Ahern, M.D.; Gary, E.; Schwartz, P.D.; Richard, J.D. Neuroanatomical correlates of happiness, sadness, and disgust. Am. J. Psychiatry 1997, 154, 926–933. [Google Scholar] [CrossRef] [Green Version]
- Shuren, J. Insula and aphasia. J. Neurol. 1993, 240, 216–218. [Google Scholar] [CrossRef]
- Small, D.M.; Zatorre, R.J.; Dagher, A.; Evans, A.C.; Jones-Gotman, M. Changes in brain activity related to eating chocolate: From pleasure to aversion. Brain 2001, 124, 1720–1733. [Google Scholar] [CrossRef] [PubMed] [Green Version]
- Uddin, L.Q.; Nomi, J.S.; Hébert-Seropian, B.; Ghaziri, J.; Boucher, O. Structure and Function of the Human Insula. J. Clin. Neurophysiol. 2017, 34, 300–306. [Google Scholar] [CrossRef]
- Ghaziri, J.; Tucholka, A.; Girard, G.; Boucher, O.; Houde, J.-C.; Descoteaux, M.; Obaid, S.; Gilbert, G.; Rouleau, I.; Nguyen, D.K. Subcortical structural connectivity of insular subregions. Sci. Rep. 2018, 8, 8596. [Google Scholar] [CrossRef] [PubMed] [Green Version]
- Ghaziri, J.; Tucholka, A.; Girard, G.; Houde, J.-C.; Boucher, O.; Gilbert, G.; Descoteaux, M.; Lippé, S.; Rainville, P.; Nguyen, D.K. The Corticocortical Structural Connectivity of the Human Insula. Cereb. Cortex 2015, 27, 1216–1228. [Google Scholar] [CrossRef] [Green Version]
- Mufson, E.J.; Mesulam, M.M. Insula of the old world monkey. II: Afferent cortical input and comments on the claustrum. J. Comp. Neurol. 1982, 212, 23–37. [Google Scholar] [CrossRef]
- Seubert, J.; Freiherr, J.; Djordjevic, J.; Lundström, J.N. Statistical localization of human olfactory cortex. NeuroImage 2013, 66, 333–342. [Google Scholar] [CrossRef]
- Soudry, Y.; Lemogne, C.; Malinvaud, D.; Consoli, S.M.; Bonfils, P. Olfactory system and emotion: Common substrates. Eur. Ann. Otorhinolaryngol. Head Neck Dis. 2011, 128, 18–23. [Google Scholar] [CrossRef] [Green Version]
- Frasnelli, J.; Lundström, J.N.; Boyle, J.A.; Djordjevic, J.; Zatorre, R.J.; Jones-Gotman, M. Neuroanatomical correlates of olfactory performance. Exp. Brain Res. 2010, 201, 1–11. [Google Scholar] [CrossRef]
- Wabnegger, A.; Schlintl, C.; Höfler, C.; Gremsl, A.; Schienle, A. Altered grey matter volume in ‘super smellers’. Brain Imaging Behav. 2019, 13, 1726–1732. [Google Scholar] [CrossRef] [Green Version]
- Banks, S.J.; Sreenivasan, K.R.; Weintraub, D.M.; Baldock, D.; Noback, M.; Pierce, M.E.; Frasnelli, J.; James, J.; Beall, E.; Zhuang, X.; et al. Structural and Functional MRI Differences in Master Sommeliers: A Pilot Study on Expertise in the Brain. Front. Hum. Neurosci. 2016, 10. [Google Scholar] [CrossRef] [Green Version]
- Bitter, T.; Siegert, F.; Gudziol, H.; Burmeister, H.P.; Mentzel, H.J.; Hummel, T.; Gaser, C.; Guntinas-Lichius, O. Gray matter alterations in parosmia. Neuroscience 2011, 177, 177–182. [Google Scholar] [CrossRef]
- Han, P.; Whitcroft, K.L.; Fischer, J.; Gerber, J.; Cuevas, M.; Andrews, P.; Hummel, T. Olfactory brain gray matter volume reduction in patients with chronic rhinosinusitis. Int. Forum Allergy Rhinol. 2017, 7, 551–556. [Google Scholar] [CrossRef] [PubMed]
- Yao, L.; Pinto, J.M.; Yi, X.; Li, L.; Peng, P.; Wei, Y. Gray Matter Volume Reduction of Olfactory Cortices in Patients With Idiopathic Olfactory Loss. Chem. Senses 2014, 39, 755–760. [Google Scholar] [CrossRef] [PubMed] [Green Version]
- Zatorre, R.J.; Jones-Gotman, M.; Evans, A.C.; Meyer, E. Functional localization and lateralization of human olfactory cortex. Nature 1992, 360, 339–340. [Google Scholar] [CrossRef] [PubMed]
- Plailly, J.; Radnovich, A.J.; Sabri, M.; Royet, J.-P.; Kareken, D.A. Involvement of the left anterior insula and frontopolar gyrus in odor discrimination. Hum. Brain Mapp. 2007, 28, 363–372. [Google Scholar] [CrossRef] [PubMed]
- Savic, I.; Gulyas, B.; Larsson, M.; Roland, P. Olfactory Functions Are Mediated by Parallel and Hierarchical Processing. Neuron 2000, 26, 735–745. [Google Scholar] [CrossRef] [Green Version]
- Hummel, T.; Olgun, S.; Gerber, J.; Huchel, U.; Frasnelli, J. Brain responses to odor mixtures with sub-threshold components. Front. Psychol. 2013, 4. [Google Scholar] [CrossRef] [PubMed] [Green Version]
- Bensafi, M.; Croy, I.; Phillips, N.; Rouby, C.; Sezille, C.; Gerber, J.; Small, D.M.; Hummel, T. The effect of verbal context on olfactory neural responses. Hum. Brain Mapp. 2014, 35, 810–818. [Google Scholar] [CrossRef] [PubMed]
- Bensafi, M.; Sobel, N.; Khan, R.M. Hedonic-Specific Activity in Piriform Cortex During Odor Imagery Mimics That During Odor Perception. J. Neurophysiol. 2007, 98, 3254–3262. [Google Scholar] [CrossRef] [Green Version]
- Djordjevic, J.; Zatorre, R.J.; Petrides, M.; Boyle, J.A.; Jones-Gotman, M. Functional neuroimaging of odor imagery. NeuroImage 2005, 24, 791–801. [Google Scholar] [CrossRef]
- Chapman, H.A.; Anderson, A.K. Understanding disgust. Ann. N. Y. Acad. Sci. 2012, 1251, 62–76. [Google Scholar] [CrossRef]
- Wicker, B.; Keysers, C.; Plailly, J.; Royet, J.-P.; Gallese, V.; Rizzolatti, G. Both of Us Disgusted in My Insula: The Common Neural Basis of Seeing and Feeling Disgust. Neuron 2003, 40, 655–664. [Google Scholar] [CrossRef] [Green Version]
- Meier, L.; Friedrich, H.; Federspiel, A.; Jann, K.; Morishima, Y.; Landis, B.N.; Wiest, R.; Strik, W.; Dierks, T. Rivalry of homeostatic and sensory-evoked emotions: Dehydration attenuates olfactory disgust and its neural correlates. NeuroImage 2015, 114, 120–127. [Google Scholar] [CrossRef]
- Veldhuizen, M.; Nachtigal, D.; Teulings, L.; Gitelman, D.; Small, D. The Insular Taste Cortex Contributes to Odor Quality Coding. Front. Hum. Neurosci. 2010, 4. [Google Scholar] [CrossRef] [PubMed] [Green Version]
- Murata, Y.; Okutani, F.; Nakahira, M.; Ushida, T.; Ikemoto, T.; Yokoe, I.; Takeda, T.; Kaba, H.; Tani, T.; Ogawa, Y. Effects of olfactory stimulation with isovaleric acid on brain activation in informed and naïve conditions: A functional MRI study. Auris Nasus Larynx 2007, 34, 465–469. [Google Scholar] [CrossRef] [PubMed]
- Katata, K.; Sakai, N.; Doi, K.; Kawamitsu, H.; Fujii, M.; Sugimura, K.; Nibu, K.-I. Functional MRI of regional brain responses to ‘pleasant’ and ‘unpleasant’ odors. Acta Oto-Laryngol. 2009, 129, 85–90. [Google Scholar] [CrossRef]
- Fulbright, R.K.; Skudlarski, P.; Lacadie, C.M.; Warrenburg, S.; Bowers, A.A.; Gore, J.C.; Wexler, B.E. Functional MR imaging of regional brain responses to pleasant and unpleasant odors. AJNR Am. J. Neuroradiol. 1998, 19, 1721–1726. [Google Scholar]
- Sorokowska, A.; Negoias, S.; Härtwig, S.; Gerber, J.; Iannilli, E.; Warr, J.; Hummel, T. Differences in the central-nervous processing of olfactory stimuli according to their hedonic and arousal characteristics. Neuroscience 2016, 324, 62–68. [Google Scholar] [CrossRef] [PubMed]
- Heining, M.; Young, A.W.; Ioannou, G.; Andrew, C.M.; Brammer, M.J.; Gray, J.A.; Phillips, M.L. Disgusting Smells Activate Human Anterior Insula and Ventral Striatum. Ann. N. Y. Acad. Sci. 2003, 1000, 380–384. [Google Scholar] [CrossRef] [PubMed]
- Sorokowska, A.; Schoen, K.; Hummel, C.; Han, P.; Warr, J.; Hummel, T. Food-Related Odors Activate Dopaminergic Brain Areas. Front. Hum. Neurosci. 2017, 11. [Google Scholar] [CrossRef] [PubMed] [Green Version]
- Tucker, D. Nonolfactory Responses from the Nasal Cavity: Jacobson’s Organ and the Trigeminal System. In Olfaction; Amoore, J.E., Beets, M.G.J., Davies, J.T., Engen, T., Garcia, J., Gesteland, R.C., Graziadei, P.P.C., Kaissling, K.E., Koelling, R.A., LeMagnen, J., et al., Eds.; Springer: Berlin/Heidelberg, Germany, 1971; pp. 151–181. [Google Scholar] [CrossRef]
- Iannilli, E.; Gerber, J.; Frasnelli, J.; Hummel, T. Intranasal trigeminal function in subjects with and without an intact sense of smell. Brain Res. 2007, 1139, 235–244. [Google Scholar] [CrossRef] [PubMed]
- Bensafi, M.; Iannilli, E.; Poncelet, J.; Seo, H.-S.; Gerber, J.; Rouby, C.; Hummel, T. Dissociated Representations of Pleasant and Unpleasant Olfacto-Trigeminal Mixtures: An fMRI Study. PLoS ONE 2012, 7, e38358. [Google Scholar] [CrossRef] [Green Version]
- Lombion, S.; Comte, A.; Tatu, L.; Brand, G.; Moulin, T.; Millot, J.-L. Patterns of cerebral activation during olfactory and trigeminal stimulations. Hum. Brain Mapp. 2009, 30, 821–828. [Google Scholar] [CrossRef] [PubMed]
- Pellegrino, R.; Drechsler, E.; Hummel, C.; Warr, J.; Hummel, T. Bimodal odor processing with a trigeminal component at sub- and suprathreshold levels. Neuroscience 2017, 363, 43–49. [Google Scholar] [CrossRef]
- Savic, I.; Gulyás, B.; Berglund, H. Odorant differentiated pattern of cerebral activation: Comparison of acetone and vanillin. Hum. Brain Mapp. 2002, 17, 17–27. [Google Scholar] [CrossRef]
- Han, P.; Mann, S.; Raue, C.; Warr, J.; Hummel, T. Pepper with and without a sting: Brain processing of intranasal trigeminal and olfactory stimuli from the same source. Brain Res. 2018, 1700, 41–46. [Google Scholar] [CrossRef]
- Penfield, W.; Faulk, M.E.J. The Insula: Further Observations on Its Function1. Brain 1955, 78, 445–470. [Google Scholar] [CrossRef] [PubMed]
- Mazzola, L.; Royet, J.-P.; Catenoix, H.; Montavont, A.; Isnard, J.; Mauguière, F. Gustatory and olfactory responses to stimulation of the human insula. Ann. Neurol. 2017, 82, 360–370. [Google Scholar] [CrossRef] [PubMed]
- Yih, J.; Beam, D.E.; Fox, K.C.R.; Parvizi, J. Intensity of affective experience is modulated by magnitude of intracranial electrical stimulation in human orbitofrontal, cingulate and insular cortices. Soc. Cogn. Affect. Neurosci. 2019, 14, 339–351. [Google Scholar] [CrossRef] [PubMed]
- Obaid, S.; Zerouali, Y.; Nguyen, D.K. Insular Epilepsy: Semiology and Noninvasive Investigations. J. Clin. Neurophysiol. 2017, 34, 315–323. [Google Scholar] [CrossRef]
- Stevenson, R.J.; Miller, L.A.; McGrillen, K. Perception of odor-induced tastes following insular cortex lesion. Neurocase 2015, 21, 33–43. [Google Scholar] [CrossRef]
- Tomasino, B.; Marin, D.; Canderan, C.; Maieron, M.; Skrap, M.; Rumiati, R. Neuropsychological Patterns Following Lesions of the Anterior Insula in a Series of Forty Neurosurgical Patients. Aims Neurosci. 2014, 1, 225–244. [Google Scholar] [CrossRef]
- Moo, L.; Wityk, R.J. Olfactory and taste dysfunction after bilateral middle cerebral artery stroke. J. Stroke Cerebrovasc. Dis. 1999, 8, 353–354. [Google Scholar] [CrossRef]
- Mak, Y.E.; Simmons, K.B.; Gitelman, D.R.; Small, D.M. Taste and olfactory intensity perception changes following left insular stroke. Behav. Neurosci. 2005, 119, 1693–1700. [Google Scholar] [CrossRef]
- Beume, L.-A.; Klingler, A.; Reinhard, M.; Niesen, W.D. Olfactory hallucinations as primary symptom for ischemia in the right posterior insula. J. Neurol. Sci. 2015, 354, 138–139. [Google Scholar] [CrossRef]
- Ribas, E.S.C.; Duffau, H. Permanent anosmia and ageusia after resection of a left temporoinsular low-grade glioma: Anatomofunctional considerations. J. Neurosurg. JNS 2012, 116, 1007–1013. [Google Scholar] [CrossRef] [Green Version]
- Kobal, G.; Hummel, T.; Sekinger, B.; Barz, S.; Roscher, S.; Wolf, S. “Sniffin’ sticks”: Screening of olfactory performance. Rhinology 1996, 34, 222–226. [Google Scholar]
- Oleszkiewicz, A.; Schriever, V.A.; Croy, I.; Hähner, A.; Hummel, T. Updated Sniffin’ Sticks normative data based on an extended sample of 9139 subjects. Eur. Arch. Oto-Rhino-Laryngol. 2019, 276, 719–728. [Google Scholar] [CrossRef] [PubMed] [Green Version]
- Poupon, D.; Hummel, T.; Haehner, A.; Welge-Luessen, A.; Frasnelli, J. Nostril Differences in the Olfactory Performance in Health and Disease. Chem. Senses 2017, 42, 625–634. [Google Scholar] [CrossRef]
- Bradley, M.M.; Lang, P.J. Measuring emotion: The self-assessment manikin and the semantic differential. J. Behav. Ther. Exp. Psychiatry 1994, 25, 49–59. [Google Scholar] [CrossRef]
- Mueller, C.; Kallert, S.; Renner, B.; Stiassny, K.; Temmel, A.F.; Hummel, T.; Kobal, G. Quantitative assessment of gustatory function in a clinical context using impregnated “taste strips”. Rhinology 2003, 41, 2–6. [Google Scholar] [PubMed]
- Landis, B.N.; Welge-Luessen, A.; Brämerson, A.; Bende, M.; Mueller, C.A.; Nordin, S.; Hummel, T. “Taste Strips”—A rapid, lateralized, gustatory bedside identification test based on impregnated filter papers. J. Neurol. 2009, 256, 242. [Google Scholar] [CrossRef] [Green Version]
- Slegers, A.S.J.; Cole, J.; Escudier, F.A.G.S.; Bédirian, V.; Charbonneau, S.; Denault, C.H.I.; Scherzer, P. Normes québécoises pour une version abrégée de l’Échelle de dénomination de Boston à 30 items. App. Clin. Neuropsychol. 2018, 2, 95–108. [Google Scholar] [CrossRef]
- Nasreddine, Z.; Phillips, N.; Bédirian, V.; Charbonneau, S.; Whitehead, V.; Collin, I.; Cummings, J.; Chertkow, H. The Montreal Cognitive Assessment, MoCA: A Brief Screening Tool For Mild Cognitive Impairment. J. Am. Geriatr. Soc. 2005, 53, 695–699. [Google Scholar] [CrossRef]
- Anderson, A.K.; Christoff, K.; Stappen, I.; Panitz, D.; Ghahremani, D.G.; Glover, G.; Gabrieli, J.D.E.; Sobel, N. Dissociated neural representations of intensity and valence in human olfaction. Nat. Neurosci. 2003, 6, 196–202. [Google Scholar] [CrossRef]
- Sela, L.; Sacher, Y.; Serfaty, C.; Yeshurun, Y.; Soroker, N.; Sobel, N. Spared and Impaired Olfactory Abilities after Thalamic Lesions. J. Neurosci. 2009, 29, 12059. [Google Scholar] [CrossRef]
- Calder, A.J.; Lawrence, A.D.; Young, A.W. Neuropsychology of fear and loathing. Nat. Rev. Neurosci. 2001, 2, 352–363. [Google Scholar] [CrossRef] [PubMed]
- Phillips, M.L.; Young, A.W.; Senior, C.; Brammer, M.; Andrew, C.; Calder, A.J.; Bullmore, E.T.; Perrett, D.I.; Rowland, D.; Williams, S.C.R.; et al. A specific neural substrate for perceiving facial expressions of disgust. Nature 1997, 389, 495–498. [Google Scholar] [CrossRef] [PubMed]
- Royet, J.-P.; Plailly, J.; Delon-Martin, C.; Kareken, D.A.; Segebarth, C. fMRI of emotional responses to odors: Influence of hedonic valence and judgment, handedness, and gender. NeuroImage 2003, 20, 713–728. [Google Scholar] [CrossRef]
- Boucher, O.; Turgeon, C.; Champoux, S.; Ménard, L.; Rouleau, I.; Lassonde, M.; Lepore, F.; Nguyen, D.K. Hyperacusis following unilateral damage to the insular cortex: A three-case report. Brain Res. 2015, 1606, 102–112. [Google Scholar] [CrossRef] [PubMed]
- Starr, C.J.; Sawaki, L.; Wittenberg, G.F.; Burdette, J.H.; Oshiro, Y.; Quevedo, A.S.; Coghill, R.C. Roles of the Insular Cortex in the Modulation of Pain: Insights from Brain Lesions. J. Neurosci. 2009, 29, 2684. [Google Scholar] [CrossRef] [PubMed]

| Raw Score | Percentile | Interpretation | |
|---|---|---|---|
| Olfactory Threshold | |||
| Left nostril | 5.25 | 25–50 | Average |
| Right nostril | 5.75 | 10–25 | Low average |
| Odor Discrimination | |||
| Both nostrils | 11 | 25 | Low average |
| Odor Identification | |||
| Left nostril | 11 | 25 | Low average |
| Right nostril | 10 | 10–25 | Low average |
| TDI composite score | |||
| Left nostril | 27.25 | - | - |
| Right nostril | 26.75 | - | - |
| Taste Strips | |||
| Left side | 8 | 25 | Low average |
| Right side | 10 | 25–50 | Average |
Publisher’s Note: MDPI stays neutral with regard to jurisdictional claims in published maps and institutional affiliations. |
© 2021 by the authors. Licensee MDPI, Basel, Switzerland. This article is an open access article distributed under the terms and conditions of the Creative Commons Attribution (CC BY) license (http://creativecommons.org/licenses/by/4.0/).
Share and Cite
Roy-Côté, F.; Zahal, R.; Frasnelli, J.; Nguyen, D.K.; Boucher, O. Insula and Olfaction: A Literature Review and Case Report. Brain Sci. 2021, 11, 198. https://doi.org/10.3390/brainsci11020198
Roy-Côté F, Zahal R, Frasnelli J, Nguyen DK, Boucher O. Insula and Olfaction: A Literature Review and Case Report. Brain Sciences. 2021; 11(2):198. https://doi.org/10.3390/brainsci11020198
Chicago/Turabian StyleRoy-Côté, Frédérique, Rayane Zahal, Johannes Frasnelli, Dang Khoa Nguyen, and Olivier Boucher. 2021. "Insula and Olfaction: A Literature Review and Case Report" Brain Sciences 11, no. 2: 198. https://doi.org/10.3390/brainsci11020198
APA StyleRoy-Côté, F., Zahal, R., Frasnelli, J., Nguyen, D. K., & Boucher, O. (2021). Insula and Olfaction: A Literature Review and Case Report. Brain Sciences, 11(2), 198. https://doi.org/10.3390/brainsci11020198

