Correlation between Neck Muscle Endurance Tests, Ultrasonography, and Self-Reported Outcomes in Women with Low Cervical Disability and Neck Pain
Abstract
1. Introduction
2. Materials and Methods
2.1. Design
2.2. Subjects
2.3. Procedure
2.3.1. Self-Registered Outcomes
2.3.2. Muscle Endurance Test
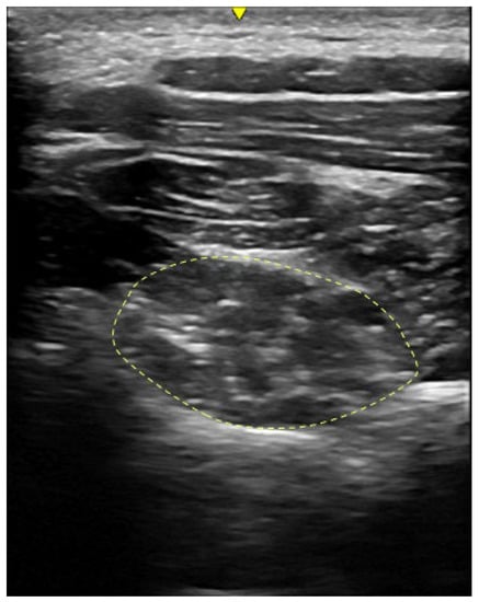
2.3.3. Morphological Characteristics of Deep Neck Muscles
2.4. Statistical Analysis
3. Results
4. Discussion
5. Conclusions
Author Contributions
Funding
Institutional Review Board Statement
Informed Consent Statement
Data Availability Statement
Conflicts of Interest
References
- Cieza, A. Rehabilitation the Health Strategy of the 21st Century, Really? Arch. Phys. Med. Rehabil. 2019, 100, 2212–2214. [Google Scholar] [CrossRef]
- Buckinx, F.; Rolland, Y.; Reginster, J.Y.; Ricour, C.; Petermans, J.; Bruyère, O. Burden of frailty in the elderly population: Perspectives for a public health challenge. Arch. Public Health 2015, 73, 19. [Google Scholar] [CrossRef]
- Prablek, M.; Gadot, R.; Xu, D.S.; Ropper, A.E. Neck Pain. Neurol. Clin. 2023, 41, 77–85. [Google Scholar] [CrossRef]
- Verhagen, A.P. Physiotherapy management of neck pain. J. Physiother. 2021, 67, 5–11. [Google Scholar] [CrossRef]
- Shin, D.W.; Shin JIl Koyanagi, A.; Jacob, L.; Smith, L.; Lee, H.; Chang, Y.; Song, T.J. Global, regional, and national neck pain burden in the general population, 1990–2019: An analysis of the global burden of disease study 2019. Front. Neurol. 2022, 13, 955367. [Google Scholar] [CrossRef]
- Kazeminasab, S.; Nejadghaderi, S.A.; Amiri, P.; Pourfathi, H.; Araj-Khodaei, M.; Sullman, M.J.M.; Kolahi, A.-A.; Safiri, S. Neck pain: Global epidemiology, trends and risk factors. BMC Musculoskelet. Disord. 2022, 23, 26. [Google Scholar] [CrossRef]
- Palacios-Ceña, D.; Albaladejo-Vicente, R.; Hernández-Barrera, V.; Lima-Florencio, L.; Fernández-de-las-Peñas, C.; Jimenez-Garcia, R.; López-de-Andrés, A.; de Miguel-Diez, J.; Perez-Farinos, N. Female Gender Is Associated with a Higher Prevalence of Chronic Neck Pain, Chronic Low Back Pain, and Migraine: Results of the Spanish National Health Survey, 2017. Pain Med. 2021, 22, 382–395. [Google Scholar] [CrossRef]
- Gross, A.R. Physician-Delivered Injection Therapies for Mechanical Neck Disorders: A Systematic Review Update (Non-Oral, Non-Intravenous Pharmacological Interventions for Neck Pain). Open Orthop. J. 2013, 7, 562–581. [Google Scholar] [CrossRef] [PubMed][Green Version]
- Fandim, J.V.; Nitzsche, R.; Michaleff, Z.A.; Pena Costa, L.O.; Saragiotto, B. The contemporary management of neck pain in adults. Pain Manag. 2021, 11, 75–87. [Google Scholar] [CrossRef]
- Sanmugananthan, P.; Burkitt, J.J.; Campbell, D.; Cheema, N.; Murphy, B.A.; Yielder, P. The impact of subclinical neck pain on goal-directed upper limb movement in the horizontal plane. Exp. Brain Res. 2022, 240, 1911–1919. [Google Scholar] [CrossRef]
- Vernon, H. Introduction to Cervical Outcomes Measures: State of the Art. J. Manip. Physiol. Ther. 2008, 31, 489. [Google Scholar] [CrossRef]
- Côté, P.; Wong, J.J.; Sutton, D.; Shearer, H.M.; Mior, S.; Randhawa, K.; Ameis, A.; Carroll, L.J.; Nordin, M.; Yu, H.; et al. Management of neck pain and associated disorders: A clinical practice guideline from the Ontario Protocol for Traffic Injury Management (OPTIMa) Collaboration. Eur. Spine J. 2016, 25, 2000–2022. [Google Scholar] [CrossRef]
- Wah, S.W.; Chatchawan, U.; Chatprem, T.; Puntumetakul, R. Prevalence of Static Balance Impairment and Associated Factors of University Student Smartphone Users with Subclinical Neck Pain: Cross-Sectional Study. Int. J. Environ. Res. Public Health 2022, 19, 10723. [Google Scholar] [CrossRef] [PubMed]
- Blanpied, P.R.; Gross, A.R.; Elliott, J.M.; Devaney, L.L.; Clewley, D.; Walton, D.M.; Sparks, C.; Robertson, E.K. Clinical practice guidelines linked to the international classification of functioning, disability and health from the orthopaedic section of the American physical therapy association. J. Orthop. Sports Phys. Ther. 2017, 47, A1–A83. [Google Scholar] [CrossRef] [PubMed]
- Stenneberg, M.S.; Rood, M.; de Bie, R.; Schmitt, M.A.; Cattrysse, E.; Scholten-Peeters, G.G. To What Degree Does Active Cervical Range of Motion Differ Between Patients with Neck Pain, Patients with Whiplash, and Those Without Neck Pain? A Systematic Review and Meta-Analysis. Arch. Phys. Med. Rehabil. 2017, 98, 1407–1434. [Google Scholar] [CrossRef]
- Hurwitz, E.L.; Randhawa, K.; Yu, H.; Côté, P.; Haldeman, S. The Global Spine Care Initiative: A summary of the global burden of low back and neck pain studies. Eur. Spine J. 2018, 27, 796–801. [Google Scholar] [CrossRef] [PubMed]
- Kahlaee, A.H.; Rezasoltani, A.; Ghamkhar, L. Is the clinical cervical extensor endurance test capable of differentiating the local and global muscles? Spine J. 2017, 17, 913–921. [Google Scholar] [CrossRef]
- Ginszt, M.; Szkutnik, J.; Zieliński, G.; Bakalczuk, M.; Stodółkiewicz, M.; Litko-Rola, M.; Ginszt, A.; Rahnama, M.; Majcher, P. Cervical Myofascial Pain Is Associated with an Imbalance of Masticatory Muscle Activity. Int. J. Environ. Res. Public Health 2022, 19, 1577. [Google Scholar] [CrossRef]
- Treleaven, J.; Takasaki, H. Characteristics of visual disturbances reported by subjects with neck pain. Man. Ther. 2014, 19, 203–207. [Google Scholar] [CrossRef]
- Subbarayalu, A.V.; Ameer, M.A. Relationships among head posture, pain intensity, disability and deep cervical flexor muscle performance in subjects with postural neck pain. J. Taibah Univ. Med. Sci. 2017, 12, 541–547. [Google Scholar] [CrossRef]
- Rani, B.; Paul, A.; Chauhan, A.; Pradhan, P.; Dhillon, M.S. Is Neck Pain Related to Sagittal Head and Neck Posture?: A Systematic Review and Meta-analysis. Indian J. Orthop. 2023, 57, 371–403. [Google Scholar] [CrossRef]
- Wang, D.M.; Li, C.; Hatchard, N.; Chang Chien, G.C.; Alm, J. Lower trapezius muscle function in people with and without shoulder and neck pain: A systematic review. J. Osteopath. Med. 2023, 123, 73–89. [Google Scholar] [CrossRef] [PubMed]
- Shahidi, B.; Curran-Everett, D.; Maluf, K.S. Psychosocial, Physical, and Neurophysiological Risk Factors for Chronic Neck Pain: A Prospective Inception Cohort Study. J. Pain 2015, 16, 1288–1299. [Google Scholar] [CrossRef] [PubMed]
- Kocur, P.; Wilski, M.; Lewandowski, J.; Łochyński, D. Female Office Workers with Moderate Neck Pain Have Increased Anterior Positioning of the Cervical Spine and Stiffness of Upper Trapezius Myofascial Tissue in Sitting Posture. PM&R 2019, 11, 476–482. [Google Scholar] [CrossRef]
- Mahmoud, N.F.; Hassan, K.A.; Abdelmajeed, S.F.; Moustafa, I.M.; Silva, A.G. The Relationship Between Forward Head Posture and Neck Pain: A Systematic Review and Meta-Analysis. Curr. Rev. Musculoskelet. Med. 2019, 12, 562–577. [Google Scholar] [CrossRef]
- De Pauw, R.; Coppieters, I.; Kregel, J.; De Meulemeester, K.; Danneels, L.; Cagnie, B. Does muscle morphology change in chronic neck pain patients?—A systematic review. Man. Ther. 2016, 22, 42–49. [Google Scholar] [CrossRef]
- Peng, Q.; Zhang, Y.; Yang, S.; Meng, B.; Chen, H.; Liu, X.; Zhao, W.; Hu, M.; Zhang, L.; Tao, Y. Morphologic Changes of Cervical Musculature in Relation to Chronic Nonspecific Neck Pain: A Systematic Review and Meta-Analysis. World Neurosurg. 2022, 168, 79–88. [Google Scholar] [CrossRef]
- Fernández-De-Las-Peñas, C.; Albert-Sanchís, J.C.; Buil, M.; Benitez, J.C.; Alburquerque-Sendín, F. Cross-sectional area of cervical multifidus muscle in females with chronic bilateral neck pain compared to controls. J. Orthop. Sports Phys. Ther. 2008, 38, 175–180. [Google Scholar] [CrossRef]
- Abolfotouh, S.M.; Alnori, O.; Choma, T.; Moore, D.; Abolfotouh, M.A. Epidemiology of Work-Related Neck Pain Among Spine Surgeons. Glob. Spine J. 2022. ahead of print. [Google Scholar] [CrossRef]
- Lemeunier, N.; da Silva-Oolup, S.; Olesen, K.; Shearer, H.; Carroll, L.J.; Brady, O.; Côté, E.; Stern, P.; Tuff, T.; Suri-Chilana, M.; et al. Reliability and validity of self-reported questionnaires to measure pain and disability in adults with neck pain and its associated disorders: Part 3—A systematic review from the CADRE Collaboration. Eur. Spine J. 2019, 28, 1156–1179. [Google Scholar] [CrossRef]
- Zabihhosseinian, M.; Holmes, M.W.R.; Howarth, S.; Ferguson, B.; Murphy, B. Neck muscle fatigue differentially alters scapular and humeral kinematics during humeral elevation in subclinical neck pain participants versus healthy controls. J. Electromyogr. Kinesiol. 2017, 33, 73–82. [Google Scholar] [CrossRef]
- Zabihhosseinian, M.; Holmes, M.W.R.; Ferguson, B.; Murphy, B. Neck muscle fatigue alters the cervical flexion relaxation ratio in sub-clinical neck pain patients. Clin. Biomech. 2015, 30, 397–404. [Google Scholar] [CrossRef]
- Misailidou, V.; Malliou, P.; Beneka, A.; Karagiannidis, A.; Godolias, G. Assessment of patients with neck pain: A review of definitions, selection criteria, and measurement tools. J. Chiropr. Med. 2010, 9, 49–59. [Google Scholar] [CrossRef]
- Lourenço, A.S.; Lameiras, C.; Silva, A.G. Neck Flexor and Extensor Muscle Endurance in Subclinical Neck Pain: Intrarater Reliability, Standard Error of Measurement, Minimal Detectable Change, and Comparison with Asymptomatic Participants in a University Student Population. J. Manip. Physiol. Ther. 2016, 39, 427–433. [Google Scholar] [CrossRef]
- Buyukturan, B.; Guclu-Gunduz, A.; Buyukturan, O.; Dadali, Y.; Bilgin, S.; Kurt, E.E. Cervical stability training with and without core stability training for patients with cervical disc herniation: A randomized, single-blind study. Eur. J. Pain 2017, 21, 1678–1687. [Google Scholar] [CrossRef]
- Kang, D.Y. Deep cervical flexor training with a pressure biofeedback unit is an effective method for maintaining neck mobility and muscular endurance in college students with forward head posture. J. Phys. Ther. Sci. 2015, 27, 3207–3210. [Google Scholar] [CrossRef]
- Beinert, K.; Taube, W. The Effect of Balance Training on Cervical Sensorimotor Function and Neck Pain. J. Mot. Behav. 2013, 45, 271–278. [Google Scholar] [CrossRef] [PubMed]
- Gupta, B.D. Effect of Deep Cervical Flexor Training vs. Conventional Isometric Training on Forward Head Posture, Pain, Neck Disability Index in Dentists Suffering from Chronic Neck Pain. J. Clin. Diagn. Res. 2013, 7, 2261. [Google Scholar] [CrossRef] [PubMed]
- Falla, D.; Lindstrøm, R.; Rechter, L.; Boudreau, S.; Petzke, F. Effectiveness of an 8-week exercise programme on pain and specificity of neck muscle activity in patients with chronic neck pain: A randomized controlled study. Eur. J. Pain. 2013, 17, 1517–1528. [Google Scholar] [CrossRef] [PubMed]
- Alpayci, M.; İlter, S. Isometric Exercise for the Cervical Extensors Can Help Restore Physiological Lordosis and Reduce Neck Pain. Am. J. Phys. Med. Rehabil. 2017, 96, 621–626. [Google Scholar] [CrossRef]
- Cleland, J.A.; Fritz, J.M.; Whitman, J.M.; Palmer, J.A. The Reliability and Construct Validity of the Neck Disability Index and Patient Specific Functional Scale in Patients with Cervical Radiculopathy. Spine 2006, 31, 598–602. [Google Scholar] [CrossRef] [PubMed]
- Alfonso Andrade Ortega, J.; Damián Delgado Martínez, A.; Almécija Ruiz, R. Validación de una versión española del Índice de Discapacidad Cervical. Med. Clin. 2008, 130, 85–89. [Google Scholar] [CrossRef] [PubMed]
- Carvalho, G.F.; Chaves, T.C.; Gonçalves, M.C.; Florencio, L.L.; Braz, C.A.; Dach, F.; de Las Peñas, C.F.; Bevilaqua-Grossi, D. Comparison between Neck Pain Disability and Cervical Range of Motion in Patients with Episodic and Chronic Migraine: A Cross-Sectional Study. J. Manip. Physiol. Ther. 2014, 37, 641–646. [Google Scholar] [CrossRef]
- Escalona-Marfil, C.; Coda, A.; Ruiz-Moreno, J.; Riu-Gispert, L.M.; Gironès, X. Validation of an Electronic Visual Analog Scale mHealth Tool for Acute Pain Assessment: Prospective Cross-Sectional Study. J. Med. Internet Res. 2020, 22, e13468. [Google Scholar] [CrossRef]
- Castien, R.F.; Blankenstein, A.H.; Windt DA van der Dekker, J. Minimal clinically important change on the Headache Impact Test-6 questionnaire in patients with chronic tension-type headache. Cephalalgia 2012, 32, 710–714. [Google Scholar] [CrossRef]
- Martin, M.; Blaisdell, B.; Kwong, J.W.; Bjorner, J.B. The Short-Form Headache Impact Test (HIT-6) was psychometrically equivalent in nine languages. J. Clin. Epidemiol. 2004, 57, 1271–1278. [Google Scholar] [CrossRef] [PubMed]
- Cleland, J.A.; Childs, J.D.; Fritz, J.M.; Whitman, J.M. Interrater Reliability of the History and Physical Examination in Patients with Mechanical Neck Pain. Arch. Phys. Med. Rehabil. 2006, 87, 1388–1395. [Google Scholar] [CrossRef]
- Domenech, M.A.; Sizer, P.S.; Dedrick, G.S.; McGalliard, M.K.; Brismee, J.-M. The Deep Neck Flexor Endurance Test: Normative Data Scores in Healthy Adults. PM&R 2011, 3, 105–110. [Google Scholar] [CrossRef]
- Jarman, N.F.; Brooks, T.; James, C.R.; Hooper, T.; Wilhelm, M.; Brismée, J.M.; Domenech, M.A.; Kotara, S.J.; Sizer, P.S. Deep Neck Flexor Endurance in the Adolescent and Young Adult: Normative Data and Associated Attributes. PM&R 2017, 9, 969–975. [Google Scholar] [CrossRef]
- Dimitriadis, Z.; Kapreli, E.; Strimpakos, N.; Oldham, J. Reliability of the chin tuck neck flexion test for assessing endurance of short neck flexors in healthy individuals. Physiother. Theory Pract. 2015, 31, 299–302. [Google Scholar] [CrossRef]
- Lee, H.; Nicholson, L.L.; Adams, R.D. Neck Muscle Endurance, Self-Report, and Range of Motion Data from Subjects with Treated and Untreated Neck Pain. J. Manip. Physiol. Ther. 2005, 28, 25–32. [Google Scholar] [CrossRef] [PubMed]
- Amiri-Arimi, S.; Bandpei, M.; Rezasoltani, A.; Javanshir, K.; Biglarian, A. Measurement of cervical multifidus and longus colli muscle dimensions in patients with cervical radiculopathy and healthy controls using ultrasonography: A reliability study. PM&R 2019, 11, 236–242. [Google Scholar] [CrossRef]
- Ghamkhar, L.; Kahlaee, A.H. Are Ultrasonographic Measures of Cervical Flexor Muscles Correlated with Flexion Endurance in Chronic Neck Pain and Asymptomatic Participants? Am. J. Phys. Med. Rehabil. 2017, 96, 874–880. [Google Scholar] [CrossRef]
- Cagnie, B.; Derese, E.; Vandamme, L.; Verstraete, K.; Cambier, D.; Danneels, L. Validity and reliability of ultrasonography for the longus colli in asymptomatic subjects. Man. Ther. 2009, 14, 421–426. [Google Scholar] [CrossRef]
- Javanshir, K.; Mohseni-Bandpei, M.A.; Rezasoltani, A.; Amiri, M.; Rahgozar, M. Ultrasonography of longus colli muscle: A reliability study on healthy subjects and patients with chronic neck pain. J. Bodyw. Mov. Ther. 2011, 15, 50–56. [Google Scholar] [CrossRef]
- Moghadam, R.E.; Rahnama, L.; Karimi, N.; Amiri, M.; Rahnama, M. An ultrasonographic investigation of deep neck flexor muscles cross-sectional area in forward and normal head posture. J. Bodyw. Mov. Ther. 2018, 22, 643–647. [Google Scholar] [CrossRef]
- Kristjansson, E. Reliability of ultrasonography for the cervical multifidus muscle in asymptomatic and symptomatic subjects. Man. Ther. 2004, 9, 83–88. [Google Scholar] [CrossRef]
- Lee, J.-P.; Tseng, W.-Y.I.; Shau, Y.-W.; Wang, C.-L.; Wang, H.-K.; Wang, S.-F. Measurement of segmental cervical multifidus contraction by ultrasonography in asymptomatic adults. Man. Ther. 2007, 12, 286–294. [Google Scholar] [CrossRef]
- Hopkins, W.G.; Marshall, S.W.; Batterham, A.M.; Hanin, J. Progressive statistics for studies in sports medicine and exercise science. Med. Sci. Sports Exerc. 2009, 41, 3–12. [Google Scholar] [CrossRef]
- Villanueva-Ruiz, I.; Falla, D.; Lascurain-Aguirrebeña, I. Effectiveness of Specific Neck Exercise for Nonspecific Neck Pain; Usefulness of Strategies for Patient Selection and Tailored Exercise-A Systematic Review with Meta-Analysis. Phys. Ther. 2022, 102, pzab259. [Google Scholar] [CrossRef] [PubMed]


| Variable | Mean | SD |
|---|---|---|
| Age (years) | 35.56 | 9.91 |
| Height (cm) | 165.32 | 6.10 |
| Weight (kg) | 62.75 | 10.64 |
| BMI | 22.93 | 3.59 |
| HIT-6 | 51.23 | 8.53 |
| NDI | 8.26 | 2.82 |
| Pain intensity (mm) | 2.65 | 1.66 |
| Chin tuck neck flexion test (s) | 19.79 | 11.39 |
| Extensor muscles test (s) | 34.10 | 18.91 |
| DN Flexor CSA (cm2) | 0.83 | 0.31 |
| DN Extensor CSA (cm2) | 1.25 | 0.36 |
| Pain Intensity | p-Value | NDI | p-Value | HIT-6 | p-Value | |
|---|---|---|---|---|---|---|
| Chin tuck neck flexion test | −0.15 | 0.18 | −0.38 | <0.001 | −0.26 | 0.02 |
| Extensor muscle test | −0.18 | 0.10 | −0.27 | 0.01 | −0.26 | 0.02 |
| DN Flexor CSA | −0.19 | 0.14 | −0.22 | 0.05 | −0.12 | 0.28 |
| DN Extensor CSA | 0.05 | 0.63 | 0.07 | 0.54 | 0.10 | 0.36 |
| Predictor | NDI | |
|---|---|---|
| Unadjusted Beta | p-Value | |
| Chin tuck neck flexion test | −0.08 | 0.005 |
| Extensor muscle test | −0.03 | 0.042 |
| DN Flexor CSA | 4.07 | 0.297 |
| DN Extensor CSA | −4.47 | 0.025 |
Disclaimer/Publisher’s Note: The statements, opinions and data contained in all publications are solely those of the individual author(s) and contributor(s) and not of MDPI and/or the editor(s). MDPI and/or the editor(s) disclaim responsibility for any injury to people or property resulting from any ideas, methods, instructions or products referred to in the content. |
© 2023 by the authors. Licensee MDPI, Basel, Switzerland. This article is an open access article distributed under the terms and conditions of the Creative Commons Attribution (CC BY) license (https://creativecommons.org/licenses/by/4.0/).
Share and Cite
Pardos-Aguilella, P.; Ceballos-Laita, L.; Cabanillas-Barea, S.; Pérez-Guillén, S.; Ciuffreda, G.; Jiménez-del-Barrio, S.; Carrasco-Uribarren, A. Correlation between Neck Muscle Endurance Tests, Ultrasonography, and Self-Reported Outcomes in Women with Low Cervical Disability and Neck Pain. Appl. Sci. 2023, 13, 10106. https://doi.org/10.3390/app131810106
Pardos-Aguilella P, Ceballos-Laita L, Cabanillas-Barea S, Pérez-Guillén S, Ciuffreda G, Jiménez-del-Barrio S, Carrasco-Uribarren A. Correlation between Neck Muscle Endurance Tests, Ultrasonography, and Self-Reported Outcomes in Women with Low Cervical Disability and Neck Pain. Applied Sciences. 2023; 13(18):10106. https://doi.org/10.3390/app131810106
Chicago/Turabian StylePardos-Aguilella, Pilar, Luis Ceballos-Laita, Sara Cabanillas-Barea, Silvia Pérez-Guillén, Gianluca Ciuffreda, Sandra Jiménez-del-Barrio, and Andoni Carrasco-Uribarren. 2023. "Correlation between Neck Muscle Endurance Tests, Ultrasonography, and Self-Reported Outcomes in Women with Low Cervical Disability and Neck Pain" Applied Sciences 13, no. 18: 10106. https://doi.org/10.3390/app131810106
APA StylePardos-Aguilella, P., Ceballos-Laita, L., Cabanillas-Barea, S., Pérez-Guillén, S., Ciuffreda, G., Jiménez-del-Barrio, S., & Carrasco-Uribarren, A. (2023). Correlation between Neck Muscle Endurance Tests, Ultrasonography, and Self-Reported Outcomes in Women with Low Cervical Disability and Neck Pain. Applied Sciences, 13(18), 10106. https://doi.org/10.3390/app131810106

