Anti-Inflammatory Effects of Zinc Oxide and Berberine in Rats with Dextran Sulfate Sodium (DSS)-Induced Colitis
Abstract
Simple Summary
Abstract
1. Introduction
2. Materials and Methods
2.1. Animals
2.2. Body Weight, Fecal Water Contents, Disease Activity Index (DAI), and Colon Length
2.3. Blood Collection and Analysis
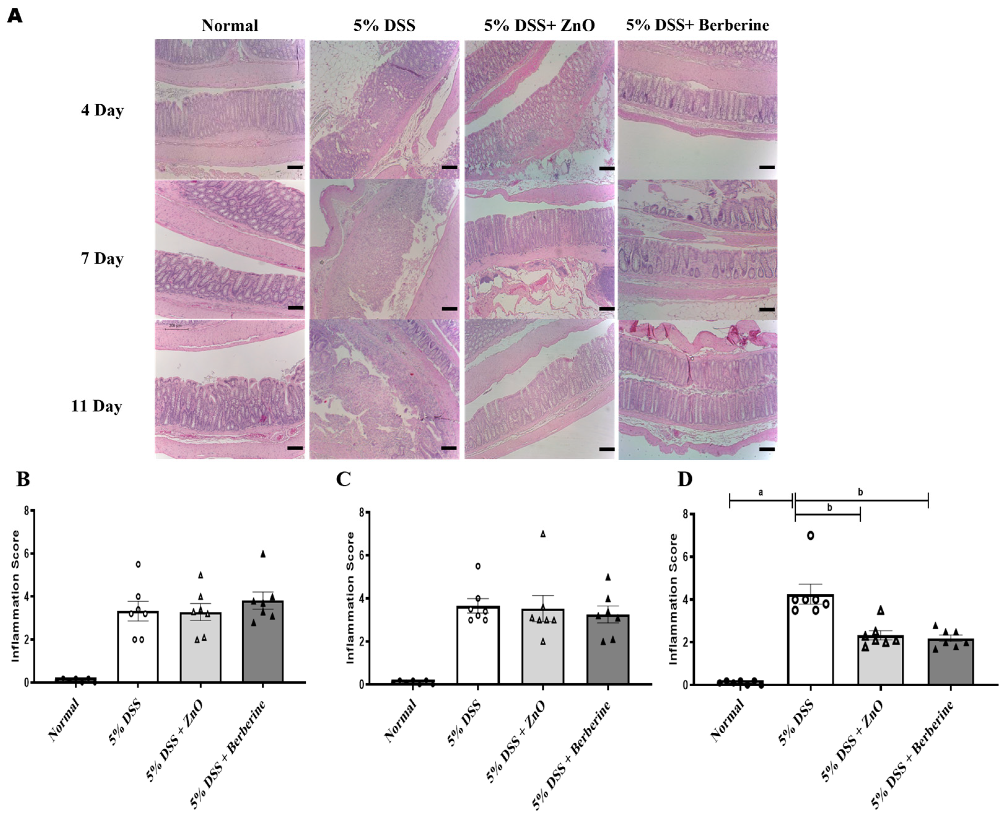
2.4. Histology
2.5. Statistical Analysis
3. Results
3.1. Disease Activity
3.2. Regulatory Action of Berberine in DSS-Induced Colitis
3.3. Regulatory Action of Berberine in DSS-Induced Colitis Albumin, AST, ALT, and ALP Levels in Serum
4. Discussion
5. Conclusions
Author Contributions
Funding
Institutional Review Board Statement
Informed Consent Statement
Data Availability Statement
Conflicts of Interest
References
- Carlson, M.; Hill, G.; Link, J. Early-and traditionally weaned nursery pigs benefit from phase-feeding pharmacological concentrations of zinc oxide: Effect on metallothionein and mineral concentrations. J. Anim. Sci. 1999, 77, 1199–1207. [Google Scholar] [CrossRef] [PubMed]
- Shen, J.; Chen, Y.; Wang, Z.; Zhou, A.; He, M.; Mao, L.; Zou, H.; Peng, Q.; Xue, B.; Wang, L. Coated zinc oxide improves intestinal immunity function and regulates microbiota composition in weaned piglets. Br. J. Nutr. 2014, 111, 2123–2134. [Google Scholar] [CrossRef] [PubMed]
- Sloup, V.; Jankovská, I.; Nechybová, S.; Peřinková, P.; Langrová, I. Zinc in the animal organism: A review. Sci. Agric. Bohem. 2017, 48, 13–21. [Google Scholar] [CrossRef]
- Hill, G.M.; Shannon, M.C. Copper and zinc nutritional issues for agricultural animal production. Biol. Trace Elem. Res. 2019, 188, 148–159. [Google Scholar] [CrossRef] [PubMed]
- Bonetti, A.; Tugnoli, B.; Piva, A.; Grilli, E. Towards zero zinc oxide: Feeding strategies to manage post-weaning diarrhea in piglets. Animals 2021, 11, 642. [Google Scholar] [CrossRef] [PubMed]
- Szuba-Trznadel, A.; Rząsa, A.; Hikawczuk, T.; Fuchs, B. Effect of zinc source and level on growth performance and zinc status of weaned piglets. Animals 2021, 11, 2030. [Google Scholar] [CrossRef] [PubMed]
- Hill, G.; Cromwell, G.; Crenshaw, T.; Dove, C.; Ewan, R.; Knabe, D.; Lewis, A.; Libal, G.; Mahan, D.; Shurson, G. Growth promotion effects and plasma changes from feeding high dietary concentrations of zinc and copper to weanling pigs (regional study). J. Anim. Sci. 2000, 78, 1010–1016. [Google Scholar] [CrossRef]
- Hill, G.; Mahan, D.; Carter, S.; Cromwell, G.; Ewan, R.; Harrold, R.; Lewis, A.; Miller, P.; Shurson, G.; Veum, T. Effect of pharmacological concentrations of zinc oxide with or without the inclusion of an antibacterial agent on nursery pig performance. J. Anim. Sci. 2001, 79, 934–941. [Google Scholar] [CrossRef]
- Case, C.; Carlson, M. Effect of feeding organic and inorganic sources of additional zinc on growth performance and zinc balance in nursery pigs. J. Anim. Sci. 2002, 80, 1917–1924. [Google Scholar] [CrossRef]
- Liu, J.; Feng, X.; Wei, L.; Chen, L.; Song, B.; Shao, L. The toxicology of ion-shedding zinc oxide nanoparticles. Crit. Rev. Toxicol. 2016, 46, 348–384. [Google Scholar] [CrossRef]
- Chi, C.-W.; Chang, Y.-F.; Chao, T.-W.; Chiang, S.-H.; P’eng, F.-K.; Lui, W.-Y.; Liu, T.-Y. Flowcytometric analysis of the effect of berberine on the expression of glucocorticoid receptors in human hepatoma HepG2 cells. Life Sci. 1994, 54, 2099–2107. [Google Scholar] [CrossRef] [PubMed]
- Anis, K.; Rajeshkumar, N.; Kuttan, R. Inhibition of chemical carcinogenesis by berberine in rats and mice. J. Pharm. Pharmacol. 2001, 53, 763–768. [Google Scholar] [CrossRef] [PubMed]
- Kuo, C.-L.; Chi, C.-W.; Liu, T.-Y. The anti-inflammatory potential of berberine in vitro and in vivo. Cancer Lett. 2004, 203, 127–137. [Google Scholar] [CrossRef] [PubMed]
- Zhang, Q.; Piao, X.-L.; Piao, X.-S.; Lu, T.; Wang, D.; Kim, S.W. Preventive effect of Coptis chinensis and berberine on intestinal injury in rats challenged with lipopolysaccharides. Food Chem. Toxicol. 2011, 49, 61–69. [Google Scholar] [CrossRef] [PubMed]
- Yue, S.-J.; Liu, J.; Wang, W.-X.; Wang, A.-T.; Yang, X.-Y.; Guan, H.-S.; Wang, C.-Y.; Yan, D. Berberine treatment-emergent mild diarrhea associated with gut microbiota dysbiosis. Biomed. Pharmacother. 2019, 116, 109002. [Google Scholar] [CrossRef]
- Chu, M.; Ding, R.; Chu, Z.-y.; Zhang, M.-b.; Liu, X.-y.; Xie, S.-h.; Zhai, Y.-j.; Wang, Y.-d. Role of berberine in anti-bacterial as a high-affinity LPS antagonist binding to TLR4/MD-2 receptor. BMC Complement. Altern. Med. 2014, 14, 89. [Google Scholar] [CrossRef] [PubMed]
- Li, F.; Wang, H.d.; Lu, D.x.; Wang, Y.p.; Qi, R.b.; Fu, Y.m.; Li, C.j. Neutral sulfate berberine modulates cytokine secretion and increases survival in endotoxemic mice 1. Acta Pharmacol. Sin. 2006, 27, 1199–1205. [Google Scholar] [CrossRef] [PubMed]
- Jing, Y.; Wang, H.d.; Lu, D.x.; Wang, Y.p.; Qi, R.b.; Jing, L.; Fei, L.; Li, C.j. Effects of neutral sulfate berberine on LPS-induced cardiomyocyte TNF-α secretion, abnormal calcium cycling, and cardiac dysfunction in rats1. Acta Pharmacol. Sin. 2006, 27, 173–178. [Google Scholar]
- Gu, L.; Li, N.; Gong, J.; Li, Q.; Zhu, W.; Li, J. Berberine ameliorates intestinal epithelial tight-junction damage and down-regulates myosin light chain kinase pathways in a mouse model of endotoxinemia. J. Infect. Dis. 2011, 203, 1602–1612. [Google Scholar] [CrossRef]
- Li, H.-m.; Wang, Y.-y.; Wang, H.-d.; Cao, W.-j.; Yu, X.-h.; Lu, D.-x.; Qi, R.-b.; Hu, C.-f.; Yan, Y.-x. Berberine protects against lipopolysaccharide-induced intestinal injury in mice via alpha 2 adrenoceptor-independent mechanisms. Acta Pharmacol. Sin. 2011, 32, 1364–1372. [Google Scholar] [CrossRef]
- Zhang, L.; Gui, S.; Liang, Z.; Liu, A.; Chen, Z.; Tang, Y.; Xiao, M.; Chu, F.; Liu, W.; Jin, X. Musca domestica cecropin (Mdc) alleviates Salmonella typhimurium-induced colonic mucosal barrier impairment: Associating with inflammatory and oxidative stress response, tight junction as well as intestinal flora. Front. Microbiol. 2019, 10, 522. [Google Scholar] [CrossRef] [PubMed]
- Hanauer, S.B. Inflammatory bowel disease: Epidemiology, pathogenesis, and therapeutic opportunities. Inflamm. Bowel Dis. 2006, 12, S3–S9. [Google Scholar] [CrossRef] [PubMed]
- Jondreville, C.; Revy, P.; Dourmad, J.-Y. Dietary means to better control the environmental impact of copper and zinc by pigs from weaning to slaughter. Livest. Prod. Sci. 2003, 84, 147–156. [Google Scholar] [CrossRef]
- Starke, I.C.; Pieper, R.; Neumann, K.; Zentek, J.; Vahjen, W. The impact of high dietary zinc oxide on the development of the intestinal microbiota in weaned piglets. FEMS Microbiol. Ecol. 2014, 87, 416–427. [Google Scholar] [CrossRef] [PubMed]
- Kim, S.-H.; Gil, Y.-B.; Kim, D.-Y.; Cheong, H.-T.; Choi, J.-Y.; Lee, S.-h.; Lee, J.-J.; Ra, C.-S.; Kim, W.-S.; Jung, B.D. Change in bacterial composition in fecal of weaning piglets supplemented with Phellodendron Cortex extract. J. Prventive Vet. Med. 2020, 44, 5–11. [Google Scholar] [CrossRef]
- Yang, X.; Qian, Y.; Xu, S.; Song, Y.; Xiao, Q. Longitudinal analysis of fecal microbiome and pathologic processes in a rotenone induced mice model of Parkinson’s disease. Front. Aging Neurosci. 2018, 9, 441. [Google Scholar] [CrossRef]
- Stephens, M.; Liao, S.; Von der Weid, P.-Y. Mesenteric lymphatic alterations observed during DSS induced intestinal inflammation are driven in a TLR4-PAMP/DAMP discriminative manner. Front. Immunol. 2019, 10, 557. [Google Scholar] [CrossRef]
- Li, J.; Chen, H.; Wang, B.; Cai, C.; Yang, X.; Chai, Z.; Feng, W. ZnO nanoparticles act as supportive therapy in DSS-induced ulcerative colitis in mice by maintaining gut homeostasis and activating Nrf2 signaling. Sci Rep 2017, 7, 43126. [Google Scholar] [CrossRef] [PubMed]
- de Queiroz, C.A.; Fonseca, S.G.C.; Frota, P.B.; Figueiredo, Í.L.; Aragão, K.S.; Magalhães, C.E.C.; de Carvalho, C.B.; Lima, A.Â.M.; Ribeiro, R.A.; Guerrant, R.L. Zinc treatment ameliorates diarrhea and intestinal inflammation in undernourished rats. BMC Gastroenterol. 2014, 14, 136. [Google Scholar] [CrossRef]
- Ko, S.-J.; Bu, Y.; Bae, J.; Bang, Y.-m.; Kim, J.; Lee, H.; Beom-Joon, L.; Hyun, Y.H.; Park, J.-W. Protective effect of Laminaria japonica with probiotics on murine colitis. Mediat. Inflamm. 2014, 2014. [Google Scholar] [CrossRef]
- Song, Z.-H.; Ke, Y.-L.; Xiao, K.; Jiao, L.-F.; Hong, Q.-H.; Hu, C.-H. Diosmectite–zinc oxide composite improves intestinal barrier restoration and modulates TGF-β1, ERK1/2, and Akt in piglets after acetic acid challenge. J. Anim. Sci. 2015, 93, 1599–1607. [Google Scholar] [CrossRef] [PubMed]
- Baholet, D.; Skalickova, S.; Batik, A.; Malyugina, S.; Skladanka, J.; Horky, P. Importance of zinc nanoparticles for the intestinal microbiome of weaned piglets. Front. Vet. Sci. 2022, 9, 852085. [Google Scholar] [CrossRef] [PubMed]
- Wirtz, S.; Neurath, M.F. Animal models of intestinal inflammation: New insights into the molecular pathogenesis and immunotherapy of inflammatory bowel disease. Int. J. Color. Dis. 2000, 15, 144–160. [Google Scholar] [CrossRef] [PubMed]
- Cooper, H.S.; Murthy, S.; Shah, R.; Sedergran, D. Clinicopathologic study of dextran sulfate sodium experimental murine colitis. Lab. Investig. A J. Tech. Methods Pathol. 1993, 69, 238–249. [Google Scholar]
- Okayasu, I.; Hatakeyama, S.; Yamada, M.; Ohkusa, T.; Inagaki, Y.; Nakaya, R. A novel method in the induction of reliable experimental acute and chronic ulcerative colitis in mice. Gastroenterology 1990, 98, 694–702. [Google Scholar] [CrossRef] [PubMed]
- Mankertz, J.; Schulzke, J.-D. Altered permeability in inflammatory bowel disease: Pathophysiology and clinical implications. Curr. Opin. Gastroenterol. 2007, 23, 379–383. [Google Scholar] [CrossRef] [PubMed]
- Zhu, L.; Gu, P.; Shen, H. Protective effects of berberine hydrochloride on DSS-induced ulcerative colitis in rats. Int. Immunopharmacol. 2019, 68, 242–251. [Google Scholar] [CrossRef]
- Zhang, S.; Zhang, Q.; Li, C.; Xing, N.; Zhou, P.; Jiao, Y. A zinc-modified Anemarrhena asphodeloides polysaccharide complex enhances immune activity via the NF-κB and MAPK signaling pathways. Int. J. Biol. Macromol. 2023, 249, 126017. [Google Scholar] [CrossRef]
- Che, L.; Xu, Q.; Wu, C.; Luo, Y.; Huang, X.; Zhang, B.; Auclair, E.; Kiros, T.; Fang, Z.; Lin, Y. Effects of dietary live yeast supplementation on growth performance, diarrhoea severity, intestinal permeability and immunological parameters of weaned piglets challenged with enterotoxigenic Escherichia coli K88. Br. J. Nutr. 2017, 118, 949–958. [Google Scholar] [CrossRef]
- Liu, W.; Ruan, T.; Ji, X.; Ran, D.; Sun, J.; Shi, H.; Prinz, R.A.; Sun, J.; Pan, Z.; Jiao, X. The Gli1-Snail axis contributes to Salmonella Typhimurium-induced disruption of intercellular junctions of intestinal epithelial cells. Cell. Microbiol. 2020, 22, e13211. [Google Scholar] [CrossRef]
- Wijtten, P.J.; van der Meulen, J.; Verstegen, M.W. Intestinal barrier function and absorption in pigs after weaning: A review. Br. J. Nutr. 2011, 105, 967–981. [Google Scholar] [CrossRef] [PubMed]
- Germoush, M.O.; Mahmoud, A.M. Berberine mitigates cyclophosphamide-induced hepatotoxicity by modulating antioxidant status and inflammatory cytokines. J. Cancer Res. Clin. Oncol. 2014, 140, 1103–1109. [Google Scholar] [CrossRef] [PubMed]








| Score | Body Weight Change (%) | Diarrhea | Rectal Bleeding |
|---|---|---|---|
| 0 | None | None | Normal stools |
| 1 | 1~5 | Mild | Wet stools |
| 2 | 5~10 | Pasty stools | |
| 3 | 11~15 | With mucus stools | |
| 4 | 15~20 | Severe watery | Blood stools |
| 4 Day | 7 Day | 11 Day | |
|---|---|---|---|
| Normal | 22 ± 0.1 | 22.7 ± 0.3 | 23.8 ± 0.9 |
| 5% DSS | 16 ± 1.3 | 19.5 ± 0.9 | 20.2 ± 0.6 |
| 5% DSS + ZnO | 18.5 ± 0.9 | 20.5 ± 0.8 | 21.1 ± 0.3 |
| 5% DSS + Berberine | 19.7 ± 0.6 | 20.9 ± 0.6 | 21.5 ± 0.5 |
Disclaimer/Publisher’s Note: The statements, opinions and data contained in all publications are solely those of the individual author(s) and contributor(s) and not of MDPI and/or the editor(s). MDPI and/or the editor(s) disclaim responsibility for any injury to people or property resulting from any ideas, methods, instructions or products referred to in the content. |
© 2024 by the authors. Licensee MDPI, Basel, Switzerland. This article is an open access article distributed under the terms and conditions of the Creative Commons Attribution (CC BY) license (https://creativecommons.org/licenses/by/4.0/).
Share and Cite
Kim, S.-H.; Lee, R.; Yoon, J.-W.; Cheong, H.-T.; Ra, C.-S.; Rhee, K.-J.; Park, J.; Jung, B.-D. Anti-Inflammatory Effects of Zinc Oxide and Berberine in Rats with Dextran Sulfate Sodium (DSS)-Induced Colitis. Animals 2024, 14, 1919. https://doi.org/10.3390/ani14131919
Kim S-H, Lee R, Yoon J-W, Cheong H-T, Ra C-S, Rhee K-J, Park J, Jung B-D. Anti-Inflammatory Effects of Zinc Oxide and Berberine in Rats with Dextran Sulfate Sodium (DSS)-Induced Colitis. Animals. 2024; 14(13):1919. https://doi.org/10.3390/ani14131919
Chicago/Turabian StyleKim, Seon-Hyoung, Rangyeon Lee, Jang-Won Yoon, Hee-Tae Cheong, Chang-Six Ra, Ki-Jong Rhee, Jeongho Park, and Bae-Dong Jung. 2024. "Anti-Inflammatory Effects of Zinc Oxide and Berberine in Rats with Dextran Sulfate Sodium (DSS)-Induced Colitis" Animals 14, no. 13: 1919. https://doi.org/10.3390/ani14131919
APA StyleKim, S.-H., Lee, R., Yoon, J.-W., Cheong, H.-T., Ra, C.-S., Rhee, K.-J., Park, J., & Jung, B.-D. (2024). Anti-Inflammatory Effects of Zinc Oxide and Berberine in Rats with Dextran Sulfate Sodium (DSS)-Induced Colitis. Animals, 14(13), 1919. https://doi.org/10.3390/ani14131919

