Three-Dimensional Volume Rendering in Computed Tomography for Evaluation of the Temporomandibular Joint in Dogs
Abstract
:Simple Summary
Abstract
1. Introduction
2. Materials and Methods
3. Results
3.1. A Detailed Description of the Bone Anatomy of TMJ Using 3DVR Images
3.2. Comparison by 3DVR of TMJs in Each Dog, According to Skull Type and Age
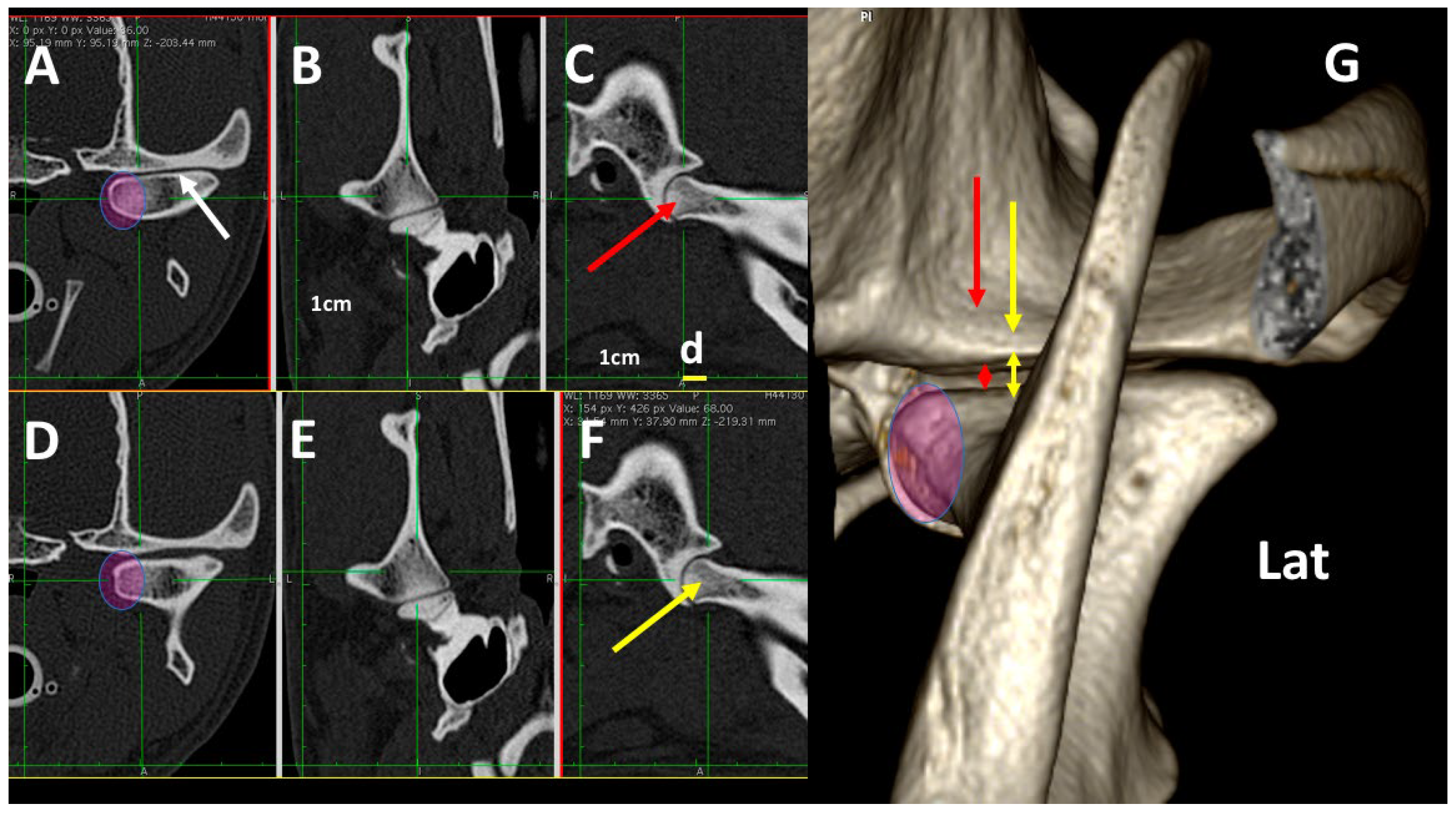
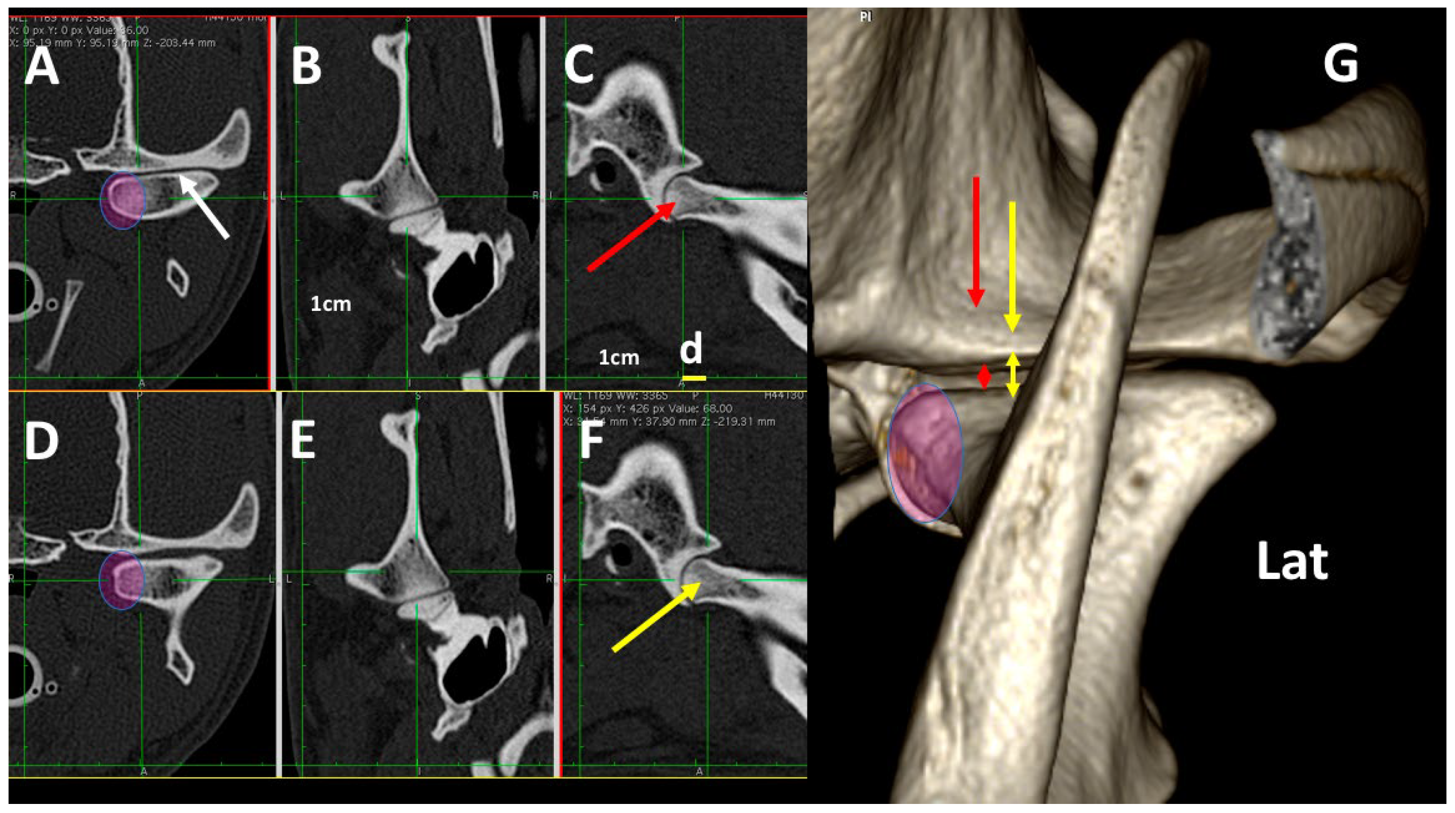
3.3. A Detailed Assessment of Each TMJ Comparing 3DVR Images with the Three Standard CT Planes
3.4. A Pictorial Essay of 3DVR Images in Some Pathological Cases
4. Discussion
5. Conclusions
Author Contributions
Funding
Institutional Review Board Statement
Informed Consent Statement
Data Availability Statement
Conflicts of Interest
References
- Rashed, F.A. Comparative Study of the Dentition and Temporomandibular Joint Anatomy and Histology Adult Dogs. Biol. Syst. Open Access 2015, 4, 2. [Google Scholar] [CrossRef]
- Hermanson, J.W.; De la Hunta, A.; Evans, H.E. Millers and Evans’ Anatomy of the Dog, 5th ed.; Elsevier: St. Louis, MO, USA, 2020; pp. 86–124. [Google Scholar]
- Gioso, M.A.; Carvalho, V.G.G. Oral Anatomy of the Dog and Cat in Veterinary Dentistry Practice. Vet. Clin. Small Anim. Pract. 2005, 35, 763–780. [Google Scholar] [CrossRef]
- Gilbe, G.V. A Comparison of the Disc in the Craniomandibular Joint of Three Mammals. Acta Anat. 1973, 86, 394–409. [Google Scholar] [CrossRef]
- Schwarz, T. Temporomandibular Joint and Masticatory Apparatus. In Veterinary Computed Tomography; Schwarz, T., Saunders, J., Eds.; Wiley-Blackwell: West Sussex, UK, 2011; pp. 125–136. [Google Scholar]
- Wisner, E.; Zwingenberger, A. Atlas of Small Animal CT and MRI; Wiley Blackwell: West Sussex, UK, 2015; pp. 40–54. [Google Scholar]
- Faby, S.; Flohr, T. Multidetector-Row CT Basics, Technological Evolution, and Current Technology. In Body MDCT in Small Animals: Basic Principles, Technology, and Clinical Applications; Bertolini, G., Ed.; Springer: Cham, Switzerland, 2017; pp. 3–33. [Google Scholar]
- Villamizar-Martínez, L.A.; Tsugawa, A.J. Diagnostic Imaging of Oral and Maxillofacial Anatomy and Pathology. Vet. Clin. Small Anim. 2022, 52, 67–105. [Google Scholar] [CrossRef] [PubMed]
- Tidwell, A.S. Principles of Computed Tomography and Magnetic Resonance Imaging. In Textbook of Veterinary Diagnostic Radiology, 5th ed.; Thrall, D.E., Ed.; Saunders-Elsevier: St Louis, MO, USA, 2007; pp. 50–77. [Google Scholar]
- Calzado, A.; Geleijns, J. Tomografía computarizada. Evolución, principios técnicos y aplicaciones. Rev. Fis. Med. 2010, 11, 163–180. [Google Scholar]
- Saunders, J.; Schwarz, T. Principles of CT Imagen and Interpretation. In Veterinary Computed Tomography; Schwarz, T., Saunders, J., Eds.; Wiley-Blackwell: West Sussex, UK, 2011; pp. 29–34. [Google Scholar]
- Dalrymple, N.C.; Prasad, S.R.; Freckleton, M.W.; Chintapalli, K.N. Introduction to the Language of Three Dimensional Imaging with Multidetector CT. Radiographics 2005, 25, 1409–1428. [Google Scholar] [CrossRef]
- Kinns, J.; Malinowski, R.; McEvoy, F.; Schwarz, T.; Zwingenberger, A. Special Software Applications. In Veterinary Computed Tomography; Schwarz, T., Saunders, J., Eds.; Wiley-Blackwell: West Sussex, UK, 2011; pp. 67–74. [Google Scholar]
- McCormick, S.U.; McCarthy, J.G.; Grayson, B.H.; Staffenberg, D.; McCormick, S.A. Effects of Mandibular Distraction on the Temporomandibular Joint: Part 1, Canine study. J. Craniofac. Surg. 1995, 6, 358–363. [Google Scholar] [CrossRef]
- Calhoun, P.S.; Kuszy, B.S.; Heath, D.G.; Carley, J.C.; Fishman, E.K. Three-dimensional Volume Rendering of Spiral CT Data: Theory and method. Radiographics 1999, 19, 745–764. [Google Scholar] [CrossRef]
- Stelnicki, E.J.; Stucki-McCormick, S.U.; Rowe, N.; McCarthy, J.G. Remodelling of the Temporo- mandibular Joint Following Mandibular Distraction Osteogenesis in the Transverse Dimension. Plast. Reconstr. Surg. 2001, 107, 647–658. [Google Scholar] [CrossRef]
- Arzi, B.; Cissell, D.D.; Verstraete, F.J.M.; Kass, P.H.; DuRaine, G.D.; Athanasiou, K.D. Computed Tomographic Findings in dogs and Cats with temporomandibular Joint Disorders; 58 cases (2006–2011). J. Am. Vet. Med. Assoc. 2013, 242, 69–75. [Google Scholar] [CrossRef]
- Katkar, R.A.; Taft, R.M.; Grant, G.T. 3D Volume Rendering and 3D Printing (additive manufacturing). Dent. Clin. N. Am. 2018, 62, 393–402. [Google Scholar] [CrossRef]
- Labruyère, J.; Schwarz, T. CT and MRI in Veterinary Patients: An Update on Recent Advances. Practice 2013, 35, 546–563. [Google Scholar] [CrossRef]
- Whyms, B.L.; Vorperian, H.K.; Gentry, L.R.; Schimek, E.M.; Bersu, E.T.; Chung, M.K. The Effect of CT scanner Parameters and 3D Volume Rendering Techniques on the Accuracy of Linear, Angular, and Volumetric Measurements of the Mandible. Oral Surg. Oral Med. Oral Pathol. Oral Radiol. 2013, 115, 682–691. [Google Scholar] [CrossRef] [PubMed]
- Duran, A.H.; Duran, M.N.; Massod, I.; Macioleck, L.M.; Hussain, H. The Additional Diagnostic Value of Three-Dimensional Volume Rendering Imaging in Routine Radiology Practice. Cureus 2019, 11, E5579. [Google Scholar] [CrossRef]
- King, A.M. Diagnostic Imaging of the Tympanic Bulla and Temporomandibular Joint in the Dog, Cat and Rabbit. Ph.D. Thesis, University of Glasgow, Glasgow, UK, 2008. [Google Scholar]
- Fichtel, T.; Urbánek, O.; Burová, J.; Georgieu, M.; Rauser, P.; Stehlik, L. Post-traumatic Ankylosis of the Temporomandibular Joint in the Dog—A Case Report. Acta Vet. Brno 2019, 88, 355–359. [Google Scholar] [CrossRef]
- Eubanks, D.L. Advanced Imaging of the Temporomandibular Joint and other Oral Structures. J. Vet. Dent. 2013, 30, 180–182. [Google Scholar] [CrossRef]
- Bin Lee, D.; Watson, K.D.; Wilson, S.; Arzi, B. Diagnostic Imaging in Veterinary Dental Practice. J. Am. Vet. Med. Assoc. 2020, 256, 51–55. [Google Scholar] [CrossRef]
- Wolfs, E.; Arzi, B.; Guerrero Cota, J.; Kass, P.H.; Verstraete, F.J.M. Craniomaxillofacial Trauma in Immature dogs: Etiology, Treatment, and Outcomes. Front. Vet. Sci. 2022, 9, 932587. [Google Scholar] [CrossRef]
- Mielke, B.; Lam, R.; Ter Haar, G. Computed Tomographic Morphometry of Tympanic Bulla Shape and Position in Brachycephalic and Mesaticephalic Dog Breeds. Vet. Radiol. Ultrasound 2017, 58, 552–558. [Google Scholar] [CrossRef]
- Ohlerth, S.; Scharf, G. Computed Tomography in Small Animals. Basic Principles and State of the Art Applications. Vet. J. 2007, 173, 254–271. [Google Scholar] [CrossRef]
- Mass, C.P.H.J.; Theyse, L.F.H. Temporomandibular Joint Ankylosis in Cats and Dogs: A Report of 10 Cases. Vet. Comp. Orthop. Traumatol. 2007, 20, 192–197. [Google Scholar] [CrossRef]
- Saunders, J.; Olerth, S. CT Physics and Instrumentation. Mechanical Design. In Veterinary Computed Tomography; Schwarz, T., Saunders, J., Eds.; Wiley-Blackwell: West Sussex, UK, 2011; pp. 1–8. [Google Scholar]
- Almansa Ruiz, J.C.; Kirgerber, R.M.; Steenkamp, G. Temporomandibular Joint Injections in Dogs with Temporomandibular Joint Pain: 11 Cases (2015–2019). J. Small Anim. Pract. 2021, 62, 33–41. [Google Scholar] [CrossRef] [PubMed]
- Whyte, A.; Obón, J.; Whyte, J.; Rodríguez Blanco, A. Morfología, Anatomía, Erupción y Oclusión Dental. In Odontología en el Perro, Gato y Exóticos; Whyte, A., San Román, F., Eds.; Marbán: Madrid, Spain, 2019; pp. 21–32. [Google Scholar]
- Ruberte, J.; Suatet, J. Atlas de Anatomía del Perro y del Gato—Volumen 1 (Cabeza y Cuello); Gráfica IN Universidad Autónoma de Barcelona: Barcelona, Spain, 1995; pp. 3–22. [Google Scholar]
- Schwarz, T.; Weller, R.; Dickie, A.M.; Knonar, M.; Sullivan, M. Imaging of the Canine and Feline temporomandibular Joint: A review. Vet. Radiol. Ultrasound 2002, 43, 85–97. [Google Scholar] [CrossRef] [PubMed]
- De Paolo, M.; Gracis, M.; Lacava, G.; Vapniarsky, N.; Arzi, B. Management of Bilateral Pterygoid Myositis Ossificans-like Lesion in Dogs. Front. Vet. Sci. 2022, 9, 992728. [Google Scholar] [CrossRef]
- Gäbler, K.; Brühschwein, A.; Kiefer, I.; Loderstedt, S.; Oechtering, G.; Ludewig, E. Computed tomography imaging of the temporomandibular joint in dogs and cats. Effects of different scan parameters on image quality. Tierarztl. Prax. Ausg. Kleintiere Heimtiere 2011, 39, 145–153. (In German) [Google Scholar]
- San Román, F.; De la Morena, M.; García Real, I.; Novales, M.; San Román, F.; Fernández Sánchez, J.M. Patología Quirúrgica de la Articulación Temporomandibular en Pequeños Animales. Argos 2016, 177, 95–130. [Google Scholar]
- Castejón González, A.C.; Ruiz Fernández, M.J.; Novales, M.; San Román Ascaso, F. Articulación Temporomandibular. In Cirugía Oral y Maxilofacial del Perro y el Gato; San Román Ascaso, F., Ed.; Servet: Zaragoza, Spain, 2021; pp. 132–145. [Google Scholar]
















Disclaimer/Publisher’s Note: The statements, opinions and data contained in all publications are solely those of the individual author(s) and contributor(s) and not of MDPI and/or the editor(s). MDPI and/or the editor(s) disclaim responsibility for any injury to people or property resulting from any ideas, methods, instructions or products referred to in the content. |
© 2023 by the authors. Licensee MDPI, Basel, Switzerland. This article is an open access article distributed under the terms and conditions of the Creative Commons Attribution (CC BY) license (https://creativecommons.org/licenses/by/4.0/).
Share and Cite
Novales, M.; Lucena, R.; Hernández, E.M.; Ginel, P.J.; Fernández, J.M.; Blanco, B. Three-Dimensional Volume Rendering in Computed Tomography for Evaluation of the Temporomandibular Joint in Dogs. Animals 2023, 13, 3231. https://doi.org/10.3390/ani13203231
Novales M, Lucena R, Hernández EM, Ginel PJ, Fernández JM, Blanco B. Three-Dimensional Volume Rendering in Computed Tomography for Evaluation of the Temporomandibular Joint in Dogs. Animals. 2023; 13(20):3231. https://doi.org/10.3390/ani13203231
Chicago/Turabian StyleNovales, Manuel, Rosario Lucena, Eduardo M. Hernández, Pedro J. Ginel, Jesús M. Fernández, and Beatriz Blanco. 2023. "Three-Dimensional Volume Rendering in Computed Tomography for Evaluation of the Temporomandibular Joint in Dogs" Animals 13, no. 20: 3231. https://doi.org/10.3390/ani13203231
APA StyleNovales, M., Lucena, R., Hernández, E. M., Ginel, P. J., Fernández, J. M., & Blanco, B. (2023). Three-Dimensional Volume Rendering in Computed Tomography for Evaluation of the Temporomandibular Joint in Dogs. Animals, 13(20), 3231. https://doi.org/10.3390/ani13203231

