The Impact of Different Dietary Ratios of Soluble Carbohydrate-to-Neutral Detergent Fiber on Rumen Barrier Function and Inflammation in Dumont Lambs
Abstract
Simple Summary
Abstract
1. Introduction
2. Materials and Methods
2.1. Animal Feeding and Experimental Design
2.2. Growth Performance and Feed Intake
2.3. Sample Collection
2.4. Determination of LPS Levels in the Rumen Epithelium
2.5. Histological Analysis
2.6. RNA Analysis
2.7. Cytokine Content Analysis
2.8. Western Blot Analysis
2.9. Statistical Analysis
3. Results
3.1. Growth Performance and Feed Intake
3.2. Changes in pH and LPS Concentration in the Rumen
3.3. Morphological Analysis of the Rumen Epithelium
3.4. Rumen Epithelium Tight Junction mRNA and Protein Expression
3.5. Rumen Epithelium Inflammatory Factor mRNA and Protein Expression
3.6. Inflammatory Factor Concentrations in the Rumen Epithelium
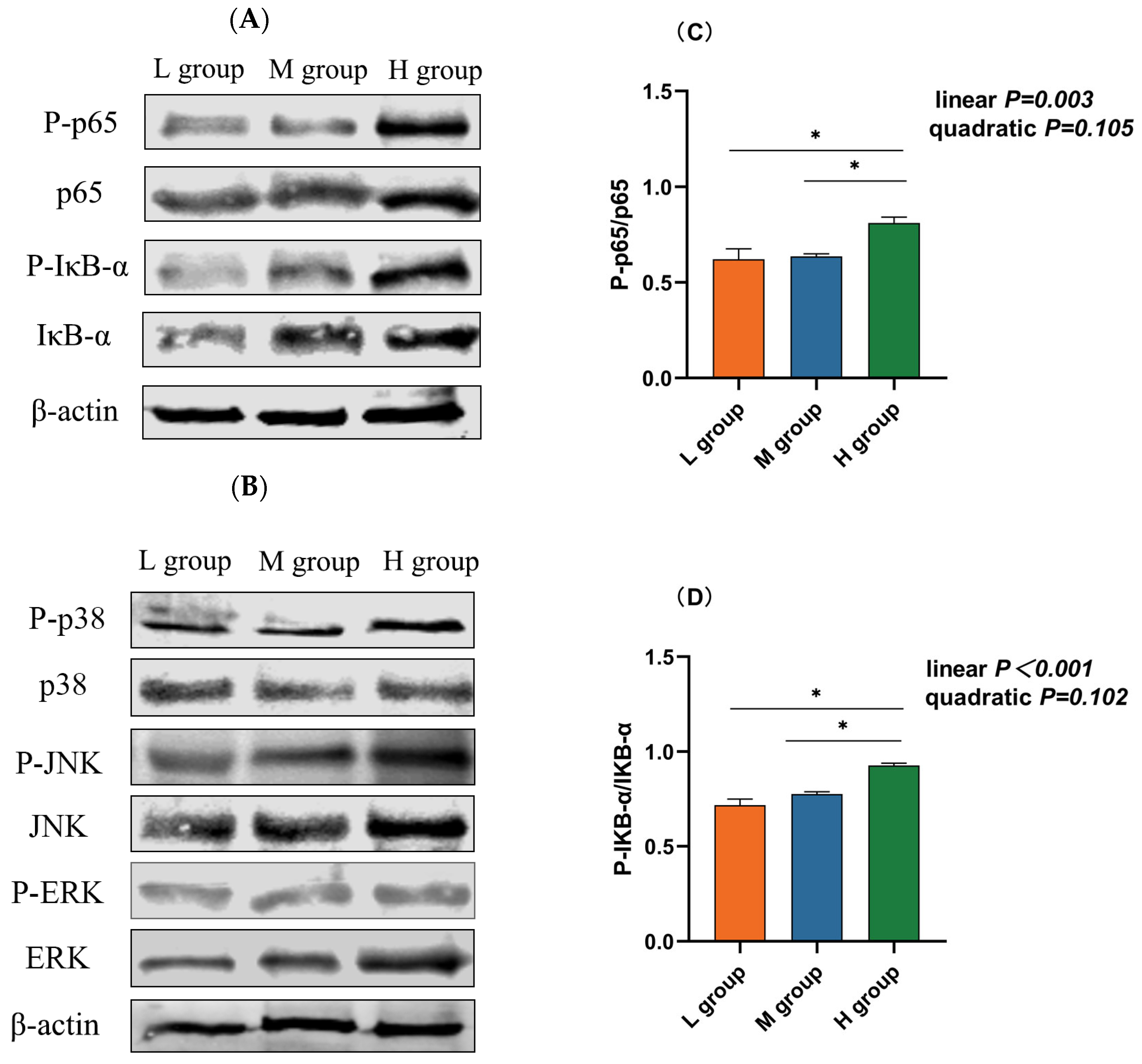
3.7. Abundance of Proteins in the NF-κB/MAPK Pathway
4. Discussion
5. Conclusions
Supplementary Materials
Author Contributions
Funding
Institutional Review Board Statement
Informed Consent Statement
Data Availability Statement
Conflicts of Interest
References
- Richeson, J.T.; Samuelson, K.L.; Tomczak, D.J. Beef species-ruminant nutrition cactus beef symposium: Energy and roughage levels in cattle receiving diets and impacts on health, performance, and immune responses1. J. Anim. Sci. 2019, 97, 3596–3604. [Google Scholar] [CrossRef]
- Jiang, Y.; Dai, P.; Dai, Q.; Ma, J.; Wang, Z.; Hu, R.; Zou, H.; Peng, Q.; Wang, L.; Xue, B. Effects of the higher concentrate ratio on the production performance, ruminal fermentation, and morphological structure in male cattle-yaks. Vet. Med. Sci. 2022, 8, 771–780. [Google Scholar] [CrossRef]
- Plaizier, J.C.; Mulligan, F.J.; Neville, E.W.; Guan, L.L.; Steele, M.A.; Penner, G.B. Invited review: Effect of subacute ruminal acidosis on gut health of dairy cows. J. Dairy Sci. 2022, 105, 7141–7160. [Google Scholar] [CrossRef] [PubMed]
- Steele, M.A.; Greenwood, S.L.; Croom, J.; Mcbride, B.W. An increase in dietary non-structural carbohydrates alters the structure and metabolism of the rumen epithelium in lambs. Can. J. Plant Sci. 2012, 92, 123–130. [Google Scholar] [CrossRef]
- Wang, L.; Li, Y.; Zhang, Y.; Wang, L. The Effects of Different Concentrate-to-Forage Ratio Diets on Rumen Bacterial Microbiota and the Structures of Holstein Cows During the Feeding Cycle. Animals 2020, 10, 957. [Google Scholar] [CrossRef]
- Ogata, T.; Makino, H.; Ishizuka, N.; Iwamoto, E.; Masaki, T.; Ikuta, K.; Kim, Y.H.; Sato, S. Long-term high-grain diet altered the ruminal pH, fermentation, and composition and functions of the rumen bacterial community, leading to enhanced lactic acid production in Japanese Black beef cattle during fattening. PLoS ONE 2019, 14, e0225448. [Google Scholar] [CrossRef] [PubMed]
- Gozho, G.N.; Plaizier, J.C.; Krause, D.O.; Kennedy, A.D.; Wittenberg, K.M. Subacute ruminal acidosis induces ruminal lipopolysaccharide endotoxin release and triggers an inflammatory response. J. Dairy Sci. 2005, 88, 1399–1403. [Google Scholar] [CrossRef] [PubMed]
- Guo, P.; Liu, D.; Zhao, P.; Gao, M.; Hu, H. Effects of Increasing the Ratio of Non-fiber Carbohydrate to Neutral Detergent Fiber on Bacteria Flora, Endotoxin and Histamine Content in Rumen and Plasma of Dairy Goats. Acta Vet. Zootech. Sin. 2015, 46, 96–103. [Google Scholar]
- Ma, Y.; Wang, C.; Zhang, H.; Yu, L.; Dong, L.; Gong, D.; Yao, J.; Wang, H. Illumina Sequencing and Metabolomics Analysis Reveal Thiamine Modulation of Ruminal Microbiota and Metabolome Characteristics in Goats Fed a High-Concentrate Diet. Front. Microbiol. 2021, 12, 653283. [Google Scholar] [CrossRef]
- Fu, Y.; He, Y.; Xiang, K.; Zhao, C.; He, Z.; Qiu, M.; Hu, X.; Zhang, N. The Role of Rumen Microbiota and Its Metabolites in Subacute Ruminal Acidosis (SARA)-Induced Inflammatory Diseases of Ruminants. Microorganisms 2022, 10, 1495. [Google Scholar] [CrossRef]
- Park, B.S.; Lee, J.O. Recognition of lipopolysaccharide pattern by TLR4 complexes. Exp. Mol. Med. 2013, 45, e66. [Google Scholar] [CrossRef] [PubMed]
- Zhao, C.; Liu, G.; Li, X.; Guan, Y.; Wang, Y.; Yuan, X.; Sun, G.; Wang, Z.; Li, X. Inflammatory mechanism of Rumenitis in dairy cows with subacute ruminal acidosis. BMC Vet. Res. 2018, 14, 135. [Google Scholar] [CrossRef] [PubMed]
- Sen, R.; Smale, S.T. Selectivity of the NF-{kappa}B response. Cold Spring Harb. Perspect. Biol. 2010, 2, a000257. [Google Scholar] [CrossRef] [PubMed]
- Wang, H. Research Advances in System-Nutritional Regulation on Mechanism of Carbohydrates Metabolism and Gastrointestin Health of Ruminants. Chin. J. Anim. Nutr. 2020, 32, 4686–4696. [Google Scholar]
- Zhang, L. Feed Analysis and Feed Quality Detection Technology, 3rd ed.; China Agricultural University Press: Beijing, China, 2007. [Google Scholar]
- Wang, X.; Huang, J. Principles and Techniques of Plant Physiological and Biochemical Experiments, 3rd ed.; Higher Education Press: Beijing, China, 2019. [Google Scholar]
- Dai, H.; Liu, X.; Yan, J.; Aabdin, Z.U.; Bilal, M.S.; Shen, X. Sodium Butyrate Ameliorates High-Concentrate Diet-Induced Inflammation in the Rumen Epithelium of Dairy Goats. J. Agric. Food Chem. 2017, 65, 596–604. [Google Scholar] [CrossRef] [PubMed]
- Gui, H. Effect of Dietary Concentarte Level on RumenEpithelium Growth and Its Underlying Mechanism. Ph.D. Thesis, Nanjing Agricultural University, Nanjing, China, 2020. [Google Scholar]
- Belanche, A.; Doreau, M.; Edwards, J.E.; Moorby, J.M.; Pinloche, E.; Newbold, C.J. Shifts in the rumen microbiota due to the type of carbohydrate and level of protein ingested by dairy cattle are associated with changes in rumen fermentation. J. Nutr. 2012, 142, 1684–1692. [Google Scholar] [CrossRef] [PubMed]
- Plaizier, J.C.; Danesh Mesgaran, M.; Derakhshani, H.; Golder, H.; Khafipour, E.; Kleen, J.L.; Lean, I.; Loor, J.; Penner, G.; Zebeli, Q. Review: Enhancing gastrointestinal health in dairy cows. Anim. Int. J. Anim. Biosci. 2018, 12, s399–s418. [Google Scholar] [CrossRef] [PubMed]
- Kennelly, J.J.; Robinson, B.; Khorasani, G.R. Influence of carbohydrate source and buffer on rumen fermentation characteristics, milk yield, and milk composition in early-lactation Holstein cows. J. Dairy Sci. 1999, 82, 2486–2496. [Google Scholar] [CrossRef] [PubMed]
- Han, H.; Liu, D.; Gao, M.; Hu, H.; Xie, C.; Deng, W.; Liu, Y.; Wang, P.; Lu, D. Effects of Different Dietary NFC/NDF Ratios on Ruminal Microorganisms and pH in Dairy Goats. Chin. J. Anim. Nutr. 2011, 23, 597–603. [Google Scholar]
- Kleen, J.L.; Hooijer, G.A.; Rehage, J.; Noordhuizen, J.P. Subacute ruminal acidosis (SARA): A review. J. Vet. Med. A Physiol. Pathol. Clin. Med. 2003, 50, 406–414. [Google Scholar] [CrossRef]
- Penner, G.B.; Beauchemin, K.A.; Mutsvangwa, T. Severity of ruminal acidosis in primiparous holstein cows during the periparturient period. J. Dairy Sci. 2007, 90, 365–375. [Google Scholar] [CrossRef] [PubMed]
- Plaizier, J.C.; Krause, D.O.; Gozho, G.N.; McBride, B.W. Subacute ruminal acidosis in dairy cows: The physiological causes, incidence and consequences. Vet. J. 2008, 176, 21–31. [Google Scholar] [CrossRef] [PubMed]
- Steele, M.A.; AlZahal, O.; Hook, S.E.; Croom, J.; McBride, B.W. Ruminal acidosis and the rapid onset of ruminal parakeratosis in a mature dairy cow: A case report. Acta Vet. Scand. 2009, 51, 39. [Google Scholar] [CrossRef] [PubMed]
- Suárez, B.J.; Van Reenen, C.G.; Beldman, G.; van Delen, J.; Dijkstra, J.; Gerrits, W.J. Effects of supplementing concentrates differing in carbohydrate composition in veal calf diets: I. Animal performance and rumen fermentation characteristics. J. Dairy Sci. 2006, 89, 4365–4375. [Google Scholar] [CrossRef]
- Bo Trabi, E.; Seddik, H.-E.; Xie, F.; Wang, X.; Liu, J.; Mao, S. Effect of pelleted high-grain total mixed ration on rumen morphology, epithelium-associated microbiota and gene expression of proinflammatory cytokines and tight junction proteins in Hu sheep. Anim. Feed. Sci. Technol. 2020, 263, 114453. [Google Scholar] [CrossRef]
- Ma, Y.; Wang, C.; Elmhadi, M.; Zhang, H.; Han, Y.; Shen, B.; He, B.L.; Liu, X.Y.; Wang, H.R. Thiamine ameliorates metabolic disorders induced by a long-term high-concentrate diet and promotes rumen epithelial development in goats. J. Dairy Sci. 2021, 104, 11522–11536. [Google Scholar] [CrossRef] [PubMed]
- Kong, L. The Comparative Study of Calf Stomach Anatomy and Histologicalstructure Development under the Different Feeding Condition. Master’s Thesis, Gansu Agricultural University, Lanzhou, China, 2012. [Google Scholar]
- Otani, T.; Furuse, M. Tight Junction Structure and Function Revisited. Trends Cell Biol. 2020, 30, 805–817. [Google Scholar] [CrossRef] [PubMed]
- Hartsock, A.; Nelson, W.J. Adherens and tight junctions: Structure, function and connections to the actin cytoskeleton. Biochim. Biophys. Acta 2008, 1778, 660–669. [Google Scholar] [CrossRef] [PubMed]
- Sawada, N. Tight junction-related human diseases. Pathol. Int. 2013, 63, 1–12. [Google Scholar] [CrossRef]
- Zheng, X.; Ren, B.; Gao, Y. Tight junction proteins related to blood-brain barrier and their regulatory signaling pathways in ischemic stroke. Biomed. Pharmacother. 2023, 165, 115272. [Google Scholar] [CrossRef]
- Wei, W.; Li, W.; Yang, L.; Weeramantry, S.; Ma, L.; Fu, P.; Zhao, Y. Tight junctions and acute kidney injury. J. Cell. Physiol. 2023, 238, 727–741. [Google Scholar] [CrossRef] [PubMed]
- Markov, A.G.; Aschenbach, J.R.; Amasheh, S. Claudin clusters as determinants of epithelial barrier function. IUBMB Life 2015, 67, 29–35. [Google Scholar] [CrossRef] [PubMed]
- Zhang, K.; Meng, M.; Gao, L.; Tu, Y.; Bai, Y. Rumen-derived lipopolysaccharide induced ruminal epithelium barrier damage in goats fed a high-concentrate diet. Microb. Pathog. 2019, 131, 81–86. [Google Scholar] [CrossRef] [PubMed]
- Liu, J.H.; Xu, T.T.; Liu, Y.J.; Zhu, W.Y.; Mao, S.Y. A high-grain diet causes massive disruption of ruminal epithelial tight junctions in goats. Am. J. Physiol. Regul. Integr. Comp. Physiol. 2013, 305, R232–R241. [Google Scholar] [CrossRef] [PubMed]
- Lai, Z.; Lin, L.; Zhang, J.; Mao, S. Effects of high-grain diet feeding on mucosa-associated bacterial community and gene expression of tight junction proteins and inflammatory cytokines in the small intestine of dairy cattle. J. Dairy Sci. 2022, 105, 6601–6615. [Google Scholar] [CrossRef]
- Chen, M.; Xie, W.; Zhou, S.; Ma, N.; Wang, Y.; Huang, J.; Shen, X.; Chang, G. A high-concentrate diet induces colonic inflammation and barrier damage in Hu sheep. J. Dairy Sci. 2023, 106, 9644–9662. [Google Scholar] [CrossRef]
- Han, X.; Fink, M.P.; Yang, R.; Delude, R.L. Increased iNOS activity is essential for intestinal epithelial tight junction dysfunction in endotoxemic mice. Shock 2004, 21, 261–270. [Google Scholar] [CrossRef] [PubMed]
- Gitter, A.H.; Bendfeldt, K.; Schmitz, H.; Schulzke, J.D.; Bentzel, C.J.; Fromm, M. Epithelial barrier defects in HT-29/B6 colonic cell monolayers induced by tumor necrosis factor-alpha. Ann. N. Y. Acad. Sci. 2000, 915, 193–203. [Google Scholar] [CrossRef] [PubMed]
- Li, S.; Khafipour, E.; Krause, D.O.; Kroeker, A.; Rodriguez-Lecompte, J.C.; Gozho, G.N.; Plaizier, J.C. Effects of subacute ruminal acidosis challenges on fermentation and endotoxins in the rumen and hindgut of dairy cows. J. Dairy Sci. 2012, 95, 294–303. [Google Scholar] [CrossRef]
- Kent-Dennis, C.; Aschenbach, J.R.; Griebel, P.J.; Penner, G.B. Effects of lipopolysaccharide exposure in primary bovine ruminal epithelial cells. J. Dairy Sci. 2020, 103, 9587–9603. [Google Scholar] [CrossRef]
- Sun, X.; Yuan, X.; Chen, L.; Wang, T.; Wang, Z.; Sun, G.; Li, X.; Li, X.; Liu, G. Histamine Induces Bovine Rumen Epithelial Cell Inflammatory Response via NF-κB Pathway. Cell Physiol. Biochem. 2017, 42, 1109–1119. [Google Scholar] [CrossRef] [PubMed]
- Zhang, R.; Zhu, W.; Mao, S. High-concentrate feeding upregulates the expression of inflammation-related genes in the ruminal epithelium of dairy cattle. J. Anim. Sci. Biotechnol. 2016, 7, 42. [Google Scholar] [CrossRef] [PubMed]
- Ma, T.; Gao, Z.; Yang, X.; Guo, S.; Li, S.; Wang, H. Effects of Forage with Varied Concentrate/Roughage Ratios on Growth, Serum Biochemistry, and Immunity of Dumeng Lambs. Fujian J. Agric. Sci. 2022, 37, 1519–1527. [Google Scholar] [CrossRef]
- Lawrence, T. The nuclear factor NF-kappaB pathway in inflammation. Cold Spring Harb. Perspect. Biol. 2009, 1, a001651. [Google Scholar] [CrossRef] [PubMed]
- Zhao, C.; Wang, Y.; Yuan, X.; Sun, G.; Shen, B.; Xu, F.; Fan, G.; Jin, M.; Li, X.; Liu, G. Berberine inhibits lipopolysaccharide-induced expression of inflammatory cytokines by suppressing TLR4-mediated NF-ĸB and MAPK signaling pathways in rumen epithelial cells of Holstein calves. J. Dairy Res. 2019, 86, 171–176. [Google Scholar] [CrossRef] [PubMed]
- Sarmikasoglou, E.; Chu, L.; Yue, F.; Faciola, A.P. Effects of ruminal LPS exposure on primary bovine ruminal epithelial cells. J. Dairy Sci. 2023, 107, 1244–1262. [Google Scholar] [CrossRef] [PubMed]
- Pang, K.; Dai, D.; Yang, Y.; Wang, X.; Liu, S.; Huang, W.; Xue, B.; Chai, S.; Wang, S. Effects of high concentrate rations on ruminal fermentation and microbiota of yaks. Front. Microbiol. 2022, 13, 957152. [Google Scholar] [CrossRef]
- Jiang, M.; Wang, K.; Huang, Y.; Zhang, X.; Yang, T.; Zhan, K.; Zhao, G. Quercetin Alleviates Lipopolysaccharide-Induced Cell Oxidative Stress and Inflammatory Responses via Regulation of the TLR4-NF-κB Signaling Pathway in Bovine Rumen Epithelial Cells. Toxins 2023, 15, 512. [Google Scholar] [CrossRef] [PubMed]
- Zhao, C.; Yi, F.; Wei, B.; Tan, P.; Huang, Y.; Zeng, F.; Wang, Y.; Xu, C.; Wang, J. Sodium Propionate Relieves LPS-Induced Inflammation by Suppressing the NF-ĸB and MAPK Signaling Pathways in Rumen Epithelial Cells of Holstein Cows. Toxins 2023, 15, 438. [Google Scholar] [CrossRef]
- Naydenov, N.G.; Hopkins, A.M.; Ivanov, A.I. c-Jun N-terminal kinase mediates disassembly of apical junctions in model intestinal epithelia. Cell Cycle 2009, 8, 2110–2121. [Google Scholar] [CrossRef]
- Carrozzino, F.; Pugnale, P.; Féraille, E.; Montesano, R. Inhibition of basal p38 or JNK activity enhances epithelial barrier function through differential modulation of claudin expression. Am. J. Physiol. Cell Physiol. 2009, 297, C775–C787. [Google Scholar] [CrossRef] [PubMed]







| Items | Diets with Different NSC:NDF Levels | ||
|---|---|---|---|
| 1.0 | 1.5 | 2.0 | |
| Ingredients (% of DM) | |||
| Leymus chinensis | 70.00 | 50.00 | 30.00 |
| Corn | 28.80 | 41.00 | 53.00 |
| Soybean meal | 0.00 | 7.30 | 14.9 |
| Calcium phosphate dibasic | 0.00 | 0.10 | 0.10 |
| Salt | 0.70 | 0.60 | 0.50 |
| Premix1 | 0.50 | 0.50 | 0.50 |
| Sodium bicarbonate | 0.00 | 0.50 | 1.00 |
| Total | 100.00 | 100.00 | 100.00 |
| Nutrient levels (%) | |||
| Crude protein | 10.70 | 12.60 | 14.40 |
| Soluble carbohydrates | 37.50 | 43.60 | 49.90 |
| Neutral detergent fiber | 36.90 | 30.10 | 23.30 |
| Calcium | 1.40 | 1.00 | 0.70 |
| Phosphorus | 0.30 | 0.30 | 0.30 |
| Acid detergent fiber | 27.90 | 21.50 | 15.00 |
| Soluble carbohydrates/NDF ratio | 1.02 | 1.45 | 2.14 |
| Metabolizable energy (MJ/kg) | 9.00 | 9.70 | 10.40 |
| Item | Diets | SEM | p Value | Plinear | Pquadratic | ||
|---|---|---|---|---|---|---|---|
| L Group | M Group | H Group | |||||
| FBW (kg) | 31.16 b | 37.51 a | 35.51 a | 0.87 | 0.004 | 0.010 | 0.018 |
| ADG (g) | 124.33 b | 190.50 a | 164.58 a | 10.29 | 0.009 | 0.050 | 0.012 |
| ADFI (kg/d) | 1.02 b | 1.19 a | 1.00 b | 0.003 | 0.009 | 0.669 | 0.003 |
| SCHOI (g/d) | 382.99 b | 518.31 a | 499.76 a | 20.34 | <0.001 | 0.001 | 0.002 |
| NDFI (g/d) | 376.87 a | 357.83 a | 233.36 b | 22.67 | <0.001 | <0.001 | 0.006 |
| F/G ratio | 8.41 | 6.42 | 6.34 | 0.50 | 0.177 | 0.093 | 0.354 |
| Item | Diets | SEM | p Value | Plinear | Pquadratic | ||
|---|---|---|---|---|---|---|---|
| L Group | M Group | H Group | |||||
| occludin | 1.00 a | 0.82 ab | 0.60 b | 0.06 | 0.004 | 0.001 | 0.820 |
| claudin-1 | 1.00 b | 1.93 a | 1.53 ab | 0.13 | 0.005 | 0.021 | 0.003 |
| ZO-1 | 1.00 | 1.04 | 1.02 | 0.02 | 0.756 | 0.816 | 0.486 |
| Item | Diets | SEM | p Value | Plinear | Pquadratic | ||
|---|---|---|---|---|---|---|---|
| L Group | M Group | H Group | |||||
| IL-10 | 1.00 b | 1.50 a | 0.84 b | 0.09 | 0.001 | 0.263 | <0.001 |
| IL-1β | 1.00 b | 1.16 ab | 1.44 a | 0.07 | 0.025 | 0.008 | 0.647 |
| IL-6 | 1.00 b | 1.82 a | 2.08 a | 0.17 | 0.016 | 0.011 | 0.344 |
| TNF-α | 1.00 b | 1.14 b | 1.60 a | 0.09 | 0.008 | 0.003 | 0.286 |
| IFN-γ | 1.00 | 0.03 | 1.08 | 0.03 | 0.509 | 0.648 | 0.293 |
Disclaimer/Publisher’s Note: The statements, opinions and data contained in all publications are solely those of the individual author(s) and contributor(s) and not of MDPI and/or the editor(s). MDPI and/or the editor(s) disclaim responsibility for any injury to people or property resulting from any ideas, methods, instructions or products referred to in the content. |
© 2024 by the authors. Licensee MDPI, Basel, Switzerland. This article is an open access article distributed under the terms and conditions of the Creative Commons Attribution (CC BY) license (https://creativecommons.org/licenses/by/4.0/).
Share and Cite
Li, S.; Ma, T.; An, Y.; Zhang, Y.; Yang, X.; Gao, A.; Wang, H. The Impact of Different Dietary Ratios of Soluble Carbohydrate-to-Neutral Detergent Fiber on Rumen Barrier Function and Inflammation in Dumont Lambs. Animals 2024, 14, 1666. https://doi.org/10.3390/ani14111666
Li S, Ma T, An Y, Zhang Y, Yang X, Gao A, Wang H. The Impact of Different Dietary Ratios of Soluble Carbohydrate-to-Neutral Detergent Fiber on Rumen Barrier Function and Inflammation in Dumont Lambs. Animals. 2024; 14(11):1666. https://doi.org/10.3390/ani14111666
Chicago/Turabian StyleLi, Shufang, Tian Ma, Yawen An, Yu Zhang, Xiaodong Yang, Aiwu Gao, and Hairong Wang. 2024. "The Impact of Different Dietary Ratios of Soluble Carbohydrate-to-Neutral Detergent Fiber on Rumen Barrier Function and Inflammation in Dumont Lambs" Animals 14, no. 11: 1666. https://doi.org/10.3390/ani14111666
APA StyleLi, S., Ma, T., An, Y., Zhang, Y., Yang, X., Gao, A., & Wang, H. (2024). The Impact of Different Dietary Ratios of Soluble Carbohydrate-to-Neutral Detergent Fiber on Rumen Barrier Function and Inflammation in Dumont Lambs. Animals, 14(11), 1666. https://doi.org/10.3390/ani14111666

