Next Article in Journal
Research on the Impact of a Fluid Field on an Acoustic Field in Herschel–Quincke Tube
Next Article in Special Issue
Cytotoxicity of Bleaching Products: A Systematic Review
Previous Article in Journal
Numerical Simulation of Surface Subsidence and Fracture Evolution Caused by Pulang Copper Mine Mining
Previous Article in Special Issue
Piezosurgery versus Reciprocating Saw: Qualitative Comparison of the Morphology of Cutting Surfaces in Ex Vivo Human Bone
 
 
Font Type:
Arial Georgia Verdana
Font Size:
Aa Aa Aa
Line Spacing:
Column Width:
Background:
Article

Evaluation of Rosuvastatin Solution in Post-Extraction Alveolar Bone Repair: An In Vivo Research Study

by
Tiago Queiroz
1,
Vittorio Moraschini
2,
Suelen Cristina Sartoretto
2,
Adriana Terezinha Neves Novellino Alves
3,
Rodrigo Figueiredo de Brito Resende
2,
Marcelo Uzeda
2,
Kayvon Javid
4,
Ilia Deylami
4,
Monica Diuana Calasans-Maia
2,
Carlos Fernando Mourão
5,6,* and
Rafael Seabra Louro
2
1
Graduate Program, School of Dentistry, Fluminense Federal University, Niteroi 24020-140, Brazil
2
Department of Oral Surgery, School of Dentistry, Fluminense Federal University, Niteroi 24020-140, Brazil
3
Oral Diagnosis Department, School of Dentistry, Fluminense Federal University, Niteroi 24020-140, Brazil
4
South Bay Dental Institute, Los Angeles, CA 90731, USA
5
Department of Periodontology, Tufts University School of Dental Medicine, Boston, MA 02111, USA
6
Department of Oral Maxillofacial Surgery and Periodontology, Post-Graduation Program, School of Dentistry of Ribeirão Preto, University São Paulo, Ribeirão Preto 14040-904, Brazil
*
Author to whom correspondence should be addressed.
Appl. Sci. 2024, 14(6), 2415; https://doi.org/10.3390/app14062415
Submission received: 19 January 2024 / Revised: 10 March 2024 / Accepted: 11 March 2024 / Published: 13 March 2024
(This article belongs to the Special Issue Dental Materials: Latest Advances and Prospects, Third Edition)

Abstract

Statins have demonstrated positive results in alveolar repair after induced osteoporosis in humans and rats. This study aimed to evaluate the osteogenic potential of rosuvastatin (RSV) solution associated with collagen sponge in post-extraction rat alveoli. An experimental study was carried out at the Fluminense Federal University in 30 Wistar rats (female) randomly distributed into three experimental groups: group I—dental sockets filled with a blood clot (CS); group II—dental sockets filled with collagen sponge (EC); and group III—collagen sponge associated with RSV. Slides stained with hematoxylin and eosin (HE) were used for histomorphometric analysis to evaluate newly formed bone, connective tissue, and biomaterial in the respective groups, comparing them over different periods (7 and 42 days). The Shapiro–Wilk test was used to evaluate the same experimental period, and the Mann–Whitney test was used to compare the different periods between the groups. At 7 days, the clot group showed greater new bone formation (median 23.27; IQR 10.62–4.74) than the sponge group (median 2.25; IQR 3.42–1.53) and RSV group (median 0; IQR 0–0; p = 0.03), respectively. At 42 days, the clot group (median 63.90; IQR 7.54–3.73) showed better results regarding newly formed bone compared to the RSV group (median 26.33; IQR 4.78–2.24; p = 0.003). The present study demonstrated no advantages in the use of RSV in relation to the control group and no statistical difference between groups II and III.

1. Introduction

Bone tissue is known for its remarkable regenerative abilities, which play a crucial role in maintaining the structural and functional integrity of the body [1,2,3,4]. Collagen is a biocomponent found in the body that is central to the regenerative process. It is known for its low antigenicity and plays a pivotal role in wound healing and coagulation. When developed into a sponge form, it enhances cellular infiltration and acts as a versatile carrier for drugs and growth factors, mimicking the extracellular matrix [1,2,3,4].
Statin medications like rosuvastatin (RSV) have recently gained attention for their pleiotropic anti-inflammatory, angiogenic, and osteogenic properties, independent of cholesterol reduction [5,6,7,8,9,10,11,12,13,14,15]. This has led to the emergence of promising approaches for regenerating even sizable osseous defects, including bone grafts, scaffolds, small molecules, and bioactive growth factors [6,8].
Rosuvastatin is a potent HMG-CoA reductase inhibitor that helps reduce plasma cholesterol levels by modulating hepatic cholesterol biosynthesis. Apart from its primary action, RSV exhibits significant anti-inflammatory effects by augmenting nitric oxide production, which inhibits P-selectin synthesis by endothelial cells [7,8,9,10,11]. This is evidenced by lowered C-reactive protein levels [16,17,18,19]. Its systemic application in rat models of arthritis has shown its capacity to curb bone resorption [19].
As a synthetic HMG-CoA reductase inhibitor, RSV primarily acts to lower cholesterol by attenuating hepatic biosynthesis [16]. However, by modulating activity along the mevalonate pathway, RSV additionally demonstrates secondary effects, including decreased oxidative stress, elevated endothelial progenitor cells, and suppression of inflammatory cytokines. Such mechanisms likely contribute to findings of hastened periodontal and bone defect healing when RSV is delivered locally in some preclinical models [19,20].
RSV has been shown to upregulate BMP-2 and other promoters of osteoblast maturation while inhibiting osteoclastogenesis—indicating the capacity to both stimulate bone formation and limit deleterious resorption [9,10,21,22]. This dual anabolic and anti-catabolic functionality highlights unique promise for the use of RSV in regenerating lost osseous tissues. However, despite this osteogenic potential, RSV has yet to be specifically assessed as a therapeutic option to preserve alveolar bone following dental extractions—a common clinical scenario requiring bone augmentation [20].
A systematic review conducted by Bertl et al. [19] compiled evidence from preclinical in vivo trials to evaluate the effects of statins on periodontal disease models and periodontal defects. The review found that systemic and local statin therapy, using simvastatin, atorvastatin, or RSV, had largely positive impacts on promoting gains in the alveolar bone. However, only a few studies specifically researched the localized delivery of statins within bone defects, and no studies investigated the results of statin-impregnated collagen sponges for alveolar repair after tooth extraction, which is a common cause of ridge defects requiring regeneration. Given RSV’s potent osteogenic stimulation coupled with anti-inflammatory actions, our group aimed to assess its regenerative potential for post-extraction alveolar defects. Therefore, the present research aimed to evaluate the osteogenic potential of RSV solution associated with collagen sponges in post-extraction rat alveoli.

2. Materials and Methods

2.1. Experimental Design and Ethical Considerations

Thirty female Wistar rats weighing 180–210 g and aged 3–4 months were randomly assigned to three experimental groups and underwent research at Fluminense Federal University. Group I had dental sockets filled with a blood clot (CS), group II had dental sockets filled with collagen sponge (EC), and group III had collagen sponges associated with RSV [21,22]. This study underwent review by the Ethics Committee on the Use of Animals at the Fluminense Federal University (CEUA-UFF), with protocol number 2999010620.

2.2. Sample Size Calculation

For the determination of the appropriate sample size in our investigation, the authors employed a power analysis grounded on findings from a preceding study that assessed a similar variable of interest under comparable conditions, thereby enabling us to estimate the required effect size [23]. It was ascertained that a minimum of five subjects per group would be necessary to achieve 90% power to detect the anticipated effect size, with a significance level set at 5%. This calculation was predicated on observing a statistically significant difference in the primary outcome between the control and experimental groups. As per the inclusion and exclusion criteria presented in the previous study [23], 30 female Wistar rats weighing an average of 200 g were randomly allocated to three experimental groups. These groups were further subdivided across two evaluation periods, set 07 and 42 days post-surgery, resulting in 5 animals per group for each time interval.

2.3. Surgical Procedures

All procedures that could result in anxiety and/or pain in the animals were carried out under general anesthesia by an experienced veterinarian. The animals were deprived of food (but not water) for 6 h before the surgical procedure and weighed at the time of surgery with a precision digital scale [23]. Anesthetic inductions and maintenance were performed using 5 mg/kg midazolam, 10 mg/kg xylazine, and 100 mg/kg ketamine. These drugs were mixed in the same syringe and administered intramuscularly.
After verifying the absence of reflexes to pain stimuli, the animal was positioned in dorsal decubitus on the operating table, and the procedure was performed with sterilized surgical fields, isolating the region to be operated on [23]. Initially, an intrasulcular incision was made in the animal’s upper incisors with a number 15 c surgical blade, and immediately afterward, periosteal mucus detachment from the region was performed using a periotome.
After this exposure, the animal’s right upper incisor was dislocated and removed using a periotome. Afterward, the investigators assigned the animals randomly to one of three experimental groups: group I—dental sockets filled with a blood clot; group II—dental sockets filled with collagen sponge measuring 2.5 mm in all dimensions; and group III—collagen sponge with dimensions of 2.5 mm × 2.5 mm × 2.5 mm saturated with 0.4 mL of 1.2% RSV solution in sorbitol using a 1 mL syringe and 25 × 7 needle.
At the end of the surgical procedures, type “8” sutures were placed with Nylon 5.0 thread. All animals were observed daily to evaluate and record any post-surgical complications. The animals received meloxicam intramuscularly (15 mg/1.5 mL: 1 mg/kg every 24 h) and tramadol hydrochloride (10 mg/kg subcutaneously every 12 h) for a period of 3 days as post-operative medication. For anesthetic recovery, the rats were returned to the mini-isolators and allowed food and water ad libitum.

2.4. RSV Formulation

The RSV formulation was prepared in accordance with Pradeep et al.’s preclinical studies [21,22]. Stein et al. [24] demonstrated that reducing the dose of simvastatin from 2.2 mg to 0.5 mg promoted a reduction in inflammation to a more clinically acceptable level without sacrificing bone growth potential, which was 45% at this concentration, as well as a reduction in bone edema. As it was difficult to maintain an acceptable viscosity at this concentration, a 1.2% concentration of simvastatin was used due to its better fluidity through the syringe needle. Since RSV belongs to the same class and has the same dosage type, the same concentration was used [25]; in this study, a sorbitol-based solution (a biocompatible sugar) was used with the aim of keeping the formulation fluid enough to saturate the collagen sponge at a greater volume without the risk of losing the infiltrated content at the time of deposition of the material in the alveolus, thus achieving greater control of the concentration of RSV deposited in the region of interest.

2.5. Collagen Sponge

As a carrier of RSV, a collagen sponge of porcine origin was used (Hemospon®, Maquira Production Industry, Maringá-PR, Brazil) [9,20].

2.6. Descriptive Microscopic Analysis

A bright-field light microscope was used for the descriptive histological analysis of the slides. Image capture was performed using a camera attached to the microscope, which was associated with high-resolution software (OLYMPUS® SC100, Tokyo, Japan). The microscope was equipped with 4× objective lenses to capture a broader view of the area of interest and 40× lenses to capture greater cellular and tissue details. During the observation, each slide was examined for the presence of newly formed bone, biomaterial (if any), connective tissue, and the presence or absence of inflammatory cells.

2.7. Histomorphometric Analysis

Digital images of the slides stained with hematoxylin and eosin (HE) were obtained using a bright-field light microscope. Five consecutive scan fields corresponding to the area of interest, without overlap, were captured by high-resolution software with a 40× objective. In each photomicrograph, areas corresponding to newly formed bone were classified; space not occupied by tissue or biomaterial (which, in the 7-day group, referred to the space filled by the reabsorbed collagen sponge) was considered as “others” in the analysis and connective tissue, being the capture interface made available by Image J® M software 1.45v. 4.5.0.29 (National Institutes of Health, Bethesda, MD, USA). The results were automatically transferred to a Microsoft Excel® spreadsheet (Windows Office 2016, Redmond, WA, USA) for subsequent statistical analysis. Statistical analysis was performed by a single observer blinded to the experimental groups.

2.8. Statistical Analysis

After applying the Shapiro–Wilk normality test, the data were considered non-normal. The quantitative description of the variables neoformed bone, residual sponge, and connective tissue was realized through non-parametric description using the median and interquartile range. The Kruskal–Wallis test and Dunn’s post-test were applied to investigate statistical differences between groups in the same experimental period regarding newly formed bone and connective tissue variables. The Mann–Whitney test was used to evaluate statistical differences between the different periods (7 versus 42 days) for all groups. For the residual sponge variable, only the Mann–Whitney test was applied. The variability of the measurements was evaluated with a significance level of 5%. Analysis was performed using GraphPad PRISM 8.3 software (Inc., La Jolla, CA, USA).

3. Results

3.1. Histology

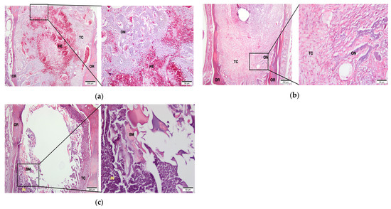
Over a period of 7 days (Figure 1), the control group with a clot-filled defect presented a space filled with delicate trabeculae of newly formed bone interspersed with connective tissue, starting from the periphery of the defect towards the center. Intense osteoblastic activity was noted, as well as an abundant number of red blood cells in the same region. The group with collagen sponge, in the same period, presented a defect filled with a large amount of connective tissue, interspersed with biomaterial (collagen sponge) and mononuclear inflammatory infiltrate and, on the periphery, few trabeculae of newly formed bone. In the RSV group, the defect was filled with circular “lakes” and the presence of biomaterial throughout, interspersed with delicate bundles of connective tissue with foci of mononuclear inflammatory infiltrate.
Over a period of 42 days (Figure 2), the clot group presented an alveolus filled almost entirely with trabeculae of mature bone, interspersed with delicate bundles of connective tissue located in the most central portion of the defect. In the collagen sponge group, the study alveolus had an interior filled with connective tissue and foci of mononuclear inflammation. Trabeculae of mature bone were also noted to progress centripetally from the periphery of the alveolus to its center, with little osteoblastic activity. The RSV group presented the same characteristics as the collagen sponge group, where bone growth occurred in a centripetal direction, with the presence of connective tissue and foci of inflammatory infiltrate in its central portion.

3.2. Histomorphometry

Following the histomorphometric analysis of the groups, the percentiles of the amount of bone formed, connective tissue, and collagen sponge were defined for the 7-day period; during the 42-day period, the amount of bone tissue formed and the presence of connective tissue were assessed.
During the initial period, a higher average of bone formation was observed in the clot group (11.87%) compared to the other groups (collagen sponge: 0.31%, RSV: 0%). Within the groups where the collagen sponge was used, either as a control or as a carrier of RSV, a greater presence of collagen sponge was observed in the collagen sponge group (17.65%) in relation to the RSV group (15.93%). In the same period, a greater amount of connective tissue was also observed in the clot group (24%), followed by the RSV (15.93%) and collagen sponge (17.65%) groups.
During the 42-day period, the collagen sponge variable was not evaluated as, at this time, the presence of the biomaterial to be studied in the alveoli was not expected. Greater bone formation was observed to occur in the clot group (63.3%), followed by the collagen sponge group (35.70%) and the RSV group (26.33%)

3.3. Newly Formed Bone

Figure 3 presents the histomorphometric results of the newly formed bone from the different experimental groups after 7 and 42 days of implantation. At 7 days, the clot group showed greater bone formation (median 23.27; IQR 10.62–4.74) than the other groups (sponge group: median 2.25; IQR 3.42–1.53 and RSV group: median 0; IQR 0–0; p = 0.03 and 0.003, respectively). At 42 days, a time-dependent relationship was observed for the increase in newly formed bone in all experimental periods. During this period, the clot group (median 63.90; IQR 7.54–3.73) presented a better result of newly formed bone compared to the RSV group (median 26.33; IQR 4.78–2.14; p = 0.003).

3.4. Waste Sponge

After 7 days, no statistical differences were observed between the sponge group (median 17.60; IQR 21.34–9.54) and RSV group (median 15.93; IQR 19.34–8.65). After 42 days, no sponge residue was observed in both groups (median 0.0). There was a significant reduction in the sponge group after 42 days when compared to the previous experimental period (p = 0.04).

3.5. Connective Tissue

After 7 days, there was no difference in connective tissue volume between the tested groups. Over the 42-day period, the clot group (median 36.10; IQR 10.62–4.74) had a lower percentage of connective tissue compared to the RSV group (median 85.02; IQR 17.58–7.86; p = 0.006). A decrease in the volume of connective tissue was observed in the clot group 42 days after surgery compared to the previous experimental group.

4. Discussion

This study evaluated the action of RSV in alveolar bone repair in non-critical defects in Wistar rats both quantitatively (through histomorphometry) and qualitatively (through slide analysis). Rats were used in this study due to their ease of availability and surgical handling.
Studies have shown that statins have positive effects when used systemically [7,10], with a decrease in the rate of bone reabsorption being observed in patients with osteopenia or osteoporosis, as well as when used topically in patients with bone loss due to periodontal disease, where a decrease in inflammatory levels in the region was also observed, denoting another favorable attribute.
Current studies have used a model where statins are added to methylcellulose as a carrier [22,24] and added directly to the defect or to resorbable sponges [26,27,28,29], fibrin-rich platelet concentrate (PRF), and bone grafts. However, there is no established standard regarding the concentration deposited in the study defect [19,20]. When deposited alone in the defect, the authors do not specify the volume of gel applied, and when added to the collagen sponge, they do not define the total volume deposited on the sponge to obtain the greatest saturation of the sponge with the gel. With the aim of eliminating these biases, this study accounted for two factors. First, a collagen sponge with acceptable dimensions to be introduced into the sample socket without requiring large deformations was obtained. The second factor involved the maximum volume required to saturate the collagen sponge. In a pilot study, it was observed that due to its density, the gel formulation did not allow the deposition of a large volume on the sponge. The alternative in this study was the formulation of RSV as a saturated solution in sorbitol as a lower-density carrier.
In 2010, Monjo et al. [29] described the use of RSV associated with a resorbable collagen sponge as a carrier for the regeneration of critical cortical defects in rabbits. In this work, three different concentrations of RSV were used in a saline medium: 0.1 mg/mL, 0.5 mg/mL, and 2.5 mg/mL. BMP-2 expression was evaluated and shown to increase in a dose-dependent pattern compared to the control group. The evaluation of trabecular bone by microtomography revealed no statistical differences in bone architecture between the groups. This study did not perform a histomorphometric analysis of the samples.
The present study did not reveal a significant benefit of using RSV-loaded collagen sponges for bone regeneration compared to collagen sponges alone. A previous clinical study by Pankaj et al. (2018) [30] demonstrated improved periodontal parameters with the use of RSV gels compared to placebo over 6–12 months. However, our preclinical research did not show enhanced bone formation histomorphometrically with RSV. Several factors may account for this discrepancy. In the authors’ opinion, the small non-critical-sized defects in rat alveoli may not allow sufficient RSV volumes for a biological effect. Additionally, the carrier vehicle itself may have contributed to inflammation, potentially impeding bone growth. Nevertheless, the pleiotropic actions of statins are biologically plausible for periodontal and bone regeneration. Further refinement of appropriate concentrations in larger animal models appears warranted to harness the tantalizing potential of these agents. Factors requiring optimization include the carrier vehicle to mitigate inflammation, while enabling targeted, sustained RSV release specifically to the bony microenvironment. Thus, while RSV remains promising for regenerative applications, the optimal approach for its utilization has yet to be determined.
At the molecular level, as previously described, RSV has some osteogenic properties by modulating the mevalonate pathway. Specifically, it inhibits HMG-CoA reductase, which suppresses downstream products like Rho, Rac, and Ras signaling proteins that normally inhibit BMP-2 activity [7,8,9,10,11,12,13,14,15]. BMP-2 is critical for osteoblast maturation and bone formation. Previous studies have shown that RSV upregulates BMP-2 expression in osteoblast cultures [10,11,12,13,14,15]. Hence, local delivery of RSV could theoretically stimulate alveolar bone regeneration by relieving inhibition of BMP-2.
However, in the present study, using post-extraction alveolar defects, collagen sponges soaked with 1.2% RSV solution failed to histomorphometrically enhance early bone healing. At the same time points, defects receiving no treatment or collagen sponge alone showed evidence of greater amounts of new bone and osteoblast activity. Thus, while RSV exhibits pro-osteogenic molecular actions, this did not yield measurable differences compared to controls for healing non-critical-sized alveolar wounds.
The efficacy differences between past in vitro studies [7,8,9,11,12,13] and the current in vivo findings could potentially be due to variability in the localized concentration of active RSV within bony defects. Further work is needed to optimize the dose, kinetics, and delivery system to harness the molecular osteogenic potential of statins like RSV for enhancing clinical bone regeneration.
Although the study did not provide clear evidence, RSV-loaded collagen sponges were used for alveolar bone regeneration. However, the osteogenic and anti-inflammatory properties of statins are promising [19,20]. Future research should focus on optimizing the delivery vehicles and concentrations of RSV for bone regeneration. More inert carrier matrices should be explored to minimize the effects of inflammation on the healing process. The authors suggest using larger animal models to evaluate increased absolute concentrations or volumes of RSV that match clinically sized bone defects. The addition of RSV to bone grafts or scaffolds with osteoconductive properties may provide synergistic actions, coupling the biological benefits of statins with biophysical cues to stimulate bone growth. In the future, localized RSV therapy or other statins could become valuable adjuncts to enhance clinical outcomes for a variety of bone regenerative procedures. These could be combined with current regenerative approaches such as guided bone regeneration, ridge augmentation, sinus lifts, and peri-implant defect treatment. While further development is needed, the potential benefits of locally administered RSV or other statins are promising.
This study has several limitations that should be considered. Firstly, there are only a limited number of anatomical areas where bone defects can be reproduced, and the alveolar area for the insertion of biomaterials is quite small. Additionally, the alveolar defect that was used may not have been large enough to allow for adequate volumes of RSV to produce a biological effect. The short duration of observation (six weeks) also limits the interpretation of early bone healing phases. Longer follow-up is necessary to ascertain the effects on bone maturation and remodeling. Furthermore, the carrier vehicle itself may have provoked inflammation that impaired regeneration. More inert vehicles should be investigated to optimize delivery. Finally, while histological and histomorphometric analyses provide useful two-dimensional information, advanced 3D micro-CT imaging and immunohistochemistry (IHC) are necessary for comprehensively characterizing the quality, architecture, cellularity, and protein expression profiles of regenerated bone. Micro-CT enables detailed 3D architectural analysis of regenerated bone, while IHC reveals the presence and localization of critical proteins involved in bone formation. The omission of these methods limits the interpretation of rosuvastatin’s efficacy. Further studies with larger samples, longer durations, optimized delivery vehicles, and robust analytical methods, including 3D micro-CT imaging and IHC, are imperative to elucidate the regenerative mechanisms and potential of statins like RSV. Despite these limitations, this work highlights the need for additional refinements to translate the promising potential of statins into effective bone regenerative strategies.

5. Conclusions

In this study, RSV did not improve bone healing after tooth extraction. However, further investigation focusing on its optimal use for more challenging bone defects may yield more clinically translatable data.

Author Contributions

Conceptualization, V.M. and T.Q.; methodology, T.Q., R.F.d.B.R., M.U., A.T.N.N.A., M.D.C.-M. and R.S.L.; software, T.Q. and S.C.S.; validation, V.M., K.J., I.D., C.F.M. and R.S.L.; formal analysis, T.Q.; investigation, T.Q.; resources, K.J., I.D. and C.F.M.; writing—original draft preparation, T.Q. and V.M.; writing—review and editing, C.F.M.; supervision, V.M. and R.S.L.; project administration, R.S.L.; funding acquisition, C.F.M. All authors have read and agreed to the published version of the manuscript.

Funding

This research received no external funding.

Institutional Review Board Statement

This study was approved by the Ethics Committee on the Use of Animals at the Fluminense Federal University (CEUA-UFF) with protocol number 2999010620 on 18 June 2020.

Informed Consent Statement

Not applicable.

Data Availability Statement

The data presented in this study are available on request from the corresponding author. The data are not publicly available due to ethical restrictions.

Acknowledgments

The authors wish to express their gratitude for the financial support provided to PPBi by CAPES, CNPq, and FAPERJ.

Conflicts of Interest

The authors declare no conflicts of interest.

References

  1. Ferguson, C.; Alpern, E.; Miclau, T.; Helms, J.A. Does adult fracture repair recapitulate embryonic skeletal formation? Mech. Dev. 1999, 87, 57–66. [Google Scholar] [CrossRef] [PubMed]
  2. Barralet, J.; Best, S.; Bonfield, W. Carbonate substitution in precipitated hydroxyapatite: An investigation into the effects of reaction temperature and bicarbonate ion concentration. J. Biomed. Mater. Res. 1998, 41, 79–86. [Google Scholar] [CrossRef]
  3. Cutando, A.; Gomez-Moreno, G.; Arana, C.; Munoz, F.; Lopez-Pena, M.; Stephenson, J.; Reiter, R.J. Melatonin stimulates osteointegration of dental implants. J. Pineal Res. 2008, 45, 174–179. [Google Scholar] [CrossRef] [PubMed]
  4. Roth, J.A.; Kim, B.G.; Lin, W.L.; Cho, M.I. Melatonin promotes osteoblast differentiation and bone formation. J. Biol. Chem. 1999, 274, 22041–22047. [Google Scholar] [CrossRef]
  5. Hamelin, B.A.; Turgeon, J. Hydrophilicity/lipophilicity: Relevance for the pharmacology and clinical effects of HMG-CoA reductase inhibitors. Trends Pharmacol. Sci. 1998, 19, 26–37. [Google Scholar] [CrossRef]
  6. Maron, D.J.; Fazio, S.; Linton, M.F. Current perspectives on statins. Circulation 2000, 101, 207–213. [Google Scholar] [CrossRef]
  7. Monjo, M.; Rubert, M.; Ellingsen, J.E.; Lyngstadaas, S.P. Rosuvastatin promotes osteoblast differentiation and regulates SLCO1A1 transporter gene expression in MC3T3-E1 cells. Cell Physiol. Biochem. 2010, 26, 647–656. [Google Scholar] [CrossRef] [PubMed]
  8. Garrett, I.R.; Mundy, G.R. The role of statins as potential targets for bone formation. Arthritis Res. 2002, 4, 237–240. [Google Scholar] [CrossRef]
  9. Mundy, G.; Garrett, R.; Harris, S.; Chan, J.; Chen, D.; Rossini, G.; Boyce, B.; Zhao, M.; Gutierrez, G. Stimulation of bone formation in vitro and in rodents by statins. Science 1999, 286, 1946–1949. [Google Scholar] [CrossRef] [PubMed]
  10. Baek, K.H.; Lee, W.Y.; Oh, K.W.; Tae, H.J.; Lee, J.M.; Lee, E.J.; Han, J.H.; Kang, M.I.; Cha, B.Y.; Lee, K.W.; et al. The effect of simvastatin on the proliferation and differentiation of human bone marrow stromal cells. J. Korean Med. Sci. 2005, 20, 438–444. [Google Scholar] [CrossRef] [PubMed]
  11. Ghosh-Choudhury, N.; Mandal, C.C.; Choudhury, G.G. Statin-induced Ras activation integrates the phosphatidylinositol 3-kinase signal to Akt and MAPK for bone morphogenetic protein-2 expression in osteoblast differentiation. J. Biol. Chem. 2007, 282, 4983–4993. [Google Scholar] [CrossRef]
  12. Maeda, T.; Matsunuma, A.; Kurahashi, I.; Yanagawa, T.; Yoshida, H.; Horiuchi, N. Induction of osteoblast differentiation indices by statins in MC3T3-E1 cells. J. Cell Biochem. 2004, 92, 458–471. [Google Scholar] [CrossRef]
  13. Ruiz-Gaspa, S.; Nogues, X.; Enjuanes, A.; Monllau, J.C.; Blanch, J.; Carreras, R.; Mellibovsky, L.; Grinberg, D.; Balcells, S.; Díez-Perez, A.; et al. Simvastatin and atorvastatin enhance gene expression of collagen type 1 and osteocalcin in primary human osteoblasts and MG-63 cultures. J. Cell Biochem. 2007, 101, 1430–1438. [Google Scholar] [CrossRef]
  14. Song, C.; Guo, Z.; Ma, Q.; Chen, Z.; Liu, Z.; Jia, H.; Dang, G. Simvastatin induces osteoblastic differentiation and inhibits adipocytic differentiation in mouse bone marrow stromal cells. Biochem. Biophys. Res. Commun. 2003, 308, 458–462. [Google Scholar] [CrossRef]
  15. Viereck, V.; Grundker, C.; Blaschke, S.; Frosch, K.H.; Schoppet, M.; Emons, G.; Hofbauer, L.C. Atorvastatin stimulates the production of osteoprotegerin by human osteoblasts. J. Cell Biochem. 2005, 96, 1244–1253. [Google Scholar] [CrossRef]
  16. Stalker, T.J.; Lefer, A.M.; Scalia, R. A new HMG-CoA reductase inhibitor, rosuvastatin, exerts anti-inflammatory effects on the microvascular endothelium: The role of mevalonic acid. Br. J. Pharmacol. 2001, 133, 406–412. [Google Scholar] [CrossRef]
  17. Landmesser, U.; Bahlmann, F.; Mueller, M.; Spiekermann, S.; Kirchhoff, N.; Schulz, S.; Manes, C.; Fischer, D.; de Groot, K.; Fliser, D.; et al. Simvastatin versus ezetimibe: Pleiotropic and lipid-lowering effects on endothelial function in humans. Circulation 2005, 111, 2356–2363. [Google Scholar] [CrossRef] [PubMed]
  18. Sakoda, K.; Yamamoto, M.; Negishi, Y.; Liao, J.K.; Node, K.; Izumi, Y. Simvastatin decreases IL-6 and IL-8 production in epithelial cells. J. Dent. Res. 2006, 85, 520–523. [Google Scholar] [CrossRef] [PubMed]
  19. Bertl, K.; Steiner, I.; Pandis, N.; Buhlin, K.; Klinge, B.; Stavropoulos, A. Statins in nonsurgical and surgical periodontal therapy. A systematic review and meta-analysis of preclinical in vivo trials. J. Periodontal Res. 2018, 53, 267–287. [Google Scholar] [CrossRef] [PubMed]
  20. Tahamtan, S.; Shirban, F.; Bagherniya, M.; Johnston, T.P.; Sahebkar, A. The effects of statins on dental and oral health: A review of preclinical and clinical studies. J. Transl. Med. 2020, 18, 155. [Google Scholar] [CrossRef] [PubMed]
  21. Pradeep, A.R.; Garg, V.; Kanoriya, D.; Singhal, S. Platelet-Rich Fibrin With 1.2% Rosuvastatin for Treatment of Intrabony Defects in Chronic Periodontitis: A Randomized Controlled Clinical Trial. J. Periodontol. 2016, 87, 1468–1473. [Google Scholar] [CrossRef]
  22. Pradeep, A.R.; Karvekar, S.; Nagpal, K.; Patnaik, K.; Raju, A.; Singh, P. Rosuvastatin 1.2 mg In Situ Gel Combined With 1:1 Mixture of Autologous Platelet-Rich Fibrin and Porous Hydroxyapatite Bone Graft in Surgical Treatment of Mandibular Class II Furcation Defects: A Randomized Clinical Control Trial. J. Periodontol. 2016, 87, 5–13. [Google Scholar] [CrossRef] [PubMed]
  23. de Almeida, C.D.; Sartoretto, S.C.; Alves, A.T.N.N.; de Brito Resende, R.F.; de Albuquerque Calasans-Maia, J.; Moraschini, V.; Rossi, A.; Granjeiro, J.M.; Sacco, R.; Calasans-Maia, M.D. Does Melatonin Associated with Nanostructured Calcium Phosphate Improve Alveolar Bone Repair? Medicina (Kaunas) 2022, 58, 1720. [Google Scholar] [CrossRef] [PubMed]
  24. Stein, D.; Lee, Y.; Schmid, M.J.; Killpack, B.; Genrich, M.A.; Narayana, N.; Cullen, D.M.; Reinhardt, R.A.; Marx, D.B. Local simvastatin effects on mandibular bone growth and inflammation. J. Periodontol. 2005, 76, 1861–1870. [Google Scholar] [CrossRef] [PubMed]
  25. Pradeep, A.R.; Thorat, M.S. Clinical effect of subgingivally delivered simvastatin in the treatment of patients with chronic periodontitis: A randomized clinical trial. J. Periodontol. 2010, 81, 214–222. [Google Scholar] [CrossRef] [PubMed]
  26. Makras, P.; Anastasilakis, A.D.; Polyzos, S.A.; Bisbinas, I.; Sakellariou, G.T.; Papapoulos, S.E. No effect of rosuvastatin in the zoledronate-induced acute-phase response. Calcif. Tissue Int. 2011, 88, 402–408. [Google Scholar] [CrossRef] [PubMed]
  27. Lazzerini, P.E.; Capperucci, C.; Spreafico, A.; Capecchi, P.L.; Niccolini, S.; Ferrata, P.; Frediani, B.; Galeazzi, M.; Laghi-Pasini, F. Rosuvastatin inhibits spontaneous and IL-1beta-induced interleukin-6 production from human cultured osteoblastic cells. Jt. Bone Spine 2013, 80, 195–200. [Google Scholar] [CrossRef] [PubMed]
  28. Ibrahim, H.K.; Fahmy, R.H. Localized rosuvastatin via implantable bioerodible sponge and its potential role in augmenting bone healing and regeneration. Drug Deliv. 2016, 23, 3181–3192. [Google Scholar] [CrossRef]
  29. Monjo, M.; Rubert, M.; Wohlfahrt, J.C.; Ronold, H.J.; Ellingsen, J.E.; Lyngstadaas, S.P. In vivo performance of absorbable collagen sponges with rosuvastatin in critical-size cortical bone defects. Acta Biomater. 2010, 6, 1405–1412. [Google Scholar] [CrossRef]
  30. Pankaj, D.; Sahu, I.; Kurian, I.G.; Pradeep, A.R. Comparative evaluation of subgingivally delivered 1.2% rosuvastatin and 1% metformin gel in treatment of intrabony defects in chronic periodontitis: A randomized controlled clinical trial. J. Periodontol. 2018, 89, 1318–1325. [Google Scholar] [CrossRef]
Figure 1. (a) The 7-day clot group containing residual bone (OR) around the post-extraction socket, red blood cell concentrate (HE) in its central portion, connective tissue (TC), and newly formed bone (ON). (b) The 7-day collagen sponge group with gaps previously filled with biomaterial interspersing the central portion with connective tissue. (c) The 7-day RSV group containing inflammatory infiltrate (IN) and biomaterial waste (BM).
Figure 1. (a) The 7-day clot group containing residual bone (OR) around the post-extraction socket, red blood cell concentrate (HE) in its central portion, connective tissue (TC), and newly formed bone (ON). (b) The 7-day collagen sponge group with gaps previously filled with biomaterial interspersing the central portion with connective tissue. (c) The 7-day RSV group containing inflammatory infiltrate (IN) and biomaterial waste (BM).
Applsci 14 02415 g001
Figure 2. (a) The 42-day clot group containing residual bone (OR) around the post-extraction socket, newly formed bone (ON), and connective tissue (CT) in the central portion. (b) The 42-day collagen sponge group presenting a central portion with connective tissue and newly formed bone on the periphery. (c) The 42-day RSV group with the same growth pattern as the collagen sponge group.
Figure 2. (a) The 42-day clot group containing residual bone (OR) around the post-extraction socket, newly formed bone (ON), and connective tissue (CT) in the central portion. (b) The 42-day collagen sponge group presenting a central portion with connective tissue and newly formed bone on the periphery. (c) The 42-day RSV group with the same growth pattern as the collagen sponge group.
Applsci 14 02415 g002
Figure 3. (a) Percentage of newly formed bone in the experimental groups tested after 7 and 42 days of implantation. Results are presented as median and IQR (n = 5). (*) Represents the statistical difference between different experimental periods for the same group. The horizontal bar represents the statistical differences between groups for the same period. (b) The percentage of residual sponge in the experimental groups tested (sponge and RSV) after 7 and 42 days of implantation. Results are presented as median and IQR (n = 5). * p = 0.04 represents the statistical difference between different experimental periods for the same group. (c) Percentage of connective tissue in the experimental groups tested after 7 and 42 days of implantation. Results are presented as median and IQR (n = 5). (*) represents the statistical difference between different experimental periods for the same group. The horizontal bar represents the statistical differences between groups for the same period.
Figure 3. (a) Percentage of newly formed bone in the experimental groups tested after 7 and 42 days of implantation. Results are presented as median and IQR (n = 5). (*) Represents the statistical difference between different experimental periods for the same group. The horizontal bar represents the statistical differences between groups for the same period. (b) The percentage of residual sponge in the experimental groups tested (sponge and RSV) after 7 and 42 days of implantation. Results are presented as median and IQR (n = 5). * p = 0.04 represents the statistical difference between different experimental periods for the same group. (c) Percentage of connective tissue in the experimental groups tested after 7 and 42 days of implantation. Results are presented as median and IQR (n = 5). (*) represents the statistical difference between different experimental periods for the same group. The horizontal bar represents the statistical differences between groups for the same period.
Applsci 14 02415 g003
Disclaimer/Publisher’s Note: The statements, opinions and data contained in all publications are solely those of the individual author(s) and contributor(s) and not of MDPI and/or the editor(s). MDPI and/or the editor(s) disclaim responsibility for any injury to people or property resulting from any ideas, methods, instructions or products referred to in the content.

Share and Cite

MDPI and ACS Style

Queiroz, T.; Moraschini, V.; Sartoretto, S.C.; Neves Novellino Alves, A.T.; de Brito Resende, R.F.; Uzeda, M.; Javid, K.; Deylami, I.; Calasans-Maia, M.D.; Mourão, C.F.; et al. Evaluation of Rosuvastatin Solution in Post-Extraction Alveolar Bone Repair: An In Vivo Research Study. Appl. Sci. 2024, 14, 2415. https://doi.org/10.3390/app14062415

AMA Style

Queiroz T, Moraschini V, Sartoretto SC, Neves Novellino Alves AT, de Brito Resende RF, Uzeda M, Javid K, Deylami I, Calasans-Maia MD, Mourão CF, et al. Evaluation of Rosuvastatin Solution in Post-Extraction Alveolar Bone Repair: An In Vivo Research Study. Applied Sciences. 2024; 14(6):2415. https://doi.org/10.3390/app14062415

Chicago/Turabian Style

Queiroz, Tiago, Vittorio Moraschini, Suelen Cristina Sartoretto, Adriana Terezinha Neves Novellino Alves, Rodrigo Figueiredo de Brito Resende, Marcelo Uzeda, Kayvon Javid, Ilia Deylami, Monica Diuana Calasans-Maia, Carlos Fernando Mourão, and et al. 2024. "Evaluation of Rosuvastatin Solution in Post-Extraction Alveolar Bone Repair: An In Vivo Research Study" Applied Sciences 14, no. 6: 2415. https://doi.org/10.3390/app14062415

APA Style

Queiroz, T., Moraschini, V., Sartoretto, S. C., Neves Novellino Alves, A. T., de Brito Resende, R. F., Uzeda, M., Javid, K., Deylami, I., Calasans-Maia, M. D., Mourão, C. F., & Louro, R. S. (2024). Evaluation of Rosuvastatin Solution in Post-Extraction Alveolar Bone Repair: An In Vivo Research Study. Applied Sciences, 14(6), 2415. https://doi.org/10.3390/app14062415

Note that from the first issue of 2016, this journal uses article numbers instead of page numbers. See further details here.

Article Metrics

Back to TopTop