Orchiectomy Decreases Locomotor Activity and Delays the Expression of the Clock Protein PER1 in the Suprachiasmatic Nucleus in Rabbits
Simple Summary
Abstract
1. Introduction
2. Materials and Methods
2.1. Animals and Housing Conditions
2.2. Gonadectomy
2.3. Immunohistochemistry
2.4. Quantification of Immunostaining
2.5. Statistical Analysis
3. Results
3.1. Effect of the Gonadectomy on Locomotor Activity
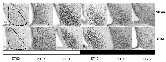
3.2. Effect of Gonadectomy on PER1 Expression in SCN
4. Discussion
5. Conclusions
Author Contributions
Funding
Institutional Review Board Statement
Informed Consent Statement
Data Availability Statement
Acknowledgments
Conflicts of Interest
References
- Reppert, S.M.; Weaver, D.R. Molecular analysis of mammalian circadian rhythms. Annu. Rev. Physiol. 2001, 63, 647–676. [Google Scholar] [CrossRef] [PubMed]
- Reppert, S.M.; Weaver, D.R. Coordination of circadian timing in mammals. Nature 2002, 418, 935–941. [Google Scholar] [CrossRef] [PubMed]
- Miller, B.H.; McDearmon, E.L.; Panda, S.; Hayes, K.R.; Zhang, J.; Andrews, J.L.; Takahashi, J.S. Circadian and CLOCK-controlled regulation of the mouse transcriptome and cell proliferation. Proc. Natl. Acad. Sci. USA 2007, 104, 3342–3347. [Google Scholar] [CrossRef] [PubMed]
- Moga, M.M.; Moore, R.Y. Organization of neural inputs to the suprachiasmatic nucleus in the rat. J. Comp. Neurol. 1997, 389, 508–534. [Google Scholar] [CrossRef]
- Abrahamson, E.E.; Moore, R.Y. Suprachiasmatic nucleus in the mouse: Retinal innervation, intrinsic organization and efferent projections. Brain Res. 2001, 916, 172–191. [Google Scholar] [CrossRef]
- Kriegsfeld, L.J.; Silver, R. The regulation of neuroendocrine function: Timing is everything. Horm. Behav. 2006, 49, 557–574. [Google Scholar] [CrossRef]
- Zhou, L.; Blaustein, J.D.; De Vries, G.J. Distribution of androgen receptor immunoreactivity in vasopressin-and oxytocin-immunoreactive neurons in the male rat brain. Endocrinology 1994, 134, 2622–2627. [Google Scholar] [CrossRef]
- Iwahana, E.; Karatsoreos, I.; Shibata, S.; Silver, R. Gonadectomy reveals sex differences in circadian rhythms and suprachiasmatic nucleus androgen receptors in mice. Horm. Behav. 2008, 53, 422–430. [Google Scholar] [CrossRef]
- Fernández-Guasti, A.; Kruijver, F.P.; Fodor, M.; Swaab, D.F. Sex differences in the distribution of androgen receptors in the human hypothalamus. J. Comp. Neurol. 2000, 425, 422–435. [Google Scholar] [CrossRef]
- Karatsoreos, I.N.; Wang, A.; Sasanian, J.; Silver, R. A role for androgens in regulating circadian behavior and the suprachiasmatic nucleus. Endocrinology 2007, 148, 5487–5495. [Google Scholar] [CrossRef]
- Model, Z.; Butler, M.P.; LeSauter, J.; Silver, R. Suprachiasmatic nucleus as the site of androgen action on circadian rhythms. Horm. Behav. 2015, 73, 1–7. [Google Scholar] [CrossRef] [PubMed]
- Vaughan, M.K.; Vaughan, G.M.; Little, J.C.; Buzzell, G.R.; Chambers, J.P.; Reiter, R.J. Pineal lysosomal enzymes in the Syrian hamster: Circadian rhythm and effects of castration or short photoperiod treatment. Brain Res. 1989, 489, 318–324. [Google Scholar] [CrossRef] [PubMed]
- Jechura, T.J.; Walsh, J.M.; Lee, T.M. Testicular hormones modulate circadian rhythms of the diurnal rodent, Octodon degus. Horm. Behav. 2000, 38, 243–249. [Google Scholar] [CrossRef] [PubMed]
- Kalra, P.S.; Kalra, S.P. Circadian periodicities of serum androgens, progesterone, gonadotropins and luteinizing hormone-releasing hormone in male rats: The effects of hypothalamic deafferentation, castration and adrenalectomy. Endocrinology 1977, 101, 1821–1827. [Google Scholar] [CrossRef] [PubMed]
- Karatsoreos, I.N.; Butler, M.P.; LeSauter, J.; Silver, R. Androgens modulate structure and function of the suprachiasmatic nucleus brain clock. Endocrinology 2011, 152, 1970–1978. [Google Scholar] [CrossRef]
- Mong, J.A.; Baker, F.C.; Mahoney, M.M.; Paul, K.N.; Schwartz, M.D.; Semba, K.; Silver, R. Sleep, rhythms, and the endocrine brain: Influence of sex and gonadal hormones. J. Neurosci. 2011, 31, 16107–16116. [Google Scholar] [CrossRef]
- Suckow, M.A.; Schroeder, V.; Douglas, F.A. The Laboratory Rabbit; CRC Press: Boca Raton, FL, USA, 2010. [Google Scholar] [CrossRef]
- Jilge, B. Ontogeny of the rabbit’s circadian rhythms without an external zeitgeber. Physiol. Behav. 1995, 58, 131–140. [Google Scholar] [CrossRef]
- Jilge, B. The rabbit: A diurnal or a nocturnal animal? J. Exp. Anim. Sci. 1991, 34, 170–183. [Google Scholar] [PubMed]
- Pivik, R.T.; Bylsma, F.W.; Cooper, P. Sleep—Wakefulness rhythms in the rabbit. Behav. Neural Biol. 1986, 45, 275–286. [Google Scholar] [CrossRef]
- Meza, E.; Juárez, C.; Morgado, E.; Zavaleta, Y.; Caba, M. Brief daily suckling shifts locomotor behavior and induces PER1 protein in paraventricular and supraoptic nuclei, but not in the suprachiasmatic nucleus, of rabbit does. Eur. J. Neurosci. 2008, 28, 1394–1403. [Google Scholar] [CrossRef]
- Caba, M.; Tovar, A.; Silver, R.; Mogado, E.; Meza, E.; Zavaleta, Y.; Juárez, C. Nature’s food anticipatory experiment: Entrainment of locomotor behavior, suprachiasmatic and dorsomedial hypothalamic nuclei by suckling in rabbit pups. Eur. J. Neurosci. 2008, 27, 432–443. [Google Scholar] [CrossRef] [PubMed]
- Moor, B.C.; Young Lai, E.V. Effects of anesthesia, rapid blood sampling and castration on testosterone and luteinizing hormone levels in the adult male rabbit. J. Steroid Biochem. 1975, 6, 1527–1530. [Google Scholar] [CrossRef] [PubMed]
- Albrecht, U.; Sun, Z.S.; Eichele, G.; Lee, C.C. A differential response of two putative mammalian circadian regulators, mper1and mper2, to light. Cell 1997, 91, 1055–1064. [Google Scholar] [CrossRef] [PubMed]
- NOM-062-ZOO-1999; Norma Oficial Mexicana—Especificaciones Técnicas para la Producción, Cuidado y Uso de los Animales de Laboratorio. Gobierno de Mexico: Ciudad de Mexico, Mexico, 1999. Available online: https://www.gob.mx/cms/uploads/attachment/file/203498/NOM-062-ZOO-1999_220801.pdf (accessed on 1 March 2012).
- Girgis, M.; Wang, S.C. A New Stereotaxic Atlas of the Rabbit Brain; Warren H. Green, Inc.: St. Louis, MO, USA, 1981. [Google Scholar]
- Conover, W.J.; Iman, R.L. Rank transformations as a bridge between parametric and nonparametric statistics. Am. Stat. 1981, 35, 124–129. [Google Scholar] [CrossRef]
- Refinetti, R. Circadian Physiology; Taylor Francis: Boca Raton, FL, USA, 2006; p. 27. [Google Scholar] [CrossRef]
- Mykytowycz, R.; Rowley, I. Continuous observations of the activity of the wild rabbit, Oryctolagus cuniculus (L.), during 24 hour periods. CSIRO Wildl. Res. 1958, 3, 26–31. [Google Scholar] [CrossRef]
- Refinetti, R.; Wassmer, T.; Basu, P.; Cherukalady, R.; Pandey, V.K.; Singaravel, M.; Piccione, G. Variability of behavioral chronotypes of 16 mammalian species under controlled conditions. Physiol. Behav. 2016, 161, 53–59. [Google Scholar] [CrossRef]
- Jilge, B.; Hudson, R. Diversity and development of circadian rhythms in the European rabbit. Chronobiol. Int. 2001, 18, 1–26. [Google Scholar] [CrossRef]
- Morita, T.; Tsujii, T.; Kondo, S. Changes of autonomic receptors following castration and estrogen administration in the male rabbit urethral smooth muscle. Tohoku J. Exp. Med. 1992, 166, 403–405. [Google Scholar] [CrossRef][Green Version]
- Zhao, C.; Moon, D.G.; Park, J.K. Effect of testosterone undecanoate on hematological profiles, blood lipid and viscosity and plasma testosterone level in castrated rabbits. Can. Urol. Assoc. J. 2013, 7, E221. [Google Scholar] [CrossRef]
- Dart, D.A.; Waxman, J.; Aboagye, E.O.; Bevan, C.L. Visualising androgen receptor activity in male and female mice. PLoS ONE 2013, 8, e71694. [Google Scholar] [CrossRef]
- Altuwaijri, S.; Kun Lee, D.; Chuang, K.H.; Ting, H.J.; Yang, Z.; Xu, Q.; Chang, C. Androgen receptor regulates expression of skeletal muscle-specific proteins and muscle cell types. Endocrine 2004, 25, 27–32. [Google Scholar] [CrossRef] [PubMed]
- Brown, M.; Fisher, J.S.; Hasser, E.M. Gonadectomy and reduced physical activity: Effects on skeletal muscle. Arch. Phys. Med. Rehabil. 2001, 82, 93–97. [Google Scholar] [CrossRef] [PubMed]
- Ibebunjo, C.; Eash, J.K.; Li, C.; Ma, Q.; Glass, D.J. Voluntary running, skeletal muscle gene expression, and signaling inversely regulated by orchidectomy and testosterone replacement. Am. J. Physiol.-Endocrinol. Metab. 2011, 300, E327–E340. [Google Scholar] [CrossRef] [PubMed]
- Roy, E.J.; Wade, G.N. Role of estrogens in androgen-induced spontaneous activity in male rats. J. Comp. Physiol. Psychol. 1975, 89, 573–579. [Google Scholar] [CrossRef] [PubMed]
- Jardí, F.; Laurent, M.R.; Kim, N.; Khalil, R.; De Bundel, D.; Van Eeckhaut, A.; Vanderschueren, D. Testosterone boosts physical activity in male mice via dopaminergic pathways. Sci. Rep. 2018, 8, 957. [Google Scholar] [CrossRef]
- Toson, M.A.; Soliman, E.B. Growth performance and some physiological aspects in NZW male rabbits as affected by unilateral and bilateral castration. Egypt. Poult. Sci. J. 2000, 20, 403–416. [Google Scholar]
- Ahmed, S.; Abdul-Rahman, S. Impact of castration and sex hormones on some hormonal and biochemical parameters of male rabbits. Bulg. J. Agric. Sci. 2022, 28, 1131–1139. [Google Scholar]
- Georgiev, I.P.; Georgieva, T.M.; Ivanov, V.; Dimitrova, S.; Kanelov, I.; Vlaykova, T.; Tanev, S.; Zaprianova, D.; Dichlianova, E.; Penchev, G.; et al. Effects of castration-induced visceral obesity and antioxidant treatment on lipid profile and insulin sensitivity in New Zealand white rabbits. Res. Vet. Sci. 2011, 90, 196–204. [Google Scholar] [CrossRef]
- Kalagassy, E.B.; Carbone, L.G.; Houpt, K.A. Effect of castration on rabbits housed in littermate pairs. J. Appl. Anim. Welf. Sci. 1999, 2, 111–121. [Google Scholar] [CrossRef]
- Dibner, C.; Schibler, U.; Albrecht, U. The mammalian circadian timing system: Organization and coordination of central and peripheral clocks. Annu. Rev. Physiol. 2010, 72, 517–549. [Google Scholar] [CrossRef]
- Challet, E. Minireview: Entrainment of the suprachiasmatic clockwork in diurnal and nocturnal mammals. Endocrinology 2007, 148, 5648–5655. [Google Scholar] [CrossRef] [PubMed]
- Wams, E.J.; Riede, S.J.; van der Laan, I.; ten Bulte, T.; Hut, R.A. Mechanisms of non-photic entrainment. In Biological Timekeeping: Clocks, Rhythms and Behaviour; Springer: New Delhi, India, 2017; pp. 395–404. [Google Scholar] [CrossRef]
- Daan, S.; Aschoff, J. Circadian rhythms of locomotor activity in captive birds and mammals: Their variations with season and latitude. Oecologia 1975, 18, 269–316. [Google Scholar] [CrossRef] [PubMed]
- Ko, C.H.; Takahashi, J.S. Molecular components of the mammalian circadian clock. Hum. Mol. Genet. 2006, 15 (Suppl. S2), R271–R277. [Google Scholar] [CrossRef] [PubMed]
- Albrecht, U. The mammalian circadian clock: A network of gene expression. Front. Biosci. 2004, 9, 8. [Google Scholar] [CrossRef] [PubMed]
- Dunlap, J.C. Molecular bases for circadian clocks. Cell 1999, 96, 271–290. [Google Scholar] [CrossRef]
- Yan, L.; Silver, R. Resetting the brain clock: Time course and localization of mPER1 and mPER2 protein expression in suprachiasmatic nuclei during phase shifts. Eur. J. Neurosci. 2004, 19, 1105–1109. [Google Scholar] [CrossRef]
- Maywood, E.S.; Mrosovsky, N.; Field, M.D.; Hastings, M.H. Rapid down-regulation of mammalian period genes during behavioral resetting of the circadian clock. Proc. Natl. Acad. Sci. USA 1999, 96, 15211–15216. [Google Scholar] [CrossRef]
- Caldelas, I.; Feillet, C.A.; Dardente, H.; Eclancher, F.; Malan, A.; Gourmelen, S.; Challet, E. Timed hypocaloric feeding and melatonin synchronize the suprachiasmatic clockwork in rats, but with opposite timing of behavioral output. Eur. J. Neurosci. 2005, 22, 921–929. [Google Scholar] [CrossRef]




Disclaimer/Publisher’s Note: The statements, opinions and data contained in all publications are solely those of the individual author(s) and contributor(s) and not of MDPI and/or the editor(s). MDPI and/or the editor(s) disclaim responsibility for any injury to people or property resulting from any ideas, methods, instructions or products referred to in the content. |
© 2024 by the authors. Licensee MDPI, Basel, Switzerland. This article is an open access article distributed under the terms and conditions of the Creative Commons Attribution (CC BY) license (https://creativecommons.org/licenses/by/4.0/).
Share and Cite
Guzmán-Acevedo, Á.R.; Caba-Flores, M.D.; Viveros-Contreras, R.; Meza-Alvarado, J.E. Orchiectomy Decreases Locomotor Activity and Delays the Expression of the Clock Protein PER1 in the Suprachiasmatic Nucleus in Rabbits. Animals 2024, 14, 3570. https://doi.org/10.3390/ani14243570
Guzmán-Acevedo ÁR, Caba-Flores MD, Viveros-Contreras R, Meza-Alvarado JE. Orchiectomy Decreases Locomotor Activity and Delays the Expression of the Clock Protein PER1 in the Suprachiasmatic Nucleus in Rabbits. Animals. 2024; 14(24):3570. https://doi.org/10.3390/ani14243570
Chicago/Turabian StyleGuzmán-Acevedo, Ángel Roberto, Mario Daniel Caba-Flores, Rubi Viveros-Contreras, and José Enrique Meza-Alvarado. 2024. "Orchiectomy Decreases Locomotor Activity and Delays the Expression of the Clock Protein PER1 in the Suprachiasmatic Nucleus in Rabbits" Animals 14, no. 24: 3570. https://doi.org/10.3390/ani14243570
APA StyleGuzmán-Acevedo, Á. R., Caba-Flores, M. D., Viveros-Contreras, R., & Meza-Alvarado, J. E. (2024). Orchiectomy Decreases Locomotor Activity and Delays the Expression of the Clock Protein PER1 in the Suprachiasmatic Nucleus in Rabbits. Animals, 14(24), 3570. https://doi.org/10.3390/ani14243570

