Egg Removal via Cloacoscopy in Three Dystocic Leopard Geckos (Eublepharis macularius)
Abstract
Simple Summary
Abstract
1. Introduction
2. Clinical Cases
2.1. Histories and Clinical Examination
2.1.1. Case 1
2.1.2. Case 2
2.1.3. Case 3
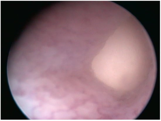
2.2. Diagnostic Procedures
2.2.1. Case 1
2.2.2. Case 2
2.2.3. Case 3
2.3. Postoperative Care and Follow-Up
2.3.1. Case 1
2.3.2. Case 2
2.3.3. Case 3
3. Discussion
4. Conclusions
Supplementary Materials
Author Contributions
Funding
Institutional Review Board Statement
Informed Consent Statement
Data Availability Statement
Acknowledgments
Conflicts of Interest
References
- DeNardo, D.; Barten, S.L.; Rosenthal, K.L.; Raiti, P.; Nathan, R. Dystocia. J. Herpetol. Med. Surg. 2000, 10, 8–17. [Google Scholar] [CrossRef]
- Stahl, S.J. Reptile production medicine. Semin. Avian Exot. Pet Med. 2001, 10, 140–150. [Google Scholar] [CrossRef]
- Hedley, J. Reproductive diseases of reptiles. Practice 2016, 38, 457–462. [Google Scholar] [CrossRef]
- Lock, B.A. Reproductive surgery in reptiles. Vet. Clin. N. Am. Exot. Anim. Pract. 2000, 3, 733–752. [Google Scholar] [CrossRef]
- Stahl, S.J. Reptile obstetrics. In Proceedings of the North American Veterinary Conference, Gainesville, FL, USA, 7–11 January 2006; NAVC: Gainesville, FL, USA, 2006; pp. 1680–1683. [Google Scholar]
- Di Giuseppe, M.; Silvestre, A.M.; Luparello, M.; Faraci, L. Post-ovulatory dystocia in two small lizards: Leopard gecko (Eublepharis macularius) and crested gecko (Correlophus ciliatus). Russ. J. Herpetol. 2017, 24, 128–132. [Google Scholar] [CrossRef]
- Hall, A.J.; Lewbart, G.A. Treatment of dystocia in a leopard gecko (Eublepharis macularius) by percutaneous ovocentesis. Vet. Rec. 2006, 158, 737–739. [Google Scholar] [CrossRef]
- Bertocchi, M.; Bigliardi, E.; Pelizzone, I.; Vetere, A.; Manfredi, S.; Cattarossi, D.; Rizzi, M.; Di Ianni, F. Monitoring of the reproductive cycle in captive-bred female Boa constrictor: Preliminary ultrasound observations. Animals 2021, 11, 3069. [Google Scholar] [CrossRef]
- Rivera, S. Health assessment of the reptilian reproductive tract. J. Exot. Pet Med. 2008, 17, 259–266. [Google Scholar] [CrossRef]
- Isaza, R.; Ackerman, N.; Jacobson, E.R. Ultrasound imaging of the coelomic structures in the Boa constrictor (Boa constrictor). Vet. Radiol. Ultrasound 1993, 34, 445–450. [Google Scholar] [CrossRef]
- Vetere, A.; Di Ianni, F.; Bertocchi, M.; Castiglioni, V.; Nardini, G. Unilateral ovarian torsion in a Moroccan eyed lizard (Timon tangitanus). J. Exot. Pet Med. 2022, 41, 46–47. [Google Scholar] [CrossRef]
- Boyer, T.H. Emergency care of reptiles. Vet. Clin. N. Am. Exot. Anim. Pract. 1998, 1, 191–206. [Google Scholar] [CrossRef] [PubMed]
- Sawyer, W.H.; Munsick, R.A.; Van Dyke, H.B. Evidence for the presence of arginine vasotocin (8-arginine oxytocin) and oxytocin in neurohypophyseal extracts from amphibians and reptiles. Gen. Comp. Endocrinol. 1961, 1, 30–36. [Google Scholar] [CrossRef] [PubMed]
- Jenkins, J.R. Medical management of reptiles. Compend. Contin. Educ. Pract. Vet. 1991, 13, 980–988. [Google Scholar]
- Cermakova, E.; Oliveri, M.; Knotkova, Z.; Knotek, Z. Effect of a GnRH agonist (deslorelin) on ovarian activity in leopard geckos (Eublepharis macularius). Vet. Med. 2019, 64, 228–230. [Google Scholar] [CrossRef]
- Korste, M.C. Deslorelin as a Contraceptive in Female Leopard Geckos (Eublepharis macularius). Master’s Thesis, Utrecht University, Utrecht, The Netherlands, 2019. [Google Scholar]
- Bardi, E.; Manfredi, M.; Capitelli, R.; Lubian, E.; Vetere, A.; Montani, A.; Bertoni, T.; Talon, E.; Ratti, G.; Romussi, S. Determination of efficacy of single and double 4.7 mg deslorelin acetate implant on the reproductive activity of female pond sliders (Trachemys scripta). Animals 2021, 11, 660. [Google Scholar] [CrossRef]
- Potier, R.; Monge, E.; Loucachevsky, T.; Hermes, R.; Göritz, F.; RGecoochel, D.; Risi, E. Effects of deslorelin acetate on plasma testosterone concentrations in captive yellow-bellied sliders (Trachemys scripta sp.). Acta Vet. Hung. 2017, 65, 440–445. [Google Scholar] [CrossRef]
- Rowland, M.N. Use of a deslorelin implant to control aggression in a male bearded dragon (Pogona vitticeps). Vet. Rec. 2011, 169, 127. [Google Scholar] [CrossRef]
- Backues, K.A.; Ramsay, E.C. Ovariectomy for treatment of follicular stasis in lizards. J. Zoo Wildl. Med. 1994, 25, 111–116. [Google Scholar]
- Morici, M.; Di Giuseppe, M.; Spadola, F.; Oliveri, M.; Knotkova, Z.; Knotek, Z. Intravenous alfaxalone anaesthesia in leopard geckos (Eublepharis macularius). J. Exot. Pet Med. 2018, 27, 11–14. [Google Scholar] [CrossRef]
- Cojean, O.; Alberton, S.; Froment, R.; Maccolini, E.; Vergneau-Grosset, C. Determination of leopard gecko (Eublepharis macularius) packed cell volume and plasma biochemistry reference intervals and reference values. J. Herpetol. Med. Surg. 2020, 30, 156–164. [Google Scholar] [CrossRef]
- Knotkova, Z.; Morici, M.; Oliveri, M.; Knotek, Z. Blood profile in captive adult male leopard geckos (Eublepharis macularius). Vet. Med. 2019, 64, 172–177. [Google Scholar] [CrossRef]
- Doss, G.A.; Fink, D.M.; Sladky, K.K.; Mans, C. Comparison of subcutaneous dexmedetomidine-midazolam versus alfaxalone-midazolam sedation in leopard geckos (Eublepharis macularius). Vet. Anaesth. Analg. 2017, 44, 1175–1183. [Google Scholar] [CrossRef] [PubMed]
- Ting, A.K.Y.; Tay, V.S.Y.; Chng, H.T.; Xie, S. A critical review on the pharmacodynamics and pharmacokinetics of non-steroidal anti-inflammatory drugs and opioid drugs used in reptiles. Vet. Anim. Sci. 2022, 17, 100267. [Google Scholar] [CrossRef] [PubMed]
- Lawrence, K. The use of antibiotics in reptiles: A review. J. Small Anim. Pract. 1983, 24, 741–752. [Google Scholar] [CrossRef]
- Jekl, V.; Knotek, Z. Endoscopic Examination of Snakes by access through an Air SAC. Vet. Record. 2006, 158, 407–410. [Google Scholar] [CrossRef]
- Divers, S.J.; Stahl, S.J. (Eds.) Mader’s Reptile and Amphibian Medicine and Surgery-e-Book; Elsevier Health Sciences: Amsterdam, The Netherlands, 2018. [Google Scholar]
- Schildger, B.; Haefeli, W.; Kuchling, G.; Taylor, M.; Tenhu, H.; Wicker, R. Endoscopic examination of the pleuro-peritoneal cavity in reptiles. In Seminars in Avian and Exotic Pet Medicine; WB Saunders: Philadelphia, PA, USA, 1999; Volume 8, pp. 130–138. [Google Scholar]
- Divers, S.J. Endoscopy equipment and instrumentation for use in exotic animal medicine. Vet. Clin. Exot. Anim. Pract. 2010, 13, 171–185. [Google Scholar] [CrossRef]
- Di Girolamo, N.; Selleri, P. Clinical applications of cystoscopy in chelonians. Vet. Clin. Exot. Anim. Pract. 2015, 18, 507–526. [Google Scholar] [CrossRef]
- Mans, C.; Foster, J.D. Endoscopy-guided ectopic egg removal from the urinary bladder in a leopard tortoise (Stigmochelys pardalis). Can. Vet. J. 2014, 55, 569. [Google Scholar]
- Minter, L.J.; Wood, M.W.; Hill, T.L.; Lewbart, G.A. Cystoscopic guided removal of ectopic eggs from the urinary bladder of the Florida cooter turtle (Pseudemys floridana floridana). J. Zoo Wildl. Med. 2010, 41, 503–509. [Google Scholar] [CrossRef]
- Knotek, Z.; Jekl, V.; Knotkova, Z.; Grabensteiner, E. Eggs in chelonian urinary bladder: Is coeliotomy necessary. In Proceedings of the Association of Reptilian and Amphibian Veterinarians, Milwaukee, WI, USA, 8–15 August 2009; pp. 118–121. [Google Scholar]
- Khan, M.S. Natural History and Biology of Hobbyist Choice Leopard Gecko Eublepharis Macularius; Talim ul Islam College: Rabwah, Pakistan, 2009. [Google Scholar]
- Bradley, T.; Nieves, D. Leopard gecko, Eublepharis macularim, captive care and breeding. Bull. Assoc. Reptil. Amphib. Vet. 1999, 9, 36–40. [Google Scholar] [CrossRef]
- Stacy, N.I.; Harr, K.E. Hematology of reptiles with a focus on circulating inflammatory cells. Infect. Dis. Pathol. Reptiles 2020, 1, 267–330. [Google Scholar] [CrossRef]
- Grundmann, M.; Möstl, E.; Knotkova, Z.; Knotek, Z. The use of synthetical GnRH agonist implants (deslorelin) for the suppression of reptile endocrine reproductive activity. In Proceedings of the 1st International Congress for Avian, Reptile and Exotic Mammal, Wiesbaden, Germany, 20–26 April 2013; p. 248. [Google Scholar]
- Iannaccone, M.; Ulivi, V.; Campolo, M. Use and duration of Deslorelin acetate in a Testudo graeca to solve a chronic re-productive disorder. In Proceedings of the Zoo and Wildlife Health Conference, Berlin, Germany, 24–27 May 2017; pp. 113–116. [Google Scholar]
- Graham, K.M.; Mylniczenko, N.D.; Burns, C.M.; Bettinger, T.L.; Wheaton, C.J. Examining factors that may influence accurate measurement of testosterone in sea turtles. J. Veter. Diagn. Investig. 2015, 28, 12–19. [Google Scholar] [CrossRef] [PubMed]
- Di Ianni, F.; Volta, A.; Pelizzone, I.; Manfredi, S.; Gnudi, G.; Parmigiani, E. Diagnostic sensitivity of ultrasound, radiography and computed tomography for gender determination in four species of lizards. Vet. Radiol. Ultrasound 2015, 56, 40–45. [Google Scholar] [CrossRef] [PubMed]
- Agarwal, I.; Bauer, A.M.; Gamble, T.; Giri, V.B.; Jablonski, D.; Khandekar, A.; Mohapatra, P.P.; Masroor, R.; Mishra, A.; Ramakrishnan, U. The evolutionary history of an accidental model organism, the leopard gecko Eublepharis macularius (Squamata: Eublepharidae). Mol. Phylogenetics Evol. 2022, 168, 107414. [Google Scholar] [CrossRef] [PubMed]








| Case 1 | Case 2 | Case 3 | Normal Values [22,23] (Female) | |
|---|---|---|---|---|
| PCV% | 40 | 45 | 45 | 21–40% |
| WBC × 103/mm3 | 8 | 13 | 10 | 6–9.4 |
| RBC × 106/mm3 | 0.7 | 1.3 | 1.1 | 0.43–0.89 |
| Heterophils (103/µL) | 2.9 | 3.5 | 2 | 1.08–2.73 |
| Eosinophils (103/µL) | 0.4 | 0 | 0.8 | 0.15–1.95 |
| Basophils (103/µL) | 1 | 3 | 3 | 0.00–2.26 |
| Monocytes (103/µL) | 1 | 4 | 2 | 0.60–2.16 |
| Lymphocytes (103/µL) | 3 | 4 | 3 | 1.67–5.39 |
| Case 1 | Case 2 | Case 3 | Reference Values [22,23] | |
|---|---|---|---|---|
| AST (U/L) | 12 | 78 | 11–65 | |
| Total protein (g/dL) | 7 | 9 | 4.2 | 2.4–8.0 |
| Albumin | 18 | 22 | 15 | 13–23 |
| Creatinkinasis (U/L) | 4.897 | 4.000 | 1861 | 0–3.701 |
| Phosphorous (mg/dL) | 14.5 | 8.4 | 14 | 1.5–16.4 |
| Calcium (mg/dL) | 18 | 22 | 31 | 14–>37 |
| Potassium (mmol/lt) | 6.8 | 5.5 | 6.1 | 4.50–7.0 |
| Uric acid (mg/dL) | 3.3 | 6.7 | 4 | 0.5–6.6 mg/dL |
| Biliary acids | 0.6 | 3.2 | 1.1 | 0.8–21 μmol/L |
Disclaimer/Publisher’s Note: The statements, opinions and data contained in all publications are solely those of the individual author(s) and contributor(s) and not of MDPI and/or the editor(s). MDPI and/or the editor(s) disclaim responsibility for any injury to people or property resulting from any ideas, methods, instructions or products referred to in the content. |
© 2023 by the authors. Licensee MDPI, Basel, Switzerland. This article is an open access article distributed under the terms and conditions of the Creative Commons Attribution (CC BY) license (https://creativecommons.org/licenses/by/4.0/).
Share and Cite
Vetere, A.; Bigliardi, E.; Masi, M.; Rizzi, M.; Leandrin, E.; Di Ianni, F. Egg Removal via Cloacoscopy in Three Dystocic Leopard Geckos (Eublepharis macularius). Animals 2023, 13, 924. https://doi.org/10.3390/ani13050924
Vetere A, Bigliardi E, Masi M, Rizzi M, Leandrin E, Di Ianni F. Egg Removal via Cloacoscopy in Three Dystocic Leopard Geckos (Eublepharis macularius). Animals. 2023; 13(5):924. https://doi.org/10.3390/ani13050924
Chicago/Turabian StyleVetere, Alessandro, Enrico Bigliardi, Marco Masi, Matteo Rizzi, Elisa Leandrin, and Francesco Di Ianni. 2023. "Egg Removal via Cloacoscopy in Three Dystocic Leopard Geckos (Eublepharis macularius)" Animals 13, no. 5: 924. https://doi.org/10.3390/ani13050924
APA StyleVetere, A., Bigliardi, E., Masi, M., Rizzi, M., Leandrin, E., & Di Ianni, F. (2023). Egg Removal via Cloacoscopy in Three Dystocic Leopard Geckos (Eublepharis macularius). Animals, 13(5), 924. https://doi.org/10.3390/ani13050924

