Diagnostic and Prognostic Value of Clinical Scoring and Lung Ultrasonography to Assess Pulmonary Lesions in Veal Calves
Abstract
:Simple Summary
Abstract
1. Introduction
2. Materials and Methods
2.1. Animals and Housing
2.2. Study Design
2.3. Physical Examination
2.4. Auscultation
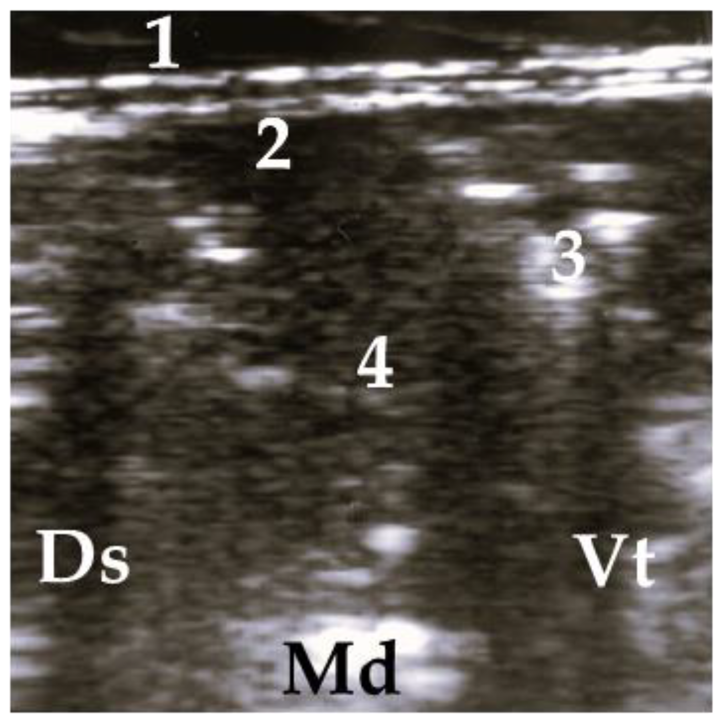
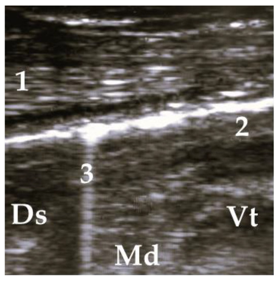
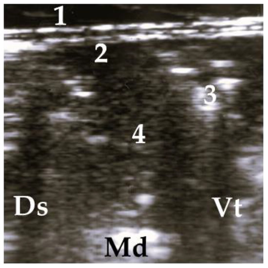
2.5. Ultrasonographic Examination
2.6. Postmortem Inspection of the Lungs
2.7. Statistical Analyses
3. Results
3.1. Inter and Intra-Observer Reliability
3.2. Results of Physical, Ultrasonographic and Post Mortal Examinations
3.3. Development of Ultrasonographic Examination Score from the First to the Second Examination
3.4. Ultrasonographic and Postmortem Findings in Five Lung Areas
3.5. Associations between Examination Methods
4. Discussion
4.1. Assessment of Physical Signs of Respiratory Disease
4.2. Assessment of Ultrasonographic Findings of Respiratory Disease
4.3. Association between Antemortem Physical and Ultrasonographic Examination Scorings and Scorings of Postmortem Inspection
4.4. Limitations of the Study
5. Conclusions
Author Contributions
Funding
Institutional Review Board Statement
Informed Consent Statement
Data Availability Statement
Acknowledgments
Conflicts of Interest
Abbreviations
| AB | abnormal breathing |
| AUC | area under the curve |
| ALV | alveologram |
| ATA | atelectasis |
| BRD | bovine respiratory disease |
| BVDV | bovine viral diarrhea virus |
| CI | confidence interval |
| CO | cough |
| COMT | comet-tails artifact |
| CON | consolidation |
| DCP | dairy calf pneumonia |
| ED | eye discharge |
| FLU | fluid |
| HAT | head tilt or ear droop |
| ND | nasal discharge |
| PPV | positive predictive value |
| ROC | receiver operating characteristics |
| rsp | Spearman rank correlation |
| Se | sensitivity |
| Sp | specificity |
| T | temperature |
References
- Ames, T.R. Dairy Calf Pneumonia. Vet. Clin. N. Am. Food Anim. Pract. 1997, 13, 379–391. [Google Scholar] [CrossRef]
- Algers, B.; Broom, D.M.; Canali, E.; Hartung, J.; Smulders, F.J.M.; van Reenen, C.G.; Veissier, I. The risk of poor welfare in intensive calf farming systems. An update of the Scientific Veterinary Committee Report on the Welfare of Calves. EFSA J. 2006, 366, 1–36. [Google Scholar]
- Lorenz, I.; Earley, B.; Gilmore, J.; Hogan, I.; Kennedy, E.; More, S.J. Calf health from birth to weaning. III. housing and management of calf pneumonia. Ir. Vet. J. 2011, 64, 14. [Google Scholar] [CrossRef]
- Donovan, G.A.; Dohoo, I.R.; Montgomery, D.M.; Bennett, F.L. Calf and disease factors affecting growth in female Holstein calves in Florida, USA. Prev. Vet. Med. 1998, 33, 1–10. [Google Scholar] [CrossRef]
- McGuirk, S.M. Disease management of dairy calves and heifers. Vet. Clin. N. Am. Food Anim. Pract. 2008, 24, 139–153. [Google Scholar] [CrossRef] [PubMed]
- Stanton, A. Challenges and opportunities for managing respiratory disease in dairy calves. Anim. Health Res. Rev. 2009, 10, 113–115. [Google Scholar] [CrossRef]
- Virtala, A.M.; Mechor, G.D.; Gröhn, Y.T.; Erb, H.N.; Dubovi, E.J. Epidemiologic and pathologic characteristics of respiratory tract disease in dairy heifers during the first three months of life. J. Am. Vet. Med. Assoc. 1996, 208, 2035–2042. [Google Scholar] [PubMed]
- Buczinski, S.; O’Connor, A.M. Specific Challenges in Conducting and Reporting Studies on the Diagnostic Accuracy of Ultrasonography in Bovine Medicine. Vet. Clin. N. Am. Food Anim. Pract. 2016, 32, 1–18. [Google Scholar] [CrossRef] [PubMed]
- Love, W.J.; Lehenbauer, T.W.; Kass, P.H.; van Eenennaam, A.L.; Aly, S.S. Development of a novel clinical scoring system for on-farm diagnosis of bovine respiratory disease in pre-weaned dairy calves. PeerJ 2014, 2, e238. [Google Scholar] [CrossRef] [PubMed]
- Maier, G.U.; Rowe, J.D.; Lehenbauer, T.W.; Karle, B.M.; Williams, D.R.; Champagne, J.D.; Aly, S.S. Development of a clinical scoring system for bovine respiratory disease in weaned dairy calves. J. Dairy Sci. 2019, 102, 7329–7344. [Google Scholar] [CrossRef]
- McGuirk, S.M.; Peek, S.F. Timely diagnosis of dairy calf respiratory disease using a standardized scoring system. Anim. Health Res. Rev. 2014, 15, 145–147. [Google Scholar] [CrossRef] [PubMed]
- Directorate-General for Health and Food Safety. Council Recommendation on Stepping up EU Actions to Combat Antimicrobial Resistance in a One Health Approach; Official Journal of the European Union; European Union: Maastricht, The Netherlands, 2023; C220; pp. 1–20. [Google Scholar]
- Berman, J.; Francoz, D.; Dufour, S.; Buczinski, S. Bayesian estimation of sensitivity and specificity of systematic thoracic ultrasound exam for diagnosis of bovine respiratory disease in pre-weaned calves. Prev. Vet. Med. 2019, 162, 38–45. [Google Scholar] [CrossRef] [PubMed]
- Timsit, E.; Dendukuri, N.; Schiller, I.; Buczinski, S. Diagnostic accuracy of clinical illness for bovine respiratory disease (BRD) diagnosis in beef cattle placed in feedlots: A systematic literature review and hierarchical Bayesian latent-class meta-analysis. Prev. Vet. Med. 2016, 135, 67–73. [Google Scholar] [CrossRef] [PubMed]
- White, B.J.; Goehl, D.R.; Amrine, D.E.; Booker, C.; Wildman, B.; Perrett, T. Bayesian evaluation of clinical diagnostic test characteristics of visual observations and remote monitoring to diagnose bovine respiratory disease in beef calves. Prev. Vet. Med. 2016, 126, 74–80. [Google Scholar] [CrossRef]
- Buczinski, S.; Ollivett, T.L.; Dendukuri, N. Bayesian estimation of the accuracy of the calf respiratory scoring chart and ultrasonography for the diagnosis of bovine respiratory disease in pre-weaned dairy calves. Prev. Vet. Med. 2015, 119, 227–231. [Google Scholar] [CrossRef]
- Adams, E.A.; Buczinski, S. Short communication: Ultrasonographic assessment of lung consolidation postweaning and survival to the first lactation in dairy heifers. J. Dairy Sci. 2016, 99, 1465–1470. [Google Scholar] [CrossRef]
- Buczinski, S.; Forté, G.; Francoz, D.; Bélanger, A.-M. Comparison of thoracic auscultation, clinical score, and ultrasonography as indicators of bovine respiratory disease in preweaned dairy calves. J. Vet. Intern. Med. 2014, 28, 234–242. [Google Scholar] [CrossRef]
- Braun, U. Atlas und Lehrbuch der Ultraschalldiagnostik Beim Rind; Parey: Berlin, Germany, 1997; pp. 115–141. [Google Scholar]
- Ollivett, T.L.; Buczinski, S. On-Farm Use of Ultrasonography for Bovine Respiratory Disease. Vet. Clin. N. Am. Food Anim. Pract. 2016, 32, 19–35. [Google Scholar] [CrossRef]
- Babkine, M.; Blond, L. Ultrasonography of the bovine respiratory system and its practical application. Vet. Clin. N. Am. Food Anim. Pract. 2009, 25, 633–649. [Google Scholar] [CrossRef]
- Budras, K.D.; Wünsche, A. Atlas der Anatomie des Rindes, 1st ed.; Schültesche GmbH&Co. KG: Hannover, Germany, 2002; pp. 62–63. [Google Scholar]
- Aly, S.S.; Love, W.J.; Williams, D.R.; Lehenbauer, T.W.; van Eenennaam, A.; Drake, C.; Kass, P.H.; Farver, T.B. Agreement between bovine respiratory disease scoring systems for pre-weaned dairy calves. Anim. Health Res. Rev. 2014, 15, 148–150. [Google Scholar] [CrossRef]
- Baumgartner, W.; Wittek, T. (Eds.) Auskultation der Lunge. In Klinische Propädeutik der Haus-und Heimtiere, 9th ed.; Enke: Stuttgart, Germany, 2017; pp. 129–133. [Google Scholar]
- Curtis, R.A.; Viel, L.; Mc Guirk, S.M.; Radostits, O.M.; Harris, F.U. Lung sounds in cattle, horses, sheep and goats. Can. Vet. J. 1986, 27, 170–172. [Google Scholar]
- Lee, F.C.Y.; Jenssen, C.; Dietrich, C.F. A common misunderstanding in lung ultrasound: The comet tail artefact. Med. Ultrason. 2018, 20, 379–384. [Google Scholar] [CrossRef] [PubMed]
- Ollivett, T.L.; Caswell, J.L.; Nydam, D.V.; Duffield, T.; Leslie, K.E.; Hewson, J.; Kelton, D. Thoracic Ultrasonography and Bronchoalveolar Lavage Fluid Analysis in Holstein Calves with Subclinical Lung Lesions. J. Vet. Intern. Med. 2015, 29, 1728–1734. [Google Scholar] [CrossRef] [PubMed]
- Leruste, H.; Brscic, M.; Heutinck, L.F.M.; Visser, E.K.; Wolthuis-Fillerup, M.; Bokkers, E.A.M.; Stockhofe-Zurwieden, N.; Cozzi, G.; Gottardo, F.; Lensink, B.J.; et al. The relationship between clinical signs of respiratory system disorders and lung lesions at slaughter in veal calves. Prev. Vet. Med. 2012, 105, 93–100. [Google Scholar] [CrossRef] [PubMed]
- Altman, D.G. Practical Statistics for Medical Research, 1st ed.; Chapman and Hall/CRC: New York, NY, USA, 1990; pp. 277–321. [Google Scholar]
- Rabeling, B.; Rehage, J.; Döpfer, D.; Scholz, H. Ultrasonographic findings in calves with respiratory disease. Vet. Rec. 1998, 143, 468–471. [Google Scholar] [CrossRef] [PubMed]
- Miller, W.M.; Harkness, J.W.; Richards, M.S.; Pritchard, D.G. Epidemiological studies of calf respiratory disease in a large commercial veal unit. Res. Vet. Sci. 1980, 28, 267–274. [Google Scholar] [CrossRef] [PubMed]
- Autio, T.; Pohjanvirta, T.; Holopainen, R.; Rikula, U.; Pentikäinen, J.; Huovilainen, A.; Rusanen, H.; Soveri, T.; Sihvonen, L.; Pelkonen, S. Etiology of respiratory disease in non-vaccinated, non-medicated calves in rearing herds. Vet. Microbiol. 2007, 119, 256–265. [Google Scholar] [CrossRef]
- Hill, T.M.; Bateman, H.G.; Suarez-Mena, F.X.; Dennis, T.S.; Schlotterbeck, R.L. Short communication: Changes in body temperature of calves up to 2 months of age as affected by time of day, age, and ambient temperature. J. Dairy Sci. 2016, 99, 8867–8870. [Google Scholar] [CrossRef]
- Wang, Y.; Gargani, L.; Barskova, T.; Furst, D.E.; Cerinic, M.M. Usefulness of lung ultrasound B-lines in connective tissue disease-associated interstitial lung disease: A literature review. Arthritis Res. Ther. 2017, 19, 206. [Google Scholar] [CrossRef]
- Reissig, A.; Kroegel, C. Transthoracic sonography of diffuse parenchymal lung disease: The role of comet tail artifacts. J. Ultrasound Med. 2003, 22, 173–180. [Google Scholar] [CrossRef]
- Arcangioli, M.A.; Duet, A.; Meyer, G.; Dernburg, A.; Bézille, P.; Poumarat, F.; Le Grand, D. The role of Mycoplasma bovis in bovine respiratory disease outbreaks in veal calf feedlots. Vet. J. 2008, 177, 89–93. [Google Scholar] [CrossRef]
- Radaelli, E.; Luini, M.; Loria, G.R.; Nicholas, R.A.J.; Scanziani, E. Bacterial, serological, pathological and immunohistochemical studies of Mycoplasma bovis respiratory infection in veal calves and adult cattle at slaughter. Res. Vet. Sci. 2008, 85, 282–290. [Google Scholar] [CrossRef] [PubMed]
- Brscic, M.; Leruste, H.; Heutinck, L.F.; Bokkers, E.A.M.; Wolthuis-Fillerup, M.; Stockhofe, N.; Gottardo, F.; Lensink, B.J.; Cozzi, G.; Van Reenen, C.G. Prevalence of respiratory disorders in veal calves and potential risk factors. J. Dairy Sci. 2012, 95, 2753–2764. [Google Scholar] [CrossRef] [PubMed]
- Lago, A.; Mc Guirk, S.M.; Bennett, T.B.; Cook, N.B.; Nordlund, K.V. Calf respiratory disease and pen microenvironments in naturally ventilated calf barns in winter. J. Dairy Sci. 2006, 89, 4014–4025. [Google Scholar] [CrossRef]
- Van der Mei, J.; Van den Ingh, T.S. Lung and pleural lesions of veal calves at slaughter and their relationship with carcass weight. Vet. Q. 1987, 9, 203–207. [Google Scholar] [CrossRef]
- Panciera, R.J.; Confer, A.W. Pathogenesis and Pathology of bovine pneumonia. Vet. Clin. N. Am. Food Anim. Pract. 2010, 26, 191–214. [Google Scholar] [CrossRef] [PubMed]
- Taylor, J.D.; Fulton, R.W.; Lehenbauer, T.W.; Step, D.L.; Confer, A.W. The epidemiology of bovine respiratory disease: What is the evidence for predisposing fators? Can. Vet. J. 2010, 51, 1095–1102. [Google Scholar] [CrossRef]
- Rademacher, R.M.; Buczinski, S.; Tripp, H.T.; Edmonds, M.D.; Johnson, E.G. Systematic thoracic ultrasonography in acute bovine respiratory disease of feedlot steers; impact of lung consolidation on diagnosis in a case control study. Bov. Pract. 2013, 48, 1–10. [Google Scholar] [CrossRef]








| Diagnose 1 | Description of the Clinical Sign | Score if Normal | Score if Abnormal (Any Severity) |
|---|---|---|---|
| ED | Serous, mucous, or purulent eye secretion; uni- or bilateral | 0 | 2 |
| ND | Serous, mucous, or purulent nose secretion; uni- or bilateral | 0 | 4 |
| HAT | slight uni- or bilateral ear droop or head tilt | 0 | 5 |
| CO | impulsive and audible exhalation sound | 0 | 2 |
| AB | Increased breathing frequency, signs of tachypnea | 0 | 2 |
| T | 0 (<102.5 °F ≙ <39.2 °C) | 2 (≥102.5 °F ≙ ≥39.2 °C) |
| Diagnose 1 | Description | Score |
|---|---|---|
| COMTs and CON | No COMT, normal air content, no consolidation | 0 |
| More than five COMT, diffuse allocated, no consolidation | 1 | |
| More than ten COMT, small lobular lesions | 2 | |
| Lobar lesion of the whole lobe | 3 | |
| ALV | No ALV | 0 |
| One or more ALV | 1 | |
| ATA | No ATA | 0 |
| One or more ATA | 1 | |
| FLU | No FLU | 0 |
| FLU | 1 |
| Description | Score |
|---|---|
| Healthy lung with a normal pale orange color | 0 |
| One spot of grey-red discoloration | 1 |
| One larger or several small spots of grey-red discoloration | 2 |
| Grey-red discoloration area of a full lobe and/or presence of abscesses | 3 |
| Season | Time of Examination | CO | ND | ED | AB | HAT | T | AU |
|---|---|---|---|---|---|---|---|---|
| Spring | Start | 3 3.1 b | 53.2 b,d | 30.0 b,c,d | 42.2 | 0.0 | 6.1 c,d | 55.5 d |
| (n = 150) | Start − End 2 | −17.11 | −9.6 | −15.9 1 | +11.6 | ±0.0 | +29.2 1 | −11.9 |
| Summer | Start | 18.8 a,c,d | 43.6 d | 14.3 a,c | 43.6 | 0.0 | 9.0 c,d | 43.6 d |
| (n = 150) | Start − End 2 | −6.4 | −8.9 | −9.0 1 | −8.9 | ±0.0 | −1.4 | −14.21 |
| Autumn | Start | 21.1 d | 52.8 b,d | 38.2 d | 47.5 | 0.3 | 22.0 a,b,d | 68.6 a,b |
| (n = 150) | Start − End 2 | −2.0 | −8.7 | −19.1 1 | +3.8 | −0.3 | +5.6 | −10.1 |
| Winter | Start | 32.3 b,c | 66.5 b | 13.0 a,c | 46.9 | 0.0 | 15.4 a | 69.7 a,b |
| (n = 150) | Start − End 2 | −13.21 | −22.71 | +1.1 | +11.6 | ±0.0 | +8.2 | +12.9 |
| Total | Start | 26.0 | 53.8 | 24.7 | 45.2 | 0.1 | 13.6 | 41.2 |
| (n = 600) | Start − End 2 | −9.4 | −12.4 | −11.8 1 | +4.4 | −0.1 | +9.6 | +12.8 |
| Season | Time of Examination | COMT/CON 3 | ALV 3 | ATA 3 | FLU 3 | 1 | 2 | 3 |
|---|---|---|---|---|---|---|---|---|
| Spring | Start | 66.5 b | 4.9 | 3.0 | 0.8 | 14.0 a,d | 13.5 d | 8.3 |
| (n = 150) | Start − End 2 | +4.7 | ±0.0 | +1.1 | +0.7 | |||
| Summer | Start | 80.5 a | 7.1 | 7.0 | 0.9 | 22.1 c,d | 6.9 | 4.7 |
| (n = 150) | Start − End 2 | −24.1 1 | −2.8 | −1.7 | −0.9 | |||
| Autumn | Start | 76.3 | 2.5 | 1.4 | 0.8 | 6.6 | 8.1 | 4.2 |
| (n = 150) | Start − End 2 | +2.4 | +1.0 | +0.6 | −0.1 | |||
| Winter | Start | 70.1 | 3.3 | 3.2 | 0.6 | 2.6 a,b | 8.4 a | 8.1 |
| (n = 150) | Start − End 2 | −20.4 | +0.6 | −0.3 | −0.6 | |||
| Total | Start | 63.3 | 4.1 | 3.5 | 0.5 | 11.3 | 9.2 | 6.4 |
| (n = 600) | Start − End 2 | −10.5 | −0.2 | −0.4 | −0.3 |
| Ultrasonography | Postmortem Inspection | ||||
|---|---|---|---|---|---|
| Lung Area (n = 600) | Diagnosis | Start | Start − End | Diagnosis | Prevalence |
| L1 | COMT/CON | 78.3 | −13.01 | 0 | 80.5 b,c,d |
| ALV | 4.0 | −0.81 | 1 | 8.3 c,d | |
| ATA | 3.2 | +0.2 | 2 | 6.2 c | |
| FLU | 0.7 | +0.0 | 3 | 5.0 c | |
| Total | 21.5 | −3.4 | Total | 19.5 b,c,d | |
| L2 | COMT/CON | 67.3 c | −12.71 | 0 | 90.8 a,c |
| ALV | 3.2 | −0.8 | 1 | 3.0 c,d | |
| ATA | 2.8 | −0.3 | 2 | 3.3 c,d | |
| FLU | 0.5 | 0.0 | 3 | 2.8 c | |
| Total | 18.5 | −3.5 | Total | 9.2 a,c | |
| Ultrasonography | Postmortem Inspection | ||||
|---|---|---|---|---|---|
| Lung Area (n = 600) | Diagnosis | Start | Start − End | Diagnosis | Prevalence |
| R1 | COMT/CON | 81.7 b | −8.0 | 0 | 41.0 a,b,c,d |
| ALV | 6.5 | −1.0 | 1 | 20.5 a,b,d | |
| ATA | 4.5 | +0.3 | 2 | 19.7 a,b,d | |
| FLU | 0.8 | −0.3 | 3 | 15.8 a,b,d | |
| Total | 23.4 | −2.3 | Total | 56.0 a,b,c,d | |
| R2 | 0 | 60.7 a,b,c,d | |||
| 1 | 19.7 a,b,d | ||||
| 2 | 13.5 b,d | ||||
| 3 | 6.2 c | ||||
| Total | 39.3 a,b,c,d | ||||
| R3 | COMT/CON | 72.8 | −9.3 | 0 | 89.2 c,d |
| ALV | 5.5 | −0.7 | 1 | 4.8 c,d | |
| ATA | 3.8 | +0.3 | 2 | 3.2 c,d | |
| FLU | 0.8 | −0.3 | 3 | 2.8 c | |
| Total | 20.8 | −2.5 | Total | 10.8 c,d | |
Disclaimer/Publisher’s Note: The statements, opinions and data contained in all publications are solely those of the individual author(s) and contributor(s) and not of MDPI and/or the editor(s). MDPI and/or the editor(s) disclaim responsibility for any injury to people or property resulting from any ideas, methods, instructions or products referred to in the content. |
© 2023 by the authors. Licensee MDPI, Basel, Switzerland. This article is an open access article distributed under the terms and conditions of the Creative Commons Attribution (CC BY) license (https://creativecommons.org/licenses/by/4.0/).
Share and Cite
Hoffelner, J.; Peinhopf-Petz, W.; Wittek, T. Diagnostic and Prognostic Value of Clinical Scoring and Lung Ultrasonography to Assess Pulmonary Lesions in Veal Calves. Animals 2023, 13, 3464. https://doi.org/10.3390/ani13223464
Hoffelner J, Peinhopf-Petz W, Wittek T. Diagnostic and Prognostic Value of Clinical Scoring and Lung Ultrasonography to Assess Pulmonary Lesions in Veal Calves. Animals. 2023; 13(22):3464. https://doi.org/10.3390/ani13223464
Chicago/Turabian StyleHoffelner, Julia, Walter Peinhopf-Petz, and Thomas Wittek. 2023. "Diagnostic and Prognostic Value of Clinical Scoring and Lung Ultrasonography to Assess Pulmonary Lesions in Veal Calves" Animals 13, no. 22: 3464. https://doi.org/10.3390/ani13223464
APA StyleHoffelner, J., Peinhopf-Petz, W., & Wittek, T. (2023). Diagnostic and Prognostic Value of Clinical Scoring and Lung Ultrasonography to Assess Pulmonary Lesions in Veal Calves. Animals, 13(22), 3464. https://doi.org/10.3390/ani13223464

