Brenner Tumor of the Ovary: A 10-Year Single Institution Experience and Comprehensive Review of the Literature
Abstract
:1. Introduction
2. Materials and Methods
2.1. Study Design, Setting, and Objectives
2.2. Ethical Considerations
2.3. Patients’ Selection
2.4. Clinicopathological Parameters of Patients
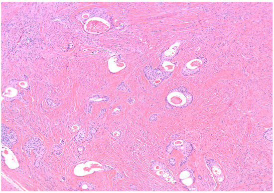
3. Results
4. Discussion
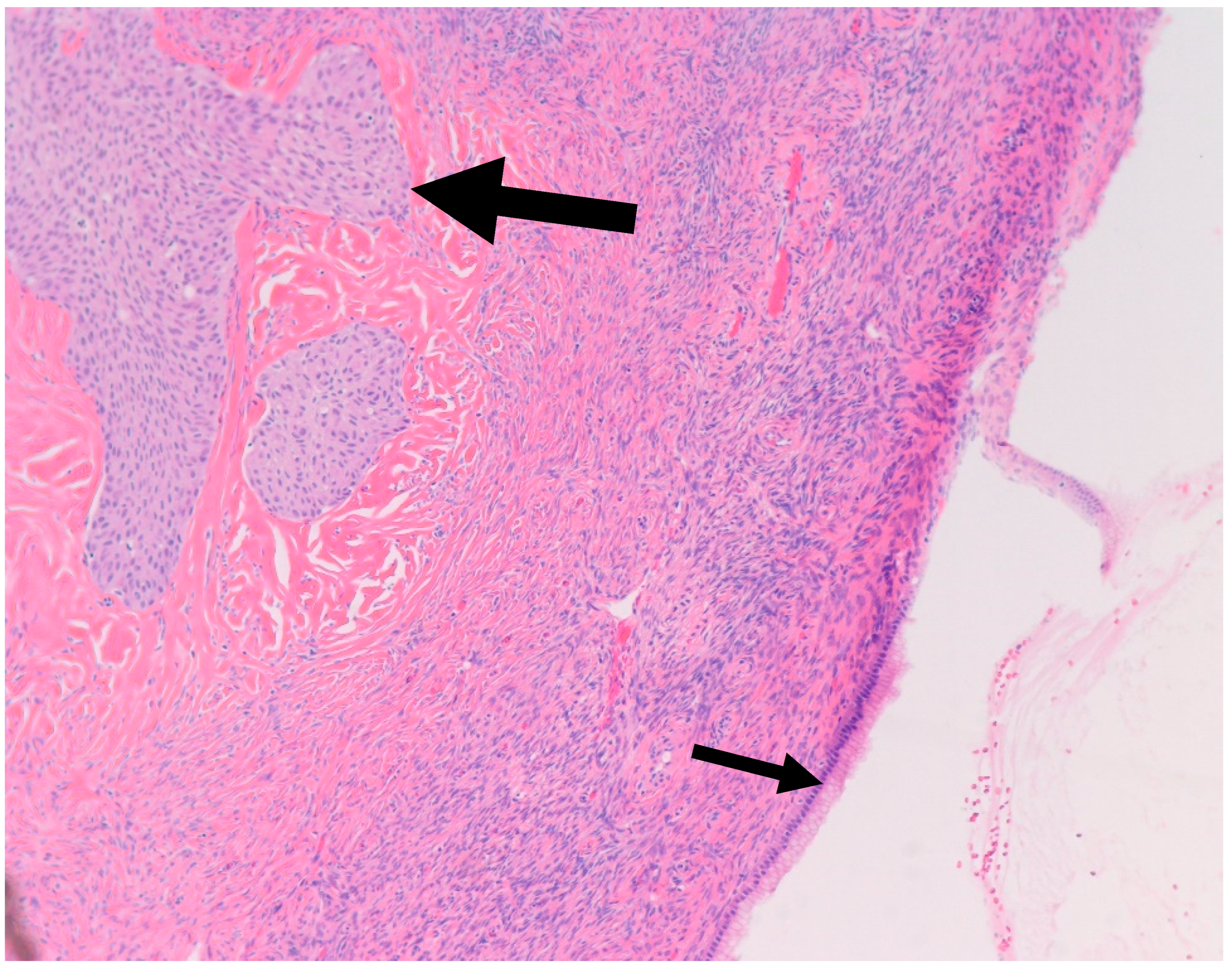
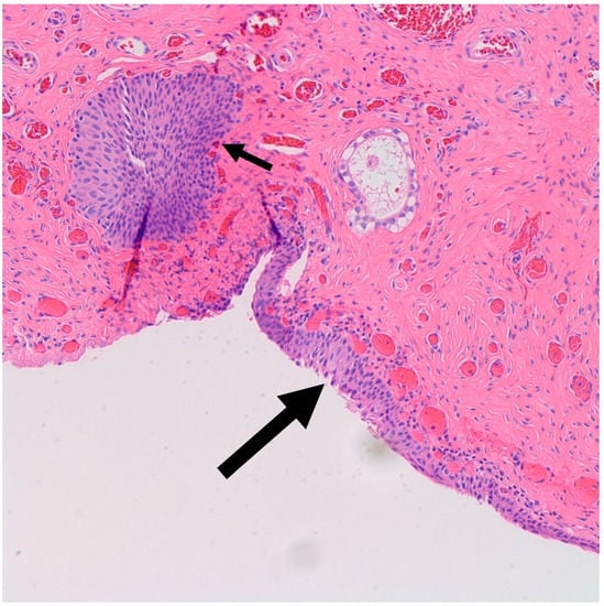
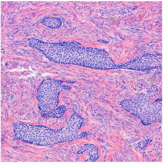
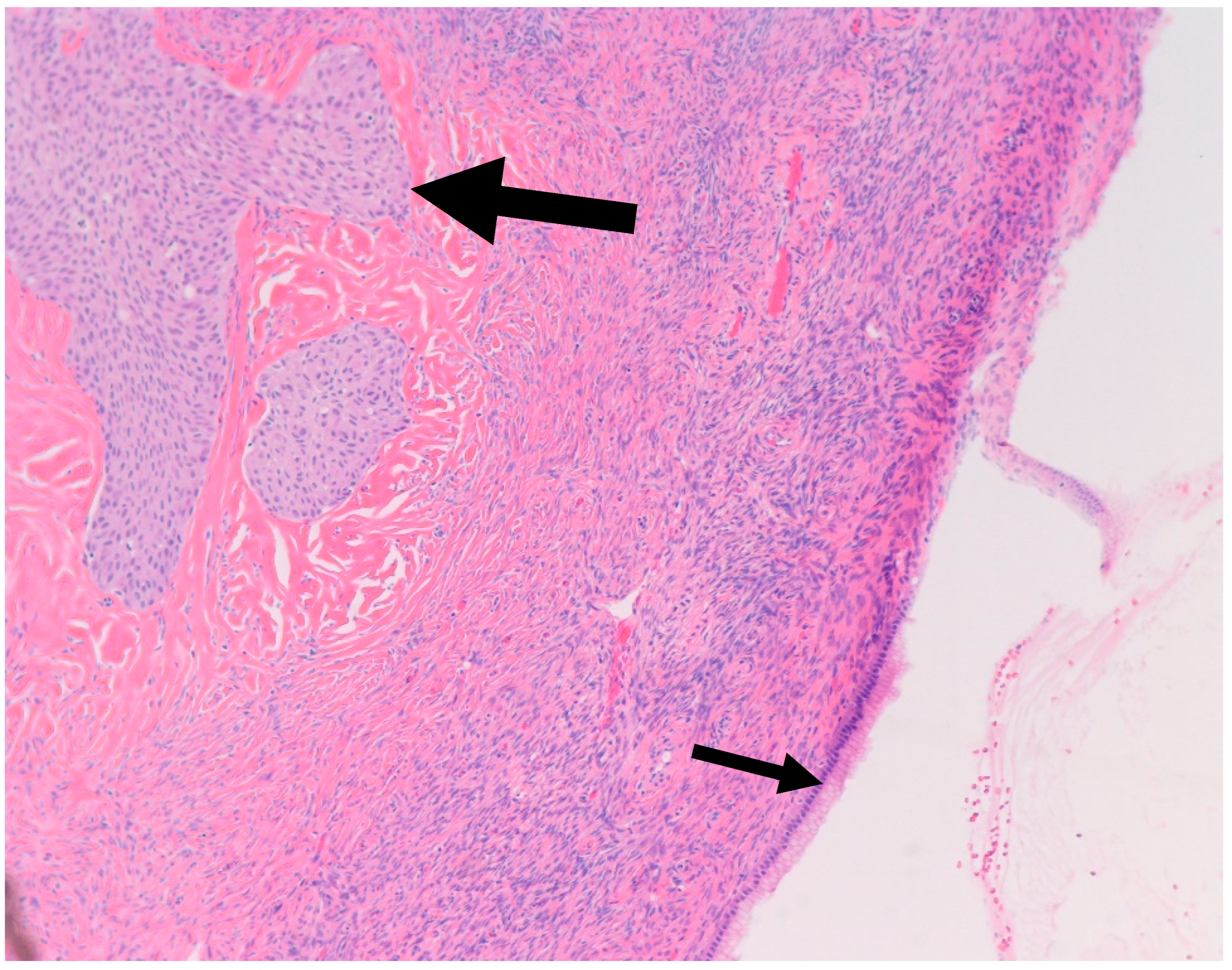
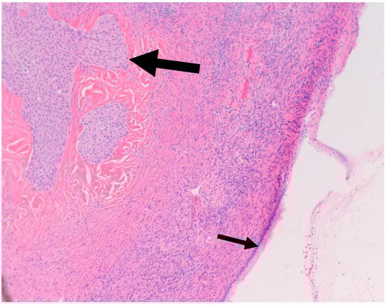
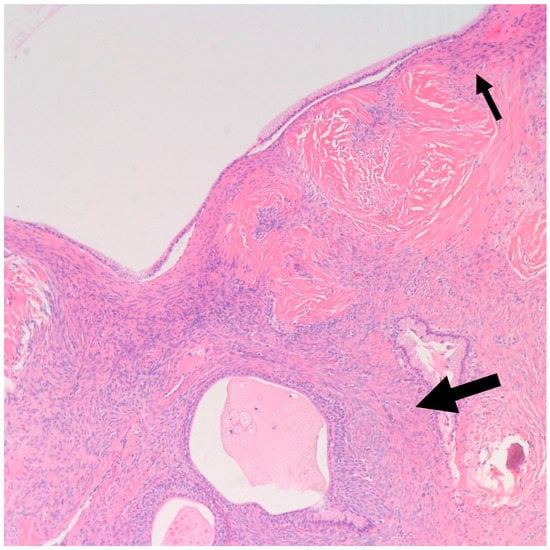
- Walthard cell rests: The differential diagnosis of benign BTs includes Walthard cell rests. Benign BTs contain a fibromatous background which is absent in Walthard cell rests.
- High-grade serous carcinoma (HGSC) with solid, pseudo-endometrioid, and transitional cell carcinoma-like features (SET features): The differential diagnosis of malignant BTs includes HGSC with SET features (formerly known as transitional cell carcinoma of the ovary). Previously, the World Health Organization (WHO) divided malignant transitional cell tumors into transitional cell carcinoma (TCC) non-Brenner type and malignant BT with the distinction based on the presence of a benign Brenner component in the latter and its absence in the former [30]. However, in 2012 Ali et al. showed in their research on a large cohort of ovarian neoplasms which included seven “TCCs” that similar to HGSC, transitional cell carcinoma of the ovary is predominantly positive for ER, PR and P53 by immunohistochemistry [26]. P16INK4a expression was only detected in 2 out of 7 cases [26]. However, the authors suggested that their use of tissue microarrays and the small tumor sample size had resulted in underestimation of the actual frequency of P16 expression in “TCC” which is usually patchy in nature [26]. Additionally, Riedel et al. showed in their research that BTs tend to be positive for urothelial markers including CK20 and Uroplakin III [28]. “TCCs” on the other hand are negative for these two markers and are therefore lacking true urothelial differentiation [28]. Thus, in the latest WHO classification TCC of the ovary was eventually lumped under the category of “HGSC with SET features”, a morphological variant of HGSC commonly seen in BRCA1/2 mutant population [31]. HGSC with SET features and BT exhibit significantly different biological behaviors with HGSC with SET features more commonly having extra-ovarian spread at initial presentation. Hence, patients are more likely to benefit from adjuvant chemotherapy and the distinction is crucial [15]. The presence of a benign Brenner component is diagnostic of malignant BT while absent in HGSC with SET features [15,29]. By immunohistochemistry, HGSC with SET features is usually positive for P53 and P16 while negative for EGFR, RAS, and Cyclin D1 [29]. Malignant BT, being negative for P53 and P16 while positive for EGFR, RAS, and Cyclin D1 exhibits the exact opposite immunohistochemical profile [29]. Genetically, malignant BT arises from precursor benign and borderline components by upregulation of the EGFR signaling pathway which activates downstream cytoplasmic proto-oncogene proteins including RAS -MAPK and PIK3CA-AKT [29]. HGSC with SET features on the other hand arises de novo by P53 mutation [29].
- Metastatic urothelial carcinoma: Although metastatic urothelial carcinoma to the female gynecological tract is exceedingly rare, it has morphological and immunohistochemical overlaps with malignant BT [28,32]. However, the presence of a benign component is characteristic of BT [15,29]. Extensive sampling may be necessary to identify the benign component. Additionally, clinical and radiological correlation is particularly helpful in this context [32].
- Adult granulosa cell tumor (AGCT): Due to the presence of longitudinal grooves, AGCT—a sex cord-stromal tumor—can be confused with BT. However, diffuse and trabecular patterns are the most common architectural patterns seen in AGCTs while a nested pattern is the norm in BTs [33]. Additionally, AGCTs commonly undergo luteinization [34]. By immunohistochemistry, AGCTs are typically positive for calretinin, inhibin and SF1, all of which are expected to be negative in BTs [35]. By molecular genetics, AGCTs are characterized by somatic missense mutations in the transcription factor FOXL2 gene [36].
5. Conclusions
Supplementary Materials
Author Contributions
Funding
Institutional Review Board Statement
Informed Consent Statement
Data Availability Statement
Acknowledgments
Conflicts of Interest
References
- Zheng, R.; Heller, D.S. Borderline Brenner Tumor: A Review of the Literature. Arch. Pathol. Lab. Med. 2019, 143, 1278–1280. [Google Scholar] [CrossRef]
- Borah, T.; Mahanta, R.K.; Bora, B.D.; Saikia, S. Brenner tumor of ovary: An incidental finding. J. Mid Life Health 2011, 2, 40–41. [Google Scholar] [CrossRef]
- Lang, S.M.; Mills, A.M.; Cantrell, L.A. Malignant Brenner tumor of the ovary: Review and case report. Gynecol. Oncol. Rep. 2017, 22, 26–31. [Google Scholar] [CrossRef]
- Parcesepe, P.; Coppola, L.; Remo, A.; D’Andrea, M.R.; Coppola, G.; Simbolo, M.; Manfrin, E.; Scarpa, A.; De Santis, E.; Giordano, G. Molecular and Clinical Insights in Malignant Brenner Tumor of the Testis With Liver Metastases: A Case Report. Front. Oncol. 2021, 11, 663489. [Google Scholar] [CrossRef]
- Zhang, Y.; Staley, S.A.; Tucker, K.; Clark, L.H. Malignant Brenner tumor of the ovary: Case series and review of treatment strategies. Gynecol. Oncol. Rep. 2019, 28, 29–32. [Google Scholar] [CrossRef]
- Longacre, T.A.; Gilks, C.B. 14-Epithelial Neoplasms of the Ovary. In Gynecologic Pathology, 2nd ed.; Nucci, M.R., Parra-Herran, C., Eds.; Elsevier: Philadelphia, PA, USA, 2020; pp. 577–641. [Google Scholar]
- Tafe, L.J.; Muller, K.E.; Ananda, G.; Mitchell, T.; Spotlow, V.; Patterson, S.E.; Tsongalis, G.J.; Mockus, S.M. Molecular Genetic Analysis of Ovarian Brenner Tumors and Associated Mucinous Epithelial Neoplasms: High Variant Concordance and Identification of Mutually Exclusive RAS Driver Mutations and MYC Amplification. Am. J. Pathol. 2016, 186, 671–677. [Google Scholar] [CrossRef]
- Kuhn, E.; Ayhan, A.; Shih Ie, M.; Seidman, J.D.; Kurman, R.J. The pathogenesis of atypical proliferative Brenner tumor: An immunohistochemical and molecular genetic analysis. Mod. Pathol. 2014, 27, 231–237. [Google Scholar] [CrossRef]
- Ziadi, S.; Trimeche, M.; Hammedi, F.; Hidar, S.; Sriha, B.; Mestiri, S.; Korbi, S. Bilateral proliferating Brenner tumor of the ovary associated with recurrent urothelial carcinoma of the urinary bladder. N. Am. J. Med. Sci. 2010, 2, 39–41. [Google Scholar]
- Ehrlich, C.E.; Roth, L.M. The Brenner tumor. A clinicopathologic study of 57 cases. Cancer 1971, 27, 332–342. [Google Scholar] [CrossRef]
- Varden, L.C. Bilateral brenner tumors of the ovaries. A brief review of the literature with report of a case. Med. Ann. Dist. Columbia 1964, 33, 70–73. [Google Scholar]
- Farrar, H.K., Jr.; Greene, R.R. Bilateral Brenner tumors of the ovary. Am. J. Obstet. Gynecol. 1960, 80, 1089–1095. [Google Scholar] [CrossRef]
- Gifford, R.R.; Birch, H.W. Bilateral Brenner tumors of the ovary. J. Med. Assoc. Ga. 1969, 58, 145–151. [Google Scholar]
- Nasioudis, D.; Sisti, G.; Holcomb, K.; Kanninen, T.; Witkin, S.S. Malignant Brenner tumors of the ovary; a population-based analysis. Gynecol. Oncol. 2016, 142, 44–49. [Google Scholar] [CrossRef]
- Austin, R.M.; Norris, H.J. Malignant Brenner Tumor and Transitional Cell Carcinoma of the Ovary: A Comparison. Int. J. Gynecol. Pathol. 1987, 6, 29–39. [Google Scholar] [CrossRef]
- Ruggiero, S.; Ripetti, V.; Bianchi, A.; La Vaccara, V.; Alloni, R.; Coppola, R. A singular observation of a giant benign Brenner tumor of the ovary. Arch. Gynecol. Obstet. 2011, 284, 513–516. [Google Scholar] [CrossRef]
- Uzan, C.; Dufeu-Lefebvre, M.; Fauvet, R.; Gouy, S.; Duvillard, P.; Darai, E.; Morice, P. Management and prognosis of borderline ovarian Brenner tumors. Int. J. Gynecol. Cancer 2012, 22, 1332–1336. [Google Scholar] [CrossRef]
- Roth, L.M.; Dallenbach-Hellweg, G.; Czernobilsky, B. Ovarian Brenner tumors. I. Metaplastic, proliferating, and of low malignant potential. Cancer 1985, 56, 582–591. [Google Scholar] [CrossRef]
- Seidman, J.D.; Khedmati, F. Exploring the histogenesis of ovarian mucinous and transitional cell (Brenner) neoplasms and their relationship with Walthard cell nests: A study of 120 tumors. Arch. Pathol. Lab. Med. 2008, 132, 1753–1760. [Google Scholar] [CrossRef]
- Kuhn, E.; Ayhan, A.; Shih, I.-M.; Seidman, J.D.; Kurman, R.J. Ovarian Brenner tumour: A morphologic and immunohistochemical analysis suggesting an origin from fallopian tube epithelium. Eur. J. Cancer 2013, 49, 3839–3849. [Google Scholar] [CrossRef]
- Roma, A.A.; Masand, R.P. Different staining patterns of ovarian Brenner tumor and the associated mucinous tumor. Ann. Diagn. Pathol. 2015, 19, 29–32. [Google Scholar] [CrossRef]
- Woodruff, J.D.; Dietrich, D.; Genadry, R.; Parmley, T.H. Proliferative and malignant Brenner tumors. Review of 47 cases. Am. J. Obstet. Gynecol. 1981, 141, 118–125. [Google Scholar] [CrossRef] [PubMed]
- Roth, L.M.; Sternberg, W.H. Proliferating Brenner tumors. Cancer 1971, 27, 687–693. [Google Scholar] [CrossRef] [PubMed]
- Miles, P.A.; Norris, H.J. Proliferative and malignant brenner tumors of the ovary. Cancer 1972, 30, 174–186. [Google Scholar] [CrossRef] [PubMed]
- Hallgrìmsson, J.; Scully, R.E. Borderline and malignant Brenner tumours of the ovary. A report of 15 cases. Acta Pathol. Et Microbiol. Scand. Suppl. 1972, 233, 56–66. [Google Scholar]
- Ali, R.H.; Seidman, J.D.; Luk, M.; Kalloger, S.; Gilks, C.B. Transitional cell carcinoma of the ovary is related to high-grade serous carcinoma and is distinct from malignant brenner tumor. Int. J. Gynecol. Pathol. 2012, 31, 499–506. [Google Scholar] [CrossRef]
- Esheba, G.E.; Longacre, T.A.; Atkins, K.A.; Higgins, J.P. Expression of the urothelial differentiation markers GATA3 and placental S100 (S100P) in female genital tract transitional cell proliferations. Am. J. Surg. Pathol. 2009, 33, 347–353. [Google Scholar] [CrossRef]
- Riedel, I.; Czernobilsky, B.; Lifschitz-Mercer, B.; Roth, L.M.; Wu, X.R.; Sun, T.T.; Moll, R. Brenner tumors but not transitional cell carcinomas of the ovary show urothelial differentiation: Immunohistochemical staining of urothelial markers, including cytokeratins and uroplakins. Virchows Arch. 2001, 438, 181–191. [Google Scholar] [CrossRef]
- Cuatrecasas, M.; Catasus, L.; Palacios, J.; Prat, J. Transitional cell tumors of the ovary: A comparative clinicopathologic, immunohistochemical, and molecular genetic analysis of Brenner tumors and transitional cell carcinomas. Am. J. Surg. Pathol. 2009, 33, 556–567. [Google Scholar] [CrossRef]
- Tavassoli, F.A. Pathology and Genetics of Tumours of the Breast and Female Genital Organs; IARC: Geneva, Switzerland, 2003.
- Soslow, R.A.; Han, G.; Park, K.J.; Garg, K.; Olvera, N.; Spriggs, D.R.; Kauff, N.D.; Levine, D.A. Morphologic patterns associated with BRCA1 and BRCA2 genotype in ovarian carcinoma. Mod. Pathol. 2012, 25, 625–636. [Google Scholar] [CrossRef]
- Badin, J.; Abello, A.; Gupta, M.; Das, A.K. Urothelial Carcinoma of the Bladder With a Rare Solitary Metastasis to the Ovary. Urology 2020, 135, 24–27. [Google Scholar] [CrossRef]
- Young, R.H. Ovarian sex cord-stromal tumours and their mimics. Pathology 2018, 50, 5–15. [Google Scholar] [CrossRef]
- Stall, J.N.; Young, R.H. Granulosa Cell Tumors of the Ovary with Prominent Thecoma-like Foci: A Report of 16 Cases Emphasizing the Ongoing Utility of the Reticulin Stain in the Modern Era. Int. J. Gynecol. Pathol. 2019, 38, 143–150. [Google Scholar] [CrossRef] [PubMed]
- Zhao, C.; Vinh, T.N.; McManus, K.; Dabbs, D.; Barner, R.; Vang, R. Identification of the most sensitive and robust immunohistochemical markers in different categories of ovarian sex cord-stromal tumors. Am. J. Surg. Pathol. 2009, 33, 354–366. [Google Scholar] [CrossRef]
- Li, X.; Tian, B.; Liu, M.; Miao, C.; Wang, D. Adult-type granulosa cell tumor of the ovary. Am. J. Cancer Res. 2022, 12, 3495–3511. [Google Scholar] [PubMed]
- Halimi, S.A.; Maeda, D.; Ushiku-Shinozaki, A.; Goto, A.; Oda, K.; Osuga, Y.; Fujii, T.; Ushiku, T.; Fukayama, M. Comprehensive immunohistochemical analysis of the gastrointestinal and Müllerian phenotypes of 139 ovarian mucinous cystadenomas. Hum. Pathol. 2021, 109, 21–30. [Google Scholar] [CrossRef]
- Waxman, M. Pure and mixed Brenner tumors of the ovary: Clinicopathologic and histogenetic observations. Cancer 1979, 43, 1830–1839. [Google Scholar] [CrossRef]
- Kondi-Pafiti, A.; Kairi-Vassilatou, E.; Iavazzo, C.; Vouza, E.; Mavrigiannaki, P.; Kleanthis, C.; Vlahodimitropoulos, D.; Liapis, A. Clinicopathological features and immunoprofile of 30 cases of Brenner ovarian tumors. Arch. Gynecol. Obstet. 2012, 285, 1699–1702. [Google Scholar] [CrossRef] [PubMed]
- Nazari, F.; Dehghani, Z. Coexistence of benign brenner tumor with mucinous cystadenoma in an ovarian mass. Iran. J. Pathol. 2020, 15, 334–337. [Google Scholar] [CrossRef]
- Wang, Y.; Wu, R.C.; Shwartz, L.E.; Haley, L.; Lin, M.T.; Shih Ie, M.; Kurman, R.J. Clonality analysis of combined Brenner and mucinous tumours of the ovary reveals their monoclonal origin. J. Pathol. 2015, 237, 146–151. [Google Scholar] [CrossRef]
- Norquist, B.M.; Harrell, M.I.; Brady, M.F.; Walsh, T.; Lee, M.K.; Gulsuner, S.; Bernards, S.S.; Casadei, S.; Yi, Q.; Burger, R.A.; et al. Inherited Mutations in Women With Ovarian Carcinoma. JAMA Oncol. 2016, 2, 482–490. [Google Scholar] [CrossRef]
- Toboni, M.D.; Smith, H.J.; Dilley, S.E.; Novak, L.; Leath, C.A. Malignant Brenner tumor associated with a germline BRCA2 mutation. Gynecol. Oncol. Rep. 2017, 21, 17–19. [Google Scholar] [CrossRef] [PubMed]
- Tsujimoto, T.; Takaichi, M.; Endo, H.; Yasuda, K.; Kishimoto, M.; Noto, H.; Gomibuchi, H.; Yasuda, H.; Yamamoto-Honda, R.; Takahashi, Y.; et al. A patient with diabetes and breast cancer in whom virilization was caused by a testosterone-producing mature cystic teratoma containing a Brenner tumor. Am. J. Med. Sci. 2011, 341, 74–77. [Google Scholar] [CrossRef] [PubMed]
- Ji, Q.; Aoyama, C.; Chen, P.K.; Stolz, A.; Liu, P. Localization and altered expression of AKR1C family members in human ovarian tissues. Mol. Cell. Probes 2005, 19, 261–266. [Google Scholar] [CrossRef] [PubMed]
- Moon, W.J.; Koh, B.H.; Kim, S.K.; Kim, Y.S.; Rhim, H.C.; Cho, O.K.; Hahm, C.K.; Byun, J.Y.; Cho, K.S.; Kim, S.H. Brenner tumor of the ovary: CT and MR findings. J. Comput. Assist. Tomogr. 2000, 24, 72–76. [Google Scholar] [CrossRef]
- Montoriol, P.F.; Hordonneau, C.; Boudinaud, C.; Molnar, I.; Abrial, C.; Kossai, M. Benign Brenner tumour of the ovary: CT and MRI features. Clin. Radiol. 2021, 76, 593–598. [Google Scholar] [CrossRef] [PubMed]
- Zhao, Y.; Mao, X.; Yao, L.; Shen, J. Computed tomography imaging features of benign ovarian Brenner tumors. Oncol. Lett. 2018, 16, 1141–1146. [Google Scholar] [CrossRef]
- Green, G.E.; Mortele, K.J.; Glickman, J.N.; Benson, C.B. Brenner tumors of the ovary: Sonographic and computed tomographic imaging features. J. Ultrasound Med. 2006, 25, 1245–1251; quiz 1244–1252. [Google Scholar] [CrossRef]
- Matsutani, H.; Nakai, G.; Yamada, T.; Yamamoto, K.; Ohmichi, M.; Osuga, K. MRI and FDG PET/CT Findings for Borderline Brenner Tumor of the Ovary: A Case Report and Literature Review. Case Rep. Obstet. Gynecol. 2020, 2020, 8878649. [Google Scholar] [CrossRef]
- Buamah, P.K.; Skillen, A.W. Serum CA 125 concentrations in patients with benign ovarian tumours. J. Surg. Oncol. 1994, 56, 71–74. [Google Scholar] [CrossRef]
- Sofoudis, C.; Kouiroukidou, P.; Louis, K.; Karasaridou, K.; Toutounas, K.; Gerolymatos, A.; Papamargaritis, E. Enormous ovarian fibroma with elevated Ca-125 associated with Meigs’ syndrome. Presentation of a rare case. Eur. J. Gynaecol. Oncol. 2016, 37, 142–143. [Google Scholar]
- Buttin, B.M.; Cohn, D.E.; Herzog, T.J. Meigs’ syndrome with an elevated CA 125 from benign Brenner tumors. Obstet. Gynecol. 2001, 98, 980–982. [Google Scholar] [CrossRef] [PubMed]
- Benjapibal, M.; Sangkarat, S.; Laiwejpithaya, S.; Viriyapak, B.; Chaopotong, P.; Jaishuen, A. Meigs’ Syndrome with Elevated Serum CA125: Case Report and Review of the Literature. Case Rep. Oncol. 2009, 2, 61–66. [Google Scholar] [CrossRef] [PubMed]
- Jung, S.E.; Lee, J.M.; Rha, S.E.; Byun, J.Y.; Jung, J.I.; Hahn, S.T. CT and MR imaging of ovarian tumors with emphasis on differential diagnosis. Radiographics 2002, 22, 1305–1325. [Google Scholar] [CrossRef] [PubMed]
- Turgay, B.; Koyuncu, K.; Taşkın, S.; Ortaç, U.F. Features of ovarian Brenner tumors: Experience of a single tertiary center. Turk. J. Obstet. Gynecol. 2017, 14, 133–137. [Google Scholar] [CrossRef] [PubMed]
- Sharma, M.; Khangar, B.; Mallya, V.; Khurana, N.; Gupta, S. Coexisting Brenner Tumor and Endometrial Carcinoma. J. Mid Life Health 2017, 8, 89–91. [Google Scholar] [CrossRef]








| Case | Age | Presentation | Presenting Symptom | Indication for Surgery | Type of Surgery | Intraoperative Appearance of BT Ovary | Pre-op CA-125 (U/ML) |
|---|---|---|---|---|---|---|---|
| 1 | 55 | Incidental | Post-menopausal bleeding | Bilateral ovarian cysts on imaging | Laparoscopic BSO + Hysteroscopic polypectomy | Normal | 9.2 |
| 2 | 60 | Incidental | Asymptomatic | Prophylactic surgery (BRCA1) | TAH + BSO | Normal | NA |
| 3 | 54 | Non-incidental | Abdominal distension | Right adnexal mass | Exploratory laparotomy + TAH + BSO | Large right abdominopelvic mass | NA |
| 4 | 60 | Non-incidental | Abdominal pain | Left adnexal mass | TAH + BSO | Enlarged solid left ovary | NA |
| 5 | 70 | Incidental | Urinary incontinence | Cervical prolapse | TVH + BSO | Normal | NA |
| 6 | 51 | Incidental | AUB | Endometrial hyperplasia and fibroids | TAH + BSO | Normal | NA |
| 7 | 76 | Incidental | Recurrent UTI | Right adnexal mass on imaging | Robotic BSO | Normal | 7.9 |
| 8 | 34 | Incidental | Abdominal pain | Right adnexal mass on imaging | Robotic right oophorectomy | Right ovarian cyst | 5.1 |
| 9 | 59 | Incidental | Abdominal pain and increased abdominal girth | Left adnexal mass | TAH + BSO + Appendectomy | Normal | 7.9 |
| Case | Laterality | Size (cm) | Type | Focality | Other Findings | Walthard Rests |
|---|---|---|---|---|---|---|
| 1 | L | 2 | Benign | Unifocal | Endometrial polyp | Present |
| 2 | R | 0.5 | Benign | Unifocal | Leiomyomata uteri | Absent |
| 3 | R | 3.5 | Benign | Unifocal | Mucinous cystadenoma, ipsilateral (30 cm) | Present |
| 4 | L | 7.5 | Benign | Unifocal | Leiomyomata uteri | Absent |
| 5 | R | 0.4 | Benign | Unifocal | None | Present |
| 6 | R and L | 0.5 and 0.2 | Benign | Two foci | Leiomyomata uteri | Present |
| 7 | R | 0.7 | Benign | Unifocal | None | Present |
| 8 | R | 0.2 | Benign | Unifocal | Corpus luteum cyst, ipsilateral (8.2 cm) | Absent |
| 9 | R | 1.3 | Benign | Unifocal | Mucinous cystadenoma, contralateral (17 cm) + Endometrial polyps | Present |
| IHC Marker | EGFR | RAS | Cyclin D1 | P16 | P53 |
|---|---|---|---|---|---|
| Benign BT | Weakly positive | Moderately positive | Strongly positive | Positive | Wild type |
| Borderline BT | Weakly positive | Moderately positive | Strongly positive | Negative | Wild type |
| Malignant BT | Weakly positive | Moderately positive | Strongly positive | Negative | Wild type |
| HGSC | Negative | Negative | Negative | Positive | Mutant-type |
| Line of Differentiation | Immunohistochemical Profile | Percentage |
|---|---|---|
| Intestinal | CLDN18+/CDX2±/ER− | 71% |
| Mullerian | CLDN18−/CDX2−/ER+ | 6% |
| Indeterminate | CLDN18+/CDX2±/ER+ | 22% |
Disclaimer/Publisher’s Note: The statements, opinions and data contained in all publications are solely those of the individual author(s) and contributor(s) and not of MDPI and/or the editor(s). MDPI and/or the editor(s) disclaim responsibility for any injury to people or property resulting from any ideas, methods, instructions or products referred to in the content. |
© 2023 by the authors. Licensee MDPI, Basel, Switzerland. This article is an open access article distributed under the terms and conditions of the Creative Commons Attribution (CC BY) license (https://creativecommons.org/licenses/by/4.0/).
Share and Cite
Alloush, F.; Bahmad, H.F.; Lutz, B.; Poppiti, R.; Recine, M.; Alghamdi, S.; Goldenberg, L.E. Brenner Tumor of the Ovary: A 10-Year Single Institution Experience and Comprehensive Review of the Literature. Med. Sci. 2023, 11, 18. https://doi.org/10.3390/medsci11010018
Alloush F, Bahmad HF, Lutz B, Poppiti R, Recine M, Alghamdi S, Goldenberg LE. Brenner Tumor of the Ovary: A 10-Year Single Institution Experience and Comprehensive Review of the Literature. Medical Sciences. 2023; 11(1):18. https://doi.org/10.3390/medsci11010018
Chicago/Turabian StyleAlloush, Ferial, Hisham F. Bahmad, Brendan Lutz, Robert Poppiti, Monica Recine, Sarah Alghamdi, and Larry E. Goldenberg. 2023. "Brenner Tumor of the Ovary: A 10-Year Single Institution Experience and Comprehensive Review of the Literature" Medical Sciences 11, no. 1: 18. https://doi.org/10.3390/medsci11010018
APA StyleAlloush, F., Bahmad, H. F., Lutz, B., Poppiti, R., Recine, M., Alghamdi, S., & Goldenberg, L. E. (2023). Brenner Tumor of the Ovary: A 10-Year Single Institution Experience and Comprehensive Review of the Literature. Medical Sciences, 11(1), 18. https://doi.org/10.3390/medsci11010018

