Neisseria meningitidis Induced Fatal Waterhouse–Friderichsen Syndrome in a Patient Presenting With Disseminated Intravascular Coagulation and Multiple Organ Failure
Abstract
1. Introduction
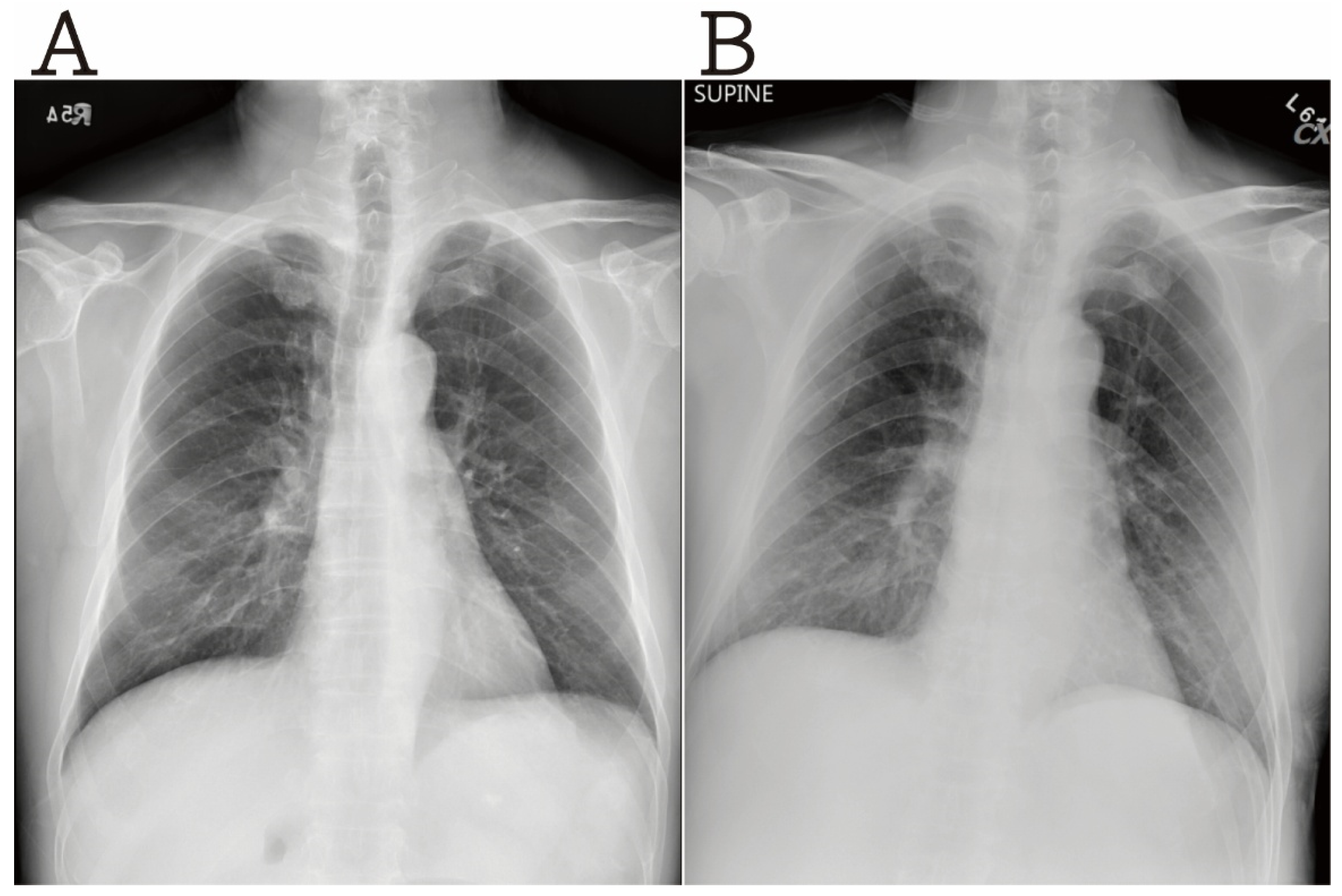
2. Case Presentation
3. Discussion
Author Contributions
Funding
Conflicts of Interest
References
- Ventura, F.; Bonsignore, A.; Portunato, F.; Orcioni, G.F.; Varnier, O.E.; De Stefano, F. A fatal case of streptococcal and meningococcal meningitis in a 2-years-old child occurring as Waterhouse–Friderichsen Syndrome. J. Forensic Leg. Med. 2013, 20, 678–682. [Google Scholar] [CrossRef] [PubMed]
- Doherty, S. Fatal pneumococcal Waterhouse-Friderichsen syndrome. Emerg. Med. 2001, 13, 237–239. [Google Scholar] [CrossRef] [PubMed]
- Kingery, F.A. Waterhouse-Friderichsen Syndrome. JAMA 1965, 192, 569. [Google Scholar] [PubMed]
- Tondella, M.L.C.; Popovic, T.; Rosenstein, N.E.; Lake, D.B.; Carlone, G.M.; Mayer, L.W.; Perkins, B.A. Distribution of Neisseria meningitidisSerogroup B Serosubtypes and Serotypes Circulating in the United States. J. Clin. Microbiol. 2000, 38, 3323–3328. [Google Scholar] [CrossRef] [PubMed]
- Batista, R.S.; Gomes, A.P.; Gazineo, J.L.D.; Miguel, P.S.B.; Santana, L.A.; Oliveira, L.; Geller, M. Meningococcal disease, a clinical and epidemiological review. Asian Pac. J. Trop. Med. 2017, 10, 1019–1029. [Google Scholar] [CrossRef] [PubMed]
- Van De Beek, D.; Spanjaard, L.; Vermeulen, M.; De Gans, J.; Weisfelt, M.; Reitsma, J.B. Clinical Features and Prognostic Factors in Adults with Bacterial Meningitis. N. Engl. J. Med. 2004, 351, 1849–1859. [Google Scholar] [CrossRef] [PubMed]
- McGill, F.; Heyderman, R.S.; Panagiotou, S.; Tunkel, A.R.; Solomon, T. Acute bacterial meningitis in adults. Lancet 2016, 388, 3036–3047. [Google Scholar] [CrossRef]
- Paleiron, N.; BaNguyen, V.; Commandeur, D.; Déserts, M.D.D.; Désidéri-Vaillant, C.; Sapin-Lory, J.; Valero, E.; Nicolas, X. Fulminant Neisseria meningitidis B to revealing multiple myeloma. Ann. Biol. Clin. (Paris) 2012, 70, 477–479. [Google Scholar] [CrossRef] [PubMed]
- Zeldenrust, G.M.J.; van Suylen, R.J.; Ramakers, B.P.C. The Waterhouse-Friderichsen Syndrome. Ned. Tijdschr. Voor Geneeskd. 2018, 162, D2344. [Google Scholar]
- Heitz, A.F.N.; Hofstee, H.M.A.; Gelinck, L.B.S.; Puylaert, J.B. A Rare Case of Waterhouse-Friderichsen Syndrome during Primary Varicella Zoster Infection. Neth. J. Med. 2017, 75, 351–353. [Google Scholar] [PubMed]
- Spagnolo, E.V.; Mondello, C.; Roccuzzo, S.; Stassi, C.; Cardia, L.; Grieco, A.; Raffino, C. A unique fatal case of Waterhouse–Friderichsen syndrome caused by Proteus mirabilis in an immunocompetent subject. Medicine 2019, 98, e16664. [Google Scholar] [CrossRef] [PubMed]
- Verzeletti, A.; Bonfanti, C.; Leide, A.; Azzalini, E.; De Francesco, M.A.; Piccinelli, G.; De Ferrari, F. Streptococcus Pneumoniae Detection Long Time After Death in a Fatal Case of Waterhouse-Friderichsen Syndrome. Am. J. Forensic Med. Pathol. 2016, 38, 1. [Google Scholar] [CrossRef] [PubMed]
- Pathan, N.; Faust, S.N.; Levin, M. Pathophysiology of meningococcal meningitis and septicaemia. Arch. Dis. Child. 2003, 88, 601–607. [Google Scholar] [CrossRef] [PubMed]
- Chang, J.C. Sepsis and septic shock: Endothelial molecular pathogenesis associated with vascular microthrombotic disease. Thromb. J. 2019, 17, 10. [Google Scholar] [CrossRef] [PubMed]
- Chang, J.C. TTP-like syndrome: Novel concept and molecular pathogenesis of endotheliopathy-associated vascular microthrombotic disease. Thromb. J. 2018, 16, 20. [Google Scholar] [CrossRef] [PubMed]
- Steadman, E.; Raisch, D.W.; Bennett, C.L.; Esterly, J.S.; Becker, T.; Postelnick, M.; McKoy, J.M.; Trifilio, S.; Yarnold, P.R.; Scheetz, M.H. Evaluation of a Potential Clinical Interaction between Ceftriaxone and Calcium. Antimicrob. Agents Chemother. 2010, 54, 1534–1540. [Google Scholar] [CrossRef] [PubMed]
- Van de Beek, D.; Brouwer, M.; Hasbun, R.; Koedel, U.; Cynthia, G. Whitney, and Eelco Wijdicks. “Community-Acquired Bacterial Meningitis.” Nature reviews. Dis. Primers 2016, 2, 16074. [Google Scholar] [CrossRef] [PubMed]


| Variables | Normal Range | Patient Data | Variables | Normal Range | Patient Data | ||
|---|---|---|---|---|---|---|---|
| Day 1 | Day 2 | Day 1 | Day 2 | ||||
| White cell count | 3.9–10.6 (× 103/µL) | 8.69 | 2.19 | Blood urine nitrogen | 7–25 mg/dL | 17 | 26 |
| Hemoglobin | 13.5–17.5 g/dL | 15.1 | 15.5 | Creatinine | 0.7–1.3 mg/dL | 1.1 | 2.7 |
| Platelet count | 150–400 (× 103/µL) | 152 | 35 | Sodium | 136–145 mmol/L | 133 | 134 |
| Band | 0–3% | 1.0 | 6.0 | Potassium | 3.5–5.1 mmol/L | 3.6 | 4.0 |
| Monocytes | 2–10% | 1.0 | 4.0 | Glucose | 70–100 mg/dL | 90 | 99 |
| Neutrophils | 40–45% | 95.0 | 62.0 | ALT | 7–52 U/L | --- | 28 |
| Lymphocytes | 20–45% | 3.0 | 24.0 | AST | 13–39 U/L | --- | 44 |
| Eosinophils | 1–6% | 0.0 | 1.0 | Total bilirubin | 0.3–1.0 mg/dL | --- | 2.08 |
| N. RBC | 0–0% (/100 WBC) | 0.0 | 7.0 | C-reactive protein | < 1.0 mg/dL | 0.23 | 10.33 |
| Metamyelocytes | 0–0% | 0.0 | 2.0 | Lactic acid | 0.5–2.2 mg/dL | --- | 11.3 |
| PT | 8–12 s | --- | 28.2 | Hs-troponin I | < 17.5 pg/mL | --- | 64.8 |
| APTT | 23.9–35.5 s | --- | 166.2 | Influenza test | Negative | Negative | Negative |
| INR | --- | 2.77 | Dengue test* | Negative | Negative | Negative | |
| Venous gas pH | 7.31–7.41 | --- | 7.239 | ||||
| Venous gas pCO2 | 41–51 mm Hg | --- | 41.7 | ||||
| Venous gas pO2 | 80–100 mm Hg | --- | 33.6 | ||||
| Venous gas HCO3- | 22–26 mmol/L | --- | 17.4 | ||||
© 2020 by the authors. Licensee MDPI, Basel, Switzerland. This article is an open access article distributed under the terms and conditions of the Creative Commons Attribution (CC BY) license (http://creativecommons.org/licenses/by/4.0/).
Share and Cite
Wu, M.-Y.; Chen, C.-S.; Tsay, C.-Y.; Yiang, G.-T.; Ke, J.-Y.; Lin, P.-C. Neisseria meningitidis Induced Fatal Waterhouse–Friderichsen Syndrome in a Patient Presenting With Disseminated Intravascular Coagulation and Multiple Organ Failure. Brain Sci. 2020, 10, 171. https://doi.org/10.3390/brainsci10030171
Wu M-Y, Chen C-S, Tsay C-Y, Yiang G-T, Ke J-Y, Lin P-C. Neisseria meningitidis Induced Fatal Waterhouse–Friderichsen Syndrome in a Patient Presenting With Disseminated Intravascular Coagulation and Multiple Organ Failure. Brain Sciences. 2020; 10(3):171. https://doi.org/10.3390/brainsci10030171
Chicago/Turabian StyleWu, Meng-Yu, Chien-Sheng Chen, Chih-Yi Tsay, Giou-Teng Yiang, Jian-Yu Ke, and Po-Chen Lin. 2020. "Neisseria meningitidis Induced Fatal Waterhouse–Friderichsen Syndrome in a Patient Presenting With Disseminated Intravascular Coagulation and Multiple Organ Failure" Brain Sciences 10, no. 3: 171. https://doi.org/10.3390/brainsci10030171
APA StyleWu, M.-Y., Chen, C.-S., Tsay, C.-Y., Yiang, G.-T., Ke, J.-Y., & Lin, P.-C. (2020). Neisseria meningitidis Induced Fatal Waterhouse–Friderichsen Syndrome in a Patient Presenting With Disseminated Intravascular Coagulation and Multiple Organ Failure. Brain Sciences, 10(3), 171. https://doi.org/10.3390/brainsci10030171

