Effects of Different Combinations of Sodium Butyrate, Medium-Chain Fatty Acids and Omega-3 Polyunsaturated Fatty Acids on the Reproductive Performance of Sows and Biochemical Parameters, Oxidative Status and Intestinal Health of Their Offspring
Abstract
Simple Summary
Abstract
1. Introduction
2. Materials and Methods
2.1. Animals, Materials, and Feeding Management
2.2. Diets and Experimental Design
2.3. Recording and Sample Collection
2.3.1. Reproductive Performances of Sows
2.3.2. Growth Performances of Piglets and Diarrhea Incidence
2.3.3. Sample Collection
2.4. Analytical Methods
2.4.1. Colostrum Composition Analysis
2.4.2. Blood Biochemical Parameters
2.4.3. Intestinal Morphology
2.4.4. Quantitative Real-Time PCR
2.4.5. 16S rRNA Gene Sequencing and Microbiota Analysis
2.5. Statistical Analysis
3. Results
3.1. Reproductive Performances of Sows
3.2. Growth Performances of Piglets
3.3. Colostrum Composition of Sows
3.4. Plasma Biochemical Index of Suckling Piglets
3.5. Plasma Antioxidant Capacity of Suckling Piglets
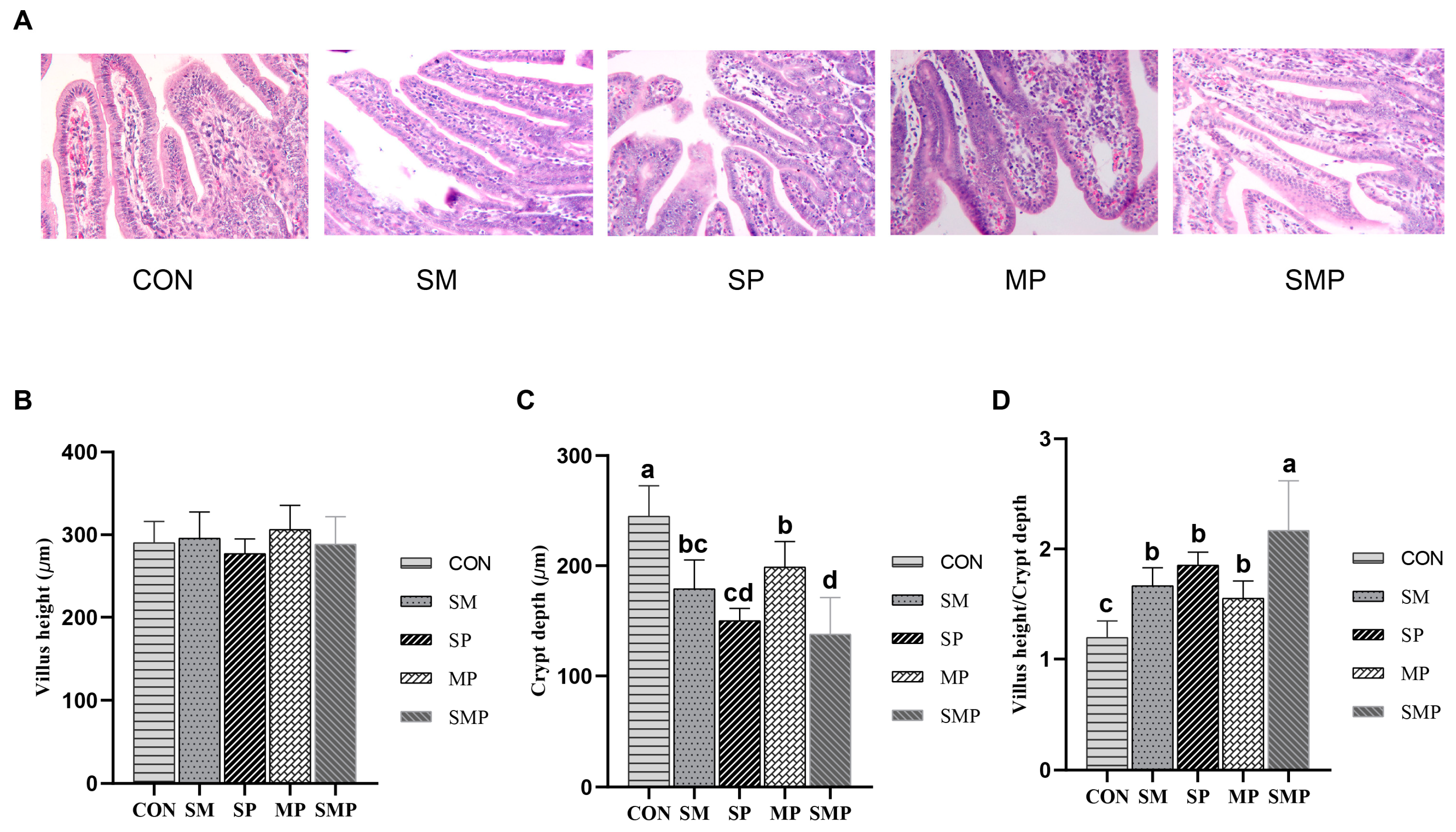
3.6. Intestinal Morphology of Sucking Piglets
3.7. mRNA Expressions of Intestinal Tight Junction Protein and Inflammatory Cytokines of Suckling Piglets
3.8. Intestinal Microbial Flora in Colonic Digesta
4. Discussion
5. Conclusions
Author Contributions
Funding
Institutional Review Board Statement
Informed Consent Statement
Data Availability Statement
Acknowledgments
Conflicts of Interest
References
- Holen, J.P.; Woodworth, J.C.; Tokach, M.D.; Goodband, R.D.; DeRouchey, J.M.; Gebhardt, J.T.; DeDecker, A.E.; Martinez, X. Evaluation of essential fatty acids in lactating sow diets on sow reproductive performance, colostrum and milk composition, and piglet survivability. J. Anim. Sci. 2022, 100, skac167. [Google Scholar] [CrossRef]
- Gatlin, L.A.; Odle, J.; Soede, J.; Hansent, J.A. Dietary medium- or long-chain triglycerides improve body condition of lean-genotype sows and increase suckling pig growth. J. Anim. Sci. 2002, 80, 38–44. [Google Scholar] [CrossRef]
- Cox, N.M.; Britt, J.H.; Armstrong, W.D.; Alhusen, H.D. Effect of feeding fat and altering weaning schedule on rebreeding in primiparous sows. J. Anim. Sci. 1983, 56, 21–29. [Google Scholar] [CrossRef] [PubMed]
- Ren, P.; Yang, X.J.; Kim, J.S.; Menon, D.; Baidoo, S.K. Effect of different feeding levels during three short periods of gestation on sow and litter performance over two reproductive cycles. Anim. Reprod. Sci. 2017, 177, 42–55. [Google Scholar] [CrossRef] [PubMed]
- McPherson, R.L.; Ji, F.; Wu, G.; Blanton, J.R.; Kim, S.W. Growth and compositional changes of fetal tissues in pigs. J. Anim. Sci. 2004, 82, 2534–2540. [Google Scholar] [CrossRef]
- Cromwell, G.L.; Hall, D.D.; Clawson, A.J.; Combs, G.E.; Knabe, D.A.; Maxwell, C.V.; Noland, P.R.; Orr, D.E.; Prince, T.J. Effects of additional feed during late gestation on reproductive performance of sows: A cooperative study. J. Anim. Sci. 1989, 67, 3–14. [Google Scholar] [CrossRef]
- Zentek, J.; Buchheit-Renko, S.; Ferrara, F.; Vahjen, W.; Van Kessel, A.G.; Pieper, R. Nutritional and physiological role of medium-chain triglycerides and medium-chain fatty acids in piglets. Anim. Health Res. Rev. 2011, 12, 83–93. [Google Scholar] [CrossRef]
- Rosero, D.S.; Odle, J.; Mendoza, S.M.; Boyd, R.D.; Fellner, V.; van Heugten, E. Impact of dietary lipids on sow milk composition and balance of essential fatty acids during lactation in prolific sows. J. Anim. Sci. 2015, 93, 2935–2947. [Google Scholar] [CrossRef] [PubMed]
- Leonel, A.J.; Alvarez-Leite, J.I. Butyrate: Implications for intestinal function. Curr. Opin. Clin. Nutr. Metab. Care 2012, 15, 474–479. [Google Scholar] [CrossRef] [PubMed]
- Biagi, G.; Piva, A.; Moschini, M.; Vezzali, E.; Roth, F.X. Performance, intestinal microflora, and wall morphology of weanling pigs fed sodium butyrate. J. Anim. Sci. 2007, 85, 1184–1191. [Google Scholar] [CrossRef]
- Aguilar, E.C.; Leonel, A.J.; Teixeira, L.G.; Silva, A.R.; Silva, J.F.; Pelaez, J.M.N.; Capettini, L.S.A.; Lemos, V.S.; Santos, R.A.S.; Alvarez-Leite, J.I. Butyrate impairs atherogenesis by reducing plaque inflammation and vulnerability and decreasing NFκB activation. Nutr. Metab. Cardiovasc. Dis. 2014, 24, 606–613. [Google Scholar] [CrossRef]
- He, B.; Wang, M.; Guo, H.; Jia, Y.; Yang, X.; Zhao, R. Effects of sodium butyrate supplementation on reproductive performance and colostrum composition in gilts. Animal 2016, 10, 1722–1727. [Google Scholar] [CrossRef] [PubMed]
- Feng, W.; Wu, Y.; Chen, G.; Fu, S.; Li, B.; Huang, B.; Wang, D.; Wang, W.; Liu, J. Sodium Butyrate Attenuates Diarrhea in Weaned Piglets and Promotes Tight Junction Protein Expression in Colon in a GPR109A-Dependent Manner. Cell. Physiol. Biochem. 2018, 47, 1617–1629. [Google Scholar] [CrossRef]
- Jackman, J.A.; Boyd, R.D.; Elrod, C.C. Medium-chain fatty acids and monoglycerides as feed additives for pig production: Towards gut health improvement and feed pathogen mitigation. J. Anim. Sci. Biotechnol. 2020, 11, 44. [Google Scholar] [CrossRef] [PubMed]
- López-Colom, P.; Castillejos, L.; Rodríguez-Sorrento, A.; Puyalto, M.; Mallo, J.J.; Martín-Orúe, S.M. Efficacy of medium-chain fatty acid salts distilled from coconut oil against two enteric pathogen challenges in weanling piglets. J. Anim. Sci. Biotechnol. 2019, 10, 89. [Google Scholar] [CrossRef]
- Tanghe, S.; Missotten, J.; Raes, K.; De Smet, S. The effect of different concentrations of linseed oil or fish oil in the maternal diet on the fatty acid composition and oxidative status of sows and piglets. J. Anim. Physiol. Anim. Nutr. 2015, 99, 938–949. [Google Scholar] [CrossRef] [PubMed]
- Mateo, R.D.; Carroll, J.A.; Hyun, Y.; Smith, S.; Kim, S.W. Effect of dietary supplementation of n-3 fatty acids and elevated concentrations of dietary protein on the performance of sows. J. Anim. Sci. 2009, 87, 948–959. [Google Scholar] [CrossRef] [PubMed]
- Smit, M.N.; Spencer, J.D.; Patterson, J.L.; Dyck, M.K.; Dixon, W.T.; Foxcroft, G.R. Effects of dietary enrichment with a marine oil-based n-3 LCPUFA supplement in sows with predicted birth weight phenotypes on growth performance and carcass quality of offspring. Animal 2015, 9, 838–846. [Google Scholar] [CrossRef] [PubMed]
- Sun, W.; Sun, J.; Li, M.; Xu, Q.; Zhang, X.; Tang, Z.; Chen, J.; Zhen, J.; Sun, Z. The effects of dietary sodium butyrate supplementation on the growth performance, carcass traits and intestinal microbiota of growing-finishing pigs. J. Appl. Microbiol. 2020, 128, 1613–1623. [Google Scholar] [CrossRef] [PubMed]
- Chen, J.; Xu, Q.; Li, Y.; Tang, Z.; Sun, W.; Zhang, X.; Sun, J.; Sun, Z. Comparative effects of dietary supplementations with sodium butyrate, medium-chain fatty acids, and n-3 polyunsaturated fatty acids in late pregnancy and lactation on the reproductive performance of sows and growth performance of suckling piglets. J. Anim. Sci. 2019, 97, 4256–4267. [Google Scholar] [CrossRef]
- NRC. Nutrient Requirements of Swine, 11th ed.; National Academies Press: Washington, DC, USA, 2012. [Google Scholar]
- AOAC. Official Methods of Analysis, 17th ed.; Association of Official Analytical Chemists: Gaithersburg, MD, USA, 2000. [Google Scholar]
- Wu, Y.; Jiang, Z.; Zheng, C.; Wang, L.; Zhu, C.; Yang, X.; Wen, X.; Ma, X. Effects of protein sources and levels in antibiotic-free diets on diarrhea, intestinal morphology, and expression of tight junctions in weaned piglets. Anim. Nutr. 2015, 1, 170–176. [Google Scholar] [CrossRef] [PubMed]
- Dell’Anno, M.; Callegari, M.L.; Reggi, S.; Caprarulo, V.; Giromini, C.; Spalletta, A.; Coranelli, S.; Sgoifo Rossi, C.A.; Rossi, L. Lactobacillus plantarum and Lactobacillus reuteri as Functional Feed Additives to Prevent Diarrhoea in Weaned Piglets. Animals 2021, 11, 1766. [Google Scholar] [CrossRef]
- Geervliet, M.; de Vries, H.; Jansen, C.A.; Rutten, V.P.M.G.; van Hees, H.; Wen, C.; Skovgaard, K.; Antonello, G.; Savelkoul, H.F.J.; Smidt, H.; et al. Effects of E scherichia coli Nissle 1917 on the Porcine Gut Microbiota, Intestinal Epithelium and Immune System in Early Life. Front. Microbiol. 2022, 13, 842437. [Google Scholar] [CrossRef] [PubMed]
- Jin, C.; Fang, Z.; Lin, Y.; Che, L.; Wu, C.; Xu, S.; Feng, B.; Li, J.; Wu, D. Influence of dietary fat source on sow and litter performance, colostrum and milk fatty acid profile in late gestation and lactation. Anim. Sci. J. 2017, 88, 1768–1778. [Google Scholar] [CrossRef] [PubMed]
- Gebhardt, J.T.; Thomson, K.A.; Woodworth, J.C.; Dritz, S.S.; Tokach, M.D.; DeRouchey, J.M.; Goodband, R.D.; Jones, C.K.; Cochrane, R.A.; Niederwerder, M.C.; et al. Effect of dietary medium-chain fatty acids on nursery pig growth performance, fecal microbial composition, and mitigation properties against porcine epidemic diarrhea virus following storage. J. Anim. Sci. 2020, 98, skz358. [Google Scholar] [CrossRef] [PubMed]
- Świątkiewicz, M.; Hanczakowska, E.; Okoń, K.; Kowalczyk, P.; Grela, E.R. Effect of Maternal Diet and Medium Chain Fatty Acids Supplementation for Piglets on Their Digestive Tract Development, Structure, and Chyme Acidity as Well as Performance and Health Status. Animals 2020, 10, 834. [Google Scholar] [CrossRef]
- Guilloteau, P.; Martin, L.; Eeckhaut, V.; Ducatelle, R.; Zabielski, R.; Van Immerseel, F. From the gut to the peripheral tissues: The multiple effects of butyrate. Nutr. Res. Rev. 2010, 23, 366–384. [Google Scholar] [CrossRef]
- Hanczakowska, E.; Szewczyk, A.; Swiatkiewicz, M.; Okoń, K. Short- and medium-chain fatty acids as a feed supplement for weaning and nursery pigs. Pol. J. Vet. Sci. 2013, 16, 647–654. [Google Scholar] [CrossRef]
- Smit, M.N.; Patterson, J.L.; Webel, S.K.; Spencer, J.D.; Cameron, A.C.; Dyck, M.K.; Dixon, W.T.; Foxcroft, G.R. Responses to n-3 fatty acid (LCPUFA) supplementation of gestating gilts, and lactating and weaned sows. Animal 2013, 7, 784–792. [Google Scholar] [CrossRef]
- Osek, J. Prevalence of virulence factors of Escherichia coli strains isolated from diarrheic and healthy piglets after weaning. Vet. Microbiol. 1999, 68, 209–217. [Google Scholar] [CrossRef]
- Lerner, A.B.; Cochrane, R.A.; Gebhardt, J.T.; Dritz, S.S.; Jones, C.K.; DeRouchey, J.M.; Tokach, M.D.; Goodband, R.D.; Bai, J.; Porter, E.; et al. Effects of medium chain fatty acids as a mitigation or prevention strategy against porcine epidemic diarrhea virus in swine feed. J. Anim. Sci. 2020, 98, skaa159. [Google Scholar] [CrossRef] [PubMed]
- De Quelen, F.; Chevalier, J.; Rolli-Derkinderen, M.; Mourot, J.; Neunlist, M.; Boudry, G. n-3 polyunsaturated fatty acids in the maternal diet modify the postnatal development of nervous regulation of intestinal permeability in piglets. J. Physiol. 2011, 589, 4341–4352. [Google Scholar] [CrossRef]
- Lauridsen, C. Effects of dietary fatty acids on gut health and function of pigs pre- and post-weaning. J. Anim. Sci. 2020, 98, skaa086. [Google Scholar] [CrossRef] [PubMed]
- Li, S.; Zheng, J.; Deng, K.; Chen, L.; Zhao, X.L.; Jiang, X.M.; Fang, Z.F.; Che, L.Q.; Xu, S.Y.; Feng, B.; et al. Supplementation with organic acids showing different effects on growth performance, gut morphology and microbiota of weaned pigs fed with highly or less digestible diets. J. Anim. Sci. 2018, 96, 3302–3318. [Google Scholar] [CrossRef]
- Gourley, K.M.; Swanson, A.J.; DeRouchey, J.M.; Tokach, M.D.; Dritz, S.S.; Goodband, R.D.; Woodworth, J.C. Effects of increased lysine and energy feeding duration prior to parturition on sow and litter performance, piglet survival, and colostrum quality. J. Anim. Sci. 2020, 98, skaa105. [Google Scholar] [CrossRef] [PubMed]
- Atwood, C.S.; Hartmann, P.E. Collection of fore and hind milk from the sow and the changes in milk composition during suckling. J. Dairy Res. 1992, 59, 287–298. [Google Scholar] [CrossRef] [PubMed]
- Tilton, S.L.; Miller, P.S.; Lewis, A.J.; Reese, D.E.; Ermer, P.M. Addition of fat to the diets of lactating sows: I. Effects on milk production and composition and carcass composition of the litter at weaning. J. Anim. Sci. 1999, 77, 2491–2500. [Google Scholar] [CrossRef]
- Shen, Y.; Wan, H.; Zhu, J.; Fang, Z.; Che, L.; Xu, S.; Lin, Y.; Li, J.; Wu, D. Fish Oil and Olive Oil Supplementation in Late Pregnancy and Lactation Differentially Affect Oxidative Stress and Inflammation in Sows and Piglets. Lipids 2015, 50, 647–658. [Google Scholar] [CrossRef]
- Yu, S.; Ren, E.; Xu, J.; Su, Y.; Zhu, W. Effects of early intervention with sodium butyrate on lipid metabolism-related gene expression and liver metabolite profiles in neonatal piglets. Livest. Sci. 2017, 195, 80–86. [Google Scholar] [CrossRef]
- Yeh, J.-H.; Tung, Y.-T.; Yeh, Y.-S.; Chien, Y.-W. Effects of Dietary Fatty Acid Composition on Lipid Metabolism and Body Fat Accumulation in Ovariectomized Rats. Nutrients 2021, 13, 2022. [Google Scholar] [CrossRef]
- Schoeler, M.; Caesar, R. Dietary lipids, gut microbiota and lipid metabolism. Rev. Endocr. Metab. Disord. 2019, 20, 461–472. [Google Scholar] [CrossRef] [PubMed]
- Am, M.; Jd, F.; Co, M.; Fm, S. Dietary unsaturated fat increases HDL metabolic pathways involving apoE favorable to reverse cholesterol transport. JCI Insight 2019, 4, e124620. [Google Scholar] [CrossRef]
- Guo, Q.; Li, F.; Duan, Y.; Wen, C.; Wang, W.; Zhang, L.; Huang, R.; Yin, Y. Oxidative stress, nutritional antioxidants and beyond. Sci. China Life Sci. 2020, 63, 866–874. [Google Scholar] [CrossRef] [PubMed]
- Famurewa, A.C.; Aja, P.M.; Maduagwuna, E.K.; Ekeleme-Egedigwe, C.A.; Ufebe, O.G.; Azubuike-Osu, S.O. Antioxidant and anti-inflammatory effects of virgin coconut oil supplementation abrogate acute chemotherapy oxidative nephrotoxicity induced by anticancer drug methotrexate in rats. Biomed. Pharmacother. 2017, 96, 905–911. [Google Scholar] [CrossRef]
- Nguyen, T.X.; Agazzi, A.; Comi, M.; Bontempo, V.; Guido, I.; Panseri, S.; Sauerwein, H.; Eckersall, P.D.; Burchmore, R.; Savoini, G. Effects of Low ω6:ω3 Ratio in Sow Diet and Seaweed Supplement in Piglet Diet on Performance, Colostrum and Milk Fatty Acid Profiles, and Oxidative Status. Animals 2020, 10, 2049. [Google Scholar] [CrossRef]
- Li, Y.; Zhang, H.; Yang, L.; Zhang, L.; Wang, T. Effect of medium-chain triglycerides on growth performance, nutrient digestibility, plasma metabolites and antioxidant capacity in weanling pigs. Anim. Nutr. 2015, 1, 12–18. [Google Scholar] [CrossRef] [PubMed]
- Van Gossum, A.; Shariff, R.; Lemoyne, M.; Kurian, R.; Jeejeebhoy, K. Increased lipid peroxidation after lipid infusion as measured by breath pentane output. Am. J. Clin. Nutr. 1988, 48, 1394–1399. [Google Scholar] [CrossRef]
- Reyes-Camacho, D.; Vinyeta, E.; Pérez, J.F.; Aumiller, T.; Criado, L.; Palade, L.M.; Taranu, I.; Folch, J.M.; Calvo, M.A.; Van der Klis, J.D.; et al. Phytogenic actives supplemented in hyperprolific sows: Effects on maternal transfer of phytogenic compounds, colostrum and milk features, performance and antioxidant status of sows and their offspring, and piglet intestinal gene expression. J. Anim. Sci. 2020, 98, skz390. [Google Scholar] [CrossRef] [PubMed]
- Anderson, J.M.; Van Itallie, C.M. Physiology and Function of the Tight Junction. Cold Spring Harb. Perspect. Biol. 2009, 1, a002584. [Google Scholar] [CrossRef]
- De Keyser, K.; Dierick, N.; Kanto, U.; Hongsapak, T.; Buyens, G.; Kuterna, L.; Vanderbeke, E. Medium-chain glycerides affect gut morphology, immune- and goblet cells in post-weaning piglets: In vitro fatty acid screening with Escherichia coli and in vivo consolidation with LPS challenge. J. Anim. Physiol. Anim. Nutr. 2019, 103, 221–230. [Google Scholar] [CrossRef]
- Zhou, H.; Sun, J.; Ge, L.; Liu, Z.; Chen, H.; Yu, B.; Chen, D. Exogenous infusion of short-chain fatty acids can improve intestinal functions independently of the gut microbiota. J. Anim. Sci. 2020, 98, skaa371. [Google Scholar] [CrossRef]
- Carlson, S.; Nandivada, P.; Chang, M.; Mitchell, P.; O’Loughlin, A.; Cowan, E.; Gura, K.; Nose, V.; Bistrian, B.; Puder, M. The Addition of Medium-Chain Triglycerides to a Purified Fish Oil Based Diet Alters Inflammatory Profiles in Mice. Metabolism 2015, 64, 274–282. [Google Scholar] [CrossRef]
- Kuang, Y.; Wang, Y.; Zhang, Y.; Song, Y.; Zhang, X.; Lin, Y.; Che, L.; Xu, S.; Wu, D.; Xue, B.; et al. Effects of dietary combinations of organic acids and medium chain fatty acids as a replacement of zinc oxide on growth, digestibility and immunity of weaned pigs. Anim. Feed Sci. Technol. 2015, 208, 145–157. [Google Scholar] [CrossRef]
- Tian, L.; Zhou, X.-Q.; Jiang, W.-D.; Liu, Y.; Wu, P.; Jiang, J.; Kuang, S.-Y.; Tang, L.; Tang, W.-N.; Zhang, Y.-A.; et al. Sodium butyrate improved intestinal immune function associated with NF-κB and p38MAPK signalling pathways in young grass carp (Ctenopharyngodon idella). Fish Shellfish. Immunol. 2017, 66, 548–563. [Google Scholar] [CrossRef] [PubMed]
- Luo, W.; Xu, W.; Zhang, J.; Yao, J.; Xu, J. The Maternal Diet with Fish Oil Might Decrease the Oxidative Stress and Inflammatory Response in Sows, but Increase the Susceptibility to Inflammatory Stimulation in their Offspring. Animals 2020, 10, 1455. [Google Scholar] [CrossRef]
- Kono, H.; Fujii, H.; Asakawa, M.; Maki, A.; Amemiya, H.; Hirai, Y.; Matsuda, M.; Yamamoto, M. Medium-chain triglycerides enhance secretory IgA expression in rat intestine after administration of endotoxin. Am. J. Physiol. Gastrointest. Liver Physiol. 2004, 286, G1081–G1089. [Google Scholar] [CrossRef]
- Zhao, L.; Li, M.; Sun, K.; Su, S.; Geng, T.; Sun, H. Hippophae rhamnoides polysaccharides protect IPEC-J2 cells from LPS-induced inflammation, apoptosis and barrier dysfunction in vitro via inhibiting TLR4/NF-κB signaling pathway. Int. J. Biol. Macromol. 2020, 155, 1202–1215. [Google Scholar] [CrossRef]
- Zughaier, S.M.; Zimmer, S.M.; Datta, A.; Carlson, R.W.; Stephens, D.S. Differential Induction of the Toll-Like Receptor 4-MyD88-Dependent and -Independent Signaling Pathways by Endotoxins. Infect. Immun. 2005, 73, 2940–2950. [Google Scholar] [CrossRef] [PubMed]
- Richards, J.D.; Gong, J.; de Lange, C.F.M. The gastrointestinal microbiota and its role in monogastric nutrition and health with an emphasis on pigs: Current understanding, possible modulations, and new technologies for ecological studies. Can. J. Anim. Sci. 2005, 85, 421–435. [Google Scholar] [CrossRef]
- Feng, J.; Wang, L.; Chen, Y.; Xiong, Y.; Wu, Q.; Jiang, Z.; Yi, H. Effects of niacin on intestinal immunity, microbial community and intestinal barrier in weaned piglets during starvation. Int. Immunopharmacol. 2021, 95, 107584. [Google Scholar] [CrossRef]
- Krogius-Kurikka, L.; Lyra, A.; Malinen, E.; Aarnikunnas, J.; Tuimala, J.; Paulin, L.; Mäkivuokko, H.; Kajander, K.; Palva, A. Microbial community analysis reveals high level phylogenetic alterations in the overall gastrointestinal microbiota of diarrhoea-predominant irritable bowel syndrome sufferers. BMC Gastroenterol. 2009, 9, 95. [Google Scholar] [CrossRef] [PubMed]
- Alessi, A.M.; Gray, V.; Farquharson, F.M.; Flores-López, A.; Shaw, S.; Stead, D.; Wegmann, U.; Shearman, C.; Gasson, M.; Collie-Duguid, E.S.R.; et al. β-Glucan is a major growth substrate for human gut bacteria related to Coprococcus eutactus. Environ. Microbiol. 2020, 22, 2150–2164. [Google Scholar] [CrossRef] [PubMed]
- Flint, H.J.; Scott, K.P.; Louis, P.; Duncan, S.H. The role of the gut microbiota in nutrition and health. Nat. Rev. Gastroenterol. Hepatol. 2012, 9, 577–589. [Google Scholar] [CrossRef] [PubMed]
- Fagundes, R.R.; Bourgonje, A.R.; Saeed, A.; Vich Vila, A.; Plomp, N.; Blokzijl, T.; Sadaghian Sadabad, M.; von Martels, J.Z.; van Leeuwen, S.S.; Weersma, R.K. Inulin-grown Faecalibacterium prausnitzii cross-feeds fructose to the human intestinal epithelium. Gut Microbes 2021, 13, 1993582. [Google Scholar] [CrossRef]
- Brahe, L.K.; Astrup, A.; Larsen, L.H. Is butyrate the link between diet, intestinal microbiota and obesity-related metabolic diseases? Obes. Rev. 2013, 14, 950–959. [Google Scholar] [CrossRef]
- Ren, W.; Yan, H.; Yu, B.; Walsh, M.C.; Yu, J.; Zheng, P.; Huang, Z.; Luo, J.; Mao, X.; He, J.; et al. Prevotella-rich enterotype may benefit gut health in finishing pigs fed diet with a high amylose-to-amylopectin ratio. Anim. Nutr. 2021, 7, 400–411. [Google Scholar] [CrossRef]
- Bekele, A.Z.; Koike, S.; Kobayashi, Y. Genetic diversity and diet specificity of ruminal Prevotella revealed by 16S rRNA gene-based analysis. FEMS Microbiol. Lett. 2010, 305, 49–57. [Google Scholar] [CrossRef]




| Items | Stages | |
|---|---|---|
| Late Gestation | Lactation | |
| Ingredients | % | % |
| Corn | 50.04 | 47.65 |
| Barley | 17.40 | 18.00 |
| Soybean meal | 17.20 | 19.00 |
| Expanded soybean | 6.00 | 6.00 |
| Soybean oil | 2.70 | 2.70 |
| Fish meal | 2.00 | 2.00 |
| Limestone | 1.60 | 1.60 |
| CaHPO4 | 1.40 | 1.40 |
| NaCl | 0.40 | 0.40 |
| Lys | 0.26 | 0.25 |
| Premix 1 | 1.00 | 1.00 |
| Total | 100.00 | 100.00 |
| Composition | ||
| DE 2, Mcal/kg | 3.39 | 3.42 |
| CP 3, % | 15.40 | 15.90 |
| EE 3, % | 5.00 | 5.10 |
| Ash 3, % | 5.80 | 5.90 |
| CF 3, % | 3.90 | 3.50 |
| Ca 3, % | 1.07 | 1.20 |
| Total P 3, % | 0.63 | 0.74 |
| Available P 3, % | 0.50 | 0.59 |
| Lys 2, % | 1.14 | 1.17 |
| Gene | Accession Number | Sequence (5′-3′) | Size (bp) | Tm Value |
|---|---|---|---|---|
| ZO-1 | XM 003353439.1 | Forward: GAGGATGGTCACACCGTGGT | 169 | 56 °C |
| Reverse: GGAGGATGCTGTTGTCTCGG | ||||
| OCLN | NM 001163647.2 | Forward: TGGGTTAAAAACGTGTCGGC | 105 | 60 °C |
| Reverse: CACTTTCCCGTTGGACGAGT | ||||
| CLDN 1 | NM 001161635.1 | Forward: ACCCCAGTCAATGCCAGATA | 155 | 54 °C |
| Reverse: GGCGAAGGTTTTGGATAGG | ||||
| IL-1β | NM 9405217038 | Forward: CAAGGAAGTGATGGCTAA | 165 | 56 °C |
| Reverse: ACCAAGGTCCAGGTTTT | ||||
| IL-6 | NM 9405217033 | Forward: TCAGTCCAGTCGCCTTCT | 146 | 61 °C |
| Reverse: CCTTTGGCATCTTCTTCC | ||||
| IL-10 | NM 214041.1 | Forward: CACTGCTCTATTGCCTGATCTC | 136 | 58 °C |
| Reverse: AAACTCTTCACTGGGCCGAAG | ||||
| MyD88 | AB292176.1 | Forward: GATGGTAGCGGTTGTCTCTGAT | 148 | 60 °C |
| Reverse: GATGCTGGGGAACTCTTTCTTC | ||||
| TNF-α | NM 214022.1 | Forward: CCACGCTCTTCTGCCTACTGC | 168 | 55 °C |
| Reverse: GCTGTCCCTCGGCTTTGAC | ||||
| NF-κB | EU399817.1 | Forward: CAGCCCTATCCCTTTACG | 133 | 60 °C |
| Reverse: GCCACAGCCTGAGCAA | ||||
| TLR4 | NM_001113039 | Forward: CATACAGAGCCGATGGTG | 113 | 60 °C |
| Reverse: CCTGCTGAGAAGGCGATA | ||||
| GADPH | AF017079.1 | Forward: ACATCAAGAAGGTGGTGAAG | 178 | 60 °C |
| Reverse: ATTGTCGTACCAGGAAATGAG |
| Item | Treatments 1 | SEM | p-Value | ||||
|---|---|---|---|---|---|---|---|
| CON | SM | SP | MP | SMP | |||
| Reproductive performance of sows | |||||||
| ADFI lactation, kg/d | 6.46 c | 7.32 a | 6.96 bc | 6.37 c | 7.35 a | 0.21 | <0.010 |
| Total born | 14.2 | 14.2 | 13.2 | 13.6 | 14.2 | 1.80 | 0.360 |
| Born alive | 13.4 | 13.4 | 12.4 | 12.2 | 12.8 | 1.02 | 0.210 |
| Stillborn | 0.80 | 0.80 | 0.80 | 1.40 | 1.40 | 0.54 | 0.821 |
| Born alive rate, % | 94.2 | 94.1 | 94.3 | 90.3 | 90.6 | 3.64 | 0.802 |
| Initial BW, kg | 1.44 | 1.30 | 1.57 | 1.53 | 1.52 | 0.07 | 0.074 |
| Litter birth weight, kg | 20.4 | 20.6 | 20.8 | 20.7 | 21.4 | 1.43 | 0.991 |
| WEI, d | 6.60 ab | 7.80 a | 5.20 b | 4.60 b | 4.00 b | 0.69 | <0.010 |
| Growth performance of piglets | |||||||
| Survival rate, % | 82.0 | 90.7 | 84.7 | 90.0 | 88.4 | 2.58 | 0.131 |
| final BW, kg | 5.36 c | 5.64 bc | 6.05 ab | 5.71 bc | 6.48 a | 1.33 | <0.010 |
| ADG, g/d | 186 b | 207 ab | 213 ab | 199 b | 236 a | 8.33 | <0.010 |
| Diarrhea incidence, % | 20.6 a | 14.7 b | 14.6 b | 17.6 ab | 13.8 b | 1.47 | <0.010 |
| Item | Treatments 1 | SEM | p-Value | ||||
|---|---|---|---|---|---|---|---|
| CON | SM | SP | MP | SMP | |||
| Fat, % | 3.67 b | 5.18 a | 5.08 a | 6.25 a | 4.92 a | 0.20 | <0.010 |
| Protein, % | 12.3 c | 18.3 a | 16.4 ab | 16.6 ab | 14.9 b | 0.79 | <0.010 |
| Lactose, % | 2.89 c | 3.19 bc | 3.69 a | 3.84 a | 3.25 bc | 0.16 | <0.010 |
| SNF, % | 23.1 b | 27.7 a | 23.7 b | 28.3 a | 21.9 b | 1.18 | <0.010 |
| IgA, μg/mL | 5.80 c | 9.04 ab | 9.43 ab | 7.16 bc | 9.98 a | 0.62 | <0.010 |
| IgG, μg/mL | 45.1 b | 66.8 a | 62.5 a | 68.6 a | 71.5 a | 4.57 | <0.010 |
| IgM, μg/mL | 45.1 b | 56.3 a | 64.0 a | 46.7 b | 60.6 a | 2.67 | <0.010 |
| Item | Treatments 1 | SEM | p-Value | ||||
|---|---|---|---|---|---|---|---|
| CON | SM | SP | MP | SMP | |||
| TP, g/L | 56.1 c | 64.1 b | 72.6 a | 67.3 b | 71.8 a | 1.17 | <0.010 |
| Albumin, g/L | 22.8 b | 21.7 b | 22.2 b | 30.0 a | 20.6 b | 0.78 | <0.010 |
| Globulin, g/L | 33.2 c | 42.4 b | 50.4 a | 37.3 c | 51.2 a | 1.39 | <0.010 |
| Albumin/globulin | 0.70 b | 0.52 c | 0.44 c | 0.81 a | 0.40 c | 0.04 | <0.010 |
| BUN, mmol/L | 2.20 c | 2.88 ab | 3.28 a | 3.10 ab | 2.74 b | 0.14 | <0.010 |
| TG, mmol/L | 0.64 b | 0.46 c | 0.67 a | 0.49 c | 0.46 c | 0.03 | <0.010 |
| FFA, μmol/L | 200 b | 752 a | 869 a | 845 a | 887 a | 34.9 | <0.010 |
| TC, mmol/L | 4.22 a | 2.07 bc | 3.94 a | 2.55 bc | 3.13 b | 0.26 | <0.010 |
| HDL, mmol/L | 1.14 c | 2.02 a | 1.54 b | 1.75 ab | 1.58 b | 0.09 | <0.010 |
| IgA, μg/mL | 8.85 b | 13.7 a | 10.7 b | 10.3 b | 10.1 b | 0.52 | <0.010 |
| IgG, μg/mL | 43.5 c | 89.6 a | 91.2 a | 53.4 b | 64.0 b | 3.48 | <0.010 |
| IgM, μg/mL | 84.7 | 71.9 | 73.3 | 85.6 | 88.4 | 4.30 | 0.062 |
| Item | Treatments 1 | SEM | p-Value | ||||
|---|---|---|---|---|---|---|---|
| CON | SM | SP | MP | SMP | |||
| T-AOC, U/mL | 4.50 c | 5.76 b | 14.6 a | 12.0 a | 11.2 a | 0.14 | <0.010 |
| T-SOD, U/mL | 96.6 b | 101 a | 104 a | 102 a | 107 a | 1.58 | <0.010 |
| CAT, U/mL | 5.73 c | 10.7 a | 6.53 b | 8.31 b | 5.26 c | 0.24 | <0.010 |
| GSH-Px, umol/L | 321 c | 584 b | 623 a | 659 a | 498 c | 12.4 | <0.010 |
| MDA, nmol/mL | 2.81 b | 2.75 b | 3.01 b | 3.44 a | 2.96 b | 0.07 | <0.010 |
Disclaimer/Publisher’s Note: The statements, opinions and data contained in all publications are solely those of the individual author(s) and contributor(s) and not of MDPI and/or the editor(s). MDPI and/or the editor(s) disclaim responsibility for any injury to people or property resulting from any ideas, methods, instructions or products referred to in the content. |
© 2023 by the authors. Licensee MDPI, Basel, Switzerland. This article is an open access article distributed under the terms and conditions of the Creative Commons Attribution (CC BY) license (https://creativecommons.org/licenses/by/4.0/).
Share and Cite
You, C.; Xu, Q.; Chen, J.; Xu, Y.; Pang, J.; Peng, X.; Tang, Z.; Sun, W.; Sun, Z. Effects of Different Combinations of Sodium Butyrate, Medium-Chain Fatty Acids and Omega-3 Polyunsaturated Fatty Acids on the Reproductive Performance of Sows and Biochemical Parameters, Oxidative Status and Intestinal Health of Their Offspring. Animals 2023, 13, 1093. https://doi.org/10.3390/ani13061093
You C, Xu Q, Chen J, Xu Y, Pang J, Peng X, Tang Z, Sun W, Sun Z. Effects of Different Combinations of Sodium Butyrate, Medium-Chain Fatty Acids and Omega-3 Polyunsaturated Fatty Acids on the Reproductive Performance of Sows and Biochemical Parameters, Oxidative Status and Intestinal Health of Their Offspring. Animals. 2023; 13(6):1093. https://doi.org/10.3390/ani13061093
Chicago/Turabian StyleYou, Caiyun, Qingqing Xu, Jinchao Chen, Yetong Xu, Jiaman Pang, Xie Peng, Zhiru Tang, Weizhong Sun, and Zhihong Sun. 2023. "Effects of Different Combinations of Sodium Butyrate, Medium-Chain Fatty Acids and Omega-3 Polyunsaturated Fatty Acids on the Reproductive Performance of Sows and Biochemical Parameters, Oxidative Status and Intestinal Health of Their Offspring" Animals 13, no. 6: 1093. https://doi.org/10.3390/ani13061093
APA StyleYou, C., Xu, Q., Chen, J., Xu, Y., Pang, J., Peng, X., Tang, Z., Sun, W., & Sun, Z. (2023). Effects of Different Combinations of Sodium Butyrate, Medium-Chain Fatty Acids and Omega-3 Polyunsaturated Fatty Acids on the Reproductive Performance of Sows and Biochemical Parameters, Oxidative Status and Intestinal Health of Their Offspring. Animals, 13(6), 1093. https://doi.org/10.3390/ani13061093

