De Novo Partial 13q22-q34 Trisomy with Typical Neurological and Immunological Findings: A Case Report with New Genetic Insights
Abstract
1. Introduction
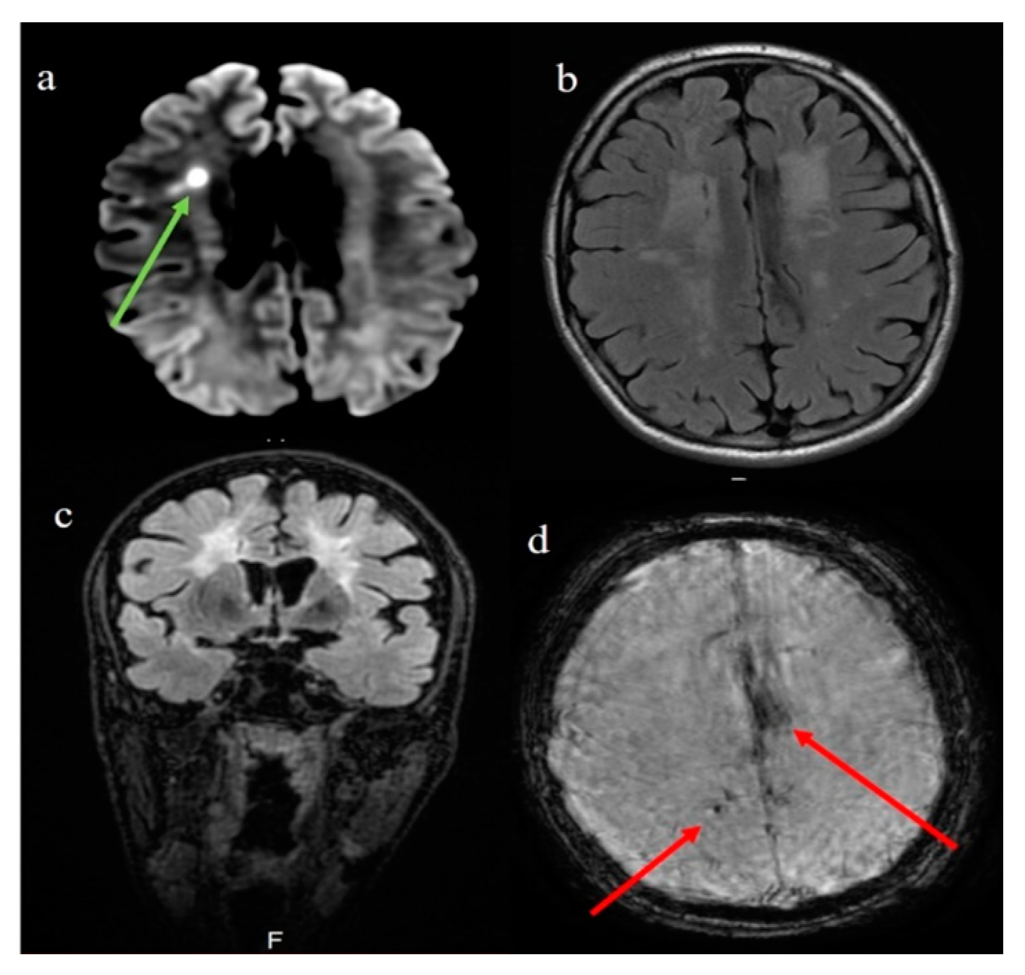
Case Presentation
2. Discussion
3. Conclusions
Author Contributions
Funding
Institutional Review Board Statement
Informed Consent Statement
Data Availability Statement
Conflicts of Interest
References
- Brewer, C.; Holloway, S.H.; Stone, D.H.; Carothers, A.D.; Fitzpatrick, D.R. Survival in trisomy 13 and trisomy 18 cases ascertained from population based registers. J. Med. Genet. 2002, 39, e54. [Google Scholar] [CrossRef] [PubMed]
- Warburton, P.E.; Dolld, M.; Mahmood, R.; Alonso, A.; Li, S.; Naritomi, K.; Tohma, T.; Nagai, T.; Hasegawa, T.; Ohashi, H.; et al. Molecular cytogenetic analysis of eight inversion duplications of human chromosome 13q that each contain a neocentromere. Am. J. Hum. Genet. 2000, 66, 1794–1806. [Google Scholar] [CrossRef] [PubMed]
- Ioan, D.M.; Vermeesch, J.; Fryns, J.P. Terminal distal 13q trisomy due to de novo dup(13)(q32→qter). Genet. Couns. 2005, 16, 435–436. [Google Scholar] [PubMed]
- Ribacoba, R.; Menéndez-González, M.; Hernando, I.; Salas-Puig, J.; Girós, M. Partial trisomy 13q22-qter associated to leukoencephalopathy and late onset generalised epilepsy. Int. Arch. Med. 2008, 1, 5. [Google Scholar] [CrossRef]
- Yousry, S.M.; Shahin, R.M.; El Refai, R.M. Contribution of protein Z gene single-nucleotide polymorphism to systemic lupus erythematosus in Egyptian patients. Blood Coagul. Fibrinolysis 2016, 27, 691–695. [Google Scholar] [CrossRef]
- Giralt-Steinhauer, E.; Jimenez-Conde, J.; Soriano Tarraga, C.; Mola, M.; Rodríguez-Campello, A.; Cuadrado-Godia, E.; Ois, A.; Fernández-Cádenas, I.; Carrera, C.; Montaner, J.; et al. Exploring the genetic basis of stroke. Spanish stroke genetics consortium. Neurologia 2014, 29, 560–566. [Google Scholar] [CrossRef]
- Zeng, Y.; Zhang, L.; Hu, Z.; Yang, Q.; Ma, M.; Liu, B.; Xia, J.; Xu, H.; Liu, Y.; Du, X. Fibrinogen polymorphisms associated with sporadic cerebral hemorrhage in a Chinese population. J. Clin. Neurosci. 2012, 19, 753–756. [Google Scholar] [CrossRef]
- Tinelli, C.; Di Pino, A.; Ficulle, E.; Marcelli, S.; Feligioni, M. Hyperhomocysteinemia as a Risk Factor and Potential Nutraceutical Target for Certain Pathologies. Front. Nutr. 2019, 6, 49. [Google Scholar] [CrossRef]
- Sahin, U.; Ozcan, M. The End of a Long Debate: Methylenetetrahydrofolate Reductase Gene Polymorphisms do not Increase Thrombosis Risk. Eurasian J. Med. 2017, 49, 76–77. [Google Scholar] [CrossRef]
- Zeng, Y.; Hu, Z.; Yang, O.; Ma, M.; Liu, B.; Xia, J.; Xu, H.; Liu, Y.; Du, X. Association of Protein Z and Factor VII Gene Polymorphisms with Risk of Cerebral Hemorrhage: A Case-Control and a Family-Based Association Study in a Chinese Han Population. J. Genet. 2016, 95, 383–388. [Google Scholar] [CrossRef]
- Zhang, L.; Segal, A.Z.; Leifer, D.; Silverstein, R.L.; Gerber, L.M.; Devereux, R.D.; Kizer, J.R. Circulating Protein Z Concentration, PROZ Variants, and Unexplained Cerebral Infarction in Young and Middle-Aged Adults. Thromb. Haemost. 2017, 117, 149–157. [Google Scholar] [CrossRef] [PubMed]
- Angelillo-Scherre, A.; Garcia de Frutos, P.; Aparicio, C.; Melis, E.; Savi, P.; Lupu, F.; Arnout, J.; Dewerchin, M.; Hoylaerts, M.; Herbert, D.; et al. Deficiency or inhibition of Gas6 causes platelet dysfunction and protects mice against thrombosis. Nat. Med. 2001, 7, 215–221. [Google Scholar] [CrossRef] [PubMed]
- Foley, J.H.; Conway, E.M. Gas6 gains entry into the coagulation cascade. Blood 2013, 121, 570–571. [Google Scholar] [CrossRef] [PubMed]
- Cohen, P.L.; Shao, W.H. Gas6/TAM Receptors in Systemic Lupus Erythematosus. Dis. Markers 2019, 2019, 7838195. [Google Scholar] [CrossRef]
- Ekman, C.; Jönsen, A.; Sturfelt, G.; Bengtsson, A.A.; Dahlbäck, B. Plasma concentrations of Gas6 and sAxl correlate with disease activity in systemic lupus erythematosus. Rheumatology 2001, 50, 1064–1069. [Google Scholar] [CrossRef]
- Bernales, I.; Fullaondo, A.; Marín-Vidalled, M.J.; Ucar, E.; Martínez-Taboada, V.; López-Hoyos, M.; Zubiagaet, A.M. Innate immune response gene expression profiles characterize primary antiphospholipid syndrome. Genes Immun. 2018, 9, 38–46. [Google Scholar] [CrossRef]
- Zhang, J.; Roschke, V.; Baker, K.P.; Wang, Z.; Alarcón, G.S.; Fessler, B.; Bastian, J.; Kimberly, P.; Zhou, T. Cutting edge: A role for B lymphocyte stimulator in systemic lupus erythematosus. J. Immun. 2001, 166, 6–10. [Google Scholar] [CrossRef]
- González-Serna, D.; Ortiz-Fernández, L.; Vargas, S.; García, A.; Raya, E.; Fernández-Gutierrez, B.; López-Longo, F.J.; Balsa, A.; González-Álvaro, I.; Narvaez, J.; et al. Association of a rare variant of the TNFSF13B gene with susceptibility to Rheumatoid Arthritis and Systemic Lupus Erythematosus. Sci. Rep. 2018, 8, 8195. [Google Scholar] [CrossRef]
- Gross, J.A.; Johnston, J.; Mudri, S.; Enselman, R.; Dillon, S.R.; Madden, K.; Xu, W.; Parrish-Novak, J.; Foster, D.; Lofton-Day, C.; et al. TACI and BCMA are receptors for a TNF homologue implicated in B-cell autoimmune disease. Nature 2000, 404, 995–999. [Google Scholar] [CrossRef]
- Thompson, B.J.; Sahai, E. MST kinases in development and disease. J. Cell Biol. 2015, 210, 871–882. [Google Scholar] [CrossRef]
- Yang, J.; Jiang, Q.; Yu, X.; Xu, T.; Wang, Y.; Deng, J.; Liu, Y.; Chen, Y. STK24 modulates excitatory synaptic transmission in epileptic hippocampal neurons. CNS Neurosci. Ther. 2020, 26, 851–861. [Google Scholar] [CrossRef] [PubMed]
- Wie, J.; Bharthur, A.; Wolfgang, M.; Narayanan, V.; Ramsey, K.; C4RCD Research Group; Aranda, K.; Zhang, Q.; Zhou, Y.; Ren, D. Intellectual disability-associated UNC80 mutations reveal inter-subunit interaction and dendritic function of the NALCN channel complex. Nat. Commun. 2020, 11, 3351. [Google Scholar] [CrossRef] [PubMed]
- Bramswig, N.C.; Bertoli-Avella, A.M.; Albrecht, B.; Al Aqeel, A.I.; Alhashem, A.; Al-Sannaa, N.; Bah, M.; Bröhl, K.; Depienne, C.; Dorison, N.; et al. Genetic variants in components of the NALCN-UNC80-UNC79 ion channel complex cause a broad clinical phenotype (NALCN channelopathies). Hum. Genet. 2018, 137, 753–768. [Google Scholar] [CrossRef]
- Van der Zwaag, P.A.; Dijkhuizen, T.; Gerssen-Schoorl, K.B.; Colijn, A.W.; Broens, P.M.; Flapper, B.C.; van Ravenswaaij-Arts, C.M. An interstitial duplication of chromosome 13q31.3q32.1 further delineates the critical region for postaxial polydactyly type A2. Eur. J. Med. Genet. 2010, 53, 45–49. [Google Scholar] [CrossRef] [PubMed]


Publisher’s Note: MDPI stays neutral with regard to jurisdictional claims in published maps and institutional affiliations. |
© 2020 by the authors. Licensee MDPI, Basel, Switzerland. This article is an open access article distributed under the terms and conditions of the Creative Commons Attribution (CC BY) license (http://creativecommons.org/licenses/by/4.0/).
Share and Cite
Brogna, C.; Milano, V.; Brogna, B.; Cristiano, L.; Rovere, G.; De Sanctis, R.; Romeo, D.M.; Mercuri, E.; Zampino, G. De Novo Partial 13q22-q34 Trisomy with Typical Neurological and Immunological Findings: A Case Report with New Genetic Insights. Brain Sci. 2021, 11, 21. https://doi.org/10.3390/brainsci11010021
Brogna C, Milano V, Brogna B, Cristiano L, Rovere G, De Sanctis R, Romeo DM, Mercuri E, Zampino G. De Novo Partial 13q22-q34 Trisomy with Typical Neurological and Immunological Findings: A Case Report with New Genetic Insights. Brain Sciences. 2021; 11(1):21. https://doi.org/10.3390/brainsci11010021
Chicago/Turabian StyleBrogna, Claudia, Valentina Milano, Barbara Brogna, Lara Cristiano, Giuseppe Rovere, Roberto De Sanctis, Domenico M. Romeo, Eugenio Mercuri, and Giuseppe Zampino. 2021. "De Novo Partial 13q22-q34 Trisomy with Typical Neurological and Immunological Findings: A Case Report with New Genetic Insights" Brain Sciences 11, no. 1: 21. https://doi.org/10.3390/brainsci11010021
APA StyleBrogna, C., Milano, V., Brogna, B., Cristiano, L., Rovere, G., De Sanctis, R., Romeo, D. M., Mercuri, E., & Zampino, G. (2021). De Novo Partial 13q22-q34 Trisomy with Typical Neurological and Immunological Findings: A Case Report with New Genetic Insights. Brain Sciences, 11(1), 21. https://doi.org/10.3390/brainsci11010021

