Transcranial Doppler Ultrasound and Transesophageal Echocardiography for Intraoperative Diagnosis and Monitoring of Patent Foramen Ovale in Non-Cardiac Surgery
Abstract
1. Introduction
2. Materials and Methods
2.1. Participants, Inclusion, and Exclusion Criteria
2.2. Ultrasound Technique and Flowchart
2.3. Postoperative Follow-Up
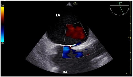
3. Results
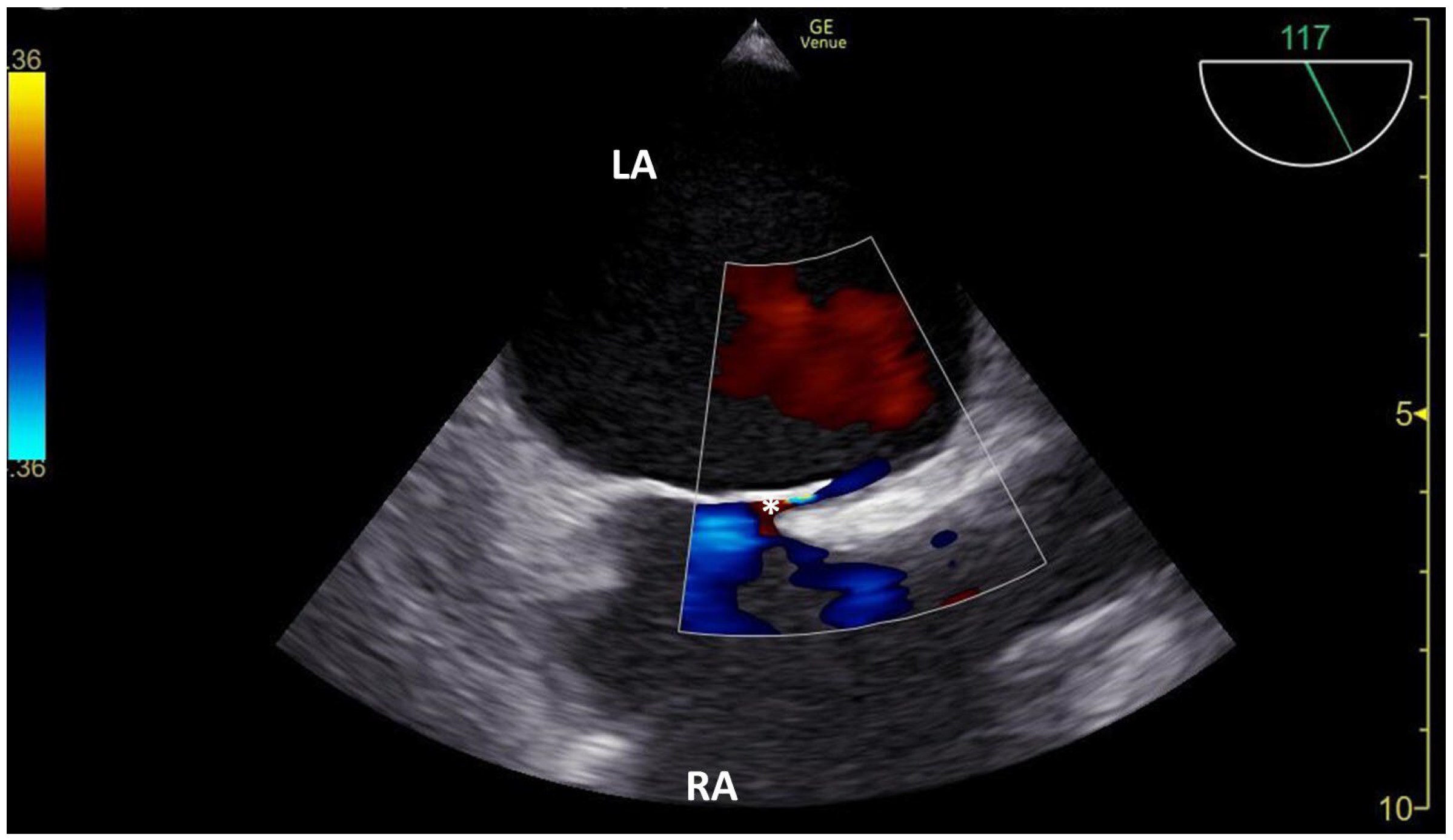
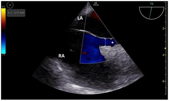
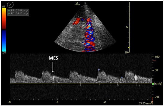
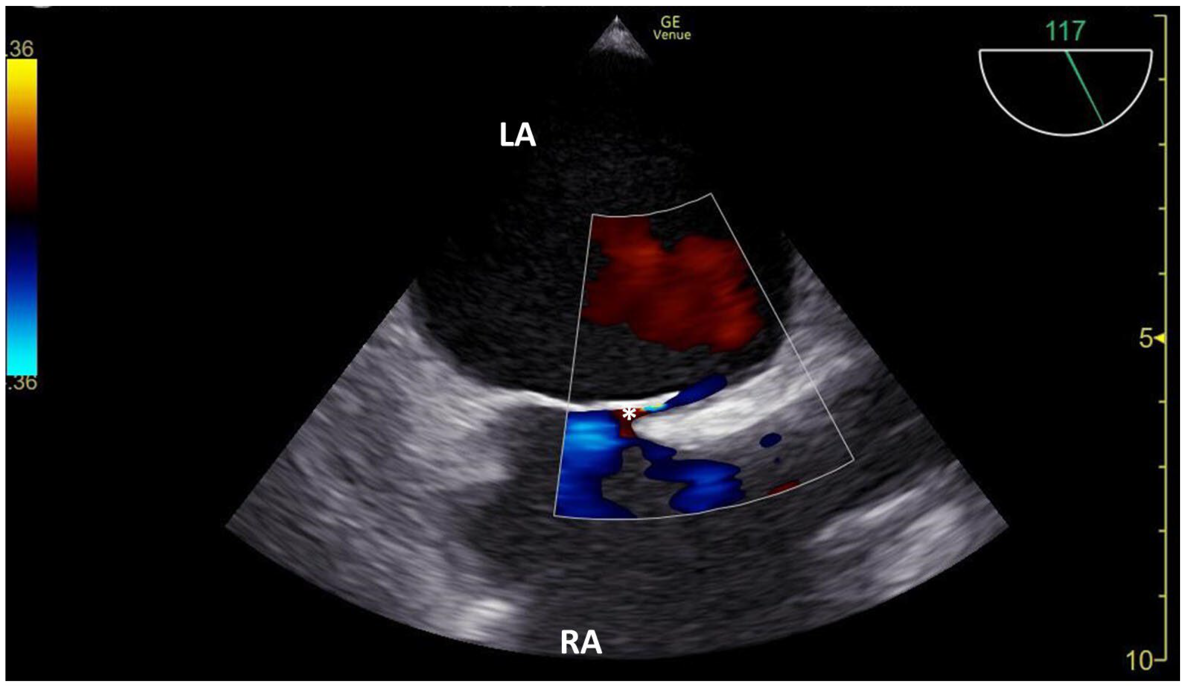
3.1. TCCD MES-Positive Case 1
3.2. TCCD MES-Positive Case 2
3.3. TCCD MES-Positive Case 3
4. Discussion
5. Conclusions
Author Contributions
Funding
Institutional Review Board Statement
Informed Consent Statement
Data Availability Statement
Conflicts of Interest
Abbreviations
| ACT | activated clotting time |
| ASA | American society of anesthesiologists |
| CAM-ICU | confusion assessment method in intensive care unit |
| COPD | chronic obstructive pulmonary disease |
| CT | computer tomography |
| HFNC | high-flow nasal cannula |
| ICU | intensive care unit |
| LT | liver transplantation |
| MELD | Mayo-end stage liver disease |
| MES | microembolic signals |
| NIV | non-invasive ventilation |
| PEEP | positive-end-expiratory pressure |
| PFO | patent foramen ovale |
| POCT | point-of-care testing device |
| RLS | right-to-left shunt |
| TCCD | Transcranial–ecocolor Doppler |
| TEE | transesophageal echocardiography |
References
- Mashour, G.A.; Shanks, A.M.; Kheterpal, S. Perioperative stroke and associated mortality after noncardiac, nonneurologic surgery. Anesthesiology 2011, 114, 1289–1296. [Google Scholar] [CrossRef] [PubMed]
- Mojadidi, M.K.; Zaman, M.O.; Elgendy, I.Y.; Mahmoud, A.N.; Patel, N.K.; Agarwal, N.; Tobis, J.M.; Meier, B. Cryptogenic Stroke and Patent Foramen Ovale. J. Am. Coll. Cardiol. 2018, 71, 1035–1043. [Google Scholar] [CrossRef]
- Rais, G.; Vassallo, P.; Schorer, R.; Pinto, B.B.; Putzu, A. Patent foramen ovale and perioperative stroke in noncardiac surgery: A systematic review and meta-analysis. Br. J. Anaesth. 2022, 129, 898–908. [Google Scholar] [CrossRef] [PubMed]
- Ng, P.Y.; Ng, A.K.; Subramaniam, B.; Burns, S.M.; Herisson, F.; Timm, F.P.; Med, C.; Rudolph, M.I.; Med, C.; Scheffenbichler, F.; et al. Association of Preoperatively Diagnosed Patent Foramen Ovale with Perioperative Ischemic Stroke. JAMA 2018, 319, 452–462. [Google Scholar] [CrossRef] [PubMed]
- Rodrigues, V.; Gomes, T.F.; Silva, A.S.; Rocha, R.; Ferrão, A. Platypnoea-Orthodeoxia Syndrome: An Intriguing Diagnosis. Eur. J. Case Rep. Intern. Med. 2019, 6, 001030. [Google Scholar] [CrossRef] [PubMed]
- Katsanos, A.H.; Psaltopoulou, T.; Sergentanis, T.N.; Frogoudaki, A.; Vrettou, A.R.; Ikonomidis, I.; Paraskevaidis, I.; Parissis, J.; Bogiatzi, C.; Zompola, C.; et al. Transcranial doppler vs. transthoracic echocardiography for the detection of patent foramen ovale in patients with cryptogenic cerebral ischemia: A systematic review and diagnostic test accuracy meta-analysis. Ann. Neurol. 2016, 79, 625–635. [Google Scholar] [CrossRef] [PubMed]
- Shi, F.; Sha, L.; Li, H.; Tang, Y.; Huang, L.; Liu, H.; Li, X.; Li, L.; Yang, W.; Kang, D.; et al. Recent progress in patent foramen ovale and related neurological diseases: A narrative review. Front. Neurol. 2023, 14, 1129062. [Google Scholar] [CrossRef]
- Mojadidi, M.K.; Bogush, N.; Caceres, J.D.; Msaouel, P.; Tobis, J.M. Diagnostic accuracy of transesophageal echocardiogram for the detection of patent foramen ovale: A meta-analysis. Echocardiography 2014, 31, 752–758. [Google Scholar] [CrossRef] [PubMed]
- Ramakrishna, H.; Patel, P.A.; Gutsche, J.T.; Kohl, B.A.; Savino, J.S.; Augoustides, J.G. Incidental patent foramen ovale in adult cardiac surgery: Recent evidence and management options for the perioperative echocardiographer. J. Cardiothorac. Vasc. Anesth. 2014, 28, 1691–1695. [Google Scholar] [CrossRef]
- Gertsvolf, N.; Andersen, E.; Othman, T.; Xu, P.; Phuong, N.; Butera, B.; Dharmavaram, N.; Schoenbaum, M.; Tun, H.; Yoon, A.; et al. Patent foramen ovale and neurologic events in patients undergoing liver transplantation. Cardiovasc. Revasc. Med. 2018, 19, 53–55. [Google Scholar] [CrossRef]
- Han, S.; Park, J.; Hong, S.H.; Park, C.S.; Choi, J.; Chae, M.S. Cardiovascular manifestation of end-stage liver disease and perioperative echocardiography for liver transplantation: Anesthesiologist’s view. Anesth. Pain. Med. 2022, 17, 132–144. [Google Scholar] [CrossRef] [PubMed]
- World Medical Association. World Medical Association Declaration of Helsinki: Ethical principles for medical research involving human subjects. JAMA 2013, 310, 2191–2194. [Google Scholar] [CrossRef] [PubMed]
- Good Clinical Practice. Available online: https://www.ema.europa.eu/en/human-regulatory-overview/research-development/compliance-research-development/good-clinical-practice (accessed on 1 April 2024).
- Pristipino, C.; Sievert, H.; D’Ascenzo, F.; Louis Mas, J.; Meier, B.; Scacciatella, P.; Hildick-Smith, D.; Gaita, F.; Toni, D.; Kyrle, P.; et al. European position paper on the management of patients with patent foramen ovale. General approach and left circulation thromboembolism. Eur. Heart J. 2019, 40, 3182–3195. [Google Scholar] [CrossRef] [PubMed]
- Koroneos, A.; Politis, P.; Malachias, S.; Manolis, A.S.; Vassilakopoulos, T. End-inspiratory occlusion maneuver during trans esophageal echocardiography for patent foramen ovale detection in intensive care unit patients. Intensive Care Med. 2007, 33, 1458–1462. [Google Scholar] [CrossRef] [PubMed]
- Hagen, P.T.; Scholz, D.G.; Edwards, W.D. Incidence and Size of Patent Foramen Ovale During the First 10 Decades of Life: An Autopsy Study of 965 Normal Hearts. Mayo Clin. Proc. 1984, 59, 17–20. [Google Scholar] [CrossRef] [PubMed]
- Ioannidis, S.G.; Mitsias, P.D. Patent Foramen Ovale in Cryptogenic Ischemic Stroke: Direct Cause, Risk Factor, or Incidental Finding? Front. Neurol. 2020, 11, 567. [Google Scholar] [CrossRef] [PubMed]
- Collado, F.M.S.; Poulin, M.F.; Murphy, J.J.; Jneid, H.; Kavinsky, C.J. Patent Foramen Ovale Closure for Stroke Prevention and Other Disorders. J. Am. Heart Assoc. 2018, 7, e007146. [Google Scholar] [CrossRef] [PubMed]
- Bezinover, D.; Mukhtar, A.; Wagener, G.; Wray, C.; Blasi, A.; Kronish, K.; Zerillo, J.; Tomescu, D.; Pustavoitau, A.; Gitman, M.; et al. Hemodynamic Instability During Liver Transplantation in Patients with End-stage Liver Disease: A Consensus Document from ILTS, LICAGE, and SATA. Transplantation 2021, 105, 2184–2200. [Google Scholar] [CrossRef] [PubMed]
- Cherian, T.P.; Chiu, K.; Gunson, B.; Bramhall, S.R.; Mayer, D.; Mirza, D.F.; Buckels, J.A. Pulmonary thromboembolism in liver transplantation: A retrospective review of the first 25 years. Transpl. Int. 2010, 23, 1113–1119. [Google Scholar] [CrossRef]
- Arcari, M.; Phillips, S.D.; Gibbs, P.; Rela, S.M.; Heaton, N.D. An investigation into the risk of air embolus during veno-venous bypass in orthotopic liver transplantation. Transplantation 1999, 68, 150–152. [Google Scholar] [CrossRef]
- Theochari, C.A.; Theochari, N.A.; Mylonas, K.S.; Papaconstantinou, D.; Giannakodimos, I.; Spartalis, E.; Patelis, N.; Schizas, D. Venous Thromboembolism Following Major Abdominal Surgery for Cancer: A Guide for the Surgical Intern. Curr. Pharm. Des. 2022, 28, 787–797. [Google Scholar] [CrossRef] [PubMed]
- Lee, M.S.; Wadia, S.; Yeghiazarians, Y.; Matthews, R.; White, C.J.; Herrmann, H.C.; O’Donnell, W.; McPherson, J.; Leesar, M.A.; Kreutz, R.P.; et al. Cardiology Assessment of Patients Undergoing Evaluation for Orthotopic Liver Transplantation. J. Soc. Cardiovasc. Angiogr. Interv. 2023, 2, 100528. [Google Scholar] [CrossRef]
- Mekontso Dessap, A.; Boissier, F.; Leon, R.; Carreira, S.; Campo, F.R.; Lemaire, F.; Brochard, L. Prevalence and prognosis of shunting across patent foramen ovale during acute respiratory distress syndrome. Crit. Care Med. 2010, 38, 1786–1792. [Google Scholar] [CrossRef] [PubMed]
- Shaikh, N.; Saif, A.S.; Nayeemuddin, M.; Kokash, O. Patent foramen ovale: Its significance in anesthesia and intensive care: An illustrated case. Anesth. Essays Res. 2012, 6, 94–97. [Google Scholar] [CrossRef] [PubMed]
- Atkinson, T.M.; Giraud, G.D.; Togioka, B.M.; Jones, D.B.; Cigarroa, J.E. Cardiovascular and Ventilatory Consequences of Laparoscopic Surgery. Circulation 2017, 135, 700–710. [Google Scholar] [CrossRef] [PubMed]
- Bennett, J.M.; Ehrenfeld, J.M.; Markham, L.; Eagle, S.S. Anesthetic management and outcomes for patients with pulmonary hypertension and intracardiac shunts and Eisenmenger syndrome: A review of institutional experience. J. Clin. Anesth. 2014, 26, 286–293. [Google Scholar] [CrossRef] [PubMed]
- Patel, P.A.; Hall, A.; Augoustides, J.G.T.; Patel, S.; Feinman, J.W.; Weber, B.; Gutsche, J.T.; Fabbro, M.; Maldonado, Y. Dynamic Shunting Across a Patent Foramen Ovale in Adult Cardiac Surgery-Perioperative Challenges and Management. J. Cardiothorac. Vasc. Anesth. 2018, 32, 542–549. [Google Scholar] [CrossRef] [PubMed]
- Gai, N.; Lavi, R.; Jones, P.M.; Lee, H.; Naudie, D.; Bainbridge, D. The use of point-of-care ultrasound to diagnose patent foramen ovale in elective hip and knee arthroplasty patients and its association with postoperative delirium. Can. J. Anaesth. 2018, 65, 619–626. [Google Scholar] [CrossRef] [PubMed]
- Mojadidi, M.K.; Gevorgyan, R.; Noureddin, N.; Tobis, J.M. The effect of patent foramen ovale closure in patients with platypnea-orthodeoxia syndrome. Catheter. Cardiovasc. Interv. 2015, 86, 701–707. [Google Scholar] [CrossRef]
- Laghlam, D.; Coroyer, L.; Martial, P.J.; Estagnasie, P.; Squara, P.; Nguyen, L.S. Risk factors and complications associated with intra-operative or post-operative identification of a PFO in cardiac surgery patients: A cohort study. Front. Neurol. 2023, 13, 1057479. [Google Scholar] [CrossRef]
- Fu, K.A.; DiNorcia, J.; Sher, L.; Velani, S.A.; Akhtar, S.; Kalayjian, L.A.; Sanossian, N. Predictive factors of neurological complications and one-month mortality after liver transplantation. Front. Neurol. 2014, 5, 275. [Google Scholar] [CrossRef]
- Guarino, M.; Benito-Leon, J.; Decruyenaere, J.; Schmutzhard, E.; Weissenborn, K.; Stracciari, A.; EFNS. EFNS guidelines on management of neurological problems in liver transplantation. Eur. J. Neurol. 2006, 13, 2–9. [Google Scholar] [CrossRef] [PubMed]
- Pruitt, A.A.; Graus, F.; Rosenfeld, M.R. Neurological complications of solid organ transplantation. Neurohospitalist 2013, 3, 152–166. [Google Scholar] [CrossRef]
- Zhu, L.; Zhou, H.; Xu, F.; Yang, H.; Li, P.; Sheng, Y.; Liu, P.; Kong, W.; Liu, X.; Yang, L.; et al. Hepatic Ischemia-Reperfusion Impairs Blood-Brain Barrier Partly Due to Release of Arginase from Injured Liver. Front. Pharmacol. 2021, 12, 724471. [Google Scholar] [CrossRef] [PubMed]
- Larsen, F.S.; Ejlersen, E.; Strauss, G.; Rasmussen, A.; Kirkegaard, P.; Hansen, B.A.; Secher, N. Cerebrovascular metabolic autoregulation is impaired during liver transplantation. Transplantation 1999, 68, 1472–1476. [Google Scholar] [CrossRef] [PubMed]
- Kumar, S.S.; Mashour, G.A.; Picton, P. Neurologic Considerations and Complications Related to Liver Transplantation. Anesthesiology 2018, 128, 1008–1014. [Google Scholar] [CrossRef] [PubMed]
- Gao, W.; Li, J.; Nguyen-Buckley, C.; Nguyen-Lee, J.; Wray, C.; Agopian, V.; Busuttil, R.W.; Steadman, R.H.; Xia, V.W. Intraoperative Hypertension and Thrombocytopenia Associated with Intracranial Hemorrhage After Liver Transplantation. Transplantation 2020, 104, 535–541. [Google Scholar] [CrossRef]
- Zheng, Y.; Villamayor, A.J.; Merritt, W.; Pustavoitau, A.; Latif, A.; Bhambhani, R.; Frank, S.; Gurakar, A.; Singer, A.; Cameron, A.; et al. Continuous cerebral blood flow autoregulation monitoring in patients undergoing liver transplantation. Neurocrit. Care 2012, 17, 77–84. [Google Scholar] [CrossRef]
- Weiss, N.; Thabut, D. Neurological Complications Occurring After Liver Transplantation: Role of Risk Factors, Hepatic Encephalopathy, and Acute (on Chronic) Brain Injury. Liver Transpl. 2019, 25, 469–487. [Google Scholar] [CrossRef]
- Joosten, A.; Lucidi, V.; Ickx, B.; Van Obbergh, L.; Germanova, D.; Berna, A.; Alexander, B.; Desebbe, O.; Carrier, F.M.; Cherqui, D.; et al. Intraoperative hypotension during liver transplant surgery is associated with postoperative acute kidney injury: A historical cohort study. BMC Anesthesiol. 2021, 21, 12. [Google Scholar] [CrossRef]
- Yancey, R. Anesthetic Management of the Hypertensive Patient: Part II. Anesth. Prog. 2018, 65, 206–213. [Google Scholar] [CrossRef] [PubMed]
- Melduni, R.M.; Koshino, Y.; Shen, W.K. Management of arrhythmias in the perioperative setting. Clin. Geriatr. Med. 2012, 28, 729–743. [Google Scholar] [CrossRef] [PubMed]
- Lindberg, A.P.; Flexman, A.M. Perioperative stroke after non-cardiac, non-neurological surgery. BJA Educ. 2021, 21, 59–65. [Google Scholar] [CrossRef] [PubMed]










| Patients | Age | Type of Surgery | MES | PFO Shunt | Extra-Cardiac Shunt | Neurologic Complication | Post-Operative ARF | Needs for Re-Intubation | ICU-LOS |
|---|---|---|---|---|---|---|---|---|---|
| 1 | 55 | LT | N | N | N | N | N | Y | 7 |
| 2 | 62 | LT | Y | Y | N | Y | N | N | 5 |
| 3 | 62 | LT | N | N | N | N | N | N | 4 |
| 4 | 67 | LT | N | N | N | N | N | N | 4 |
| 5 | 64 | LT | N | N | N | N | N | N | 5 |
| 6 | 65 | LT | Y | N | Y | N | N | N | 12 |
| 7 | 70 | LT | N | N | N | N | N | N | 5 |
| 8 | 59 | LT | N | N | N | N | N | N | 2 |
| 9 | 46 | LT | N | N | N | N | N | N | 2 |
| 10 | 64 | Other | Y | Y | N | N | Y | Y | 12 |
| Pts | MELD Na+ [32,33,37] | Acute Diseases [32,33,34,36,37,41,42,43] | MAP (mmHg) [37,38,39,40,41] | Chronic Diseases [32,44] | Ammonia (mcg/dL) [37,40] | Na+ Shift (mmol/L) [37,40] | Glucose Shift (mg/dL) [37,40] |
|---|---|---|---|---|---|---|---|
| 1 | 30 | Preop-AKI Preo-infections PRS | <65 | 43 | 5 | 39 | |
| 2 | 19 | Preop-AKI | <65 | COPD | 118 | 4 | 168 |
| 3 | 9 | PRS | <65 >105 | 50 | 2 | 98 | |
| 4 | 15 | 102 | 2 | 61 | |||
| 5 | 9 | PRS | <65 | COPD | 42 | 3 | 32 |
| 6 | 22 | Preop-infections | 49 | 6 | 153 | ||
| 7 | 17 | 88 | 6 | −26 | |||
| 8 | 14 | Preop-infections | >105 | COPD | 64 | 16 | 61 |
| 9 | 11 | PO-AKI | <65 | CKD | 39 | 8 | 43 |
| 10 | // | PO-AKI Preop-infections Peri-operative arrhythmias | COPD | // | 5 | 91 |
Disclaimer/Publisher’s Note: The statements, opinions and data contained in all publications are solely those of the individual author(s) and contributor(s) and not of MDPI and/or the editor(s). MDPI and/or the editor(s) disclaim responsibility for any injury to people or property resulting from any ideas, methods, instructions or products referred to in the content. |
© 2024 by the authors. Licensee MDPI, Basel, Switzerland. This article is an open access article distributed under the terms and conditions of the Creative Commons Attribution (CC BY) license (https://creativecommons.org/licenses/by/4.0/).
Share and Cite
Bianchini, A.; Vitale, G.; Romano, S.; Sbaraini Zernini, I.; Galeotti, L.; Cescon, M.; Ravaioli, M.; Siniscalchi, A. Transcranial Doppler Ultrasound and Transesophageal Echocardiography for Intraoperative Diagnosis and Monitoring of Patent Foramen Ovale in Non-Cardiac Surgery. Appl. Sci. 2024, 14, 4590. https://doi.org/10.3390/app14114590
Bianchini A, Vitale G, Romano S, Sbaraini Zernini I, Galeotti L, Cescon M, Ravaioli M, Siniscalchi A. Transcranial Doppler Ultrasound and Transesophageal Echocardiography for Intraoperative Diagnosis and Monitoring of Patent Foramen Ovale in Non-Cardiac Surgery. Applied Sciences. 2024; 14(11):4590. https://doi.org/10.3390/app14114590
Chicago/Turabian StyleBianchini, Amedeo, Giovanni Vitale, Stefano Romano, Irene Sbaraini Zernini, Lorenzo Galeotti, Matteo Cescon, Matteo Ravaioli, and Antonio Siniscalchi. 2024. "Transcranial Doppler Ultrasound and Transesophageal Echocardiography for Intraoperative Diagnosis and Monitoring of Patent Foramen Ovale in Non-Cardiac Surgery" Applied Sciences 14, no. 11: 4590. https://doi.org/10.3390/app14114590
APA StyleBianchini, A., Vitale, G., Romano, S., Sbaraini Zernini, I., Galeotti, L., Cescon, M., Ravaioli, M., & Siniscalchi, A. (2024). Transcranial Doppler Ultrasound and Transesophageal Echocardiography for Intraoperative Diagnosis and Monitoring of Patent Foramen Ovale in Non-Cardiac Surgery. Applied Sciences, 14(11), 4590. https://doi.org/10.3390/app14114590

