Cytological Applications of the Vacuolization Phenomenon as a Means of Determining Saline Cytotoxicity
Abstract
1. Introduction
2. Materials and Methods
2.1. Plant Germplasm
2.2. Sterilization and Germination Conditions
2.3. Experimental Design
2.4. Microscopic Material Preparation
2.5. Cytological and Statistical Analyses
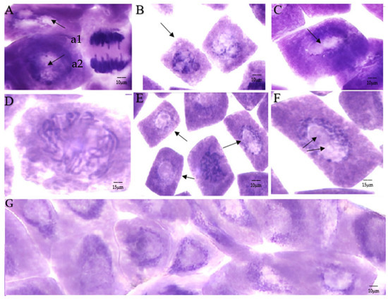
3. Results
3.1. Effect of Salt Stress on the Relationship between the Mitotic Index and Cell Vacuolization
3.2. Effect of Salt Stress on the Relationship between the Chromosomal Aberration Index and Cell Vacuolization
3.3. Effect of Salt Stress on the Relationship between Cell Vacuolization and the Provacuolar Index
4. Discussion
5. Conclusions and Future Perspectives
Author Contributions
Funding
Institutional Review Board Statement
Informed Consent Statement
Data Availability Statement
Acknowledgments
Conflicts of Interest
References
- Bybordi, A. The Influence of Salt Stress on Seed Germination, Growth and Yield of Canola Cultivars. Not. Bot. Horti Agrobot. Cluj-Napoca 2010, 38, 128–133. [Google Scholar] [CrossRef]
- Cokkizgin, A. Salinity Stress in Common Bean (Phaseolus vulgaris L.) Seed Germination. Not. Bot. Horti Agrobot. Cluj-Napoca 2012, 40, 177–182. [Google Scholar] [CrossRef]
- Duca, M.; Boian, I.; Domenco, R. The impact of droughts on sunflower production in the Republic of Moldova. Not. Bot. Horti Agrobot. Cluj-Napoca 2022, 50, 13040. [Google Scholar] [CrossRef]
- Mu, Y.; Lin, J.; Mu, C.; Gao, Z. Effects of NaCl Stress on the Growth and Physiological Changes in Oat (Avena sativa) Seedlings. Not. Bot. Horti Agrobot. Cluj-Napoca 2015, 43, 468–472. [Google Scholar] [CrossRef]
- El-Taher, A.M.; El-Raouf, H.S.A.; Osman, N.A.; Azoz, S.N.; Omar, M.A.; Elkelish, A.; El-Hady, M.A.M.A. Effect of Salt Stress and Foliar Application of Salicylic Acid on Morphological, Biochemical, Anatomical, and Productivity Characteristics of Cowpea (Vigna unguiculata L.) Plants. Plants 2021, 11, 115. [Google Scholar] [CrossRef]
- Liu, L.; Wang, B. Protection of Halophytes and Their Uses for Cultivation of Saline-Alkali Soil in China. Biology 2021, 10, 353. [Google Scholar] [CrossRef]
- AL Hassan, M.; Fuertes, M.M.; Sánchez, F.J.R.; Vicente, O.; Boscaiu, M. Effects of Salt and Water Stress on Plant Growth and on Accumulation of Osmolytes and Antioxidant Compounds in Cherry Tomato. Not. Bot. Horti Agrobot. Cluj-Napoca 2015, 43, 1–11. [Google Scholar] [CrossRef]
- Marakli, S.; Temel, A.; Gozukirmizi, N. Salt Stress and Homobrassinosteroid Interactions during Germination in Barley Roots. Not. Bot. Horti Agrobot. Cluj-Napoca 2014, 42, 446–452. [Google Scholar] [CrossRef]
- Tabur, S.; Demir, K. Role of some growth regulators on cytogenetic activity of barley under salt stress. Plant Growth Regul. 2010, 60, 99–104. [Google Scholar] [CrossRef]
- Tilkat, E.A.; Haşimi, N.; Kuru, I.S.; Süzerer, V. Antioxidant and antimicrobial responses associated with in vitro salt stress of in vitro and in vivo grown Pistacia khinjuk stocks. Not. Bot. Horti Agrobot. Cluj-Napoca 2020, 48, 1885–1900. [Google Scholar] [CrossRef]
- Jabeen, N.; Ahmad, R. Foliar Application of Potassium Nitrate Affects the Growth and Nitrate Reductase Activity in Sunflower and Safflower Leaves under Salinity. Not. Bot. Horti Agrobot. Cluj-Napoca 2011, 39, 172. [Google Scholar] [CrossRef]
- Jalal, R.S.; Abulfaraj, A.A. Exogenous application of agmatine improves water stress and salinity stress tolerance in turnip (Brassica rapa L.). Not. Bot. Horti Agrobot. Cluj-Napoca 2022, 50, 12601. [Google Scholar] [CrossRef]
- Ahanger, M.A.; Tomar, N.S.; Tittal, M.; Argal, S.; Agarwal, R.M. Plant growth under water/salt stress: ROS production; antioxidants and significance of added potassium under such conditions. Physiol. Mol. Biol. Plants 2017, 23, 731–744. [Google Scholar] [CrossRef]
- Liu, J.; Fu, C.; Li, G.; Khan, M.N.; Wu, H. ROS Homeostasis and Plant Salt Tolerance: Plant Nanobiotechnology Updates. Sustainability 2021, 13, 3552. [Google Scholar] [CrossRef]
- Zhang, M.; Smith, J.A.C.; Harberd, N.P.; Jiang, C. The regulatory roles of ethylene and reactive oxygen species (ROS) in plant salt stress responses. Plant Mol. Biol. 2016, 91, 651–659. [Google Scholar] [CrossRef]
- Jha, Y.; Subramanian, R.B. PGPR regulate caspase-like activity, programmed cell death, and antioxidant enzyme activity in paddy under salinity. Physiol. Mol. Biol. Plants 2014, 20, 201–207. [Google Scholar] [CrossRef]
- Petrov, V.; Hille, J.; Mueller-Roeber, B.; Gechev, T.S. ROS-mediated abiotic stress-induced programmed cell death in plants. Front. Plant Sci. 2015, 6, 69. [Google Scholar] [CrossRef] [PubMed]
- Purcarea, C.; Laslo, V.; Memete, A.R.; Agud, E.; Miere, F.; Vicas, S.I. Antigenotoxic and Antimutagenic Potentials of Proline in Allium cepa Exposed to the Toxicity of Cadmium. Agriculture 2022, 12, 1568. [Google Scholar] [CrossRef]
- Fahad, S.; Hussain, S.; Matloob, A.; Khan, F.A.; Khaliq, A.; Saud, S.; Hassan, S.; Shan, D.; Khan, F.; Ullah, N.; et al. Phytohormones and plant responses to salinity stress: A review. Plant Growth Regul. 2014, 75, 391–404. [Google Scholar] [CrossRef]
- Fahad, S.; Hussain, S.; Bano, A.; Saud, S.; Hassan, S.; Shan, D.; Khan, F.A.; Khan, F.; Chen, Y.; Wu, C.; et al. Potential role of phytohormones and plant growth-promoting rhizobacteria in abiotic stresses: Consequences for changing environment. Environ. Sci. Pollut. Res. 2014, 22, 4907–4921. [Google Scholar] [CrossRef]
- Dubois, E.; Scherens, B.; Vierendeels, F.; Ho, M.M.W.; Messenguy, F.; Shears, S.B. In Saccharomyces cerevisiae, the Inositol Polyphosphate Kinase Activity of Kcs1p Is Required for Resistance to Salt Stress, Cell Wall Integrity, and Vacuolar Morphogenesis. J. Biol. Chem. 2002, 277, 23755–23763. [Google Scholar] [CrossRef] [PubMed]
- Silva, P.; Gerós, H. Regulation by salt of vacuolar H+-ATPase and H+-pyrophosphatase activities and Na+/H+ exchange. Plant Signal. Behav. 2009, 4, 718–726. [Google Scholar] [CrossRef] [PubMed]
- Shubin, A.V.; Demidyuk, I.V.; Komissarov, A.A.; Rafieva, L.M.; Kostrov, S.V. Cytoplasmic vacuolization in cell death and survival. Oncotarget 2016, 7, 55863–55889. [Google Scholar] [CrossRef]
- Hussain, M.; Ahmad, S.; Hussain, S.; Lal, R.; Ul-Allah, S.; Nawaz, A. Rice in Saline Soils: Physiology, Biochemistry, Genetics, and Management. Adv. Agron. 2018, 148, 231–287. [Google Scholar] [CrossRef]
- Carillo, P.; Annunziata, M.G.; Pontecorvo, G.; Fuggi, A.; Woodrow, P. Salinity stress and salt tolerance. Abiotic Stress Plants-Mech. Adapt. 2011, 1, 21–38. [Google Scholar]
- Alkhatib, R.; Abdo, N.; Mheidat, M. Photosynthetic and Ultrastructural Properties of Eggplant (Solanum melongena) under Salinity Stress. Horticulturae 2021, 7, 181. [Google Scholar] [CrossRef]
- Duan, W.; Lu, B.; Liu, L.; Meng, Y.; Ma, X.; Li, J.; Zhang, K.; Sun, H.; Zhang, Y.; Dong, H.; et al. Effects of Exogenous Melatonin on Root Physiology, Transcriptome and Metabolome of Cotton Seedlings under Salt Stress. Int. J. Mol. Sci. 2022, 23, 9456. [Google Scholar] [CrossRef]
- Semenov, A.; Sakhno, T.; Semenova, K. Influence of UV radiation on physical and biological properties of rapeseed in pre-sowing treatment. Int. J. Innov. Technol. Explor. Eng. 2021, 10, 217–223. [Google Scholar] [CrossRef]
- Klymchuk, D.; Kordyum, E.; Vorobyova, T.; Chapman, D.; Brown, C. Changes in vacuolation in the root apex cells of soybean seedlings in microgravity. Adv. Space Res. 2003, 31, 2283–2288. [Google Scholar] [CrossRef]
- Abbasi, G.H.; Akhtar, J.; Anwar-Ul-Haq, M.; Malik, W.; Ali, S.; Chen, Z.-H.; Zhang, G. Morpho-physiological and micrographic characterization of maize hybrids under NaCl and Cd stress. Plant Growth Regul. 2015, 75, 115–122. [Google Scholar] [CrossRef]
- Wassef, E.A.; Wahbi, O.M.; Saqr, E.M.; Saleh, N.E. Response of European seabass (Dicentrarchus labrax) to canola oil diets: Effect on growth performance, fish health and liver and intestine histomorphology. Aquac. Int. 2016, 24, 1073–1088. [Google Scholar] [CrossRef]
- Torrecillas, S.; Caballero, M.J.; Montero, D.; Sweetman, J.; Izquierdo, M. Combined effects of dietary mannan oligosaccharides and total fish oil substitution by soybean oil on European sea bass (Dicentrarchus labrax) juvenile diets. Aquac. Nutr. 2016, 22, 1079–1090. [Google Scholar] [CrossRef]
- Adesina, S. Assessment of organosomatic indices and histopathological changes in vital organs of Clarias gariepinus juveniles fed graded levels of boiled sunflower (Helianthus annuus) seed meal. Ife J. Sci. 2017, 19, 85. [Google Scholar] [CrossRef]
- Herak, D.; Kabutey, A.; Divisova, M.; Svatonova, T. Comparison of the Mechanical Behaviour of Selected Oilseeds under Compression Loading. Not. Bot. Horti Agrobot. Cluj-Napoca 2012, 40, 227–232. [Google Scholar] [CrossRef]
- Memete, A.R.; Teusdea, A.C.; Timar, A.V.; Vuscan, A.N.; Mintaș, O.S.; Cavalu, S.; Vicas, S.I. Effects of Different Edible Coatings on the Shelf Life of Fresh Black Mulberry Fruits (Morus nigra L.). Agriculture 2022, 12, 1068. [Google Scholar] [CrossRef]
- Sincik, M.; Goksoy, A.T. Investigation of Correlation between Traits and Path Analysis of Confectionary Sunflower Genotypes. Not. Bot. Horti Agrobot. Cluj-Napoca 2014, 42, 227–231. [Google Scholar] [CrossRef]
- Gholinezhad, E.; Darvishzadeh, R.; Bernousi, I. Evaluation of Drought Tolerance Indices for Selection of Confectionery Sunflower (Helianthus anuus L.) Landraces under Various Environmental Conditions. Not. Bot. Horti Agrobot. Cluj-Napoca 2014, 42, 187–201. [Google Scholar] [CrossRef]
- Janick, J. Iconography of domesticated sunflower. Not. Bot. Horti Agrobot. Cluj-Napoca 2020, 48, 1116–1129. [Google Scholar] [CrossRef]
- Krupa-Małkiewicz, M.; Kosatka, A.; Smolik, B.; Sędzik, M. Induced Mutations through EMS Treatment and In Vitro Screening for Salt Tolerance Plant of Petunia × atkinsiana D. Don. Not. Bot. Horti Agrobot. Cluj-Napoca 2017, 45, 190–196. [Google Scholar] [CrossRef]
- Puchtler, H.; Sweat Waldrop, F.; Conner, H.M.; Terry, M.S. Carnoy fixation: Practical and theoretical considerations. Histochemie 1968, 16, 361–371. [Google Scholar] [CrossRef]
- Sarac, I.; Bonciu, E.; Butnariu, M.; Petrescu, I.; Madosa, E. Evaluation of the cytotoxic and genotoxic potential of some heavy metals by use of Allium test. Caryologia Int. J. Cytol. 2019, 72, 37–43. [Google Scholar] [CrossRef]
- Biesterfeld, S.; Beckers, S.; Del Carmen Villa Cadenas, M.; Schramm, M. Feulgen staining remains the gold standard for precise DNA image cytometry. Anticancer. Res. 2011, 31, 53–58. [Google Scholar]
- Reisen, D.; Marty, F.; Leborgne-Castel, N. New insights into the tonoplast architecture of plant vacuoles and vacuolar dynamics during osmotic stress. BMC Plant Biol. 2005, 5, 13. [Google Scholar] [CrossRef] [PubMed]
- Niu, X.; Damsz, B.; Kononowicz, A.K.; Bressan, R.A.; Hasegawa, P.M. NaCl-Induced Alterations in Both Cell Structure and Tissue-Specific Plasma Membrane H+ -ATPase Gene Expression. Plant Physiol. 1996, 111, 679–686. [Google Scholar] [CrossRef] [PubMed]
- Laveau, J.H.; Schneider, C.; Berville, A. Microsporogenesis Abortion in Cytoplasmic Male Sterile Plants from H. petiolaris or H. petiolaris fallax Crossed by Sunflower (Helianthus annuus). Ann. Bot. 1989, 64, 137–148. [Google Scholar] [CrossRef]
- Pekol, S.; Baloğlu, M.C.; Altunoğlu, Y. Evaluation of genotoxic and cytologic effects of environmental stressin wheat species with different ploidy levels. Turk. J. Biol. 2016, 40, 580–588. [Google Scholar] [CrossRef]
- Zheng, Y.; Zhang, H.; Deng, X.; Liu, J.; Chen, H. The relationship between vacuolation and initiation of PCD in rice (Oryza sativa) aleurone cells. Sci. Rep. 2017, 7, 41245. [Google Scholar] [CrossRef]
- Shan, F.; Wu, Y.; Du, R.; Yang, Q.; Liu, C.; Wang, Y.; Zhang, C.; Chen, Y. Evolutionary analysis of the OSCA gene family in sunflower (Helianthus annuus L.) and expression analysis under NaCl stress. PeerJ 2023, 11, e15089. [Google Scholar] [CrossRef]
- Çavuşoğlu, D.; Tabur, S.; Çavuşoğlu, K. The Effects of Aloe vera L. Leaf Extract on Some Physiological and Cytogenetical Parameters in Allium cepa L. Seeds Germinated under Salt Stress. Cytologia 2016, 81, 103–110. [Google Scholar] [CrossRef]
- Prajapati, P.; Gupta, P.; Kharwar, R.N.; Seth, C.S. Nitric oxide mediated regulation of ascorbate-glutathione pathway alleviates mitotic aberrations and DNA damage in Allium cepa L. under salinity stress. Int. J. Phytoremediation 2023, 25, 403–414. [Google Scholar] [CrossRef]
- Jiang, Y.-T.; Yang, L.-H.; Ferjani, A.; Lin, W.-H. Multiple functions of the vacuole in plant growth and fruit quality. Mol. Hortic. 2021, 1, 4. [Google Scholar] [CrossRef]
- Affenzeller, M.J.; Darehshouri, A.; Andosch, A.; Lütz, C.; Lütz-Meindl, U. Salt stress-induced cell death in the unicellular green alga Micrasterias denticulata. J. Exp. Bot. 2009, 60, 939–954. [Google Scholar] [CrossRef]
- Darehshouri, A.; Affenzeller, M.; Lütz-Meindl, U. Cell death upon H2O2induction in the unicellular green alga Micrasterias. Plant Biol. 2008, 10, 732–745. [Google Scholar] [CrossRef]
- Anido-Varela, L.; Seoane, M.; Esperanza, M.; Cid, A.; Rioboo, C. Cytotoxicity of BP-3 and BP-4: Blockage of extrusion pumps, oxidative damage and programmed cell death on Chlamydomonas reinhardtii. Aquat. Toxicol. 2022, 251, 106285. [Google Scholar] [CrossRef] [PubMed]
- Damsz, B.; Matsumoto, T.K.; Reddy, M.P.; Rus, A.M.; Ibeas, J.I.; Narasimhan, M.L.; Bressan, R.A.; Hasegawa, P.M.; Huh, G.-H. Salt causes ion disequilibrium-induced programmed cell death in yeast and plants. Plant J. 2002, 29, 649–659. [Google Scholar] [CrossRef]
- Beers, E.P.; McDowell, J.M. Regulation and execution of programmed cell death in response to pathogens, stress and developmental cues. Curr. Opin. Plant Biol. 2001, 4, 561–567. [Google Scholar] [CrossRef]
- Assaha, D.V.M.; Ueda, A.; Saneoka, H.; Al-Yahyai, R.; Yaish, M.W. The role of Na+ and K+ transporters in salt stress adaptation in glycophytes. Front. Physiol. 2017, 8, 509. [Google Scholar] [CrossRef]
- Mansour, M.M.F. Role of Vacuolar Membrane Transport Systems in Plant Salinity Tolerance. J. Plant Growth Regul. 2023, 42, 1364–1401. [Google Scholar] [CrossRef]
- Wang, N.; Qi, H.; Qiao, W.; Shi, J.; Xu, Q.; Zhou, H.; Yan, G.; Huang, Q. Cotton (Gossypium hirsutum L.) genotypes with contrasting K+/Na+ ion homeostasis: Implications for salinity tolerance. Acta Physiol. Plant. 2017, 39, 77. [Google Scholar] [CrossRef]
- Bogoutdinova, L.R.; Lazareva, E.M.; Chaban, I.A.; Kononenko, N.V.; Dilovarova, T.; Khaliluev, M.R.; Kurenina, L.V.; Gulevich, A.A.; Smirnova, E.A.; Baranova, E.N. Salt Stress-Induced Structural Changes Are Mitigated in Transgenic Tomato Plants Over-Expressing Superoxide Dismutase. Biology 2020, 9, 297. [Google Scholar] [CrossRef] [PubMed]
- Bogoutdinova, L.R.; Baranova, E.N.; Kononenko, N.V.; Chaban, I.A.; Konovalova, L.N.; Gulevich, A.A.; Lazareva, E.M.; Khaliluev, M.R. Characteristics of Root Cells during In Vitro Rhizogenesis under Action of NaCl in Two Tomato Genotypes Differing in Salt Tolerance. Int. J. Plant Biol. 2023, 14, 104–119. [Google Scholar] [CrossRef]
- Youssef, K.; Roberto, S.R.; de Oliveira, A.G. Ultra-Structural Alterations in Botrytis cinerea—The Causal Agent of Gray Mold—Treated with Salt Solutions. Biomolecules 2019, 9, 582. [Google Scholar] [CrossRef]
- Sergienko, O.V.; Khalilova, L.A.; Orlova, Y.V.; Shuvalov, A.V.; Myasoedov, N.A.; Karpichev, I.V. Mutation of the ARA7/AtRabF2b Gene, That Increases the Content of the Ara7 Protein Regulating Endocytic Trafficking Pathways, Improves Salt Tolerance of the Arabidopsis thaliana (L.) Heynh Plants. Russ. J. Plant Physiol. 2022, 69, 11. [Google Scholar] [CrossRef]
- Jiang, W.; Liu, D. Pb-induced cellular defense system in the root meristematic cells of Allium sativum L. BMC Plant Biol. 2010, 10, 40. [Google Scholar] [CrossRef] [PubMed]
- Sharma, S.S.; Dietz, K.-J.; Mimura, T. Vacuolar compartmentalization as indispensable component of heavy metal detoxification in plants: Vacuolar functions in HM detoxification. Plant Cell Environ. 2016, 39, 1112–1126. [Google Scholar] [CrossRef] [PubMed]
- Sychta, K.; Słomka, A.; Kuta, E. Insights into Plant Programmed Cell Death Induced by Heavy Metals—Discovering a Terra Incognita. Cells 2021, 10, 65. [Google Scholar] [CrossRef]
- Kar, R.; Singha, P.K.; Venkatachalam, M.A.; Saikumar, P. A novel role for MAP1 LC3 in nonautophagic cytoplasmic vacuolation death of cancer cells. Oncogene 2009, 28, 2556–2568. [Google Scholar] [CrossRef]
- Ohoka, N.; Nagai, K.; Shibata, N.; Hattori, T.; Nara, H.; Cho, N.; Naito, M. SNIPER(TACC3) induces cytoplasmic vacuolization and sensitizes cancer cells to Bortezomib. Cancer Sci. 2017, 108, 1032–1041. [Google Scholar] [CrossRef]
- Levene, A.P.; Goldin, R.D. Physiological hepatic nuclear vacuolation-how long does it persist? Histopathology 2010, 56, 426–429. [Google Scholar] [CrossRef]
- Sharma, S.; Ghufran, S.M.; Ghose, S.; Biswas, S. Cytoplasmic vacuolation with endoplasmic reticulum stress directs sorafenib induced non-apoptotic cell death in hepatic stellate cells. Sci. Rep. 2021, 11, 3089. [Google Scholar] [CrossRef]





| Variance Source | DF * | SS * | Mean Sq | F Value | Pr (>F) |
|---|---|---|---|---|---|
| Treatment | 3 | 3286 | 1380.3 | 405.54 | 2 × 10−16 *** |
| Exposure time | 2 | 160 | 62.4 | 18.34 | 1.55 × 10−8 *** |
| Treatment × exposure time | 6 | 18 | 6.8 | 1.984 | 0.0642 |
| Residual | 288 | 1205 | 4.2 |
| Variant | Time h | NaCl-mM | Total Number of Cells Analysed ± SE | Mitotic Index (%) | Prophase Index (%) | Metaphase Index (%) | Anaphase Index (%) | Telophase Index (%) |
|---|---|---|---|---|---|---|---|---|
| V1 | 24 | 0 | 2586 ± 2.58 | 13.58 ± 0.5 a | 7.04 ± 0.3 a | 2.81 ± 0.23 a | 2.1 ± 0.18 ab | 1.62 ± 0.1 a |
| 48 | 0 | 2709 ± 2.11 | 12.51 ± 0.52 a | 5.36 ± 0.34 bc | 3.04 ± 0.17 a | 2.56 ± 0.14 a | 1.54 ± 0.14 a | |
| 72 | 0 | 2629 ± 1.50 | 12.37 ± 0.46 a | 5.96 ± 0.32 ab | 2.4 ± 0.09 ab | 2.29 ± 0.15 a | 1.7 ± 0.07 a | |
| V2 | 24 | 100 | 2597 ± 1.41 | 9.95 ± 0.33 b | 5.69 ± 0.18 b | 1.93 ± 0.15 bc | 1.54 ± 0.09 bc | 0.78 ± 0.09 b |
| 48 | 100 | 2707 ± 1.73 | 8.2 ± 0.4 bc | 5.08 ± 0.23 bcd | 1.53 ± 0.14 cd | 1.11 ± 0.07 cd | 0.46 ± 0.09 b | |
| 72 | 100 | 2540 ± 2.17 | 7.3 ± 0.47 cd | 3.88 ± 0.29 de | 1.53 ± 0.09 cd | 1.29 ± 0.08 cd | 0.58 ± 0.09 b | |
| V3 | 24 | 125 | 2787 ± 2.08 | 5.94 ± 0.41 de | 4.32 ± 0.25 cd | 0.94 ± 0.06 d | 0.31 ± 0.09 e | 0.35 ± 0.09 b |
| 48 | 125 | 2742 ± 2.54 | 5.2 ± 0.44 ef | 2.98 ± 0.27 ef | 0.92 ± 0.02 d | 0.72 ± 0.13 de | 0.56 ± 0.09 b | |
| 72 | 125 | 2630 ± 2.43 | 4.62 ± 0.24 ef | 2.81 ± 0.24 ef | 0.96 ± 0.02 d | 0.32 ± 0.13 e | 0.52 ± 0.12 b | |
| V4 | 24 | 150 | 2701 ± 2.30 | 5.22 ± 0.22 def | 2.64 ± 0.14 efg | 1.27 ± 0.15 cd | 0.71 ± 0.08 de | 0.59 ± 0.08 b |
| 48 | 150 | 2727 ± 1.97 | 4.15 ± 0.26 ef | 2.16 ± 0.16 fg | 0.94 ± 0.16 d | 0.47 ± 0.09 e | 0.57 ± 0.09 b | |
| 72 | 150 | 2602 ± 1.85 | 3.58 ± 0.38 f | 1.6 ± 0.16 g | 1.18 ± 0.19 d | 0.46 ± 0.09 e | 0.31 ± 0.09 b |
| Variance Source | DF * | SS * | Mean Sq | F Value | Pr (>F) |
|---|---|---|---|---|---|
| Treatment | 3 | 3799 | 1266.5 | 249.088 | 2 × 10−16 *** |
| Exposure time | 2 | 418 | 208.9 | 41.087 | 2 × 10−13 *** |
| Treatment × exposure time | 6 | 156 | 26.0 | 5.117 | 5.16 × 10−5 *** |
| Residual | 288 | 1464 | 5.1 |
| Variant | Time (h) | NaCl-mM | Total Number of Aberant Cells | Chromosomal Aberration Index (CAI) (%) | Abnormal Cells (AC) (%) | Irregular Movement of the Chromosome (IRC) (%) | Chromosomes Bridges (CB) (%) | Sticky Chromosomes (SC) (%) | Isolated Chromosomes (IC) (%) | Lagging Chromosomes (LC) (%) |
|---|---|---|---|---|---|---|---|---|---|---|
| V1 | 24 | 0 | 25 ± 0.17 | 0.96 ± 0.17 h | 0.19 ± 0.08 c | 0.77 ± 0.16 f | - | - | - | - |
| 48 | 0 | 20 ± 0.09 | 0.73 ± 0.09 h | 0.29 ± 0.09 c | 0.44 ± 0.12 f | - | - | - | - | |
| 72 | 0 | 30 ± 0.16 | 1.14 ± 0.16 h | 0.49 ± 0.16 bc | 0.64 ± 0.14 f | - | - | - | - | |
| V2 | 24 | 100 | 65 ± 0.12 | 2.39 ± 0.12 gh | 0.33 ± 0.09 bc | 0.99 ± 0.22 f | 0.36 ± 0.12 de | 0.51 ± 0.12 cd | - | 0.18 ± 0.08 de |
| 48 | 100 | 115 ± 0.32 | 4.52 ± 0.32 fg | 0.86 ± 0.19 abc | 1.61 ± 0.26 ef | 0.62 ± 0.15 cde | 0.7 ± 0.18 bcd | 0.35 ± 0.13 def | 0.35 ± 0.09 de | |
| 72 | 100 | 134 ± 0.25 | 4.96 ± 0.25 fg | 1.25 ± 0.21 a | 1.44 ± 0.19 ef | 0.77 ± 0.16 bcd | 0.77 ± 0.17 bc | 0.4 ± 0.15 cdef | 0.29 ± 0.13 de | |
| V3 | 24 | 125 | 141 ± 0.43 | 5.36 ± 0.43 ef | 0.79 ± 0.16 abc | 2.32 ± 0.2 de | 0.57 ± 0.18 cde | 0.95 ± 0.22 abc | 0.22 ± 0.08 ef | 0.49 ± 0.11 cde |
| 48 | 125 | 185 ± 0.37 | 6.63 ± 0.37 de | 0.89 ± 0.2 abc | 2.61 ± 0.3 cd | 0.71 ± 0.16 bcd | 0.96 ± 0.16 abc | 0.43 ± 0.13 cdef | 1 ± 0.11 bc | |
| 72 | 125 | 254 ± 0.65 | 9.31 ± 0.65 bc | 1.46 ± 0.12 a | 3.48 ± 0.3 abc | 0.73 ± 0.19 bcd | 1.13 ± 0.18 abc | 1.24 ± 0.17 ab | 1.24 ± 0.15 ab | |
| V4 | 24 | 150 | 206 ± 0.62 | 7.93 ± 0.62 cd | 0.88 ± 0.19 abc | 3.15 ± 0.21 bcd | 1.19 ± 0.17 abc | 1.15 ± 0.18 abc | 0.8 ± 0.17 bcd | 0.73 ± 0.16 bcd |
| 48 | 150 | 267 ± 0.66 | 9.73 ± 0.66 ab | 1.05 ± 0.23 ab | 3.82 ± 0.27 ab | 1.34 ± 0.31 ab | 1.23 ± 0.21 ab | 0.94 ± 0.17 abc | 1.31 ± 0.31 ab | |
| 72 | 150 | 308 ± 0.7 | 11.83 ± 0.7 a | 1.3 ± 0.19 a | 4.41 ± 0.37 a | 1.69 ± 0.18 a | 1.46 ± 0.24 a | 1.38 ± 0.15 a | 1.57 ± 0.21 a |
| Vacuolization Index (VI) | |||||
| Variance Source | DF * | SS * | Mean Sq | F Value | Pr (>F) |
| Treatment | 3 | 37544 | 12515 | 2092.87 | 2 × 10−16 *** |
| Exposure time | 2 | 1396 | 698 | 116.73 | 2 × 10−16 *** |
| Treatment × exposure time | 6 | 640 | 107 | 17.84 | 5.16 × 10−5 *** |
| Residual | 288 | 1722 | 6 | ||
| Provacuolar Index (PVI) | |||||
| Variance Source | DF * | SS * | Mean Sq | F Value | Pr (>F) |
| Treatment | 3 | 1307.1 | 435.7 | 184.728 | 2 × 10−16 *** |
| Exposure time | 2 | 7.1 | 3.5 | 1.502 | 0.2244 |
| Treatment × exposure time | 6 | 44.2 | 7.4 | 3.121 | 0.0056 ** |
| Residual | 288 | 679.3 | 2.4 | ||
| Variant | Time | Treatment | Total Number of Cells Analysed ± SE | Vacuolization Index (VI) | Provacuolar Index (PVI) |
|---|---|---|---|---|---|
| V1 | 24 | 0 | 2586 ± 2.58 | 4.61 ± 0.17 g | 2.5 ± 0.25 f |
| 48 | 0 | 2709 ± 2.11 | 3.75 ± 0.23 g | 2.56 ± 0.23 f | |
| 72 | 0 | 2629 ± 1.50 | 4.74 ± 0.25 g | 2.54 ± 0.23 f | |
| V2 | 24 | 100 | 2597 ± 1.41 | 13.75 ± 0.3 f | 4.97 ± 0.31 e |
| 48 | 100 | 2707 ± 1.73 | 17.52 ± 0.29 e | 5.87 ± 0.36 de | |
| 72 | 100 | 2540 ± 2.17 | 17.98 ± 0.41 e | 5.14 ± 0.3 e | |
| V3 | 24 | 125 | 2787 ± 2.08 | 23.41 ± 0.23 d | 6.92 ± 0.29 bcd |
| 48 | 125 | 2742 ± 2.54 | 27.56 ± 0.49 c | 5.82 ± 0.27 de | |
| 72 | 125 | 2630 ± 2.43 | 29.28 ± 0.94 bc | 6.22 ± 0.3 bcde | |
| V4 | 24 | 150 | 2701 ± 2.30 | 27.66 ± 0.17 c | 7.45 ± 0.31 b |
| 48 | 150 | 2727 ± 1.97 | 30.81 ± 0.19 b | 7.33 ± 0.35 bc | |
| 72 | 150 | 2602 ± 1.85 | 36.62 ± 1 a | 9.05 ± 0.41 a |
Disclaimer/Publisher’s Note: The statements, opinions and data contained in all publications are solely those of the individual author(s) and contributor(s) and not of MDPI and/or the editor(s). MDPI and/or the editor(s) disclaim responsibility for any injury to people or property resulting from any ideas, methods, instructions or products referred to in the content. |
© 2023 by the authors. Licensee MDPI, Basel, Switzerland. This article is an open access article distributed under the terms and conditions of the Creative Commons Attribution (CC BY) license (https://creativecommons.org/licenses/by/4.0/).
Share and Cite
Emilian, O.; Ioan, S.; Irina, P.; Raul, P.; Adriana, C.; Dorin, C.; Ciprian, S. Cytological Applications of the Vacuolization Phenomenon as a Means of Determining Saline Cytotoxicity. Appl. Sci. 2023, 13, 8461. https://doi.org/10.3390/app13148461
Emilian O, Ioan S, Irina P, Raul P, Adriana C, Dorin C, Ciprian S. Cytological Applications of the Vacuolization Phenomenon as a Means of Determining Saline Cytotoxicity. Applied Sciences. 2023; 13(14):8461. https://doi.org/10.3390/app13148461
Chicago/Turabian StyleEmilian, Onisan, Sarac Ioan, Petrescu Irina, Pascalau Raul, Ciulca Adriana, Camen Dorin, and Stroia Ciprian. 2023. "Cytological Applications of the Vacuolization Phenomenon as a Means of Determining Saline Cytotoxicity" Applied Sciences 13, no. 14: 8461. https://doi.org/10.3390/app13148461
APA StyleEmilian, O., Ioan, S., Irina, P., Raul, P., Adriana, C., Dorin, C., & Ciprian, S. (2023). Cytological Applications of the Vacuolization Phenomenon as a Means of Determining Saline Cytotoxicity. Applied Sciences, 13(14), 8461. https://doi.org/10.3390/app13148461

