The Fusion of MRI and CT in the Planning of Brachytherapy for Cancer of the Uterine Cervix
Abstract
:1. Introduction
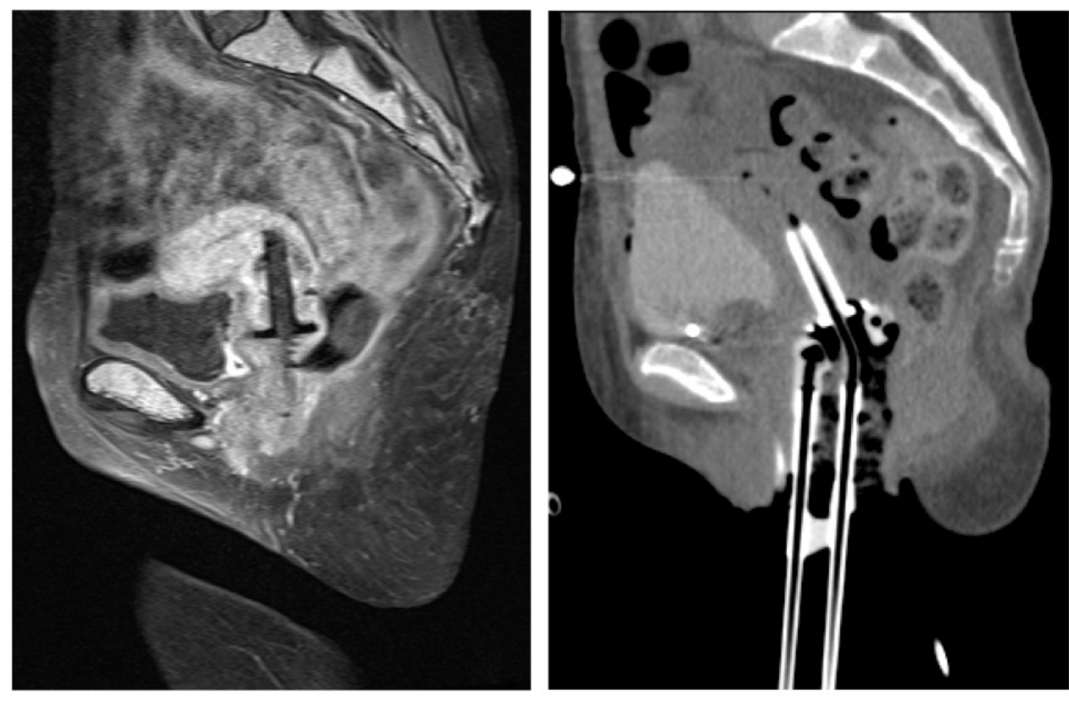
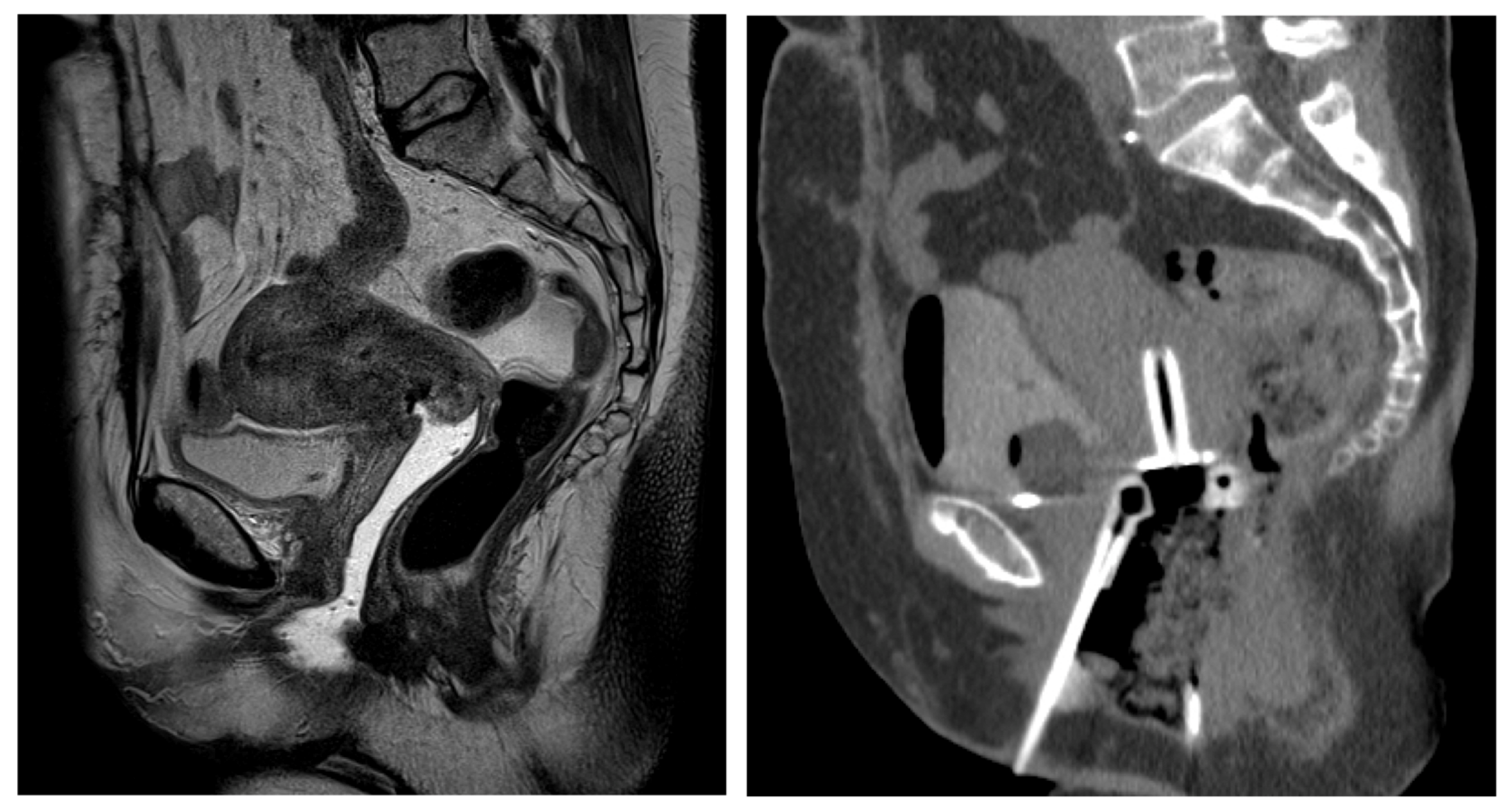
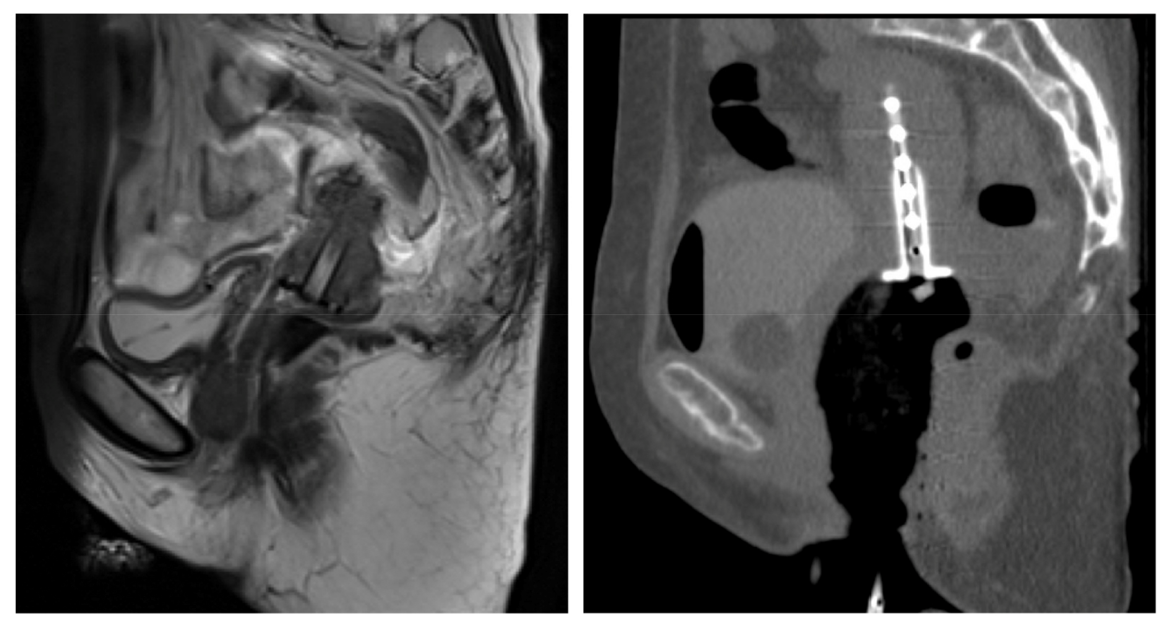
2. Materials and Methods
3. Results
4. Discussion
5. Conclusions
Supplementary Materials
Author Contributions
Funding
Institutional Review Board Statement
Informed Consent Statement
Data Availability Statement
Conflicts of Interest
References
- Lei, J.; Ploner, A.; Elfström, K.; Wang, J.; Roth, A.; Fang, F.; Sundström, K.; Dillner, J.; Sparén, P. HPV Vaccination and the Risk of Invasive Cervical Cancer. N. Engl. J. Med. 2020, 383, 1340–1348. [Google Scholar] [CrossRef]
- Ferlay, J.; Soerjomataram, I.; Dikshit, R.; Mathers, E.S.; Rebelo, C.; Parkin, M.; Forman, D.; Bray, F. Cancer incidence and mortality worldwide: Sources, methods and major patterns in GLOBOCAN 2012. Int. J. Cancer 2015, 136, E359–E386. [Google Scholar] [CrossRef]
- Poetter, R.; Tanderup, K.; Kirisits, C.; de Leeuw, A.; Kirchheiner, K.; Nout, R.; Tan, L.; Haie-Meder, C.; Mahantshetty, U.; Segedin, B.; et al. The EMBRACE II study: The outcome and prospect of two decades of evolution within the GEC-ESTRO GYN working group and the EMBRACE studies. Clin. Transl. Radiat. Oncol. 2018, 9, 48–60. [Google Scholar] [CrossRef] [Green Version]
- Mitchell, D.; Snyder, B.; Coakley, F.; Reinhold, C.; Thomas, G.; Amendola, M.; Schwartz, L.; Woodward, P.; Pannu, H.; Hricak, H. Early invasive cervical cancer: Tumor delineation by magnetic resonance imaging, computed tomography, and clinical examination, verified by pathologic results, in the ACRIN 6651/GOG 183 intergroup study. J. Clin. Oncol. 2006, 24, 5687–5694. [Google Scholar] [CrossRef] [PubMed]
- Oezsarlak, O.; Tjalma, W.; Schepens, E.; Corthouts, B.; Op de Beeck, B.; Van Marck, E.; Parizel, P.; De Schepper, A. The correlation of preoperative CT, MR imaging, and clinical staging (FIGO) with histopathology findings in primary cervical carcinoma. Eur. Radiol. 2003, 13, 2338–2345. [Google Scholar] [CrossRef] [PubMed]
- Kirisits, C.; Federico, M.; Nkiwane, K.; Fidarova, E.; Juergenliemk-Schulz, I.; de Leeuw, A.; Lindegaard, J.; Poetter, R.; Tanderup, K. Quality assurance in MR image guided adaptive brachytherapy for cervical cancer: Final results of the EMBRACE study dummy run. Radiother. Oncol. 2015, 117, 548–554. [Google Scholar] [CrossRef] [PubMed]
- Mahantshetty, U.; Poetter, R.; Beriwal, S.; Grover, S.; Lavanya, G.; Rai, B.; Petric, P.; Tanderup, K.; Carvalho, H.; Hegazy, N.; et al. IBS-GEC ESTRO-ABS recommendations for CT based contouring in image guided adaptive brachytherapy for cervical cancer. Radiother. Oncol. 2021, 160, 273–284. [Google Scholar] [CrossRef]
- Bhatla, N.; Berek, J.; Cuello Fredes, M.; Denny, L.; Grenman, S.; Karunaratne, K.; Kehoe, S.; Konishi, I.; Olawaiye, A.; Prat, J.; et al. Revised FIGO staging for carcinoma of the cervix uteri. Int. J. Gynecol. Obstet. 2019, 145, 129–135. [Google Scholar] [CrossRef]
- Poetter, R.; Haie-Meder, C.; van Limbergen, E.; Lavanya, G.; Rai, B.; Petric, P.; Tanderup, K. Recommendations from gynecological (GYN) GEC ESTRO working group (II): Concepts and terms in 3D image-based treatment planning in cervix cancer brachytherapy—3D dose volume parameters and aspects of 3D image-based anatomy, radiation physics, radiobiology. Radiother. Oncol. 2006, 78, 67–77. [Google Scholar] [CrossRef]
- Dimopoulos, J.C.A.; Petrow, P.; Tanderup, K.; Petric, P.; Morcos, M.; Viswanathan, A.; Lee, J. Recommendations from Gynaecological (GYN) GEC-ESTRO Working group(IV): Basic principles and parameters for MR imaging within the frame of image based adaptive cervix cancer brachytherapy. Radiother. Oncol. 2012, 103, 113–122. [Google Scholar] [CrossRef] [PubMed]
- Tan, L.; Tanderup, K.; Kirisits, C.; de Leeuw, A.; Nout, R.; Duke, S.; Seppenwoolde, Y.; Nesvacil, N.; Georg, D.; Kirchheiner, K.; et al. Image-guided Adaptive Radiotherapy in Cervical Cancer. Semin. Radiat. Oncol. 2019, 29, 284–298. [Google Scholar] [CrossRef]
- Merz, J.; Bossart, M.; Bamberg, F.; Eisenblaetter, M. Revised FIGO Staging for Cervical Cancer—A New Role for MRI. RoFo Fortschritte auf dem Gebiet der Rontgenstrahlen und der Bildgebenden Verfahren 2020, 192, 937–944. [Google Scholar] [CrossRef] [PubMed]
- Tokunaga, H.; Shimada, M.; Ishikawa, M.; Yaegashi, N. TNM classification of gynaecological malignant tumours, eighth edition: Changes between the seventh and eighth editions. Jpn. J. Clin. Oncol. 2019, 49, 311–320. [Google Scholar] [CrossRef]
- Brierley, J.D.; Gospodarowicz, M.K.; Wittekind, C. (Eds.) TNM Classification of Malignant Tumours, 8th ed.; Wiley-Blackwell: Hoboken, NJ, USA, 2016; ISBN 978-1-119-26357-9. [Google Scholar]
- Leitlinienprogramm Onkologie (Deutsche Krebsgesellschaft, Deutsche Krebshilfe, AWMF): S3-Leitlinie Diagnostik, Therapie und Nachsorge der Patientin mit Zervixkarzinom, Langversion, 2.1, 2021, AWMF-Registernummer: 032/033OL. Available online: https://www.leitlinienprogramm-onkologie.de/leitlinien/zervixkarzinom/ (accessed on 25 September 2021).
- Arya, R.; Giurcanu, M.; Jutzy, J.M.; Peters, P.; Daily, E.W.; Golden, D.W.; McCall, A.R.; Howard, A.R.; Hasan, Y.; Son, C.H. Local Control and Use of External Beam Parametrial Boost in the Era of Image-Guided Brachytherapy for Locally Advanced Cervical Cancer. Am. J. Clin. Oncol. 2021, 44, 565–571. [Google Scholar] [CrossRef] [PubMed]
- Poetter, R.; Tanderup, K.; Schmid, M.; Chimeno, J.; Adrià-Mora, M.; Pérez-Calatayud, M. MRI-guided adaptive brachytherapy in locally advanced cervical cancer (EMBRACE-I): A multicentre prospective cohort study. Lancet Oncol. 2021, 22, 538–547. [Google Scholar] [CrossRef]
- Smit, B.J.; van Wijk, A.L. An improved, disposable indwelling intrauterine tube (“smit sleeve”) not requiring retaining stitches for brachy-radiotherapy for carcinoma of the cervix. Eur. J. Gynaecol. Oncol. 2013, 34, 289–290. [Google Scholar] [PubMed]
- ICRU 89. Prescribing, Recording and Reporting Brachytherapy for Cancer of the Cervix. J. ICRU 2013, 13, 1–2. [Google Scholar] [CrossRef] [PubMed]
- Haie-Meder, C.; Pötter, R.; Van Limbergen, E.; Briot, E.; De Brabandere, M.; Dimopoulos, J.; Dumas, I.; Hellebust, T.P.; Kirisits, C.; Lang, S.; et al. Recommendations from Gynaecological (GYN) GEC-ESTRO Working Group (I): Concepts and terms in 3D image based 3D treatment planning in cervix cancer brachytherapy with emphasis on MRI assessment of GTV and CTV. Radiother. Oncol. 2005, 74, 235–245. [Google Scholar] [CrossRef] [PubMed]
- Carrasco, N.; Chimeno, J.; Adrià-Mora, M.; Pérez-Calatayud, M.; Ibáñez, B.; Carmona, V.; Celada, F.; Gimeno, J.; Lliso, F.; Pérez-Calatayud, J. Inter-observer and intra-observer variability in reporting vaginal dose points for cervical cancer in high-dose-rate brachytherapy. J. Contemp. Brachyther. 2020, 12, 139–146. [Google Scholar] [CrossRef]
- Kharofa, J.; Morrow, N.; Kelly, T.; Rownd, J.; Paulson, E.; Rader, J.; Uyar, D.; Bradley, W.; Erickson, B. 3-T MRI-based adaptive brachytherapy for cervix cancer: Treatment technique and initial clinical outcomes. Brachytherapy 2014, 13, 319–325. [Google Scholar] [CrossRef]
- Hrinivich, W.; Morcos, M.; Viswanathan, A.; Lee, J. Automatic tandem and ring reconstruction using MRI for cervical cancer brachytherapy. Med. Phys. 2019, 46, 4324–4332. [Google Scholar] [CrossRef] [PubMed] [Green Version]
- Balcacer, P.; Shergill, A.; Litkouhi, B. MRI of cervical cancer with a surgical perspective: Staging, prognostic implications and pitfalls. Abdom. Radiol. 2019, 44, 2557–2571. [Google Scholar] [CrossRef] [PubMed]
- Fields, E.C.; Hazell, S.; Morcos, M.; Schmidt, E.J.; Chargari, C.; Viswanathan, A. Image-Guided Gynecologic Brachytherapy for Cervical Cancer. Semin. Radiat. Oncol. 2019, 30, 16–28. [Google Scholar] [CrossRef] [PubMed]



| Patient Properties | |
|---|---|
| Number of Patients | 53 |
| Adaptive MRI available | 47 |
| Age | mean 52 Y min. 29 Y max. 80 Y |
| Tumor size TNM | 18.9% cT1 45.3% cT2 28.3% cT3 7.5% cT4 |
| Pelvic lymph node metastasis | 34% N0 66% N1 |
| Distant lymph node metastasis | 73.6% no 26.4% yes |
| Grading | 0% G1 51% G2 49% G3 |
| Lymphatic vessel invasion | 9.4% L1 90.6% L0 |
| Blood vessel invasion | 86.8% V0 13.2% V1 |
| Differentiation | 86.8% squamous 9.4% Adenocarcinoma 3.8% small cell or adeno-squamous |
Publisher’s Note: MDPI stays neutral with regard to jurisdictional claims in published maps and institutional affiliations. |
© 2022 by the authors. Licensee MDPI, Basel, Switzerland. This article is an open access article distributed under the terms and conditions of the Creative Commons Attribution (CC BY) license (https://creativecommons.org/licenses/by/4.0/).
Share and Cite
Merten, R.; Fischer, M.; Christiansen, H.; Ringe, K.I.; Klapdor, R.; Wichmann, J. The Fusion of MRI and CT in the Planning of Brachytherapy for Cancer of the Uterine Cervix. Appl. Sci. 2022, 12, 634. https://doi.org/10.3390/app12020634
Merten R, Fischer M, Christiansen H, Ringe KI, Klapdor R, Wichmann J. The Fusion of MRI and CT in the Planning of Brachytherapy for Cancer of the Uterine Cervix. Applied Sciences. 2022; 12(2):634. https://doi.org/10.3390/app12020634
Chicago/Turabian StyleMerten, Roland, Mirko Fischer, Hans Christiansen, Kristina I. Ringe, Rüdiger Klapdor, and Jörn Wichmann. 2022. "The Fusion of MRI and CT in the Planning of Brachytherapy for Cancer of the Uterine Cervix" Applied Sciences 12, no. 2: 634. https://doi.org/10.3390/app12020634
APA StyleMerten, R., Fischer, M., Christiansen, H., Ringe, K. I., Klapdor, R., & Wichmann, J. (2022). The Fusion of MRI and CT in the Planning of Brachytherapy for Cancer of the Uterine Cervix. Applied Sciences, 12(2), 634. https://doi.org/10.3390/app12020634

