Apelin System in Mammary Gland of Sheep Reared in Semi-Natural Pastures of the Central Apennines
Simple Summary
Abstract
1. Introduction
2. Materials and Methods
2.1. Animal Recruiting, Performances and Tissue Collection
2.2. Morphological Staining and Immunohistochemistry
2.3. RNA Extraction and Real-Time PCR
2.4. Statistical Analysis
3. Results
3.1. Animal Performances and Intake
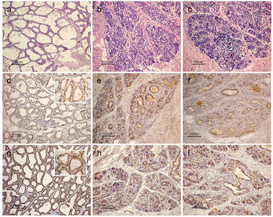
3.2. Morphological and Immunohistochemical Evaluation
3.3. Real-Time PCR
4. Discussion
5. Conclusions
Supplementary Materials
Author Contributions
Funding
Acknowledgments
Conflicts of Interest
References
- Scocco, P.; Mercati, F.; Brusaferro, A.; Ceccarelli, P.; Belardinelli, C.; Malfatti, A. Keratinization degree of rumen epithelium and body condition score in sheep grazing on Brachipodium rupestre. Vet. Ital. 2013, 49, 211–217. [Google Scholar] [PubMed]
- Scocco, P.; Piermarteri, K.; Malfatti, A.; Tardella, F.M.; Catorci, A. Increase of drought stress negatively affects the sustainability of extensive sheep farming in sub-Mediterranean climate. J. Arid Environ. 2016, 128, 50–58. [Google Scholar] [CrossRef]
- Scocco, P.; Piermarteri, K.; Malfatti, A.; Tardella, F.M.; Catorci, A. Effects of summer rainfall variations on sheep body state and farming sustainability in sub-mediterranean pastoral system. Span. J. Agric. Res. 2016, 14, 1–4. [Google Scholar] [CrossRef]
- Scocco, P.; Mercati, F.; Tardella, F.M.; Catorci, A. Increase of forage dryness induces differentiated anatomical response in the sheep rumen compartments. Microsc. Res. Tech. 2016, 79, 738–743. [Google Scholar] [CrossRef] [PubMed]
- Scocco, P.; Rivaroli, S.; Mercati, F.; Tardella, F.M.; Malfatti, A.; De Felice, E.; Catorci, A. Anatomy for economy: Starting from the rumen keratinization degree to enhance the farm income. Food Econ. 2018, 20, 1–12. [Google Scholar] [CrossRef]
- Pulina, G.; Milán, M.J.; Lavín, M.P.; Theodoridis, A.; Morin, E.; Capote, J.; Thomas, D.L.; Francesconi, A.H.D.; Caja, G. Invited review: Current production trends, farm structures, and economics of the dairy sheep and goat sectors. J. Dairy Sci. 2018, 101, 6715–6729. [Google Scholar] [CrossRef] [PubMed]
- Lérias, J.R.; Hernández-Castellano, L.E.; Suárez-Trujillo, A.; Castro, N.; Pourlis, A.; Almeida, A.M. The mammary gland in small ruminants: Major morphological and functional events underlying milk production—A review. J. Dairy Res. 2014, 81, 304–318. [Google Scholar] [CrossRef] [PubMed]
- Knight, C.H.; Peaker, M. Development of the mammary gland. J. Reprod. Fertil. 1982, 65, 621–626. [Google Scholar] [CrossRef]
- Neville, M.C.; McFadden, T.B.; Forsyth, I. Hormonal regulation of mammary differentiation and milk secretion. J. Mammary Gland Biol. Neoplasia 2002, 7, 49–66. [Google Scholar] [CrossRef] [PubMed]
- Palin, M.F.; Farmer, C.; Duarte, C.R.A. Triennial lactation symposium/bolfa: Adipokines affect mammary growth and function in farm animals. J. Anim. Sci. 2017, 95, 5689–5700. [Google Scholar] [CrossRef] [PubMed]
- Habata, Y.; Fujii, R.; Hosoya, M.; Fukusumi, S.; Kawamata, Y.; Hinuma, S.; Kitada, C.; Nishizawa, N.; Murosaki, S.; Kurokawa, T.; et al. Apelin, the natural ligand of the orphan receptor APJ, is abundantly secreted in the colostrum. Biochim. Biophys. Acta 1999, 1452, 25–35. [Google Scholar] [CrossRef]
- Pitkin, S.L.; Maguire, J.J.; Bonner, T.I.; Davenport, A.P. International Union of Basic and Clinical Pharmacology. LXXIV. Apelin receptor nomenclature, distribution, pharmacology, and function. Pharmacol. Rev. 2010, 62, 331–342. [Google Scholar] [CrossRef] [PubMed]
- Wang, Z.; Greeley, G.H., Jr.; Qiu, S. Immunohistochemical localization of apelin in human normal breast and breast carcinoma. J. Mol. Histol. 2008, 39, 121–124. [Google Scholar] [CrossRef] [PubMed]
- Boucher, J.; Masri, B.; Daviaud, D.; Gesta, S.; Guigné, C.; Mazzucotelli, A.; Castan-Laurell, I.; Tack, I.; Knibiehler, B.; Carpéné, C.; et al. Apelin, a newly identified adipokine up-regulated by insulin and obesity. Endocrinology 2005, 146, 1764–1771. [Google Scholar] [CrossRef] [PubMed]
- Schilffarth, S.; Antoni, B.; Schams, D.; Meyer, H.H.; Berisha, B. The expression of apelin and its receptor APJ during different physiological stages in the bovine ovary. Int. J. Biol. Sci. 2009, 5, 344–350. [Google Scholar] [CrossRef] [PubMed]
- Mesmin, C.; Fenaille, F.; Becher, F.; Tabet, J.C.; Ezan, E. Identification and characterization of apelin peptides in bovine colostrum and milk by liquid chromatography–mass spectrometry. J. Proteome Res. 2011, 10, 5222–5231. [Google Scholar] [CrossRef] [PubMed]
- Peco, B.; Carmona, C.P.; de Pablos, I.; Azcarate, F.M. Effects of grazing abandonment on functional and taxonomic diversity of Mediterranean grasslands. Agric. Ecosyst. Environ. 2012, 152, 27–32. [Google Scholar] [CrossRef]
- Mercati, F.; Maranesi, M.; Dall’Aglio, C.; Scocco, P.; Pascucci, L.; Boiti, C.; Ceccarelli, P. Leptin receptor is expressed by epidermis and skin appendages in dog. Acta Histochem. 2014, 116, 1270–1275. [Google Scholar] [CrossRef] [PubMed]
- Susaki, E.; Wang, G.; Cao, G.; Wang, H.Q.; Englander, E.W.; Greeley, G.H., Jr. Apelin cells in the rat stomach. Regul. Pept. 2005, 129, 37–41. [Google Scholar] [CrossRef] [PubMed]
- Lambrecht, N.W.; Yakubov, I.; Zer, C.; Sachs, G. Transcriptomes of purified gastric ECL and parietal cells: Identification of a novel pathway regulating acid secretion. Phys. Genom. 2006, 25, 153–165. [Google Scholar] [CrossRef] [PubMed]
- Maranesi, M.; Zerani, M.; Lilli, L.; Dall’Aglio, C.; Brecchia, G.; Gobbetti, A.; Boiti, C. Expression of luteal estrogen receptor, interleukin-1, and apoptosis-associated genes after PGF2alpha administration in rabbits at different stages of pseudopregnancy. Domest. Anim. Endocr. 2010, 39, 116–130. [Google Scholar] [CrossRef] [PubMed]
- Livak, M.J.; Schmittgen, T.D. Analysis of relative gene expression data using real-time quantitative PCR and the 22−ΔΔCt method. Methods 2001, 25, 402–408. [Google Scholar] [CrossRef] [PubMed]
- Parillo, F.; Maranesi, M.; Mignini, F.; Marinelli, L.; Di Stefano, A.; Boiti, C.; Zerani, M. Evidence for a dopamine intrinsic direct role in the regulation of the ovary reproductive function: In vitro study on rabbit corpora lutea. PLoS ONE 2014, 9, e104797. [Google Scholar] [CrossRef] [PubMed]
- Boucquier, F.; Theriez, M. Sheep in Ruminant Nutrition: Recommended Allowances and Feed Tables; Jarrige, R., Ed.; INRA: Paris, France; John Libbey Eurotext: London, UK; Paris, France, 1989; pp. 153–168. [Google Scholar]
- Caldeira, R.M.; Belo, A.T.; Santos, C.C.; Vazques, M.I.; Portugal, A.V. The effect of long-term feed restriction and over-nutrition on body condition score, blood metabolites and hormonal profiles in ewes. Small Rumin. Res. 2007, 68, 242–255. [Google Scholar] [CrossRef]
- Dellmann, H.D.; Eurell, A. Istologia e Anatomia Microscopica Veterinaria; CEA: Milano, Italy, 2000; ISBN 8840809937. [Google Scholar]
- Rowson, A.R.; Daniels, K.M.; Ellis, S.E.; Hovey, R.C. Growth and development of the mammary glands of livestock: A veritable barnyard of opportunities. Cell Dev. Biol. 2012, 23, 557–566. [Google Scholar] [CrossRef] [PubMed]
- Hughes, K.; Watson, C.J. The Mammary Microenvironment in Mastitis in Humans, Dairy Ruminants, Rabbits and Rodents: A One Health Focus. J. Mammary Gland Biol. Neoplasia 2018, 23, 27–41. [Google Scholar] [CrossRef] [PubMed]
- Clarkson, R.W.; Wayland, M.T.; Lee, J.; Freeman, T.; Watson, C.J. Gene expression profiling of mammary gland development reveals putative roles for death receptors and immune mediators in post-lactational regression. Breast Cancer Res. 2004, 6, R92–R109. [Google Scholar] [CrossRef] [PubMed]
- Tatarczuch, L.; Philip, C.; Lee, C.S. Involution of the sheep mammary gland. J. Anat. 1997, 190, 405–416. [Google Scholar] [CrossRef] [PubMed]
- Holst, B.D.; Hurley, W.L.; Nelson, D.R. Involution of the bovine mammary gland: Histological and ultrastructural changes. J. Dairy Sci. 1987, 70, 935–944. [Google Scholar] [CrossRef]
- Sordillo, L.M.; Nickerson, S.C. Morphologic changes in the bovine mammary gland during involution and lactogenesis. Am. J. Vet. Res. 1988, 49, 1112–1120. [Google Scholar] [PubMed]
- Masri, B.; Knibiehler, B.; Audigier, Y. Apelin signalling: A promising pathway from cloning to pharmacology. Cell Signal. 2005, 17, 415–426. [Google Scholar] [CrossRef] [PubMed]
- Shirasuna, K.; Shimizu, T.; Sayama, K.; Asahi, T.; Sasaki, M.; Berisha, B.; Schams, D.; Miyamoto, A. Expression and localization of apelin and its receptor APJ in the bovine corpus luteum during the estrous cycle and prostaglandin F2 alpha-induced luteolysis. Reproduction 2008, 135, 519–525. [Google Scholar] [CrossRef] [PubMed]
- Kawamata, Y.; Habata, Y.; Fukusumi, S.; Hosoya, M.; Fujii, R.; Hinuma, S.; Nishizawa, N.; Kitada, C.; Onda, H.; Nishimura, O.; et al. Molecular properties of apelin: Tissue distribution and receptor binding. Biochim. Biophys. Acta 2001, 1538, 162–171. [Google Scholar] [CrossRef]
- Kleinz, M.J.; Davenport, A.P. Immunocytochemical localization of the endogenous vasoactive peptide apelin to human vascular and endocardial endothelial cells. Regul. Pept. 2004, 118, 119–125. [Google Scholar] [CrossRef] [PubMed]
- Różycka, M.; Kurowska, P.; Grzesiak, M.; Kotula-Balak, M.; Tworzydło, W.; Rame, C.; Gregoraszczuk, E.; Dupont, J.; Rak, A. Apelin and apelin receptor at different stages of corpus luteum development and effect of apelin on progesterone secretion and 3β-hydroxysteroid dehydrogenase (3β-HSD) in pigs. Anim. Reprod. Sci. 2018, 192, 251–260. [Google Scholar] [CrossRef] [PubMed]
- Kleinz, M.J.; Skepper, J.N.; Davenport, A.P. Immunocytochemical localisation of the apelin receptor, APJ, to human cardiomyocytes, vascular smooth muscle and endothelial cells. Regul. Pept. 2005, 126, 233–240. [Google Scholar] [CrossRef] [PubMed]


| Gene | Primers | bp | |
|---|---|---|---|
| APLN | F | CTTCTGACGGGAAGGAGATG | 106 |
| R | CGGAACTTCCTCCGACCT | ||
| APLNR | F | TTGTGGGTCTGGAGGGTAAG | 100 |
| R | GCTGGGAGCATTTCAGAGAC | ||
| ACTB | F | CCTTAGCAACCATGCTGTGA | 130 |
| R | AAGCTGGTGCAGGTAGAGGA |
| Items | MxD | Exp |
|---|---|---|
| Animal Age (years) | 3 | 3 |
| Number of pregnancies for each subjects | 2 | 2 |
| Number of lamb/pregnancy for each subjects | 1 | 1 |
| Mean Body weight (Kg) | 50.12 | 49.88 |
| Mean Body Condition Score | 1.913 | 1.907 |
| APLN | APLNR | |||
|---|---|---|---|---|
| Groups | Mean | SD | Mean | SD |
| MxF | 6.201 | 0.454 | 0.839 | 0.254 |
| Exp | 1.613 | 0.112 | 0.229 | 0.030 |
| MxD | 1.620 | 0.178 | 0.184 | 0.043 |
| *P MxF vs. Exp | 1.98 × 10−8 | 0.000672 | ||
| *P MxF vs. MxD | 2.79 × 10−8 | 0.000438 | ||
| *P MxD vs. Exp | 0.9508 | 0.07745 | ||
© 2018 by the authors. Licensee MDPI, Basel, Switzerland. This article is an open access article distributed under the terms and conditions of the Creative Commons Attribution (CC BY) license (http://creativecommons.org/licenses/by/4.0/).
Share and Cite
Mercati, F.; Maranesi, M.; Dall’Aglio, C.; Petrucci, L.; Pasquariello, R.; Tardella, F.M.; De Felice, E.; Scocco, P. Apelin System in Mammary Gland of Sheep Reared in Semi-Natural Pastures of the Central Apennines. Animals 2018, 8, 223. https://doi.org/10.3390/ani8120223
Mercati F, Maranesi M, Dall’Aglio C, Petrucci L, Pasquariello R, Tardella FM, De Felice E, Scocco P. Apelin System in Mammary Gland of Sheep Reared in Semi-Natural Pastures of the Central Apennines. Animals. 2018; 8(12):223. https://doi.org/10.3390/ani8120223
Chicago/Turabian StyleMercati, Francesca, Margherita Maranesi, Cecilia Dall’Aglio, Linda Petrucci, Rolando Pasquariello, Federico Maria Tardella, Elena De Felice, and Paola Scocco. 2018. "Apelin System in Mammary Gland of Sheep Reared in Semi-Natural Pastures of the Central Apennines" Animals 8, no. 12: 223. https://doi.org/10.3390/ani8120223
APA StyleMercati, F., Maranesi, M., Dall’Aglio, C., Petrucci, L., Pasquariello, R., Tardella, F. M., De Felice, E., & Scocco, P. (2018). Apelin System in Mammary Gland of Sheep Reared in Semi-Natural Pastures of the Central Apennines. Animals, 8(12), 223. https://doi.org/10.3390/ani8120223

