Gastroprotective Effects of Fermented Gold Kiwi (Actinidia chinenesis L.) Extracts on HCl/EtOH-Induced Gastric Injury in Rats
Abstract
:1. Introduction
2. Materials and Methods
2.1. Sample Preparation
2.2. Chemicals and Drugs
2.3. Determination of the Content of Bioactive Compounds in FGK
2.3.1. Determination of Organic Acid Content
2.3.2. Determination of Carotenoid Content
2.3.3. Determination of Total Flavonoid Content
2.3.4. Determination of Total Quercetin Derivative Content
2.4. DPPH Free Radical Scavenging Activity
2.5. ABTS Free Radical Scavenging Activity
2.6. Experimental Animals
2.7. HCl/EtOH-Induced Acute Gastric Lesions
2.8. Clinical Symptom Score after Gastritis Induction
2.9. Macroscopic Damage Score after Gastritis Induction
2.10. Gastric Mucosa Thickness Measurement
2.11. Gastric Tissue Western Blotting
2.12. Analysis of Inflammatory Factors
2.13. Analysis of Antisecretory Activity in Pyloric Ligation
2.14. Pepsin Activity
2.15. Statistical Analysis
3. Results
3.1. Characteristics of the FGK
3.2. Activity of FGK on Antioxidant Effect
3.3. Effect of FGK on Clinical Symptoms after HCl/EtOH-Induced Gastritis Model
3.4. Effect of FGK on HCl/EtOH-Induced Gastric Lesions and Mucosa Damage
3.4.1. Gastric Lesions
3.4.2. Gastric Mucosal Damage
3.5. Effects of FGK on Mucosal Thickness
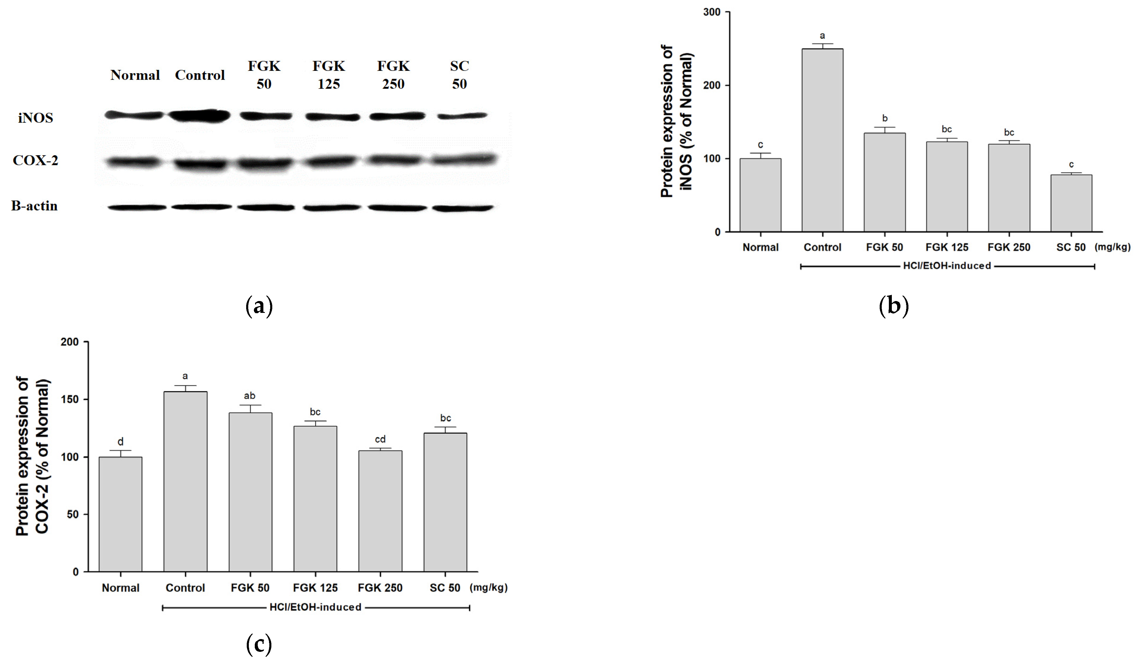
3.6. Effect of FGK on Inflammatory Factors
3.7. Effect of FGK on PGE2 Expression in Gastric Tissue
3.8. Effect of FGK on Gastric Secretion by Pyloric Ligation
4. Discussion
5. Conclusions
Author Contributions
Funding
Institutional Review Board Statement
Informed Consent Statement
Data Availability Statement
Acknowledgments
Conflicts of Interest
References
- Shay, H. A simple method for the uniform production of gastric ulceration in the rat. Gastroenterology 1945, 5, 43–45. [Google Scholar]
- Banks, W.J. Applied Veterinary Histology, 2nd ed.; William& Winkins Baltimore: Philadelphia, PA, USA, 1986; pp. 393–396. [Google Scholar]
- Gürsan, N. Effects of Momordica charantia L. (Cucurbitaceae) on indomethacin-induced ulcer model in rats. Turk. J. Gastroenterol. 2005, 16, 85–88. [Google Scholar]
- Feldman, M.; Burton, M.E. Histamin 2-receptor antagonists: Standard therapy for acid peptic diseases. N. Engl. J. Med. 1990, 323, 1672–1680. [Google Scholar]
- Johnson, D.A.; Oldfield, E.C. Reported side effects and complications of long-term proton pump inhibitor use: Dissecting the evidence. Clin. Gastroenterol. Hepatol. 2013, 11, 458–464. [Google Scholar] [CrossRef] [PubMed]
- Szabo, S.; Bynum, T.E. Alternatives to the acid-oriented approach to ulcer disease: Dose ‘Cytoprotection’ exist in man?: A new classification of antiulcer agents. Scand. J. Gastroenterol. 1988, 23, 1–6. [Google Scholar] [CrossRef] [PubMed]
- Haga, Y.; Nakatsura, T.; Shibata, Y.; Sameshima, H. Human gastric carcinoid detected during long-term antiulcer therapy of H2 receptor antagonist and proton pump inhibitor. Dig. Dis. Sci. 1998, 43, 253. [Google Scholar] [CrossRef] [PubMed]
- Karunakaran, K.; Thabrew, M.I.; Thammitiyagodage, G.M.; Galhena, B.P.; Arawwawala, L.M. The gastroprotective effect of ethyl acetate fraction of hot water extract of Trichosanthes cucumerina Linn and its underlying mechanisms. BMC Complement. Altern. Med. 2017, 17, 312. [Google Scholar] [CrossRef] [Green Version]
- Montefiori, M.; McGhie, T.K.; Costa, G.; Ferguson, A.R. Pigments in the fruit of red-fleshed kiwifruit (Actinidia chinensis and Actinidia deliciosa). J. Agric. Food Chem. 2005, 53, 9526–9530. [Google Scholar] [CrossRef]
- Jeong, C.H.; Lee, W.J.; Bae, S.H.; Choi, S.G. Chemical components and antioxidative activity of Korean glod kiwifruit. J. Korean Soc. Food Sci. Nutr. 2007, 36, 859–865. [Google Scholar] [CrossRef]
- Motohashi, N.; Shirataki, Y.; Kawase, M.; Tani, S.; Sakagami, H.; Satoh, K.; Kurihara, T.; Nakashima, H.; Mucsi, I.; Varga, A.; et al. Cancer prevention and therapy with kiwifruit in Chinese folklore medicine: A study of kiwifruit extracts. J. Ethnopharmacol. 2002, 81, 357–364. [Google Scholar] [CrossRef]
- Rush, E.C.; Patel, M.; Plank, L.D.; Ferguson, L.R. Kiwifruit promotes laxation in the elderly. Asia Pac. J. Clin. Nutr. 2002, 11, 164–168. [Google Scholar] [CrossRef] [PubMed]
- Park, Y.S.; Namiesnik, J.; Vearasilp, K.; Leontowicz, H.; Leontowicz, M.; Barasch, D.; Nemirovski, A.; Trakhtenberg, S.; Gorinstein, S. Bioactive compounds and the antioxidant capacity in new kiwi fruit cultivars. Food Chem. 2014, 165, 354–361. [Google Scholar] [CrossRef] [PubMed]
- Hussein, J.; El-Matty, D.A.; El-Khayat, Z.; Latif, Y.A.; Saleh, S.; Farrag, A.R.; Abd-El-Ghany, W. Kiwifruit extract attenuates DNA damage and vitamins reduction in indomethacin-induced experimental gastric ulcer. Jokull J. 2015, 65, 2–16. [Google Scholar]
- Park, K.L.; Hong, S.W.; Kim, Y.J.; Kim, S.J.; Chung, K.S. Manufacturing and physicochemical of wine using hardy kiwi fruit (Actinidia argute). Korean J. Microbiol. Biotechnol. 2013, 41, 327–334. [Google Scholar] [CrossRef]
- Ryu, J.Y.; Park, H.J.; Moon, J.Y.; Kim, C.S.; Somi, K. Lactic fermentation enhances the antioxidant activity of gold kiwifruit. Korean J. Food Preserv. 2018, 25, 255–262. [Google Scholar] [CrossRef]
- Chen, A.J.; Fu, Y.Y.; Jiang, C.; Zhao, J.L.; Liu, X.P.; Liu, L.; Zhang, Z.Q. Effect of mixed fermentation (Jinqu and Saccharomyces cerevisiae EC1118) on the quality improvement of kiwi wine. CyTA—J. Food 2019, 17, 967–975. [Google Scholar] [CrossRef] [Green Version]
- Bhat, R.; Suryanarayana, L.C.; Chandrashekara, K.A.; Krishnan, P.; Kush, A.; Ravikumar, P. Lactobacillus plantarum mediated fermentation of Psidium huajava L. fruit extract. J. Biosci. Bioeng. 2015, 119, 430–432. [Google Scholar] [CrossRef]
- Ferssard, A.; Kapoor, A.; Patche, J.; Assemat, S.; Hoarau, M.; Bourdon, E.; Bahorun, T.; Remize, F. Lactic fermentation as an efficient tool to enhance the antioxidants and fuctional foods: Impact on human health. Pharmacogn. Rev. 2010, 4, 118–126. [Google Scholar]
- Drummong, L. The composition and nutritional value of kiwifruit. Adv. Food Nutr. Res. 2013, 68, 33–57. [Google Scholar]
- Huang, J.; Wang, Y.; Ren, Y.; Wang, X.; Li, H.; Liu, Z.; Yue, T.; Gao, Z. Effect of inoculation method on the quality and nutritional characteristics of low-alcohol kiwi wine. LWT 2022, 156, 113049. [Google Scholar] [CrossRef]
- Sharma, O.P.; Bhat, T.K. DPPH antioxidant assay revisited. Food Chem. 2009, 113, 1202–1205. [Google Scholar] [CrossRef]
- Huang, D.; Ou, B.; Prior, R.L. The chemistry behind antioxidant capacity assay. J. Agric. Food Chem. 2005, 53, 1841–1856. [Google Scholar] [CrossRef] [PubMed]
- Hong, S.; Lee, H.A.; Lee, Y.S.; Kim, D.W.; Oh, G.W.; Woo, J.; Cho, Y.; Jeong, J.H.; Kim, O. Protective effect of halophyte Salsola komarovi Iljin against gastric ulcer induced by alcohol treatment in rats. J. Biomed. Res. 2014, 15, 170–175. [Google Scholar] [CrossRef]
- Cantarella, G.; Martinez, G.; Cutuli, V.M.; Loreto, C.; D’Alcamo, M.; Prato, A.; Amico-Roxas, M.; Bernardini, R.; Clementi, G. Adrenomedullin modulates COX-2 and HGF expression in reserpine-injuried gastric mucosa in the rat. Eur. J. Pharmacol. 2005, 518, 221–226. [Google Scholar] [CrossRef] [PubMed]
- Kim, Y.S.; Park, H.J.; Kim, H.; Song, J.; Lee, D. Gastroprotective effects of paeonia extract mixture HT074 against experimental gastric ulcers in rats. Evid. Based Complement. Alternat. Med. 2019, 2019, 3546258. [Google Scholar] [CrossRef] [PubMed]
- Anson, M.L. The estimation of pepsin, trypsin, papain, and cathepsin with hemoglobin. J. Gen. Physiol. 1938, 22, 79–89. [Google Scholar] [CrossRef]
- Lobo, V.; Patil, A.; Phatak, A.; Chandran, N. Free radicals, antioxidants and functional foods: Impact on human health. Pharmacogn. Rev. 2010, 4, 118–126. [Google Scholar] [CrossRef] [Green Version]
- Ito, M.; Shii, D.; Segami, T.; Kojima, R.; Suzuki, Y. Preventive actions of N-(3-aminopropionyl)-l-histidinato zinc (Z-103) through increases in the activities of oxygen-derived free radical scavenging enzymes in the gastric mucosa on ethanol-induced gastric mucosal damage in rats. Japan J. Pharmacol. 1992, 59, 267–274. [Google Scholar] [CrossRef]
- Yamamoto, Y.; Gaynor, R.B. Role of the NF-κB pathway in the pathogenesis of human disease states. Curr. Mol. Med. 2001, 1, 287–296. [Google Scholar] [CrossRef]
- Han, M.; Wen, J.K.; Zheng, B.; Zhang, D.Q. Acetylbritannilatone suppresses NO and PGE2 synthesis in RAW 264.7 macrophages through the inhibition of iNOS and COX-2 gene expression. Life Sci. 2004, 75, 675–684. [Google Scholar] [CrossRef]
- Brzozowski, T.; Konturek, P.C.; Konturek, S.J.; Pawlik, T. Role of prostaglandins in gastroprotection and gastric adaptation. J. Physiol. Pharmacol. 2005, 56, 53–55. [Google Scholar]
- Hoshino, T.; Tsutsumi, S.; Tomisato, W.; Hwang, H.J.; Tsuchiya, T.; Mizushima, T. Prostaglandin E2 protects gastric mucosal cells from apoptosis via EP2 and EP4 receptor activation. J. Biol. Chem. 2003, 278, 12752–12758. [Google Scholar] [CrossRef] [PubMed] [Green Version]
- Wang, X.Y.; Yin, J.Y.; Zhao, M.M.; Liu, S.Y.; Nie, S.P.; Xie, M.Y. Gastroprotective activity of polysaccharide from Hericium erinaceus against ethanol-induced gastric mucosal lesion and pylorus ligation-induced gastric ulcer, and its antioxidant activities. Carbohydr. Polym. 2018, 186, 100–109. [Google Scholar] [CrossRef] [PubMed]
- Zhang, Y.; Sun, L.; Lai, X.; Peng, X.; Wen, S.; Zhang, Z.; Xie, Y.; Li, Q.; Chen, R.; Zheng, X.; et al. Gastroprotective effects of extract of Jasmunum grandiflorum L. flower in HCl/EtOH-induced gastric mucosal ulceration mice. Biomed. Pharmacother. 2021, 144, 112268. [Google Scholar] [CrossRef] [PubMed]
- Lim, J.M.; Song, C.H.; Park, S.J.; Park, D.C.; Cho, H.R.; Jung, G.W.; Bashir, K.M.B.; Ku, S.K.; Choi, J.S. Protective effects of a triple-fermented barley extract (FBe) against HCl/EtOH-induced gastric mucosa damage in mice. Food Sci. Nutr. 2018, 6, 2036–2046. [Google Scholar] [CrossRef]
- Parvez, S.; Malik, K.A.; Kang, S.A.; Kim, H.Y. Probiotics and their fermented food products are beneficial for health. J. Appl. Microbiol. 2006, 100, 1171–1185. [Google Scholar] [CrossRef]
- Hariprasath, L.; Raman, J.; Nanjian, R. Gastroprotective effect of Senecio candicans DC on experimental ulcer models. J. Ethnopharmacol. 2012, 140, 145–150. [Google Scholar] [CrossRef]
- Berté, P.E.; Lopes, J.S.; Comandulli, N.G.; Rangel, D.W.; Monache, F.D.; Filho, V.C.; Siero, R.; Andrade, S.F. Evaluation of the gastroprotective activity of the extracts, fractions, and pure compounds obtained from aerial parts of Rubus imperialis in different experimental models. Naunyn. Schmiedeberg Arch. Pharmacol. 2014, 387, 313–319. [Google Scholar] [CrossRef]
- Bagchi, D.; Carryl, O.R.; Tran, M.X.; Krohn, R.L.; Bagchi, D.J.; Garg, A.; Bagchi, M.; Mitra, S.; Stohs, S.J. Stress, diet and alcohol-induced oxidative gastrointestinal mucosal injury in rats and protection by bismuth subsalicylate. J. Appl. Toxicol. 1998, 18, 3–13. [Google Scholar] [CrossRef]
- Raish, M.; Ahmad, A.; Ansari, M.A.; Alkharfy, K.; Alijenoobi, F.; Jan, B.L.; Al-Mohizea, A.M.; Khan, A.; Ali, N. Momordica charantia polysaccharide ameliorate oxidative stress, inflammation, and apoptosis in ethanol-induced gastritis in mucosa through NF-κB signaling pathway inhibition. Int. J. Biol. Macromol. 2018, 111, 193–199. [Google Scholar] [CrossRef]
- Halliwell, B.; Aeschbach, R.; Löliger, J.; Aruoma, O.I. The characterization of antioxidants. Food Chem Toxicol 1995, 33, 601–617. [Google Scholar] [CrossRef]
- Suzuki, H.; Nishizawa, T.; Tsugawa, H.; Mogami, S.; Hibi, T. Roles of oxidative stress in stomach disorders. J. Clin. Biochem. Nutr. 2015, 50, 35–39. [Google Scholar] [CrossRef] [PubMed] [Green Version]
- Pérez, S.; Taléns-Visconti, R.; Rius-Pérez, S.; Finamor, I.; Sastre, J. Redox signaling in the gastrointestinal tract. Free Radic. Biol. Med. 2017, 104, 75–103. [Google Scholar] [CrossRef] [PubMed]
- Dordević, S.; Petrović, S.; Bobrić, S.; Milenković, M.; Vucićević, D.; Zizić, S.; Kukić, J. Antimicrobial, anti-inflammatory, anti-ulcer and antioxidant activities of Carlina acanthifolia root essential oil. J. Ethnopharmacol. 2007, 109, 458–463. [Google Scholar] [CrossRef]
- Jayakumari, S.; Anbu, J.; Ravichandiran, V.; Anjana, A.; Kumar, G.M.; Singh, M. Antiulcerogenic and free radical scavenging activity of flavonoid fraction of Psidium guajava Linn leaves. Int. J. Pharm. Pharm. Sci. 2012, 4, 170–174. [Google Scholar]
- Manal, M.S.M.M.; Soltan, S.S. Effects of bioactive component of kiwi fruit and avocado (fruit and seed on hypercholesterolemic rats. World J. Dairy Food Sci. 2013, 8, 82–93. [Google Scholar]
- Park, Y.S.; Im, M.H.; Ham, K.S.; Kang, S.G.; Park, Y.K.; Namiesnik, J.; Leontowicz, H.; Leontowicz, M.; Trankhtenberg, S.; Gorinstein, S. Quantitative assessment of the main antioxidant compounds, antioxidant activities and FTIR spectra from commonly consumed fruits, compared to standard kiwi fruit. LWT-Food Sci. Technol. 2015, 63, 346–352. [Google Scholar] [CrossRef]
- Rahmawati, L.; Aziz, N.; Oh, J.; Hong, Y.H.; Woo, B.Y.; Hong, Y.D.; Manilack, P.; Souladeth, P.; Jung, J.H.; Lee, W.S.; et al. Cissus subtetragona Planch. Ameliorates inflammatory response in LPS-induced macrophages, HCl/EtOH-induced gastritis, and LPS-induced lug injury via attenuation of Src and TAK1. Molecules 2021, 26, 6073. [Google Scholar] [CrossRef]
- Yang, Y.; Yin, B.; Lv, L.; Wang, Z.; He, J.; Chen, Z.; Wen, X.; Zhang, Y.; Sun, W.; Li, Y.; et al. Gastroprotective effect of aucubin against ethanol-induced gastric mucosal injury in mice. Life Sci. 2017, 189, 44–51. [Google Scholar] [CrossRef]
- Ricciotti, E.; FitzGerald, G.A. Prostaglandins and inflammation. Arterioscler. Thromb. Vasc. Biol. 2011, 31, 986–1000. [Google Scholar] [CrossRef]
- Wallace, J.L. Prostaglandins, NSAIDs, and cytoprotection. Gastroenterol. Clin. N. Am. 1992, 21, 631–641. [Google Scholar] [CrossRef]
- Alrashdi, A.S.; Salama, S.M.; Alkiyumi, S.S.; Abdulla, M.A.; Hadi, A.H.A.; Abdelwahab, S.I.; Taga, M.M.; Hussiani, J.; Asykin, N. Mechanisms of gastroprotective effects of ethanolic leaf extracts of Jasminum sambac against HCl/Ethanol-induced gastric mucosal injury in rats. Evid. Based Complement. Alternat. Med. 2012, 2012, 786426. [Google Scholar] [CrossRef] [PubMed] [Green Version]
- Jeon, W.Y.; Lee, M.Y.; Shin, I.S.; Jin, S.E.; Ha, H. Curcuma aromatic water extract attenuates ethanol-induced gastritis via enhancement of antioxidant status. Evid.-Based Complement. Alternat. Med. 2015, 2015, 582496. [Google Scholar] [CrossRef] [PubMed] [Green Version]
- Ishihara, K.; Kuwata, H.; Ohara, S.; Okabe, H.; Hotta, K. Changes of rat gastric mucus glycoproteins in cytoprotection: Influences of prostaglandin derivatives. Digestion 1988, 39, 162–171. [Google Scholar] [CrossRef]
- Blair, D.W.; Williams, M.J.; Carr, A.J.; Kilpatrick, S.J. Effect of L-thyroxine on gastric secretion in the pylorus-ligated rat. Gut 1965, 6, 343–348. [Google Scholar] [CrossRef] [Green Version]
- Sahoo, S.K.; Sahoo, H.B.; Priyadarshini, D.; Soundarya, G.; Kuma, C.K.; Rani, K.U. Antiulcer activity ethanolic extracts of Salvadora indica (W.) leaves on Albino rats. J. Clin. Diagn Res. 2016, 10, FF07–FF10. [Google Scholar] [CrossRef]








| Score (Points) | Symptom |
|---|---|
| 0 | No lesion |
| 0.5 | Diffuse hyperemia |
| 1.5 | 1 to 2 small erosions |
| 2 | 3 to 6 small erosions |
| 2.5 | 10 or more small erosions |
| 3 | 1 marked erosion plus 0 to 4 small erosions |
| 3.5 | 1 marked erosion plus 5 or more erosions |
| 4 | 2 marked erosions plus 0 to 4 small erosions |
| 4.5 | 2 marked erosions plus 5 or more small erosions |
| 5 | 3 or more marked erosions |
| Name | GK | FGK |
|---|---|---|
| Citric acid (mg/g) | 4.90 ± 0.03 b | 5.35 ± 0.01 a |
| Malic acid (mg/g) | 1.34 ± 0.02 b | 5.42 ± 0.03 a |
| Quinic acid (mg/g) | 12.4 ± 0.03 b | 16.8 ± 0.02 a |
| Total flavonoids (μg/g) | 0.86 ± 0.03 b | 1.25 ± 0.05 a |
| Total quercetin derivatives (μg/g) | 0.24 ± 0.04 b | 0.37 ± 0.02 a |
| β-Carotene (μg/g) | 1.05 ± 0.01 NS | 0.99 ± 0.01 |
| Lutein (μg/g) | 0.12 ± 0.01 NS | 0.15 ± 0.01 |
| Groups | Gastric Juice Volume (mL/6 h) | pH | Free Acidity (µEq/mL) | Total Acidity (µEq/6 h) | Pepsin Activity (U/mL) |
|---|---|---|---|---|---|
| Control | 10.13 ± 1.22 a | 1.01 ± 0.08 c | 157.50 ± 0.40 b | 1599.20 ± 23.05 a | 5.02 ± 0.22 a |
| FGK 50 | 8.30 ± 1.13 ab | 1.09 ± 0.11 bc | 117.25 ± 3.22 ab | 991.38 ± 39.97 ab | 4.51 ± 0.10 b |
| FGK 125 | 6.63 ± 1.02 b | 1.23 ± 0.06 bc | 108.50 ± 1.76 ab | 722.63 ± 17.16 b | 4.26 ± 0.30 b |
| FGK 250 | 4.53 ± 0.95 c | 1.60 ± 0.23 a | 69.17 ± 3.17 a | 332.75 ± 21.74 bc | 2.26 ± 0.05 d |
| SC 50 | 5.63 ± 0.51 c | 1.38 ± 0.09 bc | 97.00 ± 3.60 ab | 558.32 ± 26.08 bc | 2.89 ± 0.04 c |
Publisher’s Note: MDPI stays neutral with regard to jurisdictional claims in published maps and institutional affiliations. |
© 2022 by the authors. Licensee MDPI, Basel, Switzerland. This article is an open access article distributed under the terms and conditions of the Creative Commons Attribution (CC BY) license (https://creativecommons.org/licenses/by/4.0/).
Share and Cite
Jeon, E.-J.; Choi, J.-H.; Lee, N.-Y.; Oh, H.-J.; Kwon, H.-S.; Kwon, J. Gastroprotective Effects of Fermented Gold Kiwi (Actinidia chinenesis L.) Extracts on HCl/EtOH-Induced Gastric Injury in Rats. Appl. Sci. 2022, 12, 5271. https://doi.org/10.3390/app12105271
Jeon E-J, Choi J-H, Lee N-Y, Oh H-J, Kwon H-S, Kwon J. Gastroprotective Effects of Fermented Gold Kiwi (Actinidia chinenesis L.) Extracts on HCl/EtOH-Induced Gastric Injury in Rats. Applied Sciences. 2022; 12(10):5271. https://doi.org/10.3390/app12105271
Chicago/Turabian StyleJeon, Eun-Jong, Ji-Hye Choi, Na-Yong Lee, Hyun-Jeong Oh, Hyuck-Se Kwon, and Jungkee Kwon. 2022. "Gastroprotective Effects of Fermented Gold Kiwi (Actinidia chinenesis L.) Extracts on HCl/EtOH-Induced Gastric Injury in Rats" Applied Sciences 12, no. 10: 5271. https://doi.org/10.3390/app12105271
APA StyleJeon, E.-J., Choi, J.-H., Lee, N.-Y., Oh, H.-J., Kwon, H.-S., & Kwon, J. (2022). Gastroprotective Effects of Fermented Gold Kiwi (Actinidia chinenesis L.) Extracts on HCl/EtOH-Induced Gastric Injury in Rats. Applied Sciences, 12(10), 5271. https://doi.org/10.3390/app12105271

