Empirical Antibiotic Therapy in Chronic Endometritis With and Without Focal Lesions: A Prospective Cohort Study
Abstract
1. Introduction
2. Materials and Methods
2.1. Criteria for Participation in the Study
2.2. Preoperative Assessment and Ultrasound Imaging of the Uterine Cavity
2.3. Conducting the Office Hysteroscopy
2.4. Hysteroscopic Detection of Intrauterine Pathologies
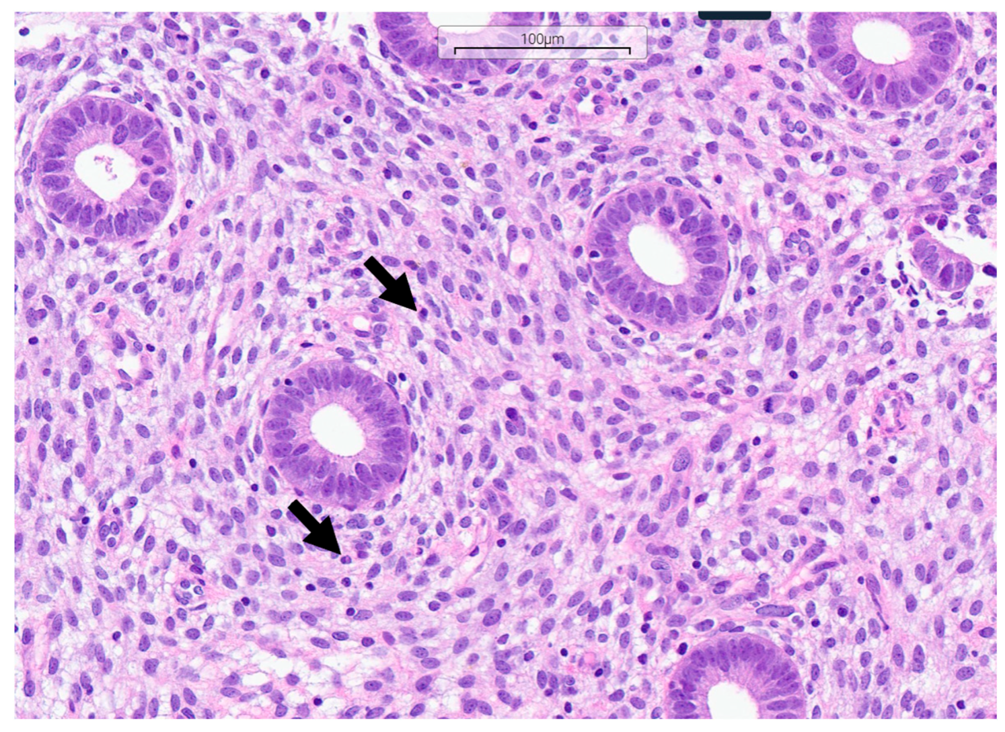
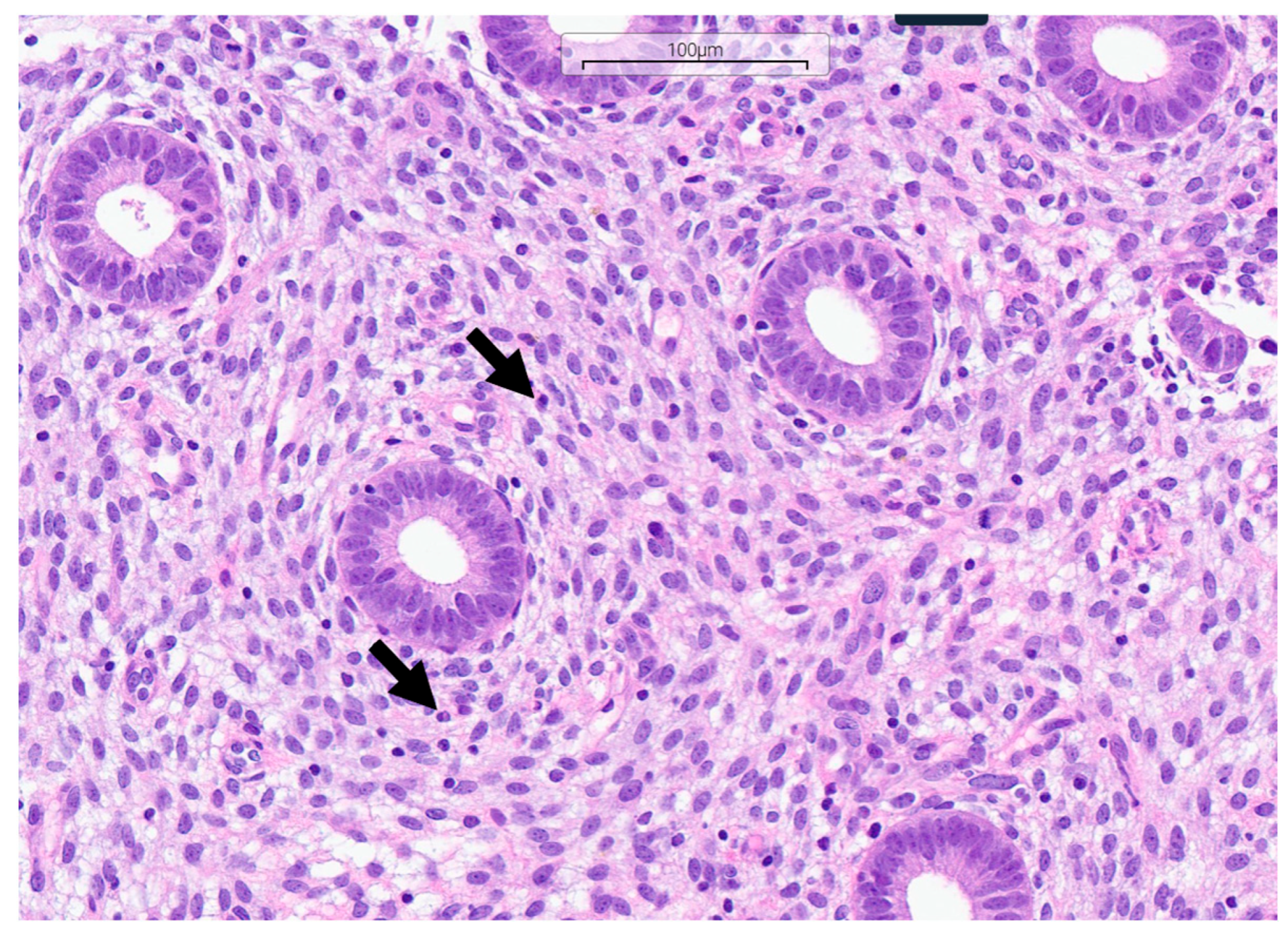
2.5. Histopathological Diagnostics
2.6. Empirical Antibiotic Therapy
2.7. Statistical Analysis
3. Results
4. Discussion
Author Contributions
Funding
Institutional Review Board Statement
Informed Consent Statement
Data Availability Statement
Conflicts of Interest
Abbreviations
| CE | chronic endometritis |
| RPL | recurrent pregnancy loss |
| RIF | recurrent implantation failure |
| OH | outpatient hysteroscopy |
| AUB | abnormal uterine bleeding |
| PCD | plasma cell density |
| CSD | cesarean scar defect |
| RT-PCR | real-time polymerase chain reaction |
| RPOCs | retained products of conception |
| HPF | high-power field |
| AUC | area under curve |
| ROC | receiver operating characteristic curve |
References
- Ticconi, C.; Inversetti, A.; Marraffa, S.; Campagnolo, L.; Arthur, J.; Zambella, E.; Di Simone, N. Chronic endometritis and recurrent reproductive failure: A systematic review and meta-analysis. Front. Immunol. 2024, 15, 1427454. [Google Scholar] [CrossRef]
- Vitagliano, A.; Saccardi, C.; Noventa, M.; Di Spiezio, A.S.; Saccone, G.; Cicinelli, E.; Pizzi, S.; Andrisani, A.; Litta, P.S. Effects of chronic endometritis therapy on in vitro fertilization outcome in women with repeated implantation failure: A systematic review and meta-analysis. Fertil. Steril. 2018, 110, 103–112.e1. [Google Scholar] [CrossRef]
- Espinós, J.J.; Fabregues, F.; Fontes, J.; García-Velasco, J.A.; Llácer, J.; Requena, A.; Checa, M.Á.; Bellver, J.; Spanish Infertility SWOT Group (SISG). Impact of chronic endometritis in infertility: A SWOT analysis. Reprod. Biomed. Online 2021, 42, 939–951. [Google Scholar] [CrossRef]
- Li, J.W.; Xv, H.; Wan, R.T. Bibliometric analysis of the global trends in immune-related recurrent pregnancy loss research over the last two decades. J. Obs. Gynaecol. Res. 2024, 50, 828–841. [Google Scholar] [CrossRef]
- Ravel, J.; Moreno, I.; Simón, C. Bacterial vaginosis and its association with infertility, endometritis, and pelvic inflammatory disease. Am. J. Obstet. Gynecol. 2021, 224, 251–257. [Google Scholar] [CrossRef]
- Zeng, S.; Liu, X.; Liu, D.; Song, W. Research update for the immune microenvironment of chronic endometritis. J. Reprod. Immunol. 2022, 152, 103637. [Google Scholar] [CrossRef] [PubMed]
- Kitaya, K.; Tada, Y.; Hayashi, T.; Taguchi, S.; Funabiki, M.; Nakamura, Y. Comprehensive endometrial immunoglobulin subclass analysis in infertile women suffering from repeated implantation failure with or without chronic endometritis. Am. J. Reprod. Immunol. 2014, 72, 386–391. [Google Scholar] [CrossRef] [PubMed]
- Tsonis, O.; Gkrozou, F.; Dimitriou, E.; Barmpalia, Z.; Tsonis, K.; Vatopoulou, A.; Paschopoulos, M. Hysteroscopic features suggestive of chronic endometritis: A systematic review. Hum. Fertil. 2023, 26, 1530–1543. [Google Scholar] [CrossRef] [PubMed]
- Moreno, I.; Cicinelli, E.; Garcia-Grau, I.; Gonzalez-Monfort, M.; Bau, D.; Vilella, F.; De Ziegler, D.; Resta, L.; Valbuena, D.; Simon, C. The diagnosis of chronic endometritis in infertile asymptomatic women: A comparative study of histology, microbial cultures, hysteroscopy, and molecular microbiology. Am. J. Obstet. Gynecol. 2018, 218, 602.e1–602.e16. [Google Scholar] [CrossRef]
- Song, D.; He, Y.; Wang, Y.; Liu, Z.; Xia, E.; Huang, X.; Xiao, Y.; Li, T.C. Impact of antibiotic therapy on the rate of negative test results for chronic endometritis: A prospective randomized control trial. Fertil Steril. 2021, 115, 1549–1556. [Google Scholar] [CrossRef]
- Cicinelli, E.; Vitagliano, A.; Kumar, A.; Lasmar, R.B.; Bettocchi, S.; Haimovich, S. International Working Group for Standardization of Chronic Endometritis Diagnosis. Unified diagnostic criteria for chronic endometritis at fluid hysteroscopy: Proposal and reliability evaluation through an international randomized-controlled observer study. Fertil Steril. 2019, 112, 162–173.e2. [Google Scholar] [CrossRef]
- Huang, W.; Liu, B.; He, Y.; Xie, Y.; Liang, T.; Bi, Y.; Yuan, L.; Qin, A.; Wang, Y.; Yang, Y. Variation of diagnostic criteria in women with chronic endometritis and its effect on reproductive outcomes: A systematic review and meta-analysis. J. Reprod. Immunol. 2020, 140, 103146. [Google Scholar] [CrossRef]
- R Core Team. R: A Language and Environment for Statistical Computing. R Foundation for Statistical Computing, Vienna, Austria. 2024. Available online: https://www.R-project.org/ (accessed on 10 April 2025).
- Kuroda, K.; Takamizawa, S.; Motoyama, H.; Tsutsumi, R.; Sugiyama, R.; Nakagawa, K.; Sugiyama, R.; Kuribayashi, Y. Analysis of the therapeutic effects of hysteroscopic polypectomy with and without doxycycline treatment on chronic endometritis with endometrial polyps. Am. J. Reprod. Immunol. 2021, 85, e13392. [Google Scholar] [CrossRef]
- Hu, N.; Ding, N.; Yang, Y.; Huo, H.; Liu, L.; Wang, F. If CE affects infertile women’s outcomes after surgery? Eur. J. Obstet. Gynecol. Reprod. Biol. 2024, 301, 82–86. [Google Scholar] [CrossRef] [PubMed]
- HogenEsch, E.; Hojjati, R.; Komorowski, A.; Maniar, K.; Pavone, M.E.; Bakkensen, J.; Bernardi, L. Chronic endometritis: Screening, treatment, and pregnancy outcomes in an academic fertility center. J. Assist. Reprod. Genet. 2023, 40, 2463–2471. [Google Scholar] [CrossRef] [PubMed]
- Kato, H.; Yamagishi, Y.; Hagihara, M.; Hirai, J.; Asai, N.; Shibata, Y.; Iwamoto, T.; Mikamo, H. Systematic review and meta-analysis for impacts of oral antibiotic treatment on pregnancy outcomes in chronic endometritis patients. J. Infect. Chemother. 2022, 28, 610–615. [Google Scholar] [CrossRef]
- Volodarsky-Perel, A.; Badeghiesh, A.; Shrem, G.; Steiner, N.; Tulandi, T. Chronic Endometritis in Fertile and Infertile Women Who Underwent Hysteroscopic Polypectomy. J. Minim. Invasive. Gynecol. 2020, 27, 1112–1118. [Google Scholar] [CrossRef]
- Cheng, X.; Huang, Z.; Xiao, Z.; Bai, Y. Does antibiotic therapy for chronic endometritis improve clinical outcomes of patients with recurrent implantation failure in subsequent IVF cycles? A systematic review and meta-analysis. J. Assist. Reprod. Genet. 2022, 39, 1797–1813. [Google Scholar] [CrossRef] [PubMed]
- Guo, J.; Li, Y.; Liu, S.; Ren, H. High prevalence of chronic endometritis is associated with metabolic abnormality and reduced live birth rate among IVF women with non-uniform endometrial echogenicity. Am. J. Reprod. Immunol. 2023, 90, e13771. [Google Scholar] [CrossRef]
- Guo, J.H.; Mi, H.X. Comment on: Does antibiotic therapy for chronic endometritis improve clinical outcomes of patients with recurrent implantation failure in subsequent IVF cycles? A systematic review and meta-analysis. J. Assist. Reprod. Genet. 2023, 40, 1225–1226. [Google Scholar] [CrossRef]
- Zhang, H.; Qiu, H.; Liu, Z.; Yu, S.; Chen, C.; Zeng, Y.; Li, Y. Endometrial preparation protocols did not impact pregnancy outcomes of patients with cured chronic endometritis. Reprod. Biomed. Online 2024, 48, 103753. [Google Scholar] [CrossRef]
- Cicinelli, E.; Matteo, M.; Trojano, G.; Mitola, P.C.; Tinelli, R.; Vitagliano, A.; Crupano, F.M.; Lepera, A.; Miragliotta, G.; Resta, L. Chronic endometritis in patients with unexplained infertility: Prevalence and effects of antibiotic treatment on spontaneous conception. Am. J. Reprod. Immunol. 2018, 79, e12782. [Google Scholar] [CrossRef] [PubMed]
- Gao, Y.; Xu, G.; Yang, M.; Chen, K.; Wang, Y. Risk factors of chronic endometritis in women who have undergone hysteroscopy: A prospective nested case-control study. Sci. Rep. 2024, 14, 18099. [Google Scholar] [CrossRef]
- Shiobara, K.; Kuroda, K.; Ishiyama, S.; Nakao, K.; Moriyama, A.; Horikawa, T.; Takamizawa, S.; Nojiri, S.; Nakagawa, K.; Sugiyama, R. Analysis of the Predictive Factors for Chronic Endometritis Recurrence in Infertile Women. Am. J. Reprod. Immunol. 2024, 92, e70002. [Google Scholar] [CrossRef]
- Riemma, G.; Parry, J.P.; De Franciscis, P.; Carugno, J.; Lettieri, D.; Cobellis, L.; Vitagliano, A.; Etrusco, A.; Lin, L.T.; Angioni, S.; et al. Hysteroscopic Criteria for the Diagnosis of Chronic Endometritis: A Systematic Review and Diagnostic Test Accuracy Meta-analysis. Am. J. Obstet. Gynecol. 2025, 233, 12–24.e4. [Google Scholar] [CrossRef] [PubMed]
- Liu, J.; Liu, Z.A.; Liu, Y.; Cheng, L.; Yan, L. Impact of antibiotic treatment for chronic endometritis on pregnancy outcomes in women with reproductive failures (RIF and RPL): A systematic review and meta-analysis. Front Med. 2022, 9, 980511. [Google Scholar] [CrossRef] [PubMed]
- Vitagliano, A.; Laganà, A.S.; De Ziegler, D.; Cicinelli, R.; Santarsiero, C.M.; Buzzaccarini, G.; Chiantera, V.; Cicinelli, E.; Marinaccio, M. Chronic Endometritis in Infertile Women: Impact of Untreated Disease, Plasma Cell Count and Antibiotic Therapy on IVF Outcome-A Systematic Review and Meta-Analysis. Diagnostics 2022, 12, 2250. [Google Scholar] [CrossRef]
- Gawron, I.; Derbisz, K.; Jach, R.; Trojnarska, D.; Milian-Ciesielska, K.; Pietrus, M. Pelvic peritoneal endometriosis is linked to the endometrial inflammatory profile: A prospective cohort study. BMC Womens Health 2025, 25, 94. [Google Scholar] [CrossRef]
- Murtinger, M.; Wirleitner, B.; Spitzer, D.; Bralo, H.; Miglar, S.; Schuff, M. Diagnosing chronic endometritis: When simplification fails to clarify. Hum. Reprod. Open 2022, 2022, hoac023. [Google Scholar] [CrossRef]



| Variable | Antibiotic Therapy | p | |||
|---|---|---|---|---|---|
| No (N = 26) | Yes (N = 76) | Total (N = 102) | |||
| Age [years] | Mean (SD) | 33.96 (5.9) | 35.13 (4.46) | 34.83 (4.86) | p = 0.372 |
| Median (quartiles) | 34.5 (31–36) | 35 (32–38) | 35 (32–38) | ||
| Range | 22–44 | 24–45 | 22–45 | ||
| n | 26 | 76 | 102 | ||
| Abnormal uterine bleeding | No | 8 (30.77%) | 39 (51.32%) | 47 (46.08%) | p = 0.113 |
| Yes | 18 (69.23%) | 37 (48.68%) | 55 (53.92%) | ||
| Heavy menstrual bleeding | No | 11 (42.31%) | 50 (65.79%) | 61 (59.80%) | p = 0.061 |
| Yes | 15 (57.69%) | 26 (34.21%) | 41 (40.20%) | ||
| Intermenstrual bleeding | No | 19 (73.08%) | 59 (77.63%) | 78 (76.47%) | p = 0.838 |
| Yes | 7 (26.92%) | 17 (22.37%) | 24 (23.53%) | ||
| Dysmenorrhea | No | 21 (80.77%) | 58 (76.32%) | 79 (77.45%) | p = 0.844 |
| Yes | 5 (19.23%) | 18 (23.68%) | 23 (22.55%) | ||
| Pelvic pain syndrome | No | 25 (96.15%) | 75 (98.68%) | 100 (98.04%) | p = 0.447 |
| Yes | 1 (3.85%) | 1 (1.32%) | 2 (1.96%) | ||
| Infertility | No | 17 (65.38%) | 11 (14.47%) | 28 (27.45%) | p < 0.001 * |
| Primary | 5 (19.23%) | 22 (28.95%) | 27 (26.47%) | ||
| Secondary | 4 (15.38%) | 43 (56.58%) | 47 (46.08%) | ||
| Pregnancies | Mean (SD) | 1.04 (1.11) | 1.2 (1.33) | 1.16 (1.27) | p = 0.729 |
| Median (quartiles) | 1 (0–2) | 1 (0–2) | 1 (0–2) | ||
| Range | 0–3 | 0–5 | 0–5 | ||
| n | 26 | 76 | 102 | ||
| Childbirths | Mean (SD) | 0.81 (1.02) | 0.42 (0.66) | 0.52 (0.78) | p = 0.1 |
| Median (quartiles) | 0 (0–1.75) | 0 (0–1) | 0 (0–1) | ||
| Range | 0–3 | 0–2 | 0–3 | ||
| n | 26 | 76 | 102 | ||
| Miscarriages | Mean (SD) | 0.23 (0.65) | 0.78 (1.09) | 0.64 (1.02) | p = 0.005 * |
| Median (quartiles) | 0 (0–0) | 0 (0–1) | 0 (0–1) | ||
| Range | 0–2 | 0–5 | 0–5 | ||
| n | 26 | 76 | 102 | ||
| US Polyp | No | 6 (23.08%) | 50 (65.79%) | 56 (54.90%) | p < 0.001 * |
| Yes | 20 (76.92%) | 26 (34.21%) | 46 (45.10%) | ||
| US Polypoid endometrium | No | 23 (88.46%) | 70 (92.11%) | 93 (91.18%) | p = 0.69 |
| Yes | 3 (11.54%) | 6 (7.89%) | 9 (8.82%) | ||
| US Submucosal myoma | No | 25 (96.15%) | 75 (98.68%) | 100 (98.04%) | p = 0.447 |
| Yes | 1 (3.85%) | 1 (1.32%) | 2 (1.96%) | ||
| US Cesarean scar defect | No | 23 (88.46%) | 68 (89.47%) | 91 (89.22%) | p = 1 |
| Yes | 3 (11.54%) | 8 (10.53%) | 11 (10.78%) | ||
| H1 Polyp | No | 7 (26.92%) | 49 (64.47%) | 56 (54.90%) | p = 0.002 * |
| Yes | 19 (73.08%) | 27 (35.53%) | 46 (45.10%) | ||
| H1 Polypoid endometrium | No | 18 (69.23%) | 45 (59.21%) | 63 (61.76%) | p = 0.5 |
| Yes | 8 (30.77%) | 31 (40.79%) | 39 (38.24%) | ||
| H1 Micropolyps | No | 24 (92.31%) | 57 (75.00%) | 81 (79.41%) | p = 0.109 |
| Yes | 2 (7.69%) | 19 (25.00%) | 21 (20.59%) | ||
| H1 Endometrial edema | No | 26 (100.00%) | 75 (98.68%) | 101 (99.02%) | p = 1 |
| Yes | 0 (0.00%) | 1 (1.32%) | 1 (0.98%) | ||
| H1 Focal hyperemia | No | 20 (76.92%) | 51 (67.11%) | 71 (69.61%) | p = 0.489 |
| Yes | 6 (23.08%) | 25 (32.89%) | 31 (30.39%) | ||
| H1 Diffuse hyperemia | No | 22 (84.62%) | 60 (78.95%) | 82 (80.39%) | p = 0.732 |
| Yes | 4 (15.38%) | 16 (21.05%) | 20 (19.61%) | ||
| H1 Retained products of conception | No | 26 (100.00%) | 75 (98.68%) | 101 (99.02%) | p = 1 |
| Yes | 0 (0.00%) | 1 (1.32%) | 1 (0.98%) | ||
| H1 Intrauterine adhesions | No | 25 (96.15%) | 72 (94.74%) | 97 (95.10%) | p = 1 |
| Yes | 1 (3.85%) | 4 (5.26%) | 5 (4.90%) | ||
| H1 Cesarean scar defect | No | 22 (84.62%) | 67 (88.16%) | 89 (87.25%) | p = 0.735 |
| Yes | 4 (15.38%) | 9 (11.84%) | 13 (12.75%) | ||
| H1 Submucosal adenomyosis | No | 26 (100.00%) | 69 (90.79%) | 95 (93.14%) | p = 0.186 |
| Yes | 0 (0.00%) | 7 (9.21%) | 7 (6.86%) | ||
| H1 Endometrial elevation | No | 24 (92.31%) | 72 (94.74%) | 96 (94.12%) | p = 0.643 |
| Yes | 2 (7.69%) | 4 (5.26%) | 6 (5.88%) | ||
| Yes | 11 (42.31%) | 20 (26.32%) | 31 (30.39%) | ||
| H1 Plasmocytes [n/1HPF] | Mean (SD) | 12.35 (18.12) | 11.83 (19.35) | 11.96 (18.95) | p = 0.377 |
| Median (quartiles) | 8 (4–12.75) | 5 (3–10.25) | 5.5 (3–11) | ||
| Range | 1–94 | 1–126 | 1–126 | ||
| n | 26 | 76 | 102 | ||
| H1 Lymphocytic infiltration | No | 17 (65.38%) | 49 (64.47%) | 66 (64.71%) | p = 1 |
| Yes | 9 (34.62%) | 27 (35.53%) | 36 (35.29%) | ||
| H1 Macrophages | No | 22 (84.62%) | 56 (73.68%) | 78 (76.47%) | p = 0.386 |
| Yes | 4 (15.38%) | 20 (26.32%) | 24 (23.53%) | ||
| H1 Granulocytes | No | 24 (92.31%) | 75 (98.68%) | 99 (97.06%) | p = 0.159 |
| Yes | 2 (7.69%) | 1 (1.32%) | 3 (2.94%) | ||
| H1 Spindled transformation and/or elongation of stromal cells and edema | No | 21 (80.77%) | 59 (77.63%) | 80 (78.43%) | p = 0.952 |
| Yes | 5 (19.23%) | 17 (22.37%) | 22 (21.57%) | ||
| H1 Stromal edema and stromal cell compaction | No | 25 (96.15%) | 59 (77.63%) | 84 (82.35%) | p = 0.037 * |
| Yes | 1 (3.85%) | 17 (22.37%) | 18 (17.65%) | ||
| H1 Edema only | No | 23 (88.46%) | 67 (88.16%) | 90 (88.24%) | p = 1 |
| Yes | 3 (11.54%) | 9 (11.84%) | 12 (11.76%) | ||
| Hysteroscopic Diagnosis | No Antibiotic Therapy | Antibiotic Therapy | Total | |||||||||
|---|---|---|---|---|---|---|---|---|---|---|---|---|
| Polyp | H1: No (N = 7) | H1: Yes (N = 19) | H1: No (N = 46) | H1: Yes (N = 27) | H1: No (N = 53) | H1: Yes (N = 47) | ||||||
| H2: No | 7 (100.00%) | 17 (89.47%) | p < 0.001 * | H2: No | 44 (95.65%) | 21 (77.78%) | p < 0.001 * | H2: No | 51 (96.23%) | 38 (80.85%) | p < 0.001 * | |
| H2: Yes | 0 (0.00%) | 2 (10.53%) | H2: Yes | 2 (4.35%) | 6 (22.22%) | H2: Yes | 2 (3.77%) | 9 (19.15%) | ||||
| Polypoid endometrium | H1: No (N = 18) | H1: Yes (N = 8) | H1: No (N = 44) | H1: Yes (N = 29) | H1: No (N = 62) | H1: Yes (N = 38) | ||||||
| H2: No | 9 (50.00%) | 5 (62.50%) | p = 0.423 | H2: No | 33 (75.00%) | 16 (55.17%) | p = 0.441 | H2: No | 42 (67.74%) | 21 (55.26%) | p = 1 | |
| H2: Yes | 9 (50.00%) | 3 (37.50%) | H2: Yes | 11 (25.00%) | 13 (44.83%) | H2: Yes | 20 (32.26%) | 17 (44.74%) | ||||
| Micropolyps | H1: No (N = 24) | H1: Yes (N = 2) | H1: No (N = 57) | H1: Yes (N = 19) | H1: No (N = 81) | H1: Yes (N = 22) | ||||||
| H2: No | 18 (75.00%) | 1 (50.00%) | p = 0.131 | H2: No | 49 (85.96%) | 12 (63.16%) | p = 0.502 | H2: No | 67 (82.72%) | 13 (59.09%) | p = 1 | |
| H2: Yes | 6 (25.00%) | 1 (50.00%) | H2: Yes | 8 (14.04%) | 7 (36.84%) | H2: Yes | 14 (17.28%) | 9 (40.91%) | ||||
| Focal hyperemia | H1: No (N = 20) | H1: Yes (N = 6) | H1: No (N = 50) | H1: Yes (N = 23) | H1: No (N = 71) | H1: Yes (N = 29) | ||||||
| H2: No | 13 (65.00%) | 5 (83.33%) | p = 0.773 | H2: No | 38 (76.00%) | 18 (78.26%) | p = 0.361 | H2: No | 52 (73.24%) | 23 (79.31%) | p = 0.643 | |
| H2: Yes | 7 (35.00%) | 1 (16.67%) | H2: Yes | 12 (24.00%) | 5 (21.74%) | H2: Yes | 19 (26.76%) | 6 (20.69%) | ||||
| Diffuse hyperemia | H1: No (N = 22) | H1: Yes (N = 4) | H1: No (N = 58) | H1: Yes (N = 15) | H1: No (N = 81) | H1: Yes (N = 19) | ||||||
| H2: No | 22 (100.00%) | 4 (100.00%) | p = 0.134 | H2: No | 54 (93.10%) | 14 (93.33%) | p = 0.034 * | H2: No | 76 (93.83%) | 18 (94.74%) | p = 0.012 * | |
| H2: Yes | 0 (0.00%) | 0 (0.00%) | H2: Yes | 4 (6.90%) | 1 (6.67%) | H2: Yes | 5 (6.17%) | 1 (5.26%) | ||||
| Intrauterine adhesions | H1: No (N = 25) | H1: Yes (N = 1) | H1: No (N = 69) | H1: Yes (N = 4) | H1: No (N = 95) | H1: Yes (N = 5) | ||||||
| H2: No | 25 (100.00%) | 1 (100.00%) | p = 1 | H2: No | 69 (100.00%) | 3 (75.00%) | p = 0.248 | H2: No | 95 (100.00%) | 4 (80.00%) | p = 0.134 | |
| H2: Yes | 0 (0.00%) | 0 (0.00%) | H2: Yes | 0 (0.00%) | 1 (25.00%) | H2: Yes | 0 (0.00%) | 1 (20.00%) | ||||
| Endometrial elevation | H1: No (N = 24) | H1: Yes (N = 2) | H1: No (N = 69) | H1: Yes (N = 4) | H1: No (N = 94) | H1: Yes (N = 6) | ||||||
| H2: No | 23 (95.83%) | 2 (100.00%) | p = 1 | H2: No | 64 (92.75%) | 4 (100.00%) | p = 1 | H2: No | 88 (93.62%) | 6 (100.00%) | p = 1 | |
| H2: Yes | 1 (4.17%) | 0 (0.00%) | H2: Yes | 5 (7.25%) | 0 (0.00%) | H2: Yes | 6 (6.38%) | 0 (0.00%) | ||||
| Endometrial edema | Not applicable a | H1: No (N = 72) | H1: Yes (N = 1) | H1: No (N = 99) | H1: Yes (N = 1) | |||||||
| H2: No | 72 (100.00%) | 1 (100.00%) | p = 1 | H2: No | 99 (100.00%) | 1 (100.00%) | p = 1 | |||||
| H2: Yes | 0 (0.00%) | 0 (0.00%) | H2: Yes | 0 (0.00%) | 0 (0.00%) | |||||||
| Retained products of conception | Not applicable a | H1: No (N = 72) | H1: Yes (N = 1) | H1: No (N = 99) | H1: Yes (N = 1) | |||||||
| H2: No | 72 (100.00%) | 1 (100.00%) | p = 1 | H2: No | 99 (100.00%) | 1 (100.00%) | p = 1 | |||||
| H2: Yes | 0 (0.00%) | 0 (0.00%) | H2: Yes | 0 (0.00%) | 0 (0.00%) | |||||||
| Hysteroscopic Diagnosis | Plasma Cell Density [n/1 HPF] | No Antibiotic Therapy | Antibiotic Therapy | Total | ||||||
|---|---|---|---|---|---|---|---|---|---|---|
| H1 | H2 | p | H1 | H2 | p | H1 | H2 | p | ||
| Polyp + no features of CE + no CSD | mean ± SD | 11.36 ± 9.62 | 5 ± 8.92 | p = 0.023 * | 12.6 ± 7.33 | 6.2 ± 5.76 | p = 0.176 | 11.75 ± 8.74 | 5.38 ± 7.89 | p = 0.009 * |
| median | 8 | 2 | 8 | 5 | 8 | 2 | ||||
| quartiles | 4–17 | 0.5–4 | 8–16 | 2–10 | 4.75–16.75 | 0.75–7 | ||||
| Polyp + features of CE + no CSD | mean ± SD | 6.8 ± 3.96 | 11.2 ± 8.23 | p = 0.784 | 15.32 ± 20.21 | 7.21 ± 13.58 | p = 0.033 * | 13.12 ± 18.04 | 7.76 ± 12.42 | p = 0.082 |
| median | 6 | 12 | 7 | 4 | 6 | 5 | ||||
| quartiles | 4–8 | 5–14 | 3.5–20 | 0–6.5 | 3–13 | 1–8 | ||||
| Features of CE + no polyp/CSD | mean ± SD | 5.8 ± 4.55 | 3 ± 2.35 | p = 0.265 | 7.08 ± 12.61 | 3.41 ± 4.24 | p = 0.018 * | 6.93 ± 11.91 | 3.36 ± 4.03 | p = 0.009 * |
| median | 4 | 2 | 4 | 2 | 4 | 2 | ||||
| quartiles | 3–9 | 1–5 | 2–6 | 0–4 | 2–6 | 0–4.5 | ||||
| CSD | mean ± SD | 31.25 ± 42.07 | 4.75 ± 7.63 | p = 0.375 | 12.78 ± 8.18 | 8.11 ± 10.83 | p = 0.26 | 18.46 ± 23.79 | 7.08 ± 9.77 | p = 0.116 |
| median | 13 | 1.5 | 10 | 3 | 10 | 3 | ||||
| quartiles | 8.75–35.5 | 0–6.25 | 5–19 | 1–10 | 5–19 | 1–10 | ||||
| No intrauterine lesions | mean ± SD | Not applicable a | 28 ± 48.16 | 6 ± 7.24 | p = 0.4 | 25.14 ± 44.61 | 5.71 ± 6.65 | p = 0.268 | ||
| median | 10.5 | 4.5 | 10 | 4 | ||||||
| quartiles | 6.25–12.5 | 1.75–5.75 | 6.5–12 | 2.5–5.5 | ||||||
| Symptoms | Plasma Cell Density [n/1 HPF] | No Antibiotic Therapy | Antibiotic Therapy | Total | ||||||
|---|---|---|---|---|---|---|---|---|---|---|
| H1 | H2 | p | H1 | H2 | p | H1 | H2 | p | ||
| No abnormal uterine bleeding | mean ± SD | 10.38 ± 8.91 | 4.12 ± 4.39 | p = 0.107 | 12.15 ± 22.64 | 4.14 ± 5.33 | p = 0.006 * | 11.85 ± 20.88 | 4.14 ± 5.12 | p < 0.001 * |
| median | 7 | 3 | 5 | 2 | 5 | 2 | ||||
| quartiles | 4–12.75 | 1.75–5 | 3–10 | 0–6 | 3–10 | 0–5.25 | ||||
| Heavy menstrual bleeding | mean ± SD | 8.09 ± 7.58 | 8.45 ± 10.33 | p = 1 | 14.16 ± 20.1 | 6.53 ± 13.7 | p = 0.012 * | 11.93 ± 16.72 | 7.23 ± 12.42 | p = 0.033 * |
| median | 5 | 2 | 6 | 1 | 6 | 2 | ||||
| quartiles | 3–9.5 | 1–13.5 | 4–15 | 0–6 | 3.25–10.75 | 1–9.25 | ||||
| Intermenstrual bleeding | mean ± SD | 8.67 ± 5.13 | 5 ± 6.24 | p = 0.25 | 5.9 ± 3.51 | 6.1 ± 3.9 | p = 1 | 6.29 ± 3.85 | 5.5 ± 4.29 | p = 0.325 |
| median | 10 | 3 | 5 | 5 | 5 | 4 | ||||
| quartiles | 6.5–11.5 | 1.5–7.5 | 5–6.5 | 3.25–8 | 3.5–8.5 | 2.25–8 | ||||
| Heavy and intermenstrual bleeding | mean ± SD | 30.75 ± 42.42 | 2 ± 2.83 | p = 0.125 | 13.71 ± 10 | 8.43 ± 11.75 | p = 0.297 | 19.91 ± 25.96 | 6.09 ± 9.78 | p = 0.056 |
| median | 12 | 1 | 16 | 5 | 16 | 2 | ||||
| quartiles | 7.25–35.5 | 0–3 | 5–22 | 2–8 | 6–22 | 1–6 | ||||
| Regardless of abnormal uterine bleeding | mean ± SD | 12.35 ± 18.12 | 5.73 ± 7.65 | p = 0.031 * | 11.83 ± 19.35 | 5.38 ± 8.75 | p < 0.001 * | 11.87 ± 18.88 | 5.43 ± 8.41 | p < 0.001 * |
| median | 8 | 2 | 5 | 3 | 5 | 2.5 | ||||
| quartiles | 4–12.75 | 1–6 | 3–10.25 | 0–7 | 3–11 | 0.75–6.25 | ||||
| Histopathological Feature | No Antibiotic Therapy | Antibiotic Therapy | Total | |||||||||
|---|---|---|---|---|---|---|---|---|---|---|---|---|
| Lymphocytic infiltration | H1: No (N = 17) | H1: Yes (N = 9) | H1: No (N = 49) | H1: Yes (N = 27) | H1: No (N = 66) | H1: Yes (N = 37) | ||||||
| H2: No | 15 (88.24%) | 6 (66.67%) | p = 0.289 | H2: No | 32 (65.31%) | 19 (70.37%) | p = 0.868 | H2: No | 47 (71.21%) | 26 (70.27%) | p = 0.371 | |
| H2: Yes | 2 (11.76%) | 3 (33.33%) | H2: Yes | 17 (34.69%) | 8 (29.63%) | H2: Yes | 19 (28.79%) | 11 (29.73%) | ||||
| Macrophages | H1: No (N = 22) | H1: Yes (N = 4) | H1: No (N = 56) | H1: Yes (N = 20) | H1: No (N = 79) | H1: Yes (N = 24) | ||||||
| H2: No | 19 (86.36%) | 3 (75.00%) | p = 1 | H2: No | 37 (66.07%) | 17 (85.00%) | p = 0.868 | H2: No | 57 (72.15%) | 20 (83.33%) | p = 0.877 | |
| H2: Yes | 3 (13.64%) | 1 (25.00%) | H2: Yes | 19 (33.93%) | 3 (15.00%) | H2: Yes | 22 (27.85%) | 4 (16.67%) | ||||
| Granulocytes | H1: No (N = 24) | H1: Yes (N = 2) | H1: No (N = 75) | H1: Yes (N = 1) | H1: No (N = 100) | H1: Yes (N = 3) | ||||||
| H2: No | 24 (100.00%) | 2 (100.00%) | p = 0.48 | H2: No | 74 (98.67%) | 1 (100.00%) | p = 1 | H2: No | 99 (99.00%) | 3 (100.00%) | p = 0.617 | |
| H2: Yes | 0 (0.00%) | 0 (0.00%) | H2: Yes | 1 (1.33%) | 0 (0.00%) | H2: Yes | 1 (1.00%) | 0 (0.00%) | ||||
| Spindled transformation and/ or elongation of stromal cells and edema | H1: No (N = 21) | H1: Yes (N = 5) | H1: No (N = 59) | H1: Yes (N = 17) | H1: No (N = 81) | H1: Yes (N = 22) | ||||||
| H2: No | 15 (71.43%) | 4 (80.00%) | p = 0.752 | H2: No | 41 (69.49%) | 14 (82.35%) | p = 0.596 | H2: No | 57 (70.37%) | 18 (81.82%) | p = 0.44 | |
| H2: Yes | 6 (28.57%) | 1 (20.00%) | H2: Yes | 18 (30.51%) | 3 (17.65%) | H2: Yes | 24 (29.63%) | 4 (18.18%) | ||||
| Stromal edema and stromal cell compaction | H1: No (N = 25) | H1: Yes (N = 1) | H1: No (N = 59) | H1: Yes (N = 17) | H1: No (N = 84) | H1: Yes (N = 19) | ||||||
| H2: No | 24 (96.00%) | 1 (100.00%) | p = 1 | H2: No | 55 (93.22%) | 16 (94.12%) | p = 0.014 * | H2: No | 79 (94.05%) | 18 (94.74%) | p = 0.012 * | |
| H2: Yes | 1 (4.00%) | 0 (0.00%) | H2: Yes | 4 (6.78%) | 1 (5.88%) | H2: Yes | 5 (5.95%) | 1 (5.26%) | ||||
| Edema only | H1: No (N = 23) | H1: Yes (N = 3) | H1: No (N = 67) | H1: Yes (N = 9) | H1: No (N = 91) | H1: Yes (N = 12) | ||||||
| H2: No | 22 (95.65%) | 3 (100.00%) | p = 0.617 | H2: No | 48 (71.64%) | 6 (66.67%) | p = 0.016 * | H2: No | 70 (76.92%) | 9 (75.00%) | p = 0.045 * | |
| H2: Yes | 1 (4.35%) | 0 (0.00%) | H2: Yes | 19 (28.36%) | 3 (33.33%) | H2: Yes | 21 (23.08%) | 3 (25.00%) | ||||
| Variable | Group | Plasma Cell Density [n/1 HPF] | p | ||||||
|---|---|---|---|---|---|---|---|---|---|
| Mean | SD | Median | Min | Max | Q1 | Q3 | |||
| Abnormal uterine bleeding | No (N = 47) | 11.85 | 20.88 | 5.0 | 2 | 126 | 3.00 | 10.00 | p = 0.561 |
| Yes (N = 56) | 11.89 | 17.21 | 6.0 | 1 | 94 | 3.00 | 13.25 | ||
| Heavy menstrual bleeding | No (N = 62) | 10.42 | 18.41 | 5.0 | 1 | 126 | 3.00 | 10.00 | p = 0.153 |
| Yes (N = 41) | 14.07 | 19.59 | 8.0 | 1 | 94 | 4.00 | 19.00 | ||
| Intermenstrual bleeding | No (N = 78) | 11.74 | 19.17 | 5.0 | 1 | 126 | 3.00 | 10.00 | p = 0.465 |
| Yes (N = 25) | 12.28 | 18.34 | 7.0 | 1 | 94 | 5.00 | 14.00 | ||
| Dysmenorrhea | No (N = 80) | 11.39 | 18.29 | 5.5 | 1 | 126 | 3.00 | 11.00 | p = 0.965 |
| Yes (N = 23) | 13.57 | 21.17 | 5.0 | 1 | 85 | 3.50 | 13.00 | ||
| Pelvic pain syndrome | No (N = 101) | 12.01 | 19.04 | 5.0 | 1 | 126 | 3.00 | 11.00 | p = 0.573 |
| Yes (N = 2) | 5.00 | 2.83 | 5.0 | 3 | 7 | 4.00 | 6.00 | ||
| Infertility | No (N = 29) | 10.90 | 17.14 | 5.0 | 1 | 94 | 4.00 | 10.00 | p = 0.83 |
| Primary (N = 27) | 9.81 | 9.31 | 7.0 | 1 | 43 | 4.00 | 12.50 | ||
| Secondary (N = 47) | 13.66 | 23.59 | 5.0 | 1 | 126 | 3.00 | 10.50 | ||
| US Polyp | No (N = 56) | 12.16 | 21.80 | 5.0 | 1 | 126 | 3.00 | 10.00 | p = 0.13 |
| Yes (N = 47) | 11.53 | 14.90 | 7.0 | 1 | 94 | 4.00 | 14.50 | ||
| US Polypoid endometrium | No (N = 94) | 12.30 | 19.59 | 6.0 | 1 | 126 | 3.00 | 11.00 | p = 0.392 |
| Yes (N = 9) | 7.44 | 7.63 | 4.0 | 1 | 25 | 3.00 | 10.00 | ||
| US Submucosal myoma | No (N = 101) | 11.97 | 19.05 | 5.0 | 1 | 126 | 3.00 | 11.00 | p = 0.952 |
| Yes (N = 2) | 7.00 | 4.24 | 7.0 | 4 | 10 | 5.50 | 8.50 | ||
| US Cesarean scar defect | No (N = 92) | 11.01 | 17.90 | 5.0 | 1 | 126 | 3.00 | 10.00 | p = 0.019 * |
| Yes (N = 11) | 19.09 | 25.62 | 10.0 | 4 | 94 | 7.00 | 17.50 | ||
| H1 Polyp | No (N = 56) | 9.91 | 19.18 | 5.0 | 1 | 126 | 3.00 | 9.00 | p = 0.009 * |
| Yes (N = 47) | 14.21 | 18.45 | 8.0 | 2 | 94 | 4.00 | 17.50 | ||
| H1 Polypoid endometrium | No (N = 63) | 12.48 | 20.23 | 6.0 | 1 | 126 | 4.00 | 12.00 | p = 0.437 |
| Yes (N = 40) | 10.93 | 16.75 | 5.0 | 1 | 94 | 3.00 | 10.25 | ||
| H1 Micropolyps | No (N = 81) | 13.06 | 20.60 | 6.0 | 1 | 126 | 4.00 | 13.00 | p = 0.095 |
| Yes (N = 22) | 7.50 | 9.45 | 5.0 | 1 | 43 | 3.00 | 7.00 | ||
| H1 Endometrial edema | No (N = 102) | 11.97 | 18.95 | 5.5 | 1 | 126 | 3.00 | 11.00 | p = 0.151 |
| Yes (N = 1) | 2.00 | 2.0 | 2 | 2 | 2.00 | 2.00 | |||
| H1 Focal hyperemia | No (N = 72) | 13.10 | 20.66 | 6.5 | 1 | 126 | 3.75 | 13.50 | p = 0.186 |
| Yes (N = 31) | 9.03 | 13.80 | 5.0 | 1 | 70 | 3.00 | 8.50 | ||
| H1 Diffuse hyperemia | No (N = 83) | 12.77 | 20.65 | 6.0 | 1 | 126 | 4.00 | 11.50 | p = 0.417 |
| Yes (N = 20) | 8.15 | 7.44 | 4.5 | 2 | 25 | 3.00 | 10.25 | ||
| H1 Retained products of conception | No (N = 102) | 11.98 | 18.94 | 5.5 | 1 | 126 | 3.00 | 11.00 | p = 0.095 |
| Yes (N = 1) | 1.00 | 1.0 | 1 | 1 | 1.00 | 1.00 | |||
| H1 Intrauterine adhesions | No (N = 98) | 12.30 | 19.26 | 6.0 | 1 | 126 | 3.25 | 11.75 | p = 0.078 |
| Yes (N = 5) | 3.60 | 1.95 | 3.0 | 1 | 6 | 3.00 | 5.00 | ||
| H1 Cesarean scar defect | No (N = 90) | 10.92 | 18.03 | 5.0 | 1 | 126 | 3.00 | 10.00 | p = 0.011 * |
| Yes (N = 13) | 18.46 | 23.79 | 10.0 | 4 | 94 | 5.00 | 19.00 | ||
| H1 Submucosal adenomyosis | No (N = 96) | 11.38 | 17.92 | 5.0 | 1 | 126 | 3.00 | 11.00 | p = 0.969 |
| Yes (N = 7) | 18.71 | 30.29 | 6.0 | 2 | 85 | 3.00 | 16.00 | ||
| H1 Endometrial elevation | No (N = 97) | 12.29 | 19.37 | 6.0 | 1 | 126 | 3.00 | 12.00 | p = 0.42 |
| Yes (N = 6) | 5.17 | 2.93 | 5.0 | 1 | 10 | 4.25 | 5.75 | ||
| Histopathological Feature | Group | Plasma Cell Density [n/1 HPF] | p | ||||||
|---|---|---|---|---|---|---|---|---|---|
| Mean | SD | Median | Min | Max | Q1 | Q3 | |||
| H1 Lymphocytic infiltration | No (N = 66) | 10.41 | 14.77 | 5.0 | 2 | 94 | 3.00 | 10.00 | p = 0.469 |
| Yes (N = 37) | 14.49 | 24.61 | 6.0 | 1 | 126 | 4.00 | 12.00 | ||
| H1 Macrophages | No (N = 79) | 11.70 | 18.92 | 5.0 | 2 | 126 | 3.00 | 10.50 | p = 0.86 |
| Yes (N = 24) | 12.46 | 19.16 | 6.0 | 1 | 85 | 3.75 | 11.25 | ||
| H1 Granulocytes | No (N = 100) | 11.99 | 19.10 | 5.5 | 1 | 126 | 3.00 | 11.00 | p = 0.522 |
| Yes (N = 3) | 8.00 | 9.64 | 4.0 | 1 | 19 | 2.50 | 11.50 | ||
| H1 Spindled transformation and/or elongation of stromal cells with edema | No (N = 81) | 8.70 | 9.84 | 5.0 | 1 | 70 | 3.00 | 10.00 | p = 0.022 * |
| Yes (N = 22) | 23.55 | 34.37 | 8.0 | 1 | 126 | 5.25 | 17.25 | ||
| H1 Stromal edema and stromal cell compaction | No (N = 84) | 13.18 | 20.57 | 6.0 | 1 | 126 | 4.00 | 12.00 | p = 0.069 |
| Yes (N = 19) | 6.11 | 5.09 | 4.0 | 2 | 20 | 3.00 | 7.50 | ||
| H1 Edema only | No (N = 91) | 12.35 | 19.85 | 6.0 | 1 | 126 | 3.00 | 11.00 | p = 0.628 |
| Yes (N = 12) | 8.25 | 8.02 | 4.5 | 2 | 25 | 3.75 | 8.25 | ||
| Parameter | Antibiotic Use | p | ||||
|---|---|---|---|---|---|---|
| No (N = 9) | Yes (N = 65) | Total (N = 74) | ||||
| Any type of infertility | Post-hysteroscopy pregnancy | No pregnancy | 3 (33.33%) | 37 (56.92%) | 40 (54.05%) | p = 0.204 |
| Live birth | 5 (55.56%) | 25 (38.46%) | 30 (40.54%) | |||
| Spontaneous miscarriage | 1 (11.11%) | 3 (4.62%) | 4 (5.41%) | |||
| Post-hysteroscopy pregnancy | No pregnancy | 3 (33.33%) | 37 (56.92%) | 40 (54.05%) | p = 0.286 | |
| Pregnancy | 6 (66.67%) | 28 (43.08%) | 34 (45.95%) | |||
| IVF | No | 7 (77.78%) | 39 (60.00%) | 46 (62.16%) | p = 0.468 | |
| Yes | 2 (22.22%) | 26 (40.00%) | 28 (37.84%) | |||
| No (N = 5) | Yes (N = 22) | Total (N = 27) | ||||
| Primary infertility | Post-hysteroscopy pregnancy | No pregnancy | 1 (20.00%) | 14 (63.64%) | 15 (55.56%) | p = 0.057 |
| Live birth | 3 (60.00%) | 8 (36.36%) | 11 (40.74%) | |||
| Spontaneous miscarriage | 1 (20.00%) | 0 (0.00%) | 1 (3.70%) | |||
| Post-hysteroscopy pregnancy | No pregnancy | 1 (20.00%) | 14 (63.64%) | 15 (55.56%) | p = 0.139 | |
| Pregnancy | 4 (80.00%) | 8 (36.36%) | 12 (44.44%) | |||
| IVF | No | 5 (100.00%) | 14 (63.64%) | 19 (70.37%) | p = 0.28 | |
| Yes | 0 (0.00%) | 8 (36.36%) | 8 (29.63%) | |||
| No (N = 4) | Yes (N = 43) | Total (N = 47) | ||||
| Secondary infertility | Post-hysteroscopy pregnancy | No pregnancy | 2 (50.00%) | 23 (53.49%) | 25 (53.19%) | p = 1 |
| Live birth | 2 (50.00%) | 17 (39.53%) | 19 (40.43%) | |||
| Spontaneous miscarriage | 0 (0.00%) | 3 (6.98%) | 3 (6.38%) | |||
| Post-hysteroscopy pregnancy | No pregnancy | 2 (50.00%) | 23 (53.49%) | 25 (53.19%) | p = 1 | |
| Pregnancy | 2 (50.00%) | 20 (46.51%) | 22 (46.81%) | |||
| IVF | No | 2 (50.00%) | 25 (58.14%) | 27 (57.45%) | p = 1 | |
| Yes | 2 (50.00%) | 18 (41.86%) | 20 (42.55%) | |||
| No (N = 2) | Yes (N = 26) | Total (N = 28) | ||||
| IVF use | Post-hysteroscopy pregnancy | No pregnancy | 0 (0.00%) | 15 (57.69%) | 15 (53.57%) | p = 0.206 |
| Pregnancy | 2 (100.00%) | 11 (42.31%) | 13 (46.43%) | |||
| No (N = 24) | Yes (N = 50) | Total (N = 74) | ||||
| No IVF use | Post-hysteroscopy pregnancy | No pregnancy | 17 (70.83%) | 31 (62.00%) | 48 (64.86%) | p = 0.628 |
| Pregnancy | 7 (29.17%) | 19 (38.00%) | 26 (35.14%) | |||
| No (N = 18) | Yes (N = 37) | Total (N = 55) | ||||
| Post-hysteroscopy symptoms | Abnormal uterine bleeding | No | 14 (77.78%) | 32 (86.49%) | 46 (83.64%) | p = 0.454 |
| Yes | 4 (22.22%) | 5 (13.51%) | 9 (16.36%) | |||
Disclaimer/Publisher’s Note: The statements, opinions and data contained in all publications are solely those of the individual author(s) and contributor(s) and not of MDPI and/or the editor(s). MDPI and/or the editor(s) disclaim responsibility for any injury to people or property resulting from any ideas, methods, instructions or products referred to in the content. |
© 2025 by the authors. Licensee MDPI, Basel, Switzerland. This article is an open access article distributed under the terms and conditions of the Creative Commons Attribution (CC BY) license (https://creativecommons.org/licenses/by/4.0/).
Share and Cite
Gawron, I.; Zaborowska, L.; Derbisz, K.; Ludwin, I.; Ludwin, A. Empirical Antibiotic Therapy in Chronic Endometritis With and Without Focal Lesions: A Prospective Cohort Study. Med. Sci. 2025, 13, 278. https://doi.org/10.3390/medsci13040278
Gawron I, Zaborowska L, Derbisz K, Ludwin I, Ludwin A. Empirical Antibiotic Therapy in Chronic Endometritis With and Without Focal Lesions: A Prospective Cohort Study. Medical Sciences. 2025; 13(4):278. https://doi.org/10.3390/medsci13040278
Chicago/Turabian StyleGawron, Iwona, Lucja Zaborowska, Kamil Derbisz, Inga Ludwin, and Artur Ludwin. 2025. "Empirical Antibiotic Therapy in Chronic Endometritis With and Without Focal Lesions: A Prospective Cohort Study" Medical Sciences 13, no. 4: 278. https://doi.org/10.3390/medsci13040278
APA StyleGawron, I., Zaborowska, L., Derbisz, K., Ludwin, I., & Ludwin, A. (2025). Empirical Antibiotic Therapy in Chronic Endometritis With and Without Focal Lesions: A Prospective Cohort Study. Medical Sciences, 13(4), 278. https://doi.org/10.3390/medsci13040278

