Use of 18-Fluorodeoxyglucose Positron Emission Tomography and Near-Infrared Fluorescence-Guided Imaging Surgery in the Treatment of a Gastric Tumor in a Dog
Abstract
Simple Summary
Abstract
1. Introduction
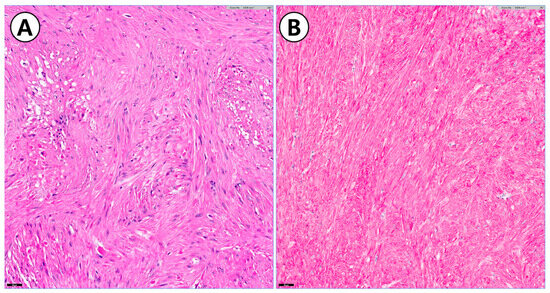
2. Case Presentation
3. Discussion
4. Conclusions
Author Contributions
Funding
Institutional Review Board Statement
Informed Consent Statement
Data Availability Statement
Acknowledgments
Conflicts of Interest
Correction Statement
References
- Massimo, G.; Maria, G.M. Gastric Neoplasia. Vet. Clin. N. Am. Small Anim. Pract. 1999, 29, 415–440. [Google Scholar] [CrossRef]
- Abrams, B.; Wavreille, V.A.; Husbands, B.D.; Matz, B.M.; Massari, F.; Liptak, J.M.; Cray, M.T.; de Mello Souza, C.H.; Wustefeld-Janssens, B.G.; Oblak, M.L.; et al. Perioperative complications and outcome after surgery for treatment of gastric carcinoma in dogs: A Veterinary Society of Surgical Oncology retrospective study of 40 cases (2004–2018). Vet. Surg. 2019, 48, 923–932. [Google Scholar] [CrossRef]
- Zuercher, M.; Vilaplana Grosso, F.; Lejeune, A. Comparison of the clinical, ultrasound, and CT findings in 13 dogs with gastric neoplasia. Vet. Radiol. Ultrasound 2021, 62, 525–532. [Google Scholar] [CrossRef]
- Hopkins, S.; Yang, G.Y. FDG PET imaging in the staging and management of gastric cancer. J. Gastrointest. Oncol. 2011, 2, 39–44. [Google Scholar]
- Sim, S.H.; Kim, Y.J.; Oh, D.Y.; Lee, S.H.; Kim, D.W.; Kang, W.J.; Kim, K.I. The role of PET/CT in detection of gastric cancer recurrence. BMC Cancer 2009, 9, 73. [Google Scholar] [CrossRef]
- Yun, M. Imaging of gastric cancer metabolism using 18F-FDG PET/CT. J. Gastric Cancer 2014, 14, 1–6. [Google Scholar] [CrossRef]
- Park, M.J.; Lee, W.J.; Lim, H.K.; Park, K.W.; Choi, J.Y.; Kim, B.T. Detecting recurrence of gastric cancer: The value of FDG PET/CT. Abdom. Imaging 2009, 34, 441–447. [Google Scholar] [CrossRef]
- Egloff-Juras, C.; Bezdetnaya, L.; Dolivet, G.; Lassalle, H.P. NIR fluorescence-guided tumor surgery: New strategies for the use of indocyanine green. Int. J. Nanomed. 2019, 14, 7823–7838. [Google Scholar] [CrossRef]
- Schaafsma, B.E.; Mieog, J.S.; Hutteman, M.; van der Vorst, J.R.; Kuppen, P.J.; Lowik, C.W.; van de Velde, C.J.; Frangioni, J.V. The clinical use of indocyanine green as a near-infrared fluorescent contrast agent for image-guided oncologic surgery. J. Surg. Oncol. 2011, 104, 323–332. [Google Scholar] [CrossRef]
- Gong, M.F.; Li, Y.; Zhang, L.; Chen, Y.; Wu, Y.; Zhao, Q.; Sun, X. Intraoperative evaluation of soft tissue sarcoma surgical margins with indocyanine green fluorescence imaging. Cancers 2023, 15, 582. [Google Scholar] [CrossRef]
- Quan, Y.H.; Chen, X.; Wang, Y.; Zhang, Y.; Huang, Z.; Yang, Y.; Huang, Z.; Chen, J. Evaluation of intraoperative near-infrared fluorescence visualization of the lung tumor margin with indocyanine green inhalation. JAMA Surg. 2020, 155, 732–740. [Google Scholar] [CrossRef]
- Weder, W.; Schmid, R.A.; Bruchhaus, H.; Hillinger, S.; von Schulthess, G.K.; Steinert, H.C. Detection of extrathoracic metastases by positron emission tomography in lung cancer. Ann. Thorac. Surg. 1998, 66, 886–892; discussion 892–893. [Google Scholar] [CrossRef]
- Zou, H.; Zhao, Y. 18FDG PET-CT for detecting gastric cancer recurrence after surgical resection: A meta-analysis. Surg. Oncol. 2013, 22, 162–166. [Google Scholar] [CrossRef]
- Chae, Y.; Yun, T.; Koo, Y.; Lee, D.; Kim, H.; Yang, M.P.; Park, J.K.; Kim, H.J. Characteristics of physiological (18)F-fluoro-2-deoxy-D-glucose uptake and comparison between cats and dogs with positron emission tomography. Front. Vet. Sci. 2021, 8, 708237. [Google Scholar] [CrossRef]
- Seiler, S.M.F.; Hatzaras, I.; Samaras, A.; Frey, S.; Post, C.; McKenzie, D.; Tilley, L.; Hutton, J.; Dewey, C.W. Comparative oncology: Evaluation of 2-Deoxy-2-[18F] fluoro-D-glucose (FDG) positron emission tomography/computed tomography (PET/CT) for the staging of dogs with malignant tumors. PLoS ONE 2015, 10, e0127800. [Google Scholar] [CrossRef]
- Kitajima, K.; Nakajo, M.; Kaida, H.; Minamimoto, R.; Hirata, K.; Tsurusaki, M.; Suga, M. Present and future roles of FDG-PET/CT imaging in the management of gastrointestinal cancer: An update. Nagoya J. Med. Sci. 2017, 79, 527–543. [Google Scholar]
- Kanda, H.; Sakamoto, S.; Nakano, M.; Yamamoto, H.; Ueda, Y.; Takahashi, Y. Perioperative management of patients with end-stage renal disease. J. Cardiothorac. Vasc. Anesth. 2017, 31, 2251–2267. [Google Scholar] [CrossRef]
- Japanese Gastric Cancer Association. Japanese gastric cancer treatment guidelines 2014 (ver. 4). Gastric Cancer 2017, 20, 1–19. [Google Scholar] [CrossRef]
- Erturk, M.S.; Cicek, Y.; Ersan, Y.; Saribeyoglu, K.; Dogusoy, G.; Erginoz, E. Analysis of clinicopathological prognostic parameters in adenocarcinoma of the gastric cardia. Acta Chir. Belg. 2003, 103, 611–615. [Google Scholar] [CrossRef]
- Sugoor, P.; Shah, S.; Dusane, R.; Desouza, A.; Goel, M.; Shrikhande, S.V. Proximal gastrectomy versus total gastrectomy for proximal third gastric cancer: Total gastrectomy is not always necessary. Langenbecks Arch. Surg. 2016, 401, 687–697. [Google Scholar] [CrossRef]
- Cho, M.; Kim, K.Y.; Park, S.H.; Kim, Y.M.; Kim, H.I.; Hyung, W.J. Securing resection margin using indocyanine green diffusion range on gastric wall during NIR fluorescence-guided surgery in early gastric cancer patients. Cancers 2022, 14, 5223. [Google Scholar] [CrossRef]
- Hill, T.K.; Abdulahad, A.; Kelkar, S.S.; Marini, F.C.; Long, T.E.; Provenzale, J.M.; Kelsey, J.B.; Johnson, S.C.; Miskimins, W.K.; Potts, S.; et al. Indocyanine green-loaded nanoparticles for image-guided tumor surgery. Bioconjug. Chem. 2015, 26, 294–303. [Google Scholar] [CrossRef]
- Mehta, M.; Hwang, J.; Tzeng, C.W.D.; Huang, C.; Hwang, R.; Hwang, K.; Fu, Y.; Chen, P.; Fong, Y.; Aljurf, M.; et al. Near-infrared mapping with indocyanine green is associated with an increase in oncological margin length in minimally invasive segmentectomy. J. Thorac. Cardiovasc. Surg. 2019, 157, 2029–2035. [Google Scholar] [CrossRef]
- Cassinotti, E.; Al-Taher, M.; Antoniou, S.A.; Arezzo, A.; Baldari, L.; Boni, L.; DeMeester, T.R.; Schreiber, H.A.; DeMarco, S.F.; Rojas, D. European Association for Endoscopic Surgery (EAES) consensus on Indocyanine Green (ICG) fluorescence-guided surgery. Surg. Endosc. 2023, 37, 1629–1648. [Google Scholar] [CrossRef]
- Marshall, M.V.; Rasmussen, J.C.; Tan, I.C.; Aldrich, M.B.; Adams, K.E.; Wang, X.; Kim, M.; Frangioni, J.V. Near-infrared fluorescence imaging in humans with indocyanine green: A review and update. Open Surg. Oncol. J. 2010, 2, 12–25. [Google Scholar] [CrossRef]
- Lee, E.G.; Kim, S.K.; Han, J.H.; Lee, D.E.; Jung, S.Y.; Lee, S. Surgical outcomes of localization using indocyanine green fluorescence in breast conserving surgery: A prospective study. Sci. Rep. 2021, 11, 9997. [Google Scholar] [CrossRef]
- Ushimaru, Y.; Omori, T.; Fujiwara, Y.; Yanagimoto, Y.; Sugimura, K.; Yamamoto, K.; Yamaue, H. The feasibility and safety of preoperative fluorescence marking with indocyanine green (ICG) in laparoscopic gastrectomy for gastric cancer. J. Gastrointest. Surg. 2019, 23, 468–476. [Google Scholar] [CrossRef]
- Kim, S.H.; Lee, S. Short-wave infrared fluorescence-guided surgery using indocyanine green in a dog with a cutaneous mast cell tumor. J. Vet. Clin. 2022, 39, 395–399. [Google Scholar] [CrossRef]
- Iida, G.; Asano, K.; Seki, M.; Ishigaki, K.; Teshima, K.; Yoshida, O.; Tsujimoto, K. Intraoperative identification of canine hepatocellular carcinoma with indocyanine green fluorescent imaging. J. Small Anim. Pract. 2013, 54, 594–600. [Google Scholar] [CrossRef]
- Belia, F.; Biondi, A.; Agnes, A.; Santocchi, P.; Laurino, A.; Lorenzon, L.; Biondi, S. The use of indocyanine green (ICG) and near-infrared (NIR) fluorescence-guided imaging in gastric cancer surgery: A narrative review. Front. Surg. 2022, 9, 880773. [Google Scholar] [CrossRef]
- Liu, M.; Xing, J.; Xu, K.; Yuan, P.; Cui, M.; Zhang, C.; Chen, L.; Ma, Z. Application of near-infrared fluorescence imaging with indocyanine green in totally laparoscopic distal gastrectomy. J. Gastric Cancer 2020, 20, 290–299. [Google Scholar] [CrossRef]
- Tummers, Q.R.; Boogerd, L.S.; de Steur, W.O.; Verbeek, F.P.; Boonstra, M.C.; Handgraaf, H.J.; van der Vorst, J.R. Near-infrared fluorescence sentinel lymph node detection in gastric cancer: A pilot study. World J. Gastroenterol. 2016, 22, 3644–3651. [Google Scholar] [CrossRef]
- Kong, S.H.; Kim, Y.; Hwang, H.; Kwon, H.C.; Shin, J.H.; Kim, H.S. Near-infrared fluorescence lymph node navigation using indocyanine green for gastric cancer surgery. J. Minim. Invasive Surg. 2018, 21, 95–105. [Google Scholar] [CrossRef]






| Disclaimer/Publisher’s Note: The statements, opinions and data contained in all publications are solely those of the individual author(s) and contributor(s) and not of MDPI and/or the editor(s). MDPI and/or the editor(s) disclaim responsibility for any injury to people or property resulting from any ideas, methods, instructions or products referred to in the content. | 
© 2024 by the authors. Licensee MDPI, Basel, Switzerland. This article is an open access article distributed under the terms and conditions of the Creative Commons Attribution (CC BY) license (https://creativecommons.org/licenses/by/4.0/).
Share and Cite
Kim, S.-H.; Chae, Y.; Kang, B.-T.; Lee, S. Use of 18-Fluorodeoxyglucose Positron Emission Tomography and Near-Infrared Fluorescence-Guided Imaging Surgery in the Treatment of a Gastric Tumor in a Dog. Animals 2024, 14, 2917. https://doi.org/10.3390/ani14202917
Kim S-H, Chae Y, Kang B-T, Lee S. Use of 18-Fluorodeoxyglucose Positron Emission Tomography and Near-Infrared Fluorescence-Guided Imaging Surgery in the Treatment of a Gastric Tumor in a Dog. Animals. 2024; 14(20):2917. https://doi.org/10.3390/ani14202917
Chicago/Turabian StyleKim, Su-Hyeon, Yeon Chae, Byeong-Teck Kang, and Sungin Lee. 2024. "Use of 18-Fluorodeoxyglucose Positron Emission Tomography and Near-Infrared Fluorescence-Guided Imaging Surgery in the Treatment of a Gastric Tumor in a Dog" Animals 14, no. 20: 2917. https://doi.org/10.3390/ani14202917
APA StyleKim, S.-H., Chae, Y., Kang, B.-T., & Lee, S. (2024). Use of 18-Fluorodeoxyglucose Positron Emission Tomography and Near-Infrared Fluorescence-Guided Imaging Surgery in the Treatment of a Gastric Tumor in a Dog. Animals, 14(20), 2917. https://doi.org/10.3390/ani14202917
 
        


