Taylor Spatial Frame Behavior in High Tibial Osteotomies: A Clinical–Mechanical Study
Abstract
1. Introduction
2. Materials and Methods
2.1. Clinical Investigation
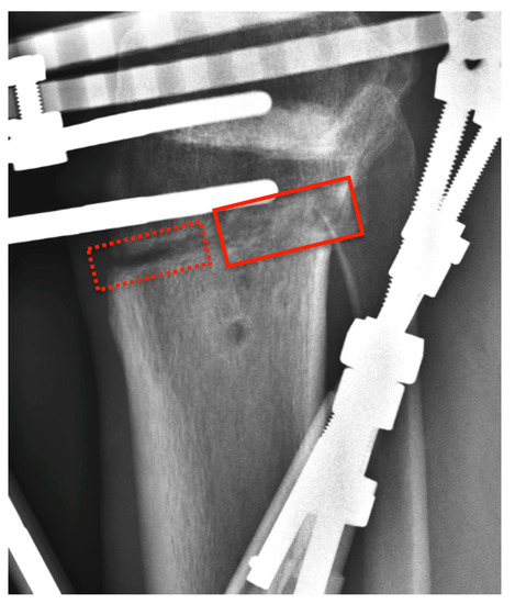
- Circumferential: homogeneous callus as wide as the original bone;
- Eccentric: callus formation mainly at one corner of the osteotomy gap;
- Absent: only sparse calcification in the osteotomy gap.
2.2. Experimental Model
3. Results
3.1. Clinical Results
3.2. Experimental Results
3.2.1. Deformation under Uniaxial Compression
3.2.2. Stiffness of TSF Configuration
4. Discussion
5. Conclusions
Author Contributions
Funding
Institutional Review Board Statement
Informed Consent Statement
Data Availability Statement
Acknowledgments
Conflicts of Interest
References
- Agneskirchner, J.D.; Freiling, D.; Hurschler, C.; Lobenhoffer, P. Primary stability of four different implants for opening wedge high tibial osteotomy. Knee Surg. Sport. Traumatol. Arthrosc. 2005, 14, 291–300. [Google Scholar] [CrossRef] [PubMed]
- Jung, W.-H.; Chun, C.-W.; Lee, J.-H.; Ha, J.-H.; Kim, J.-H.; Jeong, J.-H. Comparative Study of Medial Opening-Wedge High Tibial Osteotomy Using 2 Different Implants. Arthrosc. J. Arthrosc. Relat. Surg. 2013, 29, 1063–1071. [Google Scholar] [CrossRef]
- Izaham, R.M.A.R.; Kadir, M.R.A.; Rashid, A.H.A.; Hossain, G.; Kamarul, T. Finite element analysis of Puddu and Tomofix plate fixation for open wedge high tibial osteotomy. Injury 2012, 43, 898–902. [Google Scholar] [CrossRef] [PubMed]
- Rollo, G.; Pichierri, P.; Grubor, P.; Marsilio, A.; Bisaccia, M.; Grubor, M.; Pace, V.; Lanzetti, R.M.; Giaracuni, M.; Filipponi, M.; et al. The challenge of nonunion and malunion in distal femur surgical revision. Med. Glas. 2019, 16, 1–10. [Google Scholar] [CrossRef]
- Adili, A.; Bhandari, M.; Giffin, R.; Whately, C.; Kwok, D.C. Valgus high tibial osteotomy. Knee Surg. Sport. Traumatol. Arthrosc. 2001, 10, 169–176. [Google Scholar] [CrossRef] [PubMed]
- Bisaccia, M.; Rinonapoli, G.; Meccariello, L.; Caraffa, A.; Cukierman, B.; Iborra, J.R. The Challenges of Monoaxial Bone Transport in Orthopedics and Traumatology. Ortop. Traumatol. Rehabil. 2017, 19, 373–378. [Google Scholar] [CrossRef] [PubMed]
- A Catagni, M.; Guerreschi, F.; Ahmad, T.S.; Cattaneo, R. Treatment of genu varum in medial compartment osteoarthritis of the knee using the Ilizarov method. Orthop. Clin. N. Am. 1994, 25, 509–514. [Google Scholar] [CrossRef]
- Fowler, J.; Gie, G.; MacEachern, A. Upper tibial valgus osteotomy using a dynamic external fixator. J. Bone Jt. Surg. 1991, 73, 690–691. [Google Scholar] [CrossRef]
- Kitson, J.; Weale, A.; Lee, A.; MacEachern, A. Patellar tendon length following opening wedge high tibial osteotomy using an external fixator with particular reference to later total knee replacement. Injury 2001, 32, 140–143. [Google Scholar] [CrossRef]
- Nakamura, E.; Mizuta, H.; Kudo, S.; Takagi, K.; Sakamoto, K. Open-wedge osteotomy of the proximal tibia with hemicallotasis. J. Bone Jt. Surg. 2001, 83, 1111–1115. [Google Scholar] [CrossRef]
- Weale, A.E.; Lee, A.S.; MacEachern, A.G. High Tibial Osteotomy Using a Dynamic Axial External Fixator. Clin. Orthop. Relat. Res. 2001, 382, 154–167. [Google Scholar] [CrossRef]
- Claes, L.; Eckert-Hübner, K.; Augat, P. The effect of mechanical stability on local vascularization and tissue differentiation in callus healing. J. Orthop. Res. 2002, 20, 1099–1105. [Google Scholar] [CrossRef]
- A Ilizarov, G. The tension-stress effect on the genesis and growth of tissues. Part I. The influence of stability of fixation and soft-tissue preservation. Clin. Orthop. Relat. Res. 1989, 238, 249–281. [Google Scholar] [CrossRef]
- Yamaji, T.; Ando, K.; Wolf, S.; Augat, P.; Claes, L. The effect of micromovement on callus formation. J. Orthop. Sci. 2001, 6, 571–575. [Google Scholar] [CrossRef] [PubMed]
- Binski, J.C. Taylor Spatial Frame in Acute Fracture Care. Tech. Orthop. 2002, 17, 173–184. [Google Scholar] [CrossRef]
- Al-Sayyad, M.J. Taylor Spatial Frame in the Treatment of Pediatric and Adolescent Tibial Shaft Fractures. J. Pediatr. Orthop. 2006, 26, 164–170. [Google Scholar] [CrossRef] [PubMed]
- Blondel, B.; Launay, F.; Glard, Y.; Jacopin, S.; Jouve, J.-L.; Bollini, G. Limb lengthening and deformity correction in children using hexapodal external fixation: Preliminary results for 36 cases. Orthop. Traumatol. Surg. Res. 2009, 95, 425–430. [Google Scholar] [CrossRef]
- Eidelman, M.; Bialik, V.; Katzman, A. Correction of deformities in children using the Taylor spatial frame. J. Pediatr. Orthop. B 2006, 15, 387–395. [Google Scholar] [CrossRef]
- Naqui, S.Z.H.; Thiryayi, W.; Foster, A.; Tselentakis, G.; Evans, M.; Day, J.B. Correction of Simple and Complex Pediatric Deformities Using the Taylor-Spatial Frame. J. Pediatr. Orthop. 2008, 28, 640–647. [Google Scholar] [CrossRef]
- Rozbruch, R.S.; Segal, K.; Ilizarov, S.; Fragomen, A.T.; Ilizarov, G. Does the Taylor Spatial Frame Accurately Correct Tibial Deformities? Clin. Orthop. Relat. Res. 2010, 468, 1352–1361. [Google Scholar] [CrossRef] [PubMed]
- Feldman, D.S.; Madan, S.S.; Koval, K.J.; van Bosse, H.J.P.; Bazzi, J.; Lehman, W.B. Correction of Tibia Vara With Six-Axis Deformity Analysis and the Taylor Spatial Frame. J. Pediatr. Orthop. 2003, 23, 387–391. [Google Scholar] [CrossRef] [PubMed]
- Feldman, D.S.; Shin, S.S.; Madan, S.; Koval, K.J. Correction of Tibial Malunion and Nonunion With Six-Axis Analysis Deformity Correction Using the Taylor Spatial Frame. J. Orthop. Trauma 2003, 17, 549–554. [Google Scholar] [CrossRef] [PubMed]
- Viskontas, D.G.; MacLeod, M.D.; Sanders, D.W. High tibial osteotomy with use of the Taylor Spatial Frame external fixator for osteoarthritis of the knee. Can. J. Surg. 2006, 49, 245. [Google Scholar]
- Zhang, W.; Wan, C.; Zhang, T.; Wang, M.; Liu, Z.; Zhao, Y. Clinical application of Taylor spatial frame in adjustment of lower extremity force line of knee medial compartmental osteoarthritis. Chin. J. Reparative Reconstr. Surg. 2020, 34, 452–456. [Google Scholar] [CrossRef]
- Henderson, E.R.; Feldman, D.S.; Lusk, C.; van Bosse, H.J.; Sala, D.; Kummer, F.J. Conformational Instability of the Taylor Spatial Frame. J. Pediatr. Orthop. 2008, 28, 471–477. [Google Scholar] [CrossRef]
- Antoci, V.; Voor, M.J.; Antoci, V., Jr.; Roberts, C.S. Biomechanics of Olive Wire Positioning and Tensioning Characteristics. J. Pediatr. Orthop. 2005, 25, 798–803. [Google Scholar] [CrossRef] [PubMed]
- Henderson, D.J.; Rushbrook, J.L.; Stewart, T.D.; Harwood, P.J. What Are the Biomechanical Effects of Half-pin and Fine-wire Configurations on Fracture Site Movement in Circular Frames? Clin. Orthop. Relat. Res. 2015, 474, 1041–1049. [Google Scholar] [CrossRef] [PubMed][Green Version]
- Khurana, A.; Byrne, C.; Evans, S.; Tanaka, H.; Haraharan, K. Comparison of transverse wires and half pins in Taylor Spatial Frame: A biomechanical study. J. Orthop. Surg. Res. 2010, 5, 23. [Google Scholar] [CrossRef]
- Lenarz, C.; Bledsoe, G.; Watson, T.J. Circular External Fixation Frames with Divergent Half Pins: A Pilot Biomechanical Study. Clin. Orthop. Relat. Res. 2008, 466, 2933–2939. [Google Scholar] [CrossRef][Green Version]
- Henderson, D.J.; Rushbrook, J.L.; Harwood, P.J.; Stewart, T.D. What Are the Biomechanical Properties of the Taylor Spatial Frame™? Clin. Orthop. Relat. Res. 2016, 475, 1472–1482. [Google Scholar] [CrossRef]
- Tan, B.; Shanmugam, R.; Gunalan, R.; Chua, Y.; Hossain, G.; Saw, A. A Biomechanical Comparison between Taylor’s Spatial Frame and Ilizarov External Fixator. Malays. Orthop. J. 2014, 8, 35–39. [Google Scholar] [CrossRef] [PubMed]
- Mavraganis, A. Ilizarov and Taylor Spatial Frame Orthopedic Frames for External Bone Regeneration: Experimental Inves-tigation and Computational Analysis of Their Mechanical Behavior. Diploma Thesis, Department of Mechanical Engineering, University of Thessaly, Volos, Greece, 2015. [Google Scholar]
- Gunes, T.; Sen, C.; Erdem, M. Tibial slope and high tibial osteotomy using the circular external fixator. Knee Surgery, Sports Traumatol. Arthrosc. 2006, 15, 192–198. [Google Scholar] [CrossRef] [PubMed]
- Sen, C.; Kocaoglu, M.; Eralp, L. The advantages of circular external fixation used in high tibial osteotomy (average 6 years follow-up). Knee Surg. Sports Traumatol. Arthrosc. 2003, 11, 139–144. [Google Scholar] [CrossRef]
- Fragomen, A.T.; Rozbruch, S.R. The Mechanics of External Fixation. HSS J. 2006, 3, 13–29. [Google Scholar] [CrossRef]
- Robinson, P.M.; Papanna, M.C.; Somanchi, B.V.; Khan, S.A. High tibial osteotomy in medial compartment osteoarthritis and varus deformity using the Taylor spatial frame: Early results. Strat. Trauma Limb Reconstr. 2011, 6, 137–145. [Google Scholar] [CrossRef]
- Egol, K.A.; Kubiak, E.N.; Fulkerson, E.; Kummer, F.J.; Koval, K.J. Biomechanics of Locked Plates and Screws. J. Orthop. Trauma 2004, 18, 488–493. [Google Scholar] [CrossRef]
- Augat, P.; Simon, U.; Liedert, A.; Claes, L. Mechanics and mechano-biology of fracture healing in normal and osteoporotic bone. Osteoporos. Int. 2004, 16, S36–S43. [Google Scholar] [CrossRef]
- Kristiansen, L.P.; Steen, H.; Reikerås, O. No difference in tibial lengthening index by use of Taylor Spatial Frame or Ilizarov external fixator. Acta Orthop. 2006, 77, 772–777. [Google Scholar] [CrossRef]
- Klein, P.; Schell, H.; Streitparth, F.; Heller, M.; Kassi, J.-P.; Kandziora, F.; Bragulla, H.; Haas, N.P.; Duda, G.N. The initial phase of fracture healing is specifically sensitive to mechanical conditions. J. Orthop. Res. 2003, 21, 662–669. [Google Scholar] [CrossRef]







| Patients’ Data | Total Number/Range |
|---|---|
| Number of patients—NoP | 55 |
| Median age (years) | 51 |
| Range of age (years) | 38–58 |
| Gender (M/F) | 25/30 |
| Medial compartment arthritis (NoP) | 41 |
| Medial and patellofemoral compartment arthritis (NoP) | 14 |
| Revision cases (NoP) | 1 |
| Patients’ Post-Operative Data | Total Number/Range |
|---|---|
| Median follow up (months) | 60 |
| Range of follow up (months) | 24–120 |
| Median latency to start correction (days) | 6 |
| Range of latency to start correction (days) | 5–10 |
| Median duration of correction (days) | 16 |
| Range of duration of correction (days) | 10–20 |
| Additional correction program required (% of all patients) | 1.8 |
| Median required total angle of correction | 12° |
| Range of total angle of correction | (5–18°) |
| Median FTAm correction | 5° |
| Range of FTAm correction | 3–8° |
| Median time of frame removal (days) | 87 |
| Range of time of frame removal (days) | 82–120 |
Disclaimer/Publisher’s Note: The statements, opinions and data contained in all publications are solely those of the individual author(s) and contributor(s) and not of MDPI and/or the editor(s). MDPI and/or the editor(s) disclaim responsibility for any injury to people or property resulting from any ideas, methods, instructions or products referred to in the content. |
© 2023 by the authors. Licensee MDPI, Basel, Switzerland. This article is an open access article distributed under the terms and conditions of the Creative Commons Attribution (CC BY) license (https://creativecommons.org/licenses/by/4.0/).
Share and Cite
Karamanis, N.; Kermanidis, A.T.; Spyrou, L.A.; Bargiotas, K.; Varitimidis, S.; Aravas, N.; Malizos, K.N. Taylor Spatial Frame Behavior in High Tibial Osteotomies: A Clinical–Mechanical Study. Appl. Sci. 2023, 13, 3837. https://doi.org/10.3390/app13063837
Karamanis N, Kermanidis AT, Spyrou LA, Bargiotas K, Varitimidis S, Aravas N, Malizos KN. Taylor Spatial Frame Behavior in High Tibial Osteotomies: A Clinical–Mechanical Study. Applied Sciences. 2023; 13(6):3837. https://doi.org/10.3390/app13063837
Chicago/Turabian StyleKaramanis, Nikolaos, Alexis T. Kermanidis, Leonidas A. Spyrou, Konstantinos Bargiotas, Sokratis Varitimidis, Nikolaos Aravas, and Konstantinos N. Malizos. 2023. "Taylor Spatial Frame Behavior in High Tibial Osteotomies: A Clinical–Mechanical Study" Applied Sciences 13, no. 6: 3837. https://doi.org/10.3390/app13063837
APA StyleKaramanis, N., Kermanidis, A. T., Spyrou, L. A., Bargiotas, K., Varitimidis, S., Aravas, N., & Malizos, K. N. (2023). Taylor Spatial Frame Behavior in High Tibial Osteotomies: A Clinical–Mechanical Study. Applied Sciences, 13(6), 3837. https://doi.org/10.3390/app13063837
