Sexing of Embryos at the Time of Twin Reduction: A Clinical Approach
Abstract
Simple Summary
Abstract
1. Introduction
2. Materials and Methods
2.1. Cows and Herd Management
2.2. Experimental Design
2.3. Data Collection and Statistical Analyses
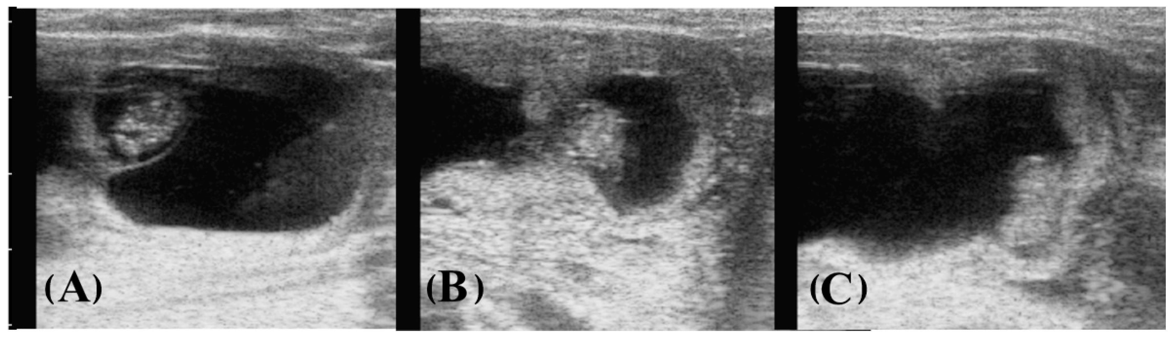
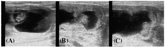
3. Results
4. Discussion
5. Conclusions
Author Contributions
Funding
Institutional Review Board Statement
Informed Consent Statement
Data Availability Statement
Conflicts of Interest
References
- Mittwoch, U. Blastocysts prepare for the race to be male. Hum. Reprod. 1993, 8, 1550–1555. [Google Scholar] [CrossRef] [PubMed]
- Burgoyne, P.S.; Thornhill, A.R.; Boudrean, S.K.; Darling, S.M.; Bishop, C.E.; Evans, E.P. The genetic basis of XX-XY differences present before gonadal sex differentiation in the mouse. Philos. Trans. R. Soc. Lond. B Biol. Sci. 1995, 350, 253–261. [Google Scholar] [CrossRef]
- Meakin, A.S.; Cuffe, J.S.M.; Darby, J.R.T.; Morrison, J.L.; Clifton, V.L. Let’s talk about placental sex, baby: Understanding mechanisms that drive female- and male-specific fetal growth and developmental outcomes. Int. J. Mol. Sci. 2021, 22, 6386. [Google Scholar] [CrossRef] [PubMed]
- Lillie, F.R. The theory of the free-martin. Science 1916, 43, 611–613. [Google Scholar] [CrossRef]
- Lillie, F.R. Sex-determination and sex-differentiation in mammals. Proc. Natl. Acad. Sci. USA 1917, 3, 464–470. [Google Scholar] [CrossRef] [PubMed]
- Lillie, F.R. The free-martin, a study of the action of sex hormones in the foetal life of cattle. J. Exp. Zool. 1917, 23, 371–452. [Google Scholar] [CrossRef]
- Bascom, K.F. Gonadal interstitial cells of livestock, with special mention of embryological structures and their significance. Am. J. Anat. 1923, 31, 222–259. [Google Scholar] [CrossRef]
- Mittwoch, U.; Delhanty, J.D.; Beck, F. Growth of differentiating testes and ovaries. Nature 1969, 224, 1323–1325. [Google Scholar] [CrossRef]
- Jost, A.; Vigier, B.; Prepin, J. Freemartins in cattle: The first steps of sexual organogenesis. J. Reprod. Fertil. 1972, 29, 349–379. [Google Scholar] [CrossRef] [PubMed]
- Owen, R.D. Immunogenetic consequences of vascular anastomoses between bovine twins. Science 1945, 102, 400–401. [Google Scholar] [CrossRef]
- Peretti, V.; Ciotola, F.; Albarella, S.; Paciello, O.; Dario, C.; Barbieri, V.; Iannuzzi, L. XX/XY chimerism in cattle: Clinical and cytogenetic studies. Sex. Dev. 2008, 2, 24–30. [Google Scholar] [CrossRef] [PubMed]
- Foote, R.H. Sex ratios in dairy cattle under various conditions. Theriogenology 1977, 8, 349–356. [Google Scholar] [CrossRef]
- Hunter, R.H.F. Sex Determination, Differentiation and Intersexuality in Placental Mammals; Cambridge University Press: Cambridge, UK, 1995; pp. 139–174. [Google Scholar]
- Padula, A.M. The freemartin syndrome: An update. Anim. Reprod. Sci. 2005, 87, 93–109. [Google Scholar] [CrossRef]
- López-Gatius, F.; Andreu-Vázquez, C.; Mur-Novales, R.; Cabrera, V.E.; Hunter, R.H.F. The dilemma of twin pregnancies in dairy cattle. A review of practical prospects. Liv. Sci. 2017, 197, 121–126. [Google Scholar] [CrossRef]
- López-Gatius, F. Twins in dairy herds. Is it better to maintain or reduce a pregnancy? Animals 2020, 10, 2006. [Google Scholar] [CrossRef] [PubMed]
- López-Gatius, F.; Garcia-Ispierto, I.; Hanzen, C. Unilateral twin pregnancy: A non-infectious factor required for the etiological diagnosis of abortion in dairy herds. J. Reprod. Dev. 2021, 67, 337–339. [Google Scholar] [CrossRef]
- Nielen, M.; Schukken, Y.H.; Scholl, D.T.; Wilbrink, H.J.; Brand, A. Twinning in dairy cattle: A study of risk factors and effects. Theriogenology 1989, 32, 845–862. [Google Scholar] [CrossRef]
- Echternkamp, S.E.; Gregory, K.E. Effects of twinning on gestation length, retained placenta, and dystocia. J. Anim. Sci. 1999, 77, 39–47. [Google Scholar] [CrossRef] [PubMed]
- Andreu-Vázquez, C.; Garcia-Ispierto, I.; Ganau, S.; Fricke, P.M.; López-Gatius, F. Effects of twinning on the subsequent reproductive performance and productive lifespan of high-producing dairy cows. Theriogenology 2012, 78, 2061–2070. [Google Scholar] [CrossRef]
- Cuttance, E.; Laven, R. Perinatal mortality risk factors in dairy calves. Vet. J. 2019, 253, 105394. [Google Scholar] [CrossRef] [PubMed]
- Eddy, R.G.; Davies, O.; David, C. An economic assessment of twin births in British dairy herds. Vet. Rec. 1991, 129, 526–529. [Google Scholar] [CrossRef] [PubMed]
- Mur-Novales, R.; Lopez-Gatius, F.; Fricke, P.M.; Cabrera, V.E. An economic evaluation of management strategies to mitigate the negative effect of twinning in dairy herds. J. Dairy Sci. 2018, 101, 8335–8349. [Google Scholar] [CrossRef] [PubMed]
- Cabrera, V.E.; Fricke, P.M. Economics of twin pregnancies in dairy cattle. Animals 2021, 11, 552. [Google Scholar] [CrossRef] [PubMed]
- Jones, S.V.H.; Rouse, J.E. The relation of age of dam to observed fecundity in domesticated animals: I. Multiple births in cattle and sheep. J. Dairy Sci. 1920, 3, 260–290. [Google Scholar] [CrossRef]
- López-Gatius, F.; Garcia-Ispierto, I.; Hunter, R.H.F. Twin pregnancies in dairy cattle: Observations in a large herd of Holstein-Friesian dairy cows. Animals 2020, 10, 2165. [Google Scholar] [CrossRef] [PubMed]
- Garcia-Ispierto, I.; López-Gatius, F. The effects of a single or double GnRH dose on pregnancy survival in high producing dairy cows carrying singletons or twins. J. Reprod. Dev. 2018, 64, 523–527. [Google Scholar] [CrossRef]
- Iberico, G.; Navarro, J.; Blasco, L.; Simon, C.; Pellicer, A.; Remohi, J. Embryo reduction of multifetal pregnancies following assisted reproduction treatment: A modification of the transvaginal ultrasound-guided technique. Hum. Reprod. 2000, 15, 2228–2233. [Google Scholar] [CrossRef]
- Stone, J.; Ferrara, L.; Kamrath, J.; Getrajdman, J.; Berkowitz, R.; Moshier, E.; Eddleman, M.S. Contemporary outcomes with the latest 1000 cases of multifetal pregnancy reduction (MPR). Am. J. Obstet. Gynecol. 2008, 199, 406.e1–406.e3. [Google Scholar] [CrossRef]
- Yilanlioglu, N.C.; Semiz, A.; Arisoy, R.; Kahraman, S.; Gürkan, A.A. The outcome of the multifetal pregnancy reduction in a single centre: A report of 202 completed cases. Eur. J. Obstet. Gynecol. Reprod. Biol. 2018, 230, 22–27. [Google Scholar] [CrossRef] [PubMed]
- Macpherson, M.L.; Reimer, J.M. Twin reduction in the mare: Current options. Anim. Reprod. Sci. 2000, 60–61, 233–244. [Google Scholar] [CrossRef]
- Davies Morel, M.C.G.; Newcombe, J.R.; Lauber, M. Manual reduction of multiple embryos in the mare: The effect on subsequent pregnancy outcome. Vet. J. 2012, 192, 322–325. [Google Scholar] [CrossRef]
- Tan, D.K.S.; Krekeler, N. Success rates of various techniques for reduction of twin pregnancy in mares. J. Am. Vet. Med. Assoc. 2014, 245, 70–78. [Google Scholar] [CrossRef]
- Kastelic, J.P.; Bergfelt, D.R.; Ginther, O.J. Ultrasonic detection of the conceptus and characterization of intrauterine fluid on days 10 to 22 in heifers. Theriogenology 1991, 35, 569–581. [Google Scholar] [CrossRef]
- Curran, S.; Pierson, R.A.; Ginther, O.J. Ultrasonographic appearance of the bovine conceptus from days 20 through 60. J. Am. Vet. Med. Assoc. 1986, 189, 1295–1302. [Google Scholar] [PubMed]
- Stratman, T.J.; Moore, S.G.; Lamberson, W.R.; Keisler, D.H.; Poock, S.E.; Lucy, M.C. Growth of the conceptus from day 33 to 45 of pregnancy is minimally associated with concurrent hormonal or metabolic status in postpartum dairy cows. Anim. Reprod. Sci. 2016, 168, 10–18. [Google Scholar] [CrossRef]
- Stratman, T.J.; Poock, S.E.; Moore, S.G.; Lucy, M.C. Growth of the conceptus from days 33 to 45 of pregnancy is similar for heifers and lactating cows and not associated with circulating glucose, insulin, IGF1 or progesterone concentrations. Anim. Reprod. Sci. 2020, 216, 106463. [Google Scholar] [CrossRef] [PubMed]
- Guedes, P.H.E.; Oliveira, C.S.; Dias, H.R.S.; Freitas, C.; Camargo, A.J.R.; Saraiva, N.Z.; Camargo, L.S.A. Ultrasound characteristics and pregnancy loss in bovine IVF-derived pregnancies. Liv. Sci. 2022, 257, 104847. [Google Scholar] [CrossRef]
- Committee on Bovine Reproductive Nomenclature. Recommendations for standardizing bovine reproductive terms. Cornell Vet. 1972, 62, 216–237. [Google Scholar]
- Hanrahan, J.P. The inter-ovarian distribution of twin ovulations and embryo survival in the bovine. Theriogenology 1983, 20, 3–11. [Google Scholar] [CrossRef] [PubMed]
- López-Gatius, F.; Hunter, R.H.F. Spontaneous reduction of advanced twin embryos: Its occurrence and clinical relevance in dairy cattle. Theriogenology 2005, 63, 118–125. [Google Scholar] [CrossRef] [PubMed]
- Ball, P.J. The relationship of age and stage of gestation to the incidence of embryo death in dairy cattle. Res. Vet. Sci. 1978, 25, 120–122. [Google Scholar] [CrossRef]
- Lee, J.I.; Kim, I.H. Pregnancy loss in dairy cows: The contributing factors, the effects on reproductive performance and the economic impact. J. Vet. Sci. 2007, 8, 283–288. [Google Scholar] [CrossRef]
- Müller, E.; Wittkowski, G. Visualization of male and female characteristics of bovine fetuses by real-time ultrasonics. Theriogenology 1986, 25, 571–574. [Google Scholar] [CrossRef] [PubMed]
- Curran, S.; Kastelic, J.P.; Ginther, O.J. Determining sex of the bovine fetus by ultrasonic assessment of the relative location of the genital tubercle. Anim. Reprod. Sci. 1989, 19, 217–227. [Google Scholar] [CrossRef]
- Stroud, B.K. Using ultrasonography to determine bovine fetal sex. Vet. Med. 1996, 91, 663–672. [Google Scholar]
- López-Gatius, F. Is fertility declining in dairy cattle? A retrospective study in northeastern Spain. Theriogenology 2003, 60, 89–99. [Google Scholar] [CrossRef] [PubMed]
- López-Gatius, F.; Llobera-Balcells, M.; Palacín-Chauri, R.J.; Garcia-Ispierto, I.; Hunter, R.H.F. Follicular Size Threshold for Ovulation Reassessed. Insights from Multiple Ovulating Dairy Cows. Animals 2022, 12, 1140. [Google Scholar] [CrossRef] [PubMed]
- López-Gatius, F.; Santolaria, P.; Yániz, J.L.; Garbayo, J.M.; Hunter, R.H.F. Timing of early foetal loss for single and twin pregnancies in dairy cattle. Reprod. Domest. Anim. 2004, 39, 429–433. [Google Scholar] [CrossRef]
- Edmondson, A.J.; Lean, I.J.; Weaver, C.O.; Farver, T.; Webster, G. A body condition scoring chart for Holstein dairy cows. J. Dairy Sci. 1989, 72, 68–78. [Google Scholar] [CrossRef]
- Kidder, H.E.; Black, W.G.; Wiltbank, J.N.; Ulberg, L.C.; Casida, L.E. Fertilization rates and embryonic death rates in cows bred to bulls of different levels of fertility. J. Dairy Sci. 1954, 37, 691–697. [Google Scholar] [CrossRef]
- Bulman, D.C. A possible influence of the bull on the incidence of embryonic mortality in cattle. Vet. Rec. 1979, 105, 420–422. [Google Scholar] [CrossRef] [PubMed]
- Ledoux, D.; Ponsart, C.; Grimard, B.; Gatien, J.; Deloche, M.C.; Fritz, S.; Lefebvre, R.; Humblot, P. Sire effect on early and late embryonic death in French Holstein cattle. Animal 2015, 9, 766–774. [Google Scholar] [CrossRef] [PubMed]
- Hosmer, D.W.; Lemeshow, S. Applied Logistic Regression; Wiley: New York, NY, USA, 1989. [Google Scholar]
- Anderson, G.B. Methods for producing twins in cattle. Theriogenology 1978, 9, 3–16. [Google Scholar] [CrossRef]
- Foote, R.H. Factors affecting gestation length in dairy cattle. Theriogenology 1981, 15, 553–559. [Google Scholar] [CrossRef]
- Ealy, A.D.; Seekford, Z.K. Symposium review: Predicting pregnancy loss in dairy cattle. J. Dairy Sci. 2019, 102, 11798–11804. [Google Scholar] [CrossRef]
- Szenci, O. Recent possibilities for the diagnosis of early pregnancy and embryonic mortality in dairy cows. Animals 2021, 11, 1666. [Google Scholar] [CrossRef]
- Boklage, C.E. The epigenetic environment: Secondary sex ratio depends on differential survival in embryogenesis. Hum. Reprod. 2005, 20, 583–587. [Google Scholar] [CrossRef]
- Di Renzo, G.C.; Rosati, A.; Sarti, R.D.; Cruciani, L.; Cutuli, A.M. Does fetal sex affect pregnancy outcome? Gend. Med. 2007, 4, 19–30. [Google Scholar] [CrossRef]
- Eriksson, J.G.; Kajantie, E.; Osmond, C.; Thornburg, K.; Barker, D.J. Boys live dangerously in the womb. Am. J. Hum. Biol. 2010, 22, 330–335. [Google Scholar] [CrossRef]
- Long, Y.; Chen, Q.; Larsson, H.; Rzhetsky, A. Observable variations in human sex ratio at birth. PLoS Comput. Biol. 2021, 17, e1009586. [Google Scholar] [CrossRef]
- Pedersen, J.F. Ultrasound evidence of sexual difference in fetal size in first trimester. Br. Med. J. 1980, 281, 1253. [Google Scholar] [CrossRef]
- Thurstans, S.; Opondo, C.; Seal, A.; Wells, J.C.; Khara, T.; Dolan, C.; Briend, A.; Myatt, M.; Garenne, M.; Mertens, A.; et al. Understanding Sex Differences in Childhood Undernutrition: A Narrative Review. Nutrients 2022, 14, 948. [Google Scholar] [CrossRef]
- Braun, A.E.; Mitchel, O.R.; Gonzalez, T.L.; Sun, T.; Flowers, A.E.; Pisarska, M.D.; Winn, V.D. Sex at the interface: The origin and impact of sex differences in the developing human placenta. Biol. Sex Differ. 2022, 13, 50. [Google Scholar] [CrossRef]
- Mäkinen, A. Chimaerism in a bull calf. Hereditas 1974, 76, 154–156. [Google Scholar] [CrossRef] [PubMed]
- Dain, A.R.; Bridge, P.S. A chimaeric calf with XY/XXY mosaicism and intersexuality. J. Reprod. Fertil. 1978, 54, 197–201. [Google Scholar] [CrossRef] [PubMed]
- Szczerbal, I.; Nowacka-Woszuk, J.; Stachowiak, M.; Lukomska, A.; Konieczny, K.; Tarnogrodzka, N.; Wozniak, J.; Switonski, M. XX/XY Chimerism in internal genitalia of a virilized heifer. Animals 2022, 12, 2932. [Google Scholar] [CrossRef] [PubMed]
- Iannuzzi, A.; Parma, P.; Iannuzzi, L. Chromosome abnormalities and fertility in domestic bovids: A review. Animals 2021, 11, 802. [Google Scholar] [CrossRef] [PubMed]
- Vishwanath, R.; Moreno, J.F. Review: Semen sexing—Current state of the art with emphasis on bovine species. Animal 2018, 12 (Suppl. S1), s85–s96. [Google Scholar] [CrossRef] [PubMed]
- Reese, S.; Pirez, M.C.; Steele, H.; Kölle, S. The reproductive success of bovine sperm after sex-sorting: A meta-analysis. Sci. Rep. 2021, 11, 17366. [Google Scholar] [CrossRef]
- Seidel, G.E., Jr.; DeJarnette, J.M. Applications and world-wide use of sexed semen in cattle. Anim. Reprod. Sci. 2022, 246, 106841. [Google Scholar] [CrossRef]
- Ruelle, E.; Shalloo, L.; Butler, S.T. Economic impact of different strategies to use sex-sorted sperm for reproductive management in seasonal-calving, pasture-based dairy herds. J. Dairy Sci. 2021, 104, 11747–11758. [Google Scholar] [CrossRef] [PubMed]



| Length Differential | Incidence | Pregnancy Loss (a) | Expected Fetal Sex (b) |
|---|---|---|---|
| 0% | 34 (37%) | 15 (44.1%) | Undetermined |
| 8–11% | 6 (6.5%) | 0 (0%) | 2 (33.3%) |
| 12–15% | 7 (7.6%) | 1 (14.3%) | 3 (50%) |
| ≥25% | 45 (48.9%) | 7 (15.6%) | 38 (100%) |
| Embryo Measurements | N | Mean | S.D. | Minimum | Maximum |
|---|---|---|---|---|---|
| Length (mm) | |||||
| Total no. embryos | 184 | 9.4 | 2.5 | 5 | 15 |
| Undifferentiated co-twins | 94 | 9.4 | 2.1 | 5 | 13 |
| Males | 45 | 11.6 | 2.3 | 8 | 15 |
| Females | 45 | 7.2 | 1.3 | 5 | 10 |
| Length differential (%) (a) | |||||
| Male versus female embryos | 45 | 35.5 | 18.5 | 25 | 50 |
| Factor | n | Pregnancy Loss | Odds Ratio | 95% Confidence Interval | p |
|---|---|---|---|---|---|
| Non-sexed embryos | 16/47 | 34% | Reference | ||
| Female embryos | 7/23 | 30.4% | 0.8 | 0.7–1.3 | 0.91 |
| Male embryos | 0/22 | 0% | 0.08 | 0.01–0.62 | 0.01 |
Disclaimer/Publisher’s Note: The statements, opinions and data contained in all publications are solely those of the individual author(s) and contributor(s) and not of MDPI and/or the editor(s). MDPI and/or the editor(s) disclaim responsibility for any injury to people or property resulting from any ideas, methods, instructions or products referred to in the content. |
© 2023 by the authors. Licensee MDPI, Basel, Switzerland. This article is an open access article distributed under the terms and conditions of the Creative Commons Attribution (CC BY) license (https://creativecommons.org/licenses/by/4.0/).
Share and Cite
López-Gatius, F.; Garcia-Ispierto, I. Sexing of Embryos at the Time of Twin Reduction: A Clinical Approach. Animals 2023, 13, 1326. https://doi.org/10.3390/ani13081326
López-Gatius F, Garcia-Ispierto I. Sexing of Embryos at the Time of Twin Reduction: A Clinical Approach. Animals. 2023; 13(8):1326. https://doi.org/10.3390/ani13081326
Chicago/Turabian StyleLópez-Gatius, Fernando, and Irina Garcia-Ispierto. 2023. "Sexing of Embryos at the Time of Twin Reduction: A Clinical Approach" Animals 13, no. 8: 1326. https://doi.org/10.3390/ani13081326
APA StyleLópez-Gatius, F., & Garcia-Ispierto, I. (2023). Sexing of Embryos at the Time of Twin Reduction: A Clinical Approach. Animals, 13(8), 1326. https://doi.org/10.3390/ani13081326

