Detecting Ankle Fractures in Plain Radiographs Using Deep Learning with Accurately Labeled Datasets Aided by Computed Tomography: A Retrospective Observational Study
Abstract
:Featured Application
Abstract
1. Introduction
2. Materials and Methods
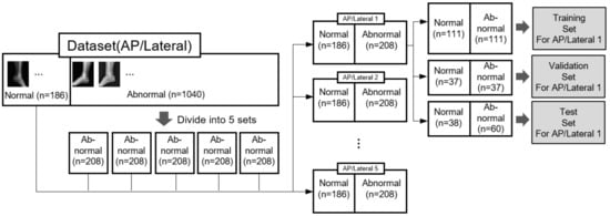
2.1. Datasets
2.1.1. Dataset Preparation
2.1.2. Dataset Distribution
2.1.3. Dataset Augmentation
2.1.4. Model Estimation Index
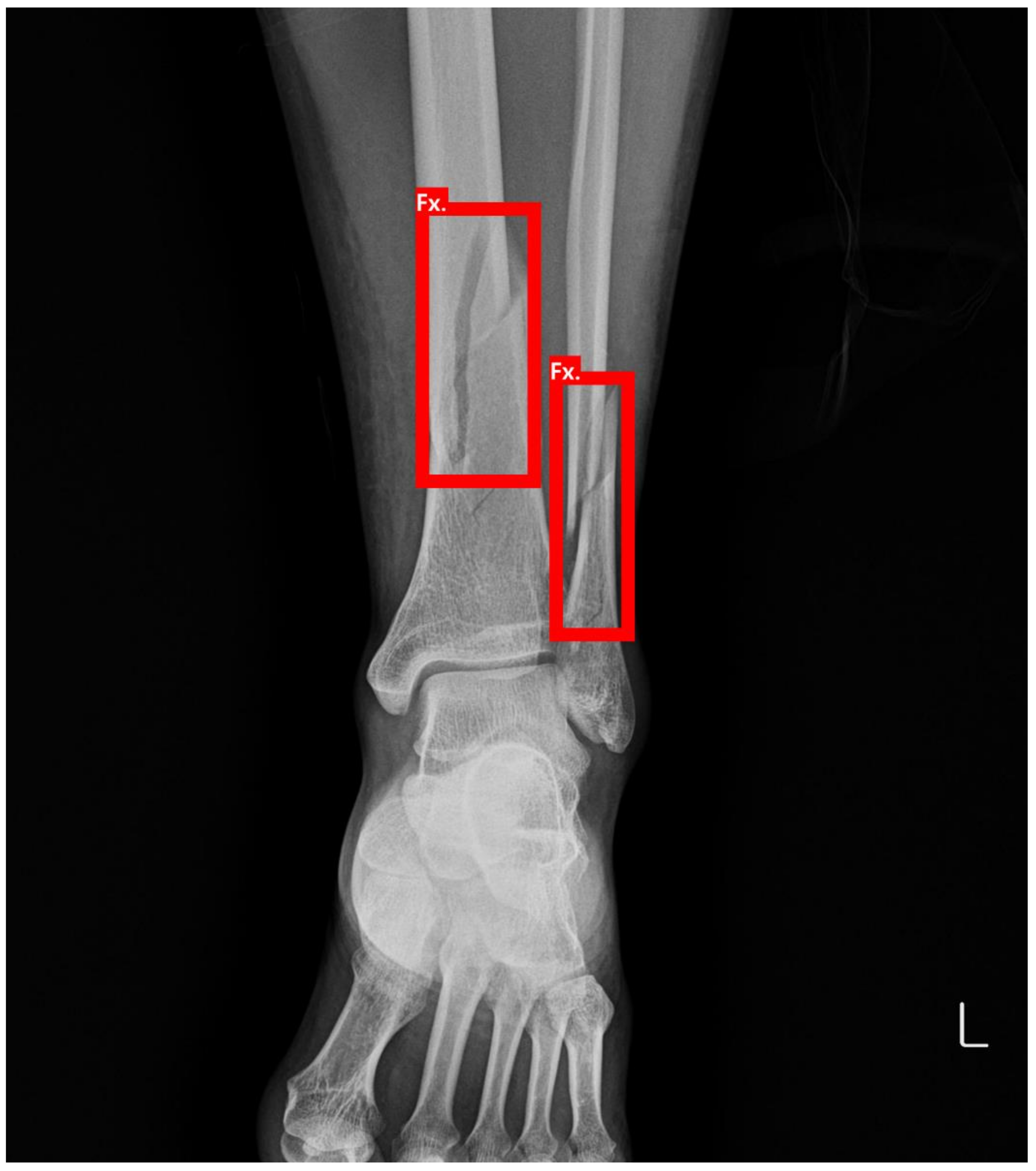
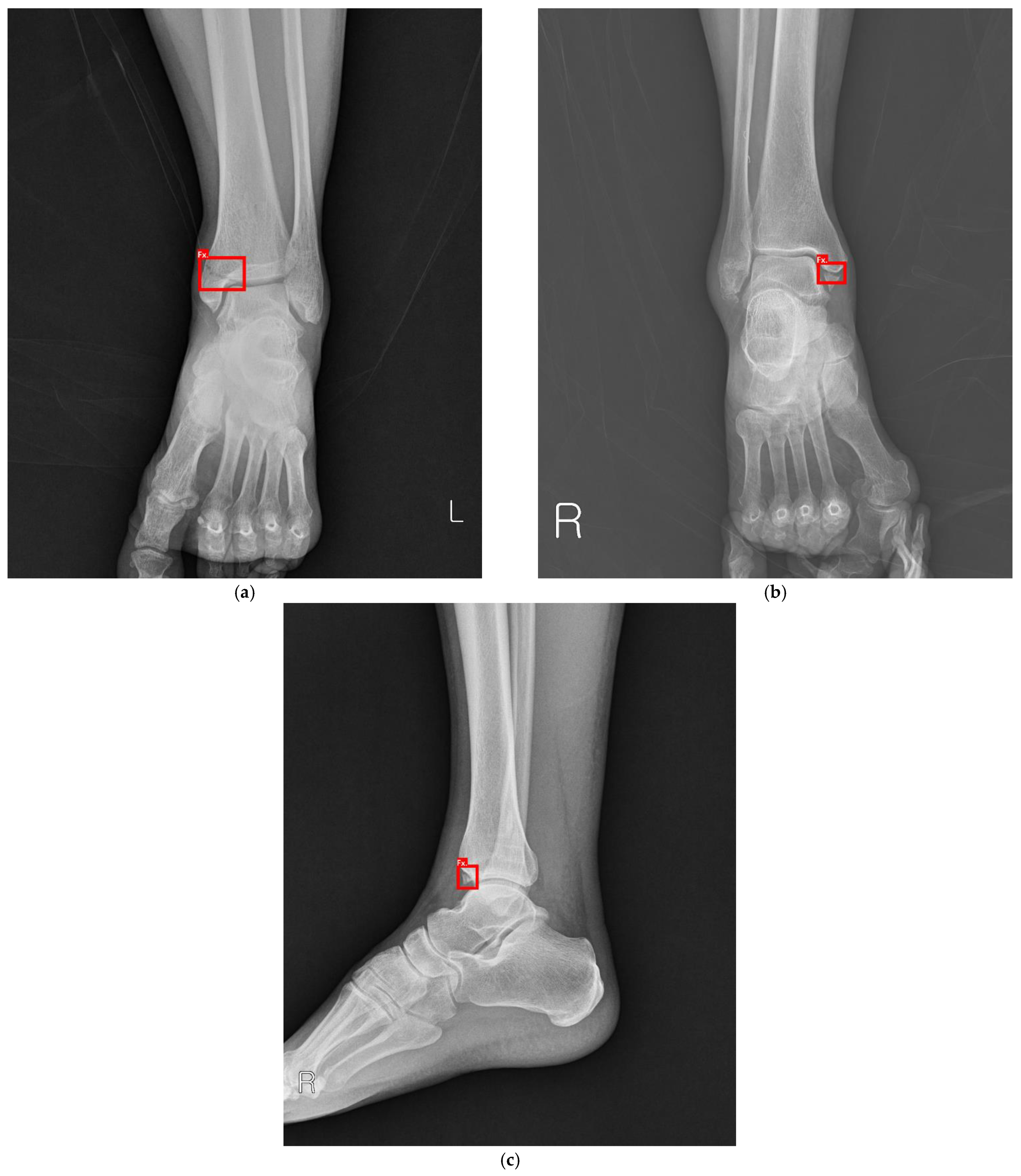
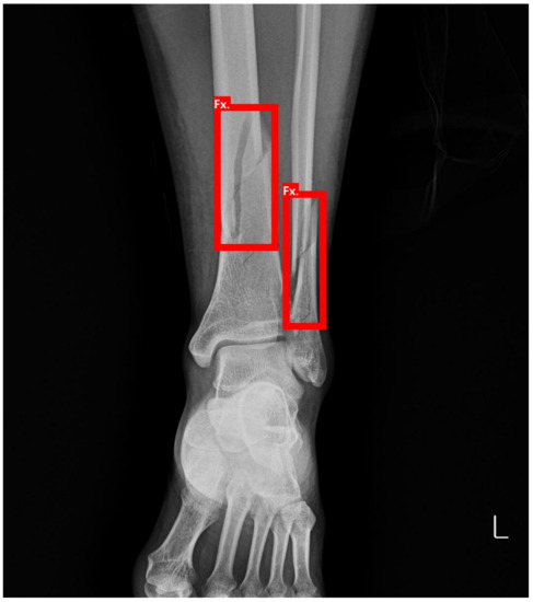
3. Results
4. Discussion
5. Conclusions
Supplementary Materials
Author Contributions
Funding
Institutional Review Board Statement
Informed Consent Statement
Data Availability Statement
Conflicts of Interest
References
- Hallas, P.; Ellingsen, T. Errors in fracture diagnoses in the emergency department–characteristics of patients and diurnal variation. BMC Emerg. Med. 2006, 6, 4. [Google Scholar] [CrossRef] [PubMed] [Green Version]
- Brandser, E.A.; Braksiek, R.J.; El-Khoury, G.Y.; Saltzman, C.L.; Marsh, J.; Clark, W.A.; Prokuski, L.J. Missed fractures on emergency room ankle radiographs: An analysis of 433 patients. Emerg. Radiol. 1997, 4, 295–302. [Google Scholar] [CrossRef]
- Young, K.-W.; Park, Y.-U.; Kim, J.-S.; Cho, H.-K.; Choo, H.-S.; Park, J.-H. Misdiagnosis of talar body or neck fractures as ankle sprains in low energy traumas. Clin. Orthop. Surg. 2016, 8, 303–309. [Google Scholar] [CrossRef] [PubMed] [Green Version]
- Olczak, J.; Fahlberg, N.; Maki, A.; Razavian, A.S.; Jilert, A.; Stark, A.; Sköldenberg, O.; Gordon, M. Artificial intelligence for analyzing orthopedic trauma radiographs: Deep learning algorithms—Are they on par with humans for diagnosing fractures? Acta Orthop. 2017, 88, 581–586. [Google Scholar] [CrossRef] [PubMed] [Green Version]
- Indolia, S.; Goswami, A.K.; Mishra, S.; Asopa, P. Conceptual understanding of convolutional neural network-a deep learning approach. Procedia Comput. Sci. 2018, 132, 679–688. [Google Scholar] [CrossRef]
- Chung, S.W.; Han, S.S.; Lee, J.W.; Oh, K.-S.; Kim, N.R.; Yoon, J.P.; Kim, J.Y.; Moon, S.H.; Kwon, J.; Lee, H.-J. Automated detection and classification of the proximal humerus fracture by using deep learning algorithm. Acta Orthop. 2018, 89, 468–473. [Google Scholar] [CrossRef] [PubMed] [Green Version]
- Gan, K.; Xu, D.; Lin, Y.; Shen, Y.; Zhang, T.; Hu, K.; Zhou, K.; Bi, M.; Pan, L.; Wu, W. Artificial intelligence detection of distal radius fractures: A comparison between the convolutional neural network and professional assessments. Acta Orthop. 2019, 90, 394–400. [Google Scholar] [CrossRef] [PubMed] [Green Version]
- Lindsey, R.; Daluiski, A.; Chopra, S.; Lachapelle, A.; Mozer, M.; Sicular, S.; Hanel, D.; Gardner, M.; Gupta, A.; Hotchkiss, R. Deep neural network improves fracture detection by clinicians. Proc. Natl. Acad. Sci. USA 2018, 115, 11591–11596. [Google Scholar] [CrossRef] [PubMed] [Green Version]
- Yu, J.; Yu, S.; Erdal, B.; Demirer, M.; Gupta, V.; Bigelow, M.; Salvador, A.; Rink, T.; Lenobel, S.; Prevedello, L. Detection and localisation of hip fractures on anteroposterior radiographs with artificial intelligence: Proof of concept. Clin. Radiol. 2020, 75, 237.e1–237.e9. [Google Scholar] [CrossRef] [PubMed]
- Dos Santos, D.P.; Brodehl, S.; Baeßler, B.; Arnhold, G.; Dratsch, T.; Chon, S.-H.; Mildenberger, P.; Jungmann, F. Structured report data can be used to develop deep learning algorithms: A proof of concept in ankle radiographs. Insights Imaging 2019, 10, 93. [Google Scholar] [CrossRef] [PubMed]
- Kitamura, G.; Chung, C.Y.; Moore, B.E. Ankle fracture detection utilizing a convolutional neural network ensemble implemented with a small sample, de novo training, and multiview incorporation. J. Digit. Imaging 2019, 32, 672–677. [Google Scholar] [CrossRef] [PubMed] [Green Version]
- Perez, L.; Wang, J. The effectiveness of data augmentation in image classification using deep learning. arXiv 2017, arXiv:1712.04621. [Google Scholar]
- Mednikov, Y.; Nehemia, S.; Zheng, B.; Benzaquen, O.; Lederman, D. Transfer representation learning using Inception-V3 for the detection of masses in mammography. In Proceedings of the 2018 40th Annual International Conference of the IEEE Engineering in Medicine and Biology Society (EMBC), Honolulu, HI, USA, 17–21 July 2018; pp. 2587–2590. [Google Scholar]
- Ridell, P.; Spett, H. Training Set Size for Skin Cancer Classification Using Google’s Inception v3. Bachelor’s Thesis, KTH Royal Institute of Technology School of Computer Science and Communication, Stockholm, Sweden, 2017. [Google Scholar]
- Luque, A.; Carrasco, A.; Martín, A.; de las Heras, A. The impact of class imbalance in classification performance metrics based on the binary confusion matrix. Pattern Recognit. 2019, 91, 216–231. [Google Scholar] [CrossRef]
- Cheng, C.-T.; Ho, T.-Y.; Lee, T.-Y.; Chang, C.-C.; Chou, C.-C.; Chen, C.-C.; Chung, I.-F.; Liao, C.-H. Application of a deep learning algorithm for detection and visualization of hip fractures on plain pelvic radiographs. Eur. Radiol. 2019, 29, 5469–5477. [Google Scholar] [CrossRef] [PubMed] [Green Version]
- Liu, F.; Kijowski, R. Deep learning in musculoskeletal imaging. Adv. Clin. Radiol. 2019, 1, 83–94. [Google Scholar] [CrossRef]
- Thian, Y.L.; Li, Y.; Jagmohan, P.; Sia, D.; Chan, V.E.Y.; Tan, R.T. Convolutional neural networks for automated fracture detection and localization on wrist radiographs. Radiol. Artif. Intell. 2019, 1, e180001. [Google Scholar] [CrossRef] [PubMed]
- Holzinger, A.; Biemann, C.; Pattichis, C.S.; Kell, D.B. What do we need to build explainable AI systems for the medical domain? arXiv 2017, arXiv:1712.09923. [Google Scholar]
- Holzinger, A.; Malle, B.; Kieseberg, P.; Roth, P.M.; Müller, H.; Reihs, R.; Zatloukal, K. Towards the augmented pathologist: Challenges of explainable-ai in digital pathology. arXiv 2017, arXiv:1712.06657. [Google Scholar]









| Anteroposterior | Lateral | |||
|---|---|---|---|---|
| Normal | Abnormal | Normal | Abnormal | |
| Training set | 111 | 111 | 111 | 111 |
| Validation set | 37 | 37 | 37 | 37 |
| Test set | 38 | 60 | 38 | 60 |
| Predicted Positive | Predicted Negative | |
|---|---|---|
| Actually Positive | True Positive (TP) | False Negative (FN) |
| Actually Negative | False Positive (FP) | True Negative (TN) |
| Predicted Abnormal | Predicted Normal | ||
|---|---|---|---|
| AP1 | True Abnormal | 47 | 13 |
| True Normal | 5 | 33 | |
| AP2 | True Abnormal | 54 | 6 |
| True Normal | 8 | 30 | |
| AP3 | True Abnormal | 44 | 16 |
| True Normal | 3 | 35 | |
| AP4 | True Abnormal | 54 | 6 |
| True Normal | 8 | 30 | |
| AP5 | True Abnormal | 45 | 15 |
| True Normal | 3 | 35 |
| Predicted Abnormal | Predicted Normal | ||
|---|---|---|---|
| Lateral 1 | True Abnormal | 53 | 7 |
| True Normal | 5 | 33 | |
| Lateral 2 | True Abnormal | 38 | 22 |
| True Normal | 4 | 34 | |
| Lateral 3 | True Abnormal | 54 | 6 |
| True Normal | 4 | 34 | |
| Lateral 4 | True Abnormal | 45 | 15 |
| True Normal | 3 | 35 | |
| Lateral 5 | True Abnormal | 44 | 16 |
| True Normal | 3 | 35 | |
| AP1 | AP2 | AP3 | AP4 | AP5 | Average | |
|---|---|---|---|---|---|---|
| Accuracy (%) | 82 | 86 | 81 | 86 | 82 | 83 |
| AUC | 0.91 | 0.88 | 0.86 | 0.92 | 0.88 | 0.89 |
| Precision | 0.9 | 0.87 | 0.94 | 0.87 | 0.94 | 0.9 |
| Recall | 0.78 | 0.9 | 0.73 | 0.9 | 0.75 | 0.81 |
| F1-score | 0.84 | 0.89 | 0.82 | 0.89 | 0.83 | 0.85 |
| Lateral1 | Lateral2 | Lateral3 | Lateral4 | Lateral5 | Average | |
|---|---|---|---|---|---|---|
| Accuracy (%) | 88 | 73 | 90 | 82 | 81 | 83 |
| AUC | 0.95 | 0.85 | 0.92 | 0.87 | 0.9 | 0.9 |
| Precision | 0.91 | 0.9 | 0.93 | 0.94 | 0.94 | 0.92 |
| Recall | 0.88 | 0.63 | 0.9 | 0.75 | 0.73 | 0.78 |
| F1-score | 0.9 | 0.75 | 0.92 | 0.83 | 0.82 | 0.84 |
Publisher’s Note: MDPI stays neutral with regard to jurisdictional claims in published maps and institutional affiliations. |
© 2021 by the authors. Licensee MDPI, Basel, Switzerland. This article is an open access article distributed under the terms and conditions of the Creative Commons Attribution (CC BY) license (https://creativecommons.org/licenses/by/4.0/).
Share and Cite
Kim, J.-H.; Mo, Y.-C.; Choi, S.-M.; Hyun, Y.; Lee, J.W. Detecting Ankle Fractures in Plain Radiographs Using Deep Learning with Accurately Labeled Datasets Aided by Computed Tomography: A Retrospective Observational Study. Appl. Sci. 2021, 11, 8791. https://doi.org/10.3390/app11198791
Kim J-H, Mo Y-C, Choi S-M, Hyun Y, Lee JW. Detecting Ankle Fractures in Plain Radiographs Using Deep Learning with Accurately Labeled Datasets Aided by Computed Tomography: A Retrospective Observational Study. Applied Sciences. 2021; 11(19):8791. https://doi.org/10.3390/app11198791
Chicago/Turabian StyleKim, Ji-Hun, Yong-Cheol Mo, Seung-Myung Choi, Youk Hyun, and Jung Woo Lee. 2021. "Detecting Ankle Fractures in Plain Radiographs Using Deep Learning with Accurately Labeled Datasets Aided by Computed Tomography: A Retrospective Observational Study" Applied Sciences 11, no. 19: 8791. https://doi.org/10.3390/app11198791
APA StyleKim, J.-H., Mo, Y.-C., Choi, S.-M., Hyun, Y., & Lee, J. W. (2021). Detecting Ankle Fractures in Plain Radiographs Using Deep Learning with Accurately Labeled Datasets Aided by Computed Tomography: A Retrospective Observational Study. Applied Sciences, 11(19), 8791. https://doi.org/10.3390/app11198791

