C3a/C3aR Affects the Propagation of Cryptosporidium parvum in the Ileum Tissues of Mice by Regulating the Gut Barrier, Cell Proliferation, and CD4+ T Cell Main Effectors
Simple Summary
Abstract
1. Introduction
2. Materials and Methods
2.1. Parasites
2.2. In Vivo Infection Model
2.3. Reverse Transcriptase Quantitative Polymerase Chain Reaction (RT-qPCR)
2.4. Western Blot Analysis
2.5. Immunohistochemistry Analysis
2.6. Data Analysis
3. Results
3.1. Optimization of a Mouse Model Infected with C. parvum
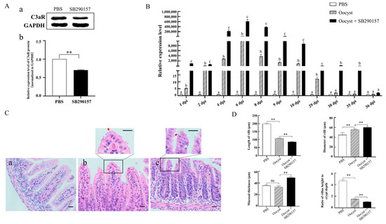
3.2. Expression of C3aR in Mouse Ileum Tissues during C. parvum Infection
3.3. Effect of C3a/C3aR Signaling on the Propagation of C. parvum in the Ilea of Mice
3.4. Transcriptional Expression Level Analysis of Tight Junction Proteins in the Ileum Tissues of Mice during C. parvum Infection
3.5. Transcriptional Expression Level Analysis of the lgr5 and ki67 in the Ileum Tissues of Mice during C. parvum Infection
3.6. Transcriptional Expression Level Analysis of CD4+ T cell-Related Cytokines in the Ileum Tissues of Mice during C. parvum Infection
4. Discussion
5. Conclusions
Supplementary Materials
Author Contributions
Funding
Institutional Review Board Statement
Informed Consent Statement
Data Availability Statement
Conflicts of Interest
References
- Kotloff, K.L.; Nataro, J.P.; Blackwelder, W.C.; Nasrin, D.; Farag, T.H.; Panchalingam, S.; Wu, Y.; Sow, S.O.; Sur, D.; Breiman, R.F.; et al. Burden and aetiology of diarrhoeal disease in infants and young children in developing countries (the Global Enteric Multicenter Study, GEMS): A prospective, case-control study. Lancet 2013, 382, 209–222. [Google Scholar] [CrossRef] [PubMed]
- Meganck, V.; Hoflack, G.; Opsomer, G. Advances in prevention and therapy of neonatal dairy calf diarrhoea: A systematical review with emphasis on colostrum management and fluid therapy. Acta. Vet. Scand. 2014, 56, 75. [Google Scholar] [CrossRef] [PubMed]
- Cho, Y.I.; Han, J.I.; Wang, C.; Cooper, V.; Schwartz, K.; Engelken, T.; Yoon, K.J. Case-control study of microbiological etiology associated with calf diarrhea. Vet. Microbiol. 2013, 166, 375–385. [Google Scholar] [CrossRef]
- Santín, M. Clinical and subclinical infections with Cryptosporidium in animals. N. Z. Vet. J. 2013, 61, 1–10. [Google Scholar] [CrossRef] [PubMed]
- Yang, X.; Guo, Y.; Xiao, L.; Feng, Y. Molecular epidemiology of human cryptosporidiosis in low- and middle-income countries. Clin. Microbiol. Rev. 2021, 34, e00087-19. [Google Scholar] [CrossRef]
- Xiao, L.; Feng, Y. Molecular epidemiologic tools for waterborne pathogens Cryptosporidium spp. and Giardia duodenalis. Food Waterborne Parasitol. 2017, 8–9, 14–32. [Google Scholar] [CrossRef]
- Checkley, W.; White, A.C., Jr.; Jaganath, D.; Arrowood, M.J.; Chalmers, R.M.; Chen, X.M.; Fayer, R.; Griffiths, J.K.; Guerrant, R.L.; Hedstrom, L.; et al. A review of the global burden, novel diagnostics, therapeutics, and vaccine targets for Cryptosporidium. Lancet Infect. Dis. 2015, 15, 85–94. [Google Scholar] [CrossRef]
- Petry, F.; Jakobi, V.; Tessema, T.S. Host immune response to Cryptosporidium parvum infection. Exp. Parasitol. 2010, 126, 304–309. [Google Scholar] [CrossRef]
- Barakat, F.M.; McDonald, V.; Di Santo, J.P.; Korbel, D.S. Roles for NK cells and an NK cell-independent source of intestinal gamma interferon for innate immunity to Cryptosporidium parvum infection. Infect. Immun. 2009, 77, 5044–5049. [Google Scholar] [CrossRef]
- Ivanova, D.L.; Denton, S.L.; Fettel, K.D.; Sondgeroth, K.S.; Munoz Gutierrez, J.; Bangoura, B.; Dunay, I.R.; Gigley, J.P. Innate lymphoid cells in protection, pathology, and adaptive immunity during apicomplexan infection. Front. Immunol. 2019, 10, 196. [Google Scholar] [CrossRef]
- Laurent, F.; Lacroix-Lamandé, S. Innate immune responses play a key role in controlling infection of the intestinal epithelium by Cryptosporidium. Int. J. Parasitol. 2017, 47, 711–721. [Google Scholar] [CrossRef] [PubMed]
- Petry, F.; Jakobi, V.; Wagner, S.; Tessema, T.S.; Thiel, S.; Loos, M. Binding and activation of human and mouse complement by Cryptosporidium parvum (Apicomplexa) and susceptibility of C1q- and MBL-deficient mice to infection. Mol. Immunol. 2008, 45, 3392–3400. [Google Scholar] [CrossRef]
- Borad, A.; Ward, H. Human immune responses in cryptosporidiosis. Future Microbiol. 2010, 5, 507–519. [Google Scholar] [CrossRef] [PubMed]
- McNair, N.N.; Mead, J.R. CD4⁺ effector and memory cell populations protect against Cryptosporidium parvum infection. Microbes Infect. 2013, 15, 599–606. [Google Scholar] [CrossRef] [PubMed]
- Riggs, M.W. Recent advances in cryptosporidiosis: The immune response. Microbes Infect. 2002, 4, 1067–1080. [Google Scholar] [CrossRef] [PubMed]
- Ricklin, D.; Hajishengallis, G.; Yang, K.; Lambris, J.D. Complement: A key system for immune surveillance and homeostasis. Nat. Immunol. 2010, 11, 785–797. [Google Scholar] [CrossRef]
- Dempsey, P.W.; Allison, M.E.; Akkaraju, S.; Goodnow, C.C.; Fearon, D.T. C3d of complement as a molecular adjuvant: Bridging innate and acquired immunity. Science 1996, 271, 348–350. [Google Scholar] [CrossRef]
- Ding, P.; Li, L.; Li, L.; Lv, X.; Zhou, D.; Wang, Q.; Chen, J.; Yang, C.; Xu, E.; Dai, W.; et al. C5aR1 is a master regulator in colorectal tumorigenesis via immune modulation. Theranostics 2020, 10, 8619–8632. [Google Scholar] [CrossRef]
- Haas, K.M.; Hasegawa, M.; Steeber, D.A.; Poe, J.C.; Zabel, M.D.; Bock, C.B.; Chen, J.; Yang, C.; Xu, E.; Dai, W.; et al. Complement receptors CD21/35 link innate and protective immunity during Streptococcus pneumoniae infection by regulating IgG3 antibody responses. Immunity 2002, 17, 713–723. [Google Scholar] [CrossRef]
- Kemper, C.; Atkinson, J.P. T-cell regulation: With complements from innate immunity. Nat. Rev. Immunol. 2007, 7, 9–18. [Google Scholar] [CrossRef]
- Klos, A.; Tenner, A.J.; Johswich, K.O.; Ager, R.R.; Reis, E.S.; Köhl, J. The role of the anaphylatoxins in health and disease. Mol. Immunol. 2009, 46, 2753–2766. [Google Scholar] [CrossRef] [PubMed]
- Matsumoto, N.; Satyam, A.; Geha, M.; Lapchak, P.H.; Dalle Lucca, J.J.; Tsokos, M.G.; Tsokos, G.C. C3a enhances the formation of intestinal organoids through C3aR1. Front. Immunol. 2017, 8, 1046. [Google Scholar] [CrossRef] [PubMed]
- Pekna, M.; Stokowska, A.; Pekny, M. Targeting complement C3a receptor to improve outcome after ischemic brain injury. Neurochem. Res. 2021, 46, 2626–2637. [Google Scholar] [CrossRef] [PubMed]
- Guo, Y.; Wu, F.; Fang, Y.; Lin, Q.; Zhao, G. Expression analysis of anaphylatoxins C5a and C3a in Cryptosporidium parvum-infecting mice. Chin. J. Vet. Sci. 2017, 37, 871–874, 908. (In Chinese) [Google Scholar]
- Xiao, L.; Escalante, L.; Yang, C.; Sulaiman, I.; Escalante, A.A.; Montali, R.J.; Fayer, R.; Lal, A.A. Phylogenetic analysis of Cryptosporidium parasites based on the small-subunit rRNA gene locus. Appl. Environ. Microbiol. 1999, 65, 1578–1583. [Google Scholar] [CrossRef]
- Alves, M.; Xiao, L.; Sulaiman, I.; Lal, A.A.; Matos, O.; Antunes, F. Subgenotype analysis of Cryptosporidium isolates from humans, cattle, and zoo ruminants in Portugal. J. Clin. Microbiol. 2003, 41, 2744–2747. [Google Scholar] [CrossRef] [PubMed]
- Wu, X.M.; Yang, X.; Yuan, Y.J.; Yin, Y.L.; Lai, P.; Song, J.K.; Shi, H.; Zhao, G.H. Immunomodulatory effect of C5a/C5aR signal during Cryptosporidium parvum infection. Acta Veterinaria Zootechnica Sinica 2022, 53, 2621–2632. (In Chinese) [Google Scholar]
- Ignatius, R.; Lehmann, M.; Miksits, K.; Regnath, T.; Arvand, M.; Engelmann, E.; Futh, U.; Hahn, H.; Wagner, J. A new acid-fast trichrome stain for simultaneous detection of Cryptosporidium parvum and microsporidial species in stool specimens. J. Clin. Microbiol. 1997, 35, 446–449. [Google Scholar] [CrossRef]
- Sateriale, A.; Gullicksrud, J.A.; Engiles, J.B.; McLeod, B.I.; Kugler, E.M.; Henao-Mejia, J.; Zhou, T.; Ring, A.M.; Brodsky, I.E.; Hunter, C.A.; et al. The intestinal parasite Cryptosporidium is controlled by an enterocyte intrinsic inflammasome that depends on NLRP6. Proc. Natl. Acad. Sci. USA 2021, 118, e2007807118. [Google Scholar] [CrossRef]
- Ames, R.S.; Lee, D.; Foley, J.J.; Jurewicz, A.J.; Tornetta, M.A.; Bautsch, W.; Settmacher, B.; Klos, A.; Erhard, K.F.; Cousins, R.D.; et al. Identification of a selective nonpeptide antagonist of the anaphylatoxin C3a receptor that demonstrates antiinflammatory activity in animal models. J. Immunol. 2001, 166, 6341–6348. [Google Scholar] [CrossRef]
- Wu, X.M.; Yang, X.; Fan, X.C.; Chen, X.; Wang, Y.X.; Zhang, L.X.; Song, J.K.; Zhao, G.H. Serum metabolomics in chickens infected with Cryptosporidium baileyi. Parasit. Vectors 2021, 14, 336. [Google Scholar] [CrossRef] [PubMed]
- Sullivan, L.M.; Weinberg, J.; Keaney, J.F., Jr. Common statistical pitfalls in basic science research. J. Am. Heart Assoc. 2016, 5, e004142. [Google Scholar] [CrossRef] [PubMed]
- Paradis, T.; Bègue, H.; Basmaciyan, L.; Dalle, F.; Bon, F. Tight junctions as a key for pathogens invasion in intestinal epithelial cells. Int. J. Mol. Sci. 2021, 22, 2506. [Google Scholar] [CrossRef]
- Kumar, A.; Chatterjee, I.; Anbazhagan, A.N.; Jayawardena, D.; Priyamvada, S.; Alrefai, W.A.; Sun, J.; Borthakur, A.; Dudeja, P.K. Cryptosporidium parvum disrupts intestinal epithelial barrier function via altering expression of key tight junction and adherens junction proteins. Cell Microbiol. 2018, 20, e12830. [Google Scholar] [CrossRef] [PubMed]
- Buret, A.G.; Chin, A.C.; Scott, K.G. Infection of human and bovine epithelial cells with Cryptosporidium andersoni induces apoptosis and disrupts tight junctional ZO-1: Effects of epidermal growth factor. Int. J. Parasitol. 2003, 33, 1363–1371. [Google Scholar] [CrossRef]
- Li, H. The Regulation of interferon-γ on intestinal epithelial cell necroptosis, proliferation, and differentiation. Ph.D. Thesis, Soochow University, Suzhou, China, 2020. (In Chinese). [Google Scholar]
- Liu, J.; Bolick, D.T.; Kolling, G.L.; Fu, Z.; Guerrant, R.L. Protein malnutrition impairs intestinal epithelial cell turnover, a potential mechanism of increased cryptosporidiosis in a murine model. Infect. Immun. 2016, 84, 3542–3549. [Google Scholar] [CrossRef] [PubMed]
- Zhang, X.T.; Gong, A.Y.; Wang, Y.; Chen, X.; Lim, S.S.; Dolata, C.E.; Chen, X.M. Cryptosporidium parvum infection attenuates the ex vivo propagation of murine intestinal enteroids. Physiol. Rep. 2016, 4, e13060. [Google Scholar] [CrossRef]
- Howe, K.L.; Reardon, C.; Wang, A.; Nazli, A.; McKay, D.M. Transforming growth factor-beta regulation of epithelial tight junction proteins enhances barrier function and blocks enterohemorrhagic Escherichia coli O157:H7-induced increased permeability. Am. J. Pathol. 2005, 167, 1587–1597. [Google Scholar] [CrossRef]
- Robinson, P.; Okhuysen, P.C.; Chappell, C.L.; Lewis, D.E.; Shahab, I.; Lahoti, S.; White, A.C., Jr. Transforming growth factor beta1 is expressed in the jejunum after experimental Cryptosporidium parvum infection in humans. Infect. Immun. 2000, 68, 5405–5407. [Google Scholar] [CrossRef]
- Youakim, A.; Ahdieh, M. Interferon-gamma decreases barrier function in T84 cells by reducing ZO-1 levels and disrupting apical actin. Am. J. Physiol. 1999, 276, G1279-88. [Google Scholar]
- Zhao, G.H.; Fang, Y.Q.; Ryan, U.; Guo, Y.X.; Wu, F.; Du, S.Z.; Chen, D.K.; Lin, Q. Dynamics of Th17 associating cytokines in Cryptosporidium parvum-infected mice. Parasitol. Res. 2016, 115, 879–887. [Google Scholar] [CrossRef] [PubMed]
- Huang, H.; Fang, F. The regulatory role of complement in adaptive immunity. Chin. J. Immunol. 2016, 32, 600–604, 608. [Google Scholar]
- Strainic, M.G.; Liu, J.; Huang, D.; An, F.; Lalli, P.N.; Muqim, N.; Shapiro, V.S.; Dubyak, G.R.; Heeger, P.S.; Medof, M.E. Locally produced complement fragments C5a and C3a provide both costimulatory and survival signals to naive CD4+ T cells. Immunity 2008, 28, 425–435. [Google Scholar] [CrossRef] [PubMed]
- Gao, S.; Cui, Z.; Zhao, M.H. The complement C3a and C3a receptor pathway in kidney diseases. Front. Immunol. 2020, 11, 1875. [Google Scholar] [CrossRef] [PubMed]






| Target Gene | Sequence (5′-3′) | Annealing Temperature (°C) |
|---|---|---|
| 18S rRNA | F: CTCCACCAACTAAGAACGGCC R: TAGAGATTGGAGGTTGTTCCT | 55 |
| gapdh | F: GGTGAAGGTCGGTGTGAACG | 55 |
| R: CTCGCTCCTGGAAGATGGTG | ||
| C3aR | F: CTATTGGGACTGCTAGGCAA R: TGTCCTTGGAGAATCAGGTG | 54 |
| zo-1 | F: GCCGCTAAGAGCACAGCAA R: GCCCTCCTTTTAACACATCAGA | 54 |
| claudin 3 | F: ACCAACTGCGTACAAGACGAG R: CGGGCACCAACGGGTTATAG | 55 |
| occludin | F: TGAAAGTCCACCTCCTTACAGA R: CCGGATAAAAAGAGTACGCTGG | 54 |
| lgr5 | F: GGCAGCACTTTTCAGCA R: GGACGACAGGAGATTGGA | 53 |
| ki67 | F: TCTGTGCTGACCCTGATG R: CCCTGATGAGTCTTGGCTA | 51 |
| ifn-γ | F: ATGAACGCTACACACTGCATC R: CCATCCTTTTGCCAGTTCCTC | 55 |
| tgf-β | F: CCGCAACAACGCCATCTAT R: CCAAGGTAACGCCAGGAATT | 55 |
Disclaimer/Publisher’s Note: The statements, opinions and data contained in all publications are solely those of the individual author(s) and contributor(s) and not of MDPI and/or the editor(s). MDPI and/or the editor(s) disclaim responsibility for any injury to people or property resulting from any ideas, methods, instructions or products referred to in the content. |
© 2023 by the authors. Licensee MDPI, Basel, Switzerland. This article is an open access article distributed under the terms and conditions of the Creative Commons Attribution (CC BY) license (https://creativecommons.org/licenses/by/4.0/).
Share and Cite
Yang, X.; Wu, X.; Huang, S.; Yao, Q.; Chen, X.; Song, J.; Fan, Y.; Zhao, G. C3a/C3aR Affects the Propagation of Cryptosporidium parvum in the Ileum Tissues of Mice by Regulating the Gut Barrier, Cell Proliferation, and CD4+ T Cell Main Effectors. Animals 2023, 13, 837. https://doi.org/10.3390/ani13050837
Yang X, Wu X, Huang S, Yao Q, Chen X, Song J, Fan Y, Zhao G. C3a/C3aR Affects the Propagation of Cryptosporidium parvum in the Ileum Tissues of Mice by Regulating the Gut Barrier, Cell Proliferation, and CD4+ T Cell Main Effectors. Animals. 2023; 13(5):837. https://doi.org/10.3390/ani13050837
Chicago/Turabian StyleYang, Xin, Xuemei Wu, Shuang Huang, Qian Yao, Xi Chen, Junke Song, Yingying Fan, and Guanghui Zhao. 2023. "C3a/C3aR Affects the Propagation of Cryptosporidium parvum in the Ileum Tissues of Mice by Regulating the Gut Barrier, Cell Proliferation, and CD4+ T Cell Main Effectors" Animals 13, no. 5: 837. https://doi.org/10.3390/ani13050837
APA StyleYang, X., Wu, X., Huang, S., Yao, Q., Chen, X., Song, J., Fan, Y., & Zhao, G. (2023). C3a/C3aR Affects the Propagation of Cryptosporidium parvum in the Ileum Tissues of Mice by Regulating the Gut Barrier, Cell Proliferation, and CD4+ T Cell Main Effectors. Animals, 13(5), 837. https://doi.org/10.3390/ani13050837

