The Influence of Bone Bruises on Bone Tunnel Enlargement Regarding ACL Rupture
Abstract
Featured Application
Abstract
1. Introduction
2. Materials and Methods
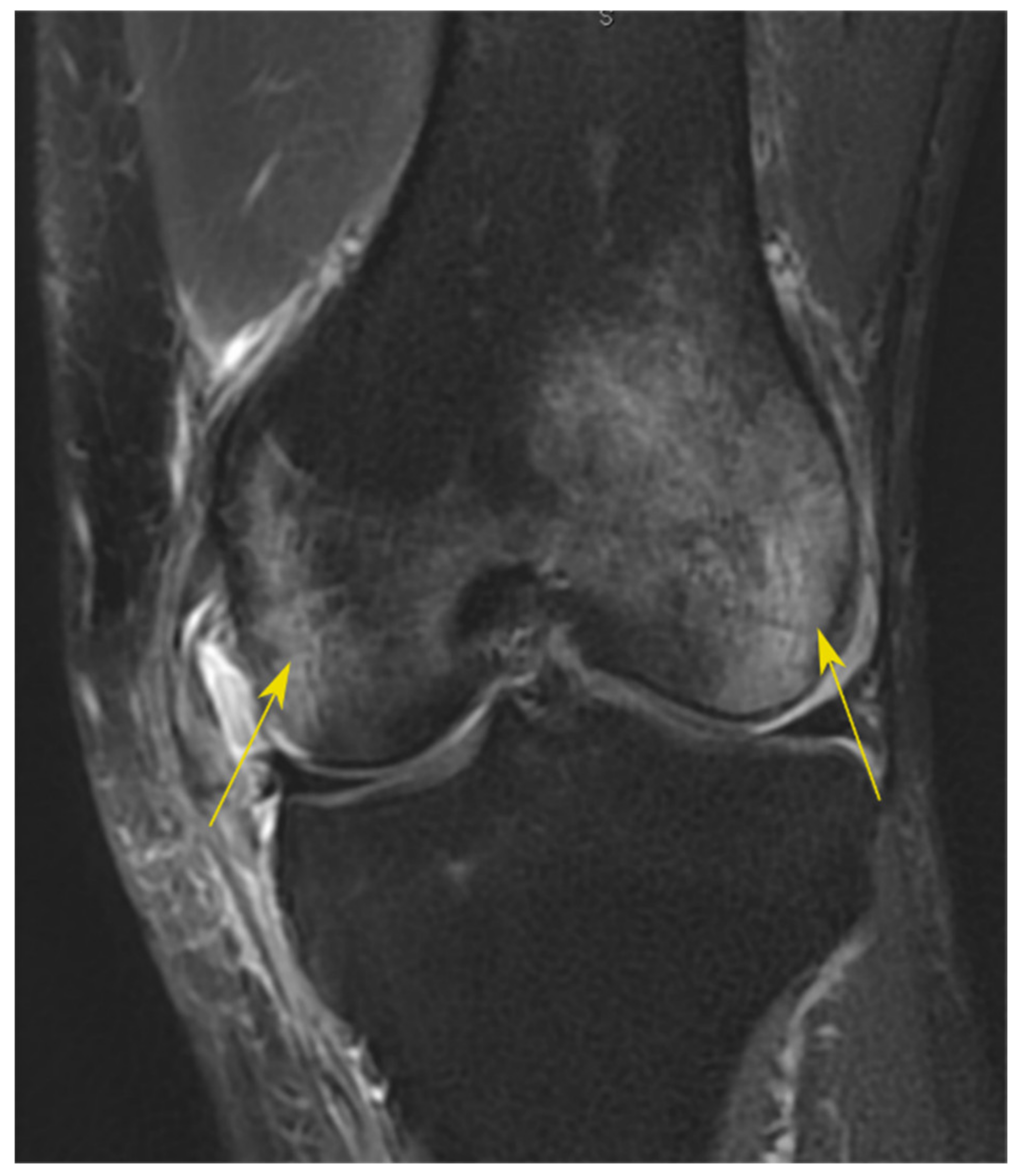
2.1. Measurements of Bone Bruises
2.2. Determining Total Bone Volume
2.3. Segmentation of BB
- in femur:
- in tibia:
2.4. Measurement of Bone Tunnel
- percentage increase in tunnel diameter in the femur and tibia:where Δfd—is an increase in the femur, —is an increase in the tibia, dp—is an initial tunnel’s diameter, di—is a value of the tunnel’s diameter in a specific part of the tunnel, and n—is a sample size.
- percentage increase in tunnel area in the femur and tibia:where —is an increase in the femur, —is an increase in the tibia, CSAp—is an initial tunnel’s area, CSAi—is a value of the tunnel’s area in a specific part of tunnel, and n—is a sample size.
2.5. Spatial Characteristics of Bone Bruises in Correlation to Bone Tunnel Location
2.6. Statistical Analysis
3. Results
4. Discussion
Limitations
5. Conclusions
Author Contributions
Funding
Institutional Review Board Statement
Informed Consent Statement
Data Availability Statement
Conflicts of Interest
References
- Sauer, S.; Lind, M. Bone Tunnel Enlargement after ACL Reconstruction with Hamstring Autograft Is Dependent on Original Bone Tunnel Diameter. Surg. J. 2017, 3, e96–e100. [Google Scholar] [CrossRef]
- Fahey, M.; Indelicato, P.A. Bone Tunnel Enlargement after Anterior Cruciate Ligament Replacement. Am. J. Sports Med. 1994, 22, 410–414. [Google Scholar] [CrossRef]
- Clatworthy, M.G.; Bartelett, J.; Howell, S. The effect of graft fixation techniques on tunnel widening in hamstring ACL re-construction. Arthroscopy 1999, 15, 5. [Google Scholar]
- Wilson, T.C.; Kantaras, A.; Atay, A.; Johnson, D.L. Tunnel Enlargement after Anterior Cruciate Ligament Surgery. Am. J. Sports Med. 2004, 32, 543–549. [Google Scholar] [CrossRef] [PubMed]
- Yue, L.; DeFroda, S.F.; Sullivan, K.; Garcia, D.; Owens, B.D. Mechanisms of Bone Tunnel Enlargement Following Anterior Cruciate Ligament Reconstruction. JBJS Rev. 2020, 8, e0120. [Google Scholar] [CrossRef] [PubMed]
- Otsuka, H.; Ishibashi, Y.; Tsuda, E.; Sasaki, K.; Toh, S. Comparison of Three Techniques of Anterior Cruciate Ligament Reconstruction with Bone-Patellar Tendon-Bone Graft: Differences in Anterior Tibial Translation and Tunnel Enlargement with Each Technique. Am. J. Sports Med. 2003, 31, 282–288. [Google Scholar] [CrossRef]
- Sakai, H.; Yajima, H.; Hiraoka, H.; Fukuda, A.; Hayashi, M.; Tamai, K.; Saotome, K. The influence of tibial fixation on tunnel enlargement after hamstring tendon anterior cruciate ligament reconstruction. Knee Surg. Sports Traumatol. Arthrosc. 2003, 12, 364–370. [Google Scholar] [CrossRef]
- Simonian, P.T.; Erickson, M.S.; Larson, R.V.; O’Kane, J.W. Tunnel expansion after hamstring anterior cruciate ligament reconstruction with 1-incision EndoButton femoral fixation. Arthrosc. J. Arthrosc. Relat. Surg. 2000, 16, 707–714. [Google Scholar] [CrossRef] [PubMed]
- Siebold, R.; Kiss, Z.S.; Morris, H.G. Effect of compaction drilling during ACL reconstruction with hamstrings on postoperative tunnel widening. Arch. Orthop. Trauma Surg. 2007, 128, 461–468. [Google Scholar] [CrossRef]
- Vadalà, A.; Iorio, R.; De Carli, A.; Argento, G.; Di Sanzo, V.; Conteduca, F.; Ferretti, A. The effect of accelerated, brace free, rehabilitation on bone tunnel enlargement after ACL reconstruction using hamstring tendons: A CT study. Knee Surg. Sports Traumatol. Arthrosc. 2006, 15, 365–371. [Google Scholar] [CrossRef] [PubMed]
- Stolarz, M.; Ficek, K.; Binkowski, M.; Wróbel, Z. Bone tunnel enlargement following hamstring anterior cruciate ligament reconstruction: A comprehensive review. Physician Sportsmed. 2016, 45, 31–40. [Google Scholar] [CrossRef] [PubMed]
- Tajima, T.; Yamaguchi, N.; Nagasawa, M.; Morita, Y.; Nakamura, Y.; Chosa, E. Early weight-bearing after anterior cruciate ligament reconstruction with hamstring grafts induce femoral bone tunnel enlargement: A prospective clinical and radiographic study. BMC Musculoskelet. Disord. 2019, 20, 274. [Google Scholar] [CrossRef]
- Hantes, M.E.; Mastrokalos, D.S.; Yu, J.; Paessler, H.H. The effect of early motion on tibial tunnel widening after anterior cruciate ligament replacement using hamstring tendon grafts. Arthrosc. J. Arthrosc. Relat. Surg. 2004, 20, 572–580. [Google Scholar] [CrossRef]
- Siebold, R. Observations on Bone Tunnel Enlargement after Double-Bundle Anterior Cruciate Ligament Reconstruction. Arthrosc. J. Arthrosc. Relat. Surg. 2007, 23, 291–298. [Google Scholar] [CrossRef]
- Lind, M.; Feller, J.; Webster, K.E. Bone Tunnel Widening After Anterior Cruciate Ligament Reconstruction Using EndoButton or EndoButton Continuous Loop. Arthrosc. J. Arthrosc. Relat. Surg. 2009, 25, 1275–1280. [Google Scholar] [CrossRef]
- Iorio, R.; Di Sanzo, V.; Vadalà, A.; Conteduca, J.; Mazza, D.; Redler, A.; Bolle, G.; Conteduca, F.; Ferretti, A. ACL reconstruction with hamstrings: How different technique and fixation devices influence bone tunnel enlargement. Eur. Rev. Med. Pharmacol. Sci. 2013, 17, 2956–2961. [Google Scholar] [PubMed]
- Buelow, J.-U.; Siebold, R.; Ellermann, A. A prospective evaluation of tunnel enlargement in anterior cruciate ligament reconstruction with hamstrings: Extracortical versus anatomical fixation. Knee Surg. Sports Traumatol. Arthrosc. 2002, 10, 80–85. [Google Scholar] [CrossRef]
- Weber, A.E.; Delos, D.; Oltean, H.N.; Vadasdi, K.; Cavanaugh, J.; Potter, H.G.; Rodeo, S.A. Tibial and Femoral Tunnel Changes After ACL Reconstruction. Am. J. Sports Med. 2015, 43, 1147–1156. [Google Scholar] [CrossRef]
- Darabos, N.; Haspl, M.; Moser, C.; Darabos, A.; Bartolek, D.; Groenemeyer, D.H.W. Intraarticular application of autologous conditioned serum (ACS) reduces bone tunnel widening after ACL reconstructive surgery in a randomized controlled trial. Knee Surg. Sports Traumatol. Arthrosc. 2011, 19, 36–46. [Google Scholar] [CrossRef]
- Laidlaw, M.S.; Buyukdogan, K.; Werner, B.C.; Miller, M.D. Management of bone deficiency in revision anterior cruciate ligament reconstruction. Ann. Jt. 2017, 2, 38. [Google Scholar] [CrossRef]
- Xu, H.; Zheng, R.; Ying, J. Bone tunnel impaction reduced the tibial tunnel enlargement. Open Med. 2017, 12, 99–106. [Google Scholar] [CrossRef]
- Filardo, G.; Andriolo, L.; Frattura, G.D.L.; Napoli, F.; Zaffagnini, S.; Candrian, C. Bone bruise in anterior cruciate ligament rupture entails a more severe joint damage affecting joint degenerative progression. Knee Surg. Sports Traumatol. Arthrosc. 2019, 27, 44–59. [Google Scholar] [CrossRef]
- Patel, S.A.; Hageman, J.; Quatman, C.E.; Wordeman, S.C.; Hewett, T.E. Prevalence and Location of Bone Bruises Associated with Anterior Cruciate Ligament Injury and Implications for Mechanism of Injury: A Systematic Review. Sports Med. 2014, 44, 281–293. [Google Scholar] [CrossRef]
- Sanders, T.G.; Medynski, M.A.; Feller, J.F.; Lawhorn, K.W. Bone Contusion Patterns of the Knee at MR Imaging: Footprint of the Mechanism of Injury. RadioGraphics 2000, 20, S135–S151. [Google Scholar] [CrossRef] [PubMed]
- Rangger, C.; Kathrein, A.; Freund, M.C.; Klestil, T.; Kreczy, A. Bone bruise of the knee Histology and cryosections in 5 cases. Acta Orthop. Scand. 1998, 69, 291–294. [Google Scholar] [CrossRef] [PubMed]
- Rangger, C.; Klestil, T.; Kathrein, A.; Inderster, A.; Hamid, L. Influence of Magnetic Resonance Imaging on Indications for Arthroscopy of the Knee. Clin. Orthop. Relat. Res. 1996, 330, 133–142. [Google Scholar] [CrossRef]
- Ryu, K.N.; Jin, W.; Ko, Y.T.; Yoon, Y.; Oh, J.H.; Park, Y.K.; Kim, K.S. Bone bruises: MR characteristics and histological correlation in the young pig. Clin. Imaging 2000, 24, 371–380. [Google Scholar] [CrossRef]
- Speer, K.P.; Spritzer, C.E.; Bassett, F.H.; Feagin, J.J.A.; Garrett, J.W.E. Osseous injury associated with acute tears of the anterior cruciate ligament. Am. J. Sports Med. 1992, 20, 382–389. [Google Scholar] [CrossRef] [PubMed]
- Kaplan, P.A.; Gehl, R.H.; Dussault, R.G.; Anderson, M.W.; Diduch, D.R. Bone Contusions of the Posterior Lip of the Medial Tibial Plateau (Contrecoup Injury) and Associated Internal Derangements of the Knee at MR Imaging. Radiology 1999, 211, 747–753. [Google Scholar] [CrossRef] [PubMed]
- Speer, K.P.; Warren, R.F.; Wickiewicz, T.L.; Horowitz, L.; Henderson, L. Observations on the Injury Mechanism of Anterior Cruciate Ligament Tears in Skiers. Am. J. Sports Med. 1995, 23, 77–81. [Google Scholar] [CrossRef] [PubMed]
- Spindler, K.P.; Schils, J.P.; Bergfeld, J.A.; Andrish, J.T.; Weiker, G.G.; Anderson, T.E.; Piraino, D.W.; Richmond, B.J.; Medendorp, S.V. Prospective study of osseous, articular, and meniscal lesions in recent anterior cruciate ligament tears by magnetic resonance imaging and arthroscopy. Am. J. Sports Med. 1993, 21, 551–557. [Google Scholar] [CrossRef]
- Vellet, A.D.; Marks, P.H.; Fowler, P.J.; Munro, T.G. Occult posttraumatic osteochondral lesions of the knee: Prevalence, classification, and short-term sequelae evaluated with MR imaging. Radiology 1991, 178, 271–276. [Google Scholar] [CrossRef] [PubMed]
- Lattermann, C.; Jacobs, C.A.; Reinke, E.K.; Scaramuzza, E.A.; Huston, L.J.; Dunn, W.R.; Spindler, K.P. Are Bone Bruise Characteristics and Articular Cartilage Pathology Associated with Inferior Outcomes 2 and 6 Years After Anterior Cruciate Ligament Reconstruction? Cartilage 2017, 8, 139–145. [Google Scholar] [CrossRef]
- Gong, J.; Pedoia, V.; Facchetti, L.; Link, T.M.; Ma, C.B.; Li, X. Bone marrow edema-like lesions (BMELs) are associated with higher T1ρ and T2 values of cartilage in anterior cruciate ligament (ACL)-reconstructed knees: A longitudinal study. Quant. Imaging Med. Surg. 2016, 6, 661–670. [Google Scholar] [CrossRef]
- Filardo, G.; Kon, E.; Tentoni, F.; Andriolo, L.; Di Martino, A.; Busacca, M.; Di Matteo, B.; Marcacci, M. Anterior cruciate ligament injury: Post-traumatic bone marrow oedema correlates with long-term prognosis. Int. Orthop. 2015, 40, 183–190. [Google Scholar] [CrossRef] [PubMed]
- Mayerhoefer, M.E.; Breitenseher, M.; Hofmann, S.; Aigner, N.; Meizer, R.; Siedentop, H.; Kramer, J. Computer-Assisted Quantitative Analysis of Bone Marrow Edema of the Knee: Initial Experience with a New Method. Am. J. Roentgenol. 2004, 182, 1399–1403. [Google Scholar] [CrossRef]
- Michael, T.H. How to evaluate bone tunnel widening after ACL reconstruction-a critical review. Muscle Ligaments Tendons J. 2017, 7, 230–239. [Google Scholar] [CrossRef]
- Subburaj, K.; Ravi, B.; Agarwal, M. Automated identification of anatomical landmarks on 3D bone models reconstructed from CT scan images. Comput. Med. Imaging Graph. 2009, 33, 359–368. [Google Scholar] [CrossRef] [PubMed]
- Mukaka, M.M. Statistics corner: A guide to appropriate use of correlation coefficient in medical research. Malawi Med. J. 2012, 24, 69–71. [Google Scholar] [PubMed]
- Fayad, L.M.; Parellada, J.A.; Parker, L.; Schweitzer, M.E. MR imaging of anterior cruciate ligament tears: Is there a gender gap? Skelet. Radiol. 2003, 32, 639–646. [Google Scholar] [CrossRef]
- Chen, C.-H.; Lee, C.-H. Biological fixation in anterior cruciate ligament surgery. Asia-Pacific J. Sports Med. Arthrosc. Rehabil. Technol. 2014, 1, 48–53. [Google Scholar] [CrossRef]
- Bedi, A.; Kawamura, S.; Ying, L.; Rodeo, S.A. Differences in Tendon Graft Healing Between the Intra-articular and Extra-articular Ends of a Bone Tunnel. HSS J.® 2009, 5, 51–57. [Google Scholar] [CrossRef] [PubMed]
- Ekdahl, M.; Wang, J.H.-C.; Ronga, M.; Fu, F.H. Graft healing in anterior cruciate ligament reconstruction. Knee Surg. Sports Traumatol. Arthrosc. 2008, 16, 935–947. [Google Scholar] [CrossRef]
- Ficek, K.; Rajca, J.; Stolarz, M.; Stodolak-Zych, E.; Wieczorek, J.; Muzalewska, M.; Wyleżoł, M.; Wróbel, Z.; Binkowski, M.; Błażewicz, S. Bioresorbable Stent in Anterior Cruciate Ligament Reconstruction. Polymers 2019, 11, 1961. [Google Scholar] [CrossRef] [PubMed]
- Mandalia, V.; Fogg, A.; Chari, R.; Murray, J.; Beale, A.; Henson, J. Bone bruising of the knee. Clin. Radiol. 2005, 60, 627–636. [Google Scholar] [CrossRef]
- Graf, B.K.; Cook, D.A.; De Smet, A.A.; Keene, J.S. “Bone bruises” on magnetic resonance imaging evaluation of anterior cruciate ligament injuries. Am. J. Sports Med. 1993, 21, 220–223. [Google Scholar] [CrossRef]
- Bretlau, T.; Tuxøe, J.; Larsen, L.; Jørgensen, U.; Thomsen, H.S.; Lausten, G.S. Bone bruise in the acutely injured knee. Knee Surg. Sports Traumatol. Arthrosc. 2002, 10, 96–101. [Google Scholar] [CrossRef]
- Kim-Wang, S.Y.; Scribani, M.B.; Whiteside, M.B.; DeFrate, L.E.; Lassiter, T.E.; Wittstein, J.R. Distribution of Bone Contusion Patterns in Acute Noncontact Anterior Cruciate Ligament–Torn Knees. Am. J. Sports Med. 2021, 49, 404–409. [Google Scholar] [CrossRef]
- Buck, D.C.; Simonian, P.T.; Larson, R.V.; Borrow, J.; A Nathanson, D. Timeline of tibial tunnel expansion after single-incision hamstring anterior cruciate ligament reconstruction. Arthrosc. J. Arthrosc. Relat. Surg. 2004, 20, 34–36. [Google Scholar] [CrossRef]
- Clatworthy, M.G.; Annear, P.; Bulow, J.-U.; Bartlett, R.J. Tunnel widening in anterior cruciate ligament reconstruction: A prospective evaluation of hamstring and patella tendon grafts. Knee Surg. Sports Traumatol. Arthrosc. 1999, 7, 138–145. [Google Scholar] [CrossRef]
- Fauno, P.; Kaalund, S. Tunnel Widening After Hamstring Anterior Cruciate Ligament Reconstruction Is Influenced by the Type of Graft Fixation Used: A Prospective Randomized Study. Arthrosc. J. Arthrosc. Relat. Surg. 2005, 21, 1337–1341. [Google Scholar] [CrossRef] [PubMed]
- Strauss, E.J.; Barker, J.U.; McGill, K.; Cole, B.J.; Bach, B.R.; Verma, N.N. Can Anatomic Femoral Tunnel Placement Be Achieved Using a Transtibial Technique for Hamstring Anterior Cruciate Ligament Reconstruction? Am. J. Sports Med. 2011, 39, 1263–1269. [Google Scholar] [CrossRef] [PubMed]
- Lee, M.C.; Seong, S.C.; Lee, S.; Chang, C.B.; Park, Y.K.; Jo, H.; Kim, C.H. Vertical Femoral Tunnel Placement Results in Rotational Knee Laxity After Anterior Cruciate Ligament Reconstruction. Arthrosc. J. Arthrosc. Relat. Surg. 2007, 23, 771–778. [Google Scholar] [CrossRef] [PubMed]
- Zavras, T.D.; Race, A.; Amis, A.A. The effect of femoral attachment location on anterior cruciate ligament reconstruction: Graft tension patterns and restoration of normal anterior?posterior laxity patterns. Knee Surg. Sports Traumatol. Arthrosc. 2005, 13, 92–100. [Google Scholar] [CrossRef]
- A Brandser, E.; A Riley, M.; Berbaum, K.S.; El-Khoury, G.Y.; Bennett, D.L. MR imaging of anterior cruciate ligament injury: Independent value of primary and secondary signs. Am. J. Roentgenol. 1996, 167, 121–126. [Google Scholar] [CrossRef]
- Rahnemai-Azar, A.A.; Arilla, F.V.; Bell, K.M.; Fu, F.H.; Musahl, V.; Debski, R.E. Biomechanical evaluation of knee endpoint during anterior tibial loading: Implication for physical exams. Knee 2017, 24, 258–263. [Google Scholar] [CrossRef] [PubMed]





| n | Age ± SD [Years] | BMI ± SD | Knee | Time from Injury to MRI ± SD [Days] | Time from Injury to Surgery ± SD [Days] | Graft Thickness ± SD [mm] | Period of Follow-Up [Days] | ||
|---|---|---|---|---|---|---|---|---|---|
| right | left | - | - | - | - | ||||
| STGR | 24 | 29 ± 9 | 23.53 ± 3.00 | 7 | 17 | 10 ± 9 | 50 ± 43 | 7.8 ± 0.8 | 320 |
| Females | 9 | 34 ± 12 | 22.33 ± 1.68 | 2 | 7 | - | - | - | - |
| Males | 15 | 25 ± 6 | 24.25 ± 3.42 | 5 | 10 | - | - | - | - |
| t(I-MRI) | t(I-S) | f-BB/TVI | t-BB/TVI | Δfd | Δtd | ΔfCSA | ΔtCSA | f-l | t-l | ∩f | ∩t | |
|---|---|---|---|---|---|---|---|---|---|---|---|---|
| t(I-MRI) | 1.00 | - | - | - | - | - | - | - | - | - | - | - |
| t(I-S) | - | 1.00 | - | - | - | - | - | - | - | - | - | - |
| f-BB/TVI | 0.02 | - | 1.00 | - | - | - | - | - | - | - | - | - |
| t-BB/TVI | 0.10 | - | - | 1.00 | - | - | - | - | - | - | - | - |
| Δfd | - | 0.01 | 0.25 | - | 1.00 | - | - | - | - | - | - | - |
| Δtd | - | 0.00 | - | 0.25 | - | 1.00 | - | - | - | - | - | - |
| ΔfCSA | - | 0.03 | 0.33 | - | - | - | 1.00 | - | - | - | - | - |
| ΔtCSA | - | 0.02 | - | 0.33 | - | - | - | 1.00 | - | - | - | - |
| f-l | - | - | - | - | −0.64 (p = 0.010) | - | −0.59 (p = 0.020) | 1.00 | - | - | - | |
| t-l | - | - | - | - | - | −0.40 | - | −0.42 | - | 1.00 | - | - |
| ∩f | - | - | - | - | 0.54 (p = 0.036) | - | 0.46 | - | - | - | 1.00 | - |
| ∩t | - | - | - | - | - | 0.05 | - | 0.01 | - | - | - | 1.00 |
| Mean | SD | f-BB/TVI | Δfd | ΔfCSA | |
|---|---|---|---|---|---|
| f-BB/TVI | 4.53 | 4.46 | 1.00 | - | - |
| Δfd | 41.95 | 18.17 | 0.56 | 1.00 | - |
| ΔfCSA | 115.95 | 55.28 | 0.66 (p = 0.03) | 0.95 (p = 0.00) | 1.00 |
| f-l | Δfd | ΔfCSA | |||
| f-l | 22.82 | 7.01 | 1.00 | - | - |
| Δfd | 50.24 | 15.29 | −0.77 | 1.00 | - |
| ΔfCSA | 146.87 | 48.48 | −0.59 | 0.92 (p = 0.01) | 1.00 |
| Mean | SD | t-BB/TVI | Δtd | ΔtCSA | |
|---|---|---|---|---|---|
| t-BB/TVI | 11.76 | 6.18 | 1.00 | - | - |
| Δtd | 59.20 | 20.25 | 0.32 | 1.00 | - |
| ΔtCSA | 176.86 | 75.93 | 0.36 | 0.96 (p = 0.00) | 1.00 |
| t-l | Δtd | ΔtCSA | |||
| t-l | 28.83 | 8.83 | 1.00 | - | - |
| Δtd | 59.20 | 20.25 | −0.53 | 1.00 | - |
| ΔtCSA | 176.86 | 75.93 | −0.49 | 0.96 | 1.00 |
Publisher’s Note: MDPI stays neutral with regard to jurisdictional claims in published maps and institutional affiliations. |
© 2021 by the authors. Licensee MDPI, Basel, Switzerland. This article is an open access article distributed under the terms and conditions of the Creative Commons Attribution (CC BY) license (http://creativecommons.org/licenses/by/4.0/).
Share and Cite
Rajca, J.; Gzik, M.; Ficek, K. The Influence of Bone Bruises on Bone Tunnel Enlargement Regarding ACL Rupture. Appl. Sci. 2021, 11, 2482. https://doi.org/10.3390/app11062482
Rajca J, Gzik M, Ficek K. The Influence of Bone Bruises on Bone Tunnel Enlargement Regarding ACL Rupture. Applied Sciences. 2021; 11(6):2482. https://doi.org/10.3390/app11062482
Chicago/Turabian StyleRajca, Jolanta, Marek Gzik, and Krzysztof Ficek. 2021. "The Influence of Bone Bruises on Bone Tunnel Enlargement Regarding ACL Rupture" Applied Sciences 11, no. 6: 2482. https://doi.org/10.3390/app11062482
APA StyleRajca, J., Gzik, M., & Ficek, K. (2021). The Influence of Bone Bruises on Bone Tunnel Enlargement Regarding ACL Rupture. Applied Sciences, 11(6), 2482. https://doi.org/10.3390/app11062482

