Geographic Variation in Testicular Morphometrics, Androgen Receptor Expression and Anti-Müllerian Hormone Levels in the Intermediate Roundleaf Bats across Distinct Regions in Thailand
Abstract
Simple Summary
Abstract
1. Introduction
2. Materials and Methods
2.1. Animals
2.2. Morphological Study
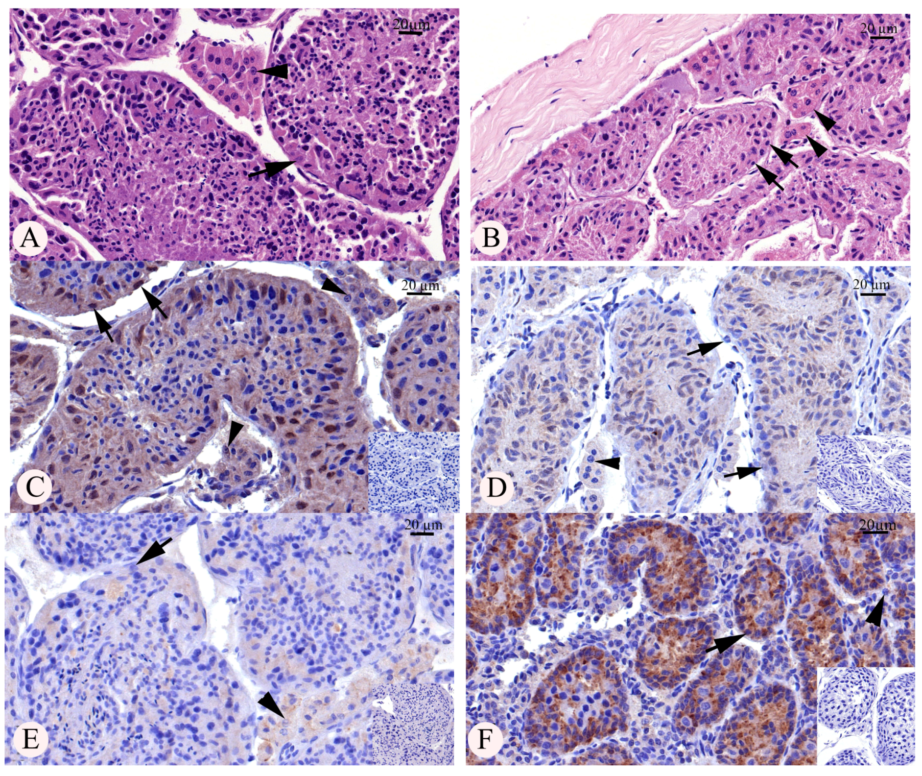
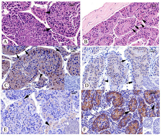
2.3. Immunohistochemistry
2.4. Digital Slide Scanning and Image Analyses
2.5. Statistical Analyses
3. Results
3.1. Morphometric Data
3.2. Immunohistochemistry
4. Discussion
5. Conclusions
Author Contributions
Funding
Institutional Review Board Statement
Informed Consent Statement
Data Availability Statement
Acknowledgments
Conflicts of Interest
References
- Crichton, E.G.; Krutzsch, P.H. Sperm Storage and Fertilization; Elsevier Science: Amsterdam, The Netherlands, 2000; p. 510. [Google Scholar]
- Beasley, L.J.; Zucker, I. Photoperiod influences the annual reproductive cycle of the male pallid bat (Antrozous pallidus). J. Reprod. Fertil. 1984, 70, 567–573. [Google Scholar] [CrossRef]
- Soares, E.M.; Ferraz, J.F.; Oliveira, R.S.; Dias, L.I.S.; Morielle-Versute, E.; Taboga, S.R.; Souza, C.C.; Beguelini, M.R. Annual reproductive cycle of males of the bat Molossus molossus: Seasonal bimodal polyestry, testicular regression, and some aspects of the hormonal control. Theriogenology 2020, 158, 297–308. [Google Scholar] [CrossRef]
- Beguelini, M.R.; Góes, R.M.; Taboga, S.R.; Morielle-Versute, E. Two periods of total testicular regression are peculiar events of the annual reproductive cycle of the black Myotis bat, Myotis nigricans (Chiroptera: Vespertilionidae). Reprod. Fertil. Dev. 2014, 26, 834–846. [Google Scholar] [CrossRef] [PubMed]
- Heideman, P.D.; Deoraj, P.; Bronson, F.H. Seasonal reproduction of a tropical bat, Anoura geoffroyi, in relation to photoperiod. J. Reprod. Fertil. 1992, 96, 765–773. [Google Scholar] [CrossRef] [PubMed]
- Krutzsch, P.H.; Watson, R.H.; Lox, C.D. Reproductive biology of the male leaf-nosed bat, Macrotus waterhousii in Southwestern United States. Anat. Rec. 1976, 184, 611–635. [Google Scholar] [CrossRef]
- Campolina-Silva, G.H.; Hess, R.A.; Oliveira, C.A. Seasonal variation of cell proliferation and apoptosis in the efferent ductules and epididymis of the Neotropical bat Artibeus lituratus (Chiroptera, Phyllostomidae). Gen. Comp. Endocrinol. 2019, 273, 3–10. [Google Scholar] [CrossRef] [PubMed]
- Bates, P.; Bumrungsri, S.; Suyanto, A.; Molur, S.; Srinivasulu, C. Hipposideros larvatus. The IUCN Red List of Threatened Species. 2008. Available online: http://www.iucnredlist.org (accessed on 8 June 2023).
- Ramteke, A.V. Ecological and economical impact of bats on ecosystem. Int. J. Life Sci. 2016, 4, 432–440. [Google Scholar]
- Edelsztein, N.Y.; Rey, R.A. Importance of the Androgen Receptor Signaling in Gene Transactivation and Transrepression for Pubertal Maturation of the Testis. Cells 2019, 8, 861. [Google Scholar] [CrossRef] [PubMed]
- Abd El-Meseeh, N.A.; El-Shaarawy, E.A.; AlDomairy, A.F.; Sehly, R.A. Changes in rat testis morphology and androgen receptor expression around the age of puberty. Ann. Anat. 2016, 205, 37–44. [Google Scholar] [CrossRef]
- Oliveira, R.L.; Oliveira, A.G.; Mahecha, G.A.; Nogueira, J.C.; Oliveira, C.A. Distribution of estrogen receptors (ERalpha and ERbeta) and androgen receptor in the testis of big fruit-eating bat Artibeus lituratus is cell- and stage-specific and increases during gonadal regression. Gen. Comp. Endocrinol. 2009, 161, 283–292. [Google Scholar] [CrossRef]
- Da Silva, S.F.M.; de Souza Silva, C.H.; Dias, F.C.R.; Cordero-Schmidt, E.; Vargas-Mena, J.C.; da Silva, I.G.M.; Báo, S.N.; de Carvalho, T.G.; de Araújo Júnior, R.F.; de Moura, C.E.B.; et al. Testicular characterization and spermatogenesis of the hematophagous bat Diphylla ecaudata. PLoS ONE 2019, 14, e0226558. [Google Scholar] [CrossRef]
- Ohyama, K.; Ohta, M.; Hosaka, Y.Z.; Tanabe, Y.; Ohyama, T.; Yamano, Y. Expression of anti-Müllerian hormone and its type II receptor in germ cells of maturing rat testis. Endocr. J. 2015, 62, 997–1006. [Google Scholar] [CrossRef]
- Zec, I.; Tislaric-Medenjak, D.; Megla, Z.B.; Kucak, I. Anti-Müllerian hormone: A unique biochemical marker of gonadal development and fertility in humans. Biochem. Med. 2011, 21, 219–230. [Google Scholar] [CrossRef]
- Boukari, K.; Meduri, G.; Brailly-Tabard, S.; Guibourdenche, J.; Ciampi, M.L.; Massin, N.; Martinerie, L.; Picard, J.Y.; Rey, R.; Lombès, M.; et al. Lack of androgen receptor expression in Sertoli cells accounts for the absence of anti-Mullerian hormone repression during early human testis development. J. Clin. Endocrinol. Metab. 2009, 94, 1818–1825. [Google Scholar] [CrossRef]
- Almeida, J.; Conley, A.J.; Mathewson, L.; Ball, B.A. Expression of anti-Müllerian hormone, cyclin-dependent kinase inhibitor (CDKN1B), androgen receptor, and connexin 43 in equine testes during puberty. Theriogenology 2012, 77, 847–857. [Google Scholar] [CrossRef]
- Yimpring, N.; Teankum, K.; Srisuwatanasagul, S.; Kunnasut, N.; Am-In, N.; Suriyaphol, G. Alteration of androgen receptor expression, apoptosis and cell proliferation in cryptorchid suckling, nursery and growing-finishing pigs. Theriogenology 2019, 127, 49–55. [Google Scholar] [CrossRef] [PubMed]
- Prapaiwan, N.; Manee-In, S.; Thanawongnuwech, R.; Srisuwatanasagul, S. Anti-Mullerian hormone levels in serum and testes of male dogs: Relations with neuter status and bilateral abdominal cryptorchidism. Theriogenology 2023, 208, 171–177. [Google Scholar] [CrossRef] [PubMed]
- Prapaiwan, N.; Manee-In, S.; Moonarmart, W.; Srisuwatanasagul, S. The expressions in oxytocin and sex steroid receptors in the reproductive tissues of normal and unilateral cryptorchid dogs. Theriogenology 2017, 100, 59–65. [Google Scholar] [CrossRef]
- Heideman, P.D. 11—Environmental Regulation of Reproduction. In Reproductive Biology of Bats; Crichton, E.G., Krutzsch, P.H., Eds.; Academic Press: London, UK, 2000; pp. 469–499. [Google Scholar]
- Wright, G.S. Hipposideros caffer (Chiroptera: Hipposideridae). Mamm. Species 2009, 845, 1–9. [Google Scholar] [CrossRef][Green Version]
- Decher, J.; Fahr, J. Hipposideros cyclops. Mamm. Species 2005, 763, 1–7. [Google Scholar] [CrossRef]
- Fungjanthuek, J.; Chimchome, V.; Bumrongsri, S.; Plonyium, S. Mating system of intermediate roundleaf bat (Hipposideros larvatus (HORSFIELD, 1823). J. Wildl. Thail. 2016, 23, 11–19. [Google Scholar]
- Wang, R.S.; Yeh, S.; Tzeng, C.R.; Chang, C. Androgen receptor roles in spermatogenesis and fertility: Lessons from testicular cell-specific androgen receptor knockout mice. Endocr. Rev. 2009, 30, 119–132. [Google Scholar] [CrossRef]
- Heinlein, C.A.; Chang, C. The roles of androgen receptors and androgen-binding proteins in nongenomic androgen actions. Mol. Endocrinol. 2002, 16, 2181–2187. [Google Scholar] [CrossRef]
- Mossa, F.; Jimenez-Krassel, F.; Scheetz, D.; Weber-Nielsen, M.; Evans, A.C.O.; Ireland, J.J. Anti-Müllerian Hormone (AMH) and fertility management in agricultural species. Reproduction 2017, 154, R1–R11. [Google Scholar] [CrossRef] [PubMed]
- Mullen, R.D.; Ontiveros, A.E.; Moses, M.M.; Behringer, R.R. AMH and AMHR2 mutations: A spectrum of reproductive phenotypes across vertebrate species. Dev. Biol. 2019, 455, 1–9. [Google Scholar] [CrossRef]
- Weintraub, A.; Eldar-Geva, T. Anti-Mullerian Hormone (AMH) Determinations in the Pediatric and Adolescent Endocrine Practice. Pediatr. Endocrinol. Rev. 2017, 14, 364–370. [Google Scholar] [CrossRef] [PubMed]
- Levi, M.; Hasky, N.; Stemmer, S.M.; Shalgi, R.; Ben-Aharon, I. Anti-Müllerian Hormone Is a Marker for Chemotherapy-Induced Testicular Toxicity. Endocrinology 2015, 156, 3818–3827. [Google Scholar] [CrossRef]
- Giudice, C.; Banco, B.; Veronesi, M.C.; Ferrari, A.; Di Nardo, A.; Grieco, V. Immunohistochemical expression of markers of immaturity in sertoli and seminal cells in canine testicular atrophy. J. Comp. Pathol. 2014, 150, 208–215. [Google Scholar] [CrossRef]
- Dadhich, R.K.; Barrionuevo, F.J.; Lupiañez, D.G.; Real, F.M.; Burgos, M.; Jiménez, R. Expression of Genes Controlling Testicular Development in Adult Testis of the Seasonally Breeding Iberian Mole. Sex. Dev. 2011, 5, 77–88. [Google Scholar] [CrossRef]
- Al-Attar, L.; Noël, K.; Dutertre, M.; Belville, C.; Forest, M.G.; Burgoyne, P.S.; Josso, N.; Rey, R. Hormonal and cellular regulation of Sertoli cell anti-Müllerian hormone production in the postnatal mouse. J. Clin. Investig. 1997, 100, 1335–1343. [Google Scholar] [CrossRef]
- An, K.; Yao, B.; Tan, Y.; Kang, Y.; Su, J. Potential Role of Anti-Müllerian Hormone in Regulating Seasonal Reproduction in Animals: The Example of Males. Int. J. Mol. Sci. 2023, 24, 5874. [Google Scholar] [CrossRef] [PubMed]
- Otake, S.; Park, M.K. Expressional changes of AMH signaling system in the quail testis induced by photoperiod. Reproduction 2016, 152, 575–589. [Google Scholar] [CrossRef] [PubMed]
- Edelsztein, N.Y.; Racine, C.; di Clemente, N.; Schteingart, H.F.; Rey, R.A. Androgens downregulate anti-Müllerian hormone promoter activity in the Sertoli cell through the androgen receptor and intact steroidogenic factor 1 sites. Biol. Reprod. 2018, 99, 1303–1312. [Google Scholar] [CrossRef] [PubMed]



| Location/Mean Temperature | Sampling Period | |||
|---|---|---|---|---|
| June | July | August | September | |
| Dong Phayayen (DY)/30.4 °C 160 km northeast of Bangkok | 15 | – | – | – |
| Chiang Dao (CD)/29.7 °C 772 km north of Bangkok | 5 | – | – | – |
| Nangkwak Cave (NK)/29.4 °C 390 km north of Bangkok | – | 4 | – | – |
| Khaoruenai (URN) 30 °C 167 km east of Bangkok | – | 2 | – | – |
| Khao Tham Lad Temple (KTL)/29.5 °C 162 km east of Bangkok | – | – | 6 | – |
| Prathun Cave (PT)/29.1 °C 201 km north of Bangkok | – | – | – | 10 |
| Location | Seminiferous Tubule Diameter (µm) | Germinal Epithelium Height (μm) | Interstitial Area (µm²) per 0.09 mm² of Testicular Tissue (Area ± SEM) × 104 |
|---|---|---|---|
| 1. DY (n = 15) | 154.80 ± 0.38 A | 47.10 ± 0.15 A | 1.88 ± 0.026 A |
| 2. CD (n = 5) | 127.44 ± 1.01 B | 34.92 ± 0.20 B | 2.18 ± 0.051 B |
| 3. NK (n = 3) | 132.17 ±1.92 B | 22.35 ± 0.30 C | 2.62 ± 0.071 C |
| 4. URN (n = 3) | 93.15 ± 1.35 BC | 20.77 ± 0.24 C | 2.80 ± 0.1 C |
| 5. KTL (n = 6) | 72.76 ± 1.28 BC | 17.32 ± 0.17 D | 2.65 ± 0.10 C |
| 6. PT (n = 10) | 79.89 ± 0.39 C | 18.38 ± 0.08 D | 3.09 ± 0.050 C |
| Sampling Period | Seminiferous Tubule Diameter (µm) | Germinal Epithelium Height (µm) | Interstitial Area (µm²) per 0.09 mm² of Testicular Tissue (Area ± SEM) × 104 |
|---|---|---|---|
| June (n = 20) | 145.91 ± 0.48 A | 43.01 ± 0.16 A | 1.96 ± 0.02 A |
| July (n = 6) | 135.83 ± 1.57 A | 23.00 ± 0.24 B | 2.56 ± 0.06 B |
| August (n = 6) | 86.39 ± 0.99 B | 19.39 ± 0.17 C | 2.73 ± 0.07 B |
| September (n = 10) | 79.89 ± 0.39 B | 18.38 ± 0.08 C | 3.09 ± 0.05 C |
Disclaimer/Publisher’s Note: The statements, opinions and data contained in all publications are solely those of the individual author(s) and contributor(s) and not of MDPI and/or the editor(s). MDPI and/or the editor(s) disclaim responsibility for any injury to people or property resulting from any ideas, methods, instructions or products referred to in the content. |
© 2023 by the authors. Licensee MDPI, Basel, Switzerland. This article is an open access article distributed under the terms and conditions of the Creative Commons Attribution (CC BY) license (https://creativecommons.org/licenses/by/4.0/).
Share and Cite
Srisuwatanasagul, K.; Panyaboriban, S.; Karapan, S.; Wittayarat, M.; Srisuwatanasagul, S. Geographic Variation in Testicular Morphometrics, Androgen Receptor Expression and Anti-Müllerian Hormone Levels in the Intermediate Roundleaf Bats across Distinct Regions in Thailand. Animals 2023, 13, 3287. https://doi.org/10.3390/ani13203287
Srisuwatanasagul K, Panyaboriban S, Karapan S, Wittayarat M, Srisuwatanasagul S. Geographic Variation in Testicular Morphometrics, Androgen Receptor Expression and Anti-Müllerian Hormone Levels in the Intermediate Roundleaf Bats across Distinct Regions in Thailand. Animals. 2023; 13(20):3287. https://doi.org/10.3390/ani13203287
Chicago/Turabian StyleSrisuwatanasagul, Kongkiat, Saritvich Panyaboriban, Sunate Karapan, Manita Wittayarat, and Sayamon Srisuwatanasagul. 2023. "Geographic Variation in Testicular Morphometrics, Androgen Receptor Expression and Anti-Müllerian Hormone Levels in the Intermediate Roundleaf Bats across Distinct Regions in Thailand" Animals 13, no. 20: 3287. https://doi.org/10.3390/ani13203287
APA StyleSrisuwatanasagul, K., Panyaboriban, S., Karapan, S., Wittayarat, M., & Srisuwatanasagul, S. (2023). Geographic Variation in Testicular Morphometrics, Androgen Receptor Expression and Anti-Müllerian Hormone Levels in the Intermediate Roundleaf Bats across Distinct Regions in Thailand. Animals, 13(20), 3287. https://doi.org/10.3390/ani13203287

