Next Article in Journal
Comparative Cost–Benefit Analysis of Additive Manufacturing and Tool-Based Manufacturing for Battery Cell Housings in Low-Batch-Size Production
Previous Article in Journal
Feature Fusion-Based Cross-Modal Proxy Hashing Retrieval
Previous Article in Special Issue
A Matrix Effect Calibration Method of Laser-Induced Breakdown Spectroscopy Based on Laser Ablation Morphology
 
 
Font Type:
Arial Georgia Verdana
Font Size:
Aa Aa Aa
Line Spacing:
Column Width:
Background:
Article

Exploratory Approach Using Laser-Induced Autofluorescence for Upper Aerodigestive Tract Cancer Diagnosis—Three Case Reports

by
Ruxandra Ioana Stăncălie-Nedelcu
1,
Șerban Vifor Gabriel Berteșteanu
1,2,
Gloria Simona Berteșteanu
1,3,
Ionuț Relu Andrei
4,*,
Adriana Smarandache
4,*,
Angela Staicu
4,
Tatiana Tozar
4,5,
Romeo Costin
1,3,* and
Raluca Grigore
1,2
1
Department 12-Otorhynolaryngology, Ophtalmology, Faculty of Medicine, “Carol Davila” University of Medicine and Pharmacy, 050474 Bucharest, Romania
2
Department of ENT, Head and Neck Surgery, Colţea Clinical Hospital, 030167 Bucharest, Romania
3
Department of ENT, Head and Neck Surgery, “Carol Davila” Emergency Central Military Hospital, 010825 Bucharest, Romania
4
Laser Department, National Institute for Laser, Plasma & Radiation Physics, 077125 Magurele, Romania
5
Extreme Light Infrastructure—Nuclear Physics, “Horia Hulubei” National Institute for R&D in Physics and Nuclear Engineering, 30 Reactorului Street, 077125 Magurele, Romania
*
Authors to whom correspondence should be addressed.
Appl. Sci. 2026, 16(3), 1536; https://doi.org/10.3390/app16031536
Submission received: 27 November 2025 / Revised: 27 January 2026 / Accepted: 28 January 2026 / Published: 3 February 2026

Featured Application

This work provides preliminary insight into the sensitivity of the matrix scan-based LIAF method to tissue changes and serves as a foundation for further studies.

Abstract

Laser-induced autofluorescence (LIAF) spectroscopy is a label-free optical technique sensitive to biochemical and structural tissue properties. Its application in upper aerodigestive tract malignancies is in its early stages. This study evaluates the feasibility of a matrix scan-based LIAF approach for examining differences between normal and malignant tissues. An exploratory case series involving three patients with oropharyngeal malignancies was conducted. Tissue sections from normal and tumor regions were analyzed using LIAF spectroscopy, including intensity and lifetime measurements, implemented through a matrix scanning protocol with fixed excitation, detection sensitivity, and sample thickness. Complementary Fourier-transform infrared (FTIR) spectroscopy was used to qualitatively assess biochemical variations, and spectroscopic findings were correlated with histopathological evaluation. Within individual cases, consistent differences in autofluorescence spectral and lifetime characteristics were observed between benign and malignant tissue regions. FTIR analysis revealed concurrent biochemical variations that qualitatively supported the autofluorescence observations. This exploratory study demonstrates the potential of combining LIAF matrix scan with FTIR spectroscopy to investigate tissue-specific spectral variations in upper aerodigestive tract lesions. The findings are preliminary and motivate further investigation using larger patient groups and clinically relevant acquisition conditions.

1. Introduction

Cancer remains an important public health issue, being a major cause of morbidity and mortality worldwide [1]. Improving diagnosis and treatment is crucial in combating this condition, as most cases are often diagnosed at advanced stages. Cancers of the upper aerodigestive tract represent the sixth most common type of cancer worldwide. The anticipated estimate for 2025 predicts over 800,000 new head and neck cancers (HNCs) worldwide, with 52% of them being oral cavity neoplasms [2].
Most head and neck cancers originate from the mucosal epithelium in the oral cavity, pharynx, and larynx and are histopathologically represented by squamous cell carcinomas. These malignancies are typically linked to tobacco use, alcohol consumption, and human papillomavirus infection [3,4]. Despite the progress in therapy, the mortality of patients diagnosed with oral squamous cell carcinoma (OSCC) remains steadily high due to late-stage diagnosis in most cases [5]. The 5-year survival rate for patients with OSCC ranges from 20% to 90%, depending on the stage of diagnosis [6]. Patients with larynx malignancies frequently present with voice changes or airway obstruction in advanced stages. Early diagnosis and treatment are essential for improving survival rates and preventing the progression of the cancer [7].
Current diagnostic approaches involve a combination of visual inspection, physical palpation, and advanced imaging techniques such as computed tomography and magnetic resonance imaging [8,9]. While current imaging and clinical assessment methods can reveal the presence of a mass, they often lack sufficient sensitivity and specificity to reliably differentiate benign from malignant lesions, particularly in early-stage disease. Consequently, histopathological examination of tissue obtained through biopsy or surgical resection remains the definitive diagnostic standard for oropharyngeal carcinoma [10]. It is a laborious and time-consuming process that depends solely on the pathologist’s judgment.
Since the development of malignant tissue is accompanied not only by changes in tissue structure but also by changes in metabolism, which is closely related to the chemical composition of tissues, these modifications can be easily detected by spectroscopic means [11,12,13]. Recently, the light-based tests (autofluorescence and chemifluorescence) have emerged as significant tools in diagnosing cancers of the oral cavity and oropharynx [14]. These are highly sensitive and effective instruments for cancer diagnostics, detecting molecular alterations in tissues to accurately distinguish cancerous from healthy cells, allowing for early detection, surgical guidance, and personalized monitoring. By assessing optical properties and identifying biochemical changes that are imperceptible to the human eye, these methods provide distinctive “molecular fingerprints” that can be combined with artificial intelligence (AI) for increased accuracy [15,16]. Complementary methods to histology in diagnosing cancers can thus rely on laser-induced autofluorescence (LIAF) and Fourier-transform infrared (FTIR) spectroscopy performed on tissue samples [17]. These non-destructive and label-free techniques can significantly contribute to early detection of neoplasms by distinguishing between malignant and healthy tissues, thus leading to higher chances of recovery and improved quality of life for patients [18].
Laser-induced fluorescence spectroscopy is a high-performance technique used to detect molecules and atoms, measure concentrations of molecular species, population distributions across energy levels, and energy transfer in molecules [19]. In 1984, Alfano et al. demonstrated that autofluorescence can distinguish between malignant and healthy tissue [20]. Sperber et al. recently reported the development of a fluorescence spectroscopy platform called the TumorID, which uses variations in endogenous fluorophores to differentiate tumor from healthy tissue [21]. The technology uses laser-induced non-contact fluorescence spectroscopy to identify the cellular metabolic profiles of tumors, which are defined by different NADH and FAD concentrations from the Warburg effect [22]. In particular, a 405 nm laser is used to excite tissue, and the emission fluorescence spectra generated by endogenous fluorophores are examined. Such a system has also shown potential in the classification of pituitary adenoma subtypes in a recent intraoperative ex vivo study [23]. In the research reported by Pavithran et al., the 325 nm excited autofluorescence spectra from cancerous and normal renal tissues were collected from ex vivo biopsy tissue samples through an optical fiber probe-based system [24]. It was demonstrated that this can be a suitable technique for optical pathology and in vivo surgical boundary demarcation in renal cell carcinoma. The fluorescence emissions from endogenous fluorophores, such as collagen, NADH, vitamin A, and flavin adenine dinucleotide, showed significant variations in intensity and wavelength in pathological conditions compared to the normal state [24].
FTIR spectroscopy is a well-established analytical technique with a wide range of applications. This non-invasive technique can detect early biomolecular changes linked to cancerous conditions before any morphological abnormalities occur, which emphasizes its utility in early cancer detection [25]. To date, a substantial volume of high-quality research has demonstrated that FTIR outperforms other conventional cancer screening and diagnostic techniques, making it a promising investigational technique in contemporary medicine [26,27]. In a very recent report, it was shown that variations in chemical composition at the cellular and extracellular vesicle levels caused by the length of melanoma cell growth in the presence of N-glycosylation inhibitors could be detected within minutes using Fourier-transform infrared–attenuated total reflectance (FTIR-ATR) spectroscopy [28]. Three neural networks (NNs) were designed to distinguish between benign and malignant breast cancers using the corresponding FTIR-ATR spectral data, according to Tomas et al. [29]. In malignant tissues, they were able to detect significantly lower peak absorbance of lipids, nucleic acids, and phospholipids, which were also visible in the visual analysis that was carried out. Another report showed that FTIR-ATR demonstrated a high sensitivity, specificity, and accuracy in differentiating benign from malignant lung tissue in a study intended to assess its concordance with H&E staining. Furthermore, a good agreement was found between FTIR-ATR analysis and histological results [30].
A study published in 2018 by Tozar et al. demonstrates the feasibility of coupling LIAF and FTIR-ATR as investigation techniques to detect biochemical, structural, and morphological changes in laryngeal squamous cell carcinoma [17]. The LIAF method revealed a hypsochromic shift and an average decrease in fluorescence intensity of 75.42 ± 3% in malignant tissue compared to healthy tissue. From the FTIR-ATR spectra, the absence of the band at 1745 cm−1 was suggested as a biomarker for identifying laryngeal squamous cell carcinoma.
The present study is designed as an exploratory, proof-of-concept investigation aimed at evaluating the potential of the LIAF matrix scan method for detecting biochemical differences between normal and malignant tissues. Three representative case reports were analyzed to assess their feasibility as a sensitive investigational method for early detection of upper aerodigestive tract cancer. To assess the performance of LIAF, the results were corroborated by Fourier-transform infrared spectroscopy analysis of tissue fragments and further cross-verified against histopathological findings, thereby providing a multimodal framework that reinforces the potential sensitivity and reliability of LIAF to differentiate the malignant tissues. The LIAF matrix scan approach allows for mapping of tissue fluorescence, facilitating the detection of atypical biochemical signatures across complex anatomical regions. This study provides preliminary insight into the sensitivity of matrix scan-based LIAF measurements to tissue changes and serves as a foundation for further large-scale validation studies.

2. Materials and Methods

2.1. Ethics and Protocol of Tissue Sampling

All procedures were conducted in accordance with the ethical standards of the Declaration of Helsinki and its amendments, and patients signed a written consent certifying their voluntary participation for research purposes. Surgical interventions were performed, and tissue samples were collected from patients diagnosed with well-differentiated epithelial–myoepithelial carcinoma of the maxillary sinus with extension to the hard palate, well-differentiated microinvasive squamous cell carcinoma of the base of the tongue with extension toward the hypopharynx, and poorly keratinizing squamous cell carcinoma of the right side of the tongue (Table 1) at the Colțea ENT Clinic—Hospital in Bucharest. The hospital’s ethics Committee approved the conduct of studies on the detection of early-stage lesions in the upper aerodigestive tract and the monitoring of their progression using optical methods (registration No. 5323/obcc of 20 March 2023). In all cases, surgery was recommended according to the stage of cancer development and was not determined by the studies presented.
Patient 1 is a 65-year-old male with a history of smoking. He presented to the clinic with persistent unilateral nasal obstruction, facial pain localized to the maxillary sinus, and difficulty in mastication. Clinical examination revealed a large, vegetative tumor mass in the right maxillary sinus that extended into the right nasal cavity, which was completely occupied, and further invaded the hard palate. A biopsy of the nasal tumor confirmed the diagnosis of epithelial–myoepithelial carcinoma. The patient underwent a maxillectomy via an open approach, including resection of the palate (Figure 1a). The tumor was excised en bloc from the right maxillary sinus, together with the middle and inferior nasal turbinate. Histopathological analysis (Figure 1b) confirmed the diagnosis of epithelial–myoepithelial carcinoma, with areas showing focally increased mitotic activity.
Patient 2 is a 60-year-old woman with no previous medical history who presented at the clinic for glossodynia and the appearance of a tongue tumor, with progressive growth for 5 months. The clinical examination revealed a vegetative tumor situated in the left side of the base of the tongue, having a high consistency and a 2/3 cm diameter, extending towards the left vallecula, epiglottis, and left aryepiglottic fold; bilateral laterocervical lymphadenopathies were palpated; the largest one was situated at the left jugulocarotid level, measuring 2.5/2 cm, mobile on the underlying structures, and non-tender spontaneously and during palpation. A biopsy from the oropharyngeal tumor was performed, and the patient was diagnosed with well-differentiated squamous cell carcinoma of the base of the tongue.
Patient 2 underwent surgery, which consisted of partial horizontal supraglottic laryngectomy, extended at the base of the tongue, and a functional bilateral jugulocarotid lymph node dissection was performed to remove any cancerous cells that may have spread to the lymph nodes in the neck. The surgical procedure was successful and followed by adjuvant radiotherapy and chemotherapy. The patient was closely monitored for any signs of recurrence or metastasis.
The histopathological analysis of the surgical specimen confirmed the diagnosis of well-differentiated squamous cell carcinoma (Figure 2).
Patient 3 is a 60-year-old female with a medical history of previous ovarian cancer surgery, type II diabetes mellitus, and active smoking. She presented to the clinic with speech difficulties and glossodynia. Clinical examination revealed a vegetative tumor mass involving the right hemilingual region. Additionally, a right laterocervical lymphadenopathy was identified, measuring 3 × 3 cm, fixed to both superficial and deep planes, and non-tender at rest and on palpation. A biopsy performed under local anesthesia confirmed the diagnosis of poorly keratinizing squamous cell carcinoma. Curative treatment consisted of right hemiglossectomy, right modified radical type II jugulocarotid lymph node dissection, and resection of the right internal jugular vein. After the surgical treatment, the patient underwent radiation therapy to target any remaining cancer cells in the affected area and chemotherapy. The patient was closely monitored with regular check-ups and imaging scans, and no evidence of recurrence or metastasis was detected.
The histopathological analysis of the surgical specimen confirmed the diagnosis of poorly keratinizing squamous cell carcinoma (Figure 3).
For the current study, tissue samples were collected from the patients during surgery. They were transported immediately to the Pathological Department with no solution of formalin so as not to alter the future results. Resected specimens were cut and frozen using a cryostat immediately after surgery and stored at −80 °C. All frozen tissue sections were cut using a cryostat at a nominal thickness of 30 µm, consistent across malignant and paired healthy samples. Sections from the same specimen were prepared in the same cutting session to minimize thickness-related variability. The samples, consisting of paired normal and tumor tissues, were mounted (unfixed, unstained) on microscope slides, and regions showing visible sectioning artifacts, ice-crystal damage, or extensive necrosis were excluded from further optical measurements based on microscopic inspection. Transportation of frozen tissue samples requires careful handling to ensure their integrity and quality are maintained. The probes were properly labeled with patient information, date, and time of collection, as well as the type of analysis requested. They were packaged in a container that provides adequate protection against physical damage, contamination, and temperature fluctuations. A reliable courier service specialized in the transport of biological samples shipped the probes to the National Institute for Laser, Plasma, and Radiation Physics (INFLPR) for spectroscopy investigations. All samples were transported on dry ice and underwent a single freeze–thaw cycle prior to sectioning. Autofluorescence measurements were performed on the same day of section preparation (within 24 h) to minimize degradation-related changes.

2.2. Laser-Induced Autofluorescence Spectroscopy

The principle of autofluorescence in tissues is based on the presence of endogenous molecules or chemical compounds that can absorb light at specific wavelengths and emit fluorescent light at a longer wavelength [31]. The appearance and degree of autofluorescence primarily depend on the content of fluorophores in the analyzed tissue. Fluorophores are predominantly proteins, such as collagen, elastin, keratin, or NADH [32]. Other factors that influence this optical property include the chemical composition, metabolic state, type, age, and health status of the tissue, and the wavelength of the excited light. Given the use of UV excitation (375 nm), the effective optical penetration depth is limited to 1 mm, but most of the incident energy is absorbed within the first 100–200 μm, depending on the tissue type, excitation laser power, and beam width. Therefore, any fluorescence signal detected is likely to originate from this region [33]. As the section thickness was substantially smaller than this penetration depth, the recorded autofluorescence signal represents an integrated response of the full tissue section rather than depth-dependent subsurface contributions.
LIAF spectroscopy requires a specialized instrumental setup, including a laser as a source of excitation. In the current experimental studies, the laser source was a pulsed picosecond laser diode that emitted at 375 nm (Alphalas, type PicoPower LD-375-50, Goettingen, Germany) and was set to a 31 MHz repetition rate, with 87 ps full width at half maximum and 0.5 mW average power. The laser radiation of a 1.6 × 1.8 mm (elliptic) spot was directed to the tissue through a mirror, in a vertical geometry, normal to the sample surface. Then, to increase the total irradiation power, a second mirror was placed under the substrate to return the remanent beam that passes the sample and UV-transparent substrate. Two optical fibers (Thorlabs, type M93L02 1500 μm, Newton, NJ, USA) positioned at 45° angles and at approximately 3 mm in height collected the emitted fluorescence signal from the sample. A spectrograph (Acton Research, type Spectra Pro SP2750, Trenton, NJ, USA) was coupled with an intensified CCD camera (Princeton Instruments, type PIMAX 1024, Trenton, NJ, USA) and a photomultiplier module (Hamamatsu, type H-6780-02, Herrsching am Ammersee, Germany) with a 0.78 ns rise time, coupled with an oscilloscope (Tektronix, type DPO7254 2.5 GHz, Beaverton, OR, USA), was used for signal recording and analysis in terms of spectral characteristics and signal lifetime, respectively (Figure 4).
During the experiment, a matrix scanning procedure for each tissue sample analysis was followed. This included placing the sample (tissue deposited on the substrate) on an automated XY linear translation platform, collecting LIAF signals from points distributed symmetrically on lines and columns spaced 2 mm apart, and setting the number of movement steps along both the OX and OY axes so that the matrix fits the shape of the sample. Thus, the procedure, combined with the dimensions of the laser spot used (1.6 × 1.8 mm), allowed a uniform scan of the selected sample surface. In our experiments, the signal was collected from up to 22 points. At each point, the spectrum was also averaged over 200 laser pulses. The data acquired by the spectrograph and oscilloscope were synchronized with the laser pulses via the TTL synchronization signal emitted by the laser diode driver. The data were further analyzed, and 2D histograms of the LIAF signal were generated by integrating the emitted wavelength with fluorescence spectral data response. A dedicated software was used to analyze the LIAF images and identify any abnormalities in the tissue [18].
Statistical analyses were performed separately for each patient. The LIAF spectra acquired at multiple locations on each tissue sample represent technical subsamples and are not independent biological replicates. Therefore, fluorescence peak intensity values were first summarized at each sample level by extracting the mean across all scanned points for each fragment. These values were then considered independent observations. For each patient, the values were grouped by tissue type (healthy vs. malignant), and a one-way ANOVA was applied to test for differences between tissue types. p-values and effect size are reported with a significance level of α = 0.05. Effect size quantifies how large the difference is between samples, not just whether it is statistically significant [34]. Hedges’ g was used to calculate the difference between the normal and malignant fluorescence intensity means, expressed in pooled standard deviation units, with a small-sample correction.

2.3. Fourier-Transform Infrared Spectroscopy

FTIR spectroscopy provides a biochemical profile of proteins, nucleic acids, lipids, and carbohydrates within a biological sample, referred to as “biomolecular fingerprinting” [11,35]. This technique is sufficiently sensitive to detect subtle changes in molecular structure and microenvironment, including the secondary structure of proteins, mutations in nucleic acids, and the peroxidation of phospholipids [36,37,38,39,40].
In this study, infrared spectra with a resolution of 4 cm−1 in the spectral range of 3700–600 cm−1 were recorded using the FTIR spectrometer (ThermoFisher ScientificTM, type NicoletTM iS™50, Madison, WI, USA) equipped with an ATR module. The signal was collected using the ATR module’s ZnSe crystal, which has a diameter of 1.5 mm, a refractive index of 2.4, and a penetration depth of around 2 μm at 42° incidence. Based on their size and shape, the samples were measured at three to four points
The study focuses on the relative optical contrast between malignant and paired normal tissues processed under identical experimental conditions. Although snap-freezing may induce changes in protein conformation and local biochemical environments, both tissue types were subjected to the same freezing, storage, sectioning, and measurement protocols. Consequently, freezing-related effects are expected to contribute to a systematic background common to all samples, while the observed differences in autofluorescence and FTIR signatures reflect intrinsic pathological alterations associated with malignancy.

3. Results and Discussions

3.1. Laser-Induced Autofluorescence Spectroscopy

For both healthy and tumor tissue, up to three samples from the patient were collected and analyzed. The healthy tissue samples were labeled as “S1”, “S2”, and “S3”, while the tumor tissue samples were designated as “T1”, “T2”, and “T3”. LIAF spectra were acquired in real-time from both healthy and tumor tissue samples. Our methodology—specifically measuring up to 22 different zones to record 22 individual spectra recorded using the matrix scanning procedure, each averaged over 200 pulses—ensured a robust signal with consistent trends within cases while accounting for local heterogeneity. Averaging reduces the influence of artifacts or isolated irregularities and provides a representative emission profile for each tissue type. By averaging a sufficient number of individual spectra, a more comprehensive and representative characterization of the fluorescence signal can be achieved, thereby enhancing the discrimination between healthy and malignant tissues.

3.1.1. Fluorescence Intensity

The averaged LIAF spectra revealed for all patients, and both healthy and tumor tissue, a single fluorescent band; each exhibited a fluorescence intensity peak at a slightly different wavelength (Figure 5), as follows: for patient 1 (maxillary sinus), the healthy tissue was characterized by a band with a fluorescence intensity peak at 461 nm, while the tumoral tissue peak was at 458 nm; for patient 2 (base of the tongue with extension toward the hypopharynx), the emission peaks were at 452 nm and 451 nm; and for patient 3 (right hemilingual mass), the emission peaks were at 456 nm and 455 nm, respectively. The tumor samples for patients 1 and 3 showed peaks at slightly shorter wavelengths and lower intensities. These shifts toward shorter emission wavelengths in tumor tissues indicate changes in the biochemical composition and structural organization of the tissue, commonly associated with keratinized squamous malignant transformation [41,42].
For all patients, a higher fluorescence emission was observed for healthy tissue compared to tumor tissue by 47.8 ± 3.3% for patient 1, 31.1 ± 3% for patient 2, and 26.67 ± 1.9% for patient 3. Identifying a single fluorophore responsible for the decrease/increase in the fluorescence peak intensity is difficult, since a considerable number of fluorophores absorb at 375 nm, such as NADH, FAD, elastin, porphyrins, and collagen [43]. NADH, FAD, and collagen contributed more because their fluorescence emission peak wavelengths were closer to the maxima observed for normal and malignant tissue in this study. The decrease in fluorescence intensity peak for tumor tissue could be caused by a higher requirement of the metabolic coenzymes NADH and FAD in neoplastic cells compared to normal cells because of a much faster division in malignant cells [44]. Similar results were obtained by Pavithran et al. [24] in the investigation of a renal tumor and normal tissue autofluorescence aimed at tumor detection and classification. Their fluorescence spectra recorded from normal renal tissue showed a major peak at 445 nm corresponding to bound NADH. It was blue-shifted with a slight reduction in intensity in the case of chromophobe renal cell carcinoma.
Since the relative standard errors ranged from 4.5% to 8.3%, a statistical analysis of the fluorescence intensity peak was performed for all LIAF spectra corresponding to normal/malignant tissues. Figure 6 displays a statistical distribution in the form of histograms of normal/malignant tissues for each of the three patients. A histogram graphically shows in a relatively objective way how frequently each value occurs in a dataset. The histogram makes it easy to visualize which values are most common and which are least common. In Figure 6, the histograms show on the horizontal axis the intensities of the autofluorescence peak in each LIAF spectrum, measured for each tissue at an average of 10 sampling points, and the vertical axis represents their frequency within each interval.
As can be observed in Figure 6a, for patient 1, the healthy tissue S1 shows a slightly non-uniform distribution compared to S2 and S3. The same slightly non-uniform distribution is also observed for T2 compared to T1 and T3. The histograms for the tumor tissues T1 and T3 show a symmetric shape of the distribution, while S2 and S3 show a positive asymmetric shape. The S3 healthy tissue presents a much broader fluorescence intensity peak distribution, suggesting that the data are not quite as consistent as those obtained for S1 and S2, where the peaks are sharp and narrow.
In Figure 6b, for patient 2, it can be observed that the healthy tissue, S1, shows a symmetric distribution, and S2 and S3 show a positive asymmetric distribution. Also, a slightly uneven distribution is noted for S2 compared to S1 and S3. Regarding the tumor tissue, T2 has a symmetric distribution, while T1 has a negative asymmetric distribution, and T3 has a positive asymmetric distribution. The 2D histograms of the healthy tissues S1 and S3 show symmetric distribution, while T2 and T3 show a positive asymmetric distribution.
In Figure 6c, for patient 3, the healthy tissue S1 shows a uniform distribution with one anomaly, namely in the range of 6–12 × 105 arb. units, while S2 has a positive asymmetric distribution. Regarding the tumor tissue, T1 shows a negative asymmetric distribution, and T2 shows a positive asymmetric distribution.
A clear differentiation between healthy and malignant tissue for all patients is observed in the position of the peaks of the distributions; thus, for S1, S2, and S3, the peaks are located at higher fluorescence intensities compared to the malignant ones (T1, T2, and T3).
For each patient, we performed a statistical analysis on sample-level mean peak fluorescence intensities (one value per sample) to avoid pseudo-replication from repeated scan-point measurements. Sample means from normal tissue were compared with fragment means from malignant tissue using a one-way ANOVA with tissue type as a two-level factor (Table 2), and effect size was quantified using Hedges’ g [34]. The comparisons yielded the following results: patient 1: F(1,4) = 9.86, p = 0.0349, g = 2.05; patient 2: F(1,4) = 165.31, p = 2.11 × 10−4; patient 3: F(1,2) = 19.03, p = 0.0487. Therefore, the above data provide statistically significant evidence (at α = 0.05) that the mean peak fluorescence differs between tissue types in all the patients and that there is a large separation between normal and malignant tissue for each patient. The p-values are reported as exploratory for each patient and are not intended as population-level inference.
Further, we present in Figure 7 the statistical data in boxplots to show a consistent reduction in LIAF peak fluorescence intensity for malignant tissue (red) relative to normal tissue (gray) at the sample level. This indicates that, within each patient, the malignant sample exhibits lower fluorescence peak intensity than the corresponding normal fragments.
For patient 1, we observed a larger dispersion (wide interquartile range and long whiskers) in fluorescence peak intensity for normal tissue compared with the malignant one. This larger variability is consistent with heterogeneity among the three samples (S1, S2, and S3) as observed in Figure 6, whereas the malignant samples cluster at lower intensities. For patient 2, the values for the normal sample have minimal spread, while malignant samples are dispersed. Further, for patient 3, the approximate spread is observed for both malignant and normal tissue. Although differences between normal and malignant tissue were observed in each patient, the statistical analysis is exploratory and requires validation in a larger cohort; our conclusions rely primarily on effect sizes and consistent trends across fragments.
After statistical analysis, a 2D graph that visualizes a 3D dataset by using contour lines and color fills to represent the third variable (Z) across the X and Y axes of the fluorescence intensity peak was generated to obtain a map of the analyzed samples and to visualize the differences between normal and malignant tissues (Figure 8). These graphs provide a visual representation of the complex relationships between the distance on oX, the distance on oY, and the intensity of the fluorescence intensity peak. Through these maps, areas with high or low values of autofluorescence can be identified, and patterns and trends in the data can be observed.
For patient 1 (Figure 8a), a clear difference in color is observed between healthy and malignant tissue, going from red-green to dark blue. This indicates that the fluorescence intensity peak in tumor tissue, in the case of maxillary sinus cancer, is lower than in healthy tissue. Also, for patient 2 (Figure 8b), healthy tissue is represented in green-red tones, and tumor tissue is described in light blue, suggesting that the fluorescence intensity peak is higher in healthy tissues. For patient 3 (Figure 8c), a less pronounced difference is observed, in which the color intensity of tumor tissues is represented by a lighter blue.
Ultimately, these variations in distribution and color occur due to differences in the properties of each tissue or tumor type. Several factors, such as the chemical composition of the tissue, cell density, degree of vascularization, and other specific characteristics of each tissue or tumor type, can influence the distribution/color [42,45]. For example, for patient 2, the symmetric distribution in healthy tissue S1 and tumor tissue T2 may indicate uniformity in fluorescence intensity peak in these samples, while asymmetric distributions may reflect variations or abnormalities in the same measure. The negative asymmetric distribution for T1 and positive asymmetric distribution for T3 at patient 1 may suggest that there are more observations with lower or higher values, respectively, compared to the mean or median, indicating some discrepancy or non-uniformity in these samples. It is important that these distributions be interpreted in the context of existing knowledge about the physiology and pathology of each tissue or tumor type, as well as within the specific experiment and measurement methods used.
More measurements (sampling points) for each sample are recommended for relevant statistics and to reduce random fluctuations in the experimental results. However, this can be difficult for small tissue samples.

3.1.2. Fluorescence Lifetime

Another important physical quantity that can be useful in differentiating normal from malignant tissue is the fluorescence lifetime. The signal for obtaining the time-resolved fluorescence spectrum was collected simultaneously with that required to obtain the LIAF intensity spectra (Figure 4). The spectra were processed according to Figure 9a, from which the fluorescence lifetime was determined. As in the case of autofluorescence intensity, the same statistical analysis was performed for autofluorescence lifetime.
Figure 9b–d show statistical distributions in the form of histograms of fluorescence lifetimes for normal/malignant tissues for each of the three patients. In the histograms, the horizontal axis represents the lifetimes of autofluorescence measured at several points of each tissue, and the vertical axis represents their frequency in each interval. When analyzing the autofluorescence lifetimes, we can observe a clear differentiation between healthy and malignant tissue for all patients. In these cases, the peaks of the distributions for healthy tissue (S1, S2, and S3) are located at higher lifetime values than those for malignant tissue (T1, T2, and T3).
One-way ANOVA statistical analyses were performed, and graphs of fluorescence lifetimes were also generated. We observed that for all patients, healthy tissues exhibit a longer lifetime compared to tumor tissues; specifically, average values of approximately 3.5, 4.1, and 4.25 ns for healthy tissue, compared to approximately 3.25, 3.5, and 3.75 ns for tumor tissue, were recorded for patients 1, 2, and 3, respectively. As in the case of fluorescence intensity peaks, changes in the fluorescence lifetimes of the tissues can be attributed, in part, to differences in cell structure and function between healthy and tumor tissues. The multimodal distribution of fluorescence lifetimes in healthy tissue (S2, patient 1, and S3, patient 2) may indicate the presence of two distinct cell populations or different characteristics of the cells. On the other hand, the uniform or symmetric distribution of fluorescence lifetimes in malignant tissues may reflect increased homogeneity of cancer cells or reduced metabolic activity, which may be associated with pathological processes. In addition, statistical analysis shows statistical differences between the average fluorescence lifetimes of healthy and tumoral tissues for certain patients. This supports the hypothesis that there are distinct changes in the distribution of fluorescence lifetimes between these two tissue types.
Several studies have shown the potential of fluorescence lifetime for discriminating and classifying tumors, including brain [46], liver [47], or breast [48]. This technique provides valuable insights into cellular metabolism. Protein-bound NAD(P)H exhibits longer fluorescence lifetimes (1.5–6 ns) than free NAD(P)H (0.3–0.8 ns), allowing the differentiation between normal and pathological tissues based on their autofluorescence decay and the corresponding metabolic signatures [47]. However, comparisons of the samples by group, corresponding to the specific types of tumors, showed that they differed from each other in their fluorescence decay parameters.

3.2. Fourier-Transform Infrared Spectroscopy

The FTIR spectrum of a biological sample from the ORL sphere [49] is a combination of the characteristic absorption bands of proteins, lipids, nucleic acids, and carbohydrates [50,51]. Protein bands can be assigned to amino acid side groups or the peptide backbone in the range of 1700–1500 cm−1. The vibrational modes of the peptide skeleton generate amide I and II bands. The amide I band (1700–1600 cm−1) is mainly associated with the C=O stretching vibration, and the amide II band (1600–1500 cm−1) is mainly associated with the N–H bond bending vibration.
Amide I and II bands are commonly used to investigate the secondary structure of proteins [35]. The bands at 1450 and 1400 cm−1 are attributed to the asymmetric and symmetric bending modes of methyl [52]. Lipid spectra consist of absorption bands in several spectral regions: the 3050–2800 cm−1 region for the asymmetric and symmetric stretching vibrations of –CH2 and –CH3, the 1500–1350 cm−1 region for the deformation vibrations of –CH2 and –CH3 in lipid acyl chains, the 1745–1725 cm−1 region for the symmetric stretching vibration of the ester carbonyl (C=O) bond, and the 1270–1000 cm−1 region for the asymmetric (1240 cm−1) and symmetric (1080 cm−1) vibrations of –PO2 in phospholipids [53]. The spectra of nucleic acids are divided into four spectral regions: the 1780–1550 cm−1 region for the in-plane vibrations of the double bonds of the bases, the 1550–1270 cm−1 region for the deformation vibrations of the bases coupled with the sugar vibrations, the 1270–1000 cm−1 region for the –PO2- vibrations, and the 1000–780 cm−1 region for the vibrations of the main sugar-phosphate structure [54]. The IR spectra of carbohydrates include bands located as follows: the region between 3600 and 3050 cm−1 is assigned to the stretching vibration of O–H, the region between 3050 and 2800 cm−1 is assigned to the stretching vibrations of –CH3 and –CH2, the range 1200–800 cm−1 is assigned to the stretching vibrations of the C–O/C–C groups, and between 1500 and 1200 cm−1 we find the deformation modes of the CH3/CH2 groups [55].
Between IR spectra of the same type of tissue (healthy or tumor), differences in IR absorption bands were observed depending on the origin and pathology. Figure 10, representing the FTIR-ATR spectra of selected healthy tissue samples (Figure 10a) and tumor (Figure 10b) highlights a series of differences. Thus, for healthy tissue samples (Figure 10a), changes appear in the spectral domain of carbohydrates (amide A zone) associated with the stretching vibrations of O–H bonds (3290 cm−1), in the region corresponding to the bands of olefins or unsaturated fatty acids (ν(=C−H), 3007 cm−1), and in the spectral domain corresponding to amide III attributed to the stretching of C−N bonds and the bending vibrations of N−H bonds, coupled with the deformation of C−H and N−H bonds. Also, symmetric stretching vibrations of –PO2 in phospholipids coupled to vibrations of the sugar-phosphate core of nucleic acids are associated with differences observed in the FTIR spectra of healthy tissue fragments [53,55].
When comparing tumor tissues (Figure 10b), we observe differences in the spectral range of carbohydrates (amide A zone) associated with stretching vibrations of O–H bonds in the range corresponding to olefin or unsaturated fatty acid bands (ν(=C−H)), as well as in the range corresponding to asymmetric and symmetric stretching vibrations of –CH2 and –CH3 belonging to lipid acyl chains [51,56,57]. In the spectral range characteristic of lipids, we observe changes in the C=O stretching vibrations of lipid esters, phospholipids, triglycerides, and cholesterol [51,56,57,58,59] but also in the spectral range corresponding to amide III, attributed to the stretching of C−N bonds and the bending vibrations of N−H bonds, coupled with the deformation of C−H and N−H bonds [60,61,62]. Spectral changes are also observed in the range characteristic of nucleic acids due to the vibrations of C–OH and C–O groups, present in some amino acids (such as serine, tyrosine, and threonine) and carbohydrates but also stretching vibrations of C−O bonds originating from the alcohol groups of glycogen and lipids [57,63].
The biochemical changes observed after comparing the FTIR spectra of (selected) healthy tissues with the tumoral ones for the patients are indicated in Figure 11. In the case of patient 1 (Figure 11a), diagnosed with epithelial–myoepithelial carcinoma of the maxillary sinus, a decrease in signal intensity by ~34% is observed in the bands with maxima at 2922 and 2852 cm−1, representing the stretching vibration of CH2 from lipids [51,56]. At the same time, in the spectrum of the malignant tissue sample, the disappearance of the band at 1745 cm−1 is observed, representing stretching vibrations of carbonyl bonds (ν(C=O)) originating from lipid esters, triglycerides, and cholesterol [51,56,57,58,59]. Also, changes in the spectral range 1120–985 cm−1 corresponding to the deformation modes of the C−OH groups of serine, threonine, and tyrosine residues of cellular proteins, combined with the deformation vibrations of the C−O bonds of carbohydrates (changes at the DNA/RNA level), can be observed [55,56,64]. At the same time, a hypsochromic shift of the absorption peak specific to the abnormal tissue by 6 cm−1 is observed.
For patient 2, diagnosed with well-differentiated microinvasive squamous cell carcinoma with high-grade dysplastic lesions of the adjacent epithelium, the differences recorded between the FTIR spectra of the two tissue types (Figure 11b) are limited to the spectral range characteristic of amide A, centered at 3290 cm−1 and attributed to the N−H stretching vibrations of the peptide, superimposed with the −OH stretching vibrations [57,58,60,65], and at 1540 cm−1, in the spectral range of amide II associated with the N−H vibrations of the peptide groups coupled with the C−N stretching vibrations [51,66].
The comparison of the FTIR spectra recorded for pairs of tissues belonging to patient 3, diagnosed with poorly keratinized squamous cell carcinoma G3, is presented in Figure 11c. Significant differences are found in the FTIR spectrum of tumor tissue, as follows: in the spectral domain of carbohydrates (amide A zone), the increase in the intensity of the band at 3290 cm−1 (associated with the stretching vibrations of the O–H bonds superimposed on the N–H stretching vibrations of the protein peptide), together with the disappearance of the band centered at 3007 cm−1 (associated with stretching vibrations of the =C–H groups corresponding to the olefin or unsaturated fatty acid bands), may suggest a variation in the hydrogen bond network in malignant tissues [67]. Important absorptions in the FTIR spectrum of normal tissue are found in the region of 2800–3000 cm−1 and are predominantly attributed to the asymmetric and symmetric stretching vibrations of the CH3 (shoulder at 2955 and 2872 cm−1) and CH2 (2922 and 2852 cm−1) groups of the acyl chains. The absorbance intensity of these bands is very low in the FTIR spectrum of the tumor sample, and this aspect can provide important information about the packing characteristics of the acyl chains, which in turn can be related to the degree of fluidity of the membrane lipid [68]. Also, the disappearance of the peak centered at 1745 cm−1, associated with the stretching vibration of the C=O ester groups of glycerophospholipids (i.e., glycerophosphocholines and glycerophosphoethanolamines), glycerolipids (triradylglycerols), and cholesterol esters, among other lipid classes, was observed, with this vibration being directly sensitive to changes in hydration. This feature can provide information on the lipid composition of the tissue. Wu et al. [67] stated that there are two reasons that may explain the lack of adipose cells in malignant tissues. Fats in the region of malignant tissue are consumed due to the increased nutritional and energy requirements of carcinoma development. This conclusion was supported by the examination of histological sections of normal and malignant tissues under a microscope. Adipose cells were frequently observed in normal tissues but rarely found in malignant tissues. Another feature of the FTIR spectrum recorded for the tumor tissue sample is the disappearance of the maximum at 1418 cm−1, associated with deformation vibrations of the C−H bonds of the acyl chains, which influences the degree of fluidity of the membrane lipid [68]. In the spectral range specific to amide III, the disappearance of the weak band at 1279 cm−1 associated with the deformation of N−H bonds suggests changes in the content of collagen proteins in the tumor tissue. At the same time, an alteration of the phospholipid content in the tumor tissue is suggested by the changes in the spectral characteristics (ν(PO2) vibrations) of this type of tissue in the range of 1200–1000 cm−1. Also, changes in the spectral range 1120−985 cm−1, corresponding to the deformation modes of the C−OH groups of serine, threonine, and tyrosine residues of cellular proteins combined with the deformation vibrations of the C−O bonds of carbohydrates (changes at the DNA/RNA level) [55,56,64], can be observed in the FTIR spectrum of the tumor tissue of patient 3.
Scientific reports state that, in general, the spectra of normal tissues had strong C=O and C−H stretching bands, while those of malignant tissues showed strong N−H and O−H stretching bands and weak C=O bands [17,67]. Among the various spectral differences, the most obvious was the variation in the intensity of the band at 1745 cm−1. This difference occurred in most of the samples analyzed. Wu et al. have shown that the amide I band at 1646 cm−1, the C–H stretching bands between 3100 and 2800 cm−1, and the 1745 cm−1 band for the ester group (C=O) vibration of triglycerides were useful markers for differentiating between normal and malignant oral tissue [67].

3.3. Biochemical Interpretation of Autofluorescence and FTIR Signatures Across Head and Neck Cancer Cases

Although the present study includes a limited number of cases with different anatomical locations and histopathological subtypes, consistent autofluorescence and FTIR trends were observed when malignant regions were compared with paired healthy tissue processed under identical conditions. These trends can be interpreted in the context of common metabolic and structural alterations shared across head and neck malignancies, while also reflecting site- and differentiation-dependent variability.
One major contributor to the observed autofluorescence differences is altered cellular metabolism, a hallmark of epithelial cancers in the head and neck region. Both squamous cell carcinomas and salivary gland-derived tumors exhibit metabolic reprogramming involving enhanced glycolysis and modified mitochondrial activity. Such changes affect the intracellular balance and binding states of endogenous fluorophores, particularly NADH and FAD, leading to alterations in spectral profiles and excited-state dynamics observed in malignant regions across all three cases.
Structural remodeling of the extracellular matrix represents a second important mechanism influencing the measured optical signals. Tumor invasion in head and neck cancers is accompanied by degradation and reorganization of stromal collagen, which is a dominant contributor to tissue autofluorescence. This effect is relevant to both squamous cell carcinomas and epithelial–myoepithelial carcinoma of the maxillary sinus and provides a plausible explanation for reduced or redistributed stromal fluorescence observed in malignant regions compared with adjacent healthy tissue.
The FTIR results further support these interpretations by revealing changes in protein- and lipid-associated vibrational bands in malignant tissue. Increased cellular proliferation, altered differentiation status, and variable keratinization—particularly evident when comparing well-differentiated and poorly keratinizing squamous cell carcinoma—are known to influence protein secondary structure and lipid composition. These biochemical changes are reflected in modifications of amide I/II and lipid-associated FTIR bands, consistent with the spectral differences observed among the three cases.
Taken together, the combined LIAF and FTIR findings suggest that the observed spectral and lifetime variations primarily reflect interconnected metabolic and structural pathways common to head and neck cancer progression, while also capturing heterogeneity related to tumor site and histological differentiation. Although the limited number of cases precludes statistical generalization, the consistency of these mechanistic trends across anatomically and histologically distinct tumors supports the potential of this label-free optical approach for broader, hypothesis-driven studies.
It should be noted that the spectroscopic measurements in this study were performed on frozen tissue sections, a sample preparation method that may induce certain alterations in protein conformation, hydration state, and intermolecular interactions [69]. Cryopreservation has been reported to cause partial changes in secondary protein structure and water distribution [70]; however, it is also widely regarded as one of the least chemically disruptive preparation techniques for spectroscopic analysis when compared to fixation-based methods, such as formalin embedding, which introduce extensive cross-linking and significant spectral distortions [71]. Importantly, in the present study, both tumor and matched normal tissues were subjected to identical collection, freezing, storage, and sectioning protocols. As a result, any freezing-related effects are expected to influence all samples in a comparable manner, thereby minimizing systematic bias. Consequently, the observed spectral differences are predominantly attributed to intrinsic biochemical and structural alterations associated with malignant transformation rather than to artifacts introduced by the freezing process. This approach is consistent with previous FTIR- and fluorescence-based studies that have demonstrated reliable discrimination between normal and cancerous tissues using frozen sections under controlled and uniform preparation conditions [72]. Future work will include direct comparisons between fresh and frozen tissue specimens to quantitatively assess the impact of freezing on spectral and lifetime parameters and to further refine the diagnostic specificity of the method.
In this study, rather than relying on single-point measurements, we employed a matrix scan-based protocol and averaged multiple spectra per region. This reduces the impact of localized inflammatory spots and tissue heterogeneity. The discrimination is based on systematic shifts in spectral shape and lifetime behavior, not solely on intensity differences. Prior literature also indicates that while inflammation may modify fluorescence intensity, malignant transformation produces more pronounced and consistent alterations in fluorophore balance and excited-state dynamics [73].
Collectively, our findings are in strong agreement with existing literature and support the potential of the LIAF matrix scan approach as an investigative method for tissue diagnostics. The obtained results also demonstrate that LIAF and FTIR spectroscopy are complementary, promising techniques in the diagnosis and characterization of ORL malignancy. By collecting and analyzing spectroscopic data obtained from healthy and tumor tissue samples, significant differences in their chemical composition and molecular structure were identified. These differences were highlighted by variations in the intensity of the maximum and the lifetime of autofluorescence and specific vibrational bands in the FTIR spectra, reflecting changes associated with pathological transformations. These results provide preliminary insight into the sensitivity of spectroscopy-based measurements, specifically matrix scan-based LIAF and FTIR-ATR, to tissue modifications and serve as a foundation for future large-scale validation studies. Further engineering optimization and prospective clinical studies are also required to establish practical deployment and diagnostic utility.

4. Conclusions

Laser-induced autofluorescence (LIAF) spectroscopy, implemented through a matrix scan approach and complemented by Fourier-transform infrared (FTIR) spectroscopy, was explored in this study as a proof-of-concept method for probing biochemical and structural differences between normal and malignant tissues of the upper aerodigestive tract. Analysis of tissue samples obtained from three clinical cases revealed consistent differences in fluorescence intensity and lifetime parameters between normal and malignant regions within individual patients, suggesting that LIAF is sensitive to tissue alterations associated with malignancy.
Overall, this work highlights the potential of LIAF combined with FTIR spectroscopy as an investigative tool for distinguishing tissue states at the biochemical level. The study serves as a methodological and observational foundation that motivates further research using larger, heterogeneous patient groups, standardized sample preparation, and clinically relevant acquisition conditions. Such studies will be required to determine whether LIAF can be reliably translated into a diagnostic or monitoring modality for head and neck cancers.

Author Contributions

Conceptualization, R.G., R.C. and T.T.; methodology, T.T. and I.R.A.; software, T.T.; validation, R.C., Ș.V.G.B. and G.S.B.; formal analysis, A.S. (Adriana Smarandache) and I.R.A.; investigation, I.R.A., A.S. (Adriana Smarandache) and R.I.S.-N.; resources, R.G.; data curation, A.S. (Adriana Smarandache) and T.T.; writing—original draft preparation, R.I.S.-N., T.T. and I.R.A.; writing—review and editing, R.C., T.T., A.S. (Adriana Smarandache) and A.S. (Angela Staicu); supervision, R.G.; project administration, T.T.; funding acquisition, A.S. (Adriana Smarandache), A.S. (Angela Staicu) and I.R.A. All authors have read and agreed to the published version of the manuscript.

Funding

This research was funded by the Romanian Ministry of Education and Research, National Research Authority, and UEFISCDI [grant numbers PN-IV-P7-7.1-PED-2024-1995 and PN-IV-P2-2.1-TE-2023-1686]; the Romanian National Nucleu Program LAPLAS VII [grant number 30N/2023]; and the PNCDI IV and IFA ELI-RO Program [grant numbers ELI-RO/RDI/2024_022–RAY-PDT and ELI-RO/RDI/DEZ/DFG/2025_024].

Institutional Review Board Statement

The study was conducted in accordance with the Declaration of Helsinki and approved by the Institutional Ethics Committee of Colțea ENT Clinic—Hospital in Bucharest (protocol code 5323/obcc and 20 March 2023).

Informed Consent Statement

Informed consent was obtained from all subjects involved in the study.

Data Availability Statement

The raw data supporting the conclusions of this article will be made available by the authors on request.

Conflicts of Interest

The authors declare no conflicts of interest. The funders had no role in the design of the study; in the collection, analyses, or interpretation of data; in the writing of the manuscript; or in the decision to publish the results.

Abbreviations

The following abbreviations are used in this manuscript:
LIAFLaser-induced autofluorescence
HNCHead and neck cancer
OSCCOral squamous cell carcinoma
IRInfrared
FTIRFourier-transform infrared
NADHNicotinamide adenine dinucleotide reduced form
FADFlavin adenine dinucleotide
ANOVAAnalysis of variance statistical method
FTIR-ATRFTIR–attenuated total reflectance
ORLOtorhinolaryngology
ENTEar, nose, and throat

References

  1. Siegel, R.L.; Miller, K.D.; Jemal, A. Cancer statistics, 2020. CA Cancer J. Clin. 2020, 70, 7–30. [Google Scholar] [CrossRef]
  2. Guerra, E.N.S.; Amorim Dos Santos, J.; Coletta, R.D.; De Luca Canto, G. Strategies for evidence-based in head and neck cancer: Practical examples in developing systematic review questions. Front. Oral Health 2024, 5, 1350535. [Google Scholar] [CrossRef]
  3. Mody, M.D.; Rocco, J.W.; Yom, S.S.; Haddad, R.I.; Saba, N.F. Head and neck cancer. Lancet 2021, 398, 2289–2299. [Google Scholar] [CrossRef] [PubMed]
  4. Ang, K.K.; Harris, J.; Wheeler, R.; Weber, R.; Rosenthal, D.I.; Nguyen-Tân, P.F.; Westra, W.H.; Chung, C.H.; Jordan, R.C.; Lu, C.; et al. Human Papillomavirus and Survival of Patients with Oropharyngeal Cancer. N. Engl. J. Med. 2010, 363, 24–35. [Google Scholar] [CrossRef]
  5. Miller, K.D.; Siegel, R.L.; Khan, R.; Jemal, A. Cancer Statistics. In Cancer Rehabilitation, 2nd ed.; Stubblefield, M.D., Ed.; Springer Publishing Company: New York, NY, USA, 2018. [Google Scholar] [CrossRef]
  6. Farah, C.S.; Woo, S.; Zain, R.B.; Sklavounou, A.; McCullough, M.J.; Lingen, M. Oral Cancer and Oral Potentially Malignant Disorders. Int. J. Dent. 2014, 2014, 853479. [Google Scholar] [CrossRef] [PubMed]
  7. Speight, P.M.; Khurram, S.A.; Kujan, O. Oral potentially malignant disorders: Risk of progression to malignancy. Oral Surg. Oral Med. Oral Pathol. Oral Radiol. 2018, 125, 612–627. [Google Scholar] [CrossRef]
  8. Weber, A.L.; Romo, L.; Hashmi, S. Malignant tumors of the oral cavity and oropharynx: Clinical, pathologic, and radiologic evaluation. Neuroimaging Clin. N. Am. 2003, 13, 443–464. [Google Scholar] [CrossRef]
  9. Zima, A.J.; Wesolowski, J.R.; Ibrahim, M.; Lassig, A.A.D.; Lassig, J.; Mukherji, S.K. Magnetic Resonance Imaging of Oropharyngeal Cancer. Top. Magn. Reson. Imaging 2007, 18, 237–242. [Google Scholar] [CrossRef] [PubMed]
  10. Nair, D.; Pruthy, R.; Pawar, U.; Chaturvedi, P. Oral cancer: Premalignant conditions and screening—An update. J. Can. Res. Ther. 2012, 8, 57. [Google Scholar] [CrossRef]
  11. Kourkoumelis, N.; Zhang, X.; Lin, Z.; Wang, J. Fourier Transform Infrared Spectroscopy of Bone Tissue: Bone Quality Assessment in Preclinical and Clinical Applications of Osteoporosis and Fragility Fracture. Clin. Rev. Bone Min. Metab. 2019, 17, 24–39. [Google Scholar] [CrossRef]
  12. Yan, Y.-J.; Huang, T.-W.; Cheng, N.-L.; Hsieh, Y.-F.; Tsai, M.-H.; Chiou, J.-C.; Duann, J.-R.; Lin, Y.-J.; Yang, C.-S.; Ou-Yang, M. Portable LED-induced autofluorescence spectroscopy for oral cancer diagnosis. J. Biomed. Opt. 2017, 22, 045007. [Google Scholar] [CrossRef]
  13. Croce, A.C.; Bottiroli, G. Autofluorescence spectroscopy and imaging: A tool for biomedical research and diagnosis. Eur. J. Histochem. 2014, 58, 2461. [Google Scholar] [CrossRef]
  14. Buenahora, M.R.; Peraza-L, A.; Díaz-Báez, D.; Bustillo, J.; Santacruz, I.; Trujillo, T.G.; Lafaurie, G.I.; Chambrone, L. Diagnostic accuracy of clinical visualization and light-based tests in precancerous and cancerous lesions of the oral cavity and oropharynx: A systematic review and meta-analysis. Clin. Oral Investig. 2021, 25, 4145–4159. [Google Scholar] [CrossRef]
  15. Kaniyala Melanthota, S.; Kistenev, Y.V.; Borisova, E.; Ivanov, D.; Zakharova, O.; Boyko, A.; Vrazhnov, D.; Gopal, D.; Chakrabarti, S.; K, S.P.; et al. Types of spectroscopy and microscopy techniques for cancer diagnosis: A review. Lasers Med. Sci. 2022, 37, 3067–3084. [Google Scholar] [CrossRef] [PubMed]
  16. Wang, M.; Long, F.; Tang, F.; Jing, Y.; Wang, X.; Yao, L.; Ma, J.; Fei, Y.; Chen, L.; Wang, G.; et al. Autofluorescence Imaging and Spectroscopy of Human Lung Cancer. Appl. Sci. 2016, 7, 32. [Google Scholar] [CrossRef]
  17. Tozar, T.; Andrei, I.R.; Costin, R.; Pirvulescu, R.; Pascu, M.L. Case series about ex vivo identification of squamous cell carcinomas by laser-induced autofluorescence and Fourier transform infrared spectroscopy. Lasers Med. Sci. 2018, 33, 861–869. [Google Scholar] [CrossRef] [PubMed]
  18. Tozar, T.; Andrei, I.R.; Costin, R.; Pascu, M.L.; Pirvulescu, R. Laser induced autofluorescence lifetime to identify larynx squamous cell carcinoma: Short series ex vivo study. J. Photochem. Photobiol. B Biol. 2020, 202, 111724. [Google Scholar] [CrossRef]
  19. Lucht, R.P. Applications of laser-induced fluorescence spectroscopy for combustion and plasma diagnostics. In Laser Spectroscopy and Its Applications, 1st ed.; CRC Press: Boca Raton, FL, USA, 1987; pp. 623–676. [Google Scholar]
  20. Alfano, R.; Tata, D.; Cordero, J.; Tomashefsky, P.; Longo, F.; Alfano, M. Laser induced fluorescence spectroscopy from native cancerous and normal tissue. IEEE J. Quantum Electron. 1984, 20, 1507–1511. [Google Scholar] [CrossRef]
  21. Sperber, J.; Zachem, T.J.; Prakash, R.; Owolo, E.; Yamamoto, K.; Nguyen, A.D.; Hockenberry, H.; Ross, W.A.; Herndon, J.E.; Codd, P.J.; et al. A blinded study using laser induced endogenous fluorescence spectroscopy to differentiate ex vivo spine tumor, healthy muscle, and healthy bone. Sci. Rep. 2024, 14, 1921. [Google Scholar] [CrossRef]
  22. Potter, M.; Newport, E.; Morten, K.J. The Warburg effect: 80 years on. Biochem. Soc. Trans. 2016, 44, 1499–1505. [Google Scholar] [CrossRef]
  23. Zachem, T.J.; Komisarow, J.M.; Hachem, R.A.; Jang, D.W.; Ross, W.; Codd, P.J. Intraoperative Ex Vivo Pituitary Adenoma Subtype Classification Using Noncontact Laser Fluorescence Spectroscopy. J. Neurol. Surg. B Skull Base 2023, 84, S1–S344. [Google Scholar] [CrossRef]
  24. Pavithran, M.S.; Lukose, J.; Barik, B.K.; Periasami, A.; Kartha, V.B.; Chawla, A.; Chidangil, S. Laser induced fluorescence spectroscopy analysis of kidney tissues: A pilot study for the identification of renal cell carcinoma. J. Biophotonics 2023, 16, e202300021. [Google Scholar] [CrossRef] [PubMed]
  25. Wang, R.; Naidu, A.; Wang, Y. Oral Cancer Discrimination and Novel Oral Epithelial Dysplasia Stratification Using FTIR Imaging and Machine Learning. Diagnostics 2021, 11, 2133. [Google Scholar] [CrossRef] [PubMed]
  26. Duckworth, E.; Hole, A.; Deshmukh, A.; Chaturvedi, P.; Chilakapati, M.K.; Mora, B.; Roy, D. Improving Vibrational Spectroscopy Prospects in Frontline Clinical Diagnosis: Fourier Transform Infrared on Buccal Mucosa Cancer. Anal. Chem. 2022, 94, 13642–13646. [Google Scholar] [CrossRef]
  27. Su, K.-Y.; Lee, W.-L. Fourier Transform Infrared Spectroscopy as a Cancer Screening and Diagnostic Tool: A Review and Prospects. Cancers 2020, 12, 115. [Google Scholar] [CrossRef]
  28. Wilczak, M.; Wróbel, A.; Surman, M.; Durak-Kozica, M.; Stępień, E.Ł.; Przybyło, M. ATR-FTIR spectroscopy as a reliable analytical tool in cancer research: Tracking glycosylation-induced protein and lipid alteration in extracellular vesicles. Biochim. Biophys. Acta (BBA)-Mol. Cell Res. 2026, 1873, 120082. [Google Scholar] [CrossRef] [PubMed]
  29. Tomas, R.C.; Sayat, A.J.; Atienza, A.N.; Danganan, J.L.; Ramos, M.R.; Fellizar, A.; Notarte, K.I.; Angeles, L.M.; Bangaoil, R.; Santillan, A.; et al. Detection of breast cancer by ATR-FTIR spectroscopy using artificial neural networks. PLoS ONE 2022, 17, e0262489. [Google Scholar] [CrossRef]
  30. Bangaoil, R.; Santillan, A.; Angeles, L.M.; Abanilla, L.; Lim, A.; Ramos, M.C.; Fellizar, A.; Guevarra, L.; Albano, P.M. ATR-FTIR spectroscopy as adjunct method to the microscopic examination of hematoxylin and eosin-stained tissues in diagnosing lung cancer. PLoS ONE 2020, 15, e0233626. [Google Scholar] [CrossRef]
  31. Rost, F. Fluorescence microscopy, applications. In Encyclopedia of Spectroscopy and Spectrometry; Elsevier: Amsterdam, The Netherlands, 2017; pp. 627–631. [Google Scholar] [CrossRef]
  32. Malzahn, K.; Dreyer, T.; Glanz, H.; Arens, C. Autofluorescence Endoscopy in the Diagnosis of Early Laryngeal Cancer and Its Precursor Lesions. Laryngoscope 2002, 112, 488–493. [Google Scholar] [CrossRef]
  33. Lagarto, J.L.; Credi, C.; Villa, F.; Tisa, S.; Zappa, F.; Shcheslavskiy, V.; Pavone, F.S.; Cicchi, R. Multispectral Depth-Resolved Fluorescence Lifetime Spectroscopy Using SPAD Array Detectors and Fiber Probes. Sensors 2019, 19, 2678. [Google Scholar] [CrossRef]
  34. Lakens, D. Calculating and reporting effect sizes to facilitate cumulative science: A practical primer for t-tests and ANOVAs. Front. Psychol. 2013, 4, 863. [Google Scholar] [CrossRef] [PubMed]
  35. Barth, A. Infrared spectroscopy of proteins. Biochim. Biophys. Acta (BBA)-Bioenerg. 2007, 1767, 1073–1101. [Google Scholar] [CrossRef]
  36. Fabian, H. Methods to study protein folding by stopped-flow FT-IR. Methods 2004, 34, 28–40. [Google Scholar] [CrossRef]
  37. Benseny-Cases, N.; Klementieva, O.; Cotte, M.; Ferrer, I.; Cladera, J. Microspectroscopy (μFTIR) Reveals Co-localization of Lipid Oxidation and Amyloid Plaques in Human Alzheimer Disease Brains. Anal. Chem. 2014, 86, 12047–12054. [Google Scholar] [CrossRef]
  38. Ghimire, H.; Garlapati, C.; Janssen, E.A.M.; Krishnamurti, U.; Qin, G.; Aneja, R.; Perera, A.G.U. Protein Conformational Changes in Breast Cancer Sera Using Infrared Spectroscopic Analysis. Cancers 2020, 12, 1708. [Google Scholar] [CrossRef]
  39. Kelly, J.G.; Martin-Hirsch, P.L.; Martin, F.L. Discrimination of Base Differences in Oligonucleotides Using Mid-Infrared Spectroscopy and Multivariate Analysis. Anal. Chem. 2009, 81, 5314–5319. [Google Scholar] [CrossRef]
  40. Petibois, C.; Déléris, G. Evidence that erythrocytes are highly susceptible to exercise oxidative stress: FT-IR spectrometric studies at the molecular level. Cell Biol. Int. 2005, 29, 709–716. [Google Scholar] [CrossRef]
  41. Wu, Y.; Qu, J.Y. Autofluorescence spectroscopy of epithelial tissues. J. Biomed. Opt. 2006, 11, 054023. [Google Scholar] [CrossRef] [PubMed]
  42. Betz, C.S.; Mehlmann, M.; Rick, K.; Stepp, H.; Grevers, G.; Baumgartner, R.; Leunig, A. Autofluorescence imaging and spectroscopy of normal and malignant mucosa in patients with head and neck cancer. Lasers Surg. Med. 1999, 25, 323–334. [Google Scholar] [CrossRef]
  43. Novikov, I.A.; Grusha, I.O.; Kiriushchenkova, N.P. Autofluorescent diagnostics of skin and mucosal tumors. Vestn. Oftalmol. 2013, 129, 147–153. [Google Scholar]
  44. Ramanujam, N.; Richards-Kortum, R.; Thomsen, S.; Mahadevan-Jansen, A.; Follen, M.; Chance, B. Low temperature fluorescence imaging of freeze-trapped human cervical tissues. Opt. Express 2001, 8, 335. [Google Scholar] [CrossRef]
  45. Paczona, R.; Temam, S.; Janot, F.; Marandas, P.; Luboinski, B. Autofluorescence videoendoscopy for photodiagnosis of head and neck squamous cell carcinoma. Eur. Arch. Oto-Rhino-Laryngol. 2003, 260, 544–548. [Google Scholar] [CrossRef]
  46. Shirmanova, M.V.; Sachkova, D.A.; Shchechkin, I.D.; Kiseleva, E.B.; Komarova, A.D.; Kuhnina, L.S.; Grishin, A.S.; Bederina, E.L.; Pyanova, E.V.; Ponomareva, E.E.; et al. Optical express-biopsy of gliomas using macroscopic fluorescence lifetime imaging. Biomed. Opt. Express 2025, 16, 4555. [Google Scholar] [CrossRef] [PubMed]
  47. Suraci, D.; Tirloni, L.; Gatto, C.; Pillozzi, S.; Antonuzzo, L.; Taddei, A.; Cicchi, R. Optical diagnostics of liver tumors using an autofluorescence lifetime probe. Biomed. Opt. Express 2025, 16, 3923. [Google Scholar] [CrossRef] [PubMed]
  48. Unger, J.; Hebisch, C.; Phipps, J.E.; Lagarto, J.L.; Kim, H.; Darrow, M.A.; Bold, R.J.; Marcu, L. Real-time diagnosis and visualization of tumor margins in excised breast specimens using fluorescence lifetime imaging and machine learning. Biomed. Opt. Express 2020, 11, 1216. [Google Scholar] [CrossRef] [PubMed]
  49. Wang, R.; Wang, Y. Fourier Transform Infrared Spectroscopy in Oral Cancer Diagnosis. Int. J. Mol. Sci. 2021, 22, 1206. [Google Scholar] [CrossRef]
  50. Talari, A.C.S.; Martinez, M.A.G.; Movasaghi, Z.; Rehman, S.; Rehman, I.U. Advances in Fourier transform infrared (FTIR) spectroscopy of biological tissues. Appl. Spectrosc. Rev. 2017, 52, 456–506. [Google Scholar] [CrossRef]
  51. Movasaghi, Z.; Rehman, S.; Ur Rehman, I. Fourier Transform Infrared (FTIR) Spectroscopy of Biological Tissues. Appl. Spectrosc. Rev. 2008, 43, 134–179. [Google Scholar] [CrossRef]
  52. Tsai, J.-C.; Lo, Y.-L.; Lin, C.-Y.; Sheu, H.-M.; Lin, J.-C. Feasibility of rapid quantitation of stratum corneum lipid content by Fourier transform infrared spectrometry. Spectroscopy 2004, 18, 423–431. [Google Scholar] [CrossRef]
  53. Mantsch, H.H.; McElhaney, R.N. Phospholipid phase transitions in model and biological membranes as studied by infrared spectroscopy. Chem. Phys. Lipids 1991, 57, 213–226. [Google Scholar] [CrossRef]
  54. Siebert, F.; Hildebrandt, P. Vibrational Spectroscopy in Life Science, 1st ed.; Wiley: Hoboken, NJ, USA, 2007. [Google Scholar] [CrossRef]
  55. Wiercigroch, E.; Szafraniec, E.; Czamara, K.; Pacia, M.Z.; Majzner, K.; Kochan, K.; Kaczor, A.; Baranska, M.; Malek, K. Raman and infrared spectroscopy of carbohydrates: A review. Spectrochim. Acta Part A Mol. Biomol. Spectrosc. 2017, 185, 317–335. [Google Scholar] [CrossRef]
  56. Zlotogorski-Hurvitz, A.; Dekel, B.Z.; Malonek, D.; Yahalom, R.; Vered, M. FTIR-based spectrum of salivary exosomes coupled with computational-aided discriminating analysis in the diagnosis of oral cancer. J. Cancer Res. Clin. Oncol. 2019, 145, 685–694. [Google Scholar] [CrossRef]
  57. Ramos-Garcia, V.; Ten-Doménech, I.; Moreno-Giménez, A.; Gormaz, M.; Parra-Llorca, A.; Shephard, A.P.; Sepúlveda, P.; Pérez-Guaita, D.; Vento, M.; Lendl, B.; et al. ATR-FTIR spectroscopy for the routine quality control of exosome isolations. Chemom. Intell. Lab. Syst. 2021, 217, 104401. [Google Scholar] [CrossRef]
  58. Szentirmai, V.; Wacha, A.; Németh, C.; Kitka, D.; Rácz, A.; Héberger, K.; Mihály, J.; Varga, Z. Reagent-free total protein quantification of intact extracellular vesicles by attenuated total reflection Fourier transform infrared (ATR-FTIR) spectroscopy. Anal. Bioanal. Chem. 2020, 412, 4619–4628. [Google Scholar] [CrossRef]
  59. Paolini, L.; Federici, S.; Consoli, G.; Arceri, D.; Radeghieri, A.; Alessandri, I.; Bergese, P. Fourier-transform Infrared (FT-IR) spectroscopy fingerprints subpopulations of extracellular vesicles of different sizes and cellular origin. J. Extracell. Vesicle 2020, 9, 1741174. [Google Scholar] [CrossRef] [PubMed]
  60. Yang, H.; Yang, S.; Kong, J.; Dong, A.; Yu, S. Obtaining information about protein secondary structures in aqueous solution using Fourier transform IR spectroscopy. Nat. Protoc. 2015, 10, 382–396. [Google Scholar] [CrossRef] [PubMed]
  61. Dovbeshko, G. FTIR spectroscopy studies of nucleic acid damage. Talanta 2000, 53, 233–246. [Google Scholar] [CrossRef] [PubMed]
  62. Eckel, R.; Huo, H.; Guan, H.-W.; Hu, X.; Che, X.; Huang, W.-D. Characteristic infrared spectroscopic patterns in the protein bands of human breast cancer tissue. Vib. Spectrosc. 2001, 27, 165–173. [Google Scholar] [CrossRef]
  63. Neves, A.C.O.; Silva, P.P.; Morais, C.L.M.; Miranda, C.G.; Crispim, J.C.O.; Lima, K.M.G. ATR-FTIR and multivariate analysis as a screening tool for cervical cancer in women from northeast Brazil: A biospectroscopic approach. RSC Adv. 2016, 6, 99648–99655. [Google Scholar] [CrossRef]
  64. Barnas, E.; Skret-Magierlo, J.; Skret, A.; Kaznowska, E.; Depciuch, J.; Szmuc, K.; Łach, K.; Krawczyk-Marć, I.; Cebulski, J. Simultaneous FTIR and Raman Spectroscopy in Endometrial Atypical Hyperplasia and Cancer. Int. J. Mol. Sci. 2020, 21, 4828. [Google Scholar] [CrossRef]
  65. Stępień, E.Ł.; Kamińska, A.; Surman, M.; Karbowska, D.; Wróbel, A.; Przybyło, M. Fourier-Transform InfraRed (FT-IR) spectroscopy to show alterations in molecular composition of EV subpopulations from melanoma cell lines in different malignancy. Biochem. Biophys. Rep. 2021, 25, 100888. [Google Scholar] [CrossRef] [PubMed]
  66. Wong, L.-W.; Mak, S.-H.; Goh, B.-H.; Lee, W.-L. The Convergence of FTIR and EVs: Emergence Strategy for Non-Invasive Cancer Markers Discovery. Diagnostics 2022, 13, 22. [Google Scholar] [CrossRef]
  67. Wu, J.; Xu, Y.; Sun, C.; Soloway, R.D.; Xu, D.; Wu, Q.; Sun, K.; Weng, S.; Xu, G. Distinguishing malignant from normal oral tissues using FTIR fiber-optic techniques. Biopolymers 2001, 62, 185–192. [Google Scholar] [CrossRef]
  68. Fabian, H.; Jackson, M.; Murphy, L.; Watson, P.H.; Fichtner, I.; Mantsch, H.H. A comparative infrared spectroscopic study of human breast tumors and breast tumor cell xenografts. Biospectroscopy 1995, 1, 37–45. [Google Scholar] [CrossRef]
  69. Yamamoto, N.; Nakanishi, M.; Rajan, R.; Nakagawa, H. Protein hydration and its freezing phenomena: Toward the application for cell freezing and frozen food storage. Biophysics 2021, 18, 284–288. [Google Scholar] [CrossRef]
  70. Lv, Y.; Chu, Y.; Zhou, P.; Mei, J.; Xie, J. Effects of Different Freezing Methods on Water Distribution, Microstructure and Protein Properties of Cuttlefish during the Frozen Storage. Appl. Sci. 2021, 11, 6866. [Google Scholar] [CrossRef]
  71. Lyng, F.; Gazi, E.; Gardner, P. Preparation of Tissues and Cells for Infrared and Raman Spectroscopy and Imaging; Technological University Dublin: Dublin, Ireland, 2011. [Google Scholar] [CrossRef]
  72. Li, R.; Allen, H.C. Developing transferable and universal IR biomarkers for intraoperative colorectal cancer diagnosis via FTIR spectroscopy. Sci. Rep. 2025, 15, 22944. [Google Scholar] [CrossRef] [PubMed]
  73. Ramanujam, N. Fluorescence Spectroscopy of Neoplastic and Non-Neoplastic Tissues. Neoplasia 2000, 2, 89–117. [Google Scholar] [CrossRef] [PubMed]
Figure 1. Intraoperative open approach view showing tumor invasion (patient 1): (a) the images demonstrate extension of the tumor from the right maxillary sinus into the hard palate; histopathological examination: (b) low power view (magnification ×4) showing a solid tumor (arrow) with a multinodular contour; (c) high power view (×20) highlighting a biphasic tumor with eosinophilic ductal epithelial cells (arrows) arranged in a tubular or solid pattern, admixed with clear myoepithelial cells (arrowheads).
Figure 1. Intraoperative open approach view showing tumor invasion (patient 1): (a) the images demonstrate extension of the tumor from the right maxillary sinus into the hard palate; histopathological examination: (b) low power view (magnification ×4) showing a solid tumor (arrow) with a multinodular contour; (c) high power view (×20) highlighting a biphasic tumor with eosinophilic ductal epithelial cells (arrows) arranged in a tubular or solid pattern, admixed with clear myoepithelial cells (arrowheads).
Applsci 16 01536 g001
Figure 2. Histopathological examination (patient 2): (a) (magnification ×4), well-differentiated invasive squamous cell carcinoma showing irregular, large tumor nests with typical epithelial architecture with central keratinization (the areas encircled) within a stroma with desmoplastic reaction and variable inflammatory lymphoplasmacytic response (arrows); and (b) (×10), highlighting preserved squamous maturation (central areas of the tumor nests contain larger cells, whereas proliferative activity predominates at their margins—the area outlined by the bracket) with keratin pearls formation (the area encircled) characteristic of well-differentiated squamous cell carcinoma; nuclear atypia and mitotic activity (arrows).
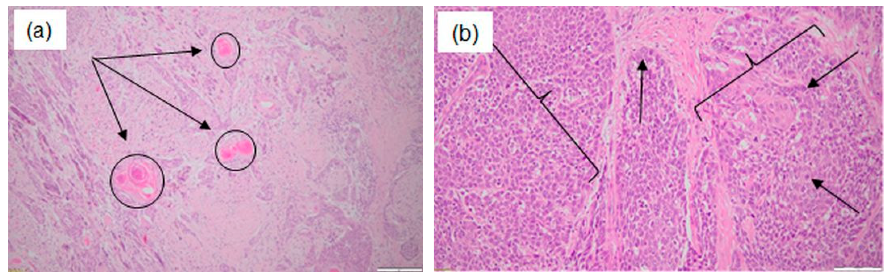
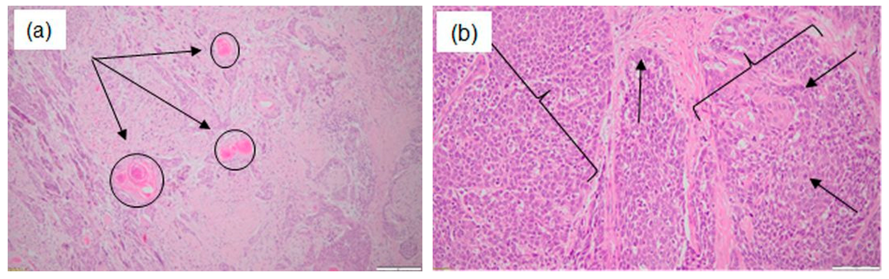
Figure 2. Histopathological examination (patient 2): (a) (magnification ×4), well-differentiated invasive squamous cell carcinoma showing irregular, large tumor nests with typical epithelial architecture with central keratinization (the areas encircled) within a stroma with desmoplastic reaction and variable inflammatory lymphoplasmacytic response (arrows); and (b) (×10), highlighting preserved squamous maturation (central areas of the tumor nests contain larger cells, whereas proliferative activity predominates at their margins—the area outlined by the bracket) with keratin pearls formation (the area encircled) characteristic of well-differentiated squamous cell carcinoma; nuclear atypia and mitotic activity (arrows).
Applsci 16 01536 g002
Figure 3. Histopathological examination (patient 3): (a) (magnification ×10), poorly keratinizing invasive squamous cell carcinoma showing infiltrative cords and small nests (arrows) of atypical epithelial cells with minimal keratinization (the areas encircled); and (b) (×20), higher magnification of the same tumor highlighting the loss of the squamous maturation, with nests of epithelial cells (the areas outlined by the brackets) showing moderate to severe nuclear pleomorphism (arrows).
Figure 3. Histopathological examination (patient 3): (a) (magnification ×10), poorly keratinizing invasive squamous cell carcinoma showing infiltrative cords and small nests (arrows) of atypical epithelial cells with minimal keratinization (the areas encircled); and (b) (×20), higher magnification of the same tumor highlighting the loss of the squamous maturation, with nests of epithelial cells (the areas outlined by the brackets) showing moderate to severe nuclear pleomorphism (arrows).
Applsci 16 01536 g003
Figure 4. LIAF setup with spectral and lifetime detection systems.
Figure 4. LIAF setup with spectral and lifetime detection systems.
Applsci 16 01536 g004
Figure 5. Averaged LIAF spectra of pairs of healthy (S1–S3) and tumor tissue (T1–T3) samples for (a) patient 1 (maxillary sinus), (b) patient 2 (base of the tongue with extension toward the hypopharynx), and (c) patient 3 (right hemilingual mass).
Figure 5. Averaged LIAF spectra of pairs of healthy (S1–S3) and tumor tissue (T1–T3) samples for (a) patient 1 (maxillary sinus), (b) patient 2 (base of the tongue with extension toward the hypopharynx), and (c) patient 3 (right hemilingual mass).
Applsci 16 01536 g005
Figure 6. Statistical distributions of the fluorescence intensity peak in the form of 2D histograms for normal (S1, S2, and S3) and malignant (T1, T2, and T3) tissues in the case of (a) patient 1 (maxillary sinus), (b) patient 2 (base of the tongue with extension toward the hypopharynx), and (c) patient 3 (right hemilingual mass).
Figure 6. Statistical distributions of the fluorescence intensity peak in the form of 2D histograms for normal (S1, S2, and S3) and malignant (T1, T2, and T3) tissues in the case of (a) patient 1 (maxillary sinus), (b) patient 2 (base of the tongue with extension toward the hypopharynx), and (c) patient 3 (right hemilingual mass).
Applsci 16 01536 g006
Figure 7. Boxplots of LIAF peak fluorescence intensity for normal (gray) and malignant (red) tissues for (a) patient 1, (b) patient 2, and (c) patient 3. Boxes indicate the interquartile range, the central line denotes the median, and whiskers indicate the range.
Figure 7. Boxplots of LIAF peak fluorescence intensity for normal (gray) and malignant (red) tissues for (a) patient 1, (b) patient 2, and (c) patient 3. Boxes indicate the interquartile range, the central line denotes the median, and whiskers indicate the range.
Applsci 16 01536 g007
Figure 8. A 2D graph that visualizes a 3D dataset. The maximum fluorescence intensity peak of normal tissue (S1, S2, S3) and malignant tissue (T1, T2, T3) for (a) patient 1 (maxillary sinus), (b) patient 2 (base of the tongue with extension toward the hypopharynx), and (c) patient 3 (right hemilingual mass).
Figure 8. A 2D graph that visualizes a 3D dataset. The maximum fluorescence intensity peak of normal tissue (S1, S2, S3) and malignant tissue (T1, T2, T3) for (a) patient 1 (maxillary sinus), (b) patient 2 (base of the tongue with extension toward the hypopharynx), and (c) patient 3 (right hemilingual mass).
Applsci 16 01536 g008aApplsci 16 01536 g008b
Figure 9. Time-resolved fluorescence. (a) Signal analysis for healthy and tumor tissue samples taken from patient 2 (microinvasive squamous cell carcinoma). Statistical distributions of fluorescence lifetime in the form of histograms for normal (S1, S2, and S3) and malignant (T1, T2, and T3) tissues in the case of (b) patient 1 (maxillary sinus), (c) patient 2 (base of the tongue with extension toward the hypopharynx), and (d) patient 3 (right hemilingual mass).
Figure 9. Time-resolved fluorescence. (a) Signal analysis for healthy and tumor tissue samples taken from patient 2 (microinvasive squamous cell carcinoma). Statistical distributions of fluorescence lifetime in the form of histograms for normal (S1, S2, and S3) and malignant (T1, T2, and T3) tissues in the case of (b) patient 1 (maxillary sinus), (c) patient 2 (base of the tongue with extension toward the hypopharynx), and (d) patient 3 (right hemilingual mass).
Applsci 16 01536 g009
Figure 10. FTIR-ATR spectra of selected samples from the three patients: (a) normal tissues and (b) tumor tissues.
Figure 10. FTIR-ATR spectra of selected samples from the three patients: (a) normal tissues and (b) tumor tissues.
Applsci 16 01536 g010
Figure 11. FTIR spectra of normal and tumor tissues in the case of (a) patient 1 (maxillary sinus), (b) patient 2 (base of the tongue with extension toward the hypopharynx), and (c) patient 3 (right hemilingual mass).
Figure 11. FTIR spectra of normal and tumor tissues in the case of (a) patient 1 (maxillary sinus), (b) patient 2 (base of the tongue with extension toward the hypopharynx), and (c) patient 3 (right hemilingual mass).
Applsci 16 01536 g011
Table 1. Clinical and surgical description of the patients investigated in this study.
Table 1. Clinical and surgical description of the patients investigated in this study.
Patient 1Patient 2Patient 3
Mentioned in textMaxillary sinusBase of the tongue with extension toward the hypopharynx Right hemilingual mass
ORL clinical examination
-
Sex: male;
-
Age: 65 years;
-
Smoker;
-
Tumor formation in the left maxillary sinus, extending into and fully occupying the left nasal cavity, with extension into the hard palate.
-
Sex: female;
-
Age: 60 years;
-
No pathological antecedents;
-
Vegetative tumor formation located at the left side of the tongue base, extending to the left vallecula, epiglottis, and left aryepiglottic fold;
-
Bilateral laterocervical lymphadenopathy, with the largest node located in the left jugulocarotid area, measuring 2.5 × 2 cm, firm, mobile, painless both spontaneously and upon palpation.
-
Sex: female;
-
Age: 60 years;
-
Smoker;
-
Known to have diabetes mellitus II with neuropathy, operated on ovarian neoplasm;
-
Vegetative tumor mass on the dorsal surface of the right side of the tongue;
-
Right laterocervical lymphadenopathy, approximately 3 × 3 cm, fixed to both superficial and deep planes, painless both spontaneously and upon palpation.
Surgical intervention
-
Right maxillectomy via open approach;
-
Palate resection;
-
Tumor resection from the level of the right maxillary sinus en bloc with the middle and lower nasal turbinate.
-
Partial horizontal supraglottic laryngectomy, extended to the base of the tongue;
-
Bilateral jugulocarotid lymph node dissection.
-
Right hemiglossectomy;
-
Right submaxillectomy;
-
Right modified radical neck dissection, type II, involving jugulocarotid lymph node clearance, and right internal jugular vein resection.
Histopathological examinationEpithelial–myoepithelial carcinoma with focally increased mitotic activity.Well-differentiated microinvasive squamous cell carcinoma with high-grade dysplastic lesions of the adjacent epithelium.Poorly keratinizing squamous cell carcinoma G3.
Table 2. Sample-level peak fluorescence intensity statistics for normal and malignant tissues for each patient.
Table 2. Sample-level peak fluorescence intensity statistics for normal and malignant tissues for each patient.
Patient IDTissue TypeSamplesNo. of Scan PointsMean Peak IntensityStandard Deviation
1NormalS124148,191.1532,283.26
S224124,078.3721,970.90
S327201,154.3891,306.33
Mean intensity ± SD157,807.97 ± 39,427.65
1MalignantT12682,514.9912,168.71
T22395,433.4321,019.97
T32671,049.4014,290.67
Mean intensity ± SD82,999.28 ± 12,199.22
p-value = 0.0348
2NormalS119108,512.6650,875.09
S221106,251.00359,025.10
S322108,571.4558,276.22
Mean intensity ± SD107,778.37598 ± 1323.0702
2MalignantT11579,757.8615,729.27
T22172,489.8816,004.62
T32078,720.0121,242.98
Mean intensity ± SD76,989.25334 ± 3930.97036
p-value = 0.00021
3NormalS112111,449.0969,545.67
S215102,901.7032,160.80
Mean intensity ± SD107,175.40 ± 6043.91
3MalignantT11572,810.1919,227.37
T21383,119.5325,420.96
Mean intensity ± SD77,964.86 ± 7289.80
p-value = 0.04874
Disclaimer/Publisher’s Note: The statements, opinions and data contained in all publications are solely those of the individual author(s) and contributor(s) and not of MDPI and/or the editor(s). MDPI and/or the editor(s) disclaim responsibility for any injury to people or property resulting from any ideas, methods, instructions or products referred to in the content.

Share and Cite

MDPI and ACS Style

Stăncălie-Nedelcu, R.I.; Berteșteanu, Ș.V.G.; Berteșteanu, G.S.; Andrei, I.R.; Smarandache, A.; Staicu, A.; Tozar, T.; Costin, R.; Grigore, R. Exploratory Approach Using Laser-Induced Autofluorescence for Upper Aerodigestive Tract Cancer Diagnosis—Three Case Reports. Appl. Sci. 2026, 16, 1536. https://doi.org/10.3390/app16031536

AMA Style

Stăncălie-Nedelcu RI, Berteșteanu ȘVG, Berteșteanu GS, Andrei IR, Smarandache A, Staicu A, Tozar T, Costin R, Grigore R. Exploratory Approach Using Laser-Induced Autofluorescence for Upper Aerodigestive Tract Cancer Diagnosis—Three Case Reports. Applied Sciences. 2026; 16(3):1536. https://doi.org/10.3390/app16031536

Chicago/Turabian Style

Stăncălie-Nedelcu, Ruxandra Ioana, Șerban Vifor Gabriel Berteșteanu, Gloria Simona Berteșteanu, Ionuț Relu Andrei, Adriana Smarandache, Angela Staicu, Tatiana Tozar, Romeo Costin, and Raluca Grigore. 2026. "Exploratory Approach Using Laser-Induced Autofluorescence for Upper Aerodigestive Tract Cancer Diagnosis—Three Case Reports" Applied Sciences 16, no. 3: 1536. https://doi.org/10.3390/app16031536

APA Style

Stăncălie-Nedelcu, R. I., Berteșteanu, Ș. V. G., Berteșteanu, G. S., Andrei, I. R., Smarandache, A., Staicu, A., Tozar, T., Costin, R., & Grigore, R. (2026). Exploratory Approach Using Laser-Induced Autofluorescence for Upper Aerodigestive Tract Cancer Diagnosis—Three Case Reports. Applied Sciences, 16(3), 1536. https://doi.org/10.3390/app16031536

Note that from the first issue of 2016, this journal uses article numbers instead of page numbers. See further details here.

Article Metrics

Article metric data becomes available approximately 24 hours after publication online.
Back to TopTop