Ameliorative Effects of Annona muricata Leaf Ethanol Extract on Renal Morphology of Alloxan-Induced Mice
Abstract
1. Introduction
2. Materials and Methods
2.1. Annona Muricata Leaf Extraction
2.2. Total Alkaloid Content Determination
2.3. Total Flavonoid Content Determination
2.4. Bioactive Compound Identification Using LC-MS/MS
2.5. Animal Model Characteristics
2.6. Preparation of Histopathological Tissue
2.7. Hematoxylin and Eosin Staining
2.8. Image Acquisition
2.9. Statistical Analysis
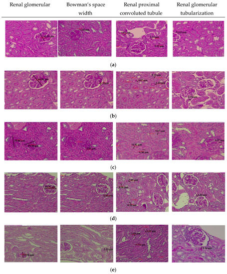
3. Results
4. Discussion
5. Conclusions
Author Contributions
Funding
Institutional Review Board Statement
Informed Consent Statement
Data Availability Statement
Acknowledgments
Conflicts of Interest
References
- Vieira, R.; Souto, S.B.; Sánchez-López, E.; López Machado, A.; Severino, P.; Jose, S.; Santini, A.; Silva, A.M.; Fortuna, A.; García, M.L. Sugar-Lowering Drugs for Type 2 Diabetes Mellitus and Metabolic Syndrome—Strategies for in Vivo Administration: Part-2. J. Clin. Med. 2019, 8, 1332. [Google Scholar] [CrossRef] [PubMed]
- Jeon, J.Y.; Ko, S.-H.; Kwon, H.-S.; Kim, N.H.; Kim, J.H.; Kim, C.S.; Song, K.-H.; Won, J.C.; Lim, S.; Choi, S.H. Prevalence of Diabetes and Prediabetes According to Fasting Plasma Glucose and Hba1c. Diabetes Metab. J. 2013, 37, 349. [Google Scholar] [CrossRef] [PubMed]
- Al-Lawati, J.A. Diabetes Mellitus: A Local and Global Public Health Emergency! Oman Med. J. 2017, 32, 177. [Google Scholar] [CrossRef] [PubMed]
- Mihardja, L.; Delima, D.; Massie, R.G.; Karyana, M.; Nugroho, P.; Yunir, E. Prevalence of Kidney Dysfunction in Diabetes Mellitus and Associated Risk Factors among Productive Age Indonesian. J. Diabetes Metab. Disord. 2018, 17, 53–61. [Google Scholar] [CrossRef]
- Fox, C.S.; Matsushita, K.; Woodward, M.; Bilo, H.J.; Chalmers, J.; Heerspink, H.J.L.; Lee, B.J.; Perkins, R.M.; Rossing, P.; Sairenchi, T. Associations of Kidney Disease Measures with Mortality and End-Stage Renal Disease in Individuals with and without Diabetes: A Meta-Analysis. Lancet 2012, 380, 1662–1673. [Google Scholar] [CrossRef]
- DiGangi, C. Neutrophil-Lymphocyte Ratio: Predicting Cardiovascular and Renal Complications in Patients with Diabetes. J. Am. Assoc. Nurse Pract. 2016, 28, 410–414. [Google Scholar] [CrossRef]
- Gregg, E.W.; Sattar, N.; Ali, M.K. The Changing Face of Diabetes Complications. Lancet Diabetes Endocrinol. 2016, 4, 537–547. [Google Scholar] [CrossRef]
- Reidy, K.; Kang, H.M.; Hostetter, T.; Susztak, K. Molecular Mechanisms of Diabetic Kidney Disease. J. Clin. Investig. 2014, 124, 2333–2340. [Google Scholar] [CrossRef]
- Vlassara, H.; Uribarri, J. Advanced Glycation End Products (Age) and Diabetes: Cause, Effect, or Both? Curr. Diab. Rep. 2014, 14, 453. [Google Scholar] [CrossRef]
- Aragno, M.; Mastrocola, R. Dietary Sugars and Endogenous Formation of Advanced Glycation Endproducts: Emerging Mechanisms of Disease. Nutrients. 2017, 9, 385. [Google Scholar] [CrossRef]
- Pasupulati, A.K.; Chitra, P.S.; Reddy, G.B. Advanced Glycation End Products Mediated Cellular and Molecular Events in the Pathology of Diabetic Nephropathy. Biomol. Concepts. 2016, 7, 293–309. [Google Scholar] [CrossRef]
- Jourde-Chiche, N.; Fakhouri, F.; Dou, L.; Bellien, J.; Burtey, S.; Frimat, M.; Jarrot, P.-A.; Kaplanski, G.; Le Quintrec, M.; Pernin, V. Endothelium Structure and Function in Kidney Health and Disease. Nat. Rev. Nephrol. 2019, 15, 87–108. [Google Scholar] [CrossRef]
- Romagnani, P.; Remuzzi, G.; Glassock, R.; Levin, A.; Jager, K.J.; Tonelli, M.; Massy, Z.; Wanner, C.; Anders, H.-J. Chronic Kidney Disease. Nat. Rev. Dis. Primers. 2017, 3, 1–24. [Google Scholar] [CrossRef]
- Satoh, M.; Kobayashi, S.; Kuwabara, A.; Tomita, N.; Sasaki, T.; Kashihara, N. In Vivo Visualization of Glomerular Microcirculation and Hyperfiltration in Streptozotocin-Induced Diabetic Rats. Microcirculation 2010, 17, 103–112. [Google Scholar] [CrossRef]
- Lee, M.M.; Brooksbank, K.J.; Wetherall, K.; Mangion, K.; Roditi, G.; Campbell, R.T.; Berry, C.; Chong, V.; Coyle, L.; Docherty, K.F. Effect of Empagliflozin on Left Ventricular Volumes in Patients with Type 2 Diabetes, or Prediabetes, and Heart Failure with Reduced Ejection Fraction (Sugar-Dm-Hf). Circulation 2021, 143, 516–525. [Google Scholar] [CrossRef]
- Akhtar, M.; Taha, N.; Nauman, A.; Mujeeb, I.; Al-Nabet, A. Diabetic Kidney Disease: Past and Present. Adv. Anat. Pathol. 2020, 27, 87–97. [Google Scholar] [CrossRef]
- Pandey, A.; Tripathi, P.; Pandey, R.; Srivatava, R.; Goswami, S. Alternative Therapies Useful in the Management of Diabetes: A Systematic Review. J. Pharm. Bioallied Sci. 2011, 3, 504. [Google Scholar]
- Campbell, R.K. Type 2 Diabetes: Where We Are Today: An Overview of Disease Burden, Current Treatments, and Treatment Strategies. J. Am. Pharm. Assoc. 2009, 49, S3–S9. [Google Scholar] [CrossRef]
- Jacobi, J.; Bircher, N.; Krinsley, J.; Agus, M.; Braithwaite, S.S.; Deutschman, C.; Freire, A.X.; Geehan, D.; Kohl, B.; Nasraway, S.A. Guidelines for the Use of an Insulin Infusion for the Management of Hyperglycemia in Critically Ill Patients. Crit. Care Med. 2012, 40, 3251–3276. [Google Scholar] [CrossRef]
- Offurum, A.; Wagner, L.-A.; Gooden, T. Adverse Safety Events in Patients with Chronic Kidney Disease (Ckd). Expert Opin. Drug Saf. 2016, 15, 1597–1607. [Google Scholar] [CrossRef]
- Agu, K.; Eluehike, N.; Ofeimun, R.; Abile, D.; Ideho, G.; Ogedengbe, M.; Onose, P.; Elekofehinti, O. Possible Anti-Diabetic Potentials of Annona muricata (Soursop): Inhibition of A-Amylase and A-Glucosidase Activities. Clin. Phytosci. 2019, 5, 21. [Google Scholar] [CrossRef]
- Dewi, S.N.; Handayani, S.I.; Stephanie, M.; Nurbaya, S.; Prasasty, V.D. Assessment of the Annona muricata Leaf Ethanol Extract Effect on the Diameter of Pancreatic Islets in Alloxan-Induced Mice. Online J. Biol. Sci. 2020, 20, 50–56. [Google Scholar] [CrossRef]
- Handayani, S.I.; Dewi, S.N.; Stephanie, M.; Nurbaya, S.; Prasasty, V.D. The Effect of Annona muricata Leaf Ethanolic Extract on Insulin Expression and Glucagon-Like Peptide-1 Level in Alloxan-Induced Mice. Syst. Rev. Pharm. 2020, 11, 363–370. [Google Scholar]
- Justino, A.B.; Miranda, N.C.; Franco, R.R.; Martins, M.M.; Da Silva, N.M.; Espindola, F.S. Annona muricata Linn. Leaf as a Source of Antioxidant Compounds with in Vitro Antidiabetic and Inhibitory Potential against A-Amylase, A-Glucosidase, Lipase, Non-Enzymatic Glycation and Lipid Peroxidation. Biomed. Pharmacother. 2018, 100, 83–92. [Google Scholar] [CrossRef] [PubMed]
- Moghadamtousi, S.Z.; Fadaeinasab, M.; Nikzad, S.; Mohan, G.; Ali, H.M.; Kadir, H.A. Annona muricata (Annonaceae): A Review of Its Traditional Uses, Isolated Acetogenins and Biological Activities. Int. J. Mol. Sci. 2015, 16, 15625–15658. [Google Scholar] [CrossRef] [PubMed]
- Patel, M.S.; Patel, J.K. A Review on a Miracle Fruits of Annona Muricata. J. Pharmacogn. Phytochem. 2016, 5, 137. [Google Scholar]
- Djarot, P.; Badar, M. Formulation and Production of Granule from Annona muricata Fruit Juice as Antihypertensive Instant Drink. Int. J. Pharm. Pharm. Sci. 2017, 9, 18–22. [Google Scholar] [CrossRef][Green Version]
- Mishra, T. Waging Green War against Cardiovascular Ailments. Eur. J. Biomed. Pharm. 2018, 5, 192–199. [Google Scholar]
- Pieme, C.A.; Kumar, S.G.; Dongmo, M.S.; Moukette, B.M.; Boyoum, F.F.; Ngogang, J.Y.; Saxena, A.K. Antiproliferative Activity and Induction of Apoptosis by Annona muricata (Annonaceae) Extract on Human Cancer Cells. BMC Complement. Altern. Med. 2014, 14, 516. [Google Scholar] [CrossRef]
- Agbai, E.; Njoku, C.; Nwafor, A. Effect of Aqueous Extract of Annona muricata Seed on Atherogenicity in Streptozotocin-Induced Diabetic Rats. Afr. J. Pharm. Pharmacol. 2015, 9, 745–755. [Google Scholar] [CrossRef]
- Kharroubi, A.T.; Darwish, H.M. Diabetes Mellitus: The Epidemic of the Century. World J. Diabetes 2015, 6, 850. [Google Scholar] [CrossRef]
- Lee, C.H.; Lee, T.H.; Ong, P.Y.; Wong, S.L.; Hamdan, N.; Elgharbawy, A.A.; Azmi, N.A. Integrated Ultrasound-Mechanical Stirrer Technique for Extraction of Total Alkaloid Content from Annona muricata. Proc. Biochem. 2021, 109, 104–116. [Google Scholar] [CrossRef]
- Zhishen, J.; Mengcheng, T.; Jianming, W. The Determination of Flavonoid Contents in Mulberry and Their Scavenging Effects on Superoxide Radicals. Food Chem. 1999, 64, 555–559. [Google Scholar] [CrossRef]
- Lee, J.W.; Ji, S.-H.; Lee, Y.-S.; Choi, D.J.; Choi, B.-R.; Kim, G.-S.; Baek, N.-I.; Lee, D.Y. Mass Spectrometry Based Profiling and Imaging of Various Ginsenosides from Panax Ginseng Roots at Different Ages. Int. J. Mol. Sci. 2017, 18, 1114. [Google Scholar] [CrossRef]
- Hasugian, S.A.; Lubis, K.; Doan, H.V. Profile of Histopathology of Cervical Cancer Tissues in Patients of the Dr. Pirngadi Medan Hospital. J. Biosains. 2020, 6, 90–97. [Google Scholar] [CrossRef]
- Nurhardiyanti, S. Efek Ekstrak Air Daun Sirsak (Annona muricata L.) Terhadap Luas Area Kolagen Arteri Renalis Dan Diameter Glomerulus Ginjal Sinistra Tikus Wistar Model Dislipidemia. J. Community Health. 2019, 7, 43–52. [Google Scholar]
- Aman, M.; Soewondo, P.; Soelistijo, S.; Arsana, P.; Wismandari; Zufry, H.; Rosandi, R. Pedoman Pengelolaan Dislipidemia Di Indonesia 2019; Pb Perkeni: Jakarta, Indonesia, 2019. [Google Scholar]
- Florence, N.T.; Benoit, M.Z.; Jonas, K.; Alexandra, T.; Désiré, D.D.P.; Pierre, K.; Théophile, D. Antidiabetic and Antioxidant Effects of Annona muricata (Annonaceae), Aqueous Extract on Streptozotocin-Induced Diabetic Rats. J. Ethnopharmacol. 2014, 151, 784–790. [Google Scholar] [CrossRef]
- Hosseini, A.; Abdollahi, M. Diabetic Neuropathy and Oxidative Stress: Therapeutic Perspectives. Oxid. Med. Cell. Longev. 2013, 2013, 168039. [Google Scholar] [CrossRef]
- George, V.C.; Kumar, D.N.; Suresh, P.; Kumar, R.A. Antioxidant, DNA Protective Efficacy and Hplc Analysis of Annona muricata (Soursop) Extracts. J. Food Sci. Technol. 2015, 52, 2328–2335. [Google Scholar] [CrossRef]
- Coria-Téllez, A.V.; Montalvo-Gónzalez, E.; Yahia, E.M.; Obledo-Vázquez, E.N. Annona muricata: A Comprehensive Review on Its Traditional Medicinal Uses, Phytochemicals, Pharmacological Activities, Mechanisms of Action and Toxicity. Arab. J. Chem. 2018, 11, 662–691. [Google Scholar] [CrossRef]
- Opara, P.; Enemor, V.; Eneh, F.; Emengaha, F. Blood Glucose–Lowering Potentials of Annona muricata Leaf Extract in Alloxan–Induced Diabetic Rats. Eur. J. Biol. Biotechnol. 2021, 2, 106–113. [Google Scholar] [CrossRef]
- Amann, K.; Benz, K. Structural Renal Changes in Obesity and Diabetes; Seminars in Nephrology; Elsevier: Amsterdam, The Netherlands, 2013; pp. 23–33. [Google Scholar]
- Sandireddy, R.; Yerra, V.G.; Areti, A.; Komirishetty, P.; Kumar, A. Neuroinflammation and Oxidative Stress in Diabetic Neuropathy: Futuristic Strategies Based on These Targets. Int. J. Endocrinol. 2014, 2014, 674987. [Google Scholar] [CrossRef]
- Ishola, I.O.; Awodele, O.; Olusayero, A.M.; Ochieng, C.O. Mechanisms of Analgesic and Anti-Inflammatory Properties of Annona muricata Linn. (Annonaceae) Fruit Extract in Rodents. J. Med. Food 2014, 17, 1375–1382. [Google Scholar] [CrossRef]
- Setiadi, R.; Zein, A.; Nauphar, D. Antihyperglicemic Effectiveness Comparison of Ethanol Extract of Soursop Leaf ( Annona muricata L.) Againts Acarbose in Streptozotocin-Induced Diabetic White Rats. J. Phys. Conf. Ser. 2019, 1146, 012009. [Google Scholar] [CrossRef]
- Subaraman, M.; Gayathri, R.; Priya, V.V. In Vitro Antidiabetic Activity of Crude Acetone Leaf Extract of Annona muricata. Drug Invent. Today 2020, 14, 837–839. [Google Scholar]
- Vallon, V. The Proximal Tubule in the Pathophysiology of the Diabetic Kidney. Am. J. Physiol.-Regul. Integr. Comp. Physiol. 2011, 300, R1009–R1022. [Google Scholar] [CrossRef]
- Vallon, V.; Thomson, S. Renal Function in Diabetic Disease Models: The Tubular System in the Pathophysiology of the Diabetic Kidney. Annu. Rev. Physiol. 2012, 74, 351–375. [Google Scholar] [CrossRef]
- Peres, G.B.; Michelacci, Y.M. The Role of Proximal Tubular Cells in the Early Stages of Diabetic Nephropathy. J. Diabetes Metab. 2015, 6, 2. [Google Scholar]
- Stenzel, T.; Weidgang, C.; Wagner, K.; Wagner, F.; Gröger, M.; Weber, S.; Stahl, B.; Wachter, U.; Vogt, J.; Calzia, E. Association of Kidney Tissue Barrier Disrupture and Renal Dysfunction in Resuscitated Murine Septic Shock. Shock. Inj. Inflamm. Sepsis Lab. Clin. Approaches 2016, 46, 398–404. [Google Scholar] [CrossRef]
- Isaac, J.; Tögel, F.E.; Westenfelder, C. Extent of Glomerular Tubularization Is an Indicator of the Severity of Experimental Acute Kidney Injury in Mice. Nephron. Exp. Nephrol. 2007, 105, e33–e40. [Google Scholar] [CrossRef]
- Sovia, E.; Ratwita, W.; Wijayanti, D.; Novianty, D. Hypoglycemic and Hypolipidemic Effects of Annona muricata L. Leaf Ethanol Extract. Int. J. Pharm. Pharm. Sci. 2017, 9, 170–174. [Google Scholar] [CrossRef]





| Group | Alloxan Induction | Dosage | Treatment |
|---|---|---|---|
| Normal | - | - | - |
| Negative control | 40 mg/kg BW | - | - |
| Positive control | 40 mg/kg BW | 0.65 mg/mL/day for 14 days | Glibenclamide |
| LD-SLEE * | 40 mg/kg BW | 150 mg/kg BW/day for 14 days | Soursop leaf extract |
| MD-SLEE ** | 40 mg/kg BW | 300 mg/kg BW/day for 14 days | Soursop leaf extract |
| HD-SLEE *** | 40 mg/kg BW | 600 mg/kg BW/day for 14 days | Soursop leaf extract |
| No. | Bioactive Compound | Molecular Formula | Retention Time (min) | Observed m/z | Class * |
|---|---|---|---|---|---|
| 1 | Anonaine | C17H15NO2 | 9.69 | 2.661.173 | AL |
| 2 | Chlorogenic acid | C16H18O9 | 8.53 | 3.551.019 | FG |
| 3 | Coclaurine | C17H19NO3 | 7.60 | 2.861.434 | AL |
| 4 | Isolaureline | C19H19NO3 | 9.19 | 3.101.433 | AL |
| 5 | Isoquercetin | C21H20O12 | 10.32 | 4.651.024 | FG |
| 6 | Kaempferol | C15H10O6 | 11.42 | 2.870.547 | FG |
| 7 | Loliolide | C11H16O3 | 11.80 | 1.971.172 | ML |
| 8 | Norcorydine | C19H21NO4 | 8.06 | 3.281.539 | AL |
| 9 | Quercetin | C15H10O7 | 9.23 | 3.030.496 | FG |
| 10 | Reticuline | C19H23NO4 | 9.11 | 3.301.696 | AL |
| 11 | Rutin | C27H30O16 | 8.44 | 6.111.601 | FG |
| 12 | Xylopine | C18H17NO3 | 14.24 | 2.961.279 | AL |
| Variable | Treatment Group | Mean ± SE ** | p-Value |
|---|---|---|---|
| Diameter of the renal glomerulus in the left kidney | Negative control | 594.61 ± 37.58 | 0.735 * |
| Positive control | 608.93 ± 27.09 | 0.059 * | |
| LD-SLEE | 581.72 ± 35.41 | 0.971 * | |
| MD-SLEE | 578.64 ± 46.44 | 1.000 * | |
| HD-SLEE | 569.35 ± 32.71 | 0.915 * | |
| Diameter of renal glomerulus in the right kidney | Negative control | 525.45 ± 51.29 | 0.029 |
| Positive control | 531.10 ± 19.31 | 0.757 * | |
| LD-SLEE | 560.22 ± 29.57 | 0.409 * | |
| MD-SLEE | 546.86 ± 36.02 | 0.964 * | |
| HD-SLEE | 528.29 ± 36.15 | 0.489 * | |
| Left kidney Bowman’s space width | Negative control | 41.17 ± 9.29 | 0.006 |
| Positive control | 53.86 ± 4.89 | 0.641 * | |
| LD-SLEE | 36.53 ± 7.39 | 0.176 * | |
| MD-SLEE | 46.97 ± 6.54 | 0.229 * | |
| HD-SLEE | 62.31 ± 5.53 | 0.447 * | |
| Right kidney Bowman’s space width | Negative control | 37.33 ± 4.02 | 0.426 * |
| Positive control | 68.57 ± 7.23 | 0.538 * | |
| LD-SLEE | 80.75 ± 16.77 | 0.540 * | |
| MD-SLEE | 93.46 ± 18.89 | 0.231 * | |
| HD-SLEE | 102.60 ± 14.41 | 0.540 * | |
| Thickness of the proximal convoluted tubule of left kidney | Negative control | 54.32 ± 2.19 | 0.134 * |
| Positive control | 56.23 ± 4.85 | 0.826 * | |
| LD-SLEE | 64.13 ± 3.19 | 0.449 * | |
| MD-SLEE | 62.24 ± 1.94 | 0.351 * | |
| HD-SLEE | 54.01 ± 3.15 | 0.718 * | |
| The thickness of the proximal convoluted tubule of the right kidney | Negative control | 59.22 ± 1.55 | 0.291 * |
| Positive control | 55.37 ± 2.98 | 0.436 * | |
| LD-SLEE | 58.48 ± 1.65 | 0.268 * | |
| MD-SLEE | 52.87 ± 5.82 | 0.123 * | |
| HD-SLEE | 47.33 ± 5.40 | 0.761 * | |
| Left renal glomerular tubularization | Negative control | 23.80 ± 1.77 | 0.057 * |
| Positive control | 13.20 ± 1.14 | 0.090 * | |
| LD-SLEE | 17.60 ± 1.60 | 0.377 * | |
| MD-SLEE | 15.00 ± 1.81 | 0.627 * | |
| HD-SLEE | 9.20 ± 3.32 | 0.808 * | |
| Right renal glomerular tubularization | Negative control | 26.40 ± 1.40 | 0.032 |
| Positive control | 18.20 ± 3.27 | 0.363 * | |
| LD-SLEE | 24.00 ± 3.42 | 0.587 * | |
| MD-SLEE | 17.80 ± 1.35 | 0.492 * | |
| HD-SLEE | 13.00 ± 5.18 | 0.283 * |
| Variable | Statistical Test | Statistical Value | p-Value |
|---|---|---|---|
| Diameter of renal glomerulus in the left kidney | Levene’s test | 0.418 | 0.794 * |
| Diameter of renal glomerulus in the right kidney | Kruskal–Wallis test | 0.953 | 0.917 ** |
| Left kidney Bowman’s space width | Kruskal–Wallis test | 8.603 | 0.072 ** |
| Right kidney Bowman’s space width | Levene’s test | 1.259 | 0.319 * |
| Thickness of the proximal convoluted tubule of left kidney | Levene’s test | 1.765 | 0.175 * |
| Thickness of the proximal convoluted tubule of right kidney | Levene’s test | 7.184 | 0.001 |
| Left renal glomerular tubularization | Levene’s test | 2.551 | 0.071 * |
| Right renal glomerular tubularization | Kruskal–Wallis test | 8.191 | 0.085 ** |
Publisher’s Note: MDPI stays neutral with regard to jurisdictional claims in published maps and institutional affiliations. |
© 2022 by the authors. Licensee MDPI, Basel, Switzerland. This article is an open access article distributed under the terms and conditions of the Creative Commons Attribution (CC BY) license (https://creativecommons.org/licenses/by/4.0/).
Share and Cite
Handayani, S.I.; Sari, M.I.P.; Sardjana, M.S.; Kusmardi, K.; Nurbaya, S.; Rosmalena, R.; Sinaga, E.; Prasasty, V.D. Ameliorative Effects of Annona muricata Leaf Ethanol Extract on Renal Morphology of Alloxan-Induced Mice. Appl. Sci. 2022, 12, 9141. https://doi.org/10.3390/app12189141
Handayani SI, Sari MIP, Sardjana MS, Kusmardi K, Nurbaya S, Rosmalena R, Sinaga E, Prasasty VD. Ameliorative Effects of Annona muricata Leaf Ethanol Extract on Renal Morphology of Alloxan-Induced Mice. Applied Sciences. 2022; 12(18):9141. https://doi.org/10.3390/app12189141
Chicago/Turabian StyleHandayani, Supri Irianti, Mutiara Intan Permata Sari, Meilania Saraswati Sardjana, Kusmardi Kusmardi, Siti Nurbaya, Rosmalena Rosmalena, Ernawati Sinaga, and Vivitri Dewi Prasasty. 2022. "Ameliorative Effects of Annona muricata Leaf Ethanol Extract on Renal Morphology of Alloxan-Induced Mice" Applied Sciences 12, no. 18: 9141. https://doi.org/10.3390/app12189141
APA StyleHandayani, S. I., Sari, M. I. P., Sardjana, M. S., Kusmardi, K., Nurbaya, S., Rosmalena, R., Sinaga, E., & Prasasty, V. D. (2022). Ameliorative Effects of Annona muricata Leaf Ethanol Extract on Renal Morphology of Alloxan-Induced Mice. Applied Sciences, 12(18), 9141. https://doi.org/10.3390/app12189141

