Cold Atmospheric Plasma, Platelet-Rich Plasma, and Nitric Oxide Synthesis Inhibitor: Effects Investigation on an Experimental Model on Rats
Abstract
Featured Application
Abstract
1. Introduction
2. Materials and Methods
2.1. Animals
2.2. Surgical Procedure
2.3. Treatment Procedure
2.4. PRP Obtainment
2.5. CAP Activated Solution Preparation
2.6. Thermographic Exploration
2.7. Hematological Tableau
2.8. Anatomopathological Analysis
2.9. Statistical Analysis
3. Results
3.1. Effects of CAP Activated Solution, PRP and L-NAME on the Necrosis
3.2. Thermographic Exploration
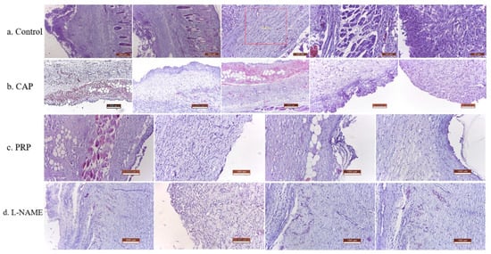
3.3. Anatomopathological Results
3.4. Blood Work Parameters
4. Discussion
5. Conclusions
Author Contributions
Funding
Institutional Review Board Statement
Informed Consent Statement
Data Availability Statement
Conflicts of Interest
References
- Gardikiotis, I.; Manole, A.; Azoicăi, D. Quality of life with mastectomy for breast cancer, in terms of patients’ responses of sf-36 questionnaire. Rev. Med. Chir. Soc. Med. Nat. 2015, 119, 529–535. [Google Scholar]
- Bauermeister, A.J.; Zuriarrain, A.; Newman, M.I. Three-Dimensional Printing in Plastic and Reconstructive Surgery: A Systematic Review. Ann. Plast. Surg. 2016, 77, 569–576. [Google Scholar] [CrossRef] [PubMed]
- Chae, M.P.; Rozen, W.M.; McMenamin, P.G.; Findlay, M.W.; Spychal, R.T.; Hunter-Smith, D.J. Emerging Applications of Bedside 3D Printing in Plastic Surgery. Front. Surg. 2015, 2, 25. [Google Scholar] [CrossRef]
- Weum, S.; Mercer, J.B.; de Weerd, L. Evaluation of dynamic infrared thermography as an alternative to CT angiography for perforator mapping in breast reconstruction: A clinical study. BMC Med. Imaging 2016, 16, 43. [Google Scholar] [CrossRef]
- Suschek, C.V.; Opländer, C. The application of cold atmospheric plasma in medicine: The potential role of nitric oxide in plasma-induced effects. Clin. Plasma Med. 2016, 4, 1–8. [Google Scholar] [CrossRef]
- Fichter, A.M.; Ritschl, L.M.; Robitzky, L.K.; Wagenpfeil, S.; Mitchell, D.; Wolff, K.D.; Mucke, T. Impact of different antithrombotics on the microcirculation and viability of perforator-based ischaemic skin flaps in a small animal model. Sci. Rep. 2016, 6, 35833. [Google Scholar] [CrossRef] [PubMed]
- Fatemi, M.J.; Forootan, K.S.; Jalali, S.Z.S.; Mousavi, S.J.; Pedram, M.S. The Effect of Enoxaparin and Clopidogrel on Survival of Random Skin Flap in Rat Animal Model. World J. Plast Surg. 2012, 1, 64–70. [Google Scholar]
- Caba, B.; Gardikiotis, I.; Strobescu-Ciobanu, C.; Strobescu-Ciobanu, C.; Mihai, C.T.; Dimitriu, G.; Huzum, B.; Serban, I.L. Clinical and echographic evaluation of the effects of epinephrine and platelet-rich plasma solution on modified mcfarlane skin flap in rats. Rev. Med. Chir. Soc. Med. Nat. 2019, 123, 319–327. [Google Scholar]
- Gazzalle, A.; Teixeira, L.F.; Pellizzari, A.C.; Cocolichio, F.; Zampieri, J.T.; Pezzin, L.S.; Zago, V.; Braga-Silva, L. Effect of Side-Stream Smoking on Random-Pattern Skin Flap Survival in Rats. Ann. Plast. Surg. 2014, 72, 463–466. [Google Scholar] [CrossRef]
- Gürsoy, K.; Teymur, H.; Koca, G.; Tanas Isikci, O.; Goktas, D.; Fethiye, B.; Kankaya, Y.; Ugur, K. The Effect of Astaxanthin on Random Pattern Skin Flaps. Ann. Plast. Surg. 2020, 84, 208–215. [Google Scholar] [CrossRef]
- Can, A.; Temel, M.; Dokuyucu, R.; Mutaf, M. The Effect of Coenzyme Q10 (Ubiquinone) on Random Pattern Skin Flap Survival in Rat Model. Ann. Plast. Surg. 2016, 77, e9–e14. [Google Scholar] [CrossRef]
- Choi, S.W.; Jeon, Y.R.; Baek, W.; Yun, C.-O.; Roh, T.S.; Lee, W.J. Dickkopf 2–Expressing Adenovirus Increases the Survival of Random-Pattern Flaps and Promotes Vasculogenesis in a Rat Model. Ann. Plast. Surg. 2020, 84, 588–594. [Google Scholar] [CrossRef]
- Şen, H.; Oruç, M.; Işik, V.M.; Sadic, M.; Sayar, H.; Citil, R.; Korkmaz, M.; Kocer, U. The Effect of Omeprazole Usage on the Viability of Random Pattern Skin Flaps in Rats. Ann. Plast. Surg. 2017, 78, e5–e9. [Google Scholar] [CrossRef]
- Schmauss, D.; Weinzierl, A.; Schmauss, V.; Harder, Y. Common Rodent Flap Models in Experimental Surgery. Eur. Surg. Res. 2018, 59, 255–264. [Google Scholar] [CrossRef] [PubMed]
- Ohara, H.; Kishi, K.; Nakajima, T. Rat Dorsal Paired Island Skin Flaps: A Precise Model for Flap Survival Evaluation. Keio J. Med. 2008, 57, 211–216. [Google Scholar] [CrossRef] [PubMed][Green Version]
- Hosnuter, M.; Kargi, E.; Peksoy, İ.; Babucçu, O.; Payasli, C. An ameliorated skin flap model in rats for experimental research. J. Plast. Reconstr. Aesthet. Surg. 2006, 59, 299–303. [Google Scholar] [CrossRef] [PubMed]
- Li, W.; Enomoto, M.; Ukegawa, M.; Hirai, T.; Sotome, S.; Wakabayashi, Y.; Shinomiya, K.; Okawa, A. Subcutaneous Injections of Platelet-Rich Plasma into Skin Flaps Modulate Proangiogenic Gene Expression and Improve Survival Rates. Plast. Reconstr. Surg. 2012, 129, 858–866. [Google Scholar] [CrossRef]
- Takikawa, M.; Sumi, Y.; Ishihara, M.; Kishimoto, S.; Nakamura, S.; Yanagibayashi, N.; Hattori, H.; Azuma, R.; Yamamoto, N.; Kiyosawa, T. PRP&F/P MPs Improved Survival of Dorsal Paired Pedicle Skin Flaps in Rats. J. Surg. Res. 2011, 170, e189–e196. [Google Scholar] [CrossRef]
- Orhan, E.; Uysal, A.Ç.; Başer, E.; Keskin, D.; Demiroğlu-Yakut, Ç. The effect of intradermal administration of inactive platelet-rich plasma on flap viability in rats. Acta Cir. Bras. 2017, 32, 280–286. [Google Scholar] [CrossRef]
- Knox, L.K.; Stewart, A.G.; Hayward, P.G.; Morrison, W.A. Nitric oxide synthase inhibitors improve skin flap survival in the rat. Microsurgery 1994, 15, 708–711. [Google Scholar] [CrossRef]
- Gribbe, Ö.; Samuelson, U.E.; Wiklund, N.P. Effects of nitric oxide synthase inhibition on blood flow and survival in experimental skin flaps. J. Plast. Reconstr. Aesthet. Surg. 2007, 60, 287–293. [Google Scholar] [CrossRef]
- Nezami, B.G.; Rahimpour, S.; Sadeghi, M.; Sianati, S.; Kalbasi Anaraki, D.; Ebrahimi, F.; Ghasemi, M.; Dehpour, A.R. Chronic Lithium Impairs Skin Tolerance to Ischemia in Random-Pattern Skin Flap of Rats. J. Surg. Res. 2011, 171, 374–378. [Google Scholar] [CrossRef] [PubMed]
- Ermolaeva, S.A.; Petrov, O.F.; Naroditsky, B.S.; Fortov, V.E.; Morfill, G.E.; Gintsburg, A.L. Cold Plasma Therapy. In Comprehensive Biomedical Physics; Elsevier: Amsterdam, The Netherlands, 2014; pp. 343–367. [Google Scholar] [CrossRef]
- Balzer, J.; Demir, E.; Kogelheide, F.; Fuchs, P.C.; Stapelmann, K.; Opländer, C. Cold atmospheric plasma (CAP) differently affects migration and differentiation of keratinocytes via hydrogen peroxide and nitric oxide-related products. Clin. Plasma Med. 2019, 13, 1–8. [Google Scholar] [CrossRef]
- Hasse, S.; Duong Tran, T.; Hahn, O.; Kindler, S.; Metelman, H.R.; von Woedtke, T.; Masur, K. Induction of proliferation of basal epidermal keratinocytes by cold atmospheric-pressure plasma. Clin. Exp. Dermatol. 2015, 41, 202–209. [Google Scholar] [CrossRef]
- Gerber, I.C.; Mihai, C.T.; Gorgan, L.; Ciorpac, M.; Nita, A.; Pohoata, V.; Mihaila, I.; Topala, I. Viability and Cell Biology for HeLa and Vero Cells after Exposure to Low-Temperature Air Dielectric Barrier Discharge Plasma. Plasma Med. 2017, 7, 159–173. [Google Scholar] [CrossRef]
- Khlyustova, A.; Labay, C.; Machala, Z.; Ginebra, M.-P.; Canal, C. Important parameters in plasma jets for the production of RONS in liquids for plasma medicine: A brief review. Front. Chem. Sci. Eng. 2019, 13, 238–252. [Google Scholar] [CrossRef]
- Trizio, I.; Sardella, E.; Rizzi, V.; Dilecce, G.; Cosma, P.; Schmidt, M.; von Woedtke, T.; Gristina, R.; Favia, P. Characterization of Reactive Oxygen/Nitrogen Species Produced in PBS and DMEM by Air DBD Plasma Treatments. Plasma Med. 2016, 6, 13–19. [Google Scholar] [CrossRef]
- Tarabová, B.; Lukeš, P.; Hammer, M.U.; Jablonowski, H.; von Woedtke, T.; Reuter, S.; Machala, Z. Fluorescent measurement of peroxynitrite/peroxynitrous acid in cold air plasma treated aqueous solutions. Phys. Chem. Chem. Phys. 2019, 21, 8883–8896. [Google Scholar] [CrossRef]
- Yost, A.D.; Joshi, S.G. Atmospheric Nonthermal Plasma-Treated PBS Inactivates Escherichia coli by Oxidative DNA Damage. PLoS ONE 2015, 10, e0139903. [Google Scholar] [CrossRef]
- Van Boxem, W.; Van der Paal, J.; Gorbanev, Y.; Vanuytsel, S.; Smits, E.; Dewilde, S.; Bogaerts, A. Anti-cancer capacity of plasma-treated PBS: Effect of chemical composition on cancer cell cytotoxicity. Sci. Rep. 2017, 7, 16478. [Google Scholar] [CrossRef]
- Gorbanev, Y.; Privat-Maldonado, A.; Bogaerts, A. Analysis of short-lived reactive species in plasma–air–water systems: The dos and the do nots. Anal. Chem. 2018, 90, 13151–13158. [Google Scholar] [CrossRef]
- Bruno, G.; Wenske, S.; Lackmann, J.W.; Lalk, M.; von Woedtke, T.; Wende, K. On the Liquid Chemistry of the Reactive Nitrogen Species Peroxynitrite and Nitrogen Dioxide Generated by Physical Plasmas. Biomolecules 2020, 10, 1687. [Google Scholar] [CrossRef]
- Sklias, K.; Santos Sousa, J.; Girard, P.M. Role of Short-and Long-Lived Reactive Species on the Selectivity and Anti-Cancer Action of Plasma Treatment In Vitro. Cancers 2021, 13, 615. [Google Scholar] [CrossRef] [PubMed]
- Tsoukou, E.; Bourke, P.; Boehm, D. Temperature Stability and Effectiveness of Plasma-Activated Liquids over an 18 Months Period. Water 2020, 12, 3021. [Google Scholar] [CrossRef]
- Girard, P.M.; Arbabian, A.; Fleury, M.; Bauville, G.; Puech, V.; Dutreix, M.; Sousa, J.S. Synergistic Effect of H2O2 and NO2 in Cell Death Induced by Cold Atmospheric He Plasma. Sci. Rep. 2016, 6, 29098. [Google Scholar] [CrossRef]
- Kurake, N.; Tanaka, H.; Ishikawa, K.; Kondo, T.; Sekine, M.; Nakamura, K.; Kajiyama, H.; Kikkawa, F.; Mizuno, M.; Hori, M. Cell survival of glioblastoma grown in medium containing hydrogen peroxide and/or nitrite, or in plasma-activated medium. Arch. Biochem. Biophys. 2016, 605, 102–108. [Google Scholar] [CrossRef]
- Jirásek, V.; Koval’ová, Z.; Tarabová, B.; Lukeš, P. Leucine modifications by He/O2 plasma treatment in phosphate-buffered saline: Bactericidal effects and chemical characterization. J. Phys. D Appl. Phys. 2021, 54, 505206. [Google Scholar] [CrossRef]
- Takamatsu, T.; Kawate, A.; Uehara, K.; Oshita, T.; Miyahara, H.; Dobrynin, D.; Fridman, G.; Fridman, A.; Okino, A. Bacterial inactivation in liquids using multi-gas plasmas. Plasma Med. 2012, 2, 237–247. [Google Scholar] [CrossRef]
- Yang, L.; Niyazi, G.; Qi, Y.; Yao, Z.; Huang, L.; Wang, Z.; Guo, L.; Liu, D. Plasma-Activated Saline Promotes Antibiotic Treatment of Systemic Methicillin-Resistant Staphylococcus aureus Infection. Antibiotics 2021, 10, 1018. [Google Scholar] [CrossRef] [PubMed]
- Griseti, E.; Merbahi, N.; Golzio, M. Anti-cancer potential of two plasma-activated liquids: Implication of long-lived reactive oxygen and nitrogen species. Cancers 2020, 12, 721. [Google Scholar] [CrossRef] [PubMed]
- Zhang, H.; Zhang, J.; Guo, B.; Chen, H.; Xu, D.; Kong, M.G. The Antitumor Effects of Plasma-Activated Saline on Muscle-Invasive Bladder Cancer Cells In Vitro and In Vivo Demonstrate Its Feasibility as a Potential Therapeutic Approach. Cancers 2021, 13, 1042. [Google Scholar] [CrossRef]
- Chen, Z.; Lin, L.; Gjika, E.; Cheng, X.; Canady, J.; Keidar, M. Selective treatment of pancreatic cancer cells by plasma-activated saline solutions. IEEE TRPMS 2017, 2, 116–120. [Google Scholar] [CrossRef]
- Griseti, E.; Kolosnjaj-Tabi, J.; Gibot, L.; Fourquaux, I.; Rols, M.P.; Yousfi, M.; Merbahi, N.; Golzio, M. Pulsed Electric Field Treatment Enhances the Cytotoxicity of Plasma-Activated Liquids in a Three-Dimensional Human Colorectal Cancer Cell Model. Sci. Rep. 2019, 9, 7583. [Google Scholar] [CrossRef] [PubMed]
- Daeschlein, G.; Hillmann, A.; Gumbel, D.; Sicher, C.; von Podewils, S. Enhanced Anticancer Efficacy by Drug Chemotherapy and Cold Atmospheric Plasma Against Melanoma and Glioblastoma Cell Lines In Vitro. IEEE TRPMS 2018, 2, 153–159. [Google Scholar] [CrossRef]
- Mohd Nasir, N.; Lee, B.K.; Yap, S.S.; Thong, K.L.; Yap, S.L. Cold plasma inactivation of chronic wound bacteria. Arch. Biochem. Biophys. 2016, 605, 76–85. [Google Scholar] [CrossRef]
- Haertel, B.; Woedtke, T.; von Weltmann, K.-D.; Lindequist, U. Non-Thermal Atmospheric-Pressure Plasma Possible Application in Wound Healing. Biomol. Ther. 2014, 22, 477–490. [Google Scholar] [CrossRef] [PubMed]
- Knox, L.K.; Angel, M.F.; Gamper, T.; Amiss, L.R.; Morgan, R.F. Secondary ischemic tolerance improved by administration of L-NAME in rat flaps. Microsurgery 1996, 17, 425–427. [Google Scholar] [CrossRef]
- Kopincová, J.; Púzserová, A.; Bernátová, I. L-NAME in the cardiovascular system—Nitric oxide synthase activator? Pharmacol. Rep. 2012, 64, 511–520. [Google Scholar] [CrossRef]
- Liu, T.; Zhang, M.; Mukosera, G.T.; Borchardt, D.; Li, Q.; Tipple, T.E.; Ahmed, A.S.I.; Power, G.G.; Blood, A.B. L-NAME releases nitric oxide and potentiates subsequent nitroglycerin mediated vasodilation. Redox Biol. 2019, 26, 101238. [Google Scholar] [CrossRef]




| Group | Temperature Max Average | Mean | Standard Deviation | Coefficient of Variation | p |
|---|---|---|---|---|---|
| Control group | 35.1 °C | 26.12 | 4.54 | 0.173% | ns |
| CAP | 34.1 °C | 24.60 | 4.10 | 0.166% | ns |
| PRP | 34.5 °C | 24.98 | 4.16 | 0.166% | ns |
| L-NAME | 33.6 °C | 24.28 | 4.01 | 0.163% | ns |
| Control Group | CAP | PRP | L-NAME | |
|---|---|---|---|---|
| Neutrophil exudation | +++++ | +/− | + | +/− |
| Angiogenesis | + | +++++ | ++++ | ++++ |
| Conjunctive tissue | + | +++++ | +++++ | +++++ |
| Necrosis | ++++ | +/− | + | − |
| Groups | Leukocytes | Erythrocytes | Hemoglobin | Hematocrit | VEM | Platelets | PDW | MPV | Segmented Neutrophils |
|---|---|---|---|---|---|---|---|---|---|
| Control | 15.52 ± 1.25 | 7.07 ± 0.15 | 13.01 ± 0.21 | 35.38 ± 0.48 | 50.12 ± 0.44 | 1136.00 ± 58.25 | 8.57 ± 0.21 | 13.05 ± 5.33 | 5.30 ± 0.50 |
| CAP | 10.97 ± 0.92 (ns) | 7.22 ± 0.205 (ns) | 13.47 ± 0.39 (ns) | 36.65 ± 0.92 (ns) | 50.82 ± 0.83 (ns) | 734.50 ± 214.30 (ns) | 9.22 ± 0.36 (ns) | 8.03 ± 0.17 (ns) | 3.43 ± 0.49 (ns) |
| PRP | 12.26 ± 1.39 (ns) | 7.01 ± 0.16 (ns) | 12.63 ± 0.41 (ns) | 35.55 ± 0.85 (ns) | 50.73 ± 0.21 (ns) | 957.80 ± 166.60 (ns) | 8.57 ± 0.35 (ns) | 7.82 ± 0.26 (ns) | 3.25 ± 0.62 (ns) |
| L-NAME | 13.85 ± 1.54 (ns) | 7.09 ± 0.185 (ns) | 13.18 ± 0.23 (ns) | 36.15 ± 0.45 (ns) | 51.08 ± 0.92 (ns) | 1141.00 ± 186.50 (ns) | 8.80 ± 0.32 (ns) | 7.92 ± 0.17 (ns) | 4.23 ± 0.61 (ns) |
Publisher’s Note: MDPI stays neutral with regard to jurisdictional claims in published maps and institutional affiliations. |
© 2022 by the authors. Licensee MDPI, Basel, Switzerland. This article is an open access article distributed under the terms and conditions of the Creative Commons Attribution (CC BY) license (https://creativecommons.org/licenses/by/4.0/).
Share and Cite
Caba, B.; Gardikiotis, I.; Topala, I.; Mihaila, I.; Mihai, C.T.; Luca, C.; Pasca, S.; Caba, I.C.; Dimitriu, G.; Huzum, B.; et al. Cold Atmospheric Plasma, Platelet-Rich Plasma, and Nitric Oxide Synthesis Inhibitor: Effects Investigation on an Experimental Model on Rats. Appl. Sci. 2022, 12, 590. https://doi.org/10.3390/app12020590
Caba B, Gardikiotis I, Topala I, Mihaila I, Mihai CT, Luca C, Pasca S, Caba IC, Dimitriu G, Huzum B, et al. Cold Atmospheric Plasma, Platelet-Rich Plasma, and Nitric Oxide Synthesis Inhibitor: Effects Investigation on an Experimental Model on Rats. Applied Sciences. 2022; 12(2):590. https://doi.org/10.3390/app12020590
Chicago/Turabian StyleCaba, Bogdan, Ioannis Gardikiotis, Ionut Topala, Ilarion Mihaila, Cosmin Teodor Mihai, Catalina Luca, Sorin Pasca, Ioana Cezara Caba, Gabriel Dimitriu, Bogdan Huzum, and et al. 2022. "Cold Atmospheric Plasma, Platelet-Rich Plasma, and Nitric Oxide Synthesis Inhibitor: Effects Investigation on an Experimental Model on Rats" Applied Sciences 12, no. 2: 590. https://doi.org/10.3390/app12020590
APA StyleCaba, B., Gardikiotis, I., Topala, I., Mihaila, I., Mihai, C. T., Luca, C., Pasca, S., Caba, I. C., Dimitriu, G., Huzum, B., & Serban, I. L. (2022). Cold Atmospheric Plasma, Platelet-Rich Plasma, and Nitric Oxide Synthesis Inhibitor: Effects Investigation on an Experimental Model on Rats. Applied Sciences, 12(2), 590. https://doi.org/10.3390/app12020590

