Resveratrol Ameliorates Testicular Histopathology of Mice Exposed to Restraint Stress
Simple Summary
Abstract
1. Introduction
2. Materials and Methods
2.1. Animals and Experimental Design
- (Group 1) Control group—mice without exposure to restraint stress (RS) and treatment.
- (Group 2) RS group—mice were confined in a conical tube for 5 h per day.
- (Group 3) RS + V—mice were confined to a conical tube for 5 h per day and 10 μL of vehicle (V) was provided to each mouse by gavage.
- (Group 4) RS + 2 mg—mice were confined in a conical tube for 5 h per day and 10 µL of resveratrol (2 mg/kg) was given by gavage to each mouse.
- (Group 5) RS + 20 mg—mice were confined in a conical tube for 5 h per day and 10 µL of resveratrol (20 mg/kg) was given by gavage to each mouse.
2.2. Drugs
2.3. Measurements for Indices of Feed and Water
2.4. Body and Testis Weights
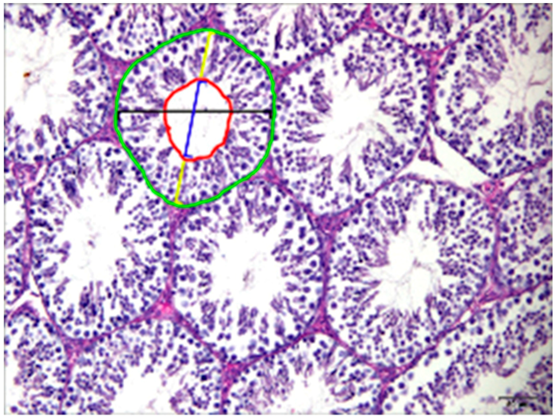
2.5. Seminiferous Tubule Diameters and Areas, Tubular Lumen, and Seminiferous Epithelium Heights
2.6. TUNEL Staining
2.7. Histologic Assessment of Seminiferous Tubules and Maturation
2.8. Statistical Analysis
3. Results
3.1. Comparison of Anthropometric Parameters
3.2. Quantitative Histologic Evaluations
3.3. TUNEL Assay
3.4. Seminiferous Tubule Scores
4. Discussion
5. Conclusions
Author Contributions
Funding
Acknowledgments
Conflicts of Interest
References
- Moussavi, S.; Chatterji, S.; Verdes, E.; Tandon, A.; Patel, V.; Ustun, B. Depression, chronic diseases, and decrements in health: Results from the world health surveys. Lancet 2007, 370, 851–858. [Google Scholar] [CrossRef]
- Berton, O.; Nestler, E.J. New approaches to antidepressant drug discovery: Beyond monoamines. Nat. Rev. Neurosci. 2006, 7, 137. [Google Scholar] [CrossRef] [PubMed]
- Almeida, S.; Petenusci, S.; Franci, J.A.; Silva, A.R.E.; Carvalho, T.L. Chronic immobilization-induced stress increases plasma testosterone and delays testicular maturation in pubertal rats. Andrologia 2000, 32, 7–11. [Google Scholar] [CrossRef] [PubMed]
- Pacak, K.; Palkovits, M. Stressor specificity of central neuroendocrine responses: Implications for stress-related disorders. Endocr. Rev. 2001, 22, 502–548. [Google Scholar] [CrossRef]
- Rai, J.; Pandey, S.; Srivastava, R. Testosterone hormone level in albino rats following restraint stress of long duration. J. Anat. Soc. India 2004, 53, 17–19. [Google Scholar]
- Nirupama, M.; Yajurvedi, H. Durational effects of chronic stress on the testicular damage and its reversibility in albino rat. Eur. J. Exp. Biol. 2013, 3, 229–239. [Google Scholar]
- Marin, M.T.; Cruz, F.C.; Planeta, C.S. Chronic restraint or variable stresses differently affect the behavior, corticosterone secretion and body weight in rats. Physiol. Behav. 2007, 90, 29–35. [Google Scholar] [CrossRef]
- Khandve, B.; Gujar, V.; Bokariya, P.; Tarnekar, A.; Shende, M. Deranged spermatogenesis of adult swiss albino mice as effect of immobilisation stress–histological study. J. Pharm. 2013, 3, 7–10. [Google Scholar]
- Middendorff, R.; Müller, D.; Mewe, M.; Mukhopadhyay, A.K.; Holstein, A.F.; Davidoff, M.S. The tunica albuginea of the human testis is characterized by complex contraction and relaxation activities regulated by cyclic gmp. J. Clin. Endocrinol. Metab. 2002, 87, 3486–3499. [Google Scholar] [CrossRef]
- Shin, S.; Jeon, J.H.; Park, D.; Jang, M.-J.; Choi, J.H.; Choi, B.-H.; Joo, S.S.; Nahm, S.-S.; Kim, J.-C.; Kim, Y.-B. Trans-resveratrol relaxes the corpus cavernosum ex vivo and enhances testosterone levels and sperm quality in vivo. Arch. Pharmacal Res. 2008, 31, 83–87. [Google Scholar] [CrossRef]
- Juan, M.E.; Gonzalez-Pons, E.; Munuera, T.; Ballester, J.; Rodriguez-Gil, J.E.; Planas, J.M. Trans-resveratrol, a natural antioxidant from grapes, increases sperm output in healthy rats. J. Nutr. 2005, 135, 757–760. [Google Scholar] [CrossRef] [PubMed]
- Issuree, P.D.; Pushparaj, P.N.; Pervaiz, S.; Melendez, A.J. Resveratrol attenuates c5a-induced inflammatory responses in vitro and in vivo by inhibiting phospholipase d and sphingosine kinase activities. FASEB J. 2009, 23, 2412–2424. [Google Scholar] [CrossRef] [PubMed]
- Joe, A.K.; Liu, H.; Suzui, M.; Vural, M.E.; Xiao, D.; Weinstein, I.B. Resveratrol induces growth inhibition, s-phase arrest, apoptosis, and changes in biomarker expression in several human cancer cell lines. Clin. Cancer Res. 2002, 8, 893–903. [Google Scholar]
- Iwakabe, K.; Shimada, M.; Ohta, A.; Yahata, T.; Ohmi, Y.; Habu, S.; Nishimura, T. The restraint stress drives a shift in Th1/Th2 balance toward Th2-dominant immunity in mice. Immunol. Lett. 1998, 62, 39–43. [Google Scholar] [CrossRef]
- Mehfooz, A.; Wei, Q.; Zheng, K.; Fadlalla, M.B.; Maltasic, G.; Shi, F. Protective roles of rutin against restraint stress on spermatogenesis in testes of adult mice. Tissue Cell 2018, 50, 133–143. [Google Scholar] [CrossRef]
- Pang, C.; Cao, L.; Wu, F.; Wang, L.; Wang, G.; Yu, Y.; Zhang, M.; Chen, L.; Wang, W.; Lv, W. The effect of trans-resveratrol on post-stroke depression via regulation of hypothalamus-pituitary-adrenal axis. Neuropharmacology 2015, 97, 447–456. [Google Scholar] [CrossRef] [PubMed]
- Korejo, N.A.; Wei, Q.-W.; Shah, A.H.; Shi, F.-X. Effects of concomitant diabetes mellitus and hyperthyroidism on testicular and epididymal histoarchitecture and steroidogenesis in male animals. J. Zhejiang Univ. Sci. B 2016, 17, 850–863. [Google Scholar] [CrossRef]
- Wei, Q.; Li, J.; Li, X.; Zhang, L.; Shi, F. Reproductive toxicity in acrylamide-treated female mice. Reprod. Toxicol. 2014, 46, 121–128. [Google Scholar] [CrossRef]
- Li, X.; Wang, H.; Yao, B.; Xu, W.; Chen, J.; Zhou, X. Lncrna H19/MIR-675 axis regulates cardiomyocyte apoptosis by targeting vdac1 in diabetic cardiomyopathy. Sci. Rep. 2016, 6, 36340. [Google Scholar] [CrossRef] [PubMed]
- Oliveira Filho, A.B.; Souza, R.S.D.; Azeredo-Oliveira, M.T.V.D.; Peruquetti, R.L.; Cedenho, A.P. Microdissection testicular sperm extraction causes spermatogenic alterations in the contralateral testis. Genet. Mol. Res. 2010, 9, 1405–1413. [Google Scholar] [CrossRef] [PubMed]
- Carrasco, G.A.; Van de Kar, L.D. Neuroendocrine pharmacology of stress. Eur. J. Pharmacol. 2003, 463, 235–272. [Google Scholar] [CrossRef]
- Hari Priya, P.; Reddy, P.S. Effect of restraint stress on lead-induced male reproductive toxicity in rats. J. Exp. Zool. Part A Ecol. Genet. Physiol. 2012, 317, 455–465. [Google Scholar] [CrossRef] [PubMed]
- Lin, H.; Yuan, K.-M.; Zhou, H.-Y.; Bu, T.; Su, H.; Liu, S.; Zhu, Q.; Wang, Y.; Hu, Y.; Shan, Y. Time-course changes of steroidogenic gene expression and steroidogenesis of rat leydig cells after acute immobilization stress. Int. J. Mol. Sci. 2014, 15, 21028–21044. [Google Scholar] [CrossRef] [PubMed]
- Prabsattroo, T.; Wattanathorn, J.; Iamsaard, S.; Somsapt, P.; Sritragool, O.; Thukhummee, W.; Muchimapura, S. Moringa oleifera extract enhances sexual performance in stressed rats. J. Zhejiang Univ. Sci. B 2015, 16, 179–190. [Google Scholar] [CrossRef] [PubMed]
- Weissman, B.A.; Sottas, C.M.; Holmes, M.; Zhou, P.; Iadecola, C.; Hardy, D.O.; Ge, R.S.; Hardy, M.P. Normal responses to restraint stress in mice lacking the gene for neuronal nitric oxide synthase. J. Androl. 2009, 30, 614–620. [Google Scholar] [CrossRef] [PubMed]
- Zardooz, H.; Asl, S.Z.; Naseri, M.K.G.; Hedayati, M. Effect of chronic restraint stress on carbohydrate metabolism in rat. Physiol. Behav. 2006, 89, 373–378. [Google Scholar] [CrossRef] [PubMed]
- Chotiwat, C.; Harris, R.B. Antagonism of specific corticotropin-releasing factor receptor subtypes selectively modifies weight loss in restrained rats. Am. J. Physiol. Regul. Integr. Comp. Physiol. 2008, 295, R1762–R1773. [Google Scholar] [CrossRef]
- Lafontan, M.; Barbe, P.; Galitzky, J.; Tavernier, G.; Langin, D.; Carpene, C.; Bousquet-Mélou, A.; Berlan, M. Adrenergic regulation of adipocyte metabolism. Hum. Reprod. 1997, 12, 6–20. [Google Scholar] [CrossRef] [PubMed]
- Scherer, I.J.; Holmes, P.V.; Harris, R.B. The importance of corticosterone in mediating restraint-induced weight loss in rats. Physiol. Behav. 2011, 102, 225–233. [Google Scholar] [CrossRef]
- LI, X.; REN, L.; Weng, Q.; Trisomboon, H.; Yamamoto, T.; Pan, L.; Watanabe, G.; Taya, K. Effects of acute restraint stress on sperm motility and secretion of pituitary, adrenocortical, and gonadal hormones in adult male rats. J. Vet. Med. Sci. 2010, 72, 1501–1506. [Google Scholar]
- Carlsen, E.; Giwercman, A.; Keiding, N.; Skakkebæk, N.E. Evidence for decreasing quality of semen during past 50 years. BMJ 1992, 305, 609–613. [Google Scholar] [CrossRef] [PubMed]
- Swan, S.H.; Elkin, E.P.; Fenster, L. The question of declining sperm density revisited: An analysis of 101 studies published 1934–1996. Environ. Health Perspect. 2000, 108, 961. [Google Scholar] [CrossRef] [PubMed]
- Kumar, S.; Kumari, A.; Murarka, S. Lifestyle factors in deteriorating male reproductive health. Indian J. Exp. Biol. 2009, 47, 615–624. [Google Scholar]
- Sharpe, R.M. Lifestyle and environmental contribution to male infertility. Br. Med. Bull. 2000, 56, 630–642. [Google Scholar] [CrossRef]
- Elena, G.; Igor, G. Simultaneous denitrification and nitrification in the lab-scale oxidation ditch with low c/n ratio. Procedia Eng. 2015, 117, 107–113. [Google Scholar] [CrossRef]
- Johnsen, S.G. Testicular biopsy score count—A method for registration of spermatogenesis in human testes: Normal values and results in 335 hypogonadal males. Horm. Res. Paediatr. 1970, 1, 2–25. [Google Scholar] [CrossRef]
- Kheirabad, M.K.; Khodabandeh, Z.; Rahmanifar, F.; Tamadon, A.; Jahromi, B.N.; Owjfard, M.; Koohi-Hosseinabadi, O. Testicular germ cells apoptosis following exposure to chronic stress in rats. Asian Pac. J. Reprod. 2016, 5, 371–375. [Google Scholar] [CrossRef]





| Groups | Tubular Diameter (μm) N = 25 | Tubular Area (μm2) N = 25 | Epithelial Height (μm) N = 25 | LuminalDiameter (μm2) N = 25 | Luminal Area (μm2) N = 25 | Leydig Cell Area (μm2) N = 50 | Width of Tunica Albuginea (μm) N = 25 |
|---|---|---|---|---|---|---|---|
| C | 186.48 ± 23.93 | 103.67 ± 8.63.15 | 55.87 ± 10.22 | 69.10 ± 16.99 | 49.26 ± 8.47 | 108.19 ± 30.60 | 12.99 ± 1.35 |
| RS | 150.67 ± 10.64 * | 115.93 ± 10.57 * | 35.93 ± 7.88 * | 82.53 ± 10.06 * | 68.33 ± 8.244 * | 149.76 ± 34.38 * | 15.31 ± 0.60 * |
| RS + V | 155.35 ± 8.10 * | 123.04 ± 7.19 * | 40.19 ± 7.40 * | 78.08 ± 10.11 | 56.29 ± 6.70 * | 127.99 ± 36.13 * | 14.72 ± 2.13 * |
| RS + 2 mg | 171.81 ± 14.10 | 105.81 ± 12.20 | 50.87 ± 9.26 | 64.42 ± 12.71 | 47.40 ± 11.38 | 113.73 ± 20.61 | 13.05 ± 1.09 |
| RS + 20 mg | 171.93 ± 13.78 * | 110.42 ± 6.05 * | 51.33 ± 7.07 | 77.22 ± 13.13 | 47.66 ± 9.35 | 114.59 ± 23.26 | 12.12 ± 0.56 * |
| Groups | N | Stages | Leydig Cells | ||
|---|---|---|---|---|---|
| I–III | IV | V | |||
| C | 50 | 5 (10%) | 7 (14%) | 4 (8%) | 0 (0%) |
| RS | 50 | 39 (78%) | 36 (72%) | 37 (74%) | 25 (50%) |
| RS + V | 50 | 31 (62%) | 29 (58%) | 30 (60%) | 22 (44%) |
| RS + 2 mg | 50 | 24 (48%) | 23 (46%) | 20 (40%) | 13 (26%) |
| RS + 20 mg | 50 | 32 (64%) | 37(74%) | 31 (62%) | 18 (36%) |
| p < 0.05 * | p < 0.05 * | p < 0.05 * | p < 0.05 * | ||
| Score | Description |
|---|---|
| 5 | Complete spermatogenesis with mature sperm cells |
| 4 | Some sperm cells, with a disorganized epithelium |
| 3 | Presence of few sperm (<5 to 10) |
| 2 | Absence of sperm cells, presence of spermatids |
| 1 | Absence of sperm cells, presence of a few spermatids |
| 0 | Absence of sperm cells or spermatids, presence of spermatocytes |
| Groups | Number of Sections | Scores | |||||
|---|---|---|---|---|---|---|---|
| 5 | 4 | 3 | 2 | 1 | 0 | ||
| C | 20 | 8 (40%) | 6 (30%) | 2 (10%) | 2 (10%) | 1 (5%) | 1 (5%) |
| RS | 20 | 1 (5%) | 1 (5%) | 2 (10%) | 5 (10%) | 5 (25%) | 6 (30%) |
| RS + V | 20 | 0 (0%) | 1 (5%) | 5 (25%) | 5 (25%) | 3 (15%) | 6 (30%) |
| RS + 2 mg | 20 | 4 (20%) | 6 (30%) | 4 (29%) | 2 (10%) | 2 (10%) | 2 (10%) |
| RS + 20 mg | 20 | 2 (10%) | 2 (10%) | 3 (15%) | 4 (29%) | 5 (25%) | 4 (29%) |
| p > 0.05 | p > 0.05 | p > 0.05 | p > 0.05 | p < 0.05 | p > 0.05 | ||
© 2019 by the authors. Licensee MDPI, Basel, Switzerland. This article is an open access article distributed under the terms and conditions of the Creative Commons Attribution (CC BY) license (http://creativecommons.org/licenses/by/4.0/).
Share and Cite
Mustafa, S.; Wei, Q.; Ennab, W.; Lv, Z.; Nazar, K.; Siyal, F.A.; Rodeni, S.; Kavita, N.M.X.; Shi, F. Resveratrol Ameliorates Testicular Histopathology of Mice Exposed to Restraint Stress. Animals 2019, 9, 743. https://doi.org/10.3390/ani9100743
Mustafa S, Wei Q, Ennab W, Lv Z, Nazar K, Siyal FA, Rodeni S, Kavita NMX, Shi F. Resveratrol Ameliorates Testicular Histopathology of Mice Exposed to Restraint Stress. Animals. 2019; 9(10):743. https://doi.org/10.3390/ani9100743
Chicago/Turabian StyleMustafa, Sheeraz, Quanwei Wei, Wael Ennab, Zengpeng Lv, Korejo Nazar, Farman Ali Siyal, Saif Rodeni, Ngekure M. X. Kavita, and Fangxiong Shi. 2019. "Resveratrol Ameliorates Testicular Histopathology of Mice Exposed to Restraint Stress" Animals 9, no. 10: 743. https://doi.org/10.3390/ani9100743
APA StyleMustafa, S., Wei, Q., Ennab, W., Lv, Z., Nazar, K., Siyal, F. A., Rodeni, S., Kavita, N. M. X., & Shi, F. (2019). Resveratrol Ameliorates Testicular Histopathology of Mice Exposed to Restraint Stress. Animals, 9(10), 743. https://doi.org/10.3390/ani9100743

