Assessment of Nerve Repair Augmented with Adipose-Derived Mast Cells in an Animal Model
Abstract
Featured Application
Abstract
1. Introduction
2. Materials and Methods
- Direct neurorrhaphy (end-to-end nerve repair) alone on the right side;
- Neurorrhaphy plus processed fat autograft around the nerve on the left.
- The first 8 animals (S1–S8) were sacrificed at 4 weeks after nerve repair;
- The following 8 at 8 weeks.
3. Results
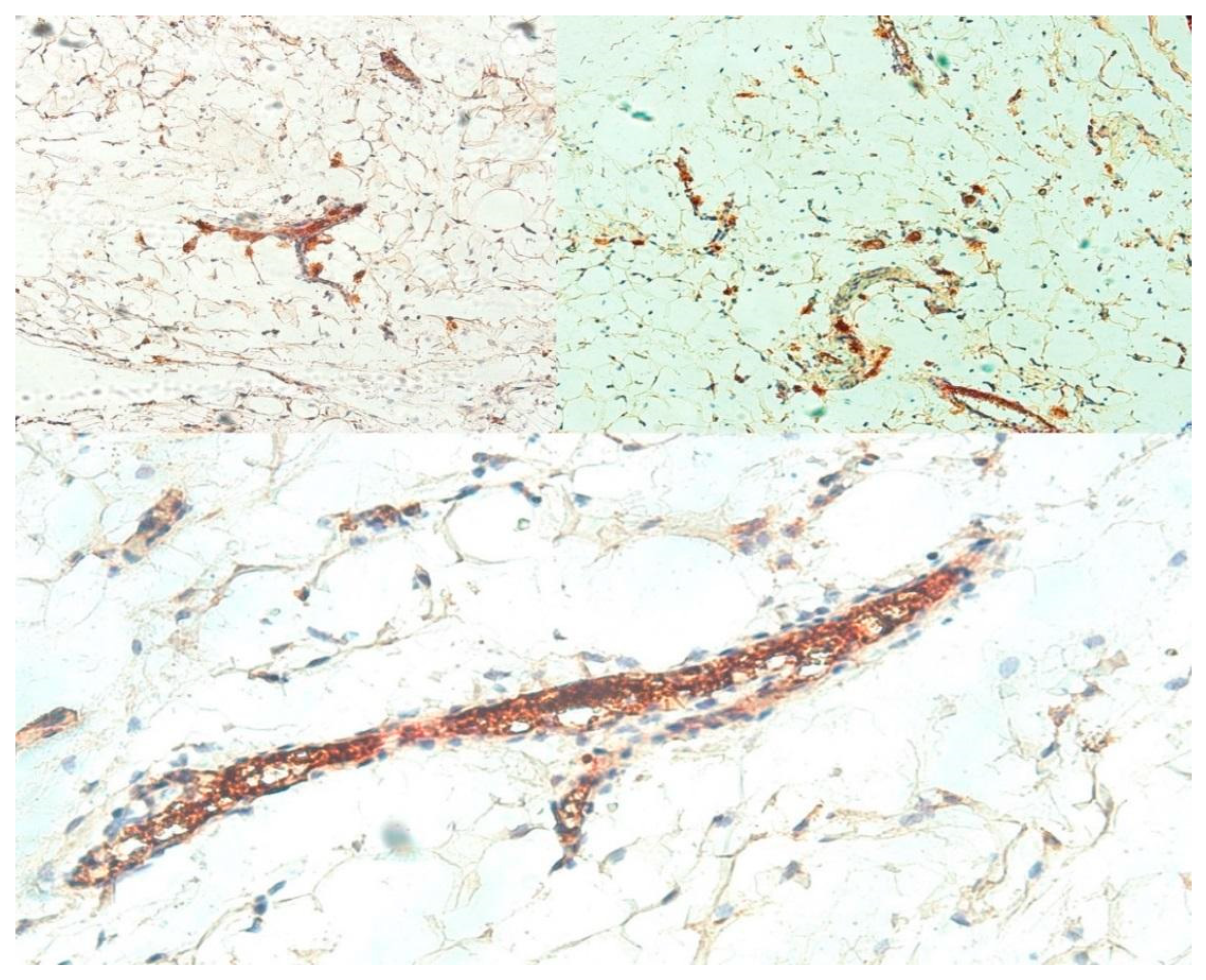
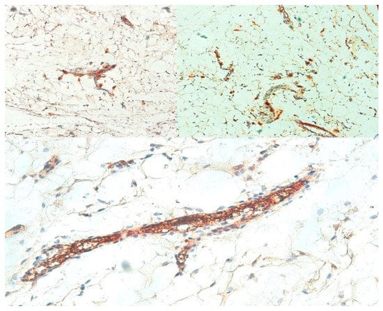
3.1. Mast Cells
3.1.1. Assessed by Luxol Fast Blue
3.1.2. Assessed by Mast Cell Tryptase
3.2. Angiogenesis
3.3. Muscular Atrophy
4. Discussion
5. Conclusions
Author Contributions
Funding
Institutional Review Board Statement
Informed Consent Statement
Conflicts of Interest
References
- Roccuzzo, A.; Molinero-Mourelle, P.; Ferrillo, M.; Cobo-Vázquez, C.; Sanchez-Labrador, L.; Ammendolia, A.; Migliario, M.; de Sire, A. Type I Collagen-Based Devices to Treat Nerve Injuries after Oral Surgery Procedures. A Systematic Review. Appl. Sci. 2021, 11, 3927. [Google Scholar] [CrossRef]
- Jones, S.; Eisenberg, H.M.; Jia, X. Advances and Future Applications of Augmented Peripheral Nerve Regeneration. Int. J. Mol. Sci. 2016, 17, 1494. [Google Scholar] [CrossRef] [PubMed]
- Akula, S.; Paivandy, A.; Fu, Z.; Thorpe, M.; Pejler, G.; Hellman, L. Quantitative In-Depth Analysis of the Mouse Mast Cell Transcriptome Reveals Organ-Specific Mast Cell Heterogeneity. Cells 2020, 9, 211. [Google Scholar] [CrossRef] [PubMed]
- Tanaka, S. Phenotypic and Functional Diversity of Mast Cells. Int. J. Mol. Sci. 2020, 21, 3835. [Google Scholar] [CrossRef] [PubMed]
- Ilkhanizadeh, B.; Zarei, L.; Farhad, N.; Bahrami-Bukani, M.; Mohammadi, R. Mast cells improve functional recovery of transected peripheral nerve: A novel preliminary study. Injury 2017, 48, 1480–1485. [Google Scholar] [CrossRef] [PubMed]
- Kleij, H.P.; Bienenstock, J. Significance of Conversation between Mast Cells and Nerves. Allergy Asthma Clin. Immunol. 2005, 1, 65–80. [Google Scholar] [CrossRef] [PubMed]
- Skaper, S.D. Nerve growth factor: A neuroimmune crosstalk mediator for all seasons. Immunology 2017, 151, 1–15. [Google Scholar] [CrossRef]
- Lavorato, A.; Raimondo, S.; Boido, M.; Muratori, L.; Durante, G.; Cofano, F.; Vincitorio, F.; Petrone, S.; Titolo, P.; Tartara, F.; et al. Mesenchymal Stem Cell Treatment Perspectives in Peripheral Nerve Regeneration: Systematic Review. Int. J. Mol. Sci. 2021, 22, 572. [Google Scholar] [CrossRef] [PubMed]
- Poglio, S.; De Toni-Costes, F.; Arnaud, E.; Laharrague, P.; Espinosa, E.; Casteilla, L.; Cousin, B. Adipose tissue as a dedicated reservoir of functional mast cell progenitors. Stem Cells 2010, 28, 2065–2072. [Google Scholar] [CrossRef]
- Hundepool, C.A.; Nijhuis, T.H.J.; Rbia, N.; Bulstra, L.F.; Selles, R.W.; Hovius, S.E.R. Noninvasive Ultrasound of the Tibial Muscle for Longitudinal Analysis of Nerve Regeneration in Rats. Plast. Reconstr. Surg. 2015, 136, 633e–639e. [Google Scholar] [CrossRef] [PubMed]
- Bloancă, V.; Ceauşu, A.R.; Jitariu, A.A.; Barmayoun, A.; Moş, R.; Crăiniceanu, Z.; Bratu, T. Adipose Tissue Graft Improves Early but not Late Stages of Nerve Regeneration. In Vivo 2017, 31, 649–655. [Google Scholar] [CrossRef] [PubMed][Green Version]
- Alim, M.A.; Peterson, M.; Pejler, G. Do Mast Cells Have a Role in Tendon Healing and Inflammation? Cells 2020, 9, 1134. [Google Scholar] [CrossRef] [PubMed]
- Stevens, R.L.; Adachi, R. Protease-proteoglycan complexes of mouse and human mast cells and importance of their beta-tryptase heparin complexes in inflammation and innate immunity. Immunol. Rev. 2007, 217, 155–167. [Google Scholar] [CrossRef] [PubMed]
- Hong, X.Y.; Hong, X.; Gu, W.W.; Lin, J.; Yin, W.T. Femoral nerve repair using an h-type nerve regeneration chamber in rats. J. Biol. Regul. Homeost. Agents 2017, 31, 335–341. [Google Scholar] [PubMed]
- Duchesne, E.; Bouchard, P.; Roussel, M.P.; Cote, C.H. Mast cells can regulate skeletal muscle cell proliferation by multiple mechanisms. Muscle Nerve 2013, 48, 403–414. [Google Scholar] [CrossRef] [PubMed]
- Yamamoto, D.; Tada, K.; Suganuma, S.; Hayashi, K.; Nakajima, T.; Nakada, M.; Matsuta, M.; Tsuchiya, H. Differentiated adipose-derived stem cells promote peripheral nerve regeneration. Muscle Nerve 2020, 62, 119–127. [Google Scholar] [CrossRef]
- Eren, F.; Öksüz, S.; Küçükodaci, Z.; Kendırlı, M.T.; Cesur, C.; Alarçın, E.; Irem Bektaş, E.; Karagoz, H.; Kerımoğlu, O.; Köse, G.T.; et al. Targeted mesenchymal stem cell and vascular endothelial growth factor strategies for repair of nerve defects with nerve tissue implanted autogenous vein graft conduits. Microsurgery 2016, 36, 578–585. [Google Scholar] [CrossRef] [PubMed]
- Trocan, I.; Ceausu, R.; Jitariu, A.; Haragus, H.; Damian, G.; Raica, M. Healing potential of the anterior cruciate ligament remnant stump. In Vivo 2016, 30, 225–230. [Google Scholar]
- Sheu, M.L.; Cheng, F.C.; Su, H.L.; Chen, Y.J.; Chen, C.J.; Chiang, C.M.; Chiu, W.-T.; Sheehan, J.; Pan, H.-C. Recruitment by SDF-1α of CD34-positive cells involved in sciatic nerve regeneration. J. Neurosurg. 2012, 116, 432–444. [Google Scholar] [CrossRef]
- Dayer, J.M.; Chicheportiche, R.; Juge-Aubry, C.; Meier, C. Adipose tissue has anti-inflammatory properties: Focus on IL-1 receptor antagonist (IL-1Ra). Ann. N. Y. Acad. Sci. 2006, 1069, 444–453. [Google Scholar] [CrossRef] [PubMed]
- Hackelberg, S.; Tuck, S.J.; He, L.; Rastogi, A.; White, C.; Liu, L.; Prieskorn, D.M.; Miller, R.J.; Chan, C.; Loomis, B.; et al. Nanofibrous scaffolds for the guidance of stem cell-derived neurons for auditory nerve regeneration. PLoS ONE 2017, 12, e0180427. [Google Scholar] [CrossRef] [PubMed]
- Peluffo, H.; Solari-Saquieres, P.; Negro-Demontel, M.L.; Francos-Quijorna, I.; Navarro, X.; Lopez-Vales, R.; Sayos, J.; Lago, N. CD300f immunoreceptor contributes to peripheral nerve regeneration by the modulation of macrophage inflammatory phenotype. J. Neuroinflamm. 2015, 12, 145. [Google Scholar] [CrossRef]
- Hsu, M.N.; Liao, H.T.; Li, K.C.; Chen, H.H.; Yen, T.C.; Makarevich, P.; Parfyonova, Y.; Hu, Y.C. Adipose-derived stem cell sheets functionalized by hybrid baculovirus for prolonged GDNF expression and improved nerve regeneration. Biomaterials 2017, 140, 189–200. [Google Scholar] [CrossRef] [PubMed]
- Krishnan, A.; Purdy, K.; Chandrasekhar, A.; Martinez, J.; Cheng, C.; Zochodne, D.W. A BRCA1-Dependent DNA Damage Response in the Regenerating Adult Peripheral Nerve Milieu. Mol. Neurobiol. 2018, 55, 4051–4067. [Google Scholar] [CrossRef] [PubMed]
- Marcus, M.; Baranes, K.; Park, M.; Choi, I.S.; Kang, K.; Shefi, O. Interactions of Neurons with Physical Environments. Adv. Healthc. Mater. 2017, 6, 1700267. [Google Scholar] [CrossRef] [PubMed]




| Control Group (n = 8) | Right Sciatic Nerve—Only Nerve Suture | Left Sciatic Nerve—Nerve Suture Plus Adipose Graft | |||
|---|---|---|---|---|---|
| 4 Weeks (n = 8) | 10 Weeks (n = 8) | 4 Weeks (n = 8) | 10 Weeks (n = 8) | ||
| Luxol fast blue | 2–3 | 9.25 | 23 | Nerve 9.75 Adipose tissue 6.25 Total 16 | Nerve 16 Adipose tissue 11.6 Total 27.6 |
| Mast Cell Tryptase | 0 | 4 | 4.5 | 2.5 | 0.2 |
| CD34+ | 1–2 | 4 | 7 | 5.5 | 12 |
| Control (n = 8) | Neurorrhaphy at 4 Weeks (n = 8) | Neurorrhaphy at 10 Weeks (n = 8) | Adipose Graft at 4 Weeks (n = 8) | Adipose Graft at 10 Weeks (n = 8) |
|---|---|---|---|---|
| 0.885 | 0.712 | 0.86 | 0.816 | 0.92 |
Publisher’s Note: MDPI stays neutral with regard to jurisdictional claims in published maps and institutional affiliations. |
© 2021 by the authors. Licensee MDPI, Basel, Switzerland. This article is an open access article distributed under the terms and conditions of the Creative Commons Attribution (CC BY) license (https://creativecommons.org/licenses/by/4.0/).
Share and Cite
Bloanca, V.; Haragus, H.; Campean, A.-M.; Cosma, A.; Bratu, T.; Crainiceanu, Z. Assessment of Nerve Repair Augmented with Adipose-Derived Mast Cells in an Animal Model. Appl. Sci. 2021, 11, 9465. https://doi.org/10.3390/app11209465
Bloanca V, Haragus H, Campean A-M, Cosma A, Bratu T, Crainiceanu Z. Assessment of Nerve Repair Augmented with Adipose-Derived Mast Cells in an Animal Model. Applied Sciences. 2021; 11(20):9465. https://doi.org/10.3390/app11209465
Chicago/Turabian StyleBloanca, Vlad, Horia Haragus, Anca-Maria Campean, Andrei Cosma, Tiberiu Bratu, and Zorin Crainiceanu. 2021. "Assessment of Nerve Repair Augmented with Adipose-Derived Mast Cells in an Animal Model" Applied Sciences 11, no. 20: 9465. https://doi.org/10.3390/app11209465
APA StyleBloanca, V., Haragus, H., Campean, A.-M., Cosma, A., Bratu, T., & Crainiceanu, Z. (2021). Assessment of Nerve Repair Augmented with Adipose-Derived Mast Cells in an Animal Model. Applied Sciences, 11(20), 9465. https://doi.org/10.3390/app11209465

