Next Article in Journal
Detection of Small-Sized Electronics Endangering Facilities Involved in Recycling Processes Using Deep Learning
Previous Article in Journal
Experimental Study on Sand Removal by a Downhole In Situ Spiral-Swirl Natural Gas Hydrate Coupling Separator
 
 
Font Type:
Arial Georgia Verdana
Font Size:
Aa Aa Aa
Line Spacing:
Column Width:
Background:
Article

Evaluation of the Distal Periodontal Bone Defect Associated with Lower Third Molar Extraction

Department of Surgery, Medicine, Dentistry and Morphological Sciences with Transplant Surgery, Oncology and Regenerative Medicine Relevance (CHIMOMO), University of Modena and Reggio Emilia, 41125 Modena, Italy
*
Author to whom correspondence should be addressed.
These authors have contributed equally to this work and share first authorship.
Appl. Sci. 2025, 15(5), 2834; https://doi.org/10.3390/app15052834
Submission received: 12 December 2024 / Revised: 4 January 2025 / Accepted: 3 March 2025 / Published: 6 March 2025

Abstract

Background: Dental impaction requires careful consideration prior to extraction. Factors influencing the decision to extract an impacted tooth include the depth of impaction, proximity to vital structures, patient age, systemic conditions, and compliance. The eruption of third molars often presents periodontal challenges for adjacent second molars, with studies identifying a link between third molar presence and periodontal defects. Orthopantomography (OPG) is the primary diagnostic tool, providing a low-radiation, quick, and comprehensive view of the dental arches. Computed tomography (CT) offers additional three-dimensional information for a more accurate anatomical evaluation. Objective: This study aimed to evaluate the periodontal status of the lower second molar after lower third molar extraction, considering both periodontal and orthodontic perspectives. Methods: Conducted at the University of Modena and Reggio Emilia, this study evaluated changes in the periodontal status of the lower second molar at least 12 months after lower third molar extraction. A total of 53 patients meeting the inclusion criteria underwent surgical extraction. Clinical and radiographic evaluations were performed, analyzing parameters such as impaction type, angulation, and preoperative conditions. Results: The results suggest reduced healing in cases involving horizontal impacted third molars, although the small sample size limits statistical significance. These results align with the existing literature emphasizing better healing outcomes in young individuals undergoing early extraction. Conclusions: This pilot study highlights the periodontal implications of lower third molar extraction and underscore the potential benefits of early intervention for certain impaction types. Future research with larger sample sizes and a more detailed analysis of complications could provide deeper insights into the periodontal and orthodontic consequences of third molar management.

1. Introduction

The impaction of permanent teeth is a pathological condition where a tooth fails to erupt into its functional position without intervention [1]. Among all teeth, third molars are most commonly impacted [1,2,3]. Factors contributing to third molar impaction include inadequate skeletal growth, macrodontia, delayed third molar development, and systemic or local conditions such as cleidocranial dysplasia and Down’s syndrome [4,5]. Impaction is associated with complications like pericoronitis, dental caries, and cystic lesion, making third molar extraction a routine procedure for Oral and Maxillofacial surgeons [6,7,8].
The impaction angle, representing the angle formed between the longitudinal axes of the second and third molars, is commonly classified using Winter’s classification system [7]. Both maxillary and mandibular third molars, whether impacted or not, can be classified using the Pell and Gregory classification system [5]. The eruption of third molars frequently presents periodontal challenges for adjacent second molars, with studies identifying a link between third molar presence and periodontal defects.
The decision to extract an impacted tooth requires a thorough assessment of alternatives. Factors influencing this decision include the depth of impaction, proximity to vital structures, patient age, systemic conditions, and compliance. Comprehensive clinical and radiological evaluations are for informed decision-making. Proper preoperative planning, supported by operator experience, minimizes unforeseen complications.
Orthopantomography (OPG) is the preferred imaging method for initial evaluation, offering a panoramic view of dental arches and adjacent structures (Figure 1). OPG combines low-radiation exposure with patient comfort. Computed tomography (CT) with specialized software may provide three-dimensional analyses for more complex cases (Figure 2).
Cone beam computed tomography (CBCT) offers enhanced diagnostic capabilities, particularly in evaluating the proximity of impacted molars to adjacent anatomical structures and predicting potential complications during and after surgery.
The eruption of the third molars occurs in a confined space and often results in food impaction and plaque accumulation, increasing the periodontal vulnerability of adjacent second molars. Multiple studies have documented periodontal damage associated with asymptomatic third molars. A systematic review reported a 19% association between third molar presence and early distal periodontal defects and a 52% association with deep periodontal pockets [9].
Passarelli [10] observed significant reductions in distal pocket depth six months after surgical extractions of third molars, alongside improvements in clinical parameters such as Bleeding on Probing (BOP), Plaque Index (PI), and Gingival Index (GI). Given the potential impact of lower third molar extraction on the periodontal health of the second molar, it is crucial to identify factors influencing periodontal healing. These factors include patient age, impaction type, surgical techniques, post-operative symptoms, and preoperative periodontal status.
Kugelberg et al. suggest that the third molars should be extracted before the age of 25 in at-risk patients, as older age reduces the likelihood of complete recovery [11,12,13,14]. Younger patients demonstrate better bone healing and fewer complications, especially when root apex maturation is incomplete [15,16]. A history of periodontitis, deep pockets, and older age are recognized as independent risk factors for residual pockets ≥ 4 mm [9].
Regarding surgical technique, Groves & Moore [15] suggest that flap design has minimal influence on bone loss distal to the second molar but may reduce residual distal pocket depth. Authors like Stephens and Woolf et al. [16] propose that the choice of flap design should favor maintaining periodontal health distal to the seventh molar. A 2023 systematic review suggests that a three-sided flap may slightly outperform an envelope flap in reducing Probing Pocket Depth (PPD) after six months, with baseline PPD being the strongest predictor of post-operative outcomes [17,18].
Impaction type and initial periodontal status also influence periodontal healing [18]. Factors such as the contact area between the second and third molars, their close proximity, and the inclination of the second molar are correlated with bone and periodontal healing post-extraction. According to Kan et al. [19], three major risk factors for residual periodontal defects in the second molar are the presence of preoperative crestal radiolucency visible on panoramic radiography, the level of impaction, and the presence of postoperative plaque. Preoperative radiolucency as a predictor of residual bone defect was previously reported by Kugelberg (1991b) [12], and Kan’s [19] study confirms this association. The mesioangular inclination of the third molar inevitably creates a space between the second and third molars, promoting subgingival microbiota colonization, including periodontopathogen bacteria [20].
Recent studies further elucidate these phenomena. Di Giovanni et al. [21] demonstrated that orthodontic extraction of mandibular premolars might slightly accelerate root development but does not significantly influence the angulation of lower third molars. Similarly, Peña-Reyes et al. [22] found that Class I and II malocclusion extraction treatments exhibited more favorable angulations and a greater number of erupted third molars compared to non-extraction treatments. Non-extraction groups exhibited a higher percentage of unerupted third molars.
Chopra et al. [23] leveraged artificial intelligence (AI) to predict lower third molar eruption, finding a low incidence of fully erupted molars with hygienic cleanability, supporting prophylactic extraction in certain cases. Furthermore, Puyén-Goicochea et al. [24] identified impaction, prevention of pericoronitis, and stability post-treatment as key factors favoring prophylactic extraction in orthodontic practice. Finally, Verma et al. [25] highlighted the correlation between lack of retromolar space, increased arch length discrepancy, and mandibular incisor angulation with higher chances of third molar impaction in Class II malocclusion patients.
The choice of surgical technique and pre-extraction periodontal preparation must consider the patient’s clinical condition. Advanced periodontal surgical methods, such as guided tissue regeneration or use of biomaterials, may improve healing outcomes and reduce the risk of long-term defects. CBCT analysis plays a pivotal role in planning these interventions, offering precise evaluations of bone and soft tissue conditions.
These findings underscore the need for a tailored approach to managing third molar impactions, considering both clinical and patient-specific factors.

2. Materials and Methods

2.1. Study Objective

The aim of this study was to evaluate the periodontal condition of the second molar following the extraction of the lower third molar. Previous research has suggested that the risk of developing periodontal defects distal to the second molar can be minimized with careful preoperative planning and appropriate selection of flap design, surgical instruments, and sutures techniques. However, as noted by Kugelberg et al. in 1990 [26], other factors may influence the periodontal health of the second molar following third molar surgery [27,28,29]. This study aims to analyze changes in the periodontal status of the lower second molar—both clinically and radiographically—at least 12 months after third molar extraction. These findings are further analyzed in relation to presurgical conditions of the third molar, including position, eruption level, and local complications.

2.2. Study Design

This study was designed and conducted at the School of Specialization in Oral Surgery, University of Modena and Reggio Emilia, Italy. All clinical procedures were performed following the Declaration of Helsinki and Good Clinical Practice Guidelines, and informed consent was obtained from all participants. This is a retrospective and prospective cohort study.

2.3. Inclusion and Exclusion Criteria

Inclusion Criteria

Patients aged 18 years or older who underwent surgical extraction of a lower third molar, with the second molar present for evaluation.
Follow-up clinical and radiographic evaluations performed at least 12 months post-extraction.
Patients not pregnant or breastfeeding.
Absence of systemic diseases or conditions known to impair periodontal healing.
Availability of a readable panoramic radiograph (OPG) taken at last 12 months after the surgical procedure.
No ongoing use of medications associated with gingival hyperplasia (phenytoin, cyclosporine, nifedipine, etc.)

2.4. Exclusion Criteria

Patients who do not meet the inclusion criteria.
Loss of the second molar before the follow-up evaluation.

2.5. Presurgical Procedures

All patients underwent a detailed maxillofacial examination to classify the third molar impaction using the Pell and Gregory (P and G) and Winter’s classifications (Figure 3).

2.5.1. Level (P and G Classification, 1933)

Level A: Occlusal planes of the seventh and eighth are at approximately the same level, indicating superficial inclusion, often mucosal only.
Level B: The eighth’s occlusal plane is between that of the seventh and its amelocemental junction.
Level C: The eighth’s occlusal plane is entirely below the amelocemental junction of the seventh.

2.5.2. Class (P and G Classification, 1933)

Class I: The entire crown of the eighth is anterior to the anterior margin of the ascending ramus of the mandible.
Class II: Approximately half of the crown is covered by the ascending ramus.
Class III: The crown is entirely covered by the ascending ramus.

2.5.3. Angulation (Winter’s Classification)

Vertical: Inclination between −10° and 10°.
Mesioangular: Inclination between 10° and 80°.
Distoangular: Inclination between −10° and −80°.
Horizontal: Inclination between 80° and 100°.

2.6. Surgical Procedures

All surgical procedures were performed by specialized oral surgery operators or residents at the School of Specialization in Oral Surgery, University of Modena and Reggio Emilia, Italy, between January 2019 and June 2020. The surgical site was anesthetized using inferior alveolar nerve block with mepivacaine without adrenaline, combined with pterygopalatine block using mepivacaine–epinephrine (1:100,000). After incision, a full-thickness flap was raised, and under copious irrigation, osteotomy was performed to expose the dental crown. Odontotomy, when necessary, was performed using a straight or angled handpiece under abundant irrigation. Dental extraction was then performed using straight and/or curved elevators and forceps. Thorough alveolar revision and irrigation with saline solution were conducted to remove any residue from the alveolar cavity. Finally, the flap was repositioned and stabilized with interrupted 4.0 PGA sutures (Vicryl®, Johnson & Johnson Medical, New Brunswick, NJ, USA). Postoperative prescriptions included antibiotics (amoxicillin + clavulanic acid, 1 g every 12 h for 6 days), anti-inflammatories (ibuprofen, 600 mg every 8 h for 3 days), and oral antimicrobials (rinsing with 0.20% chlorhexidine twice daily for 7 days). Alternative medications were prescribed in case of allergies. Patients were informed about postoperative home care procedures, provided both verbally and in writing on the medical report.

2.7. Postsurgical Procedures

Post-surgical procedures involved a follow-up visit 7 days post-surgery to assess wound healing. Patients were then reviewed at 6 or 12 months to clinically and radiographically reassess the extraction site. Besides the clinical examination, instrumental examination involved periodontal probing distal to the second molar and an intraoral radiograph with a Rinn-type holder.

2.8. Experimental Protocol

Completion of Standardized Form and Data Collection

Data collection from patients was performed by a single operator through the analysis of selected patients’ clinical records. Specifically, panoramic radiographs were evaluated to determine the degree of third molar impaction, as well as its level and inclination. Patient sex, age at the time of extraction, and the time between surgery and follow-up were recorded. All patients in the sample were invited to the university facility for a dental check-up, where they underwent a brief questionnaire (to investigate various factors, such as medication use or habits like smoking) and a periodontal probing.

2.9. Presurgical Radiographic Examination

The pre-operative panoramic radiograph of each patient was analyzed to identify the level and class of third molar impaction. Particularly, in the presence of crestal radiolucency indicating crestal bone loss between the second and third molars, the distance between the amelocemental junction of the seventh and the bone peak distal to the seventh was measured in millimeters. Measurements referred to Kugelberg et al. (1985) [28] schema (Figure 4), where the AC distance represents pocket depth, and the BD distance represents intraosseous defect. The same measurement was performed on the mesial side of the second molar to exclude pathological periodontal conditions and, therefore, exclude the patient from the study.

2.10. Clinical Examination/Periodontal Probing

Each patient underwent an instrumental examination through periodontal probing with a calibrated UNC15 manual probe, used at a constant pressure [29]. Specifically, probing pocket depth (PPD) and bleeding on probing (BoP) around the second molar were assessed. PPD was measured as the distance between the free gingival margin and the pocket bottom, in mm. Plaque presence was recorded through a dichotomous examination, categorizing patients based on whether plaque was detectable or not. The presence of carious lesions or conservative restorations on the distal surface of the second molar was also evaluated. Patients who lost the second molar between third molar extraction and follow-up were excluded from the study.

2.11. Postsurgical Radiographic Examination

As a complement to the instrumental examination, an intraoral radiograph with a Rinn-type holder was analyzed at least 12 months after surgical intervention to assess bone level and the prevalence and depth of intraosseous defects. As demonstrated by Kugelberg et al. (1985) [28], the radiographic distortion between real and radiographic measurements varies by 3–4%, considered negligible in subsequent analyses.

2.12. Statistical Analysis

Statistical analysis was performed using STATA® software version 17 (StataCorp. 2021. Stata Statistical Software: Release 17. College Station, TX, USA: StataCorp LLC). Descriptive statistics were summarizing baseline demographic and clinical characteristics for the entire study sample, including variables related to tooth angulation. Continuous variables were presented as the number of patients (N), mean, standard deviation (SD), minimum (min), and maximum (max) and compared between subgroups using both paired and unpaired Student’s t-tests; while categorical variables were presented as frequency (N, percentage [%]) and compared using a Pearson’s chi-squared test. To evaluate differences among the various tooth angulation groups, an analysis of variance (ANOVA) was applied. A p-value of <0.05 was considered statistically significant for all analysis.

3. Results

A total of 109 third molars were extracted at the University Dental Clinic of the Policlinic of Modena between 1 January 2019 and 31 December 2020. Of these, 56 third molars were excluded for not meeting the inclusion criteria. Specifically, 3 patients were pregnant, 14 patients lacked retrievable pre-operative panoramic radiographs, and 39 patients were unavailable for follow-up examination and questionnaire completion.
The final analysis included 29 patients (18 females, 62.1), accounting for 53 lower third molars. Female participants were more prevalent in the Mesial-Inclined and Vertical groups, whereas the Horizontal group had a higher proportion of male participants. Participants’ ages ranged from 18 to 49 years, with an average age at the time of extraction of 25.1 ± 5.8 years. The mean age was similar across groups. Smoking habits showed no statistically significant impact on outcomes, with 14 participants (48.3%) identified as smokers. No significant differences in periodontal probing depth (PPD) levels were observed between smokers and non-smokers (Table 1).
The third molars were classified by inclination: 22 (41.5%) as mesioangular, 10 (18.9%) as horizontal, and 21 (39.6%) as vertical (Table 2). Analysis of PPD and clinical attachment level (CAL) values aimed to evaluate the influence of tooth inclination on post-operative healing. The position in the tooth in the dental arch (right or left) did not significantly affect the outcomes (Table 2)
Pell and Gregory classification (P and G): Group A included a higher proportion of mesioangular third molars, while Group B was more common in the Horizontal group. Group C was exclusive to the Mesial-Inclined group. An association was observed between the Pell and Gregory classification and inclination, with mesioangular and horizontal teeth predominantly in Classes B and C, indicating greater impaction depth. Most cases were classified as Level II, suggesting that the tooth was unable to fully erupt into the arch (Table 2).
Pre-operative panoramic radiographs revealed significantly higher distal bone peak (POD) values in mesioangular (5.3 ± 2.1 mm) and horizontal (6.4 ± 1.9 mm) third molars compared to vertical molars (2.5 ± 1.4 mm). However, mesial bone measurements adjacent to the second molar did not significantly influence post-operative outcomes. Post-operative residual distal bone peaks (POD) were highest in the Horizontal group (2.3 ± 0.8 mm), followed by Mesioangular (1.9 ± 1.2 mm) and Vertical (1.4 ± 0.5 mm) groups, though these differences were not statistically significant. Similarly, residual probing depth tended to be greater in the Horizontal group, although differences between groups were not statistically significant.
Oral hygiene levels, as assessed by the O’Leary Index, revealed that 67.9% of participants maintained good hygiene (PI < 20%), with no significant differences between groups. The average follow-up period was 28 ± 16.9 months, with no significant differences across inclination groups (Table 2).
The surgical technique (envelope flap) was consistently applied to all cases, minimizing variability due to flap design. Immediate post-operative complications during the first week were observed in eight cases (15.1%) but did not differ significantly across groups.

4. Discussion

This study examines periodontal conditions distal to the lower second molar at least 12 months after surgical extraction of the lower third molars. Although third molar extraction is often not recommended in asymptomatic cases, our findings highlight that periodontal issues affecting the adjacent second molar may remain silent for a long time, potentially compromising its health and survival.
One objective of this study was to assess the prevalence and severity of these periodontal issues and identify influencing factors. This information is critical for determining whether third molar extraction is warranted. Preventive extraction of mandibular third molars is commonly performed to mitigate risks such as periodontal damage to the second molar, root resorption, distal caries, and orthodontic considerations. Additional reasons include the potential for pathological follicular evolution (e.g., cysts formation), increased risk of mandibular angle fracture, and greater surgical difficulty with advancing age [30].
The imaging modalities used, orthopantomography (OPG) and cone beam computed tomography (CBCT), represent standard practices for assessing third molar impactions and their associated periodontal impacts. OPG provides a convenient and low-radiation panoramic view, CBCT offers enhanced three-dimensional imaging crucial for evaluating anatomical proximity and predicting surgical complications. However, these methods have limitations, such as OPG’s two-dimensional representation and CBCT radiation exposure [30].
Emerging imaging technologies, as highlighted in the recent literature, including Yan et al. [30], demonstrate significant advancements that could complement these traditional methods. Optical biosensing systems, such as fluorescence and surface-enhanced Raman scattering (SERS)-based imaging, provide molecular-level insights that can identify early inflammatory changes or bacterial colonization distal to the second molar. Unlike CBCT, these systems offer real-time diagnostics with high specificity and sensitivity, reducing reliance on radiation-based methods.
Comparative analysis underscores a key trade-off: while OPG and CBCT are indispensable for structural assessments, integrating next-generation technologies like optical biosensing could enhance diagnostic precision by detecting biological and molecular changes. This integration could optimize clinical decision-making, particularly in identifying at-risk second molars post-extraction. Future studies should focus on hybrid approaches that leverage the strengths of both traditional and advanced imaging technologies, paving the way for more comprehensive periodontal evaluations and improved patient outcomes.
Guidelines from the German Society of Dental, Oral, and Maxillofacial Medicine (DGZMK) emphasize the link between untreated third molars and periodontal damage in second molars [31]. Consistent with these guidelines, our findings suggest that periodontal complications, especially in high-risk horizontal and mesioangular impactions, warrant early surgical intervention
This study grouped clinical cases based on the preoperative inclination of the third molar, as classified by Winter’s system, to investigate differences in periodontal healing among mesioangular, horizontal, and vertical impactions.
The findings suggest that age, distributed uniformly across groups (predominantly under 25 years), did not significantly affect outcomes. This is consistent with previous research by Kugelberg et al. [11], which found that surgical extraction of third molars in younger patients (<25 years) resulted in better healing over time, with reduced probing-pocket depths (PPDs) and improved distal bone peaks (POD). The depth of impaction and initial bone density also emerged as critical factors in post-extraction healing [32]. Fully impacted teeth often create a unilateral bony defect, while semi-impacted or partially erupted teeth may result in bone loss of two walls (coronal and buccal). These anatomical features, particularly the proximity between the second and third molars, are associated with greater bone loss distal to the second molar [33].
In our study, distal bone peaks (POD) were significantly lower in horizontal and mesioangular impactions than in vertical ones. This finding aligns with our study, where the distal bone peak (POD) to the second molar was significantly lower in horizontal and mesioangular third molars compared to vertical ones. Clinically, this translates into greater probing-depth distal (PPD) and reduced clinical attachment level (CAL) to the second molar in horizontal and mesioangular cases. This is consistent with findings by Petsos et al. [34], who suggested that the preventive extraction of asymptomatic third molars with PPD ≥ 4 mm may improve periodontal health in young patients.
Plaque control is another essential factor influencing healing. Although the plaque index values recorded at follow-up did not differ significantly between groups, effective plaque management is necessary to support optimal healing and prevent infections or bone loss [35].
Our results also indicated a trend toward less favorable healing in horizontal third molars, with higher residual PPD and reduced bone healing compared to other groups. While these differences were not statistically significant—likely due to the limited sample size—they suggest an area for further investigation. Despite this trend, the maximum observed PPD distal to second molars did not exceed 6 mm, which, although pathological according to guidelines, represented a significant improvement compared to preoperative levels. Overall, the alveolar bone height improved postoperatively, though sites with deeper mesioangular and horizontal impactions remained at greater risk of developing residual bone defects, as supported by Singh et al. [36].
Postoperative complications were not significantly associated with changes in PPD or CAL values across the three groups. However, the slight increase in complications in vertical impactions warrants further exploration. Additionally, the role of meticulous postoperative plaque control in mitigating tissue susceptibility to infections and bone loss should not be underestimated.
These findings underscore the importance of individualized treatment planning for third molar management. Tailoring the surgical approach to account for patient-specific factors—such as age, impaction type, and preoperative periodontal conditions—can enhance outcomes and reduce the risk of long-term complications.

5. Conclusions

This study provides valuable insights into periodontal conditions distal to the second molar following lower third molar extraction, addressing an area of limited research. Despite the pilot nature of this study and its small sample size, the findings align with the existing literature and offer meaningful directions for future investigation.
Our results underscore the significant impact of lower third molar extraction on the periodontal health of adjacent second molars. Specifically, mesioangular and horizontal impactions were associated with greater risk of periodontal damage, including deeper probing-pocket depths (PPDs) and lower distal bone peaks (POD), compared to vertical impactions. Younger patients demonstrated superior healing outcomes, further supporting the rationale for early intervention strategies.
These findings emphasize the importance of individualized treatment planning, which accounts for factors such as impaction type, anatomical conditions, and preoperative periodontal health. Preventive extraction in high-risk cases, particularly for mesioangular and horizontal impactions, may help optimize long-term periodontal outcomes and protect the adjacent second molars.
Expanding the study sample size to at least 100 participants would increase statistical power, allowing for more definitive conclusions regarding the relationship between impaction type and post-extraction healing. This would also help to confirm trends observed in this study, such as differences in periodontal and bone healing among various impaction types.
Future research should incorporate advanced imaging modalities, such as cone-beam computed tomography (CBCT) and surface-enhanced Raman scattering (SERS)-based techniques, to improve diagnostic precision and provide a more comprehensive understanding of healing dynamics. Additionally, exploring the use of adjunctive therapies, including guided tissue regeneration and biomaterials, may enhance postoperative outcomes.
Epidemiological factors, such as angle classification, deserve further exploration to clarify their role in predicting periodontal health outcomes following third molar extractions. Similarly, studies are needed to investigate the causal relationship between third molar inclination and postoperative complications, as well as the impact of effective plaque control strategies on healing outcomes.
Ultimately, this study highlights the need for a tailored approach to third molar management. By considering patient-specific factors, such as impaction type and anatomical conditions, clinicians can optimize treatment planning to safeguard the periodontal health of second molars and achieve improved overall outcomes.

Author Contributions

Conceptualization, P.B. and U.C.; Methodology, P.B., S.K. and U.C.; Validation, S.K.; Formal analysis, S.K.; Investigation, P.B., S.K. and G.S.; Resources, S.C., C.B. and M.R.; Data curation, S.K.; Writing—original draft, P.B. and S.K.; Writing—review & editing, G.S., S.C., C.B., M.R. and U.C.; Visualization, G.S. All authors have read and agreed to the published version of the manuscript.

Funding

This research received no external funding.

Institutional Review Board Statement

This study was approved by the Area Vasta Emilia Nord (AVEN) Ethics Committee under project identification code Pratica C.E. N. 1060/2019. Approval was granted during the session on 7 April 2020 (protocol no. 10171 dated 8 April 2020).

Informed Consent Statement

Informed consent was obtained from all subjects involved in the study.

Data Availability Statement

The original contributions presented in this study are included in the article. Further inquiries can be directed to the corresponding author.

Conflicts of Interest

The authors declare no conflicts of interest.

References

  1. Hassan, A.H. Pattern of third molar impaction in a Saudi population. Clin. Cosmet. Investig. Dent. 2010, 2, 109–113. [Google Scholar] [CrossRef]
  2. Dachi, S.F.; Howell, F.V. A survey of 3,874 routine full-mouth radiographs. I. A study of retained roots and teeth. Oral. Surg. Oral. Med. Oral. Pathol. 1961, 14, 916–924. [Google Scholar] [CrossRef] [PubMed]
  3. Eshghpour, M.; Rezaei, N.M.; Nejat, A. Effect of menstrual cycle on frequency of alveolar osteitis in women undergoing surgical removal of mandibular third molar: A single-blind randomized clinical trial. J. Oral. Maxillofac. Surg. 2013, 71, 1484–1489. [Google Scholar] [CrossRef] [PubMed]
  4. Bishara, S.E. Impacted maxillary canines: A review. Am. J. Orthod. Dentofac. Orthop. 1992, 101, 159–171. [Google Scholar] [CrossRef]
  5. Akarslan, Z.Z.; Kocabay, C. Assessment of the associated symptoms, pathologies, positions and angulations of bilateral occurring mandibular third molars: Is there any similarity? Oral. Surg. Oral. Med. Oral. Pathol. Oral. Radiol. Endod. 2009, 108, e26–e32. [Google Scholar] [CrossRef]
  6. Hattab, F.N.; Rawashdeh, M.A.; Fahmy, M.S. Impaction status of third molars in Jordanian students. Oral. Surg. Oral. Med. Oral. Pathol. Oral. Radiol. Endod. 1995, 79, 24–29. [Google Scholar] [CrossRef]
  7. Al-Anqudi, S.M.; Al-Sudairy, S.; Al-Hosni, A.; Al-Maniri, A. Prevalence and Pattern of Third Molar Impaction: A retrospective study of radiographs in Oman. Sultan Qaboos Univ. Med. J. 2014, 14, e388–e392. [Google Scholar]
  8. Molander, B.; Ahlqwist, M.; Grondahl, H.G.; Hollender, L. Agreement between panoramic and intra-oral radiography in the assessment of marginal bone height. Dentomaxillofac. Radiol. 1991, 20, 155–160. [Google Scholar] [CrossRef]
  9. Yang, Y.; Tian, Y.; Sun, L.J.; Qu, H.L.; Chen, F.M. Relationship between Presence of Third Molars and Prevalence of Periodontal Pathology of Adjacent Second Molars: A Systematic Review and Meta-analysis. Chin. J. Dent. Res. 2022, 25, 45–55. [Google Scholar]
  10. Passarelli, P.C.; Lajolo, C.; Pasquantonio, G.; D’Amato, G.; Docimo, R.; Verdugo, F.; D’Addona, A. Influence of mandibular third molar surgical extraction on the periodontal status of adjacent second molars. J. Periodontol. 2019, 90, 847–855. [Google Scholar] [CrossRef] [PubMed]
  11. Kugelberg, C.F.; Ahlström, U.; Ericson, S.; Hugoson, A.; Kvint, S. Periodontal healing after impacted lower third molar surgery in adolescents and adults. A prospective study. Int. J. Oral. Maxillofac. Surg. 1991, 20, 18–24. [Google Scholar] [CrossRef]
  12. Kugelberg, C.F.; Ahlström, U.; Ericson, S.; Hugoson, A.; Thilander, H. The influence of anatomical, pathophysiological and other factors on periodontal healing after impacted lower third molar surgery. A multiple regression analysis. J. Clin. Periodontol. 1991, 18, 37–43. [Google Scholar] [CrossRef]
  13. Coleman, M.; McCormick, A.; Laskin, D.M. The incidence of periodontal defects distal to the maxillary second molar after impacted third molar extraction. J. Oral. Maxillofac. Surg. 2011, 69, 319–321. [Google Scholar] [CrossRef] [PubMed]
  14. Ash, M.; Costich, E.R.; Hayward, R. A study of periodontal hazards of third molars. J. Periodontol. 1962, 33, 209–219. [Google Scholar] [CrossRef]
  15. Groves, B.J.; Moore, J.R. The periodontal implications of flap design in lower tird molar extractions. Dent. Pract. Dent. Rec. 1970, 20, 297–304. [Google Scholar]
  16. Woolf, R.H.; Malmquist, J.P.; Wright, W.H. Third molar extractions: Periodontal implications of two flap designs. Gen. Dent. 1978, 26, 52–56. [Google Scholar]
  17. King, R.P.; Chasma, F. Effect modifiers influencing the periodontal healing of the adjacent second molar following mandibular third molar removal. Evid. Based Dent. 2023, 24, 19–20. [Google Scholar] [CrossRef] [PubMed]
  18. Pang, S.L.; Leung, K.P.Y.; Li, K.Y.; Pelekos, G.; Tonetti, M.; Leung, Y.Y. Factors affecting periodontal healing of the adjacent second molar after lower third molar surgery: A systematic review and meta-analysis. Clin. Oral. Investig. 2023, 27, 1547–1565. [Google Scholar] [CrossRef] [PubMed]
  19. Kan, K.W.; Liu, J.K.; Lo, E.C.; Corbet, E.F.; Leung, W.K. Residual periodontal defects distal to the mandibular second molar 6-36 months after impacted third molar extraction. J. Clin. Periodontol. 2002, 29, 1004–1011. [Google Scholar] [CrossRef]
  20. Leung, W.K.; Theilade, E.; Comfort, M.B.; Lim, P.L. Microbiology of the pericoronal pouch in mandibular third molar pericoronitis. Oral. Microbiol. Immunol. 1993, 8, 306–312. [Google Scholar] [CrossRef]
  21. Di Giovanni, T.; Vogiatzi, T.; Koretsi, V.; Walsh, T.; Silikas, N.; Papageorgiou, S.N. Effect of orthodontic extraction of mandibular premolars on third molar angulation after treatment with fixed appliances: A cross-sectional study. J. Orofac. Orthop. 2024, 85, 392–403. [Google Scholar] [CrossRef] [PubMed] [PubMed Central]
  22. Peña-Reyes, D.; Freitas, J.Q.; Freitas, K.M.S.; Bellini-Pereira, S.A.; Aliaga-Del Castillo, A.; Janson, G.; Freitas, M.R. Third Molar Comparison in Class I and II Extraction and Non-extraction Orthodontic Treatment: A Retrospective Longitudinal Study. Turk. J. Orthod. 2024, 37, 7–13. [Google Scholar] [CrossRef] [PubMed] [PubMed Central]
  23. Chopra, S.; Vranckx, M.; Ockerman, A.; Östgren, P.; Krüger-Weiner, C.; Benchimol, D.; Shujaat, S.; Jacobs, R. A retrospective longitudinal assessment of artificial intelligence-assisted radiographic prediction of lower third molar eruption. Sci. Rep. 2024, 14, 994. [Google Scholar] [CrossRef] [PubMed] [PubMed Central]
  24. Puyén-Goicochea, C.; Ortiz-Pizarro, M.; Blanco-Victorio, D.J.; Serna-Alarcón, V. Factors associated with indication of prophylactic extraction of the lower third molar in orthodontic practice. J. Clin. Exp. Dent. 2024, 16, e343–e349. [Google Scholar] [CrossRef] [PubMed] [PubMed Central]
  25. Verma, S.L.; Tikku, T.; Khanna, R.; Srivastava, K.; Maurya, R.P.; Rai, P. Correlation of mandibular third molar orientation and available retromolar space with arch length discrepancy in subjects with different growth pattern. Natl. J. Maxillofac. Surg. 2024, 15, 106–115. [Google Scholar] [CrossRef] [PubMed] [PubMed Central]
  26. Kugelberg, C.F. Impacted lower third molars and periodontal health. An epidemiological, methodological, retrospective and prospective clinical, study. Swed. Dent. J. Suppl. 1990, 68, 1–52. [Google Scholar]
  27. Kugelberg, C.F. Periodontal healing two and four years after impacted lower third molar surgery. A comparative retrospective study. Int. J. Oral. Maxillofac. Surg. 1990, 19, 341–345. [Google Scholar] [CrossRef] [PubMed]
  28. Kugelberg, C.F.; Ahlström, U.; Ericson, S.; Hugoson, A. Periodontal healing after impacted lower third molar surgery. A retrospective study. Int. J. Oral. Surg. 1985, 14, 29–40. [Google Scholar] [CrossRef]
  29. Chiapasco, M. Manuale Illustrato di Chirurgia Orale; Edra Masson: Milan, Italy, 2020; pp. 1–640. [Google Scholar]
  30. Yan, T.; Guo, C.; Wang, C.; Zhu, K. Optical biosensing systems for a biological living body. VIEW 2023, 4, 20220059. [Google Scholar] [CrossRef]
  31. Kunkel, M. AWMF Guidelines: Operative Entfernung von Weisheitszähnen (Registernummer 007–003); German Society for Dentistry, Oral and Maxillofacial Medicine (DGZMK): Düsseldorf, Germany, 2012. [Google Scholar]
  32. Quee, T.A.; Gosselin, D.; Millar, E.P.; Stamm, J.W. Surgical removal of the fully impacted mandibular third molar. The influence of flap design and alveolar bone height on the periodontal status of the second molar. J. Periodontol. 1985, 56, 625–630. [Google Scholar] [CrossRef]
  33. Nunn, M.E.; Fish, M.D.; Garcia, R.I.; Kaye, E.K.; Figueroa, R.; Gohel, A.; Ito, M.; Lee, H.J.; Williams, D.E.; Miyamoto, T. Retained asymptomatic third molars and risk for second molar pathology. J. Dent. Res. 2013, 92, 1095–1099. [Google Scholar] [CrossRef] [PubMed]
  34. Petsos, H.; Korte, J.; Eickholz, P.; Hoffmann, T.; Borchard, R. Surgical removal of third molars and periodontal tissues of adjacent second molars. J. Clin. Periodontol. 2016, 43, 453–460. [Google Scholar] [CrossRef] [PubMed]
  35. Rosling, B. Plaque Control: A Determining Factor in the Treatment of Periodontal Disease. Ph.D. Thesis, University of Gothenburg, Gothenburg, Sweden, 1976. [Google Scholar]
  36. Singh, S.; Gottumukkala, S.N.V.S.; Konathala, S.V.R.; Penmetsa, G.S.; Dwarakanath, C.D.; Bypalli, V. Periodontal status of mandibular second molar after extraction of impacted mandibular third molars- a prospective clinical trial. Eur. Oral. Res. 2022, 56, 110–116. [Google Scholar] [CrossRef] [PubMed] [PubMed Central]
Figure 1. Panoramic X-ray of the dentition and jaw using orthopantomography (OPG).
Figure 1. Panoramic X-ray of the dentition and jaw using orthopantomography (OPG).
Applsci 15 02834 g001
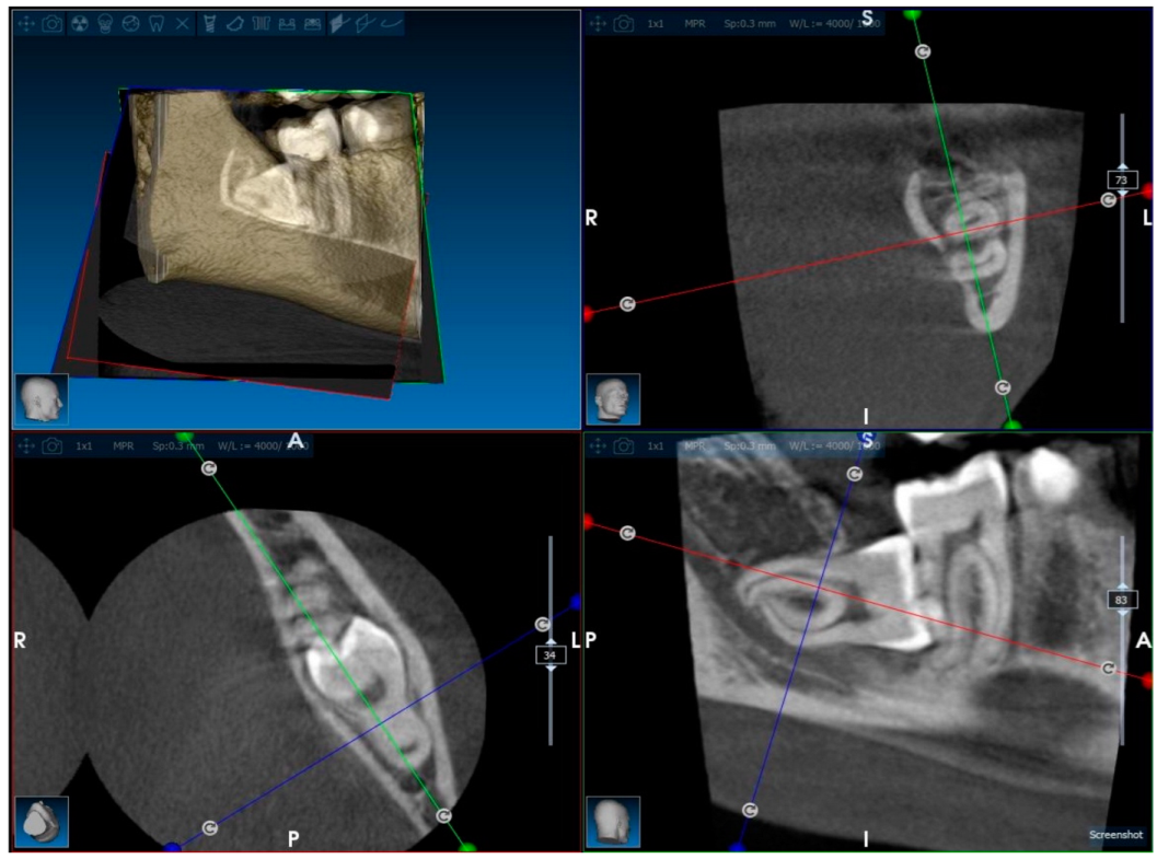
Figure 2. Cone beam CT scan of impacted third molar in different sections.
Figure 2. Cone beam CT scan of impacted third molar in different sections.
Applsci 15 02834 g002
Figure 3. Classification of impacted third molars according to Pell and Gregory and Winter’s classifications.
Figure 3. Classification of impacted third molars according to Pell and Gregory and Winter’s classifications.
Applsci 15 02834 g003
Figure 4. Measurements adopted by Kugelberg in 1985: the AC distance is defined as the pocket depth, while the BD distance represents the intraosseous defect.
Figure 4. Measurements adopted by Kugelberg in 1985: the AC distance is defined as the pocket depth, while the BD distance represents the intraosseous defect.
Applsci 15 02834 g004
Table 1. Demographic characteristics of included patients and angular position of teeth.
Table 1. Demographic characteristics of included patients and angular position of teeth.
Total (n = 29)Mesioangular (n = 22, 41.5%)Horizontal (n = 10, 18.9%)Vertical (n = 21, 39.6%)p-Value
Gender
 Female18 (62.1)9 (75.0)2 (33.3)7 (63.6)0.227
 Male11 (37.9)3 (25.0)4 (66.7)4 (36.4)
Smoking14 (48.3)5 (41.7)4 (66.7)5 (45.5)0.589
Age, Mean ± SD25.9 ± 6.627.0 ± 9.125.1 ± 3.525.4 ± 5.00.812
(range)(18.0–49.2)(18.2–49.2)(21.1–29.7)(18.2–34.2)
Table 2. The distribution of clinic characteristics of subjects according to the total number of impacted third molars and angular position of teeth.
Table 2. The distribution of clinic characteristics of subjects according to the total number of impacted third molars and angular position of teeth.
Total (n = 53)Mesioangular (n = 22, 41.5%)Horizontal (n = 10, 18.9%)Vertical (n = 21, 39.6%)
Teeth
 3828 (52.8)12 (54.5)6 (60.0)10 (47.6)0.794
 4825 (47.2)10 (45.5)4 (40.0)11 (52.4)
P and G
 A20 (37.7)1 (4.5)3 (30.0)16 (76.2)<0.001
 B24 (45.3)15 (68.2)4 (40.0)5 (23.8)
 C7 (13.2)4 (18.2)3 (30.0)0 (0.0)
P and G
 I14 (26.4)5 (22.7)4 (40.0)5 (23.8)0.034
 II30 (56.6)13 (59.1)2 (20.0)15 (71.4)
 III7 (13.2)2 (9.1)4 (40.0)1 (4.8)
POD VIII, Mean ± SD (range)4.4 ± 2.4 (1–9)5.3 ± 2.1 (2–9) *6.4 ± 1.9 (4–9)2.5 ± 1.4 (1–6.9) °<0.001
POD VIII
 <424 (45.3)7 (31.8)0 (0.0)17 (81.0)<0.001
 ≥429 (54.7)15 (68.2)8 (80.0)4 (19.0)
M-D VII, Mean ± SD (range)11.8 ± 0.7 (10.5–13.5)11.9 ± 0.6 (10.5–13)11.8 ± 0.6 (11–13)11.6 ± 0.5 (11–13)0.355
Flap, envelope53 (100)22 (100)10 (100)21 (100)
Hygiene
 Good36 (67.9)17 (77.3)6 (60.0)13 (61.9)0.468
 Poor17 (32.1)5 (22.7)4 (40.0)8 (38.1)
Follow up, Mean (months) ± SD (range)28 ± 16.9 (2–73)30.3 ± 22.0 (3–73)26.1 ± 13.2 (9–41)26.7 ± 12.3 (2–40)0.765
POD VII RX, Mean ± SD (range)1.8 ± 0.9 (0.5–5)1.9 ± 1.2 (1–5) *2.3 ± 0.8 (1–4)1.4 ± 0.5 (0.5–2)0.054
D, Mean ± SD (range)3.5 ± 1.0 (2–6)3.6 ± 0.8 (3–5)4.1 ± 1.3 (2–6)3.4 ± 0.9 (2–5)0.234
DV, Mean ± SD (range)2.9 ± 0.8 (1–6)3.2 ± 0.9 (2–6)3.1 ± 0.9 (2–4)2.6 ± 0.6 (1–4)0.090
DL, Mean ± SD (range)3.1 ± 0.8 (2–5)3.5 ± 0.7 (2–5)2.7 ± 0.8 (2–4)2.9 ± 0.8 (2–5)0.032
Complications8 (15.1)4 (18.2)1 (10.0)3 (14.3)0.852
p < 0.05. * Mesioangular vs. Horizontal ° Horizontal vs. Vertical, 38: Left mandibular third molar, 48: Right mandibular third molar, POD VIII-POD VII: Distal bone peak at the eight or seventh, M-D VII: Mesiodistal distance measured, D: Depth, DV: Distal Vertical measurement, DL: Distal Lateral measurement.
Disclaimer/Publisher’s Note: The statements, opinions and data contained in all publications are solely those of the individual author(s) and contributor(s) and not of MDPI and/or the editor(s). MDPI and/or the editor(s) disclaim responsibility for any injury to people or property resulting from any ideas, methods, instructions or products referred to in the content.

Share and Cite

MDPI and ACS Style

Bellini, P.; Kaleci, S.; Setti, G.; Cavecchia, S.; Bellesia, C.; Ruozzi, M.; Consolo, U. Evaluation of the Distal Periodontal Bone Defect Associated with Lower Third Molar Extraction. Appl. Sci. 2025, 15, 2834. https://doi.org/10.3390/app15052834

AMA Style

Bellini P, Kaleci S, Setti G, Cavecchia S, Bellesia C, Ruozzi M, Consolo U. Evaluation of the Distal Periodontal Bone Defect Associated with Lower Third Molar Extraction. Applied Sciences. 2025; 15(5):2834. https://doi.org/10.3390/app15052834

Chicago/Turabian Style

Bellini, Pierantonio, Shaniko Kaleci, Giacomo Setti, Sara Cavecchia, Carlotta Bellesia, Matilde Ruozzi, and Ugo Consolo. 2025. "Evaluation of the Distal Periodontal Bone Defect Associated with Lower Third Molar Extraction" Applied Sciences 15, no. 5: 2834. https://doi.org/10.3390/app15052834

APA Style

Bellini, P., Kaleci, S., Setti, G., Cavecchia, S., Bellesia, C., Ruozzi, M., & Consolo, U. (2025). Evaluation of the Distal Periodontal Bone Defect Associated with Lower Third Molar Extraction. Applied Sciences, 15(5), 2834. https://doi.org/10.3390/app15052834

Note that from the first issue of 2016, this journal uses article numbers instead of page numbers. See further details here.

Article Metrics

Back to TopTop