Treatment of Three Ferrets Diagnosed with Ferret Systemic Coronaviral Disease Using the Nucleoside Analogue GS-441524
Abstract
Simple Summary
Abstract
1. Introduction
2. Materials and Methods
3. Results
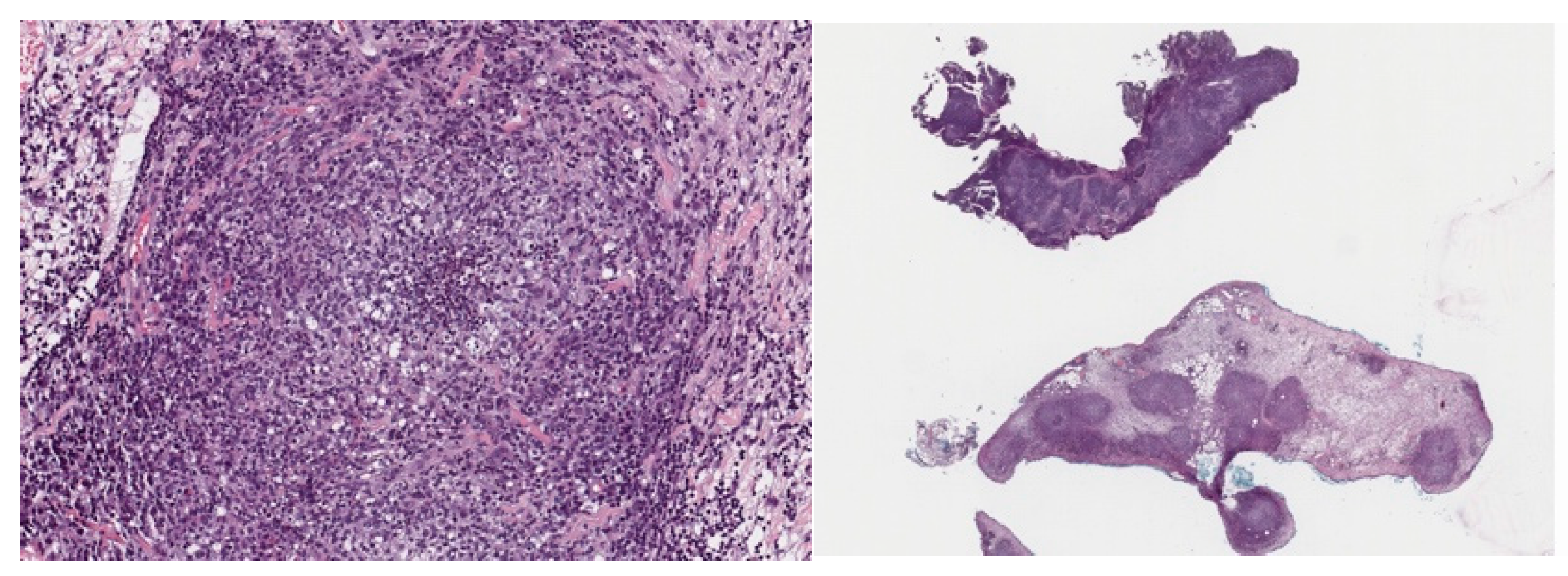
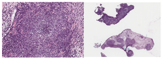
3.1. Case 1
3.2. Case 2
3.3. Case 3
4. Discussion
5. Conclusions
Supplementary Materials
Author Contributions
Funding
Institutional Review Board Statement
Informed Consent Statement
Data Availability Statement
Acknowledgments
Conflicts of Interest
References
- Martinez, J.; Reinacher, M.; Perpiñán, D.; Ramis, A. Identification of group 1 coronavirus antigen in multisystemic granulomatous lesions in ferrets (Mustela putorius furo). J. Comp. Pathol. 2008, 138, 54–58. [Google Scholar] [CrossRef]
- Martinez, J.; Ramis, A.J.; Reinacher, M.; Perpiñán, D. Detection of feline infectious peritonitis virus-like antigen in ferrets. Vet. Rec. 2006, 158, 523. [Google Scholar] [CrossRef]
- Garner, M.M.; Ramsell, K.; Morera, N.; Juan-Sallés, C.; Jiménez, J.; Ardiaca, M.; Montesinos, A.; Teifke, J.P.; Löhr, C.V.; Evermann, J.F.; et al. Clinicopathologic Features of a Systemic Coronavirus-Associated Disease Resembling Feline Infectious Peritonitis in the Domestic Ferret (Mustela putorius). Vet. Pathol. 2008, 45, 236–246. [Google Scholar] [CrossRef] [PubMed]
- Williams, B.H.; Kiupel, M.; West, K.H.; Raymond, J.T.; Grant, C.K.; Glickman, L.T. Coronavirus-associated epizootic catarrhal enteritis in ferrets. J. Am. Vet. Med. Assoc. 2000, 217, 526–530. [Google Scholar] [CrossRef]
- Wise, A.G.; Kiupel, M.; Maes, R.K. Molecular characterization of a novel coronavirus associated with epizootic catarrhal enteritis (ECE) in ferrets. Virology 2006, 349, 164–174. [Google Scholar] [CrossRef] [PubMed]
- Wise, A.G.; Kiupel, M.; Garner, M.M.; Clark, A.K.; Maes, R.K. Comparative sequence analysis of the distal one-third of the genomes of a systemic and an enteric ferret coronavirus. Virus Res. 2010, 149, 42–50. [Google Scholar] [CrossRef]
- Autieri, C.R.; Miller, C.L.; Scott, K.E.; Kilgore, A.; Papscoe, V.A.; Garner, M.M.; Haupt, J.L.; Bakthavatchalu, V.; Muthupalani, S.; Fox, J.G. Systemic coronaviral disease in 5 ferrets. Comp. Med. 2015, 64, 508–516. [Google Scholar]
- Gnirs, K.; Quinton, J.F.; Dally, C.; Nicolier, A.; Ruel, Y. Cerebral pyogranuloma associated with systemic coronavirus infection in a ferret. J. Small Anim. Pract. 2016, 57, 36–39. [Google Scholar] [CrossRef] [PubMed]
- Lescano, J.; Quevedo, M.; Gonzales-Viera, O.; Luna, L.; Keel, M.K.; Gregory, F. First case of systemic coronavirus infection in a domestic ferret (Mustela putorius furo) in Peru. Transbound. Emerg. Dis. 2015, 62, 581–585. [Google Scholar] [CrossRef]
- Lindemann, D.M.; Eshar, D.; Schumacher, L.L.; Almes, K.M.; Rankin, A.J. Pyogranulomatous panophthalmitis with systemic coronavirus disease in a domestic ferret (Mustela putorius furo). Vet. Ophthalmol. 2016, 19, 167–171. [Google Scholar] [CrossRef]
- Michimae, Y.; Mikami, S.; Okimoto, K.; Toyosawa, K.; Matsumoto, I.; Kouchi, M.; Koujitani, T.; Inoue, T.; Seki, T. The first case of feline infectious peritonitis-like pyogranuloma in a ferret infected by coronavirus in Japan. J. Toxicol. Pathol. 2010, 23, 99–101. [Google Scholar] [CrossRef][Green Version]
- Shigemoto, J.; Muraoka, Y.; Wise, A.G.; Kiupel, M.; Maes, R.K.; Torisu, S. Two cases of systemic coronavirus-associated disease resembling feline infectious peritonitis in domestic ferrets in Japan. J. Exot. Pet Med. 2014, 23, 196–200. [Google Scholar] [CrossRef] [PubMed]
- Tarbert, D.K.; Bolin, L.L.; Stout, A.E.; Schaefer, D.M.W.; Ruby, R.E.; Fernandez, J.R.-R.; Duhamel, G.E.; Whittaker, G.R.; de Matos, R. Persistent infection and pancytopenia associated with ferret systemic coronaviral disease in a domestic ferret. J. Vet. Diagn. Invest. 2020, 32, 616–620. [Google Scholar] [CrossRef] [PubMed]
- Wills, S.E.; Beaufrère, H.H.; Brisson, B.A.; Fraser, R.S.; Smith, D.A. Pancreatitis and systemic coronavirus infection in a ferret (Mustela putorius furo). Comp. Med. 2018, 68, 208–211. [Google Scholar] [CrossRef] [PubMed]
- Murray, J.; Kiupel, M.; Maes, R.K. Ferret coronavirus-associated diseases. Vet. Clin. North Am. Exot. Anim. Pract. 2010, 13, 543–560. [Google Scholar] [CrossRef] [PubMed]
- Pedersen, N.C. A review of feline infectious peritonitis virus infection: 1963–2008. J. Feline Med. Surg. 2009, 11, 225–258. [Google Scholar] [CrossRef] [PubMed]
- Haake, C.; Sarah Cook, S.; Pusterla, N.; Murphy, B. Coronavirus Infections in Companion Animals: Virology, Epidemiology, Clinical and Pathologic Features. Viruses 2020, 12, 1023. [Google Scholar] [CrossRef]
- Graham, E.; Lamm, C.; Denk, D.; Stidworthy, M.-F.; Carrasco, D.C.; Kubiak, M. Systemic coronavirus-associated disease resembling feline infectious peritonitis in ferrets in the UK. Vet. Rec. 2012, 171, 200. [Google Scholar] [CrossRef]
- Fischer, Y.; Ritz, S.; Weber, K.; Sauter-Louis, C.; Hartmann, K. Randomized, placebo-controlled study of the effect of propentofylline on survival time and quality of life of cats with Feline Infectious Peritonitis. J. Vet. Intern. Med. 2011, 25, 1270–1276. [Google Scholar] [CrossRef]
- Ritz, S.; Egberink, H.; Hartmann, K. Effect of Feline Interferon-Omega on the survival time and quality of life of cats with Feline Infectious Peritonitis. J. Vet. Intern. Med. 2007, 21, 1193–1197. [Google Scholar] [CrossRef]
- Cox, R.M.; Wolf, J.D.; Lieber, C.M.; Sourimant, J.; Lin, M.J.; Babusis, D.; DuPont, V.; Chan, J.; Barrett, K.T.; Lye, D.; et al. Oral prodrug of remdesivir parent GS-441524 is efficacious against SARS-CoV-2 in ferrets. Nat. Commun. 2021, 12, 6415–6426. [Google Scholar] [CrossRef] [PubMed]
- Cox, R.M.; Wolf, J.D.; Plemper, R.K. Therapeutically administered ribonucleoside analogue MK-4482/EIDD-2801 blocks SARS-CoV-2 transmission in ferrets. Nat. Microbiol. 2021, 6, 11–18. [Google Scholar] [CrossRef] [PubMed]
- Cook, S.E.; Vogel, H.; Castillo, D.; Olsen, M.; Pedersen, N.; Murphy, B. Investigation of monotherapy and combined anticoronaviral therapies against feline coronavirus serotype II in vitro. J. Fel. Med. Surg. 2022, 24, 943–953. [Google Scholar] [CrossRef]
- Pedersen, N.C.; Kim, Y.; Liu, H.; Galasiti Kankanamalage, A.C.; Eckstrand, C.; Groutas, W.C.; Bannasch, M.; Meadows, J.M.; Chang, K.-O. Efficacy of a 3C-like protease inhibitor in treating various forms of acquired feline infectious peritonitis. J. Feline. Med. Surg. 2018, 20, 378–392. [Google Scholar] [CrossRef]
- Perera, K.D.; Galasiti Kankanamalage, A.C.; Rathnayake, A.D.; Honeyfield, A.; Groutas, W.; Chang, K.-O.; Kim, Y. Protease inhibitors broadly effective against feline, ferret and mink coronaviruses. Antiviral Res. 2018, 160, 79–86. [Google Scholar] [CrossRef]
- Jones, S.; Novicoff, W.; Nadeau, J.; Evans, S. Unlicensed GS-441524-Like Antiviral Therapy Can Be Effective for at-Home Treatment of Feline Infectious Peritonitis. Animals 2021, 11, 2257. [Google Scholar] [CrossRef] [PubMed]
- Cosaro, E.; Pires, J.; Castillo, D.; Murphy, B.G.; Reagan, K.L. EfficacyofOralRemdesivirComparedtoGS-441524for Treatment of Cats with Naturally Occurring Effusive Feline Infectious Peritonitis: A Blinded, Non-Inferiority Study. Viruses 2023, 15, 1680. [Google Scholar] [CrossRef]
- Pedersen, N.C.; Perron, M.; Bannasch, M.; Montgomery, E.; Murakami, E.; Liepnieks, M.; Liu, H. Efficacy and safety of the nucleoside analog GS-441524 for treatment of cats with naturally occurring feline infectious peritonitis. J. Feline. Med. Surg. 2019, 21, 271–281. [Google Scholar] [CrossRef]
- Yin, Y.; Li, T.; Wang, C.; Liu, X.; Ouyang, H.; Ji, W.; Liu, J.; Liao, X.; Li, J.; Hu, C. A retrospective study of clinical and laboratory features and treatment on cats highly suspected of feline infectious peritonitis in Wuhan, China. Sci. Rep. 2021, 11, 5208. [Google Scholar] [CrossRef]

| Tests (Ref. Range) Unit | Diagnosis 1 | Week 3 1 | Week 14 1 | Week 5 Post Treatment 1 |
|---|---|---|---|---|
| RBC (6.5–11.0) M/μL | 7.9 | 12.9 H | 11.3 H | 10.2 |
| HCT (43–55) % | 37 L | 63 H | 57 H | 55 |
| HGB (15.0–19.0) g/dL | 12 L | 20.5 H | 19.5 H | 17.1 |
| WBC (2.5–8.0) K/μL | 4.3 | 8.5 H | 6.8 | 4.5 |
| Neutrophils (1.37–4.74) K/μL | 2.75 (64%) | 2.13 (25%) | 1.97 (29%) | 1.62 (36%) |
| Lymphocytes (0.87–3.36) K/μL | 1.3 (31%) | 5.70 (67%) H | 4.42 (65%) H | 2.43 (54%) |
| Total protein (5.5–7.6) g/dL | 4.6 L | 8.8 H | 7.0 | 6.3 |
| Albumin (2.4–4.5) g/dL | 1.5 L | 3.7 | 3.8 | 3.6 |
| Globulin (2.9–4.9) g/dL | 3.1 | 5.1 H | 3.2 | 2.7 L |
| A/G ratio (0.8–2) | 0.5 L | 0.7 | 1.2 | 1.3 |
| ALT (10–280) IU//L | 51 | 170 | 288 H | 186 |
| ALP (15–45) IU/L | 86 H | 16 | 20 | 21 |
| TBIL (0.0–1.0) mg/dL | 0.1 | 0.1 | 0.1 | 0.2 |
| Creatinine (0.2–0.8) mg/dL | 0.3 | 1.0 H | 1.0 H | 1.3 H |
| BUN (10–33) mg/dL | 11 | 38 H | 38 H | 42 H |
| Tests (Ref. Range) Unit | Diagnosis 1 | Week 2 1 | Week 12 1 | Week 17 1 | 30 Weeks after Treatment 1 |
|---|---|---|---|---|---|
| RBC (6.35–11.20) M/μL | 7.18 | 8.26 | 7.79 | 9.40 | 9.75 |
| HCT (37–55) % | 32.8 L | 40.7 | 36.2 L | 41.8 | 44.6 |
| HGB (11.0–17.0) g/dL | 11.5 | 13 | 12.5 | 14.7 | 15.5 |
| WBC (2.0–10.0) K/μL | 8.7 | 16.7 H | 6.5 | 6.4 | 5.5 |
| Neutrophils (0.62–3.30) K/μL | 3.82 (43.7%) | 10.72 (64.2%) H | 2.15 (33.2%) | 2.32 (36.4%) | 3.28 (59.7%) |
| Lymphocytes (1.00–8.00) K/μL | 3.73 (42.7%) | 4.88 (29.3%) | 3.59 (55.5%) | 3.30 (51.8%) | 1.79 (32.6%) |
| Total protein (5.2–7.3) g/dL | 8.2 H | 7.5 H | 6.8 | 6.9 | 5.7 |
| Albumin (2.6–3.8) g/dL | 2.7 | 2.7 | 3.1 | 3.2 | 2.5 L |
| Globulin (1.8–3.1) g/dL | 5.5 H | 4.8 H | 3.7 H | 3.7 H | 3.3 H |
| A/G ratio | 0.5 | 0.6 | 0.8 | 0.9 | 0.8 |
| ALT (82–289) U//L | 135 | 68 | 63 L | 75 L | 102 |
| ALP (9–84) U/L | <10 | 32 | 29 | 21 | 20 |
| TBIL (0.1–1.0) mg/dL | 0.3 | 0.3 | 0.2 | 0.4 | 0.2 |
| Creatinine (0.4–0.9) mg/dL | 0.3 | 0.3 | 0.6 | 0.6 | 0.6 |
| BUN (10–45) mg/dL | 17 | 16 | 36 | 33 | 29 |
| Tests (Ref. Range 2) Unit | Diagnosis (Ref. Range) 1 | Week 4 2 | Week 9 2 | Week 12 2 | 13 Weeks after Treatment 2 |
|---|---|---|---|---|---|
| RBC (6.5–11.0) M/μL | 11.45 H (6.35–11.20) | NA | 12.7 H | NA | NA |
| HCT (43–55) % | 40.2 (37.0–55.0) | 51 | 62 H | 58 H | 53 |
| HGB (15.0–19.0) g/dL | 14.3 (11.0–17.0) | NA | 17.1 | NA | NA |
| WBC (2.5–8.0) K/μL | 12.8 (2–10) H | 13.8 H | 9.8 H | 7.5 | 3.6 |
| Neutrophils (1.37–4.74) K/μL | 5.46 (0.62–3.30) (42.6%) H | 4.28 (31%) | 1.27 (13%) L | 1.87 (24%) | 0.83 (23%) |
| Lymphocytes (0.87–3.36) K/μL | 5.91 (1.00–8.00) (46.1%) | 8.69 (63%) | 7.74 (79%) H | 5.93 (76%) H | 2.66 (74%) |
| Total protein (5.2–7.3) g/dL | 10.9 (5.2–7.3) H | 9.0 H | 7.1 | 7.4 | 6.8 |
| Albumin (2.4–4.5) g/dL | 2.6 (2.6–3.8) | 2.5 | 3.4 | 4.2 | 3.5 |
| Globulin (2.9–4.9) g/dL | 8.3 (1.8–3.1) H | 6.5 H | 3.7 | 3.2 | 3.3 |
| A/G ratio | 0.3 | 0.4 | 0.9 | 1.3 | 1.1 |
| ALT (10–280) U/L | 65 (82–289) L | 60 | 50 | 88 | 63 |
| ALP (15–45) U/L | 43 (9–84) | 45 | 40 | 33 | 29 |
| TBIL (0.0–1.0) mg/dL | 0.4 | 0.0 | 0.1 | 0.1 | 0.1 |
| Creatinine (0.2–0.8) mg/dL | 0.6 (0.4–0.9) | NA | 0.8 | 0.8 | NA |
| BUN (10–33) mg/dL | 13 (10–45) | 35 H | 32 | 40 H | 35 H |
Disclaimer/Publisher’s Note: The statements, opinions and data contained in all publications are solely those of the individual author(s) and contributor(s) and not of MDPI and/or the editor(s). MDPI and/or the editor(s) disclaim responsibility for any injury to people or property resulting from any ideas, methods, instructions or products referred to in the content. |
© 2024 by the authors. Licensee MDPI, Basel, Switzerland. This article is an open access article distributed under the terms and conditions of the Creative Commons Attribution (CC BY) license (https://creativecommons.org/licenses/by/4.0/).
Share and Cite
Puffal, J.; Neece, A.J.; Scaletti, F. Treatment of Three Ferrets Diagnosed with Ferret Systemic Coronaviral Disease Using the Nucleoside Analogue GS-441524. Animals 2024, 14, 916. https://doi.org/10.3390/ani14060916
Puffal J, Neece AJ, Scaletti F. Treatment of Three Ferrets Diagnosed with Ferret Systemic Coronaviral Disease Using the Nucleoside Analogue GS-441524. Animals. 2024; 14(6):916. https://doi.org/10.3390/ani14060916
Chicago/Turabian StylePuffal, Julia, Amanda J. Neece, and Federica Scaletti. 2024. "Treatment of Three Ferrets Diagnosed with Ferret Systemic Coronaviral Disease Using the Nucleoside Analogue GS-441524" Animals 14, no. 6: 916. https://doi.org/10.3390/ani14060916
APA StylePuffal, J., Neece, A. J., & Scaletti, F. (2024). Treatment of Three Ferrets Diagnosed with Ferret Systemic Coronaviral Disease Using the Nucleoside Analogue GS-441524. Animals, 14(6), 916. https://doi.org/10.3390/ani14060916

