Magnetic Resonance Imaging Measurements of the Proximal Palmar Cortex of the Third Metacarpal Bone and the Suspensory Ligament in Non-Lame Endurance Horses before and after Six Months of Training
Abstract
Simple Summary
Abstract
1. Introduction
2. Materials and Methods
2.1. Data Acquisition
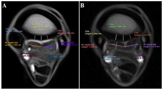
2.2. Data Analysis
3. Results
4. Discussion
4.1. Thickness of the Proximal Palmar Cortex of the Third Metacarpal Bone
4.2. Size of the Suspensory Ligament
4.3. Development of Lameness during the Study Period
4.4. Limitations of the Study
5. Conclusions
Supplementary Materials
Author Contributions
Funding
Institutional Review Board Statement
Informed Consent Statement
Data Availability Statement
Acknowledgments
Conflicts of Interest
References
- Misheff, M.M. Lameness in Endurance Horses. In Diagnosis and Management of Lameness in the Horse, 2nd ed.; Ross, M.W., Dyson, S.J., Eds.; Saunders/Elsevier: St. Louis, MO, USA, 2010; pp. 1137–1149. ISBN 978-1-4160-6069-7. [Google Scholar]
- Nagy, A.; Dyson, S.J.; Murray, J.K. Veterinary Problems of Endurance Horses in England and Wales. Prev. Vet. Med. 2017, 140, 45–52. [Google Scholar] [CrossRef] [PubMed]
- Paris, A.; Beccati, F.; Pepe, M. Type, Prevalence, and Risk Factors for the Development of Orthopedic Injuries in Endurance Horses during Training and Competition. J. Am. Vet. Med. Assoc. 2021, 258, 1109–1118. [Google Scholar] [CrossRef] [PubMed]
- Dyson, S.J. Proximal Metacarpal and Metatarsal Pain: A Diagnostic Challenge. Equine Vet. Educ. 2003, 15, 134–138. [Google Scholar] [CrossRef]
- Murray, R.C.; Dyson, S. Magnetic Resonance Imaging. In Diagnosis and Management of Lameness in the Horse, 2nd ed.; Ross, M.W., Dyson, S.J., Eds.; Saunders/Elsevier: St. Louis, MO, USA, 2010; pp. 239–245. ISBN 978-1-4160-6069-7. [Google Scholar]
- Pezzanite, L.; Contino, E.; Kawcak, C. Lameness Originating from the Proximal Metacarpus/Tarsus: A Review of Local Analgesic Techniques and Clinical Diagnostic Findings. Equine Vet. Educ. 2020, 32, 204–217. [Google Scholar] [CrossRef]
- Labens, R.; Schramme, M.C.; Murray, R.C.; Bolas, N. Standing Low-Field MRI of the Equine Proximal Metacarpal/Metatarsal Region Is Considered Useful for Diagnosing Primary Bone Pathology and Makes a Positive Contribution to Case Management: A Prospective Survey Study. Vet. Radiol. Ultrasound 2020, 61, 197–205. [Google Scholar] [CrossRef] [PubMed]
- Nagy, A.; Dyson, S. Magnetic Resonance Imaging Findings in the Carpus and Proximal Metacarpal Region of 50 Lame Horses. Equine Vet. J. 2012, 44, 163–168. [Google Scholar] [CrossRef] [PubMed]
- Murray, R.C.; Tranquille, C.A.; Walker, V.A.; Milmine, R.C.; Bak, L.; Tacey, J.B.; Bolas, N.M. Magnetic Resonance Imaging Findings in the Proximal Metacarpal Region of 359 Horses and Proximal Metatarsal Region of 64 Horses Acquired Under Standing Sedation. J. Equine Vet. Sci. 2020, 94, 103268. [Google Scholar] [CrossRef] [PubMed]
- Van Veggel, E.; Selberg, K.; van der Velde-Hoogelander, B.; Bolas, N.; Vanderperren, K.; Bergman, H.J. Magnetic Resonance Imaging Findings of the Proximal Metacarpal Region in Warmblood Horses: 36 Lame and 26 Control Limbs (2015–2021). Front. Vet. Sci. 2021, 8, 714423. [Google Scholar] [CrossRef] [PubMed]
- Firth, E.C. The Response of Bone, Articular Cartilage and Tendon to Exercise in the Horse. J. Anat. 2006, 208, 513–526. [Google Scholar] [CrossRef] [PubMed]
- Smith, R.K.W.; Goodship, A.E. The Effect of Early Training and the Adaptation and Conditioning of Skeletal Tissues. Vet. Clin. N. Am.-Equine Pract. 2008, 24, 37–51. [Google Scholar] [CrossRef] [PubMed]
- Kasashima, Y.; Smith, R.K.; Birch, H.L.; Takahashi, T.; Kusano, K.; Goodship, A.E. Exercise-Induced Tendon Hypertrophy: Cross-Sectional Area Changes during Growth Are Influenced by Exercise. Equine Vet. J. 2002, 34, 264–268. [Google Scholar] [CrossRef] [PubMed]
- Avella, C.S.; Ely, E.R.; Verheyen, K.L.P.; Price, J.S.; Wood, J.L.N.; Smith, R.K.W. Ultrasonographic Assessment of the Superficial Digital Flexor Tendons of National Hunt Racehorses in Training over Two Racing Seasons. Equine Vet. J. 2009, 41, 449–454. [Google Scholar] [CrossRef] [PubMed]
- Birch, H.L.; McLaughlin, L.; Smith, R.K.; Goodship, A.E. Treadmill Exercise-Induced Tendon Hypertrophy: Assessment of Tendons with Different Mechanical Functions. Equine Vet. J. 1999, 31, 222–226. [Google Scholar] [CrossRef] [PubMed]
- Dyson, S. Can Lameness Be Graded Reliably? Equine Vet. J. 2011, 43, 379–382. [Google Scholar] [CrossRef] [PubMed]
- Távlovagló És Távhajtó Szakág Hivatalos Honlapja-Eredmények-Eredmények. Available online: https://tavlovasok.hu/eredmenyek (accessed on 8 June 2022).
- Murray, R.C.; Branch, M.V.; Dyson, S.J.; Parkin, T.D.H.; Goodship, A.E. How Does Exercise Intensity and Type Affect Equine Distal Tarsal Subchondral Bone Thickness? J. Appl. Physiol. 2007, 102, 2194–2200. [Google Scholar] [CrossRef] [PubMed]
- Nagy, A.; Dyson, S. Magnetic Resonance Anatomy of the Proximal Metacarpal Region of the Horse Described from Images Acquired from Low- and High-Field Magnets. Vet. Radiol. Ultrasound 2009, 50, 595–605. [Google Scholar] [CrossRef] [PubMed]
- Butler, J.A.; Colles, C.M.; Dyson, S.J.; Kold, S.E.; Poulos, P.W. The Metacarpal and Metatarsal Regions. In Clinical Radiology of the Horse; Wiley-Blackwell: Oxford, UK, 2008; pp. 189–232. ISBN 978-1-4051-7108-3. [Google Scholar]
- Weekes, J.; Murray, R.; Dyson, S. Scintigraphic Evaluation of the Proximal Metacarpal and Metatarsal Regions in Clinically Sound Horses. Vet. Radiol. Ultrasound 2006, 47, 409–416. [Google Scholar] [CrossRef] [PubMed]
- Firth, E.C.; Rogers, C.W.; van Weeren, R.P.; Barneveld, A.; McIlwraith, W.C.; Kawcak, C.E.; Goodship, A.E.; Smith, R.K.W. The Effect of Previous Conditioning Exercise on Diaphyseal and Metaphyseal Bone to Imposition and Withdrawal of Training in Young Thoroughbred Horses. Vet. J. 2012, 192, 34–40. [Google Scholar] [CrossRef] [PubMed]
- Ross, M.W.; Mcllwraith, W.C. Conformation and Lameness. In Diagnosis and Management of Lameness in the Horse, 2nd ed.; Ross, M.W., Dyson, S.J., Eds.; Saunders/Elsevier: St. Louis, MO, USA, 2010; pp. 15–32. ISBN 978-1-4160-6069-7. [Google Scholar]
- Bischofberger, A.; Konar, M.; Ohlerth, S.; Geyer, H.; Lang, J.; Ueltschi, G.; Lischer, C. Magnetic Resonance Imaging, Ultrasonography and Histology of the Suspensory Ligament Origin: A Comparative Study of Normal Anatomy of Warmblood Horses. Equine Vet. J. 2006, 38, 508–516. [Google Scholar] [CrossRef] [PubMed]




| Pulse Sequence | TE [ms] | TR [ms] | Flip Angle [◦] | Slice Thickness [mm] | Slice Gap [mm] | Matrix Size (FE × PE) | FOV [mm] |
|---|---|---|---|---|---|---|---|
| Pilot | 7 | 66 | 45 | 7 | 0 | 150 × 120 | 220 |
| Pilot of a pilot | 7 | 66 | 45 | 7 | 0 | 150 × 120 | 220 |
| STIR TEST | 22 | 2100 | 70/90/120/135 | 4 | 0.8 | 256 × 144 | 200 |
| T1W GRE FAST | 8 | 52 | 50 | 5 | 1 | 170 × 170 | 170 |
| T2*W GRE FAST | 13 | 68 | 25 | 5 | 1 | 340 × 160 | 170 |
| T2W FSE FAST | 88 | 1544 | 90 | 5 | 1 | 168 × 168 | 170 |
| Horse | Age (Years) | Breed | Gender | Experience Level | Competitions (Distance Completed) | Time off Training | Days Worked per Week | Unridden Work |
|---|---|---|---|---|---|---|---|---|
| 1 | 5 | Arabian | mare | Novice (no competition) | 2 × 40 km, 1 × 80 km, | 16 days | 5 | yes |
| 2 | 7 | Anglo-Arabian | mare | Novice (40 km CEN) | 1 × 40 km, 2 × 80 km | 28 days | 5 | yes |
| 3 | 9 | Arabian | gelding | Experienced (CEI ** 120 km) | 1 × 100 km | 10 days | 5 | yes |
| 4 | 6 | Arabian | mare | Novice (80 km CEN) | 1 × 80 km, 1 × 100 km | 18 days | 5 | yes |
| 5 | 8 | Arabian | mare | Experienced (CEI ** 120 km) | 1 × 120 km (sold in July 2021) | sold | 5 | yes |
| 6 | 16 | Shagya Arabian | mare | Experienced (CEI *** 160 km) | 1 × 120 km 1 × 40 km | 21 days | 5 | yes |
| 7 | 11 | Shagya Arabian | mare | Experienced (CEI *** 160 km) | 1 × 160 km | 16 days | 5 | yes |
| 8 | 15 | Shagya Arabian | gelding | Experienced (CEI *** 160 km) | 160 km (100 km) | 35 days | 5 | yes |
| 9 | 17 | Shagya Arabian | mare | Experienced (CEI *** 160 km) | 1 × 60 km | 60 days | 5 | no |
| 10 | 3 | Shagya Arabian | gelding | Novice (no competition) | none | none | 4 | yes |
| 11 | 7 | Shagya Arabian | mare | Novice (no competition) | 3 × 20 km | none | 3 | yes |
| 12 | 4 | Arabian | gelding | Novice (no competition) | none | none | 4 | yes |
| PcMcIII 25–75% | |||||||
|---|---|---|---|---|---|---|---|
| Level | 25% | 75% | MD [mm] | p Value | 95% CI [mm] | ||
| Mean [mm] | SD [mm] | Mean [mm] | SD [mm] | ||||
| 2 cm distal to CMCJ | 3.4 | 1.0 | 2.7 | 0.8 | 0.8 | <0.01 * | 0.6, 0.9 |
| 3 cm distal to CMCJ | 4.3 | 1.1 | 3.4 | 0.8 | 0.9 | <0.01 * | 0.6, 0.1 |
| 5 cm distal to CMCJ | 4.7 | 1.0 | 4.4 | 0.8 | 0.4 | <0.01 * | 0.2, 0.6 |
| 7 cm distal to CMCJ | NNDD a | ||||||
| Differences in PcMcIII overall thickness between two different levels among the four measured levels | |||||||
| level | proximal | distal | MD [mm] | p value | 95% CI [mm] | ||
| mean [mm] | SD [mm] | mean [mm] | SD [mm] | ||||
| 2–3 cm distal to CMCJ | 3.3 | 0.9 | 4.4 | 1.0 | 1.1 | <0.01 * | 0.8, 1.4 |
| 3–5 cm distal to CMCJ | 4.4 | 1.0 | 5.0 | 0.9 | 0.6 | <0.01 * | 0.4, 0.8 |
| 5–7 cm distal to CMCJ | 5.0 | 0.9 | 5.8 | 1.2 | 0.7 | <0.01 * | 0.4, 1.0 |
| SL ML Width—DP Depth | |||||||
|---|---|---|---|---|---|---|---|
| Level | ML Width | DP Depth | MD [mm] | p Value | 95% CI [mm] | ||
| Mean [mm] | SD [mm] | Mean [mm] | SD [mm] | ||||
| 3 cm distal to CMCJ | |||||||
| SL medial lobe | 14.3 | 1.8 | 7.2 | 1.3 | 7.1 | <0.01 * | 6.5, 7.7 |
| SL lateral lobe | 13.0 | 1.0 | 9.2 | 1.4 | 3.8 | <0.01 * | 3.44, 4.2 |
| 5 cm distal to CMCJ | |||||||
| SL medial lobe | NNDD b | ||||||
| SL lateral lobe | 11.6 | 1.3 | 8.0 | 1.0 | 3.6 | <0.01 * | 3.0, 4.1 |
| 7 cm distal to CMCJ | |||||||
| SL total | NNDD c | ||||||
| SL medial lobe—lateral lobe | |||||||
| level | medial lobe | lateral lobe | MD [mm] | p-value | 95% CI [mm] | ||
| mean [mm] | SD [mm] | mean [mm] | SD [mm] | ||||
| 3 cm distal to CMCJ | |||||||
| ML | 14.3 | 1.8 | 13.0 | 1.0 | 1.3 | <0.01 * | 0.7, 2.0 |
| DP | 7.2 | 1.3 | 9.2 | 1.4 | −2.0 | <0.01 * | −2.5, −1.4 |
| 5 cm distal to CMCJ | |||||||
| ML | 12.3 | 1.5 | 11.6 | 1.3 | 0.7 | 0.7 | −0.1, 1 |
| DP | NNDD d | ||||||
Disclaimer/Publisher’s Note: The statements, opinions and data contained in all publications are solely those of the individual author(s) and contributor(s) and not of MDPI and/or the editor(s). MDPI and/or the editor(s) disclaim responsibility for any injury to people or property resulting from any ideas, methods, instructions or products referred to in the content. |
© 2023 by the authors. Licensee MDPI, Basel, Switzerland. This article is an open access article distributed under the terms and conditions of the Creative Commons Attribution (CC BY) license (https://creativecommons.org/licenses/by/4.0/).
Share and Cite
Likon, I.; Dyson, S.; Nagy, A. Magnetic Resonance Imaging Measurements of the Proximal Palmar Cortex of the Third Metacarpal Bone and the Suspensory Ligament in Non-Lame Endurance Horses before and after Six Months of Training. Animals 2023, 13, 1106. https://doi.org/10.3390/ani13061106
Likon I, Dyson S, Nagy A. Magnetic Resonance Imaging Measurements of the Proximal Palmar Cortex of the Third Metacarpal Bone and the Suspensory Ligament in Non-Lame Endurance Horses before and after Six Months of Training. Animals. 2023; 13(6):1106. https://doi.org/10.3390/ani13061106
Chicago/Turabian StyleLikon, Ines, Sue Dyson, and Annamaria Nagy. 2023. "Magnetic Resonance Imaging Measurements of the Proximal Palmar Cortex of the Third Metacarpal Bone and the Suspensory Ligament in Non-Lame Endurance Horses before and after Six Months of Training" Animals 13, no. 6: 1106. https://doi.org/10.3390/ani13061106
APA StyleLikon, I., Dyson, S., & Nagy, A. (2023). Magnetic Resonance Imaging Measurements of the Proximal Palmar Cortex of the Third Metacarpal Bone and the Suspensory Ligament in Non-Lame Endurance Horses before and after Six Months of Training. Animals, 13(6), 1106. https://doi.org/10.3390/ani13061106

