The Bactericidal Activity of a Novel Aneurinibacillus aneurinilyticus Isolate Effectively Controls Foodborne Pathogens Campylobacter jejuni and Listeria monocytogenes
Abstract
1. Introduction
2. Materials and Methods
2.1. Bacterial Strains
2.2. Transwell and Competitive Exclusion Experiments
2.3. Gram Stain and Photomicroscopy
2.4. Preparation of Strain NH Cell-Free Culture Supernatant Ammonium Sulfate (CFCSAS) Filtrate Dialysate
2.5. Batch Adsorption of the Active Protein from Cell-Free Filtrate Dialysate to Ion-Exchange Resins
2.6. Bioassay for Campylobacter or Listeria Bactericidal Activity
2.7. Cation-Exchange Chromatography of Cell-Free Filtrate Dialysate
2.8. Isoelectric Focusing
2.9. Species Determination of Strain NH
2.10. Mass Spectroscopy of SDS-PAGE Protein Band
2.10.1. Trypsin Digestion for Protein Identification
2.10.2. Mass Spectrometry Analysis for Proteomics
2.11. Statistical Analysis
3. Results
3.1. Competitive Exclusion in Transwell Culture Plates
3.2. Characterization of the Size of the Antagonistic Substance and Correlation of Bactericidal Activity with Protein Concentration
3.3. Batch Adsorption of the Active Protein from Cell-Free Filtrate Dialysate to Ion-Exchange Resins
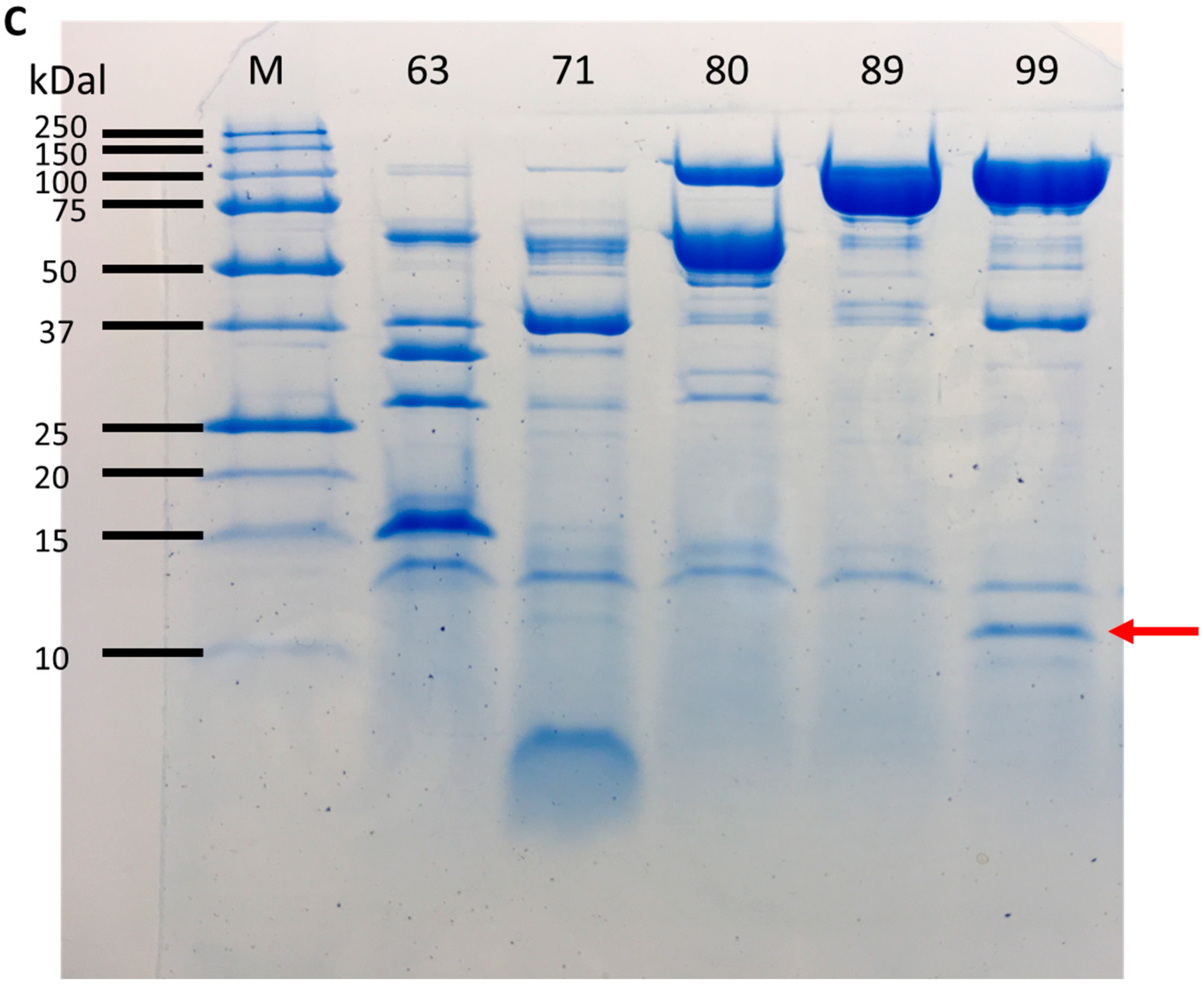
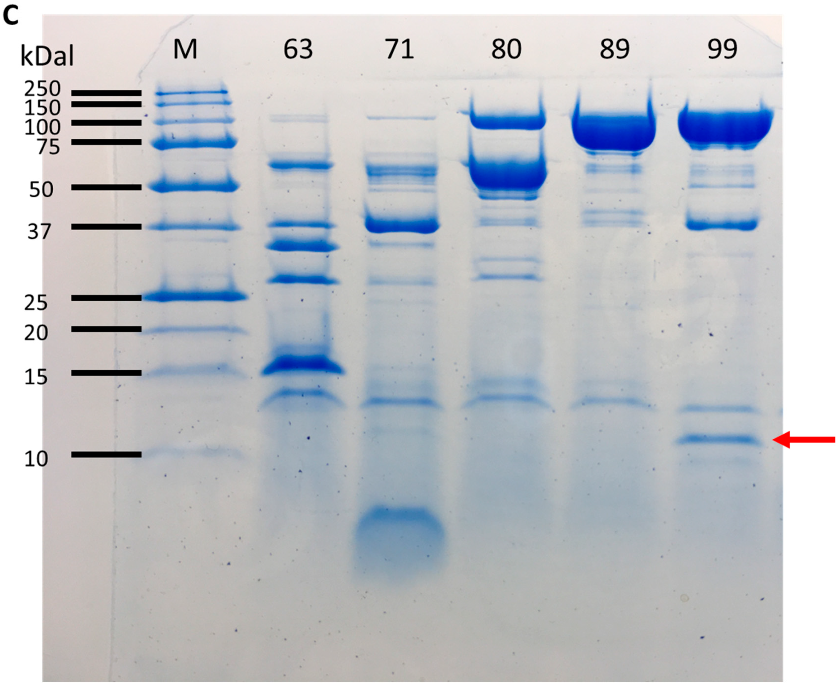
3.4. Partial Purification of the Bactericidal Protein via Cation-Exchange Chromatography and Isoelectric Focusing
3.5. Mass Spectrometric Identification of the SDS-PAGE Protein Band
3.6. Identification of Strain NH as Aneurinibacillus aneurinilyticus
3.7. Analysis of the flgM Gene of A. aneurinibacillus Strain NH
4. Discussion
5. Conclusions
Supplementary Materials
Author Contributions
Funding
Conflicts of Interest
References
- Tack, D.M.; Marder, E.P.; Griffin, P.M.; Cieslak, P.R.; Dunn, J.; Hurd, S.; Scallan, E.; Lathrop, S.; Muse, A.; Ryan, P.; et al. Preliminary Incidence and Trends of Infections with Pathogens Transmitted Commonly Through Food—Foodborne Diseases Active Surveillance Network, 10 U.S. Sites, 2015–2018. MMWR Morb. Mortal. Wkly. Rep. 2019, 68, 369–373. [Google Scholar] [CrossRef] [PubMed]
- Fleckenstein, J.M.; Matthew Kuhlmann, F.; Sheikh, A. Acute Bacterial Gastroenteritis. Gastroenterol. Clin. N. Am. 2021, 50, 283–304. [Google Scholar] [CrossRef] [PubMed]
- Batz, M.B.; Hoffmann, S.; Morris, J.G. Ranking the Disease Burden of 14 Pathogens in Food Sources in the United States Using Attribution Data from Outbreak Investigations and Expert Elicitation. J. Food Prot. 2012, 75, 1278–1291. [Google Scholar] [CrossRef] [PubMed]
- Hoffmann, S.; Batz, M.B.; Morris, J.G. Annual Cost of Illness and Quality-Adjusted Life Year Losses in the United States Due to 14 Foodborne Pathogens. J. Food Prot. 2012, 75, 1292–1302. [Google Scholar] [CrossRef]
- Acheson, D.; Allos, B.M. Campylobacter jejuni Infections: Update on Emerging Issues and Trends. Clin. Infect. Dis. 2001, 32, 1201–1206. [Google Scholar] [CrossRef] [PubMed]
- Fernandez-Cruz, A.; Muñoz, P.; Mohedano, R.; Valerio, M.; Marín, M.; Alcalá, L.; Rodriguez-Créixems, M.; Cercenado, E.; Bouza, E. Campylobacter Bacteremia: Clinical Characteristics, Incidence, and Outcome over 23 Years. Medicine 2010, 89, 319–330. [Google Scholar] [CrossRef] [PubMed]
- Klem, F.; Wadhwa, A.; Prokop, L.J.; Sundt, W.J.; Farrugia, G.; Camilleri, M.; Singh, S.; Grover, M. Prevalence, Risk Factors, and Outcomes of Irritable Bowel Syndrome after Infectious Enteritis: A Systematic Review and Meta-Analysis. Gastroenterology 2017, 152, 1042–1054.e1. [Google Scholar] [CrossRef]
- Dai, L.; Sahin, O.; Grover, M.; Zhang, Q. New and Alternative Strategies for the Prevention, Control, and Treatment of Antibiotic-Resistant Campylobacter. Transl. Res. 2020, 223, 76–88. [Google Scholar] [CrossRef]
- Casagrande Proietti, P.; Guelfi, G.; Bellucci, S.; De Luca, S.; Di Gregorio, S.; Pieramati, C.; Franciosini, M.P. Beta-Lactam Resistance in Campylobacter coli and Campylobacter jejuni Chicken Isolates and the Association between BlaOXA-61 Gene Expression and the Action of β-Lactamase Inhibitors. Vet. Microbiol. 2020, 241, 108553. [Google Scholar] [CrossRef]
- Humphrey, S.; Chaloner, G.; Kemmett, K.; Davidson, N.; Williams, N.; Kipar, A.; Humphrey, T.; Wigley, P. Campylobacter jejuni Is Not Merely a Commensal in Commercial Broiler Chickens and Affects Bird Welfare. mBio 2014, 5, e01364-14. [Google Scholar] [CrossRef]
- Menzies, P.I. Vaccination Programs for Reproductive Disorders of Small Ruminants. Anim. Reprod. Sci. 2012, 130, 162–172. [Google Scholar] [CrossRef]
- Courtice, J.M.; Mahdi, L.K.; Groves, P.J.; Kotiw, M. Spotty Liver Disease: A Review of an Ongoing Challenge in Commercial Free-Range Egg Production. Vet. Microbiol. 2018, 227, 112–118. [Google Scholar] [CrossRef]
- Yaeger, M.J.; Wu, Z.; Plummer, P.J.; Sahin, O.; Ocal, M.M.; Beyi, A.F.; Xu, C.; Zhang, Q.; Griffith, R.W. Experimental Evaluation of Tulathromycin as a Treatment for Campylobacter jejuni Abortion in Pregnant Ewes. Am. J. Vet. Res. 2020, 81, 205–209. [Google Scholar] [CrossRef]
- Sahin, O.; Plummer, P.J.; Jordan, D.M.; Sulaj, K.; Pereira, S.; Robbe-Austerman, S.; Wang, L.; Yaeger, M.J.; Hoffman, L.J.; Zhang, Q. Emergence of a Tetracycline-Resistant Campylobacter jejuni Clone Associated with Outbreaks of Ovine Abortion in the United States. J. Clin. Microbiol. 2008, 46, 1663–1671. [Google Scholar] [CrossRef]
- Friedman, C.R.; Hoekstra, R.M.; Samuel, M.; Marcus, R.; Bender, J.; Shiferaw, B.; Reddy, S.; Ahuja, S.D.; Helfrick, D.L.; Hardnett, F.; et al. Risk Factors for Sporadic Campylobacter Infection in the United States: A Case-Control Study in FoodNet Sites. Clin. Infect. Dis. 2004, 38, S285–S296. [Google Scholar] [CrossRef] [PubMed]
- Mossong, J.; Mughini-Gras, L.; Penny, C.; Devaux, A.; Olinger, C.; Losch, S.; Cauchie, H.-M.; van Pelt, W.; Ragimbeau, C. Human Campylobacteriosis in Luxembourg, 2010–2013: A Case-Control Study Combined with Multilocus Sequence Typing for Source Attribution and Risk Factor Analysis. Sci. Rep. 2016, 6, 20939. [Google Scholar] [CrossRef] [PubMed]
- Ravel, A.; Hurst, M.; Petrica, N.; David, J.; Mutschall, S.K.; Pintar, K.; Taboada, E.N.; Pollari, F. Source Attribution of Human Campylobacteriosis at the Point of Exposure by Combining Comparative Exposure Assessment and Subtype Comparison Based on Comparative Genomic Fingerprinting. PLoS ONE 2017, 12, 1–21. [Google Scholar] [CrossRef]
- Rosner, B.M.; Schielke, A.; Didelot, X.; Kops, F.; Breidenbach, J.; Willrich, N.; Gölz, G.; Alter, T.; Stingl, K.; Josenhans, C.; et al. A Combined Case-Control and Molecular Source Attribution Study of Human Campylobacter Infections in Germany, 2011–2014. Sci. Rep. 2017, 7, 5139. [Google Scholar] [CrossRef]
- Bily, L.; Petton, J.; Lalande, F.; Rouxel, S.; Denis, M.; Chemaly, M.; Salivat, G.; Fravalo, P. Quantitative and Qualitative Evaluation of Campylobacter Spp. Contamination of Turkey Cecal Contents and Carcasses during and Following the Slaughtering Process. J. Food Prot. 2010, 73, 1212–1218. [Google Scholar] [CrossRef] [PubMed]
- Jacobs-Reitsma, W.; Lyhs, U.; Wagenaar, J. Campylobacter in the Food Supply. In Campylobacter, 2nd ed.; American Society of Microbiology: Washington, DC, USA, 2008; pp. 627–644. [Google Scholar]
- Rosenquist, H.; Sommer, H.M.; Nielsen, N.L.; Christensen, B.B. The Effect of Slaughter Operations on the Contamination of Chicken Carcasses with Thermotolerant Campylobacter. Int. J. Food Microbiol. 2006, 108, 226–232. [Google Scholar] [CrossRef]
- Wagenaar, J.A.; Jacobs-Reitsma, W.; Hofshagen, M.; Newell, D. Poultry Colonization with Campylobacter and Its Control at the Primary Production Level. In Campylobacter, 3rd ed.; American Society of Microbiology: Washington, DC, USA, 2008; pp. 667–678. [Google Scholar]
- Sahin, O.; Zhang, Q.; Meitzler, J.C.; Harr, B.S.; Morishita, T.Y.; Mohan, R. Prevalence, Antigenic Specificity, and Bactericidal Activity of Poultry Anti-Campylobacter Maternal Antibodies. Appl. Environ. Microbiol. 2001, 67, 3951. [Google Scholar] [CrossRef]
- Wyszyńska, A.; Raczko, A.; Lis, M.; Jagusztyn-Krynicka, E.K. Oral Immunization of Chickens with Avirulent Salmonella Vaccine Strain Carrying C. jejuni 72Dz/92 CjaA Gene Elicits Specific Humoral Immune Response Associated with Protection against Challenge with Wild-Type Campylobacter. Vaccine 2004, 22, 1379–1389. [Google Scholar] [CrossRef]
- Nothaft, H.; Davis, B.; Lock, Y.Y.; Perez-Munoz, M.E.; Vinogradov, E.; Walter, J.; Coros, C.; Szymanski, C.M. Engineering the Campylobacter jejuni N-Glycan to Create an Effective Chicken Vaccine. Sci. Rep. 2016, 6, 26511. [Google Scholar] [CrossRef] [PubMed]
- Layton, S.L.; Morgan, M.J.; Cole, K.; Kwon, Y.M.; Donoghue, D.J.; Hargis, B.M.; Pumford, N.R. Evaluation of Salmonella-Vectored Campylobacter Peptide Epitopes for Reduction of Campylobacter jejuni in Broiler Chickens. Clin. Vaccine Immunol. 2011, 18, 449–454. [Google Scholar] [CrossRef] [PubMed]
- Wanford, J.J.; Lango-Scholey, L.; Nothaft, H.; Hu, Y.; Szymanski, C.M.; Bayliss, C.D. Random Sorting of Campylobacter jejuni Phase Variants Due to a Narrow Bottleneck during Colonization of Broiler Chickens. Microbiology 2018, 164, 896–907. [Google Scholar] [CrossRef]
- Cayrou, C.; Barratt, N.A.; Ketley, J.M.; Bayliss, C.D. Phase Variation during Host Colonization and Invasion by Campylobacter jejuni and Other Campylobacter Species. Front. Microbiol. 2021, 12, 705139. [Google Scholar] [CrossRef] [PubMed]
- Kim, S.A.; Jang, M.J.; Kim, S.Y.; Yang, Y.; Pavlidis, H.O.; Ricke, S.C. Potential for Prebiotics as Feed Additives to Limit Foodborne Campylobacter Establishment in the Poultry Gastrointestinal Tract. Front. Microbiol. 2019, 10, 91. [Google Scholar] [CrossRef] [PubMed]
- Solis de los Santos, F.; Hume, M.; Venkitanarayanan, K.; Donoghue, A.M.; Hanning, I.; Slavik, M.F.; Aguiar, V.F.; Metcalf, J.H.; Reyes-Herrera, I.; Blore, P.J.; et al. Caprylic Acid Reduces Enteric Campylobacter Colonization in Market-Aged Broiler Chickens but Does Not Appear to Alter Cecal Microbial Populations. J. Food Prot. 2010, 73, 251–257. [Google Scholar] [CrossRef]
- Guyard-Nicodème, M.; Keita, A.; Quesne, S.; Amelot, M.; Poezevara, T.; Le Berre, B.; Sánchez, J.; Vesseur, P.; Martín, Á.; Medel, P.; et al. Efficacy of Feed Additives against Campylobacter in Live Broilers during the Entire Rearing Period. Poult. Sci. 2016, 95, 298–305. [Google Scholar] [CrossRef]
- Svetoch, E.A.; Stern, N.J.; Eruslanov, B.V.; Kovolev, Y.N.; VOLODINA, L.I.; Perelygin, V.V.; Mitsevich, E.V.; Mitsevich, I.P.; Pokhilenko, V.D.; Borzenkov, V.N.; et al. Isolation of Bacillus circulans and Paenibacillus polymyxa Strains Inhibitory to Campylobacter jejuni and Characterization of Associated Bacteriocins. J. Food Prot. 2005, 68, 11–17. [Google Scholar] [CrossRef]
- Stern, N.J.; Svetoch, E.A.; Eruslanov, B.V.; Perelygin, V.V.; Mitsevich, E.V.; Mitsevich, I.P.; Pokhilenko, V.D.; Levchuk, V.P.; Svetoch, O.E.; Seal, B.S. Isolation of a Lactobacillus salivarius Strain and Purification of Its Bacteriocin, Which Is Inhibitory to Campylobacter jejuni in the Chicken Gastrointestinal System. Antimicrob. Agents Chemother. 2006, 50, 3111–3116. [Google Scholar] [CrossRef]
- Kirk, M.D.; Pires, S.M.; Black, R.E.; Caipo, M.; Crump, J.A.; Devleesschauwer, B.; Döpfer, D.; Fazil, A.; Fischer-Walker, C.L.; Hald, T.; et al. World Health Organization Estimates of the Global and Regional Disease Burden of 22 Foodborne Bacterial, Protozoal, and Viral Diseases, 2010: A Data Synthesis. PLoS Med. 2015, 12, e1001921. [Google Scholar] [CrossRef]
- US FDA. Get the Facts about Listeria. 2020. Available online: https://www.fda.gov/animal-veterinary/animal-health-literacy/get-facts-about-listeria#statistics (accessed on 3 September 2023).
- Scallan, E.; Hoekstra, R.M.; Mahon, B.E.; Jones, T.F.; Griffin, P.M. An Assessment of the Human Health Impact of Seven Leading Foodborne Pathogens in the United States Using Disability Adjusted Life Years. Epidemiol. Infect. 2015, 143, 2795–2804. [Google Scholar] [CrossRef]
- FAO. Listeria Monocytogenes in Ready-to-Eat (RTE) Foods: Attribution, Characterization, and Monitoring; Microbiological Risk Assessment Series, No. 38; FAO and WHO: Rome, Italy, 2022. [Google Scholar]
- Koopmans, M.; Brouwer, M.; Vazquez-Boland, J.; van de Beek, D. Human Listeriosis. Clin. Microbiol. Rev. 2023, 36, 1–45. [Google Scholar] [CrossRef] [PubMed]
- Thonnings, S.; Knudsen, J.D.; Schonheyder, H.C.; Sogaard, M.; Arpi, M.; Gradel, K.O.; Østergaard, C.; Østergaard, C.; Arpi, M.; Gradel, K.O.; et al. Antibiotic Treatment and Mortality in Patients with Listeria monocytogenes Meningitis or Bacteraemia. Clin. Microbiol. Infect. 2016, 22, 725–730. [Google Scholar] [CrossRef] [PubMed]
- Ray, L.C.; Collins, J.P.; Griffin, P.M.; Shah, H.J.; Boyle, M.M.; Cieslak, P.R.; Dunn, J.; Lathrop, S.; McGuire, S.; Rissman, T.; et al. Decreased Incidence of Infections Caused by Pathogens Transmitted Commonly Through Food During the COVID-19 Pandemic—Foodborne Diseases Active Surveillance Network, 10 U.S. Sites, 2017-2020. MMWR Morb. Mortal Wkly. Rep. 2021, 70, 1332–1336. [Google Scholar] [CrossRef] [PubMed]
- CDC. Listeria (Listeriosis). 2023. Available online: https://www.cdc.gov/listeria/outbreaks/deli-11-22/ (accessed on 3 September 2023).
- USDA FSIS. FSIS Directive 10,240.4. 2022. Available online: https://www.fsis.usda.gov/policy/fsis-directives/10240.4 (accessed on 3 September 2023).
- Spanu, C.; Jordan, K. Listeria monocytogenes Environmental Sampling Program in Ready-to-Eat Processing Facilities: A Practical Approach. Compr. Rev. Food Sci. Food Saf. 2020, 19, 2843–2861. [Google Scholar] [CrossRef] [PubMed]
- Moran, L.J.; Verwiel, Y.; Bahri Khomami, M.; Roseboom, T.J.; Painter, R.C. Nutrition and Listeriosis during Pregnancy: A Systematic Review. J. Nutr. Sci. 2018, 7, e25. [Google Scholar] [CrossRef]
- Shida, O.; Takagi, H.; Kadowaki, K.; Komagata, K. Proposal for Two New Genera, Brevibacillus Gen. Nov. and Aneurinibacillus Gen. Nov. Int. J. Syst. Evol. Microbiol. 1996, 46, 939–946. [Google Scholar] [CrossRef]
- Rubinelli, P.M.; Kim, S.A.; Park, S.H.; Roto, S.M.; Nealon, N.J.; Ryan, E.P.; Ricke, S.C. Differential Effects of Rice Bran Cultivars to Limit Salmonella Typhimurium in Chicken Cecal in vitro Incubations and Impact on the Cecal Microbiome and Metabolome. PLoS ONE 2017, 12, e0185002. [Google Scholar] [CrossRef]
- Stempler, O.; Baidya, A.K.; Bhattacharya, S.; Malli Mohan, G.B.; Tzipilevich, E.; Sinai, L.; Mamou, G.; Ben-Yehuda, S. Interspecies Nutrient Extraction and Toxin Delivery between Bacteria. Nat. Commun. 2017, 8, 315. [Google Scholar] [CrossRef] [PubMed]
- Khochamit, N.; Siripornadulsil, S.; Sukon, P.; Siripornadulsil, W. Antibacterial Activity and Genotypic–Phenotypic Characteristics of Bacteriocin-Producing Bacillus subtilis KKU213: Potential as a Probiotic Strain. Microbiol. Res. 2015, 170, 36–50. [Google Scholar] [CrossRef] [PubMed]
- Duong-Ly, K.C.; Gabelli, S.B. Salting out of Proteins Using Ammonium Sulfate Precipitation. In Laboratory Methods in Enzymology: Protein Part C; Lorsch, J., Ed.; Methods in Enzymology; Academic Press: Cambridge, MA, USA, 2014; Volume 541, pp. 85–94. [Google Scholar]
- Jungbauer, A.; Hahn, R. Ion-Exchange Chromatography. In Guide to Protein Purification; Methods in Enzymology; Academic Press: Oxford, UK, 2009; Volume 463, pp. 349–371. [Google Scholar]
- O’Bryan, C.A.; Hemminger, C.L.; Rubinelli, P.M.; Koo, O.K.; Story, R.S.; Crandall, P.G.; Ricke, S.C. The Efficacy of a Commercial Antimicrobial for Inhibiting Salmonella in Pet Food. Agric. Food Anal. Bacteriol. 2015, 5, 65–72. [Google Scholar]
- Kozich, J.J.; Westcott, S.L.; Baxter, N.T.; Highlander, S.K.; Schloss, P.D. Development of a Dual-Index Sequencing Strategy and Curation Pipeline for Analyzing Amplicon Sequence Data on the MiSeq Illumina Sequencing Platform. Appl. Environ. Microbiol. 2013, 79, 5112–5120. [Google Scholar] [CrossRef] [PubMed]
- Singh, R.; Liyanage, R.; Gupta, C.; Lay, J.O.; Pereira, A.; Rojas, C.M. The Arabidopsis Proteins AtNHR2A and AtNHR2B Are Multi-Functional Proteins Integrating Plant Immunity with Other Biological Processes. Front. Plant Sci. 2020, 11. [Google Scholar] [CrossRef]
- Baker, G.C.; Smith, J.J.; Cowan, D.A. Review and Re-Analysis of Domain-Specific 16S Primers. J. Microbiol. Methods 2003, 55, 541–555. [Google Scholar] [CrossRef]
- Stackebrandt, E. Taxonomic Parameters Revisited: Tarnished Gold Standards. Microbiol. Today 2006, 33, 152–155. [Google Scholar]
- Abriouel, H.; Franz, C.M.A.P.; Omar, N.B.; Gálvez, A. Diversity and Applications of Bacillus Bacteriocins. FEMS Microbiol. Rev. 2011, 35, 201–232. [Google Scholar] [CrossRef]
- Chatterjee, C.; Paul, M.; Xie, L.; van der Donk, W.A. Biosynthesis and Mode of Action of Lantibiotics. Chem. Rev. 2005, 105, 633–684. [Google Scholar] [CrossRef]
- LeMarrec, C.; Hyronimus, B.; Bressollier, P.; Verneuil, B.; Urdaci, M.C. Biochemical and Genetic Characterization of Coagulin, a New Antilisterial Bacteriocin in the Pediocin Family of Bacteriocins, Produced by Bacillus coagulans I4. Appl. Environ. Microbiol. 2000, 66, 5213–5220. [Google Scholar] [CrossRef]
- Ozaki, M.; Higashi, Y.; Saito, H.; An, T.; Amano, T. Identity of Megacin A with Phospholipase A. Biken J. 1966, 9, 201–213. [Google Scholar]
- Von Tersch, M.A.; Carlton, B.C. Bacteriocin from Bacillus megaterium ATCC 19213: Comparative Studies with Megacin A-216. J. Bacteriol. 1983, 155, 866–871. [Google Scholar] [CrossRef] [PubMed]
- Kiss, A.; Balikó, G.; Csorba, A.; Tungalag, C.; Medzihradszky, K.; Alföldi, L. Cloning and Characterization of the DNA Region Responsible for Megacin A-216 Production in Bacillus megaterium 216. J. Bacteriol. 2008, 190, 6448–6457. [Google Scholar] [CrossRef] [PubMed]
- Romero-Barrios, P.; Hempen, M.; Messens, W.; Stella, P.; Hugas, M. Quantitative Microbiological Risk Assessment (QMRA) of Food-Borne Zoonoses at the European Level. Food Control 2013, 29, 343–349. [Google Scholar] [CrossRef]
- Gupta, S.; Pandey, S.; Sharma, S. Decoding the Plant Growth Promotion and Antagonistic Potential of Bacterial Endophytes from Ocimum sanctum L. against Root Rot Pathogen Fusarium oxysporum in Pisum sativum. Front. Plant Sci. 2022, 13, 813686. [Google Scholar] [CrossRef]
- Solekha, R.; Susanto, F.A.; Joko, T.; Nuringtyas, T.R.; Purwestri, Y.A. Phenylalanine Ammonia Lyase (PAL) Contributes to the Resistance of Black Rice against Xanthomonas oryzae Pv. oryzae. J. Plant Pathol. 2020, 102, 359–365. [Google Scholar] [CrossRef]
- Balan, S.S.; Kumar, C.G.; Jayalakshmi, S. Aneurinifactin, a New Lipopeptide Biosurfactant Produced by a Marine Aneurinibacillus aneurinilyticus SBP-11 Isolated from Gulf of Mannar: Purification, Characterization and Its Biological Evaluation. Microbiol. Res. 2017, 194, 1–9. [Google Scholar] [CrossRef]
- Alenezi, F.N.; Rekik, I.; Bełka, M.; Ibrahim, A.F.; Luptakova, L.; Jaspars, M.; Woodward, S.; Belbahri, L. Strain-Level Diversity of Secondary Metabolism in the Biocontrol Species Aneurinibacillus Migulanus. Microbiol. Res. 2016, 182, 116–124. [Google Scholar] [CrossRef]
- Gillen, K.L.; Hughes, K.T. Molecular Characterization of flgM, a Gene Encoding a Negative Regulator of Flagellin Synthesis in Salmonella Typhimurium. J. Bacteriol. 1991, 173, 6453–6459. [Google Scholar] [CrossRef][Green Version]
- Ohnishi, K.; Kutsukake, K.; Suzuki, H.; Lino, T. A Novel Transcriptional Regulation Mechanism in the Flagellar Regulon of Salmonella Typhimurium: An Anti-Sigma Factor Inhibits the Activity of the Flagellum-Specific Sigma Factor, ΣF. Mol. Microbiol. 1992, 6, 3149–3157. [Google Scholar] [CrossRef]
- Hughes, K.T.; Gillen, K.L.; Semon, M.J.; Karlinsey, J.E. Sensing Structural Intermediates in Bacterial Flagellar Assembly by Export of a Negative Regulator. Science 1993, 262, 1277–1280. [Google Scholar] [CrossRef]
- Kutsukake, K. Excretion of the Anti-Sigma Factor through a Flagellar Substructure Couples Flagellar Gene Expression with Flagellar Assembly in Salmonella Typhimurium. Mol. Gen. Genet. MGG 1994, 243, 605–612. [Google Scholar] [CrossRef] [PubMed]
- Calvo, R.A.; Kearns, D.B. FlgM Is Secreted by the Flagellar Export Apparatus in Bacillus subtilis. J. Bacteriol. 2015, 197, 81–91. [Google Scholar] [CrossRef] [PubMed]
- Helmann, J.D.; Márquez, L.M.; Chamberlin, M.J. Cloning, Sequencing, and Disruption of the Bacillus subtilis Sigma 28 Gene. J. Bacteriol. 1988, 170, 1568–1574. [Google Scholar] [CrossRef] [PubMed]
- Marquez-Magaña, L.M.; Chamberlin, M.J. Characterization of the SigD Transcription Unit of Bacillus subtilis. J. Bacteriol. 1994, 176, 2427–2434. [Google Scholar] [CrossRef]
- Van Tilburg, A.Y.; Fülleborn, J.A.; Reder, A.; Völker, U.; Stülke, J.; van Heel, A.J.; Kuipers, O.P. Unchaining Mini Bacillus Strain PG10: Relief of FlgM-Mediated Repression of Autolysin Genes. Appl. Environ. Microbiol. 2021, 87, e01123-21. [Google Scholar] [CrossRef]










Disclaimer/Publisher’s Note: The statements, opinions and data contained in all publications are solely those of the individual author(s) and contributor(s) and not of MDPI and/or the editor(s). MDPI and/or the editor(s) disclaim responsibility for any injury to people or property resulting from any ideas, methods, instructions or products referred to in the content. |
© 2023 by the authors. Licensee MDPI, Basel, Switzerland. This article is an open access article distributed under the terms and conditions of the Creative Commons Attribution (CC BY) license (https://creativecommons.org/licenses/by/4.0/).
Share and Cite
Rubinelli, P.M.; Liyanage, R.; Lay, J.; Acuff, J.C. The Bactericidal Activity of a Novel Aneurinibacillus aneurinilyticus Isolate Effectively Controls Foodborne Pathogens Campylobacter jejuni and Listeria monocytogenes. Appl. Sci. 2023, 13, 10257. https://doi.org/10.3390/app131810257
Rubinelli PM, Liyanage R, Lay J, Acuff JC. The Bactericidal Activity of a Novel Aneurinibacillus aneurinilyticus Isolate Effectively Controls Foodborne Pathogens Campylobacter jejuni and Listeria monocytogenes. Applied Sciences. 2023; 13(18):10257. https://doi.org/10.3390/app131810257
Chicago/Turabian StyleRubinelli, Peter M., Rohana Liyanage, Jackson Lay, and Jennifer C. Acuff. 2023. "The Bactericidal Activity of a Novel Aneurinibacillus aneurinilyticus Isolate Effectively Controls Foodborne Pathogens Campylobacter jejuni and Listeria monocytogenes" Applied Sciences 13, no. 18: 10257. https://doi.org/10.3390/app131810257
APA StyleRubinelli, P. M., Liyanage, R., Lay, J., & Acuff, J. C. (2023). The Bactericidal Activity of a Novel Aneurinibacillus aneurinilyticus Isolate Effectively Controls Foodborne Pathogens Campylobacter jejuni and Listeria monocytogenes. Applied Sciences, 13(18), 10257. https://doi.org/10.3390/app131810257
