Schizophrenia Misdiagnosis after Capgras and Cotard Delusions in a Patient with Infantile Cystinosis, Cavum Septi Pellucidi, Cavum Vergae and Cavum Veli Interpositi
Abstract
:1. Introduction
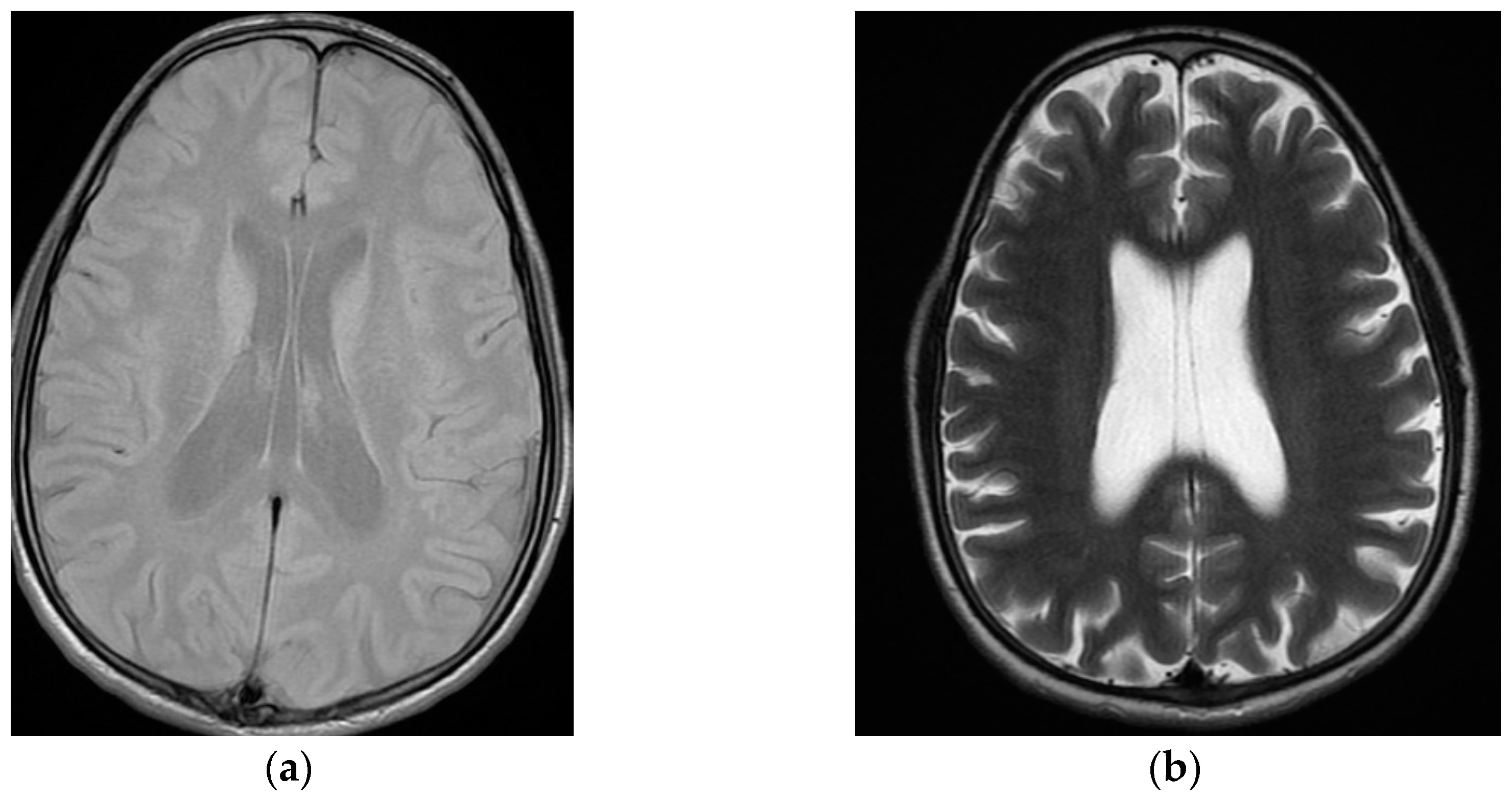
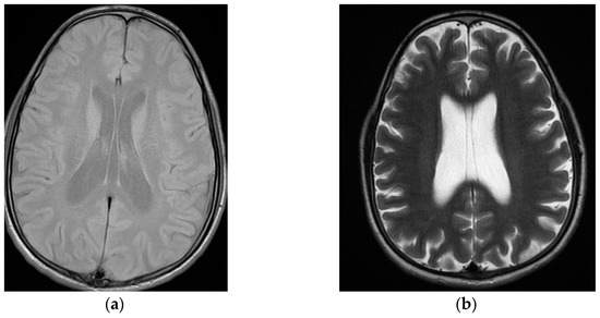
2. Case Presentation
3. Discussion
4. Conclusions
Funding
Institutional Review Board Statement
Informed Consent Statement
Data Availability Statement
Acknowledgments
Conflicts of Interest
References
- Mathew, R.J.; Partain, C.L.; Prakash, R.; Kulkarni, M.V.; Logan, T.P.; Wilson, W.H. A study of the septum pellucidum and corpus callosum in schizophrenia with MR imaging. Acta Psychiatr. Scand. 1985, 72, 414–421. [Google Scholar] [CrossRef] [PubMed]
- Takahashi, T.; Suzuki, M.; Hagino, H.; Niu, L.; Zhou, S.Y.; Nakamura, K.; Tanino, R.; Kawasaki, Y.; Seto, H.; Kurachi, M. Prevalence of large cavum septi pellucidi and its relation to the medial temporal lobe structures in schizophrenia spectrum. Prog. Neuropsychopharmacol. Biol. Psychiatry 2007, 31, 1235–1241. [Google Scholar] [CrossRef]
- Trzesniak, C.; Oliveira, I.R.; Kempton, M.J.; Galvão de Almeida, A.; Chagas, M.H.; Ferrari, M.C.; Filho, A.S.; Zuardi, A.W.; Prado, D.A.; Busatto, G.F.; et al. Are cavum septum pellucidum abnormalities more common in schizophrenia spectrum disorders? A systematic review and meta-analysis. Schizophr. Res. 2011, 125, 1–12. [Google Scholar] [CrossRef] [PubMed]
- Kasimer, R.N.; Langman, C.B. Adult complications of nephropathic cystinosis: A systematic review. Pediatr. Nephrol. 2021, 36, 223–236. [Google Scholar] [CrossRef] [PubMed]
- Lewis, S.W.; Mezey, G.C. Clinical correlates of septum pellucidum cavities: An unusual association with psychosis. Psychol. Med. 1985, 15, 43–54. [Google Scholar] [CrossRef] [PubMed]
- Rajasekharan, C.; Karthik, V.; Harikrishnan, M.; Lekshmi, S. Cavum vergae and psychiatric illness: Substantive or serendipity? BMJ Case Rep. 2018, 2018, bcr2018225511. [Google Scholar] [CrossRef] [PubMed]
- Supprian, T.; Bengel, D.; Hofmann, E.; Fallgatter, A.J.; Franzek, E. Cavum veli interpositi and psychotic disorder in a monocygotic twin. Eur. Arch. Psychiatry Clin. Neurosci. 2000, 250, 76–78. [Google Scholar] [CrossRef]
- Kryukov, E.V.; Stanishevsky, A.V.; Gavrilov, G.V.; Gizatullin, S.K. Cysts of septum pellucidum, cavum vergae and cavum veli interpositi. Meta-analysis of 368 cases. Zhurnal Vopr. Neirokhirurgii Im. N. N. Burd. 2020, 84, 111–118. [Google Scholar] [CrossRef]
- Soares-Weiser, K.; Maayan, N.; Bergman, H.; Davenport, C.; Kirkham, A.J.; Grabowski, S.; Adams, C.E. First rank symptoms for schizophrenia. Cochrane Database Syst. Rev. 2015, 25, CD010653. [Google Scholar] [CrossRef]
- Pandis, C.; Agrawal, N.; Poole, N. Capgras’ Delusion: A Systematic Review of 255 Published Cases. Psychopathology 2019, 52, 161–173. [Google Scholar] [CrossRef]
- Pereira, G.C.M.; de Oliveira, G.C. Prevalence of Capgras syndrome in Alzheimer’s patients: A systematic review and meta-analysis. Dement. Neuropsychol. 2019, 13, 463–468. [Google Scholar] [CrossRef]
- Huarcaya-Victoria, J.; Bojórquez-De la Torre, J.; De la Cruz-Oré, J. Factor Structure of Cotard’s Syndrome: Systematic Review of Case Reports. Rev. Colomb. Psiquiatry 2020, 49, 187–193. [Google Scholar] [CrossRef]
- Cipriani, G.; Nuti, A.; Danti, S.; Picchi, L.; Di Fiorino, M. ’I am dead’: Cotard syndrome and dementia. Int. J. Psychiatry Clin. Pract. 2019, 23, 149–156. [Google Scholar] [CrossRef]
- Gama Marques, J. Still Regarding Schizophrenia, Secondary Schizophrenia, Pseudo-Schizophrenia, and Schizophrenia-Like Psychosis. Acta Med. Port. 2022, 35, 507. [Google Scholar] [CrossRef] [PubMed]
- Gama Marques, J. Organic Psychosis Causing Secondary Schizophrenia in One-Fourth of a Cohort of 200 Patients Previously Diagnosed With Primary Schizophrenia. Prim. Care Companion CNS Disord. 2020, 22, 19m02549. [Google Scholar] [CrossRef] [PubMed]
- Gama Marques, J.; Carnot, M.J. Huntington’s disease in a patient with 15-year history of Capgras delusion misdiagnosed as paranoid schizophrenia. Gen. Hosp. Psychiatry 2016, 39, 97–98. [Google Scholar] [CrossRef]
- Gama Marques, J. Mitsuda psychosis and holodysphrenia revisited: An atypical psychosis in a patient with parieto-occipital paroxysmal electroencephalographic activity and high unconjugated bilirubin. Psychiatry Clin. Neurosci. 2017, 71, 148–149. [Google Scholar] [CrossRef]
- Gama Marques, J. Twenty years of misdiagnosis of schizophrenia in a patient with Dandy-Walker variant syndrome. Gen. Psychiatry 2019, 32, e100031. [Google Scholar] [CrossRef]
- Ponte, A.; Brito, A.; Nóbrega, C.; Pinheiro, S.; Gama Marques, J. Catatonia in Anti-N-Methyl-D-Aspartate (NMDA) Receptor Encephalitis Misdiagnosed as Schizophrenia. Acta Med. Port. 2020, 2, 208–211. [Google Scholar] [CrossRef]
- Almeida E Melo, J.; Gama Marques, J. Olfactory reference plus Truman symptoms in one patient with Gilbert syndrome and antiphospholipid antibodies (Hughes disease) secondary to probable chronic Lyme neuroborreliosis. Psychol. Med. 2022, 1–2. in press. [Google Scholar] [CrossRef]
- Gama Marques, J. Temporal Lobe Epilepsy Mimicking Schizoaffective Disorder in Patients With Cavum Septi Pellucidi. Prim. Care Companion CNS Disord. 2020, 12, 20l02613. [Google Scholar] [CrossRef] [PubMed]
- Falkai, P. Differential diagnosis in acute psychotic episode. Int. Clin. Psychopharmacol. 1996, 11 (Suppl. S2), 13–17. [Google Scholar] [CrossRef]
- Freudenreich, O.; Schulz, S.C.; Goff, D.C. Initial medical work-up of first-episode psychosis: A conceptual review. Early Interv. Psychiatry 2009, 3, 10–18. [Google Scholar] [CrossRef] [PubMed]
- Munk-Jørgensen, P.; Nielsen, J.; Nielsen, R.E.; Stahl, S.M. Last episode psychosis. Acta Psychiatr. Scand. 2009, 119, 417–418. [Google Scholar] [CrossRef] [PubMed]
- Caruso, R.; Piro, A. Why in the age of CT scans and MRIs is a brain tumour mistaken for a psychiatric illness? BMJ Case Rep. 2017, 2017, bcr2017220131. [Google Scholar] [CrossRef]
- Gama Marques, J.; Bento, A. Schizophrenia: The great imitated (by many great imitators and small imitators). J. Clin. Neurosci. 2020, 80, 79. [Google Scholar] [CrossRef] [PubMed]

Disclaimer/Publisher’s Note: The statements, opinions and data contained in all publications are solely those of the individual author(s) and contributor(s) and not of MDPI and/or the editor(s). MDPI and/or the editor(s) disclaim responsibility for any injury to people or property resulting from any ideas, methods, instructions or products referred to in the content. |
© 2023 by the author. Licensee MDPI, Basel, Switzerland. This article is an open access article distributed under the terms and conditions of the Creative Commons Attribution (CC BY) license (https://creativecommons.org/licenses/by/4.0/).
Share and Cite
Gama Marques, J. Schizophrenia Misdiagnosis after Capgras and Cotard Delusions in a Patient with Infantile Cystinosis, Cavum Septi Pellucidi, Cavum Vergae and Cavum Veli Interpositi. Behav. Sci. 2023, 13, 157. https://doi.org/10.3390/bs13020157
Gama Marques J. Schizophrenia Misdiagnosis after Capgras and Cotard Delusions in a Patient with Infantile Cystinosis, Cavum Septi Pellucidi, Cavum Vergae and Cavum Veli Interpositi. Behavioral Sciences. 2023; 13(2):157. https://doi.org/10.3390/bs13020157
Chicago/Turabian StyleGama Marques, João. 2023. "Schizophrenia Misdiagnosis after Capgras and Cotard Delusions in a Patient with Infantile Cystinosis, Cavum Septi Pellucidi, Cavum Vergae and Cavum Veli Interpositi" Behavioral Sciences 13, no. 2: 157. https://doi.org/10.3390/bs13020157
APA StyleGama Marques, J. (2023). Schizophrenia Misdiagnosis after Capgras and Cotard Delusions in a Patient with Infantile Cystinosis, Cavum Septi Pellucidi, Cavum Vergae and Cavum Veli Interpositi. Behavioral Sciences, 13(2), 157. https://doi.org/10.3390/bs13020157
