Ins and Outs of the Ankle Syndesmosis from a 2D to 3D CT Perspective
Abstract
:1. Introduction
2. Methodology
2.1. Search Strategy
2.2. Study Selection
2.3. Data Extraction
3. Results
3.1. Search Results
3.2. Study Characteristics
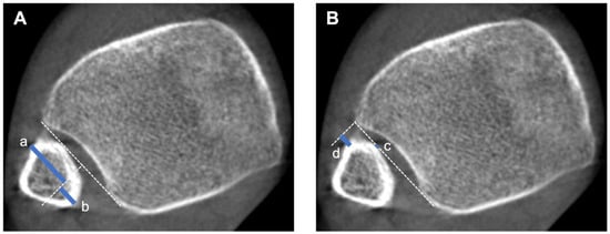
3.3. Conventional 2D Measurements
| Measurement | Description | References |
|---|---|---|
| a. Mediolateral translation (diastasis) | ||
| Anterior tibiofibular width (A) | The distance between the anterior tibial tubercle and the nearest fibular point. | [5,6,13,18,20,22,23,24,25,26,27,28,29,30,31,32] |
| Posterior tibiofibular width (B) | The distance between the posterior tibial tubercle and the nearest fibular point. | [5,6,13,20,22,23,24,26,27,28,29,31,32] |
| Middle tibiofibular width | The distance between the most central point of the incisura and the nearest fibular point. | [5,13,18,20,28,31,32,33] |
| Maximum tibiofibular width | The maximal distance between the tibia and fibula, regardless of the location | [32] |
| Minimum tibiofibular width | The minimal distance between the tibia and fibula, regardless of the location. | [26] |
| Syndesmotic area | The surface area, delineated by the medial cortex of the fibula and the lateral cortex of the tibial incisura, and two lines tangential to the anterior and posterior cortices of the tibia and fibula | [13,26,31,33,34,35] |
| b. Fibular rotation | ||
| Fibular rotation by Dikos (α) | The angle between the fibular axis and the tangential line to the anterior and posterior tibial tubercles. A higher angle value indicates internal rotation of the fibula, while a lower angle value indicates external rotation. | [5,13,20,22,26,28,29,31,33,36] |
| Tang ratio | The ratio of distances from the tibial centroid to the most anterior fibular point and from the tibial centroid to the most posterior fibular point. | [23,26,29] |
| Ratio A/B | The ratio between the anterior tibiofibular width (A) and posterior tibiofibular width (B). The ratio increases as the fibula externally rotates. | [5,20,28] |
| Bimalleolar angle (β) | The angle between the tangential line to the medial cortex of the lateral malleolus and the tangential line to the lateral cortex of the medial malleolus, at the level of the talar dome or more distally. | [28,37] |
| c. Fibular translation | ||
| Anteroposterior translational ratio by Nault | This is a three-step measurement. A line is drawn between the most anterior and most posterior points of the incisura. A perpendicular line is drawn in the middle of the first line. The distance between the anterior part of the fibula and the perpendicular line is the distance A. B is the distance between the posterior part of the fibula and the perpendicular line. The ratio A/B represents a description of the anteroposterior position. | [5,20,28] |
| Medial Phisitkul | A first reference line is established by drawing a tangential line along the most lateral aspect of the anterior and posterior tubercles of the fibular incisura. A second reference line is drawn perpendicular to this line at the anterior tubercle. The distance from the most medial point of the fibula to the first line represents the mediolateral position of the fibula. This measurement is positive if the fibula is lateral to the reference line and negative if the fibula is medial to the reference line. | [23,29,38] |
| Anterior Phisitkul | This distance is measured from the most anterior point of the fibula to the second reference line explained in the measurement above. If the fibula is anterior to the reference line, the value is negative; if the fibula is posterior to the reference line, the value is positive. | [5,13,20,23,26,28,29,38,39] |
| Measurement | Mean ± SD | Definitive Normative Reference Limit | Mean ICC |
|---|---|---|---|
| a. Mediolateral translation (diastasis) | |||
| Anterior tibiofibular width (in mm) | CT, normal: 2.71 ± 0.80 CT, injury: 3.50 ± 1.18 WBCT, normal: 3.51 ± 0.60 WBCT, injury: 3.77 ± 1.1 | Cut-off max value, CT: 4 [32] Max normal difference with respect to contralateral ankle, CT: 0.7 [18] | CT: 0.834 WBCT: 0.758 |
| Posterior tibiofibular width (in mm) | CT, normal: 4.74 ± 1.74 CT, injury: 4.92 ± 0.29 WBCT, normal: 5.97 ± 1.48 WBCT, injury: 7.38 ± 2.69 | / | CT: 0.799 WBCT: 0.714 |
| Middle tibiofibular width (in mm) | CT, normal: 3.58 ± 0.47 CT, injury: 4.25 ± 1.48 WBCT, normal: 4.28 ± 0.78 WBCT, injury: 5.05 ± 1.34 | Cut-off max value, CT: 3.95 [32] Cut-off for the difference between injured and uninjured ankle, CT: 1.7 [18] Normative reference range, WBCT: 1.23–5.2 [5] | CT: 0.788 WBCT: 0.803 |
| Maximum tibiofibular width (in mm) | CT, normal: 4.6 ± 1.4 CT, injury: 7.2 ± 2.96 WBCT, normal: / WBCT, injury: / | Cut-off max value, CT: 5.65 [32] | CT: 0.865 |
| Minimum tibiofibular width (in mm) | CT, normal: 1.6 ± 0.2 CT, injury: 2.9 ± 0.3 WBCT, normal: 2.6 ± 0.2 WBCT, injury: 2.9 ± 0.3 | / | CT: 0.899 WBCT: 0.875 |
| Syndesmotic area (in mm2) | CT, normal: 105.2 ± 22.6 CT, injury: 129.5 ± 31.3 WBCT, normal: 106.0 ± 16.9 WBCT, injury: 134.1 ± 28.2 | / | CT: 0.96 WBCT: 0.93 |
| b. Fibular rotation | |||
| Fibular rotation Dikos (in degrees) | CT, normal: 13.6 ± 3.3 CT, injury: 15 ± 6.4 WBCT, normal: 12.3 ± 1.8 WBCT, injury: 7.39 ± 1.1 | / | CT: 0.689 WBCT: 0.783 |
| Tang ratio | CT, normal: 0.85 ± 0.05 CT, injury: / WBCT, normal: 0.85 ± 0.05 WBCT, injury: / | / | CT: 0.47 WBCT: 0.72 |
| Ratio A/B | CT, normal: 0.55 ± 0.03 CT, injury: / WBCT, normal: 0.62 ± 0.03 WBCT, injury: / | Normative reference range, WBCT: 0.12–1.08 [5] | CT: 0.722 WBCT: 0.79 |
| Bimalleolar angle (in degrees) | CT, normal: 7.67 ± 1.1 CT, injury: / WBCT, normal: / WBCT, injury: / | / | CT: 0.68 WBCT: / |
| c. Fibular translation | |||
| Anteroposterior translational ratio by Nault | CT, normal: 1.54 ± 0.08 CT, injury: / WBCT, normal: 1.45 ± 0.00 WBCT, injury: / | Normative reference range, WBCT: 0.31–2.59 [5] | CT: 0.441 WBCT: 0.72 |
| Medial Phisitkul (in mm) | / | / | CT: 0.86 |
| Anterior Phisitkul (in mm) | CT, normal: 1.59 ± 0.50 CT, injury: 1.79 ± 1.55 WBCT, normal: 1.60 ± 0.14 WBCT, injury: 1.37 ± 0.27 | Normative reference range, WBCT: −1.48–3.44 [5] | CT: 0.725 WBCT: 0.763 |



3.3.1. 2D Measurements Quantifying Tibiofibular Translation
Mediolateral Translation (Diastasis)
- Anterior, middle, posterior, maximum, and minimum tibiofibular width
Anteroposterior Translation
- Anteroposterior translation ratio by Nault
- Anterior and Medial Phisitkul
3.3.2. The 2D Measurements Quantifying Tibiofibular Rotation
3.3.3. The 2D Measurements Quantifying Syndesmotic Area
3.4. Novel 3D Measurement Methods
3.4.1. 3D Mirroring—Alignment Techniques
3.4.2. The 3D Distance Mapping
3.4.3. The 3D Volume Measurements
3.4.4. The 3D Statistical Shape Model—Based Techniques
3.4.5. Other Novel Measurement Techniques
4. Discussion
Future Perspectives
5. Conclusions
Author Contributions
Funding
Institutional Review Board Statement
Informed Consent Statement
Data Availability Statement
Conflicts of Interest
References
- Campbell, S.E.; Warner, M. MR Imaging of Ankle Inversion Injuries. Magn. Reson. Imaging Clin. N. Am. 2008, 16, 1–18. [Google Scholar] [CrossRef] [PubMed]
- Chans-Veres, J.; Vallejo-Márquez, M.; Galhoum, A.E.; Tejero, S. Analysis of the uninjured tibiofibular syndesmosis using conventional CT-imaging and axial force in different foot positions. Foot Ankle Surg. 2022, 28, 650–656. [Google Scholar] [CrossRef] [PubMed]
- Burssens, A.; Vermue, H.; Barg, A.; Krähenbühl, N.; Victor, J.; Buedts, K. Templating of Syndesmotic Ankle Lesions by Use of 3D Analysis in Weightbearing and Nonweightbearing CT. Foot Ankle Int. 2018, 39, 1487–1496. [Google Scholar] [CrossRef] [PubMed]
- Chun, D.-I.; Cho, J.-H.; Min, T.-H.; Yi, Y.; Park, S.Y.; Kim, K.-H.; Kim, J.H.; Won, S.H. Diagnostic accuracy of radiologic methods for ankle syndesmosis injury: A systematic review and meta-analysis. J. Clin. Med. 2019, 8, 968. [Google Scholar] [CrossRef] [PubMed]
- Patel, S.; Malhotra, K.; Cullen, N.P.; Singh, D.; Goldberg, A.J.; Welck, M.J. Defining reference values for the normal tibiofibular syndesmosis in adults using weight-bearing CT. Bone Jt. J. 2019, 101-B, 348–352. [Google Scholar] [CrossRef] [PubMed]
- Park, C.H.; Kim, G.B. Tibiofibular relationships of the normal syndesmosis differ by age on axial computed tomography—Anterior fibular translation with age. Injury 2019, 50, 1256–1260. [Google Scholar] [CrossRef] [PubMed]
- Ng, N.; Onggo, J.R.; Nambiar, M.; Maingard, J.T.; Ng, D.; Gupta, G.; Nandurkar, D.; Babazadeh, S.; Bedi, H. Which test is the best? An updated literature review of imaging modalities for acute ankle diastasis injuries. J. Med. Radiat. Sci. 2022, 69, 382–393. [Google Scholar] [CrossRef]
- Esfahani, S.A.; Bhimani, R.; Lubberts, B.; Kerkhoffs, G.M.; Waryasz, G.; DiGiovanni, C.W.; Guss, D. Volume measurements on weightbearing computed tomography can detect subtle syndesmotic instability. J. Orthop. Res. 2022, 40, 460–467. [Google Scholar] [CrossRef]
- Bhimani, R.; Ashkani-Esfahani, S.; Lubberts, B.; Guss, D.; Hagemeijer, N.C.; Waryasz, G.; DiGiovanni, C.W. Utility of Volumetric Measurement via Weight-Bearing Computed Tomography Scan to Diagnose Syndesmotic Instability. Foot Ankle Int. 2020, 41, 859–865. [Google Scholar] [CrossRef]
- Campbell, T.; Mok, A.; Wolf, M.R.; Tarakemeh, A.; Everist, B.; Vopat, B.G. Augmented stress weightbearing CT for evaluation of subtle tibiofibular syndesmotic injuries in the elite athlete. Skelet. Radiol. 2022, 52, 1221–1227. [Google Scholar] [CrossRef]
- Sman, A.D.; Hiller, C.E.; Rae, K.; Linklater, J.; Black, D.A.; Nicholson, L.L.; Burns, J.; Refshauge, K.M. Diagnostic accuracy of clinical tests for ankle syndesmosis injury. Br. J. Sports Med. 2015, 49, 323–329. [Google Scholar] [CrossRef] [PubMed]
- Baltes, T.P.A.; Al Sayrafi, O.; Arnáiz, J.; Al-Naimi, M.R.; Geertsema, C.; Geertsema, L.; Holtzhausen, L.; D’hooghe, P.; Kerkhoffs, G.M.M.J.; Tol, J.L. Acute clinical evaluation for syndesmosis injury has high diagnostic value. Knee Surg. Sports Traumatol. Arthrosc. 2022, 30, 3871–3880. [Google Scholar] [CrossRef] [PubMed]
- Abdelaziz, M.E.; Hagemeijer, N.; Guss, D.; El-Hawary, A.; El-Mowafi, H.; DiGiovanni, C.W. Evaluation of Syndesmosis Reduction on CT Scan. Foot Ankle Int. 2019, 40, 1087–1093. [Google Scholar] [CrossRef] [PubMed]
- Anand Prakash, D.A. Syndesmotic stability: Is there a radiological normal?—A systematic review. Foot Ankle Surg. 2018, 24, 174–184. [Google Scholar] [CrossRef] [PubMed]
- Chang, A.L.; Mandell, J.C. Syndesmotic Ligaments of the Ankle: Anatomy, Multimodality Imaging, and Patterns of Injury. Curr. Probl. Diagn. Radiol. 2020, 49, 452–459. [Google Scholar] [CrossRef] [PubMed]
- Krähenbühl, N.; Akkaya, M.; Dodd, A.E.; Hintermann, B.; Dutilh, G.; Lenz, A.L.; Barg, A. Impact of the rotational position of the hindfoot on measurements assessing the integrity of the distal tibio-fibular syndesmosis. Foot Ankle Surg. 2020, 26, 810–817. [Google Scholar] [CrossRef] [PubMed]
- Peiffer, M.; Burssens, A.; De Mits, S.; Heintz, T.; Van Waeyenberge, M.; Buedts, K.; Victor, J.; Audenaert, E. Statistical shape model-based tibiofibular assessment of syndesmotic ankle lesions using weight-bearing CT. J. Orthop. Res. 2022, 40, 2873–2884. [Google Scholar] [CrossRef]
- Rodrigues, J.C.; do Amaral e Castro, A.; Rosemberg, L.A.; de Cesar Netto, C.; Godoy-Santos, A.L. Diagnostic Accuracy of Conventional Ankle CT Scan with External Rotation and Dorsiflexion in Patients with Acute Isolated Syndesmotic Instability. Am. J. Sports Med. 2023, 51, 985–996. [Google Scholar] [CrossRef]
- Wohlin, C. Guidelines for snowballing in systematic literature studies and a replication in software engineering. In Proceedings of the 18th International Conference on Evaluation and Assessment in Software Engineering, London, UK, 13–14 May 2014; ACM: New York, NY, USA, 2014; pp. 1–10. [Google Scholar] [CrossRef]
- Malhotra, K.; Welck, M.; Cullen, N.; Singh, D.; Goldberg, A.J. The effects of weight bearing on the distal tibiofibular syndesmosis: A study comparing weight bearing-CT with conventional CT. Foot Ankle Surg. 2019, 25, 511–516. [Google Scholar] [CrossRef]
- Page, M.J.; McKenzie, J.E.; Bossuyt, P.M.; Boutron, I.; Hoffmann, T.C.; Mulrow, C.D.; Shamseer, L.; Tetzlaff, J.M.; Akl, E.A.; Brennan, S.E.; et al. The PRISMA 2020 statement: An updated guideline for reporting systematic reviews. BMJ 2021, 372, n71. [Google Scholar] [CrossRef]
- Ahn, T.K.; Choi, S.M.; Kim, J.Y.; Lee, W.C. Isolated Syndesmosis Diastasis: Computed Tomography Scan Assessment with Arthroscopic Correlation. Arthrosc. J. Arthrosc. Relat. Surg. 2017, 33, 828–834. [Google Scholar] [CrossRef] [PubMed]
- Ebinger, T.; Goetz, J.; Dolan, L.; Phisitkul, P. 3D Model analysis of existing CT syndesmosis measurements. Iowa Orthop. J. 2013, 33, 40–46. [Google Scholar] [PubMed]
- Elgafy, H.; Semaan, H.B.; Blessinger, B.; Wassef, A.; Ebraheim, N.A. Computed tomography of normal distal tibiofibular syndesmosis. Skelet. Radiol. 2010, 39, 559–564. [Google Scholar] [CrossRef] [PubMed]
- Gardner, M.J.; Demetrakopoulos, D.; Briggs, S.M.; Helfet, D.L.; Lorich, D.G. Malreduction of the Tibiofibular Syndesmosis in Ankle Fractures. Foot Ankle Int. 2006, 27, 788–792. [Google Scholar] [CrossRef] [PubMed]
- Hamard, M.; Neroladaki, A.; Bagetakos, I.; Dubois-Ferrière, V.; Montet, X.; Boudabbous, S. Accuracy of cone-beam computed tomography for syndesmosis injury diagnosis compared to conventional computed tomography. Foot Ankle Surg. 2020, 26, 265–272. [Google Scholar] [CrossRef] [PubMed]
- Lepojärvi, S.; Niinimäki, J.; Pakarinen, H.; Leskelä, H.V. Rotational Dynamics of the Normal Distal Tibiofibular Joint with Weight-Bearing Computed Tomography. Foot Ankle Int. 2016, 37, 627–635. [Google Scholar] [CrossRef] [PubMed]
- Nault, M.-L.; Hébert-Davies, J.; Laflamme, G.-Y.; Leduc, S. CT Scan Assessment of the Syndesmosis: A New Reproducible Method. J. Orthop. Trauma. 2013, 27, 638–641. [Google Scholar] [CrossRef]
- Shakoor, D.; Osgood, G.M.; Brehler, M.; Zbijewski, W.B.; Netto, C.d.C.; Shafiq, B.; Orapin, J.; Thawait, G.K.; Shon, L.C.; Demehri, S. Cone-beam CT measurements of distal tibio-fibular syndesmosis in asymptomatic uninjured ankles: Does weight-bearing matter? Skelet. Radiol. 2019, 48, 583–594. [Google Scholar] [CrossRef]
- Wong, F.; Mills, R.; Mushtaq, N.; Walker, R.; Singh, S.K.; Abbasian, A. Correlation and comparison of syndesmosis dimension on CT and MRI. Foot 2016, 28, 36–41. [Google Scholar] [CrossRef]
- Wong, M.T.; Wiens, C.; Lamothe, J.; Edwards, W.B.; Schneider, P.S. Four-Dimensional CT Analysis of Normal Syndesmotic Motion. Foot Ankle Int. 2021, 42, 1491–1501. [Google Scholar] [CrossRef]
- Yeung, T.W.; Chan, C.Y.G.; Chan, W.C.S.; Yeung, Y.N.; Yuen, M.K. Can pre-operative axial CT imaging predict syndesmosis instability in patients sustaining ankle fractures? Seven years’ experience in a tertiary trauma center. Skelet. Radiol. 2015, 44, 823–829. [Google Scholar] [CrossRef] [PubMed]
- Hagemeijer, N.C.; Chang, S.H.; Abdelaziz, M.E.; Casey, J.C.; Waryasz, G.R.; Guss, D.; DiGiovanni, C.W. Range of Normal and Abnormal Syndesmotic Measurements Using Weightbearing CT. Foot Ankle Int. 2019, 40, 1430–1437. [Google Scholar] [CrossRef] [PubMed]
- del Rio, A.; Bewsher, S.M.; Roshan-Zamir, S.; Tate, J.; Eden, M.; Gotmaker, R.; Wang, O.; Bedi, H.S.; Rotstein, A.H. Weightbearing Cone-Beam Computed Tomography of Acute Ankle Syndesmosis Injuries. J. Foot Ankle Surg. 2020, 59, 258–263. [Google Scholar] [CrossRef] [PubMed]
- Malhotra, G.; Cameron, J.; Toolan, B.C. Diagnosing chronic diastasis of the syndesmosis: A novel measurement using computed tomography. Foot Ankle Int. 2014, 35, 483–488. [Google Scholar] [CrossRef] [PubMed]
- Dikos, G.D.; Heisler, J.; Choplin, R.H.; Weber, T.G. Normal Tibiofibular Relationships at the Syndesmosis on Axial CT Imaging. J. Orthop. Trauma. 2012, 26, 433–438. [Google Scholar] [CrossRef] [PubMed]
- Vetter, S.Y.; Gassauer, M.; Uhlmann, L.; Swartman, B.; Schnetzke, M.; Keil, H.; Franke, J.; Grützner, P.A.; Beisemann, N. A standardised computed tomography measurement method for distal fibular rotation. Eur. J. Trauma. Emerg. Surg. 2021, 47, 891–896. [Google Scholar] [CrossRef] [PubMed]
- Phisitkul, P.; Ebinger, T.; Goetz, J.; Vaseenon, T.; Marsh, J.L. Forceps reduction of the syndesmosis in rotational ankle fractures: A cadaveric study. J. Bone Joint Surg. Am. 2012, 94, 2256–2261. [Google Scholar] [CrossRef] [PubMed]
- Osgood, G.M.; Shakoor, D.; Orapin, J.; Qin, J.; Khodarahmi, I.; Thawait, G.K.; Ficke, J.R.; Schon, L.C.; Demehri, S. Reliability of distal tibio-fibular syndesmotic instability measurements using weightbearing and non-weightbearing cone-beam CT. Foot Ankle Surg. 2019, 25, 771–781. [Google Scholar] [CrossRef]
- Tang, C.W.; Roidis, N.; Vaishnav, S.; Patel, A.; Thordarson, D.B. Position of the Distal Fibular Fragment in Pronation and Supination Ankle Fractures: A CT Evaluation. Foot Ankle Int. 2003, 24, 561–566. [Google Scholar] [CrossRef]
- Peiffer, M.; Dhont, T.; Cuigniez, F.; Tampere, T.; Ashkani-Esfahani, S.; D’hooghe, P.; Audenaert, E.; Burssens, A. Application of external torque enhances the detection of subtle syndesmotic ankle instability in a weight-bearing CT. Knee Surg. Sports Traumatol. Arthrosc, 2023; Online ahead of print. [Google Scholar] [CrossRef]
- Dibbern, K.; Vivtcharenko, V.; Mansur, N.S.B.; Lalevée, M.; de Carvalho, K.A.M.; Lintz, F.; Barg, A.; Goldberg, A.J.; Netto, C.d.C. Distance mapping and volumetric assessment of the ankle and syndesmotic joints in progressive collapsing foot deformity. Sci. Rep. 2023, 13, 4801. [Google Scholar] [CrossRef]
- Taser, F.; Shafiq, Q.; Ebraheim, N.A. Three-dimensional volume rendering of tibiofibular joint space and quantitative analysis of change in volume due to tibiofibular syndesmosis diastases. Skelet. Radiol. 2006, 35, 935–941. [Google Scholar] [CrossRef] [PubMed]
- Kocadal, O.; Yucel, M.; Pepe, M.; Aksahin, E.; Aktekin, C.N. Evaluation of Reduction Accuracy of Suture-Button and Screw Fixation Techniques for Syndesmotic Injuries. Foot Ankle Int. 2016, 37, 1317–1325. [Google Scholar] [CrossRef] [PubMed]
- Gruenewald, L.D.; Leitner, D.H.; Koch, V.; Martin, S.S.; Yel, I.; Mahmoudi, S.; Bernatz, S.; Eichler, K.; Gruber-Rouh, T.; Dos Santos, D.P.; et al. Diagnostic Value of DECT-Based Collagen Mapping for Assessing the Distal Tibiofibular Syndesmosis in Patients with Acute Trauma. Diagnostics 2023, 13, 533. [Google Scholar] [CrossRef] [PubMed]
- Krähenbühl, N.; Weinberg, M.W.; Davidson, N.P.; Mills, M.K.; Hintermann, B.; Saltzman, C.L.; Barg, A. Imaging in syndesmotic injury: A systematic literature review. Skelet. Radiol. 2018, 47, 631–648. [Google Scholar] [CrossRef] [PubMed]
- Rodrigues, J.C.; Santos, A.L.G.; Prado, M.P.; Alloza, J.F.M.; Masagão, R.A.; Rosemberg, L.A.; Barros, D.D.C.S.; e Castro, A.D.A.; Demange, M.K.; Lenza, M.; et al. Comparative CT with stress manoeuvres for diagnosing distal isolated tibiofibular syndesmotic injury in acute ankle sprain: A protocol for an accuracy-test prospective study. BMJ Open 2020, 10, e037239. [Google Scholar] [CrossRef] [PubMed]
- Peiffer, M.; Van Den Borre, I.; Segers, T.; Ashkani-Esfahani, S.; Guss, D.; De Cesar Netto, C.; DiGiovanni, C.W.; Victor, J.; Audenaert, E. Implementing automated 3D measurements to quantify reference values and side-to-side differences in the ankle syndesmosis. Sci. Rep. 2023, 13, 13774. [Google Scholar] [CrossRef]





Disclaimer/Publisher’s Note: The statements, opinions and data contained in all publications are solely those of the individual author(s) and contributor(s) and not of MDPI and/or the editor(s). MDPI and/or the editor(s) disclaim responsibility for any injury to people or property resulting from any ideas, methods, instructions or products referred to in the content. |
© 2023 by the authors. Licensee MDPI, Basel, Switzerland. This article is an open access article distributed under the terms and conditions of the Creative Commons Attribution (CC BY) license (https://creativecommons.org/licenses/by/4.0/).
Share and Cite
Dhont, T.; Huyghe, M.; Peiffer, M.; Hagemeijer, N.; Karaismailoglu, B.; Krahenbuhl, N.; Audenaert, E.; Burssens, A. Ins and Outs of the Ankle Syndesmosis from a 2D to 3D CT Perspective. Appl. Sci. 2023, 13, 10624. https://doi.org/10.3390/app131910624
Dhont T, Huyghe M, Peiffer M, Hagemeijer N, Karaismailoglu B, Krahenbuhl N, Audenaert E, Burssens A. Ins and Outs of the Ankle Syndesmosis from a 2D to 3D CT Perspective. Applied Sciences. 2023; 13(19):10624. https://doi.org/10.3390/app131910624
Chicago/Turabian StyleDhont, Thibaut, Manu Huyghe, Matthias Peiffer, Noortje Hagemeijer, Bedri Karaismailoglu, Nicola Krahenbuhl, Emmanuel Audenaert, and Arne Burssens. 2023. "Ins and Outs of the Ankle Syndesmosis from a 2D to 3D CT Perspective" Applied Sciences 13, no. 19: 10624. https://doi.org/10.3390/app131910624
APA StyleDhont, T., Huyghe, M., Peiffer, M., Hagemeijer, N., Karaismailoglu, B., Krahenbuhl, N., Audenaert, E., & Burssens, A. (2023). Ins and Outs of the Ankle Syndesmosis from a 2D to 3D CT Perspective. Applied Sciences, 13(19), 10624. https://doi.org/10.3390/app131910624

