Hepatoprotective Effect of Alpinetin on Thioacetamide-Induced Liver Fibrosis in Sprague Dawley Rat
Abstract
1. Introduction
2. Materials and Methodologies
2.1. Conscience Declaration
2.2. Preparation of Alpinetin
2.3. Preparation of Thioacetamide
2.4. Preparation of Silymarin
2.5. Acute Toxicity Test and Experimental Rats
2.6. Laboratory Investigational Sprague Dawley Rats
2.7. Experimental Procedures
- Group 1 (normal group) rats nourished orally 10% Tween 20 (5 mL/kg) every day and inoculated intraperitoneal (i.p) 10% Tween 20 (5 mL/kg) three times weekly for two months.
- Group 2 (TAA group) rats fed by mouth 10% Tween 20 (5 mL/kg) injected i.p TAA (200 mg/kg) three times weekly for two months.
- Group 3 (Silymarin group) rats were administered orally Silymarin (50 mg/kg) daily injected i.p TAA (200 mg/ kg) three times every week for two months.
- Groups 4 and 5 (Alpinetin gavaged groups) rats nourished by mouth Alpinetin 30 mg/kg and 60 mg/kg daily, correspondingly. Rats have inserted i.p TAA (200 mg/kg) three times weekly for two months [33].
2.8. Macroscopically Examination of Liver
2.9. Histopathological Investigation of Liver
2.10. Immunohistochemistry
2.11. Endogenous Anti-Oxidant Enzymes Estimation
2.12. Biochemistry of Liver Functions
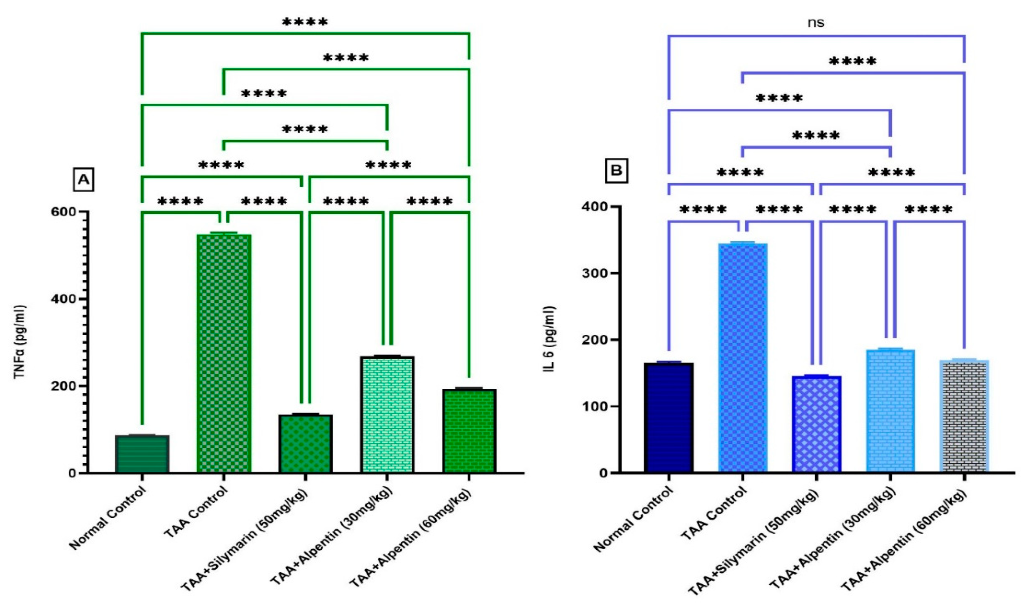
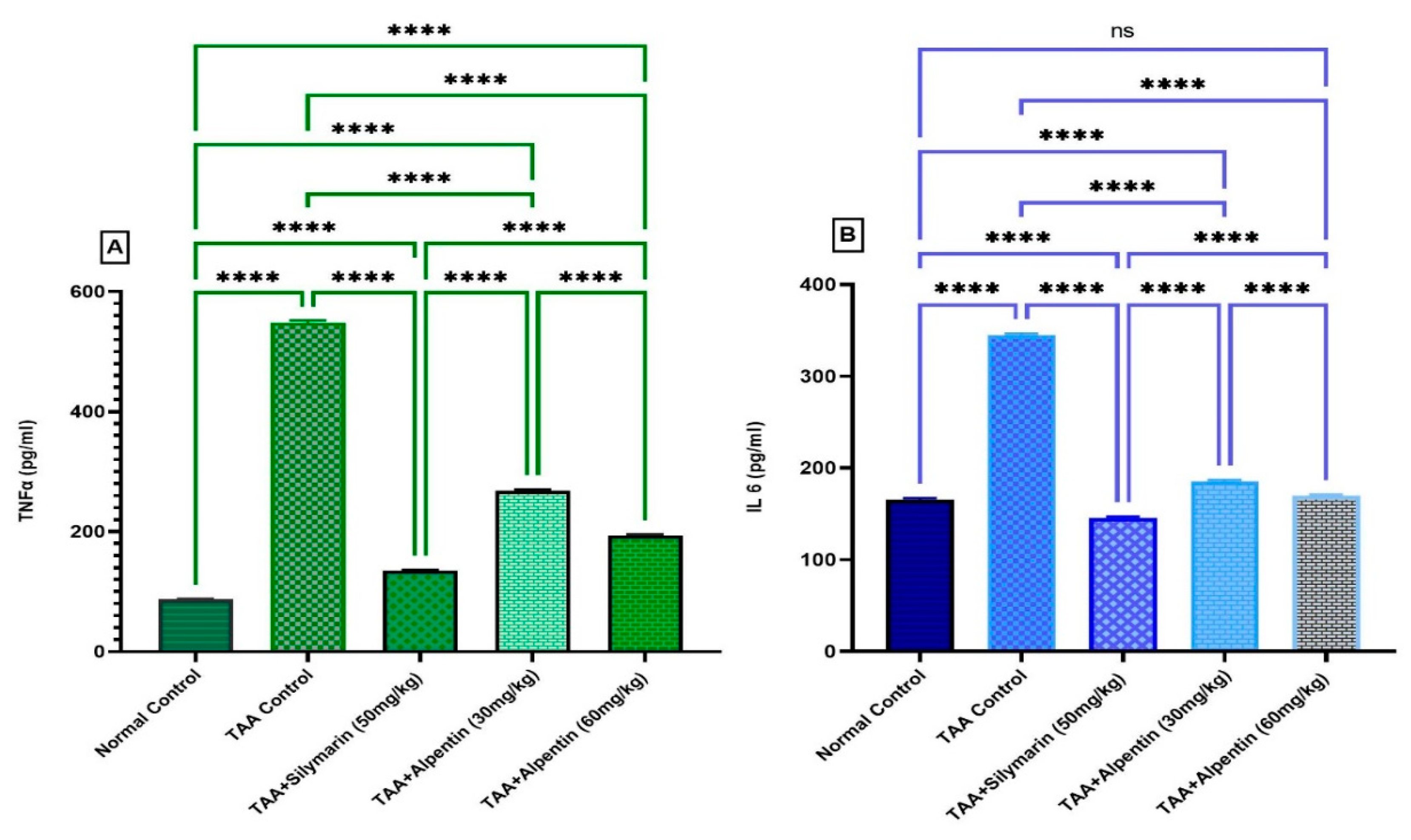
2.13. Evaluation of Inflammatory Cytokines (TNF-α and IL-6)
2.14. Statistical Analysis
3. Results
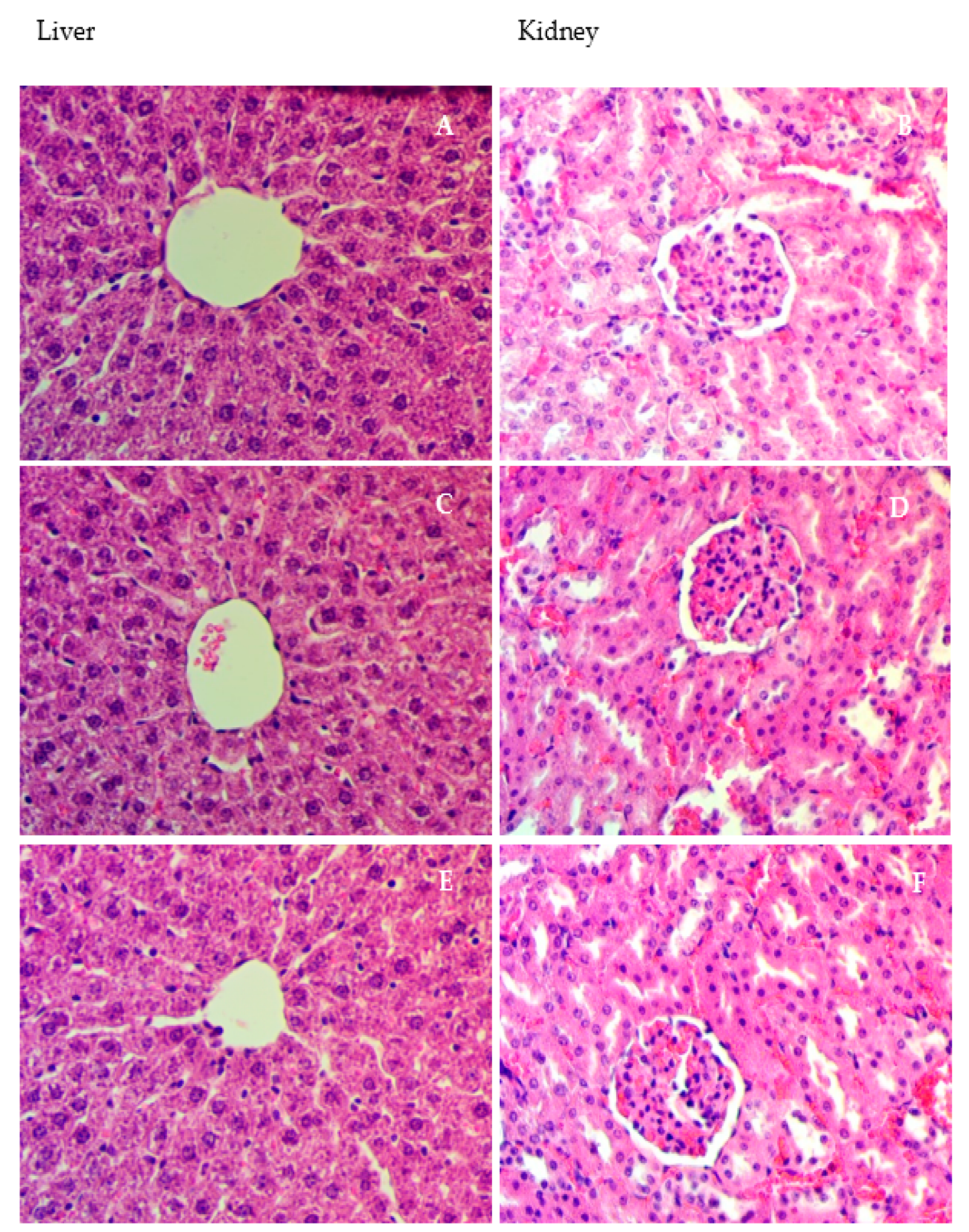
3.1. Acute Toxicity Test
3.2. Body and Liver Masses
3.3. Effect of Alpinetin on Anti-Oxidant Enzymes
3.4. Influence of Alpinetin on Biochemical Parameters
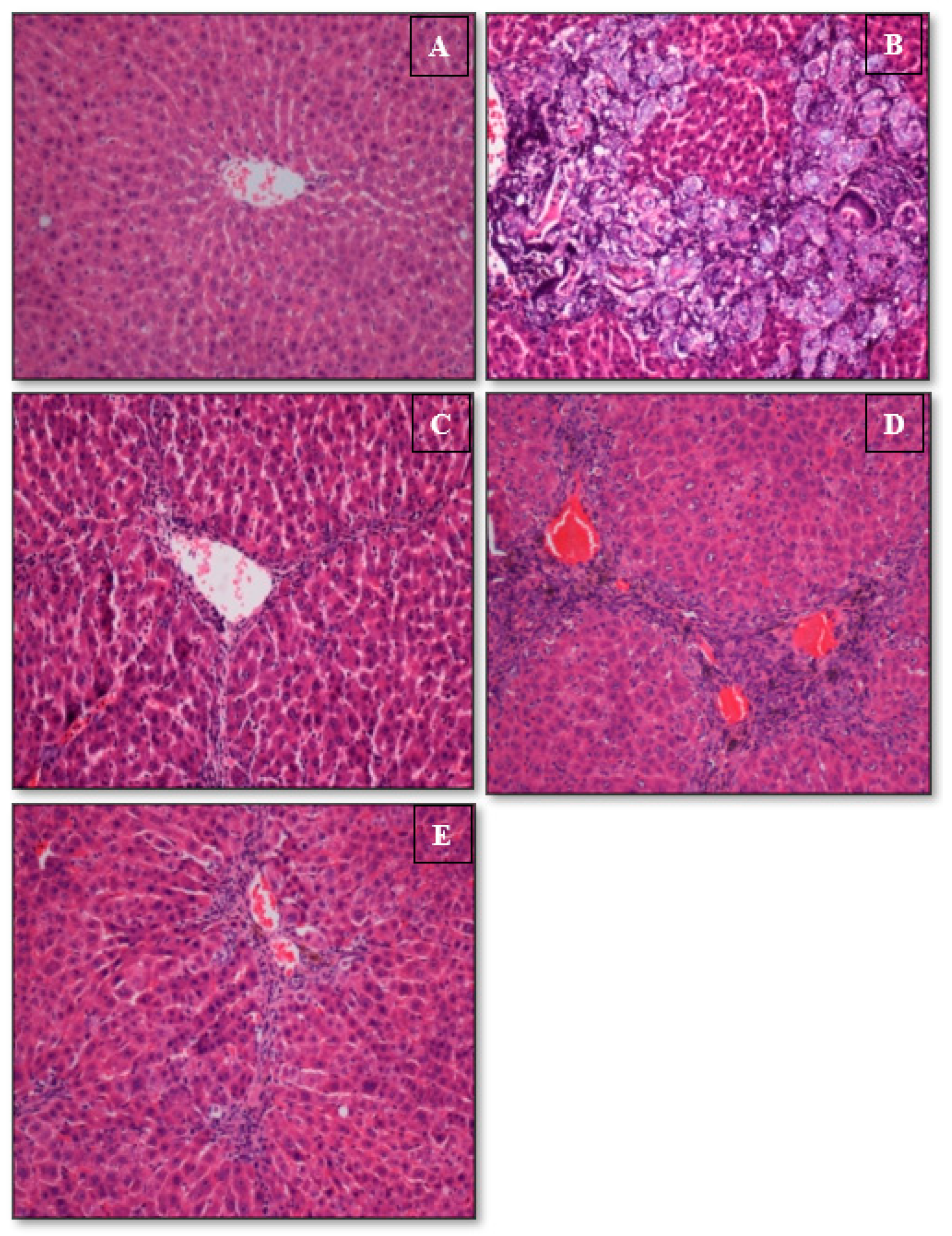
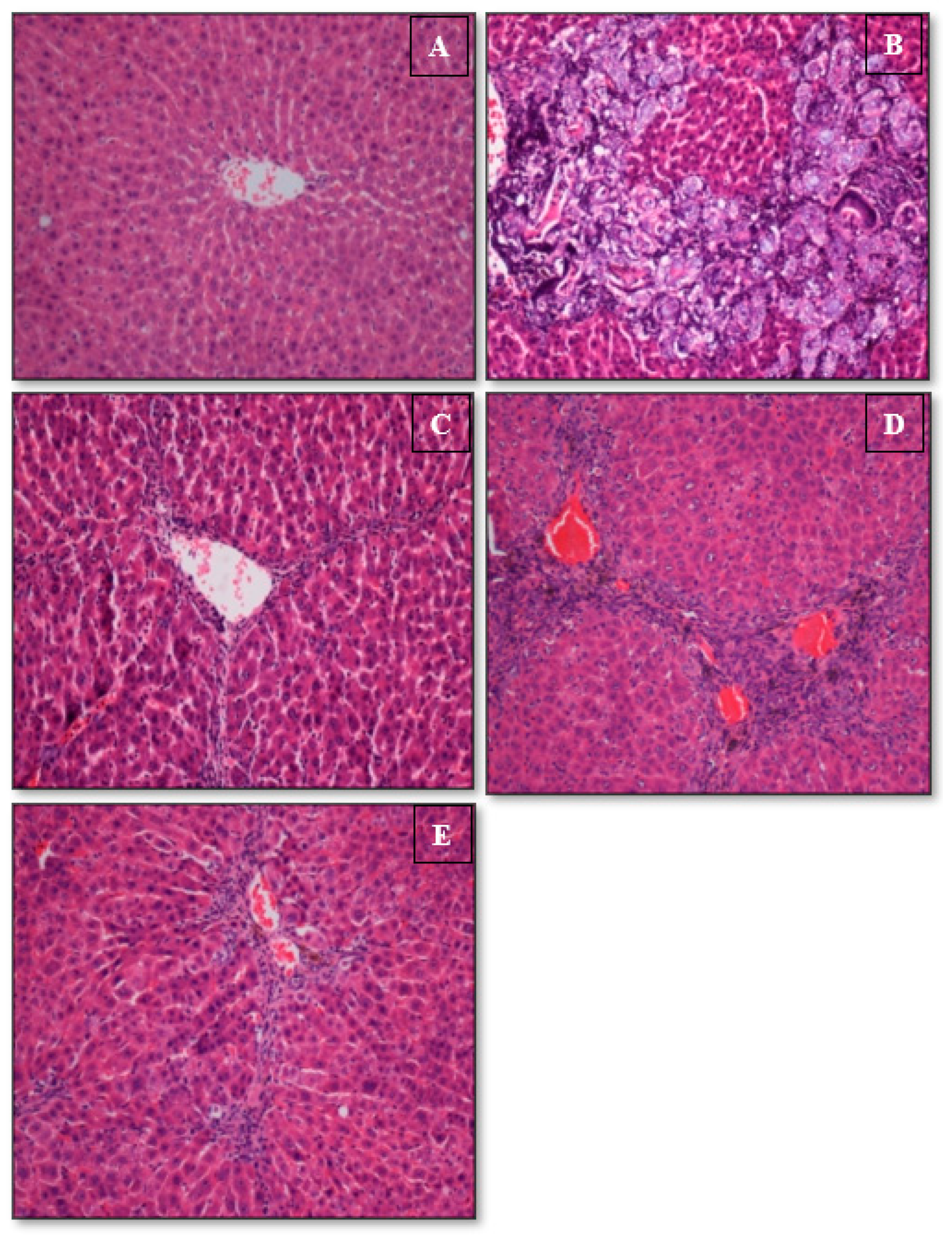
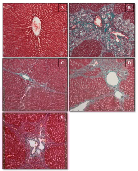
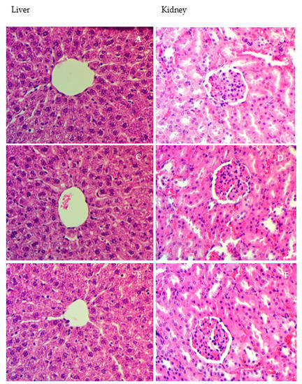
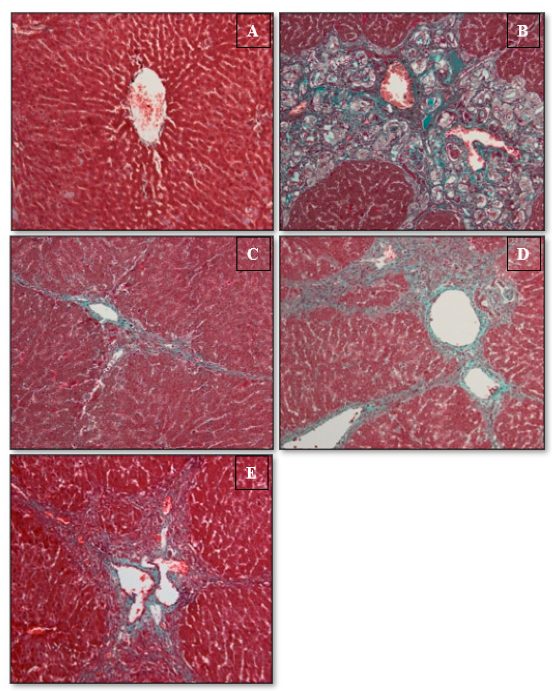
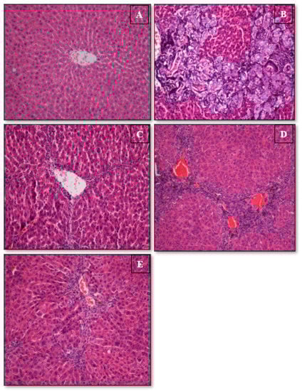
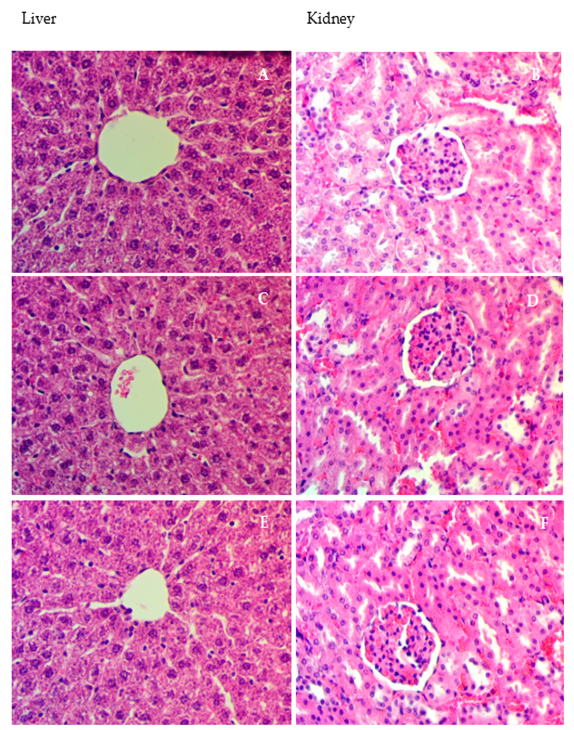
3.5. Morphology of Liver
3.6. Microscopically Investigation of Liver
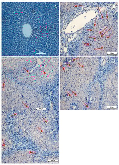
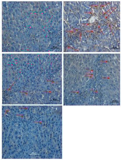
3.7. Immunohistochemically Staining of Hepatic Slices
3.7.1. PCNA Stains of Liver Slices
3.7.2. Alpha Smooth Muscle Actin (α-SMA) Stains
3.8. Influence of Alpinetin on Cytokines Level in Blood
4. Discussion
5. Conclusions
Author Contributions
Funding
Institutional Review Board Statement
Informed Consent Statement
Data Availability Statement
Conflicts of Interest
References
- Zaidi, S.N.F.; Mahboob, T. Hepatoprotective role of curcumin in rat liver cirrhosis. Pak. J. Pharm. Sci. 2020, 33, 1519–1525. [Google Scholar]
- Amin, Z.A.; Alshawsh, M.A.; Kassim, M.; Ali, H.M.; Abdulla, M.A. Gene expression profiling reveals underlying molecular mechanism of hepatoprotective effect of Phyllanthus niruri on thioacetamide-induced hepatotoxicity in Sprague Dawley rats. BMC Complement. Altern. Med. 2013, 13, 160. [Google Scholar] [CrossRef]
- Yang, H.Y.; Kim, K.S.; Lee, Y.H.; Park, J.H.; Kim, J.-H.; Lee, S.-Y.; Kim, Y.-M.; Kim, I.S.; Kacew, S.; Lee, B.M. Dendropanax morbifera ameliorates thioacetamide-induced hepatic fibrosis via TGF-β1/Smads pathways. Int. J. Pharm. Med. Biol. Sci. 2019, 15, 800. [Google Scholar] [CrossRef]
- Abood, W.N.; Bradosty, S.W.; Shaikh, F.K.; Salehen, N.A.; Farghadani, R.; Agha, N.F.S.; Al-Medhtiy, M.H.; Kamil, T.D.A.; Agha, A.S.; Abdulla, M.A. Garcinia mangostana peel extracts exhibit hepatoprotective activity against thioacetamide-induced liver cirrhosis in rats. J. Funct. Foods 2020, 74, 104200. [Google Scholar] [CrossRef]
- Ibrahim, S.A.; Mohamed, M.Z.; El-Tahawy, N.F.; Abdelrahman, A.M. Antifibrotic effects of bezafibrate and pioglitazone against thioacetamide-induced liver fibrosis in albino rats. Can. J. Physiol. Pharmacol. 2021, 99, 313–320. [Google Scholar] [CrossRef] [PubMed]
- Shareef, S.H.; Ibrahim, I.A.A.; Alzahrani, A.R.; Al-Medhtiy, M.H.; Abdulla, M.A. Hepatoprotective effects of methanolic extract of green tea against Thioacetamide-Induced liver injury in Sprague Dawley rats. Saudi J. Biol. Sci. 2022, 29, 564–573. [Google Scholar] [CrossRef]
- El-Baz, F.K.; Salama, A.; Ali, S.I.; Elgohary, R. Haematococcus pluvialis Carotenoids Enrich Fractions Ameliorate Liver Fibrosis Induced by Thioacetamide in Rats: Modulation of Metalloproteinase and Its Inhibitor. BioMed Res. Int. 2021, 2021, 6631415. [Google Scholar] [CrossRef]
- Jantararussamee, C.; Rodniem, S.; Taweechotipatr, M.; Showpittapornchai, U.; Pradidarcheep, W. Hepatoprotective effect of probiotic lactic acid bacteria on thioacetamide-induced liver fibrosis in rats. Probiotics Antimicrob. Proteins 2021, 13, 40–50. [Google Scholar] [CrossRef] [PubMed]
- Dwivedi, D.K.; Jena, G. Diethylnitrosamine and thioacetamide-induced hepatic damage and early carcinogenesis in rats: Role of Nrf2 activator dimethyl fumarate and NLRP3 inhibitor glibenclamide. Biochem. Biophys. Res. Commun. 2020, 522, 381–387. [Google Scholar] [CrossRef] [PubMed]
- Salama, S.M.; Ibrahim, I.A.A.; Shahzad, N.; Al-Ghamdi, S.; Ayoub, N.; AlRashdi, A.S.; Abdulla, M.A.; Salehen, N.A.; Bilgen, M. Hepatoprotectivity of Panduratin A against liver damage: In vivo demonstration with a rat model of cirrhosis induced by thioacetamide. Apmis 2018, 126, 710–721. [Google Scholar] [CrossRef] [PubMed]
- Mousa, A.A.; El-Gansh, H.A.I.; Abd Eldaim, M.A.; Mohamed, M.A.E.-G.; Morsi, A.H.; El Sabagh, H.S. Protective effect of Moringa oleifera leaves ethanolic extract against thioacetamide-induced hepatotoxicity in rats via modulation of cellular antioxidant, apoptotic and inflammatory markers. Environ. Sci. Pollut. Res. 2019, 26, 32488–32504. [Google Scholar] [CrossRef]
- Khalil, H.M.; Eliwa, H.A.; El-Shiekh, R.A.; Al-Mokaddem, A.K.; Hassan, M.; Tawfek, A.M.; El-Maadawy, W.H. Ashwagandha (Withania somnifera) root extract attenuates hepatic and cognitive deficits in thioacetamide-induced rat model of hepatic encephalopathy via induction of Nrf2/HO-1 and mitigation of NF-κB/MAPK signaling pathways. J. Ethnopharmacol. 2021, 277, 114141. [Google Scholar] [CrossRef] [PubMed]
- Elnfarawy, A.A.; Nashy, A.E.; Abozaid, A.M.; Komber, I.F.; Elweshahy, R.H.; Abdelrahman, R.S. Vinpocetine attenuates thioacetamide-induced liver fibrosis in rats. Hum. Exp. Toxicol. 2021, 40, 355–368. [Google Scholar] [CrossRef] [PubMed]
- Bradosty, S.W.; Hamad, S.W.; Agha, N.F.S.; Shaikh, F.K.; Qadir Nanakali, N.M.; Aziz, P.Y.; Salehen, N.A.; Suzergoz, F.; Abdulla, M.A. In vivo hepatoprotective effect of Morinda elliptica stem extract against liver fibrosis induced by thioacetamide. Environ. Toxicol. 2021, 36, 2404–2413. [Google Scholar] [CrossRef] [PubMed]
- Shareef, S.H.; Al-Medhtiy, M.H.; Al Rashdi, A.S.; Aziz, P.Y.; Abdulla, M.A. Hepatoprotective effect of pinostrobin against thioacetamide-induced liver cirrhosis in rats. Saudi J. Biol. Sci. 2023, 30, 103506. [Google Scholar] [CrossRef]
- Shireen, P.A.; Mujeeb, V.A.; Muraleedharan, K. Theoretical insights on flavanones as antioxidants and UV filters: A TDDFT and NLMO study. J. Photochem. Photobiol. B Biol. 2017, 170, 286–294. [Google Scholar] [CrossRef] [PubMed]
- He, X.; Wei, Z.; Wang, J.; Kou, J.; Liu, W.; Fu, Y.; Yang, Z. Alpinetin attenuates inflammatory responses by suppressing TLR4 and NLRP3 signaling pathways in DSS-induced acute colitis. Sci. Rep. 2016, 6, 28370. [Google Scholar] [CrossRef]
- Zhao, X.; Guo, X.; Shen, J.; Hua, D. Alpinetin inhibits proliferation and migration of ovarian cancer cells via suppression of STAT3 signaling. Mol. Med. Rep. 2018, 18, 4030–4036. [Google Scholar] [CrossRef]
- Tan, Y.; Zheng, C. Effects of alpinetin on intestinal barrier function, inflammation and oxidative stress in dextran sulfate sodium-induced ulcerative colitis mice. Am. J. Med. Sci. 2018, 355, 377–386. [Google Scholar] [CrossRef]
- Malami, I.; Abdul, A.B.; Abdullah, R.; Kassim, N.K.B.; Rosli, R.; Yeap, S.K.; Waziri, P.; Etti, I.C.; Bello, M.B. Correction: Crude extracts, flavokawain B and alpinetin compounds from the rhizome of alpinia mutica induce cell death via UCK2 enzyme inhibition and in turn reduce 18S rRNA biosynthesis in HT-29 cells. PLoS ONE 2017, 12, e0173651. [Google Scholar] [CrossRef]
- Dong, D.; Zhang, Y.; He, H.; Zhu, Y.; Ou, H. Alpinetin inhibits macrophage infiltration and atherosclerosis by improving the thiol redox state: Requirement of GSk3β/Fyn-dependent Nrf2 activation. FASEB J. 2022, 36, e22261. [Google Scholar] [CrossRef] [PubMed]
- Gul, S.; Maqbool, M.F.; Zheng, D.; Li, Y.; Khan, M.; Ma, T. Alpinetin: A Dietary Flavonoid with Diverse Anticancer Effects. Appl. Biochem. Biotechnol. 2022, 194, 4220–4243. [Google Scholar] [CrossRef]
- Ma, S.-X.; Chen, W.; Yang, X.-D.; Zhang, N.; Wang, S.-J.; Liu, L.; Yang, L.-J. Alpinetin/hydroxypropyl-β-cyclodextrin host–guest system: Preparation, characterization, inclusion mode, solubilization and stability. J. Pharm. Biomed. Anal. 2012, 67, 193–200. [Google Scholar] [CrossRef]
- Hou, S.; Yuan, Q.; Cheng, C.; Zhang, Z.; Guo, B.; Yuan, X. Alpinetin delays high-fat diet-aggravated lung carcinogenesis. Basic Clin. Pharmacol. Toxicol. 2021, 128, 410–418. [Google Scholar] [CrossRef]
- Huang, Y.; Zhou, L.-S.; Yan, L.; Ren, J.; Zhou, D.-X.; Li, S.-S. Alpinetin inhibits lipopolysaccharide-induced acute kidney injury in mice. Int. Immunopharmacol. 2015, 28, 1003–1008. [Google Scholar] [CrossRef]
- Chen, H.; Mo, X.; Yu, J.; Huang, Z. Alpinetin attenuates inflammatory responses by interfering toll-like receptor 4/nuclear factor kappa B signaling pathway in lipopolysaccharide-induced mastitis in mice. Int. Immunopharmacol. 2013, 17, 26–32. [Google Scholar] [CrossRef] [PubMed]
- Lv, Q.; Shi, C.; Qiao, S.; Cao, N.; Guan, C.; Dai, Y.; Wei, Z. Alpinetin exerts anti-colitis efficacy by activating AhR, regulating miR-302/DNMT-1/CREB signals, and therefore promoting Treg differentiation. Cell Death Dis. 2018, 9, 890. [Google Scholar] [CrossRef]
- Yu, Z.; Yue, B.; Ding, L.; Luo, X.; Ren, Y.; Zhang, J.; Mani, S.; Wang, Z.; Dou, W. Activation of PXR by alpinetin contributes to abrogate chemically induced inflammatory bowel disease. Front. Pharmacol. 2020, 11, 474. [Google Scholar] [CrossRef] [PubMed]
- Su, Y.; Tao, X.; Xu, J. Protective effect of Alpinetin on rats with chronic obstructive pulmonary disease. Food Sci. Nutr. 2020, 8, 6603–6611. [Google Scholar] [CrossRef] [PubMed]
- Bardi, D.A.; Halabi, M.F.; Hassandarvish, P.; Rouhollahi, E.; Paydar, M.; Moghadamtousi, S.Z.; Al-Wajeeh, N.S.; Ablat, A.; Abdullah, N.A.; Abdulla, M.A. Andrographis paniculata leaf extract prevents thioacetamide-induced liver cirrhosis in rats. PloS ONE 2014, 9, e109424. [Google Scholar] [CrossRef]
- Kadir, F.A.; Kassim, N.M.; Abdulla, M.A.; Yehye, W.A. Hepatoprotective role of ethanolic extract of Vitex negundo in thioacetamide-induced liver fibrosis in male rats. Evid. Based Complement. Altern. Med. 2013, 2013, 739850. [Google Scholar] [CrossRef] [PubMed]
- Salama, S.M.; Abdulla, M.A.; AlRashdi, A.S.; Ismail, S.; Alkiyumi, S.S.; Golbabapour, S. Hepatoprotective effect of ethanolic extract of Curcuma longa on thioacetamide induced liver cirrhosis in rats. BMC Complement. Altern. Med. 2013, 13, 56. [Google Scholar] [CrossRef]
- Wong, W.-L.; Abdulla, M.A.; Chua, K.-H.; Kuppusamy, U.R.; Tan, Y.-S.; Sabaratnam, V. Hepatoprotective effects of Panus giganteus (Berk.) corner against thioacetamide-(TAA-) induced liver injury in rats. Evid. Based Complement. Altern. Med. 2012, 2012, 170303. [Google Scholar] [CrossRef] [PubMed]
- Alkiyumi, S.S.; Abdullah, M.A.; Alrashdi, A.S.; Salama, S.M.; Abdelwahab, S.I.; Hadi, A.H.A. Ipomoea aquatica extract shows protective action against thioacetamide-induced hepatotoxicity. Molecules 2012, 17, 6146–6155. [Google Scholar] [CrossRef] [PubMed]
- Kadir, F.A.; Othman, F.; Abdulla, M.A.; Hussan, F.; Hassandarvish, P. Effect of Tinospora crispa on thioacetamide-induced liver cirrhosis in rats. Indian J. Pharmacol. 2011, 43, 64. [Google Scholar] [CrossRef]
- Amin, Z.A.; Bilgen, M.; Alshawsh, M.A.; Ali, H.M.; Hadi, A.H.A.; Abdulla, M.A. Protective role of Phyllanthus niruri extract against thioacetamide-induced liver cirrhosis in rat model. Evid. Based Complement. Altern. Med. 2012, 2012, 241583. [Google Scholar] [CrossRef]
- Alshawsh, M.A.; Abdulla, M.A.; Ismail, S.; Amin, Z.A. Hepatoprotective effects of Orthosiphon stamineus extract on thioacetamide-induced liver cirrhosis in rats. Evid. Based Complement. Altern. Med. 2011, 2011, 103039. [Google Scholar] [CrossRef]
- Keshk, W.A.; Soliman, N.A.; Ali, D.A.; Elseady, W.S. Mechanistic evaluation of AMPK/SIRT1/FXR signaling axis, inflammation, and redox status in thioacetamide-induced liver cirrhosis: The role of Cichorium intybus linn (chicory)-supplemented diet. J. Food Biochem. 2019, 43, e12938. [Google Scholar] [CrossRef]
- Mi, X.-J.; Hou, J.-G.; Jiang, S.; Liu, Z.; Tang, S.; Liu, X.-X.; Wang, Y.-P.; Chen, C.; Wang, Z.; Li, W. Maltol mitigates thioacetamide-induced liver fibrosis through TGF-β1-mediated activation of PI3K/Akt signaling pathway. J. Agric. Food Chem. 2019, 67, 1392–1401. [Google Scholar] [CrossRef]
- Kadir, F.A.; Kassim, N.M.; Abdulla, M.A.; Kamalidehghan, B.; Ahmadipour, F.; Yehye, W.A. PASS-predicted hepatoprotective activity of Caesalpinia sappan in thioacetamide-induced liver fibrosis in rats. Sci. World J. 2014, 2014, 301879. [Google Scholar] [CrossRef]
- Sayan, M.; Karabulut, D.; Özdamar, S. Assessment of the protective and therapeutic effect of melatonin against thioacetamide-induced acute liver damage. J. Biochem. Mol. Toxicol. 2020, 34, e22450. [Google Scholar] [CrossRef] [PubMed]
- Al-Medhtiy, M.H.; Jabbar, A.A.; Shareef, S.H.; Ibrahim, I.A.A.; Alzahrani, A.R.; Abdulla, M.A. Histopathological evaluation of Annona muricata in TAA-induced liver injury in rats. Processes 2022, 10, 1613. [Google Scholar] [CrossRef]
- El-Baz, F.K.; Salama, A.; Salama, R.A. Therapeutic effect of Dunaliella salina microalgae on thioacetamide-(TAA-) induced hepatic liver fibrosis in rats: Role of TGF-β and MMP9. Biomed Res. Int. 2019, 2019, 7028314. [Google Scholar] [CrossRef]
- Kaur, S.; Sharma, D.; Singh, A.P.; Kaur, S. Amelioration of hepatic function, oxidative stress, and histopathologic damages by Cassia fistula L. fraction in thioacetamide-induced liver toxicity. Environ. Sci. Pollut. Res. 2019, 26, 29930–29945. [Google Scholar] [CrossRef] [PubMed]
- da Silva, B.S.; Paulino, A.M.B.; Taffarel, M.; Borba, I.G.; Telles, L.O.; Lima, V.V.; Aguiar, D.H.; Dias, M.C.; Nascimento, A.F.; Sinhorin, V.D.G. High sucrose diet attenuates oxidative stress, inflammation and liver injury in thioacetamide-induced liver cirrhosis. Life Sci. 2021, 267, 118944. [Google Scholar] [CrossRef]
- Gowifel, A.M.; Khalil, M.G.; Nada, S.A.; Kenawy, S.A.; Ahmed, K.A.; Salama, M.M.; Safar, M.M. Combination of pomegranate extract and curcumin ameliorates thioacetamide-induced liver fibrosis in rats: Impact on TGF-β/Smad3 and NF-κB signaling pathways. Toxicol. Mech. Methods 2020, 30, 620–633. [Google Scholar] [CrossRef]
- El-Kashef, D.H.; Serrya, M.S. Sitagliptin ameliorates thioacetamide-induced acute liver injury via modulating TLR4/NF-KB signaling pathway in mice. Life Sci. 2019, 228, 266–273. [Google Scholar] [CrossRef]
- El-Marasy, S.A.; El Awdan, S.A.; Abd-Elsalam, R.M. Protective role of chrysin on thioacetamide-induced hepatic encephalopathy in rats. Chem. Biol. Interact. 2019, 299, 111–119. [Google Scholar] [CrossRef]
- Gao, X.; Wang, C.; Ning, C.; Liu, K.; Wang, X.; Liu, Z.; Sun, H.; Ma, X.; Sun, P.; Meng, Q. Hepatoprotection of auraptene from peels of citrus fruits against thioacetamide-induced hepatic fibrosis in mice by activating farnesoid X receptor. J. Funct. Foods 2018, 9, 2684–2694. [Google Scholar] [CrossRef]
- Lebda, M.A.; Sadek, K.M.; Abouzed, T.K.; Tohamy, H.G.; El-Sayed, Y.S. Melatonin mitigates thioacetamide-induced hepatic fibrosis via antioxidant activity and modulation of proinflammatory cytokines and fibrogenic genes. Life Sci. 2018, 192, 136–143. [Google Scholar] [CrossRef]
- Afifi, N.A.; Ibrahim, M.A.; Galal, M.K. Hepatoprotective influence of quercetin and ellagic acid on thioacetamide-induced hepatotoxicity in rats. Can. J. Physiol. Pharmacol. 2018, 96, 624–629. [Google Scholar] [CrossRef]
- Yang, L.; Bian, X.; Wu, W.; Lv, L.; Li, Y.; Ye, J.; Jiang, X.; Wang, Q.; Shi, D.; Fang, D. Protective effect of Lactobacillus salivarius Li01 on thioacetamide-induced acute liver injury and hyperammonaemia. Microb. Biotechnol. 2020, 13, 1860–1876. [Google Scholar] [CrossRef]
- El-Mihi, K.A.; Kenawy, H.I.; El-Karef, A.; Elsherbiny, N.M.; Eissa, L.A. Naringin attenuates thioacetamide-induced liver fibrosis in rats through modulation of the PI3K/Akt pathway. Life Sci. 2017, 187, 50–57. [Google Scholar] [CrossRef]
- Salama, S.; Kue, C.S.; Mohamad, H.; Omer, F.; Ibrahim, M.Y.; Abdulla, M.; Ali, H.; Mariod, A.; Jayash, S.N. Hepatoprotective potential of a novel quinazoline derivative in thioacetamide-induced liver toxicity. Front. Pharmacol. 2022, 13, 943340. [Google Scholar] [CrossRef] [PubMed]
- Salama, S.M.; Bilgen, M.; Al Rashdi, A.S.; Abdulla, M.A. Efficacy of Boesenbergia rotunda treatment against thioacetamide-induced liver cirrhosis in a rat model. Evid. Based Complement. Altern. Med. 2012, 2012, 137083. [Google Scholar] [CrossRef]
- Attia, R.; Fattah, S.A.; Nasralla, M. Concomitant administration of sitagliptin and rutin improve the adverse hepatic alterations in streptozotocin-induced diabetes mellitus in albino rats, an overlook on the role of alpha smooth muscle actin. Folia Morphol. 2021, 80, 870–880. [Google Scholar] [CrossRef]
- Annegowda, V.M.; Devi, H.U.; Rao, K.; Smitha, T.; Sheethal, H.; Smitha, A. Immunohistochemical study of alpha-smooth muscle actin in odontogenic cysts and tumors. J. Oral Maxillofac. Pathol. JOMFP 2018, 22, 188. [Google Scholar] [CrossRef] [PubMed]
- Supriono, S.; Kalim, H.; Permatasari, N.; Susianti, H. Moringa oleifera Inhibits Liver Fibrosis Progression by Inhibition of α-Smooth Muscle Actin, Tissue Inhibitors of Metalloproteinases-1, and Collagen-1 in Rat Model Liver Fibrosis. Open Access Maced. J. Med. Sci. 2020, 8, 287–292. [Google Scholar] [CrossRef]
- Surendran, S.P.; Thomas, R.G.; Moon, M.J.; Park, R.; Lee, J.H.; Jeong, Y.Y. A bilirubin-conjugated chitosan nanotheranostics system as a platform for reactive oxygen species stimuli-responsive hepatic fibrosis therapy. Acta Biomater. 2020, 116, 356–367. [Google Scholar] [CrossRef]
- Martin, G.R.; Wallace, J.L. Gastrointestinal inflammation: A central component of mucosal defense and repair. Exp. Biol. Med. 2006, 231, 130–137. [Google Scholar] [CrossRef] [PubMed]
- Sabat, R.; Grütz, G.; Warszawska, K.; Kirsch, S.; Witte, E.; Wolk, K.; Geginat, J. Biology of interleukin-10. Cytokine Growth Factor Rev. 2010, 21, 331–344. [Google Scholar] [CrossRef] [PubMed]
- Bashandy, S.A.; El Awdan, S.A.; Mohamed, S.M.; Omara, E.A.A. Allium porrum and Bauhinia variegata mitigate acute liver failure and nephrotoxicity induced by thioacetamide in male rats. Indian J. Clin. Biochem. 2020, 35, 147–157. [Google Scholar] [CrossRef] [PubMed]







| Dose | Albumin (g/L) | Globulin (g/L) | TB (μmol/L) | ALP (IU/L) | ALT (IU/L) | AST (IU/L) |
|---|---|---|---|---|---|---|
| Vehicle | 13.29 ± 0.04 | 66.12 ± 0.22 | 1 | 95.90 ± 0.24 | 39.37 ± 0.18 | 196.0 ± 0.51 |
| (10% Tween 20) | ||||||
| Alpinetin 30 mg/kg | 13.50 ± 0.05 | 66.40 ± 0.19 | 1 | 97.98 ± 0.34 | 40.23 ± 0.35 | 197.4 ± 0.50 |
| Alpinetin 300 mg/kg | 13.19 ± 0.16 | 65.70 ± 0.32 | 1 | 96.65 ± 0.96 | 39.11 ± 0.37 | 196.2 ± 0.45 |
| Dose | Albumin (g/L) | Globulin (g/L) | TB (μmol/L) | ALP (IU/L) | ALT (IU/L) | AST (IU/L) |
|---|---|---|---|---|---|---|
| Vehicle | 11.55 ± 0.21 | 57.63 ± 1.70 | 1 | 199.2 ± 0.51 | 56.54 ± 0.36 | 214.2 ± 1.45 |
| (10% Tween 20) | ||||||
| Alpinetin 30 mg/kg | 11.47 ± 0.06 | 57.07 ± 0.23 | 1 | 197.1 ± 0.65 | 57.18 ± 0.28 | 214.3 ± 1.01 |
| Alpinetin 300 mg/kg | 11.96 ± 0.28 | 56.37 ± 0.19 | 1 | 197.5 ± 0.59 | 57.11 ± 0.41 | 210.3 ± 1.32 |
| Dose | Sodium (mmol/L) | Potassium (mmol/L) | Chloride (mmol/L) | Urea (mmol/L) | Creatinine (μmol/L) |
|---|---|---|---|---|---|
| Vehicle (10% Tween 20) | 146.0 ± 0.25 | 4.73 ± 0.02 | 106.1 ± 0.27 | 7.42 ± 0.15 | 36.10 ± 0.27 |
| Alpinetin 30 mg/kg | 146.9 ± 0.17 | 4.79 ± 0.01 | 106.4 ± 0.19 | 8.29 ± 0.18 | 36.84 ± 0.35 |
| Alpinetin 300 mg/kg | 146.5 ± 0.34 | 4.79 ± 0.01 | 106.9 ± 0.23 | 7.45 ± 0.35 | 36.60 ± 0.16 |
| Dose | Sodium (mmol/L) | Potassium (mmol/L) | Chloride (mmol/L) | Urea (mmol/L) | Creatinine (μmol/L) |
|---|---|---|---|---|---|
| Vehicle (10% Tween 20) | 145.8 ± 0.22 | 5.48 ± 0.16 | 104.9 ± 0.40 | 5.58 ± 0.18 | 30.85 ± 0.33 |
| Alpinetin 30 mg/kg | 145.3 ± 0.07 | 5.82 ± 0.01 | 104.9 ± 17.0 | 5.62 ± 0.10 | 31.18 ± 0.25 |
| Alpinetin 300 mg/kg | 145.3 ± 0.06 | 5.80 ± 0.02 | 104.4 ± 0.09 | 5.45 ± 0.11 | 30.93 ± 0.24 |
| Groups | Body Weight (gm) | Liver Weight (gm) | Liver Index (%) LW/BW% |
|---|---|---|---|
| Normal Control | 330 ± 3.72 b | 10.15 ± 0.08 b | 3.078 ± 0.01 b |
| TAA Control | 168 ± 1.59 a | 12.87 ± 0.03 a | 7.66 ± 0.06 a |
| Silymarin (50 mg/kg) + TAA | 306.16 ± 4.17 b | 10.32 ± 0.06 b | 3.37 ± 0.06 b |
| Alpinetin (30 mg/kg) + TAA | 231 ± 1.88 b | 10.45 ± 0.04 b | 4.52 ± 0.02 b |
| Alpinetin (60 mg/kg) + TAA | 247.66 ± 1.54 b | 10.22 ± 0.03 b | 4.127 ± 0.03 b |
| Groups | SOD U/mg Protein | CAT U/mg Protein | MDA U/mg Protein |
|---|---|---|---|
| Normal Control | 15.87 ± 0.60 b | 36.84 ± 0.8 b | 1.18 ± 0.01 b |
| TAA Control | 8.35 ± 0.24 a | 16.95 ± 0.52 a | 4.62 ± 0.13 a b |
| Silymarin (50 mg/kg) +TAA | 12.21 ± 0.26 b | 28.07 ± 0.57 b | 1.54 ± 0.09 b |
| Alpinetin (30 mg/kg) + TAA | 13.92 ± 0.05 b | 32.78 ± 0.90 b | 2.16 ± 0.02 b |
| Alpinetin (60 mg/kg) + TAA | 13.09 ± 0.30 b | 30.81 ± 0.78 b | 1.87 ± 0.03 b |
| Groups | ALP (IU/L) | ALT (IU/L) | AST (IU/L) | T.Bilirubin (uM) | Protein (g/L) | Albumin (g/L) |
|---|---|---|---|---|---|---|
| Normal Control | 98.01 ± 1.76 b | 60.92 ± 1.53 b | 166.41 ± 4.95 b | 3.55 ± 0.05 b | 65.34 ± 1.98 b | 12.50 ± 0.54 b |
| TAA Control | 231.32 ± 1.70 a | 203.16 ± 3.44 a | 309.42 ± 3.28 a | 8.84 ± 0.07 a | 50.15 ± 2.14 a | 7.32 ± 0.154 a |
| Silymarin (50 mg/kg) + TAA | 126.73 ± 3.96 b | 74.67 ± 1.90 b | 184.12 ± 4.75 b | 5.27 ± 0.10 b | 63.38 ± 1.65 b | 12.351 ± 0.13 b |
| Alpinetin (30 mg/kg) + TAA | 150.98 ± 3.49 b | 85.30 ± 2.20 b | 210.50 ± 3.19 b | 6.05 ± 0.05 b | 59.28 ± 1.76 b | 11.72 ± 0.31 b |
| Alpinetin (60 mg/kg) + TAA | 142.13 ± 3.64 b | 77.99 ± 2.31 b | 193.51 ± 2.90 b | 5.80 ± 0.30 b | 62.15 ± 1.74 b | 12.28 ± 10.17 b |
Disclaimer/Publisher’s Note: The statements, opinions and data contained in all publications are solely those of the individual author(s) and contributor(s) and not of MDPI and/or the editor(s). MDPI and/or the editor(s) disclaim responsibility for any injury to people or property resulting from any ideas, methods, instructions or products referred to in the content. |
© 2023 by the authors. Licensee MDPI, Basel, Switzerland. This article is an open access article distributed under the terms and conditions of the Creative Commons Attribution (CC BY) license (https://creativecommons.org/licenses/by/4.0/).
Share and Cite
Shareef, S.H.; Juma, A.S.M.; Agha, D.N.F.; Alzahrani, A.R.; Ibrahim, I.A.A.; Abdulla, M.A. Hepatoprotective Effect of Alpinetin on Thioacetamide-Induced Liver Fibrosis in Sprague Dawley Rat. Appl. Sci. 2023, 13, 5243. https://doi.org/10.3390/app13095243
Shareef SH, Juma ASM, Agha DNF, Alzahrani AR, Ibrahim IAA, Abdulla MA. Hepatoprotective Effect of Alpinetin on Thioacetamide-Induced Liver Fibrosis in Sprague Dawley Rat. Applied Sciences. 2023; 13(9):5243. https://doi.org/10.3390/app13095243
Chicago/Turabian StyleShareef, Suhayla Hamad, Ameena S. M. Juma, Derin N. F. Agha, Abdullah R. Alzahrani, Ibrahim Abdel Aziz Ibrahim, and Mahmood Ameen Abdulla. 2023. "Hepatoprotective Effect of Alpinetin on Thioacetamide-Induced Liver Fibrosis in Sprague Dawley Rat" Applied Sciences 13, no. 9: 5243. https://doi.org/10.3390/app13095243
APA StyleShareef, S. H., Juma, A. S. M., Agha, D. N. F., Alzahrani, A. R., Ibrahim, I. A. A., & Abdulla, M. A. (2023). Hepatoprotective Effect of Alpinetin on Thioacetamide-Induced Liver Fibrosis in Sprague Dawley Rat. Applied Sciences, 13(9), 5243. https://doi.org/10.3390/app13095243

